Few-Shot Learning for Medical Image Segmentation Using 3D U-Net and Model-Agnostic Meta-Learning (MAML)
Abstract
1. Introduction
- Utilizing the MAML algorithm with the enhanced 3D U-Net architecture for generalized few-shot medical image segmentation.
- Evaluating our proposed approach under 5-shot and 10-shot settings.
- Comparing our proposed approach with existing methods using five-shot settings.
- Testing the performance of the final models on local hospital data to demonstrate the model’s effectiveness in real-world scenarios.
2. Theoretical Background
2.1. Medical Image Segmentation
2.2. Computed Tomography
2.3. U-Net
2.4. Meta-Learning
2.4.1. Few-Shot Learning
2.4.2. Model-Agnostic Meta-Learning
| Algorithm 1 MAML Meta-Lerning |
| Input: : Inner learning rate, : Outer learning rate, : Variety of tasks |
Output: : Updated set of parameters
|
3. Literature Review
3.1. Medical Image Segmentation
3.2. Few-Shot Learning
3.2.1. Data-Level
3.2.2. Meta-Learning
3.3. Few-Shot Image Segmentation
3.4. Few-Shot Medical Image Segmentation
4. Methodology
4.1. The Proposed Architecture
4.2. Backbone Network
5. Experimental Results and Discussion
5.1. Datasets
5.1.1. TotalSegmentator Dataset
5.1.2. Hospital Dataset
5.2. Experimental Setup
5.2.1. Task Generation
5.2.2. Implementation
5.3. Meta-Training
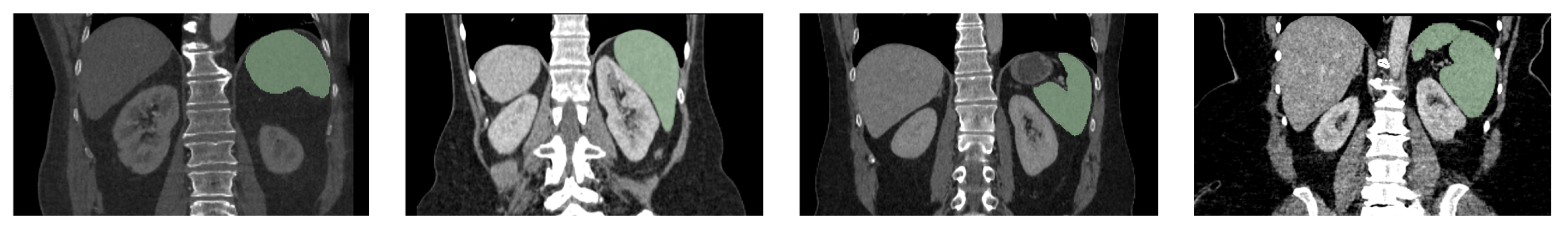
5.4. Results of 1-Way 10-Shot
5.5. Results of 1-Way 5-Shot
5.5.1. Comparison with Existing Medical Image Segmentation Methods
5.5.2. Evaluation on the Hospital Dataset
5.5.3. Robustness to Noise
5.5.4. Method Efficiency
5.6. Discussion
6. Conclusions
Author Contributions
Funding
Institutional Review Board Statement
Informed Consent Statement
Data Availability Statement
Conflicts of Interest
References
- Islam, S.M.S.; Nasim, M.A.A.; Hossain, I.; Ullah, D.M.A.; Gupta, D.K.D.; Bhuiyan, M.M.H. Introduction of Medical Imaging Modalities. In Data Driven Approaches on Medical Imaging; Springer: Cham, Switzerland, 2023; pp. 1–25. [Google Scholar]
- Webb, A. Introduction to Biomedical Imaging; John Wiley & Sons: Hoboken, NJ, USA, 2022. [Google Scholar]
- Hussain, S.; Mubeen, I.; Ullah, N.; Shah, S.S.U.D.; Khan, B.A.; Zahoor, M.; Ullah, R.; Khan, F.A.; Sultan, M.A. Modern diagnostic imaging technique applications and risk factors in the medical field: A review. BioMed Res. Int. 2022, 2022, 5164970. [Google Scholar] [CrossRef] [PubMed]
- Panayides, A.S.; Amini, A.; Filipovic, N.D.; Sharma, A.; Tsaftaris, S.A.; Young, A.; Foran, D.; Do, N.; Golemati, S.; Kurc, T.; et al. AI in medical imaging informatics: Current challenges and future directions. IEEE J. Biomed. Health Inform. 2020, 24, 1837–1857. [Google Scholar] [CrossRef]
- Wang, R.; Lei, T.; Cui, R.; Zhang, B.; Meng, H.; Nandi, A.K. Medical image segmentation using deep learning: A survey. IET Image Process. 2022, 16, 3523–3542. [Google Scholar] [CrossRef]
- Bahadure, N.B.; Ray, A.K.; Thethi, H.P. Image analysis for MRI based brain tumor detection and feature extraction using biologically inspired BWT and SVM. Int. J. Biomed. Imaging 2017, 2017, 9749108. [Google Scholar] [CrossRef] [PubMed]
- Zambrano-Vizuete, M.; Botto-Tobar, M.; Huerta-Suárez, C.; Paredes-Parada, W.; Patiño Pérez, D.; Ahanger, T.A.; Gonzalez, N. Segmentation of medical image using novel dilated ghost deep learning model. Comput. Intell. Neurosci. 2022, 2022, 6872045. [Google Scholar] [CrossRef] [PubMed]
- Thambawita, V.; Salehi, P.; Sheshkal, S.A.; Hicks, S.A.; Hammer, H.L.; Parasa, S.; Lange, T.D.; Halvorsen, P.; Riegler, M.A. SinGAN-Seg: Synthetic training data generation for medical image segmentation. PLoS ONE 2022, 17, e0267976. [Google Scholar] [CrossRef]
- Liu, X.; Song, L.; Liu, S.; Zhang, Y. A review of deep-learning-based medical image segmentation methods. Sustainability 2021, 13, 1224. [Google Scholar] [CrossRef]
- Jaiswal, A.; Babu, A.R.; Zadeh, M.Z.; Banerjee, D.; Makedon, F. A survey on contrastive self-supervised learning. Technologies 2020, 9, 2. [Google Scholar] [CrossRef]
- Khadka, R.; Jha, D.; Hicks, S.; Thambawita, V.; Riegler, M.A.; Ali, S.; Halvorsen, P. Meta-learning with implicit gradients in a few-shot setting for medical image segmentation. Comput. Biol. Med. 2022, 143, 105227. [Google Scholar] [CrossRef] [PubMed]
- Wang, Y.; Yao, Q.; Kwok, J.T.; Ni, L.M. Generalizing from a few examples: A survey on few-shot learning. ACM Comput. Surv. (CSUR) 2020, 53, 1–34. [Google Scholar] [CrossRef]
- Wang, X.; Wang, H.; Zhou, D. Feature transformation network for few-shot learning. IEEE Access 2021, 9, 41913–41924. [Google Scholar] [CrossRef]
- Finn, C.; Abbeel, P.; Levine, S. Model-agnostic meta-learning for fast adaptation of deep networks. In Proceedings of the 2017 International Conference on Machine Learning (ICML), Sydney, Australia, 6–11 August 2017; pp. 1126–1135. [Google Scholar]
- Zhang, J.; Xie, Y.; Wu, Q.; Xia, Y. Medical image classification using synergic deep learning. Med. Image Anal. 2019, 54, 10–19. [Google Scholar] [CrossRef] [PubMed]
- Khouloud, S.; Ahlem, M.; Fadel, T.; Amel, S. W-net and inception residual network for skin lesion segmentation and classification. Appl. Intell. 2022, 52, 3976–3994. [Google Scholar] [CrossRef]
- Kerfoot, E.; Clough, J.; Oksuz, I.; Lee, J.; King, A.P.; Schnabel, J.A. Left-ventricle quantification using residual U-Net. In Statistical Atlases and Computational Models of the Heart. Atrial Segmentation and LV Quantification Challenges: 9th International Workshop, STACOM 2018, Held in with MICCAI 2018, Granada, Spain, 16 September 2018; Revised Selected Papers 9; Springer: Cham, Switzerland, 2019; pp. 371–380. [Google Scholar]
- Aljabri, M.; AlGhamdi, M. A review on the use of deep learning for medical images segmentation. Neurocomputing 2022, 506, 311–335. [Google Scholar] [CrossRef]
- Polinati, S.; Dhuli, R. A review on multi-model medical image fusion. In Proceedings of the 2019 International Conference on Communication and Signal Processing (ICCSP), Chennai, India, 4–6 April 2019; pp. 554–558. [Google Scholar]
- Haque, I.R.I.; Neubert, J. Deep learning approaches to biomedical image segmentation. Inform. Med. Unlocked 2020, 18, 100297. [Google Scholar] [CrossRef]
- Jung, H. Basic physical principles and clinical applications of computed tomography. Prog. Med. Phys. 2021, 32, 1–17. [Google Scholar] [CrossRef]
- Halford, J.J.; Clunie, D.A.; Brinkmann, B.H.; Krefting, D.; Rémi, J.; Rosenow, F.; Husain, A.; Fürbass, F.; Ehrenberg, J.A.; Winkler, S. Standardization of neurophysiology signal data into the DICOM® standard. Clin. Neurophysiol. 2021, 132, 993–997. [Google Scholar] [CrossRef] [PubMed]
- Basheer, S.; Singh, K.U.; Sharma, V.; Bhatia, S.; Pande, N.; Kumar, A. A robust NIfTI image authentication framework to ensure reliable and safe diagnosis. PeerJ Comput. Sci. 2023, 9, e1323. [Google Scholar] [CrossRef] [PubMed]
- Larobina, M.; Murino, L. Medical image file formats. J. Digit. Imaging 2014, 27, 200–206. [Google Scholar] [CrossRef]
- Fedorov, A.; Beichel, R.; Kalpathy-Cramer, J.; Finet, J.; Fillion-Robin, J.C.; Pujol, S.; Bauer, C.; Jennings, D.; Fennessy, F.; Sonka, M.; et al. 3D Slicer as an image computing platform for the Quantitative Imaging Network. Magn. Reson. Imaging 2012, 30, 1323–1341. [Google Scholar] [CrossRef]
- Cardoso, M.J.; Li, W.; Brown, R.; Ma, N.; Kerfoot, E.; Wang, Y.; Murrey, B.; Myronenko, A.; Zhao, C.; Yang, D.; et al. Monai: An open-source framework for deep learning in healthcare. arXiv 2022, arXiv:2211.02701. [Google Scholar]
- Ronneberger, O.; Fischer, P.; Brox, T. U-net: Convolutional networks for biomedical image segmentation. In Proceedings of the 2015 International Conference on Medical Image Computing and Computer-Assisted Intervention, Munich, Germany, 5–9 October 2015; pp. 234–241. [Google Scholar]
- Siddique, N.; Paheding, S.; Elkin, C.P.; Devabhaktuni, V. U-net and its variants for medical image segmentation: A review of theory and applications. IEEE Access 2021, 75, 82031–82057. [Google Scholar] [CrossRef]
- Duanmu, H.; Kim, J.; Kanakaraj, P.; Wang, A.; Joshua, J.; Kong, J.; Wang, F. Automatic brain organ segmentation with 3D fully convolutional neural network for radiation therapy treatment planning. In Proceedings of the 2020 IEEE 17th International Symposium on Biomedical Imaging (ISBI), Iowa City, IA, USA, 3–7 April 2020; pp. 758–762. [Google Scholar]
- Falk, T.; Mai, D.; Bensch, R.; Çiçek, Ö.; Abdulkadir, A.; Marrakchi, Y.; Böhm, A.; Deubner, J.; Jäckel, Z.; Seiwald, K.; et al. U-Net: Deep learning for cell counting, detection, and morphometry. Nat. Methods 2019, 16, 67–70. [Google Scholar] [CrossRef] [PubMed]
- Ibrahim, S.M.; Ibrahim, M.S.; Usman, M.; Naseem, I.; Moinuddin, M. A study on heart segmentation using deep learning algorithm for mri scans. In Proceedings of the 2019 13th International Conference on Mathematics, Actuarial Science, Computer Science and Statistics (MACS 2019), Karachi, Pakistan, 14–15 December 2019; pp. 1–5. [Google Scholar]
- Yang, T.; Song, J. An automatic brain tumor image segmentation method based on the u-net. In Proceedings of the 2018 IEEE 4th International Conference on Computer and Communications (ICCC 2018), Chengdu, China, 7–10 December 2018; pp. 1600–1604. [Google Scholar]
- He, K.; Zhang, X.; Ren, S.; Sun, J. Deep residual learning for image recognition. In Proceedings of the IEEE Conference on Computer Vision and Pattern Recognition, Las Vegas, NV, USA, 27–30 June 2016; pp. 770–778. [Google Scholar]
- Hatamizadeh, A.; Tang, Y.; Nath, V.; Yang, D.; Myronenko, A.; Landman, B.; Roth, H.R.; Xu, D. Unetr: Transformers for 3d medical image segmentation. In Proceedings of the IEEE/CVF Winter Conference on Applications of Computer Vision, Waikoloa, HI, USA, 3–8 January 2022; pp. 574–584. [Google Scholar]
- Jafari, M.; Auer, D.; Francis, S.; Garibaldi, J.; Chen, X. DRU-Net: An efficient deep convolutional neural network for medical image segmentation. In Proceedings of the 2020 IEEE 17th International Symposium on Biomedical Imaging (ISBI 2020), Iowa City, IA, USA, 3–7 April 2020; pp. 1144–1148. [Google Scholar]
- Liu, S.; Xu, D.; Zhou, S.K.; Pauly, O.; Grbic, S.; Mertelmeier, T.; Wicklein, J.; Jerebko, A.; Cai, W.; Comaniciu, D. 3D anisotropic hybrid network: Transferring convolutional features from 2D images to 3D anisotropic volumes. In Medical Image Computing and Computer Assisted Intervention—MICCAI 2018: 21st International Conference, Granada, Spain, 16–20 September 2018; Proceedings, Part II 11; Springer: Cham, Switzerland, 2018; pp. 851–858. [Google Scholar]
- Kamiya, N. Deep learning technique for musculoskeletal analysis. In Deep Learning in Medical Image Analysis: Challenges and Applications; Springer: Cham, Switzerland, 2020; pp. 165–176. [Google Scholar]
- Huang, C.; Han, H.; Yao, Q.; Zhu, S.; Zhou, S.K. 3D U 2-Net: A 3D universal U-Net for multi-domain medical image segmentation. In Proceedings of the International Conference on Medical Image Computing and Computer-Assisted Intervention, Shenzhen, China, 13–17 October 2019; Springer: Berlin/Heidelberg, Germany, 2019; pp. 291–299. [Google Scholar]
- Dong, H.; Yu, F.; Jiang, H.; Zhang, H.; Dong, B.; Li, Q.; Zhang, L. Annotation-Free Gliomas Segmentation Based on a Few Labeled General Brain Tumor Images. In Proceedings of the 2020 IEEE 17th International Symposium on Biomedical Imaging (ISBI 2020), Iowa City, IA, USA, 3–7 April 2020; pp. 354–358. [Google Scholar]
- Chen, C.; Dou, Q.; Chen, H.; Qin, J.; Heng, P.A. Unsupervised bidirectional cross-modality adaptation via deeply synergistic image and feature alignment for medical image segmentation. IEEE Trans. Med. Imaging 2020, 39, 2494–2505. [Google Scholar] [CrossRef]
- Peng, H. A Brief Summary of Interactions Between Meta-Learning and Self-Supervised Learning. arXiv 2021, arXiv:2103.00845. [Google Scholar]
- Ma, Y.; Hua, Y.; Deng, H.; Song, T.; Wang, H.; Xue, Z.; Cao, H.; Ma, R.; Guan, H. Self-Supervised Vessel Segmentation via Adversarial Learning. In Proceedings of the IEEE/CVF International Conference on Computer Vision (CVPR 2021), Nashville, TN, USA, 10–17 October 2021; pp. 7536–7545. [Google Scholar]
- Zhang, L.; Gopalakrishnan, V.; Lu, L.; Summers, R.M.; Moss, J.; Yao, J. Self-learning to detect and segment cysts in lung CT images without manual annotation. In Proceedings of the 2018 IEEE 15th International Symposium on Biomedical Imaging (ISBI 2018), Washington, DC, USA, 4–7 April 2018; pp. 1100–1103. [Google Scholar]
- Li, K.; Zhang, Y.; Li, K.; Fu, Y. Adversarial feature hallucination networks for few-shot learning. In Proceedings of the IEEE/CVF Conference on Computer Vision and Pattern Recognition (CVPR 2020), Seattle, WA, USA, 13–19 June 2020; pp. 13470–13479. [Google Scholar]
- Chen, X.; Li, Y.; Yao, L.; Adeli, E.; Zhang, Y. Generative adversarial U-Net for domain-free medical image augmentation. arXiv 2021, arXiv:2101.04793. [Google Scholar]
- Kumar, V.; Glaude, H.; Campbell, W.M. A Closer Look At Feature Space Data Augmentation For Few-Shot Intent Classification. In Proceedings of the 2nd Workshop on Deep Learning Approaches for Low-Resource NLP (DeepLo), Hong Kong, China, 3 November 2019; pp. 1–10. [Google Scholar]
- Santoro, A.; Bartunov, S.; Botvinick, M.; Wierstra, D.; Lillicrap, T. Meta-learning with memory-augmented neural networks. In Proceedings of the 2016 the 33rd International Conference on Machine Learning (ICML 2016), New York City, NY, USA, 19–24 June 2016; pp. 1842–1850. [Google Scholar]
- Kuśmirek, W.; Szmurło, A.; Wiewiórka, M.; Nowak, R.; Gambin, T. Comparison of kNN and k-means optimization methods of reference set selection for improved CNV callers performance. BMC Bioinform. 2019, 20, 266. [Google Scholar] [CrossRef]
- MacQueen, J. Some methods for classification and analysis of multivariate observations. In Proceedings of the fifth Berkeley Symposium on Mathematical Statistics and Probability, Oakland, CA, USA, 21 June–18 July 1967; Volume 1, pp. 281–297. [Google Scholar]
- Wang, B.; Wang, D. Plant leaves classification: A few-shot learning method based on siamese network. IEEE Access 2019, 7, 151754–151763. [Google Scholar] [CrossRef]
- Li, H.; Eigen, D.; Dodge, S.; Zeiler, M.; Wang, X. Finding task-relevant features for few-shot learning by category traversal. In Proceedings of the IEEE/CVF Conference on Computer Vision and Pattern Recognition (CVPR 2019), Long Beach, CA, USA, 15–20 June 2019; pp. 1–10. [Google Scholar]
- Wu, Z.; Li, Y.; Guo, L.; Jia, K. Parn: Position-aware relation networks for few-shot learning. In Proceedings of the IEEE/CVF International Conference on Computer Vision (CVPR 2019), Long Beach, CA, USA, 27 October–2 November 2019; pp. 6659–6667. [Google Scholar]
- Li, A.; Huang, W.; Lan, X.; Feng, J.; Li, Z.; Wang, L. Boosting few-shot learning with adaptive margin loss. In Proceedings of the IEEE/CVF Conference on Computer Vision and Pattern Recognition (CVPR 2020), Seattle, WA, USA, 13–19 June 2020; pp. 12576–12584. [Google Scholar]
- Zhong, Q.; Chen, L.; Qian, Y. Few-shot learning for remote sensing image retrieval with maml. In Proceedings of the 2020 IEEE International Conference on Image Processing (ICIP 2020), Abu Dhabi, United Arab Emirates, 25–28 October 2020; pp. 2446–2450. [Google Scholar]
- Wang, K.; Liew, J.H.; Zou, Y.; Zhou, D.; Feng, J. Panet: Few-shot image semantic segmentation with prototype alignment. In Proceedings of the IEEE/CVF International Conference on Computer Vision (ICCV 2019), Seoul, Republic of Korea, 27 October–2 November 2019; pp. 9197–9206. [Google Scholar]
- Lu, H.; Wei, C.; Deng, Z. Learning with Memory For Few-Shot Semantic Segmentation. In Proceedings of the 2021 IEEE International Conference on Image Processing (ICIP 2021), Anchorage, AK, USA, 19–22 September 2021; pp. 629–633. [Google Scholar]
- Cao, Z.; Zhang, T.; Diao, W.; Zhang, Y.; Lyu, X.; Fu, K.; Sun, X. Meta-seg: A generalized meta-learning framework for multi-class few-shot semantic segmentation. IEEE Access 2019, 7, 166109–166121. [Google Scholar] [CrossRef]
- Zhao, A.; Balakrishnan, G.; Durand, F.; Guttag, J.V.; Dalca, A.V. Data augmentation using learned transformations for one-shot medical image segmentation. In Proceedings of the IEEE/CVF Conference on Computer Vision and Pattern Recognition (CVPR 2019), Long Beach, CA, USA, 15–20 June 2019; pp. 8543–8553. [Google Scholar]
- Feng, R.; Zheng, X.; Gao, T.; Chen, J.; Wang, W.; Chen, D.Z.; Wu, J. Interactive Few-Shot Learning: Limited Supervision, Better Medical Image Segmentation. IEEE Trans. Med. Imaging 2021, 40, 2575–2588. [Google Scholar] [CrossRef]
- Tomar, D.; Bozorgtabar, B.; Lortkipanidze, M.; Vray, G.; Rad, M.S.; Thiran, J.P. Self-Supervised Generative Style Transfer for One-Shot Medical Image Segmentation. In Proceedings of the 2022 IEEE/CVF Winter Conference on Applications of Computer Vision (WACV 2022), Waikoloa, HI, USA, 3–8 January 2022; pp. 1998–2008. [Google Scholar]
- Gama, P.H.; Oliveira, H.; dos Santos, J.A. Learning to Segment Medical Images from Few-Shot Sparse Labels. In Proceedings of the 2021 34th SIBGRAPI Conference on Graphics, Patterns and Images (SIBGRAPI) Gramado, Rio Grande do Sul, Brazil, 18–22 October 2021; pp. 89–96. [Google Scholar]
- Azad, R.; Aghdam, E.K.; Rauland, A.; Jia, Y.; Avval, A.H.; Bozorgpour, A.; Karimijafarbigloo, S.; Cohen, J.P.; Adeli, E.; Merhof, D. Medical image segmentation review: The success of u-net. arXiv 2022, arXiv:2211.14830. [Google Scholar]
- Çiçek, Ö.; Abdulkadir, A.; Lienkamp, S.S.; Brox, T.; Ronneberger, O. 3D U-Net: Learning dense volumetric segmentation from sparse annotation. In Medical Image Computing and Computer-Assisted Intervention—MICCAI 2016: 19th International Conference, Athens, Greece, 17–21 October 2016; Proceedings, Part II 19; Springer: Cham, Switzerland, 2016; pp. 424–432. [Google Scholar]
- Sivadas, S.; Wu, Z.; Bin, M. Investigation of parametric rectified linear units for noise robust speech recognition. In Proceedings of the Sixteenth Annual Conference of the International Speech Communication Association, Dresden, Germany, 6–10 September 2015. [Google Scholar]
- Salehin, I.; Kang, D.K. A Review on Dropout Regularization Approaches for Deep Neural Networks within the Scholarly Domain. Electronics 2023, 12, 3106. [Google Scholar] [CrossRef]
- Bjorck, N.; Gomes, C.P.; Selman, B.; Weinberger, K.Q. Understanding batch normalization. In Proceedings of the 32nd Conference on Neural Information Processing Systems (NeurIPS 2018), Montréal, QC, Canada, 3–8 December 2018; Volume 31. [Google Scholar]
- Wasserthal, J.; Breit, H.C.; Meyer, M.T.; Pradella, M.; Hinck, D.; Sauter, A.W.; Heye, T.; Boll, D.T.; Cyriac, J.; Yang, S.; et al. Totalsegmentator: Robust segmentation of 104 anatomic structures in ct images. Radiol. Artif. Intell. 2023, 5, e230024. [Google Scholar] [CrossRef] [PubMed]













| Patient Number | Gender | Age |
|---|---|---|
| 1 | Male | 41 |
| 2 | Female | 29 |
| 3 | Male | 27 |
| 4 | Male | 32 |
| 5 | Female | 38 |
| E | Meta-Training | Meta-Testing | |||||||
|---|---|---|---|---|---|---|---|---|---|
| Task1 | Task2 | Task3 | Support-Set | Query-Set | Testing | Task4 | Training | Testing | |
| 1 | Spleen | L Kidney | R Kidney | 10 | 10 | 10 | Liver | 10/5 | 10 |
| 2 | Liver | L Kidney | R Kidney | 10 | 10 | 10 | Spleen | 10/5 | 10 |
| 3 | Liver | Spleen | L Kidney | 10 | 10 | 10 | R Kidney | 10/5 | 10 |
| 4 | Liver | Spleen | R Kidney | 10 | 10 | 10 | L Kidney | 10/5 | 10 |
| Parameter | Value |
|---|---|
| Batch size | 1 |
| Dropout | 0.1 |
| Optimizer | Adam |
| 1 × 10−4 | |
| 1 × 10−6 | |
| Weight decay | 1 × 10−5 |
| Method | Liver | Spleen | R Kidney | L Kidney | Mean |
|---|---|---|---|---|---|
| DSC | 93.70 | 85.98 | 81.20 | 89.58 | 87.62 |
| IoU | 88.95 | 78.80 | 72.99 | 82.89 | 80.91 |
| HD | 20.55 | 10.03 | 14.53 | 2.92 | 12.01 |
| k | Liver | Spleen | R Kidney | L Kidney | Mean |
|---|---|---|---|---|---|
| 10 | 93.70 | 85.98 | 81.20 | 89.58 | 87.64 |
| 5 | 90.27 | 83.89 | 77.53 | 87.01 | 84.68 |
| 3.43 | 2.09 | 3.67 | 2.57 | 2.94 |
| Method | Liver | Spleen | R Kidney | L Kidney | Mean |
|---|---|---|---|---|---|
| AHNet [36] | 58.96 | 47.51 | 47.02 | 46.93 | 50.11 |
| Basic U-Net [30] | 76.21 | 68.08 | 65.38 | 71.10 | 70.19 |
| U-Net [17] | 86.40 | 67.76 | 52.24 | 53.99 | 65.10 |
| UNETR [34] | 88.29 | 63.23 | 57.69 | 63.42 | 68.16 |
| Our Approach | 90.27 | 83.89 | 77.53 | 87.01 | 84.68 |
| Method | Liver | Spleen | R Kidney | L Kidney | Mean |
|---|---|---|---|---|---|
| AHNet | 75.36 | 91.76 | 87.58 | 84.75 | 84.86 |
| Basic U-Net | 57.48 | 66.86 | 64.75 | 43.66 | 58.19 |
| U-Net | 31.04 | 88.42 | 80.41 | 78.38 | 69.56 |
| UNETR | 36.84 | 63.03 | 70.21 | 59.74 | 57.45 |
| Our Approach | 15.01 | 07.84 | 19.14 | 05.70 | 11.92 |
| Metric | Liver | Spleen | R Kidney | L Kidney | Mean |
|---|---|---|---|---|---|
| DSC | 90.62 | 79.86 | 79.87 | 78.21 | 82.14 |
| IoU | 84.18 | 72.45 | 71.75 | 71.27 | 74.91 |
| HD | 7.77 | 6.84 | 14.85 | 9.88 | 9.84 |
| Metric | Liver | Spleen | R Kidney | L Kidney | Mean |
|---|---|---|---|---|---|
| DSC | 90.66 | 79.71 | 79.92 | 78.41 | 82.12 |
| IoU | 84.23 | 72.36 | 71.79 | 71.44 | 74.96 |
| HD | 7.67 | 6.86 | 11.48 | 9.74 | 8.94 |
| Method | Liver | Spleen | R Kidney | L Kidney | Mean |
|---|---|---|---|---|---|
| AHNet | 184.3 | 176.2 | 175 | 232.5 | 192 |
| Basic U-Net | 46.9 | 50.2 | 63.4 | 48.4 | 52.225 |
| U-Net | 58.4 | 111.8 | 79.2 | 94.1 | 85.875 |
| UNETR | 251.4 | 189.3 | 183.6 | 214.8 | 209.775 |
| Our Approach | 18.2 | 21.8 | 10.1 | 22.7 | 18.2 |
| Method | Number of Parameters |
|---|---|
| AHNet | 38,134,944 |
| Basic U-Net | 5,749,410 |
| U-Net | 4,808,917 |
| UNETR | 93,404,386 |
| Our Method | 4,808,917 |
Disclaimer/Publisher’s Note: The statements, opinions and data contained in all publications are solely those of the individual author(s) and contributor(s) and not of MDPI and/or the editor(s). MDPI and/or the editor(s) disclaim responsibility for any injury to people or property resulting from any ideas, methods, instructions or products referred to in the content. |
© 2024 by the authors. Licensee MDPI, Basel, Switzerland. This article is an open access article distributed under the terms and conditions of the Creative Commons Attribution (CC BY) license (https://creativecommons.org/licenses/by/4.0/).
Share and Cite
Alsaleh, A.M.; Albalawi, E.; Algosaibi, A.; Albakheet, S.S.; Khan, S.B. Few-Shot Learning for Medical Image Segmentation Using 3D U-Net and Model-Agnostic Meta-Learning (MAML). Diagnostics 2024, 14, 1213. https://doi.org/10.3390/diagnostics14121213
Alsaleh AM, Albalawi E, Algosaibi A, Albakheet SS, Khan SB. Few-Shot Learning for Medical Image Segmentation Using 3D U-Net and Model-Agnostic Meta-Learning (MAML). Diagnostics. 2024; 14(12):1213. https://doi.org/10.3390/diagnostics14121213
Chicago/Turabian StyleAlsaleh, Aqilah M., Eid Albalawi, Abdulelah Algosaibi, Salman S. Albakheet, and Surbhi Bhatia Khan. 2024. "Few-Shot Learning for Medical Image Segmentation Using 3D U-Net and Model-Agnostic Meta-Learning (MAML)" Diagnostics 14, no. 12: 1213. https://doi.org/10.3390/diagnostics14121213
APA StyleAlsaleh, A. M., Albalawi, E., Algosaibi, A., Albakheet, S. S., & Khan, S. B. (2024). Few-Shot Learning for Medical Image Segmentation Using 3D U-Net and Model-Agnostic Meta-Learning (MAML). Diagnostics, 14(12), 1213. https://doi.org/10.3390/diagnostics14121213

