High-Resolution Magnetic Resonance Neurography at 7T: A Pilot Study of Hand Innervation
Abstract
1. Introduction
2. Materials and Methods
2.1. Volunteers and Setup
2.2. MR Imaging
2.3. Post-Processing
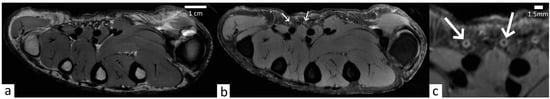
3. Results
3.1. Quality Assurance
3.2. Nerve Description
3.3. Pacini Description
4. Discussion
5. Conclusions
Author Contributions
Funding
Institutional Review Board Statement
Informed Consent Statement
Data Availability Statement
Conflicts of Interest
References
- Mitchell, J.R.; Osterman, A.L. Physiology of nerve repair: A research update. Hand Clin. 1991, 7, 481–490. [Google Scholar] [CrossRef] [PubMed]
- Stark, B.; Carlstedt, T.; Hallin, R.G.; Risling, M. Distribution of human Pacinian corpuscles in the hand. A cadaver study. J. Hand Surg. Br. 1998, 23, 370–372. [Google Scholar] [CrossRef] [PubMed]
- Henry, B.M.; Zwinczewska, H.; Roy, J.; Vikse, J.; Ramakrishnan, P.K.; Walocha, J.A.; Tomaszewski, K.A. The Prevalence of Anatomical Variations of the Median Nerve in the Carpal Tunnel: A Systematic Review and Meta-Analysis. PLoS ONE 2015, 10, e0136477. [Google Scholar] [CrossRef] [PubMed]
- Gehrmann, S.; Hohne, K.H.; Linhart, W.; Pflesser, B.; Pommert, A.; Riemer, M.; Tiede, U.; Windolf, J.; Schumacher, U.; Rueger, J.M. A novel interactive anatomic atlas of the hand. Clin. Anat. 2006, 19, 258–266. [Google Scholar] [CrossRef] [PubMed]
- Weber, C.; Lonne, G.; Rao, V.; Jakola, A.S.; Solheim, O.; Nerland, U.; Rossvoll, I.; Nygaard, O.P.; Peul, W.C.; Gulati, S. Surgical management of lumbar spinal stenosis: A survey among Norwegian spine surgeons. Acta Neurochir. 2017, 159, 191–197. [Google Scholar] [CrossRef] [PubMed]
- Godel, T.; Weiler, M. Clinical indications for high-resolution MRI diagnostics of the peripheral nervous system. Radiologe 2017, 57, 148–156. [Google Scholar] [CrossRef] [PubMed]
- Chang, G.; Deniz, C.M.; Honig, S.; Egol, K.; Regatte, R.R.; Zhu, Y.; Sodickson, D.K.; Brown, R. MRI of the hip at 7T: Feasibility of bone microarchitecture, high-resolution cartilage, and clinical imaging. J. Magn. Reson. Imaging 2014, 39, 1384–1393. [Google Scholar] [CrossRef] [PubMed]
- Treutlein, C.; Bauerle, T.; Nagel, A.M.; Guermazi, A.; Kleyer, A.; Simon, D.; Schett, G.; Hepp, T.; Uder, M.; Roemer, F.W. Comprehensive assessment of knee joint synovitis at 7 T MRI using contrast-enhanced and non-enhanced sequences. BMC Musculoskelet. Disord. 2020, 21, 116. [Google Scholar] [CrossRef] [PubMed]
- Friedrich, K.M.; Chang, G.; Vieira, R.L.; Wang, L.; Wiggins, G.C.; Schweitzer, M.E.; Regatte, R.R. In vivo 7.0-tesla magnetic resonance imaging of the wrist and hand: Technical aspects and applications. Semin. Musculoskelet. Radiol. 2009, 13, 74–84. [Google Scholar] [CrossRef]
- Behr, B.; Stadler, J.; Michaely, H.J.; Damert, H.G.; Schneider, W. MR imaging of the human hand and wrist at 7 T. Skeletal Radiol. 2009, 38, 911–917. [Google Scholar] [CrossRef]
- Germann, C.; Sutter, R.; Nanz, D. Novel observations of Pacinian corpuscle distribution in the hands and feet based on high-resolution 7-T MRI in healthy volunteers. Skeletal Radiol. 2021, 50, 1249–1255. [Google Scholar] [CrossRef] [PubMed]
- Laistler, E.; Dymerska, B.; Sieg, J.; Goluch, S.; Frass-Kriegl, R.; Kuehne, A.; Moser, E. In vivo MRI of the human finger at 7 T. Magn. Reson. Med. 2018, 79, 588–592. [Google Scholar] [CrossRef] [PubMed]
- Gotestrand, S.; Bjorkman, A.; Bjorkman-Burtscher, I.M.; Kristiansson, I.; Aksyuk, E.; Szaro, P.; Markenroth Bloch, K.; Geijer, M. Visualization of wrist anatomy-a comparison between 7T and 3T MRI. Eur. Radiol. 2022, 32, 1362–1370. [Google Scholar] [CrossRef] [PubMed]
- Langner, I.; Kruger, P.C.; Evert, K.; Zach, A.; Hadlich, S.; Ekkernkamp, A.; Eisenschenk, A.; Hosten, N.; Langner, S. MR microscopy of the human finger and correlation with histology--a proof-of-principle study. Clin. Anat. 2013, 26, 719–727. [Google Scholar] [CrossRef] [PubMed]
- Tafur, M.; Iwasaki, K.; Statum, S.; Chung, C.B.; Szeverenyi, N.M.; Bydder, G.M. Magnetic resonance imaging of the pulleys of the flexor tendons of the toes at 11.7 T. Skeletal Radiol. 2015, 44, 87–95. [Google Scholar] [CrossRef]
- Raval, S.B.; Britton, C.A.; Zhao, T.; Krishnamurthy, N.; Santini, T.; Gorantla, V.S.; Ibrahim, T.S. Ultra-high field upper extremity peripheral nerve and non-contrast enhanced vascular imaging. PLoS ONE 2017, 12, e0175629. [Google Scholar] [CrossRef] [PubMed]
- Wapler, M.C.; Leupold, J.; Dragonu, I.; von Elverfeld, D.; Zaitsev, M.; Wallrabe, U. Magnetic properties of materials for MR engineering, micro-MR and beyond. J. Magn. Reson 2014, 242, 233–242. [Google Scholar] [CrossRef]
- Fedorov, A.; Beichel, R.; Kalpathy-Cramer, J.; Finet, J.; Fillion-Robin, J.C.; Pujol, S.; Bauer, C.; Jennings, D.; Fennessy, F.; Sonka, M.; et al. 3D Slicer as an image computing platform for the Quantitative Imaging Network. Magn. Reson. Imaging 2012, 30, 1323–1341. [Google Scholar] [CrossRef]
- D'Astous, A.; Cereza, G.; Papp, D.; Gilbert, K.M.; Stockmann, J.P.; Alonso-Ortiz, E.; Cohen-Adad, J. Shimming toolbox: An open-source software toolbox for B0 and B1 shimming in MRI. Magn. Reson. Med. 2023, 89, 1401–1417. [Google Scholar] [CrossRef]
- Rhodes, N.G.; Murthy, N.S.; Lachman, N.; Rubin, D.A. Normal Pacinian corpuscles in the hand: Radiology-pathology correlation in a cadaver study. Skeletal Radiol. 2019, 48, 1591–1597. [Google Scholar] [CrossRef]
- Welsch, G.H.; Juras, V.; Szomolanyi, P.; Mamisch, T.C.; Baer, P.; Kronnerwetter, C.; Blanke, M.; Fujita, H.; Trattnig, S. Magnetic resonance imaging of the knee at 3 and 7 Tesla: A comparison using dedicated multi-channel coils and optimised 2D and 3D protocols. Eur. Radiol. 2012, 22, 1852–1859. [Google Scholar] [CrossRef] [PubMed]
- Juras, V.; Welsch, G.; Bar, P.; Kronnerwetter, C.; Fujita, H.; Trattnig, S. Comparison of 3T and 7T MRI clinical sequences for ankle imaging. Eur. J. Radiol. 2012, 81, 1846–1850. [Google Scholar] [CrossRef] [PubMed]





| Volunteers | Age | Gender | Dominant Hand | Manual Work |
|---|---|---|---|---|
| 1 | 34 | M | Right | No |
| 2 | 49 | M | Right | No |
| 3 | 31 | M | Right | No |
| 4 | 57 | F | Right | Yes |
| MCP Zone | IPP Zone | IPD Zone | |
|---|---|---|---|
| Dorsal side | 2 | 1.2 | 1.3 |
| Palmar side | 2 | 1.9 | 1.9 |
| Distance from Nerve to Skin (mm) | Distance from Nerve to Joint (mm) | ||||||||
|---|---|---|---|---|---|---|---|---|---|
| Finger | Nerve Laterality | Metacarpals | Proximal | Middle | Distal | Metacarpals | Proximal | Middle | Distal |
| I | Left | 3.9–6.9 | 2.4–3.9 | N/A | 2.2–4.3 | 8.7–10.0 | 1.8–3.3 | N/A | 1.2–1.6 |
| Right | 4.3–6.6 | 2.4–4.1 | N/A | 2.0–4.4 | 7.6–11.3 | 2.4–3.5 | N/A | 1.1–1.5 | |
| II | Left | 4.8–6.8 | 2.5–3.9 | 2.0–3.9 | 1.9–3.3 | 6.6–9.8 | 1.8–2.8 | 1.6–2.0 | 1.3–1.7 |
| Right | 4.4–6.9 | 2.9–4.4 | 2.0–3.4 | 1.9–3.2 | 6.5–9.4 | 1.2–2.5 | 1.9–2.2 | 1.1–1.5 | |
| III | Left | 4.5–7.3 | 2.5–4.9 | 1.9–3.2 | 2.0–3.3 | 6.9–8.6 | 1.1–2.3 | 1.9–2.4 | 1.1–1.6 |
| Right | 3.9–6.5 | 2.4–4.2 | 1.9–4.2 | 1.8–2.9 | 6.4–9.2 | 2.2–3.4 | 2.0–2.8 | 1.3–1.6 | |
| IV | Left | 4.1–7.9 | 2.3–4.2 | 1.8–2.8 | 1.8–2.0 | 5.2–6.8 | 1.4–2.7 | 1.2–2.0 | 1.2–1.9 |
| Right | 4.3–5.8 | 2.5–3.9 | 1.8–2.4 | 1.5–2.4 | 5.2–8.9 | 1.4–2.9 | 1.2–2.7 | 1.2–1.7 | |
| V | Left | 3.5–5.6 | 2.8–4.7 | 1.7–2.9 | 1.5–2.4 | 4.9–5.6 | 1.2–2.3 | 1.3–1.9 | 1.2–1.7 |
| Right | 3.8–5.9 | 2.5–4.6 | 1.8–2.8 | 1.8–2.2 | 3.4–5.9 | 1.2–2.2 | 1.4–1.8 | 1.2–1.7 | |
Disclaimer/Publisher’s Note: The statements, opinions and data contained in all publications are solely those of the individual author(s) and contributor(s) and not of MDPI and/or the editor(s). MDPI and/or the editor(s) disclaim responsibility for any injury to people or property resulting from any ideas, methods, instructions or products referred to in the content. |
© 2024 by the authors. Licensee MDPI, Basel, Switzerland. This article is an open access article distributed under the terms and conditions of the Creative Commons Attribution (CC BY) license (https://creativecommons.org/licenses/by/4.0/).
Share and Cite
Guillemin, P.C.; Ferreira Branco, D.; M’Rad, Y.; Mattera, L.; Lorton, O.; Piredda, G.F.; Klauser, A.; Martuzzi, R.; Poletti, P.-A.; Salomir, R.; et al. High-Resolution Magnetic Resonance Neurography at 7T: A Pilot Study of Hand Innervation. Diagnostics 2024, 14, 1230. https://doi.org/10.3390/diagnostics14121230
Guillemin PC, Ferreira Branco D, M’Rad Y, Mattera L, Lorton O, Piredda GF, Klauser A, Martuzzi R, Poletti P-A, Salomir R, et al. High-Resolution Magnetic Resonance Neurography at 7T: A Pilot Study of Hand Innervation. Diagnostics. 2024; 14(12):1230. https://doi.org/10.3390/diagnostics14121230
Chicago/Turabian StyleGuillemin, Pauline C., David Ferreira Branco, Yacine M’Rad, Loan Mattera, Orane Lorton, Gian Franco Piredda, Antoine Klauser, Roberto Martuzzi, Pierre-Alexandre Poletti, Rares Salomir, and et al. 2024. "High-Resolution Magnetic Resonance Neurography at 7T: A Pilot Study of Hand Innervation" Diagnostics 14, no. 12: 1230. https://doi.org/10.3390/diagnostics14121230
APA StyleGuillemin, P. C., Ferreira Branco, D., M’Rad, Y., Mattera, L., Lorton, O., Piredda, G. F., Klauser, A., Martuzzi, R., Poletti, P.-A., Salomir, R., & Boudabbous, S. (2024). High-Resolution Magnetic Resonance Neurography at 7T: A Pilot Study of Hand Innervation. Diagnostics, 14(12), 1230. https://doi.org/10.3390/diagnostics14121230

