The Role of Endoscopic Ultrasound and Ancillary Techniques in the Diagnosis of Autoimmune Pancreatitis: A Comprehensive Review
Abstract
1. Introduction
2. Conventional EUS
2.1. Diagnosis
2.2. Differences with PC on B-Mode
2.3. Staging
2.4. Therapeutic Monitoring
2.5. MPD, Biliary, and Peripancreatic Findings
3. Contrast-Enhanced EUS
4. EUS–Elastography
5. EUS-Guided Tissue Acquisition
6. Conclusions
- Requires the exclusion of PC;
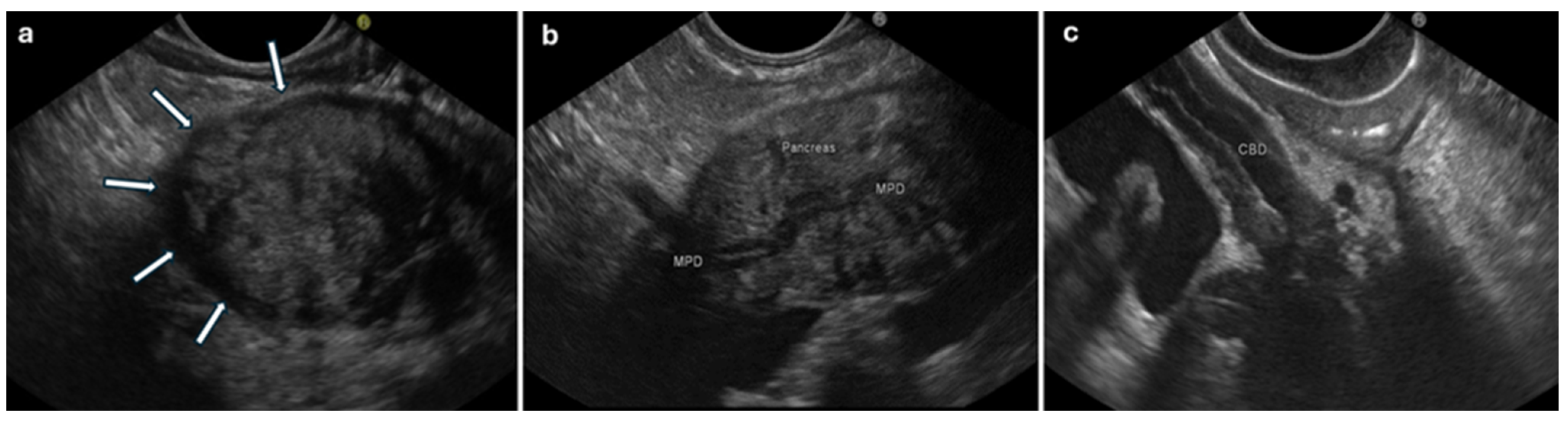
- Strongly relies on radiological and EUS imaging. The typical EUS appearance of autoimmune pancreatitis is diffuse pancreatic enlargement, the so-called “sausage-shaped pancreas,” with a hypoechoic, patchy, and heterogeneous echotexture. In the focal form, which accounts for 28–41% of AIP cases, EUS reveals a focal hypoechoic enlargement or area. Other relevant features include typical parenchymal and chronic pancreatitis changes, as well as biliary and peripancreatic findings, all detailed in Table 1. After the injection of Sonovue™, the more typical contrast-enhanced pattern is hyper- or isovascular homogeneous in the arterial phase with a tendency for persistent enhancement in the late phase. The role of TICs is promising, as is elastography, also in assessing the response to therapy, but they are still under investigation.
- EUS-FNB is a valuable tool for diagnosis, but its results remain unsatisfactory, as grade 1 histology cannot be achieved in up to 40% of patients [136]. In such cases, AIP1 diagnosis can be made by combining clinical, radiological, and serological criteria in accordance with the ICDC guidelines and ultimately by the patient’s response to steroids.
- Vascular involvement in AIP appears to be underestimated by EUS, as there is a significant difference in detection rates between EUS and cross-sectional imaging. This discrepancy could serve as a starting point for new studies.
Author Contributions
Funding
Conflicts of Interest
References
- Masood, M. Autoimmune pancreatitis: What we know so far. JGH Open 2022, 6, 3–10. [Google Scholar] [CrossRef] [PubMed]
- Nishimori, I.; Tamakoshi, A.; Otsuki, M.; The Research Committee on Intractable Diseases of the Pancreas, Ministry of Health, Labour, and Welfare of Japan. Prevalence of autoimmune pancreatitis in Japan from a nationwide survey in 2002. J. Gastroenterol. 2007, 42, 6–8. [Google Scholar] [CrossRef] [PubMed]
- Yoshida, K.; Toki, F.; Takeuchi, T.; Watanabe, S.; Shiratori, K.; Hayashi, N. Chronic pancreatitis caused by an autoimmune abnormality: Proposal of the concept of autoimmune pancreatitis. Dig. Dis. Sci. 1995, 40, 1561–1568. [Google Scholar] [CrossRef] [PubMed]
- Watson, R.R.; Brugge, W.R. The role of endoscopy in the management of autoimmune pancreatitis. Expert Rev. Gastroenterol. Hepatol. 2012, 6, 5–8. [Google Scholar] [CrossRef] [PubMed]
- Gallo, C.; Dispinzieri, G.; Zucchini, N.; Invernizzi, P.; Massironi, S. Autoimmune pancreatitis: Cornerstones and future perspectives. World J. Gastroenterol. 2024, 30, 817–832. [Google Scholar] [CrossRef] [PubMed]
- Chari, S.T.; Smyrk, T.C.; Levy, M.J.; Topazian, M.D.; Takahashi, N.; Zhang, L.; Clain, J.E.; Pearson, R.K.; Petersen, B.T.; Vege, S.S. Diagnosis of Autoimmune Pancreatitis: The Mayo Clinic Experience. Clin. Gastroenterol. Hepatol. 2006, 4, 1010–1016. [Google Scholar] [CrossRef] [PubMed]
- Park, D.H.; Kim, M.-H.; Chari, S.T. Recent advances in autoimmune pancreatitis. Gut 2009, 58, 1680–1689. [Google Scholar] [CrossRef]
- Wallace, Z.S.; Zhang, Y.; Perugino, C.A.; Naden, R.; Choi, H.K.; Stone, J.H.; Akamizu, T.; Akiyama, M.; Bateman, A.; Blockmans, D.; et al. Clinical phenotypes of IgG4-related disease: An analysis of two international cross-sectional cohorts. Ann. Rheum. Dis. 2019, 78, 406–412. [Google Scholar] [CrossRef] [PubMed]
- Shinji, A.; Sano, K.; Hamano, H.; Unno, H.; Fukushima, M.; Nakamura, N.; Akamatsu, T.; Kawa, S.; Kiyosawa, K. Autoimmune pancreatitis is closely associated with gastric ulcer presenting with abundant IgG4-bearing plasma cell infiltration. Gastrointest. Endosc. 2004, 59, 506–511. [Google Scholar] [CrossRef]
- Kamisawa, T.; Chari, S.T.; Giday, S.A.; Kim, M.H.; Chung, J.B.; Lee, K.T.; Werner, J.; Bergmann, F.; Lerch, M.M.; Mayerle, J.; et al. Clinical profile of autoimmune pancreatitis and its histological subtypes: An international multicenter survey. Pancreas 2011, 40, 809–814. [Google Scholar] [CrossRef]
- Sugumar, A.; Klöppel, G.; Chari, S.T. Autoimmune pancreatitis: Pathologic subtypes and their implications for its diagnosis. Am. J. Gastroenterol. 2009, 104, 2308–2310. [Google Scholar] [CrossRef] [PubMed]
- Frulloni, L.; Amodio, A.; Katsotourchi, A.M.; Vantini, I. A practical approach to the diagnosis of autoimmune pancreatitis. World J. Gastroenterol. 2011, 17, 2076. [Google Scholar] [CrossRef] [PubMed]
- Klöppel, G.; Detlefsen, S.; Chari, S.T.; Longnecker, D.S.; Zamboni, G. Autoimmune pancreatitis: The clinicopathological characteristics of the subtype with granulocytic epithelial lesions. J. Gastroenterol. 2010, 45, 787–793. [Google Scholar] [CrossRef] [PubMed]
- Overbeek, K.A.; Poulsen, J.L.; Lanzillotta, M.; Vinge-Holmquist, O.; Macinga, P.; Demirci, A.F.; Sindhunata, D.P.; Backhus, J.; Algül, H.; Buijs, J.; et al. Type 1 Autoimmune Pancreatitis in Europe: Clinical Profile and Response to Treatment. Clin. Gastroenterol. Hepatol. 2024, 22, 994–1004. [Google Scholar] [CrossRef] [PubMed]
- Okazaki, K.; Kawa, S.; Kamisawa, T.; Naruse, S.; Tanaka, S.; Nishimori, I.; Ohara, H.; Ito, T.; Kiriyama, S.; Inui, K.; et al. Clinical diagnostic criteria of autoimmune pancreatitis: Revised proposal. J. Gastroenterol. 2006, 41, 626–631. [Google Scholar] [CrossRef] [PubMed]
- Maruyama, M.; Watanabe, T.; Kanai, K.; Oguchi, T.; Muraki, T.; Hamano, H.; Arakura, N.; Kawa, S. International Consensus Diagnostic Criteria for autoimmune pancreatitis and its Japanese amendment have improved diagnostic ability over existing criteria. Gastroenterol. Res. Pract. 2013, 2013, 456965. [Google Scholar] [CrossRef] [PubMed]
- Kim, K.-P.; Kim, M.-H.; Kim, J.C.; Lee, S.S.; Seo, D.W.; Lee, S.K. Diagnostic criteria for autoimmune chronic pancreatitis revisited. World J. Gastroenterol. 2006, 12, 2487–2496. [Google Scholar] [CrossRef] [PubMed]
- Otsuki, M.; Chung, J.B.; Okazaki, K.; Kim, M.-H.; Kamisawa, T.; Kawa, S.; Park, S.W.; Shimosegawa, T.; Lee, K.; Ito, T.; et al. Asian diagnostic criteria for autoimmune pancreatitis: Consensus of the Japan-Korea Symposium on Autoimmune Pancreatitis. J. Gastroenterol. 2008, 43, 403–408. [Google Scholar] [CrossRef] [PubMed]
- Shimosegawa, T.; Chari, S.T.; Frulloni, L.; Kamisawa, T.; Kawa, S.; Mino-Kenudson, M.; Kim, M.H.; Klöppel, G.; Lerch, M.M.; Löhr, M.; et al. International consensus diagnostic criteria for autoimmune pancreatitis: Guidelines of the International Association of Pancreatology. Pancreas 2011, 40, 352–358. [Google Scholar] [CrossRef]
- Moon, S.-H.; Kim, M.-H.; Park, D.H.; Hwang, C.Y.; Park, S.J.; Seo, D.W.; Lee, S.K. Is a 2-week steroid trial after initial negative investigation for malignancy useful in differentiating autoimmune pancreatitis from pancreatic cancer? A prospective outcome study. Gut 2008, 57, 1704–1712. [Google Scholar] [CrossRef]
- Learn, P.A.; Grossman, E.B.; Do, R.K.; Allen, P.J.; Brennan, M.F.; D’angelica, M.I.; DeMatteo, R.P.; Fong, Y.; Klimstra, D.S.; Schattner, M.A.; et al. Pitfalls in avoiding operation for autoimmune pancreatitis. Surgery 2011, 150, 968–974. [Google Scholar] [CrossRef] [PubMed]
- Levy, P.; Hammel, P.; Ruszniewski, P. Diagnostic challenge in autoimmune pancreatitis: Beware of shipwreck! Gut 2008, 57, 1646–1647. [Google Scholar] [CrossRef] [PubMed]
- Abraham, S.C.; Wilentz, R.E.; Yeo, C.J.; Sohn, T.A.; Cameron, J.L.; Boitnott, J.K.; Hruban, R.H. Pancreaticoduodenectomy (Whipple resections) in patients without malignancy: Are they all ‘chronic pancreatitis’? Am. J. Surg. Pathol. 2003, 27, 110–120. [Google Scholar] [CrossRef] [PubMed]
- Chari, S.T.; Takahashi, N.; Levy, M.J.; Smyrk, T.C.; Clain, J.E.; Pearson, R.K.; Petersen, B.T.; Topazian, M.A.; Vege, S.S. A diagnostic strategy to distinguish autoimmune pancreatitis from pancreatic cancer. Clin. Gastroenterol. Hepatol. 2009, 7, 1097–1103. [Google Scholar] [CrossRef] [PubMed]
- Asbun, H.J.; Conlon, K.; Fernandez-Cruz, L.; Friess, H.; Shrikhande, S.V.; Adham, M.; Bassi, C.; Bockhorn, M.; Büchler, M.; Charnley, R.M.; et al. When to perform a pancreatoduodenectomy in the absence of positive histology? A consensus statement by the International Study Group of Pancreatic Surgery. Surgery 2014, 155, 887–892. [Google Scholar] [CrossRef] [PubMed]
- Raina, A.; Yadav, D.; Krasinskas, A.M.; McGrath, K.M.; Khalid, A.; Sanders, M.; Whitcomb, D.C.; Slivka, A. Evaluation and management of autoimmune pancreatitis: Experience at a large US center. Am. J. Gastroenterol. 2009, 104, 2295–2306. [Google Scholar] [CrossRef] [PubMed]
- Al-Hawary, M.M.; Kaza, R.K.; Azar, S.F.; Ruma, J.A.; Francis, I.R. Mimics of pancreatic ductal adenocarcinoma. Cancer Imaging Off. Publ. Int. Cancer Imaging Soc. 2013, 13, 342–349. [Google Scholar] [CrossRef]
- Muhi, A.; Ichikawa, T.; Motosugi, U.; Sou, H.; Sano, K.; Tsukamoto, T.; Fatima, Z.; Araki, T. Mass-forming autoimmune pancreatitis and pancreatic carcinoma: Differential diagnosis on the basis of computed tomography and magnetic resonance cholangiopancreatography, and diffusion-weighted imaging findings. J. Magn. Reson. Imaging 2012, 35, 827–836. [Google Scholar] [CrossRef] [PubMed]
- Kamisawa, T.; Kim, M.-H.; Liao, W.-C.; Liu, Q.; Balakrishnan, V.; Okazaki, K.; Shimosegawa, T.; Chung, J.B.; Lee, K.T.; Wang, H.-P.; et al. Clinical characteristics of 327 asian patients with autoimmune pancreatitis based on asian diagnostic criteria. Pancreas 2011, 40, 200–205. [Google Scholar] [CrossRef]
- Nakazawa, T.; Ohara, H.; Sano, H.; Ando, T.; Joh, T. Schematic classification of sclerosing cholangitis with autoimmune pancreatitis by cholangiography. Pancreas 2006, 32, 229. [Google Scholar] [CrossRef]
- Nakazawa, T.; Naitoh, I.; Hayashi, K.; Okumura, F.; Miyabe, K.; Yoshida, M.; Yamashita, H.; Ohara, H.; Joh, T. Diagnostic criteria for IgG4-related sclerosing cholangitis based on cholangiographic classification. J. Gastroenterol. 2012, 47, 79–87. [Google Scholar] [CrossRef] [PubMed]
- Kanno, A.; Masamune, A.; Fujishima, F.; Iwashita, T.; Kodama, Y.; Katanuma, A.; Ohara, H.; Kitano, M.; Inoue, H.; Itoi, T.; et al. Diagnosis of autoimmune pancreatitis by EUS-guided FNA using a 22-gauge needle: A prospective multicenter study. Gastrointest. Endosc. 2016, 84, 797–804. [Google Scholar] [CrossRef] [PubMed]
- Facciorusso, A.; Barresi, L.; Cannizzaro, R.; Antonini, F.; Triantafyllou, K.; Tziatzios, G.; Muscatiello, N.; Hart, P.A.; Wani, S. Diagnostic yield of endoscopic ultrasound-guided tissue acquisition in autoimmune pancreatitis: A systematic review and meta-analysis. Endosc. Int. Open 2021, 9, E66–E75. [Google Scholar] [CrossRef] [PubMed]
- Barresi, L.; Tacelli, M.; Crinò, S.F.; Attili, F.; Petrone, M.C.; De Nucci, G.; Carrara, S.; Manfredi, G.; Capurso, G.; De Angelis, C.G.; et al. Multicentric Italian survey on daily practice for autoimmune pancreatitis: Clinical data, diagnosis, treatment, and evolution toward pancreatic insufficiency. United Eur. Gastroenterol. J. 2020, 8, 705–715. [Google Scholar] [CrossRef] [PubMed]
- Hoki, N.; Mizuno, N.; Sawaki, A.; Tajika, M.; Takayama, R.; Shimizu, Y.; Bhatia, V.; Yamao, K. Diagnosis of autoimmune pancreatitis using endoscopic ultrasonography. J. Gastroenterol. 2009, 44, 154–159. [Google Scholar] [CrossRef] [PubMed]
- Buscarini, E.; De Lisi, S.; Arcidiacono, P.G.; Petrone, M.C.; Fuini, A.; Conigliaro, R.; Manfredi, G.; Manta, R.; Reggio, D.; De Angelis, C. Endoscopic ultrasonography findings in autoimmune pancreatitis. World J. Gastroenterol. 2011, 17, 2080–2085. [Google Scholar] [CrossRef] [PubMed]
- Zhang, S.-Y.; Feng, Y.-L.; Zou, L.; Wu, X.; Guo, T.; Jiang, Q.-W.; Wang, Q.; Lai, Y.-M.; Tang, S.-J.; Yang, A.-M. Endoscopic ultrasound features of autoimmune pancreatitis: The typical findings and chronic pancreatitis changes. World J. Gastroenterol. 2021, 27, 7376–7386. [Google Scholar] [CrossRef] [PubMed]
- Dietrich, C.F.; Dong, Y.; D’Onofrio, M.; Hocke, M.; Jenssen, C.; Potthoff, A.; Atkinson, N.; Ignee, A. Autoimmune pancreatitis: Imaging features. Endosc. Ultrasound 2018, 7, 196–203. [Google Scholar] [CrossRef] [PubMed]
- Okazaki, K.; Kawa, S.; Kamisawa, T.; Ikeura, T.; Itoi, T.; Ito, T.; Inui, K.; Irisawa, A.; Uchida, K.; Ohara, H.; et al. Amendment of the Japanese consensus guidelines for autoimmune pancreatitis, 2020. J. Gastroenterol. 2022, 57, 225–245. [Google Scholar] [CrossRef]
- Marya, N.B.; Powers, P.D.; Chari, S.T.; Gleeson, F.C.; Leggett, C.L.; Abu Dayyeh, B.K.; Chandrasekhara, V.; Iyer, P.G.; Majumder, S.; Pearson, R.K.; et al. Utilisation of artificial intelligence for the development of an EUS-convolutional neural network model trained to enhance the diagnosis of autoimmune pancreatitis. Gut 2021, 70, 1335–1344. [Google Scholar] [CrossRef]
- Spadaccini, M.; Koleth, G.; Emmanuel, J.; Khalaf, K.; Facciorusso, A.; Grizzi, F.; Hassan, C.; Colombo, M.; Mangiavillano, B.; Fugazza, A.; et al. Enhanced endoscopic ultrasound imaging for pancreatic lesions: The road to artificial intelligence. World J. Gastroenterol. 2022, 28, 3814–3824. [Google Scholar] [CrossRef] [PubMed]
- Proctor, R.; Rofe, C.; Bryant, T.; Hacking, C.; Stedman, B. Autoimmune pancreatitis: An illustrated guide to diagnosis. Clin. Radiol. 2013, 68, 422–432. [Google Scholar] [CrossRef] [PubMed]
- Farrell, J.J.; Garber, J.; Sahani, D.; Brugge, W.R. EUS findings in patients with autoimmune pancreatitis. Gastrointest. Endosc. 2004, 60, 927–936. [Google Scholar] [CrossRef] [PubMed]
- Hyodo, N.; Hyodo, T. Ultrasonographic evaluation in patients with autoimmune-related pancreatitis. J. Gastroenterol. 2003, 38, 1155–1161. [Google Scholar] [CrossRef] [PubMed]
- Wallace, M.B.; Hawes, R.H. Endoscopic ultrasound in the evaluation and treatment of chronic pancreatitis. Pancreas 2001, 23, 26–35. [Google Scholar] [CrossRef] [PubMed]
- Finkelberg, D.L.; Sahani, D.; Deshpande, V.; Brugge, W.R. Autoimmune pancreatitis. N. Engl. J. Med. 2006, 355, 2670–2676. [Google Scholar] [CrossRef] [PubMed]
- Okabe, Y.; Ishida, Y.; Kaji, R.; Sugiyama, G.; Yasumoto, M.; Naito, Y.; Toyonaga, A.; Tsuruta, O.; Sata, M. Endoscopic ultrasonographic study of autoimmune pancreatitis and the effect of steroid therapy. J. Hepato-Biliary-Pancreat. Sci. 2012, 19, 266–273. [Google Scholar] [CrossRef] [PubMed]
- Yang, A.; Guo, T.; Xu, T.; Zhang, S.; Lai, Y.; Wu, X.; Wu, D.; Feng, Y.; Jiang, Q.; Wang, Q.; et al. The role of EUS in diagnosing focal autoimmune pancreatitis and differentiating it from pancreatic cancer. Endosc. Ultrasound 2021, 10, 280–287. [Google Scholar] [CrossRef] [PubMed]
- Catalano, M.F.; Sahai, A.; Levy, M.; Romagnuolo, J.; Wiersema, M.; Brugge, W.; Freeman, M.; Yamao, K.; Canto, M.; Hernandez, L.V. EUS-based criteria for the diagnosis of chronic pancreatitis: The Rosemont classification. Gastrointest. Endosc. 2009, 69, 1251–1261. [Google Scholar] [CrossRef]
- Tacelli, M.; Zaccari, P.; Petrone, M.; Della Torre, E.; Lanzillotta, M.; Falconi, M.; Doglioni, C.; Capurso, G.; Arcidiacono, P. Differential EUS findings in focal type 1 autoimmune pancreatitis and pancreatic cancer: A proof-of-concept study. Endosc. Ultrasound 2022, 11, 216–222. [Google Scholar] [CrossRef]
- Kubota, K.; Kato, S.; Akiyama, T.; Fujita, K.; Yoneda, M.; Takahashi, H.; Ogawa, M.; Inamori, M.; Abe, Y.; Kirikoshi, H.; et al. A proposal for differentiation between early- and advanced-stage autoimmune pancreatitis by endoscopic ultrasonography. Dig. Endosc. 2009, 21, 162–169. [Google Scholar] [CrossRef] [PubMed]
- Axon, A.T. Endoscopic retrograde cholangiopancreatography in chronic pancreatitis. Cambridge classification. Radiol. Clin. N. Am. 1989, 27, 39–50. [Google Scholar] [CrossRef] [PubMed]
- Kubota, K.; Iida, H.; Fujisawa, T.; Yoneda, M.; Inamori, M.; Abe, Y.; Kirikoshi, H.; Saito, S.; Ohshiro, H.; Kakuta, Y.; et al. Clinical factors predictive of spontaneous remission or relapse in cases of autoimmune pancreatitis. Gastrointest. Endosc. 2007, 66, 1142–1151. [Google Scholar] [CrossRef] [PubMed]
- Levy, M.J.; Wiersema, M.J.; Chari, S.T. Chronic pancreatitis: Focal pancreatitis or cancer? Is there a role for FNA/biopsy? Autoimmune pancreatitis. Endoscopy 2006, 38 (Suppl. S1), S30–S35. [Google Scholar] [CrossRef] [PubMed]
- Maruyama, M.; Watanabe, T.; Kanai, K.; Oguchi, T.; Asano, J.; Ito, T.; Ozaki, Y.; Muraki, T.; Hamano, H.; Arakura, N.; et al. Autoimmune pancreatitis can develop into chronic pancreatitis. Orphanet J. Rare Dis. 2014, 9, 77. [Google Scholar] [CrossRef] [PubMed]
- Sahai, A.V.; Zimmerman, M.; Aabakken, L.; Tarnasky, P.R.; Cunningham, J.T.; van Velse, A.; Hawes, R.H.; Hoffman, B.J. Prospective assessment of the ability of endoscopic ultrasound to diagnose, exclude, or establish the severity of chronic pancreatitis found by endoscopic retrograde cholangiopancreatography. Gastrointest. Endosc. 1998, 48, 18–25. [Google Scholar] [CrossRef]
- De Lisi, S.; Buscarini, E.; Arcidiacono, P.G.; Petrone, M.; Menozzi, F.; Testoni, P.A.; Zambelli, A. Endoscopic ultrasonography findings in autoimmune pancreatitis: Be aware of the ambiguous features and look for the pivotal ones. J. Pancreas 2011, 11, 78–84. [Google Scholar]
- Sahani, D.V.; Kalva, S.P.; Farrell, J.; Maher, M.M.; Saini, S.; Mueller, P.R.; Lauwers, G.Y.; Fernandez, C.D.; Warshaw, A.L.; Simeone, J.F. Autoimmune Pancreatitis: Imaging Features. Radiology 2004, 233, 345–352. [Google Scholar] [CrossRef] [PubMed]
- Palazzo, M.; Palazzo, L.; Aubert, A.; Fabre, M.; Couvelard, A.; Vullierme, M.-P.; Maire, F.; Lévy, P.; Ruszniewski, P. Irregular narrowing of the main pancreatic duct in association with a wall thickening is a key sign at endoscopic ultrasonography for the diagnosis of autoimmune pancreatitis. Pancreas 2015, 44, 211–215. [Google Scholar] [CrossRef]
- Löhr, J.M.; Beuers, U.; Vujasinovic, M.; Alvaro, D.; Frøkjær, J.B.; Buttgereit, F.; Capurso, G.; Culver, E.L.; De-Madaria, E.; Della-Torre, E.; et al. European Guideline on IgG4-related digestive disease—UEG and SGF evidence-based recommendations. United Eur. Gastroenterol. J. 2020, 8, 637–666. [Google Scholar] [CrossRef]
- Sugumar, A.; Levy, M.J.; Kamisawa, T.; Webster, G.J.; Kim, M.H.; Enders, F.; Amin, Z.; Baron, T.H.; Chapman, M.H.; Church, N.I.; et al. Endoscopic retrograde pancreatography criteria to diagnose autoimmune pancreatitis: An international multicentre study. Gut 2011, 60, 666–670. [Google Scholar] [CrossRef] [PubMed]
- Koyama, R.; Imamura, T.; Okuda, C.; Sakamoto, N.; Honjo, H.; Takeuchi, K. Ultrasonographic imaging of bile duct lesions in autoimmune pancreatitis. Pancreas 2008, 37, 259–264. [Google Scholar] [CrossRef] [PubMed]
- Kubota, K.; Kato, S.; Uchiyama, T.; Watanabe, S.; Nozaki, Y.; Fujita, K.; Yoneda, M.; Inamori, M.; Shimamura, T.; Abe, Y.; et al. Discrimination between sclerosing cholangitis-associated autoimmune pancreatitis and primary sclerosing cholangitis, cancer using intraductal ultrasonography. Dig. Endosc. 2011, 23, 10–16. [Google Scholar] [CrossRef] [PubMed]
- Lee, J.M.; Park, C.H.; Rew, S.J.; Kim, H.N.; Lee, H.J.; Park, I.H.; Park, S.Y. Intraductal ultrasonography-directed endoscopic retrograde biliary drainage without fluoroscopy. Endoscopy 2014, 46 (Suppl. S1), E495. [Google Scholar] [CrossRef] [PubMed]
- Naitoh, I.; Nakazawa, T.; Hayashi, K.; Miyabe, K.; Shimizu, S.; Kondo, H.; Nishi, Y.; Yoshida, M.; Umemura, S.; Hori, Y.; et al. Comparison of intraductal ultrasonography findings between primary sclerosing cholangitis and IgG4-related sclerosing cholangitis. J. Gastroenterol. Hepatol. 2015, 30, 1104–1109. [Google Scholar] [CrossRef] [PubMed]
- Moon, S.-H.; Kim, M.-H. The role of endoscopy in the diagnosis of autoimmune pancreatitis. Gastrointest. Endosc. 2012, 76, 645–656. [Google Scholar] [CrossRef] [PubMed]
- Naitoh, I.; Nakazawa, T.; Ohara, H.; Ando, T.; Hayashi, K.; Tanaka, H.; Okumura, F.; Takahashi, S.; Joh, T. Endoscopic transpapillary intraductal ultrasonography and biopsy in the diagnosis of IgG4-related sclerosing cholangitis. J. Gastroenterol. 2009, 44, 1147–1155. [Google Scholar] [CrossRef] [PubMed]
- Kuwatani, M.; Kawakami, H.; Zen, Y.; Kawakubo, K.; Kudo, T.; Abe, Y.; Kubo, K.; Sakamoto, N. Difference from bile duct cancer and relationship between bile duct wall thickness and serum IgG/IgG4 levels in IgG4-related sclerosing cholangitis. Hepatogastroenterology 2014, 61, 1852–1856. [Google Scholar] [PubMed]
- Kanno, A.; Masamune, A.; Shimosegawa, T. Endoscopic approaches for the diagnosis of autoimmune pancreatitis. Dig. Endosc. 2015, 27, 250–258. [Google Scholar] [CrossRef]
- Moura, D.T.H.; de Moura, E.G.H.; Matuguma, S.E.; dos Santos, M.E.; Moura, E.T.H.; Baracat, F.I.; Artifon, E.; Cheng, S.; Bernardo, W.M.; Chacon, D.; et al. EUS-FNA versus ERCP for tissue diagnosis of suspect malignant biliary strictures: A prospective comparative study. Endosc. Int. Open 2018, 6, E769–E777. [Google Scholar] [CrossRef]
- Vijayakumar, A.; Vijayakumar, A. Imaging of focal autoimmune pancreatitis and differentiating it from pancreatic cancer. ISRN Radiol. 2013, 2013, 569489. [Google Scholar] [CrossRef]
- Catalano, M.F.; Sivak MVJr Rice, T.; Gragg, L.A.; Van Dam, J. Endosonographic features predictive of lymph node metastasis. Gastrointest. Endosc. 1994, 40, 442–446. [Google Scholar] [CrossRef] [PubMed]
- Bhutani, M.S.; Hawes, R.H.; Hoffman, B.J. A comparison of the accuracy of echo features during endoscopic ultrasound (EUS) and EUS-guided fine-needle aspiration for diagnosis of malignant lymph node invasion. Gastrointest. Endosc. 1997, 45, 474–479. [Google Scholar] [CrossRef] [PubMed]
- Gleeson, F.C.; Rajan, E.; Levy, M.J.; Clain, J.E.; Topazian, M.D.; Harewood, G.C.; Papachristou, G.I.; Takahashi, N.; Rosen, C.B.; Gores, G.J. EUS-guided FNA of regional lymph nodes in patients with unresectable hilar cholangiocarcinoma. Gastrointest. Endosc. 2008, 67, 438–443. [Google Scholar] [CrossRef] [PubMed]
- Ishikawa, T.; Itoh, A.; Kawashima, H.; Ohno, E.; Itoh, Y.; Nakamura, Y.; Hiramatsu, T.; Miyahara, R.; Ohmiya, N.; Haruta, J.; et al. Peripancreatic vascular involvements of autoimmune pancreatitis. J. Gastroenterol. Hepatol. 2012, 27, 1790–1795. [Google Scholar] [CrossRef] [PubMed]
- Matsubayashi, H.; Uesaka, K.; Kanemoto, H.; Aramaki, T.; Nakaya, Y.; Kakushima, N.; Ono, H. Reduction of splenic volume by steroid therapy in cases with autoimmune pancreatitis. J. Gastroenterol. 2013, 48, 942–950. [Google Scholar] [CrossRef] [PubMed]
- Li, M.; Bai, X.; Xu, K.; Wu, X.; Guo, T.; Jiang, Q.; Wang, Q.; Zhang, S.; Yang, Y.; Feng, Y.; et al. Peripancreatic vascular involvement in patients with type 1 autoimmune pancreatitis. HepatoBiliary Surg. Nutr. 2022, 11, 355–362. [Google Scholar] [CrossRef]
- Nawaz, H.; Fan, C.Y.; Kloke, J.; Khalid, A.; McGrath, K.; Landsittel, D.; Papachristou, G.I. Performance characteristics of endoscopic ultrasound in the staging of pancreatic cancer: A meta-analysis. JOP 2013, 14, 484–497. [Google Scholar] [CrossRef]
- Kim, S.-H. Endoscopic Ultrasonography for Vascular Invasion in Pancreatic Cancer. Clin. Endosc. 2019, 52, 397–398. [Google Scholar] [CrossRef]
- Yousaf, M.N.; Chaudhary, F.S.; Ehsan, A.; Suarez, A.L.; Muniraj, T.; Jamidar, P.; Aslanian, H.R.; Farrell, J.J. Endoscopic ultrasound (EUS) and the management of pancreatic cancer. BMJ Open Gastroenterol. 2020, 7, e000408. [Google Scholar] [CrossRef]
- Kitano, M.; Kamata, K.; Imai, H.; Miyata, T.; Yasukawa, S.; Yanagisawa, A.; Kudo, M. Contrast-enhanced harmonic endoscopic ultrasonography for pancreatobiliary diseases. Dig. Endosc. 2015, 27 (Suppl. S1), 60–67. [Google Scholar] [CrossRef] [PubMed]
- Kanamori, A.; Hirooka, Y.; Itoh, A.; Hashimoto, S.; Kawashima, H.; Hara, K.; Uchida, H.; Goto, J.; Ohmiya, N.; Niwa, Y.; et al. Usefulness of contrastenhanced endoscopic ultrasonography in the differentiation between malignant and benign lymphadenopathy. Am. J. Gastroenterol. 2006, 101, 45–51. [Google Scholar] [CrossRef] [PubMed]
- Hirooka, Y.; Itoh, A.; Kawashima, H.; Ohno, E.; Ishikawa, T.; Matsubara, H.; Itoh, Y.; Nakamura, M.; Miyahara, R.; Ohmiya, N.; et al. Diagnosis of Pancreatic disorders using contrast-enhanced endoscopic ultrasonography and endoscopic elastography. Clin. Gastroenterol. Hepatol. 2009, 7, S63–S67. [Google Scholar] [CrossRef] [PubMed]
- Ohno, E.; Hirooka, Y.; Itoh, A.; Ishigami, M.; Katano, Y.; Ohmiya, N.; Niwa, Y.; Goto, H. Intraductal papillary mucinous neoplasms of the pancreas: Diferentiation of malignant and benign tumors by endoscopic ultrasound findings of mural nodules. Ann. Surg. 2009, 249, 628–634. [Google Scholar] [CrossRef] [PubMed]
- Ishikawa, T.; Itoh, A.; Kawashima, H.; Ohno, E.; Matsubara, H.; Itoh, Y.; Nakamura, Y.; Nakamura, M.; Miyahara, R.; Hayashi, K.; et al. Usefulness of EUS combined with contrast-enhancement in the differential diagnosis of malignant versus benign and preoperative localization of pancreatic endocrine tumors. Gastrointest. Endosc. 2010, 71, 951–959. [Google Scholar] [CrossRef] [PubMed]
- Ohno, E.; Itoh, A.; Kawashima, H.; Ishikawa, T.; Matsubara, H.; Itoh, Y.; Nakamura, Y.; Hiramatsu, T.; Nakamura, M.; Miyahara, R.; et al. Malignant transformation of branch duct-type intraductal papillary mucinous neoplasms of the pancreas based on contrast-enhanced endoscopic ultrasonography morphological changes: Focus on malignant transformation of intraductal papillary mucinous neoplasm itself. Pancreas 2012, 41, 855–862. [Google Scholar] [PubMed]
- Yamamoto, N.; Kato, H.; Tomoda, T.; Matsumoto, K.; Sakakihara, I.; Noma, Y.; Horiguchi, S.; Harada, R.; Tsutsumi, K.; Hori, K.; et al. Contrast-enhanced harmonic endoscopic ultrasonography with time–intensity curve analysis for intraductal papillary mucinous neoplasms of the pancreas. Endoscopy 2016, 48, 26–34. [Google Scholar] [CrossRef] [PubMed]
- Săftoiu, A.; Dietrich, C.F.; Vilmann, P. Contrast-enhanced harmonic endoscopic ultrasound. Endoscopy 2012, 44, 612–617. [Google Scholar] [CrossRef] [PubMed]
- Yokoyama, K.; Kanno, A.; Miwata, T.; Nagai, H.; Ikeda, E.; Ando, K.; Kawasaki, Y.; Tamada, K.; Lefor, A.K.; Yamamoto, H. Efficacy of Contrast-Enhanced Endoscopic Ultrasonography for the Diagnosis of Pancreatic Tumors. Diagnostics 2022, 12, 1311. [Google Scholar] [CrossRef]
- Gong, T.-T.; Hu, D.-M.; Zhu, Q. Contrast-enhanced EUS for differential diagnosis of pancreatic mass lesions: A meta-analysis. Gastrointest. Endosc. 2012, 76, 301–309. [Google Scholar] [CrossRef] [PubMed]
- Matsubara, H.; Itoh, A.; Kawashima, H.; Kasugai, T.; Ohno, E.; Ishikawa, T.; Itoh, Y.; Nakamura, Y.; Hiramatsu, T.; Nakamura, M.; et al. Dynamic quantitative evaluation of contrast-enhanced endoscopic ultrasonography in the diagnosis of pancreatic diseases. Pancreas 2011, 40, 1073–1079. [Google Scholar] [CrossRef]
- Yamashita, Y.; Kato, J.; Ueda, K.; Nakamura, Y.; Kawaji, Y.; Abe, H.; Nuta, J.; Tamura, T.; Itonaga, M.; Yoshida, T.; et al. Contrast-Enhanced Endoscopic Ultrasonography for Pancreatic Tumors. BioMed Res. Int. 2015, 2015, 491782. [Google Scholar] [CrossRef] [PubMed]
- Imazu, H.; Kanazawa, K.; Mori, N.; Ikeda, K.; Kakutani, H.; Sumiyama, K.; Hino, S.; Ang, T.L.; Omar, S.; Tajiri, H. Novel quantitative perfusion analysis with contrast-enhanced harmonic EUS for differentiation of autoimmune pancreatitis from pancreatic carcinoma. Scand. J. Gastroenterol. 2012, 47, 853–860. [Google Scholar] [CrossRef] [PubMed]
- Cho, M.K.; Moon, S.-H.; Song, T.J.; Kim, R.E.; Oh, D.W.; Park, D.H.; Lee, S.S.; Seo, D.W.; Lee, S.K.; Kim, M.-H. Contrast-Enhanced Endoscopic Ultrasound for Differentially Diagnosing Autoimmune Pancreatitis and Pancreatic Cancer. Gut Liver 2018, 12, 591–596. [Google Scholar] [CrossRef] [PubMed]
- Dietrich, C.F.; Averkiou, M.A.; Correas, J.M.; Lassau, N.; Leen, E.; Piscaglia, F. An EFSUMB introduction into Dynamic Con-trast-Enhanced Ultrasound (DCE-US) for quantification of tumour perfusion. Ultraschall Med. 2012, 33, 344–351. [Google Scholar] [PubMed]
- Gauthier, T.P.; Averkiou, M.A.; Leen, E.L. Perfusion quantification using dynamic contrast-enhanced ultrasound: The impact of dynamic range and gain on time–intensity curves. Ultrasonics 2011, 51, 102–106. [Google Scholar] [CrossRef] [PubMed]
- Gheonea, D.I.; Streba, C.T.; Ciurea, T.; Săftoiu, A. Quantitative low mechanical index contrast-enhanced endoscopic ultrasound for the differential diagnosis of chronic pseudotumoral pancreatitis and pancreatic cancer. BMC Gastroenterol. 2013, 13, 2. [Google Scholar] [CrossRef] [PubMed]
- King, K.G.; Gulati, M.; Malhi, H.; Hwang, D.; Gill, I.S.; Cheng, P.M.; Grant, E.G.; Duddalwar, V.A. Quantitative assessment of solid renal masses by contrast-enhanced ultrasound with time–intensity curves: How we do it. Abdom. Imaging 2015, 40, 2461–2471. [Google Scholar] [CrossRef]
- Buxbaum, J.; Ko, C.; Varghese, N.; Lee, A.; Sahakian, A.; King, K.; Serna, J.; Lee, H.; Tchelepi, H.; Van Dam, J.; et al. Qualitative and Quantitative Contrast-enhanced Endoscopic Ultrasound Improves Evaluation of Focal Pancreatic Lesions. Clin. Gastroenterol. Hepatol. 2020, 18, 917–925.e4. [Google Scholar] [CrossRef] [PubMed]
- Săftoiu, A.; Vilmann, P.; Dietrich, C.F.; Iglesias-Garcia, J.; Hocke, M.; Seicean, A.; Ignee, A.; Hassan, H.; Streba, C.T.; Ioncică, A.M.; et al. Quantitative contrast-enhanced harmonic EUS in differential diagnosis of focal pancreatic masses (with videos). Gastrointest. Endosc. 2015, 82, 59–69. [Google Scholar] [CrossRef]
- Seicean, A.; Badea, R.; Stan-Iuga, R.; Mocan, T.; Gulei, I.; Pascu, O. Quantitative contrast-enhanced harmonic endoscopic ultraso-nography for the discrimination of solid pancreatic masses. Ultraschall Med. 2010, 31, 571–576. [Google Scholar] [CrossRef] [PubMed]
- Ishikawa, T.; Hirooka, Y.; Kawashima, H.; Ohno, E.; Hashizume, K.; Funasaka, K.; Nakamura, M.; Miyahara, R.; Watanabe, O.; Ishigami, M.; et al. Multiphase evaluation of contrast-enhanced endoscopic ultrasonography in the diagnosis of pancreatic solid lesions. Pancreatology 2018, 18, 291–297. [Google Scholar] [CrossRef] [PubMed]
- Dietrich, C.; Burmeister, S.; Hollerbach, S.; Arcidiacono, P.; Braden, B.; Fusaroli, P.; Hocke, M.; Iglesias-Garcia, J.; Kitano, M.; Larghi, A.; et al. Do we need elastography for EUS? Endosc. Ultrasound 2020, 9, 284–290. [Google Scholar] [CrossRef] [PubMed]
- Iglesias-Garcia, J.; Lariño-Noia, J.; de la Iglesia-García, D.; Dominguez-Muñoz, J.E. Endoscopic ultrasonography: Enhancing diag-nostic accuracy. Best Pract. Res. Clin. Gastroenterol. 2022, 60–61, 101808. [Google Scholar] [CrossRef] [PubMed]
- Iglesias-Garcia, J.; Lariño-Noia, J.; Bsn, L.N.; Alvarez-Castro, A.; Lojo, S.; Leal, S.; de la Iglesia-Garcia, D.; Domínguez-Muñoz, J.E. Pancreatic Elastography Predicts Endoscopic Secretin-Pancreatic Function Test Result in Patients with Early Changes of Chronic Pancreatitis: A Prospective, Cross-Sectional, Observational Study. Am. J. Gastroenterol. 2022, 117, 1264–1268. [Google Scholar] [CrossRef] [PubMed]
- Zhang, B.; Zhu, F.; Li, P.; Yu, S.; Zhao, Y.; Li, M. Endoscopic ultrasound elastography in the diagnosis of pancreatic masses: A meta-analysis. Pancreatology 2018, 18, 833–840. [Google Scholar] [CrossRef] [PubMed]
- Hirooka, Y.; Ohno, E.; Kawashima, H.; Ishikawa, T. Feasibility of EUS-guided shear-wave measurement: A preliminary clinical study. Endosc. Ultrasound 2019, 8, 215–216. [Google Scholar] [CrossRef] [PubMed]
- Dietrich, C.F.; Hirche, T.O.; Ott, M.; Ignee, A. Real-time tissue elastography in the diagnosis of autoimmune pancreatitis. Endoscopy 2009, 41, 718–720. [Google Scholar] [CrossRef] [PubMed]
- Ishikawa, T.; Kawashima, H.; Ohno, E.; Tanaka, H.; Maeda, K.; Sawada, T.; Yamamura, T.; Furukawa, K.; Nakamura, M.; Miyahara, R.; et al. Usefulness of Endoscopic Ultrasound Elastography Combined With the Strain Ratio in the Estimation of Treatment Effect in Autoimmune Pancreatitis. Pancreas 2020, 49, E21–E22. [Google Scholar] [CrossRef]
- Iglesias-García, J.; Domínguez-Muñoz, J.E. Standardization of endoscopic ultrasound shear wave elastography. Clin. Endosc. 2023, 56, 185–187. [Google Scholar] [CrossRef]
- Ohno, E.; Hirooka, Y.; Kawashima, H.; Ishikawa, T.; Tanaka, H.; Sakai, D.; Ishizu, Y.; Kuzuya, T.; Nakamura, M.; Honda, T. Feasibility and usefulness of endoscopic ultrasonography-guided shear-wave measurement for assessment of autoimmune pancreatitis activity: A prospective exploratory study. J. Med. Ultrason. 2019, 46, 425–433. [Google Scholar] [CrossRef] [PubMed]
- Ohno, E.; Kawashima, H.; Ishikawa, T.; Iida, T.; Suzuki, H.; Uetsuki, K.; Yashika, J.; Yamada, K.; Yoshikawa, M.; Gibo, N.; et al. Diagnostic performance of endoscopic ultrasonography-guided elastography for solid pancreatic lesions: Shear-wave measurements versus strain elastography with histogram analysis. Dig. Endosc. 2021, 33, 629–638. [Google Scholar] [CrossRef] [PubMed]
- Iglesias-Garcia, J.; de la Iglesia-Garcia, D.; Lariño-Noia, J.; Dominguez-Muñoz, J.E. Endoscopic Ultrasound (EUS) Guided Elastography. Diagnostics 2023, 13, 1686. [Google Scholar] [CrossRef] [PubMed]
- Kanno, A.; Miwata, T.; Nagai, H.; Ikeda, E.; Ando, K.; Kawasaki, Y.; Tada, Y.; Yokoyama, K.; Tamada, K.; Fukushima, N.; et al. Endoscopic ultrasound-guided pancreatic sampling for the histopathological diagnosis of autoimmune pancreatitis. Dig. Endosc. 2022, 34, 420–427. [Google Scholar] [CrossRef] [PubMed]
- de Pretis, N.; Crinò, S.F.; Frulloni, L. The Role of EUS-Guided FNA and FNB in Autoimmune Pancreatitis. Diagnostics 2021, 11, 1653. [Google Scholar] [CrossRef] [PubMed]
- Chen, J.; Yang, R.; Lu, Y.; Xia, Y.; Zhou, H. Diagnostic accuracy of endoscopic ultrasound-guided fine-needle aspiration for solid pancreatic lesion: A systematic review. J. Cancer Res. Clin. Oncol. 2012, 138, 1433–1441. [Google Scholar] [CrossRef] [PubMed]
- Hewitt, M.J.; McPhail, M.J.; Possamai, L.; Dhar, A.; Vlavianos, P.; Monahan, K.J. EUS-guided FNA for diagnosis of solid pancreatic neoplasms: A meta-analysis. Gastrointest. Endosc. 2012, 75, 319–331. [Google Scholar] [CrossRef] [PubMed]
- Puli, S.R.; Bechtold, M.L.; Buxbaum, J.L.; Eloubeidi, M.A. How good is endoscopic ultrasound-guided fine-needle aspiration in diagnosing the correct etiology for a solid pancreatic mass?: A meta-analysis and systematic review. Pancreas 2013, 42, 20–26. [Google Scholar] [CrossRef] [PubMed]
- Imai, K.; Matsubayashi, H.; Fukutomi, A.; Uesaka, K.; Sasaki, K.; Ono, H. Endoscopic ultrasonography-guided fine needle aspiration biopsy using 22-gauge needle in diagnosis of autoimmune pancreatitis. Dig. Liver Dis. 2011, 43, 869–874. [Google Scholar] [CrossRef]
- Sugimoto, M.; Takagi, T.; Suzuki, R.; Konno, N.; Asama, H.; Watanabe, K.; Nakamura, J.; Kikuchi, H.; Waragai, Y.; Takasumi, M.; et al. Endoscopic ultrasonography-guided fine needle aspiration can be used to rule out malignancy in autoimmune pancreatitis patients. J. Ultrasound Med. 2017, 36, 2237–2244. [Google Scholar] [CrossRef]
- Eloubeidi, M.A.; Varadarajulu, S.; Desai, S.; Wilcox, C.M. Value of repeat endoscopic ultrasound-guided fine needle aspiration for suspected pancreatic cancer. J. Gastroenterol. Hepatol. 2008, 23, 567–570. [Google Scholar] [CrossRef]
- Gardner, T.B.; Levy, M.J.; Takahashi, N.; Smyrk, T.C.; Chari, S.T. Misdiagnosis of autoimmune pancreatitis: A caution to clinicians. Am. J. Gastroenterol. 2009, 104, 1620–1623. [Google Scholar] [CrossRef] [PubMed]
- Mizuno, N.; Bhatia, V.; Hosoda, W.; Sawaki, A.; Hoki, N.; Hara, K.; Takagi, T.; Ko, S.B.H.; Yatabe, Y.; Goto, H.; et al. Histological diagnosis of autoimmune pancreatitis using EUS-guided trucut biopsy: A comparison study with EUS-FNA. J. Gastroenterol. 2009, 44, 742–750. [Google Scholar] [CrossRef]
- Detlefsen, S.; Drewes, A.M.; Vyberg, M.; Klöppel, G. Diagnosis of autoimmune pancreatitis by core needle biopsy: Application of six microscopic criteria. Virchows Arch. 2009, 454, 531–539. [Google Scholar] [CrossRef]
- Fujii, L.L.; Chari, S.T.; El-Youssef, M.; Takahashi, N.; Topazian, M.D.; Zhang, L.; Levy, M.J. Pediatric pancreatic EUS-guided trucut biopsy for evaluation of autoimmune pancreatitis. Gastrointest. Endosc. 2013, 78, 824–828. [Google Scholar] [CrossRef] [PubMed]
- Facciorusso, A.; Wani, S.; Triantafyllou, K.; Tziatzios, G.; Cannizzaro, R.; Muscatiello, N.; Singh, S. Comparative accuracy of needle sizes and designs for EUS tissue sampling of solid pancreatic masses: A network meta-analysis. Gastrointest. Endosc. 2019, 90, 893–903. [Google Scholar] [CrossRef]
- Oppong, K.W.; Maheshwari, P.; Nayar, M.K.; Darne, A.; Parkinson, D.; Leeds, J.S.; Haugk, B. Utility of endoscopic ultra-soundguided fine-needle biopsy in the diagnosis of type 1 autoimmune pancreatitis. Endosc. Int. Open 2020, 8, 1855–1861. [Google Scholar]
- Bang, J.Y.; Hebert-Magee, S.; Navaneethan, U.; Hasan, M.K.; Hawes, R.; Varadarajulu, S. EUS-guided fine needle biopsy of pancreatic masses can yield true histology. Gut 2018, 67, 2081–2084. [Google Scholar] [CrossRef] [PubMed]
- Crinò, S.F.; Le Grazie, M.; Manfrin, E.; Bellocchi, M.C.C.; Bernardoni, L.; Granato, A.; Locatelli, F.; Parisi, A.; Di Stefano, S.; Frulloni, L.; et al. Randomized trial comparing fork-tip and side-fenestrated needles for EUS-guided fine-needle biopsy of solid pancreatic lesions. Gastrointest. Endosc. 2020, 92, 648–658. [Google Scholar] [CrossRef]
- Rimba¸s, M.; Crino, S.F.; Gasbarrini, A.; Costamagna, G.; Scarpa, A.; Larghi, A. EUS-guided fine-needle tissue acquisition for solid pancreatic lesions: Finally moving from fine-needle aspiration to fine-needle biopsy? Endosc. Ultrasound 2018, 7, 137–140. [Google Scholar]
- Ishikawa, T.; Kawashima, H.; Ohno, E.; Suhara, H.; Hayashi, D.; Hiramatsu, T.; Matsubara, H.; Suzuki, T.; Kuwahara, T.; Ishikawa, E.; et al. Usefulness of endoscopic ultrasound-guided fine-needle biopsy for the diagnosis of autoimmune pancreatitis using a 22-gauge Franseen needle: A prospective multicenter study. Endoscopy 2020, 52, 978–985. [Google Scholar] [CrossRef] [PubMed]
- Palazzo, L. Second-generation fine-needle biopsy for autoimmune pancreatitis: Ready for prime time? Endoscopy 2020, 52, 986–987. [Google Scholar] [CrossRef] [PubMed]
- Kurita, A.; Yasukawa, S.; Zen, Y.; Yoshimura, K.; Ogura, T.; Ozawa, E.; Okabe, Y.; Asada, M.; Nebiki, H.; Shigekawa, M.; et al. Comparison of a 22-gauge Franseen-tip needle with a 20-gauge forward-bevel needle for the diagnosis of type 1 autoimmune pancreatitis: A prospective, randomized, controlled, multicenter study (COMPAS study). Gastrointest. Endosc. 2020, 91, 373–381. [Google Scholar] [CrossRef] [PubMed]
- Estrada, P.; Pfau, P. Diagnosing autoimmune pancreatitis: Choosing your weapon. Gastrointest. Endosc. 2020, 91, 382–384. [Google Scholar] [CrossRef] [PubMed]
- Chhoda, A.; Rustagi, T. EUS-guided needle biopsy for autoimmune pancreatitis. Clin. J. Gastroenterol. 2020, 13, 669–677. [Google Scholar] [CrossRef] [PubMed]
- Yoon, S.B.; Moon, S.; Song, T.J.; Kim, J.H.; Kim, M. Endoscopic ultrasound-guided fine needle aspiration versus biopsy for diagnosis of autoimmune pancreatitis: Systematic review and comparative meta-analysis. Dig. Endosc. 2021, 33, 1024–1033. [Google Scholar] [CrossRef]
- Kanno, A.; Ikeda, E.; Ando, K.; Nagai, H.; Miwata, T.; Kawasaki, Y.; Tada, Y.; Yokoyama, K.; Numao, N.; Ushio, J.; et al. The Diagnosis of Autoimmune Pancreatitis Using Endoscopic Ultrasonography. Diagnostics 2020, 10, 1005. [Google Scholar] [CrossRef]
- Ishikawa, T.; Kawashima, H.; Ohno, E.; Mizutani, Y.; Fujishiro, M. Imaging diagnosis of autoimmune pancreatitis using endoscopic ultrasonography. J. Med. Ultrason. 2021, 48, 543–553. [Google Scholar] [CrossRef]


| Pancreas | Extrahepatic Bile Duct | Gallbladder | Lymph Nodes | Peripancreatic Vessels | |
|---|---|---|---|---|---|
| d-AIP | f-AIP | ||||
| Gland volume: diffuse enlargement | Gland volume: focal enlargement (within the pancreatic head in about 2/3 of cases) [37] | Caliber: dilated. | Wall: thickened. | Volume: enlarged (≥8 mm) [48] | The loss of interface between the pancreas and vessels of the portal system and potentially others [48] |
| Echotexture: diffuse hypoechogenicity, diffuse hypoechoic areas | Echotexture: focal or diffuse hypoechogenicity [48] | Wall: regular homogenous thickening typically with a hyper–hypo–hyperechoic series of layers (“sandwich pattern”) or parenchymal echo type [62] | Echotexture: hypoechoic | ||
| Parenchymal heterogeneity: hyperechoic foci, lobularity †,∆, hyperechoic strands ∆ | |||||
| MPD: hyperechoic margin [1], irregular narrowing | MPD: hyperechoic margin [1], irregular narrowing, upstream dilation [37,48] | ||||
| Peripancreatic changes: peripancreatic hypoechoic margin [37], lobular outer margin ∆ | Peripancreatic changes: lobular outer margin ∆ [37,47] | ||||
| AIP | Pancreatic Carcinoma | |
|---|---|---|
| Conventional EUS | Diffuse hypoechogenicity Diffuse or focal hypoechoic areas Hyperechoic foci/strands Lobularity Peripancreatic hypoechoic margin Duct-penetrating sign † Hyperechoic MPD margin Irregular MPD narrowing ∆ Bile duct wall thickening ° Lymphadenopathy ^ | Focal hypoechogenicity MPD dilation Vascular invasion |
| Contrast-enhanced EUS | Hyper-isoenhancement Homogeneous contrast agent distribution Absent irregular internal vessels [80] | Iso-hypoenhancement Arterial irregularity and absent venous vasculature [80] |
| Elastography | Homogeneous pattern (small spotted mainly blue) spread over the pancreatic parenchyma, not just at the mass [38] | Focal heterogeneous pattern (predominantly blue with small green areas and red lines and a geographic appearance) [113] |
| Level 1 | Level 2 | |
|---|---|---|
| AIP1 | LPSP At least 3 of the following: (1) Periductal lymphoplasmacytic infiltrate without granulocytic infiltration (2) Obliterative phlebitis (3) Storiform fibrosis (4) IgG4-positive cells > 10/HPF | LPSP Any 2 of the following: (1) Periductal lymphoplasmacytic infiltrate without granulocytic infiltration (2) Obliterative phlebitis (3) Storiform fibrosis (4) IgG4-positive cells > 10/HPF |
| AIP2 | IDCP Both of the following: (1) Granulocytic infiltration of duct wall with or without granulocytic acinar inflammation (2) Absent or scant (0–10 cells/HPF) IgG4-positive cells | Both of the following: (1) Granulocytic and lymphoplasmacytic acinar infiltration (2) Absent or scant (0–10 cells/HPF) IgG4-positive cells |
Disclaimer/Publisher’s Note: The statements, opinions and data contained in all publications are solely those of the individual author(s) and contributor(s) and not of MDPI and/or the editor(s). MDPI and/or the editor(s) disclaim responsibility for any injury to people or property resulting from any ideas, methods, instructions or products referred to in the content. |
© 2024 by the authors. Licensee MDPI, Basel, Switzerland. This article is an open access article distributed under the terms and conditions of the Creative Commons Attribution (CC BY) license (https://creativecommons.org/licenses/by/4.0/).
Share and Cite
Metelli, F.; Manfredi, G.; Pagano, N.; Buscarini, E.; Crinò, S.F.; Armellini, E. The Role of Endoscopic Ultrasound and Ancillary Techniques in the Diagnosis of Autoimmune Pancreatitis: A Comprehensive Review. Diagnostics 2024, 14, 1233. https://doi.org/10.3390/diagnostics14121233
Metelli F, Manfredi G, Pagano N, Buscarini E, Crinò SF, Armellini E. The Role of Endoscopic Ultrasound and Ancillary Techniques in the Diagnosis of Autoimmune Pancreatitis: A Comprehensive Review. Diagnostics. 2024; 14(12):1233. https://doi.org/10.3390/diagnostics14121233
Chicago/Turabian StyleMetelli, Flavio, Guido Manfredi, Nico Pagano, Elisabetta Buscarini, Stefano Francesco Crinò, and Elia Armellini. 2024. "The Role of Endoscopic Ultrasound and Ancillary Techniques in the Diagnosis of Autoimmune Pancreatitis: A Comprehensive Review" Diagnostics 14, no. 12: 1233. https://doi.org/10.3390/diagnostics14121233
APA StyleMetelli, F., Manfredi, G., Pagano, N., Buscarini, E., Crinò, S. F., & Armellini, E. (2024). The Role of Endoscopic Ultrasound and Ancillary Techniques in the Diagnosis of Autoimmune Pancreatitis: A Comprehensive Review. Diagnostics, 14(12), 1233. https://doi.org/10.3390/diagnostics14121233

