Differentiating between Lymphoma and Metastasis Presenting as Solid Cerebellar Mass Lacking Necrosis
Abstract
1. Introduction
2. Materials and Methods
2.1. Subjects
2.2. Brain MR Imaging Analysis
2.3. Statistical Analysis
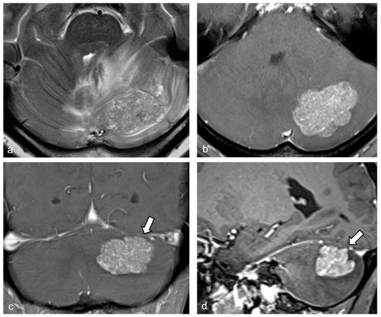
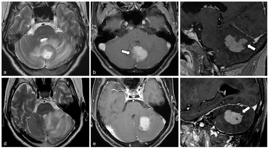
3. Results
4. Discussion
5. Conclusions
Supplementary Materials
Author Contributions
Funding
Institutional Review Board Statement
Informed Consent Statement
Data Availability Statement
Conflicts of Interest
References
- Cheng, G.; Zhang, J. Imaging features (CT, MRI, MRS, and PET/CT) of primary central nervous system lymphoma in immunocompetent patients. Neurol. Sci. 2019, 40, 535–542. [Google Scholar] [CrossRef] [PubMed]
- Küker, W.; Nägele, T.; Korfel, A.; Heckl, S.; Thiel, E.; Bamberg, M.; Weller, M.; Herrlinger, U. Primary central nervous system lymphomas (PCNSL): MRI features at presentation in 100 patients. J. Neurooncol. 2005, 72, 169–177. [Google Scholar] [CrossRef]
- Villano, J.L.; Koshy, M.; Shaikh, H.; Dolecek, T.A.; McCarthy, B.J. Age, gender, and racial differences in incidence and survival in primary CNS lymphoma. Br. J. Cancer 2011, 105, 1414–1418. [Google Scholar] [CrossRef] [PubMed]
- Hoang-Xuan, K.; Bessell, E.; Bromberg, J.; Hottinger, A.F.; Preusser, M.; Rudà, R.; Schlegel, U.; Siegal, T.; Soussain, C.; Abacioglu, U.; et al. Diagnosis and treatment of primary CNS lymphoma in immunocompetent patients: Guidelines from the European Association for Neuro-Oncology. Lancet 2015, 16, e322–e332. [Google Scholar] [CrossRef] [PubMed]
- Ampil, F.L.; Nanda, A.; Willis, B.K.; Nandy, I.; Meehan, R. Metastatic disease in the cerebellum. The LSU experience in 1981–1993. Am. J. Clin. Oncol. 1996, 19, 509–511. [Google Scholar] [CrossRef]
- Fadul, C.; Misulis, K.E.; Wiley, R.G. Cerebellar metastases: Diagnostic and management considerations. J. Clin. Oncol. 1987, 5, 1107–1115. [Google Scholar] [CrossRef]
- Yoshida, S.; Takahashi, H. Cerebellar metastases in patients with cancer. Surg. Neurol. 2009, 71, 184–187. [Google Scholar] [CrossRef] [PubMed]
- Haldorsen, I.S.; Espeland, A.; Larsson, E.M. Central nervous system lymphoma: Characteristic findings on traditional and advanced imaging. Am. J. Neuroradiol. 2011, 32, 984–992. [Google Scholar] [CrossRef]
- Haldorsen, I.S.; Kråkenes, J.; Krossnes, B.K.; Mella, O.; Espeland, A. CT and MR imaging features of primary central nervous system lymphoma in Norway, 1989–2003. Am. J. Neuroradiol. 2009, 30, 744–751. [Google Scholar] [CrossRef] [PubMed]
- Mansour, A.; Qandeel, M.; Abdel-Razeq, H.; Abu Ali, H.A. MR imaging features of intracranial primary CNS lymphoma in immune competent patients. Cancer Imaging 2014, 14, 22. [Google Scholar] [CrossRef] [PubMed]
- Zhang, D.; Hu, L.B.; Henning, T.D.; Ravarani, E.M.; Zou, L.G.; Feng, X.Y.; Wang, W.X.; Wen, L. MRI findings of primary CNS lymphoma in 26 immunocompetent patients. Korean J. Radiol. 2010, 11, 269–277. [Google Scholar] [CrossRef] [PubMed]
- He, Y.X.; Qu, C.X.; He, Y.Y.; Shao, J.; Gao, Q. Conventional MR and DW imaging findings of cerebellar primary CNS lymphoma: Comparison with high-grade glioma. Sci. Rep. 2020, 10, 10007. [Google Scholar] [CrossRef]
- Yokoyama, K.; Oyama, J.; Tsuchiya, J.; Karakama, J.; Tamura, K.; Inaji, M.; Tanaka, Y.; Kobayashi, D.; Maehara, T.; Tateishi, U. Branch-like enhancement on contrast enhanced MRI is a specific finding of cerebellar lymphoma compared with other pathologies. Sci. Rep. 2022, 12, 3591. [Google Scholar] [CrossRef]
- Sudarov, A.; Joyner, A.L. Cerebellum morphogenesis: The foliation pattern is orchestrated by multi-cellular anchoring centers. Neural Dev. 2007, 2, 26. [Google Scholar] [CrossRef] [PubMed]
- Llinás, R.R.; Walton, K.D.; Lang, E.J. Cerebellum. In The Synaptic Organization of the Brain, 5th ed.; Shepherd, G.M., Ed.; Oxford University Press: New York, NY, USA, 2004; pp. 271–309. [Google Scholar]
- Koeller, K.K.; Smirniotopoulos, J.G.; Jones, R.V. Primary central nervous system lymphoma: Radiologic-pathologic correlation. Radiographics 1997, 17, 1497–1526. [Google Scholar] [CrossRef]
- Elder, J.B.; Chen, T.C. Surgical interventions for primary central nervous system lymphoma. Neurosurg. Focus 2006, 21, E13. [Google Scholar] [CrossRef]
- Bellinzona, M.; Roser, F.; Ostertag, H.; Gaab, R.M.; Saini, M. Surgical removal of primary central nervous system lymphomas (PCNSL) presenting as space occupying lesions: A series of 33 cases. Eur. J. Surg. Oncol. 2005, 31, 100–105. [Google Scholar] [CrossRef] [PubMed]
- Calli, C.; Kitis, O.; Yunten, N.; Yurtseven, T.; Islekel, S.; Akalin, T. Perfusion and diffusion MR imaging in enhancing malignant cerebral tumors. Eur. J. Radiol. 2006, 58, 394–403. [Google Scholar] [CrossRef] [PubMed]
- Hartmann, M.; Heiland, S.; Harting, I.; Tronnier, V.M.; Sommer, C.; Ludwig, R.; Sartor, K. Distinguishing of primary cerebral lymphoma from high-grade glioma with perfusion-weighted magnetic resonance imaging. Neurosci. Lett. 2003, 338, 119–122. [Google Scholar] [CrossRef]
- Toh, C.H.; Castillo, M.; Wong, A.M.; Wei, K.C.; Wong, H.F.; Ng, S.H.; Wan, Y.L. Primary cerebral lymphoma and glioblastoma multiforme: Differences in diffusion characteristics evaluated with diffusion tensor imaging. Am. J. Neuroradiol. 2008, 29, 471–475. [Google Scholar] [CrossRef] [PubMed]



| Patient Data | PCNSL (n = 24) | Metastasis (n = 32) |
|---|---|---|
| Age (mean ± SD), y | 64.0 ± 10.2 | 58.2 ± 12.6 |
| Sex, male | 17 (70.8) | 16 (50.0) |
| Immune status | ||
| Immunocompetent | 24 (100.0) | 32 (100.0) |
| Immunocompromised | 0 (0) | 0 (0) |
| Underlying malignancy | ||
| Lung malignancy | 10 (adenocarcinoma) 4 (others) | |
| Gastric malignancy | 1 (adenocarcinoma) | 5 (adenocarcinoma) |
| Colorectal malignancy | 1 (adenocarcinoma) | 3 (adenocarcinoma) |
| Breast malignancy | 7 (invasive ductal carcinoma) 1 (mucinous carcinoma) | |
| Others | 1 | 2 |
| Previous remission history of lymphoma | 4 (16.6) | 0 (0.0) |
| Pathologic procedure | ||
| Biopsy | 20 (83.3) | 0 (0.0) |
| Resection | 4 (16.7) | 32 (100.0) |
| Patient Data | PCNSL (n = 24) | Metastasis (n = 32) | p Value |
|---|---|---|---|
| Size (mean ± SD) mm | 27.0 ± 0.93 | 33.7 ± 1.13 | 0.22 |
| Location | 1.00 | ||
| Hemisphere | 21 (87.5) | 27 (84.4) | |
| Vermis | 3 (12.5) | 6 (18.8) | |
| Middle cerebellar peduncle | 2 (8.3) | 0 (0) | |
| Distribution of tumors | |||
| Single lesion | 8 (33.3) | 12 (37.5) | 0.79 |
| Concomitant supratentorial lesions | 10 (41.7) | 18 (56.3) | 0.42 |
| Homogeneous enhancement | 22 (91.7) | 7 (21.9) | <0.001 |
| Serrate sign | 18 (75.0) | 0 (0) | <0.001 |
| Branch-like enhancement | 13 (54.2) | ||
| Outward spikes | 5 (20.8) | ||
| Bulging contour | 1 (4.2) | 20 (62.5) | <0.001 |
| Surface involvement | 7 (29.2) | 23 (71.9) | 0.003 |
| Streak-like edema | 20 (83.3) | 29 (90.6) | 0.45 |
| PCNSL (n = 24) | p Value | Metastasis (n = 32) | p Value | |||
|---|---|---|---|---|---|---|
| Serrate sign (+), n = 18 | Serrate sign (−), n = 6 | Serrate sign (+), n = 0 | Serrate sign (−), n = 32 | |||
| Size (mean ± SD) cm | 2.94 ± 0.90 | 1.95 ± 0.63 | 0.009 | 0 | 3.36 ± 1.13 | NA |
| Homogeneous enhancement (+), n = 22 | Homogeneous enhancement (−), n = 2 | Homogeneous enhancement (+), n = 7 | Homogeneous enhancement (−), n = 25 | |||
| Size (mean ± SD) cm | 2.94 ± 0.83 | 4.3 ± 0.28 | 0.036 | 2.77 ± 1.00 | 3.53 ± 1.11 | 0.121 |
| Bulging contour (+), n = 1 | Bulging contour (−), n = 23 | Bulging contour (+), n = 20 | Bulging contour (−), n = 12 | |||
| Size (mean ± SD) cm | 3.4 | 2.67 ± 0.94 | 0.347 | 3.79 ± 1.18 | 2.69 ± 2.58 | 0.007 |
| Surface involvement (+), n = 7 | Surface involvement (−), n = 17 | Surface involvement (+), n = 23 | Surface involvement (−), n = 9 | |||
| Size (mean ± SD) cm | 3.41 ± 0.90 | 2.4 ± 0.79 | 0.024 | 3.59 ± 1.17 | 2.8 ± 0.85 | 0.04 |
Disclaimer/Publisher’s Note: The statements, opinions and data contained in all publications are solely those of the individual author(s) and contributor(s) and not of MDPI and/or the editor(s). MDPI and/or the editor(s) disclaim responsibility for any injury to people or property resulting from any ideas, methods, instructions or products referred to in the content. |
© 2024 by the authors. Licensee MDPI, Basel, Switzerland. This article is an open access article distributed under the terms and conditions of the Creative Commons Attribution (CC BY) license (https://creativecommons.org/licenses/by/4.0/).
Share and Cite
Park, G.R.; Baek, B.H.; Kim, S.K.; Yoon, W.; Park, I.; Lee, Y.Y.; Jung, T.-Y. Differentiating between Lymphoma and Metastasis Presenting as Solid Cerebellar Mass Lacking Necrosis. Diagnostics 2024, 14, 2228. https://doi.org/10.3390/diagnostics14192228
Park GR, Baek BH, Kim SK, Yoon W, Park I, Lee YY, Jung T-Y. Differentiating between Lymphoma and Metastasis Presenting as Solid Cerebellar Mass Lacking Necrosis. Diagnostics. 2024; 14(19):2228. https://doi.org/10.3390/diagnostics14192228
Chicago/Turabian StylePark, Gye Ryeong, Byung Hyun Baek, Seul Kee Kim, Woong Yoon, Ilwoo Park, Yun Young Lee, and Tae-Young Jung. 2024. "Differentiating between Lymphoma and Metastasis Presenting as Solid Cerebellar Mass Lacking Necrosis" Diagnostics 14, no. 19: 2228. https://doi.org/10.3390/diagnostics14192228
APA StylePark, G. R., Baek, B. H., Kim, S. K., Yoon, W., Park, I., Lee, Y. Y., & Jung, T.-Y. (2024). Differentiating between Lymphoma and Metastasis Presenting as Solid Cerebellar Mass Lacking Necrosis. Diagnostics, 14(19), 2228. https://doi.org/10.3390/diagnostics14192228

