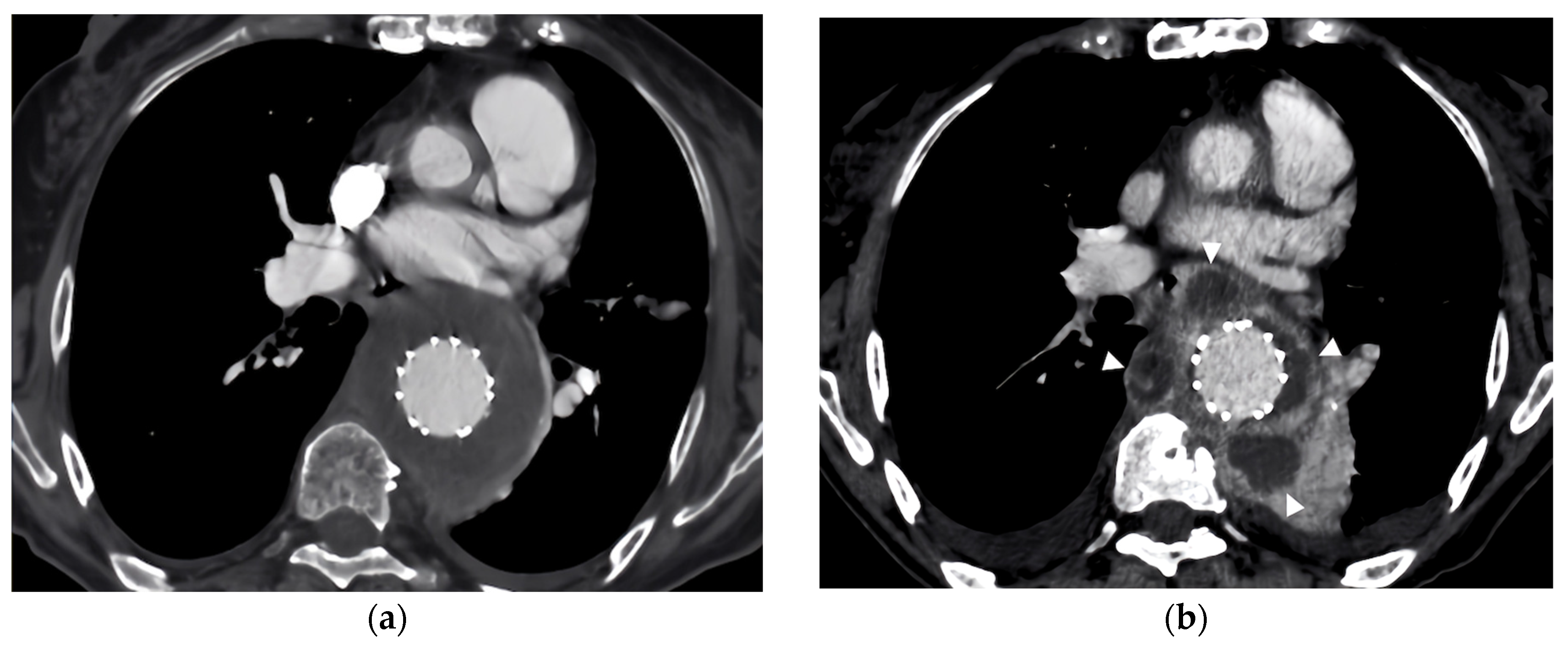
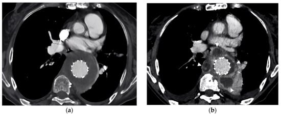
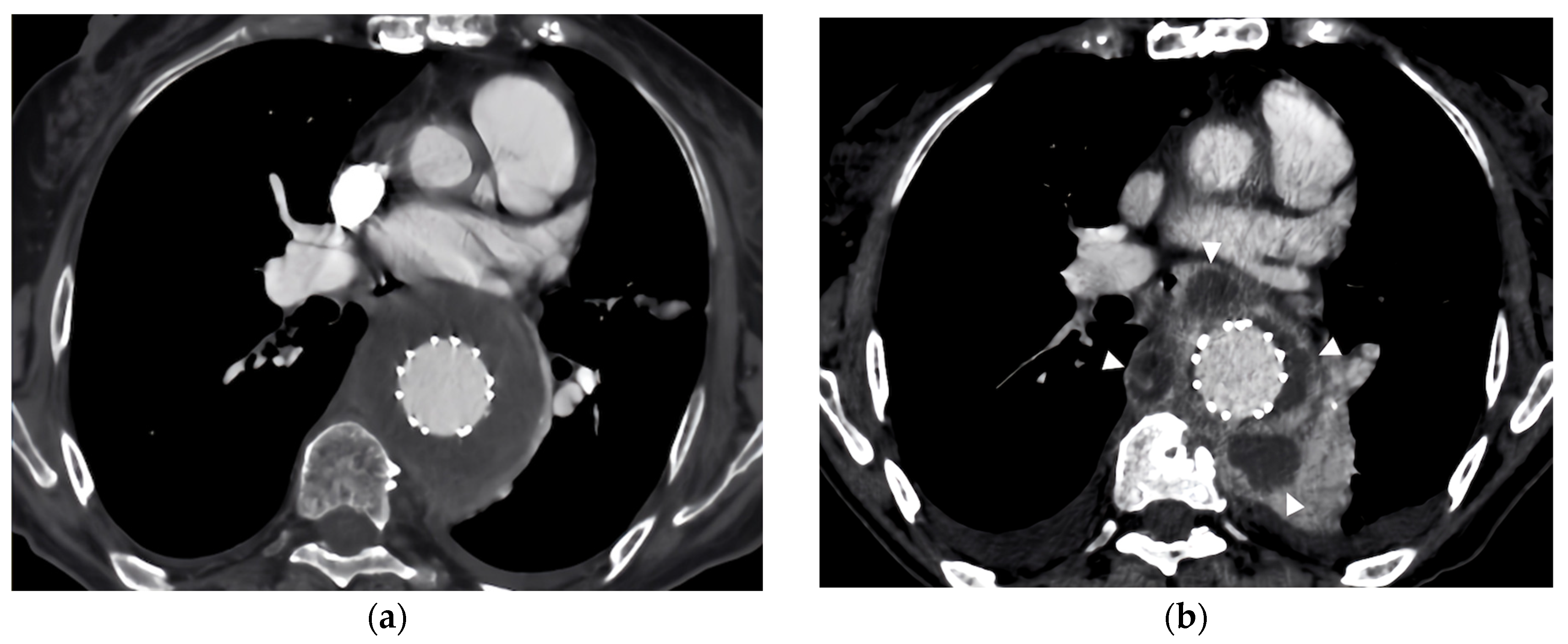
High-Grade Infection after Branched Endovascular Aortic Repair in Patient with Recent COVID-19 Hospitalization
Abstract


Author Contributions
Funding
Institutional Review Board Statement
Informed Consent Statement
Data Availability Statement
Conflicts of Interest
References
- Lu, L.; Liu, L.P.; Gui, R.; Dong, H.; Su, Y.R.; Zhou, X.H.; Liu, F.X. Discovering common pathogenetic processes between COVID-19 and sepsis by bioinformatics and system biology approach. Front. Immunol. 2022, 13, 975848. [Google Scholar] [CrossRef] [PubMed]
- Gasmi, A.; Peana, M.; Pivina, L.; Srinath, S.; Gasmi Benahmed, A.; Semenova, Y.; Menzel, A.; Dadar, M.; Bjorklund, G. Interrelations between COVID-19 and other disorders. Clin. Immunol. 2021, 224, 108651. [Google Scholar] [CrossRef]
- Greco, R.; Panetta, V.; Della Rocca, M.T.; Durante, A.; Di Caprio, G.; Maggi, P. Profile of Co-Infection Prevalence and Antibiotics Use among COVID-19 Patients. Pathogens 2022, 11, 1250. [Google Scholar] [CrossRef] [PubMed]
- Banning, L.B.D.; El Moumni, M.; Visser, L.; van Leeuwen, B.L.; Zeebregts, C.J.; Pol, R.A. Frailty leads to poor long-term survival in patients undergoing elective vascular surgery. J. Vasc. Surg. 2021, 73, 2132–2139. [Google Scholar] [CrossRef]
- Houghton, J.S.M.; Nickinson, A.T.O.; Morton, A.J.; Nduwayo, S.; Pepper, C.J.; Rayt, H.S.; Gray, L.J.; Conroy, S.P.; Haunton, V.J.; Sayers, R.D. Frailty Factors and Outcomes in Vascular Surgery Patients: A Systematic Review and Meta-analysis. Ann. Surg. 2020, 272, 266–276. [Google Scholar] [CrossRef] [PubMed]
- Taghizadeh-Waghefi, A.; Petrov, A.; Wilbring, M.; Alexiou, K.; Kappert, U.; Matschke, K.; Tugtekin, S.M. Cardiac Surgery for Treatment of COVID-19-Associated Infectious Endocarditis. Tex. Heart Inst. J. 2023, 50, e227884. [Google Scholar] [CrossRef] [PubMed]
- Martelli, E.; Sotgiu, G.; Saderi, L.; Martelli, A.R.; Settembrini, A.M.; The Vascular Surgery Divisions of the Southern Regions of the Italian Peninsula. The Impact of the First 11 Months of the COVID-19 Pandemic on Vascular Patients’ Care and Hospitalisation Rate in the Vascular Surgery Divisions of Southern Italy. Eur. J. Vasc. Endovasc. Surg. 2022, 64, 274–275. [Google Scholar] [CrossRef] [PubMed]
- Upchurch, G.R., Jr.; Escobar, G.A.; Azizzadeh, A.; Beck, A.W.; Conrad, M.F.; Matsumura, J.S.; Murad, M.H.; Perry, R.J.; Singh, M.J.; Veeraswamy, R.K.; et al. Society for Vascular Surgery clinical practice guidelines of thoracic endovascular aortic repair for descending thoracic aortic aneurysms. J. Vasc. Surg. 2021, 73, 55S–83S. [Google Scholar] [CrossRef] [PubMed]
- Chakfe, N.; Diener, H.; Lejay, A.; Assadian, O.; Berard, X.; Caillon, J.; Fourneau, I.; Glaudemans, A.; Koncar, I.; Lindholt, J.; et al. Editor’s Choice—European Society for Vascular Surgery (ESVS) 2020 Clinical Practice Guidelines on the Management of Vascular Graft and Endograft Infections. Eur. J. Vasc. Endovasc. Surg. 2020, 59, 339–384. [Google Scholar] [CrossRef] [PubMed]
- Australian and New Zealand Vascular Trial Network; Aitken, S.J.; Allard, B.; Altaf, N.; Atkinson, N.; Aziz, O.; Battersby, R.; Benson, R.; Chambers, J.L.; Charlton, G.; et al. Frail patients having vascular surgery during the early COVID-19 pandemic experienced high rates of adverse perioperative events and amputation. ANZ J. Surg. 2022, 92, 2305–2311. [Google Scholar] [CrossRef] [PubMed]
- Le Glass, E.; Raoult, D.; Dubourg, G. Snapshot of COVID-19 superinfections in Marseille hospitals: Where are the common pathogens? Epidemiol. Infect. 2022, 150, e195. [Google Scholar] [CrossRef] [PubMed]
- Czobor, N.R.; Lehot, J.J.; Holndonner-Kirst, E.; Tully, P.J.; Gal, J.; Szekely, A. Frailty In Patients Undergoing Vascular Surgery: A Narrative Review Of Current Evidence. Ther. Clin. Risk Manag. 2019, 15, 1217–1232. [Google Scholar] [CrossRef] [PubMed]
- Wanhainen, A.; Verzini, F.; Van Herzeele, I.; Allaire, E.; Bown, M.; Cohnert, T.; Dick, F.; van Herwaarden, J.; Karkos, C.; Koelemay, M.; et al. Editor’s Choice—European Society for Vascular Surgery (ESVS) 2019 Clinical Practice Guidelines on the Management of Abdominal Aorto-iliac Artery Aneurysms. Eur. J. Vasc. Endovasc. Surg. 2019, 57, 8–93. [Google Scholar] [CrossRef] [PubMed]
Disclaimer/Publisher’s Note: The statements, opinions and data contained in all publications are solely those of the individual author(s) and contributor(s) and not of MDPI and/or the editor(s). MDPI and/or the editor(s) disclaim responsibility for any injury to people or property resulting from any ideas, methods, instructions or products referred to in the content. |
© 2024 by the authors. Licensee MDPI, Basel, Switzerland. This article is an open access article distributed under the terms and conditions of the Creative Commons Attribution (CC BY) license (https://creativecommons.org/licenses/by/4.0/).
Share and Cite
Mohseni, A.; Di Girolamo, A.; Cangiano, R.; Ascione, M.; di Marzo, L.; Mansour, W. High-Grade Infection after Branched Endovascular Aortic Repair in Patient with Recent COVID-19 Hospitalization. Diagnostics 2024, 14, 205. https://doi.org/10.3390/diagnostics14020205
Mohseni A, Di Girolamo A, Cangiano R, Ascione M, di Marzo L, Mansour W. High-Grade Infection after Branched Endovascular Aortic Repair in Patient with Recent COVID-19 Hospitalization. Diagnostics. 2024; 14(2):205. https://doi.org/10.3390/diagnostics14020205
Chicago/Turabian StyleMohseni, Alireza, Alessia Di Girolamo, Rocco Cangiano, Marta Ascione, Luca di Marzo, and Wassim Mansour. 2024. "High-Grade Infection after Branched Endovascular Aortic Repair in Patient with Recent COVID-19 Hospitalization" Diagnostics 14, no. 2: 205. https://doi.org/10.3390/diagnostics14020205
APA StyleMohseni, A., Di Girolamo, A., Cangiano, R., Ascione, M., di Marzo, L., & Mansour, W. (2024). High-Grade Infection after Branched Endovascular Aortic Repair in Patient with Recent COVID-19 Hospitalization. Diagnostics, 14(2), 205. https://doi.org/10.3390/diagnostics14020205

