Diagnostic Role of Multi-Detector Computed Tomography in Acute Mesenteric Ischemia
Abstract
1. Introduction
2. MDCTA Technical Consideration
3. Intestinal Vascular Supply
4. Mesenteric Ischemia CT Patterns
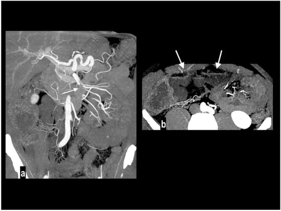
4.1. CT Vessel Findings
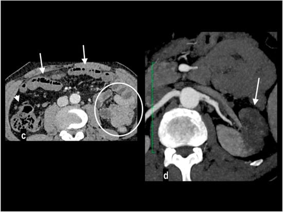
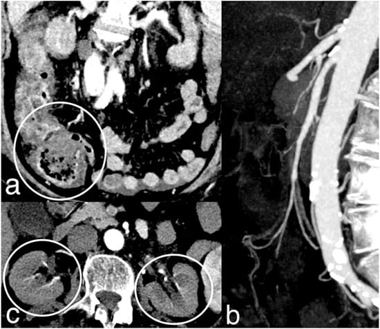
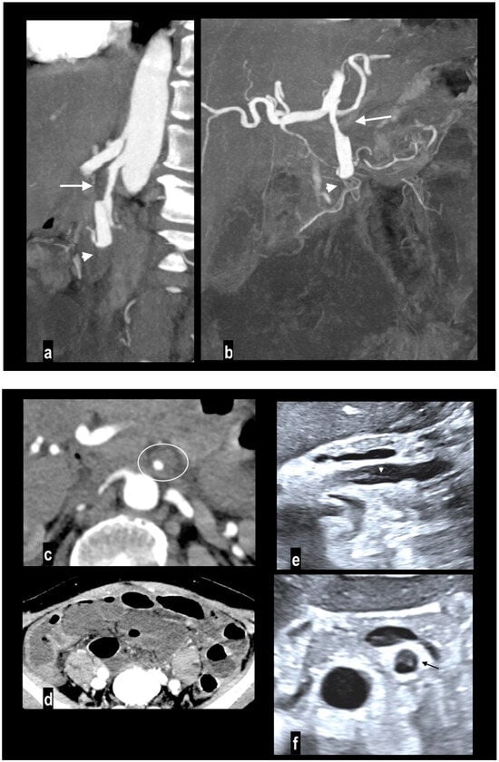
4.1.1. Acute Arterial Mesenteric Ischemia
4.1.2. Nonocclusive Mesenteric Ischemia
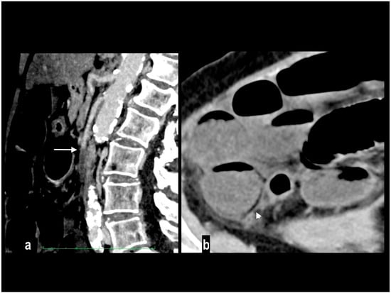
4.1.3. Veno-Occlusive Acute Mesenteric Ischemia
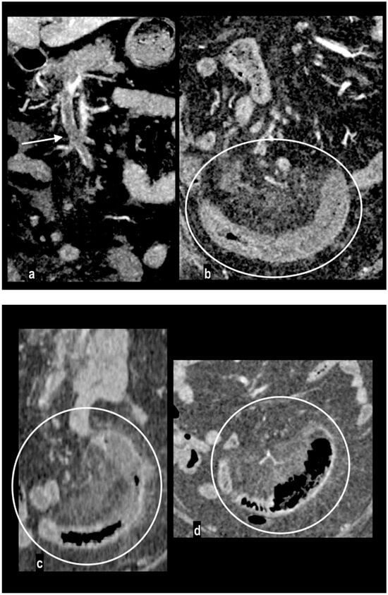
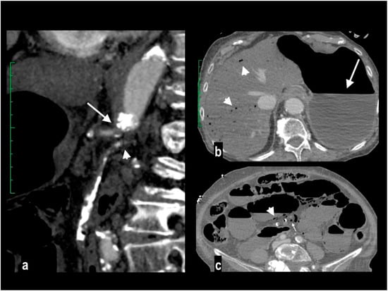
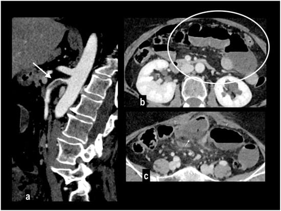
4.2. Bowel Findings
4.3. Extraintestinal Findings
5. Conclusions
Author Contributions
Funding
Institutional Review Board Statement
Informed Consent Statement
Data Availability Statement
Conflicts of Interest
References
- Monita, M.M.; Gonzalez, L. Acute Mesenteric Ischemia; StatPearls: Treasure Island, FL, USA, 2024. [Google Scholar]
- Olson, M.C.; Bach, C.R.; Wells, M.L.; Andrews, J.C.; Khandelwal, A.; Welle, C.L.; Fidler, J.L. Imaging of Bowel Ischemia: An Update, From the AJR Special Series on Emergency Radiology. AJR Am. J. Roentgenol. 2023, 220, 173–185. [Google Scholar] [CrossRef] [PubMed]
- Oldenburg, W.A.; Lau, L.L.; Rodenberg, T.J.; Edmonds, H.J.; Burger, C.D. Acute mesenteric ischemia: A clinical review. Arch. Intern. Med. 2004, 164, 1054–1062. [Google Scholar] [CrossRef] [PubMed]
- Cudnik, M.T.; Darbha, S.; Jones, J.; Macedo, J.; Stockton, S.W.; Hiestand, B.C. The diagnosis of acute mesenteric ischemia: A systematic review and meta-analysis. Acad. Emerg. Med. 2013, 20, 1087–1100. [Google Scholar] [CrossRef]
- McKinsey, J.F.; Gewertz, B.L. Acute mesenteric ischemia. Surg. Clin. N. Am. 1997, 77, 307–318. [Google Scholar] [CrossRef] [PubMed]
- Yu, H.; Kirkpatrick, I.D.C. An Update on Acute Mesenteric Ischemia. Can. Assoc. Radiol. J. 2023, 74, 160–171. [Google Scholar] [CrossRef] [PubMed]
- Wasnik, A.; Kaza, R.K.; Al-Hawary, M.M.; Liu, P.S.; Platt, J.F. Multidetector CT imaging in mesenteric ischemia—Pearls and pitfalls. Emerg. Radiol. 2011, 18, 145–156. [Google Scholar] [CrossRef] [PubMed]
- Davarpanah, A.H.; Ghamari Khameneh, A.; Khosravi, B.; Mir, A.; Saffar, H.; Radmard, A.R. Many faces of acute bowel ischemia: Overview of radiologic staging. Insights Imaging 2021, 12, 56. [Google Scholar] [CrossRef]
- Bala, M.; Catena, F.; Kashuk, J.; De Simone, B.; Gomes, C.A.; Weber, D.; Sartelli, M.; Coccolini, F.; Kluger, Y.; Abu-Zidan, F.M.; et al. Acute mesenteric ischemia: Updated guidelines of the World Society of Emergency Surgery. World J. Emerg. Surg. 2022, 17, 54. [Google Scholar] [CrossRef] [PubMed]
- Matkovic, Z.; Aleksic, Z. Medical, Surgical and Experimental Approaches to Acute Mesenteric Ischemia and Reperfusion. Mater. Sociomed. 2024, 36, 77–81. [Google Scholar] [CrossRef]
- Treskes, N.; Persoon, A.M.; van Zanten, A.R.H. Diagnostic accuracy of novel serological biomarkers to detect acute mesenteric ischemia: A systematic review and meta-analysis. Intern. Emerg. Med. 2017, 12, 821–836. [Google Scholar] [CrossRef]
- Bourcier, S.; Ulmann, G.; Jamme, M.; Savary, G.; Paul, M.; Benghanem, S.; Lavillegrand, J.R.; Schmidt, M.; Luyt, C.E.; Maury, E.; et al. A multicentric prospective observational study of diagnosis and prognosis features in ICU mesenteric ischemia: The DIAGOMI study. Ann. Intensive Care 2022, 12, 113. [Google Scholar] [CrossRef] [PubMed]
- McCarthy, E.; Little, M.; Briggs, J.; Sutcliffe, J.; Tapping, C.R.; Patel, R.; Bratby, M.J.; Uberoi, R. Radiology and mesenteric ischaemia. Clin. Radiol. 2015, 70, 698–705. [Google Scholar] [CrossRef] [PubMed]
- Tamburrini, S.; Serra, N.; Lugara, M.; Mercogliano, G.; Liguori, C.; Toro, G.; Somma, F.; Mandato, Y.; Guerra, M.V.; Sarti, G.; et al. Ultrasound Signs in the Diagnosis and Staging of Small Bowel Obstruction. Diagnostics 2020, 10, 277. [Google Scholar] [CrossRef] [PubMed]
- Shih, M.C.; Angle, J.F.; Leung, D.A.; Cherry, K.J.; Harthun, N.L.; Matsumoto, A.H.; Hagspiel, K.D. CTA and MRA in mesenteric ischemia: Part 2, Normal findings and complications after surgical and endovascular treatment. AJR Am. J. Roentgenol. 2007, 188, 462–471. [Google Scholar] [CrossRef] [PubMed]
- Nuzzo, A.; Peoc’h, K.; Vaittinada Ayar, P.; Tran-Dinh, A.; Weiss, E.; Panis, Y.; Ronot, M.; Garzelli, L.; Eloy, P.; Ben Abdallah, I.; et al. Improving clinical suspicion of acute mesenteric ischemia among patients with acute abdomen: A cross-sectional study from an intestinal stroke center. World J. Emerg. Surg. 2023, 18, 37. [Google Scholar] [CrossRef]
- Garzelli, L.; Ben Abdallah, I.; Nuzzo, A.; Zappa, M.; Corcos, O.; Dioguardi Burgio, M.; Cazals-Hatem, D.; Rautou, P.E.; Vilgrain, V.; Calame, P.; et al. Insights into acute mesenteric ischaemia: An up-to-date, evidence-based review from a mesenteric stroke centre unit. Br. J. Radiol. 2023, 96, 20230232. [Google Scholar] [CrossRef]
- Najdawi, M.; Garzelli, L.; Nuzzo, A.; Huguet, A.; Raynaud, L.; Paulatto, L.; Panis, Y.; Ben Abdallah, I.; Castier, Y.; Sibert, A.; et al. Endovascular revascularization of acute arterial mesenteric ischemia: Report of a 3-year experience from an intestinal stroke center unit. Eur. Radiol. 2022, 32, 5606–5615. [Google Scholar] [CrossRef]
- Nuzzo, A.; Maggiori, L.; Ronot, M.; Becq, A.; Plessier, A.; Gault, N.; Joly, F.; Castier, Y.; Vilgrain, V.; Paugam, C.; et al. Predictive Factors of Intestinal Necrosis in Acute Mesenteric Ischemia: Prospective Study from an Intestinal Stroke Center. Am. J. Gastroenterol. 2017, 112, 597–605. [Google Scholar] [CrossRef]
- Dhatt, H.S.; Behr, S.C.; Miracle, A.; Wang, Z.J.; Yeh, B.M. Radiological Evaluation of Bowel Ischemia. Radiol. Clin. N. Am. 2015, 53, 1241–1254. [Google Scholar] [CrossRef]
- Nakamura, Y.; Kondo, S.; Narita, K.; Maeda, S.; Fonseca, D.; Honda, Y.; Tani, C.; Fukumoto, W.; Mitani, H.; Ishibashi, M.; et al. Understanding CT imaging findings based on the underlying pathophysiology in patients with small bowel ischemia. Jpn. J. Radiol. 2023, 41, 353–366. [Google Scholar] [CrossRef]
- Abu-Omar, A.; Murray, N.; Ali, I.T.; Khosa, F.; Barrett, S.; Sheikh, A.; Nicolaou, S.; Tamburrini, S.; Iacobellis, F.; Sica, G.; et al. Utility of Dual-Energy Computed Tomography in Clinical Conundra. Diagnostics 2024, 14, 775. [Google Scholar] [CrossRef] [PubMed]
- Tilsed, J.V.; Casamassima, A.; Kurihara, H.; Mariani, D.; Martinez, I.; Pereira, J.; Ponchietti, L.; Shamiyeh, A.; Al-Ayoubi, F.; Barco, L.A.; et al. ESTES guidelines: Acute mesenteric ischaemia. Eur. J. Trauma. Emerg. Surg. 2016, 42, 253–270. [Google Scholar] [CrossRef]
- Schwartner, C.; Mehdorn, M.; Gockel, I.; Struck, M.F.; Leonhardi, J.; Rositzka, M.; Ebel, S.; Denecke, T.; Meyer, H.J. Computed Tomography-Defined Body Composition as Prognostic Parameter in Acute Mesenteric Ischemia. Dig. Surg. 2023, 40, 225–232. [Google Scholar] [CrossRef] [PubMed]
- Otto, C.C.; Czigany, Z.; Heise, D.; Bruners, P.; Kotelis, D.; Lang, S.A.; Ulmer, T.F.; Neumann, U.P.; Klink, C.; Bednarsch, J. Prognostic Factors for Mortality in Acute Mesenteric Ischemia. J. Clin. Med. 2022, 11, 3619. [Google Scholar] [CrossRef] [PubMed]
- Chen, F.F.; Ye, X.N.; Jiang, H.T.; Zhu, G.X.; Miao, S.L.; Yu, G.F.; Qiu, Y.H.; Huang, J.Y. Role of Frailty and Comorbidity Status in Predicting Morbidity and Mortality in Patients with Acute Mesenteric Ischemia. Ann. Vasc. Surg. 2020, 67, 105–114. [Google Scholar] [CrossRef] [PubMed]
- Nakashima, T.; Sagishima, K.; Yamamoto, T. Cervical cord injury complicated by acute mesenteric ischemia. Trauma. Case Rep. 2021, 34, 100495. [Google Scholar] [CrossRef] [PubMed]
- Scaglione, M.; Masala, S.; Iacobellis, F.; Tonerini, M.; Sica, G.; Liguori, C.; Saba, L.; Tamburrini, S. Imaging in Non-Traumatic Emergencies. Tomography 2023, 9, 1133–1136. [Google Scholar] [CrossRef] [PubMed]
- Furukawa, A.; Kanasaki, S.; Kono, N.; Wakamiya, M.; Tanaka, T.; Takahashi, M.; Murata, K. CT diagnosis of acute mesenteric ischemia from various causes. AJR Am. J. Roentgenol. 2009, 192, 408–416. [Google Scholar] [CrossRef] [PubMed]
- Yikilmaz, A.; Karahan, O.I.; Senol, S.; Tuna, I.S.; Akyildiz, H.Y. Value of multislice computed tomography in the diagnosis of acute mesenteric ischemia. Eur. J. Radiol. 2011, 80, 297–302. [Google Scholar] [CrossRef]
- Li, B.Q.; Qi, W.J.; Yuan, M.; Wang, H.Y.; Chen, M.; Song, Z.X.; Li, Q.; Li, L.; Jiang, B.; Ma, Z.L.; et al. Increased Attenuation of Intestinal Contents at CT Indicates Bowel Necrosis in Closed-Loop Small Bowel Obstruction. Radiology 2024, 310, e231710. [Google Scholar] [CrossRef]
- Li, B.Q.; Qi, W.J.; Yuan, M.; Wang, H.Y.; Chen, M.; Lei, J.A.; Meng, M.; Li, Q.; Li, L.; Jiang, B.; et al. Prediction of bowel necrosis by reduced bowel wall enhancement in closed-loop small bowel obstruction: Quantitative methods. Eur. J. Radiol. 2024, 173, 111363. [Google Scholar] [CrossRef] [PubMed]
- Kirkpatrick, A.W.; McBeth, P.B.; Ball, C.G.; Ejike, J.C.; De Laet, I.E.; Nickerson, D. Mesenteric ischemia, intra-abdominal hypertension, and the abdominal compartment syndrome. Plast. Surg. 2016, 24, 9–10. [Google Scholar] [CrossRef] [PubMed]
- Xu, J.J.; Ulriksen, P.S.; Bjerrum, C.W.; Achiam, M.P.; Resch, T.A.; Lonn, L.; Lindskov Hansen, K. Characterizing incidental mass lesions in abdominal dual-energy CT compared to conventional contrast-enhanced CT. Acta Radiol. 2023, 64, 945–950. [Google Scholar] [CrossRef] [PubMed]
- Xu, J.J.; Ulriksen, P.S.; Jawad, S.; Rohde, Y.Z.; Sejer, M.; Achiam, M.P.; Resch, T.A.; Lonn, L.; Hansen, K.L. Iodine density mapping for the diagnosis of acute bowel ischemia using fast kV-switching dual-energy CT. Abdom. Radiol. 2024, 49, 312–319. [Google Scholar] [CrossRef] [PubMed]
- Parakh, A.; An, C.; Lennartz, S.; Rajiah, P.; Yeh, B.M.; Simeone, F.J.; Sahani, D.V.; Kambadakone, A.R. Recognizing and Minimizing Artifacts at Dual-Energy CT. Radiographics 2021, 41, E96. [Google Scholar] [CrossRef]
- Lourenco, P.D.M.; Rawski, R.; Mohammed, M.F.; Khosa, F.; Nicolaou, S.; McLaughlin, P. Dual-Energy CT Iodine Mapping and 40-keV Monoenergetic Applications in the Diagnosis of Acute Bowel Ischemia. AJR Am. J. Roentgenol. 2018, 211, 564–570. [Google Scholar] [CrossRef] [PubMed]
- Obmann, M.M.; Punjabi, G.; Obmann, V.C.; Boll, D.T.; Heye, T.; Benz, M.R.; Yeh, B.M. Dual-energy CT of acute bowel ischemia. Abdom. Radiol. 2022, 47, 1660–1683. [Google Scholar] [CrossRef] [PubMed]
- Navas-Campo, R.; Moreno-Caballero, L.; Ezponda Casajus, A.; Munoz, D.I. Acute mesenteric ischemia: A review of the main imaging techniques and signs. Radiologia 2020, 62, 336–348. [Google Scholar] [CrossRef] [PubMed]
- Tual, A.; Garzelli, L.; Nuzzo, A.; Corcos, O.; Castier, Y.; Ben Abdallah, I.; Ronot, M. Strengthening the Description of Superior Mesenteric Artery Occlusions in Acute Mesenteric Ischaemia: Proposition for an Anatomical Classification. Eur. J. Vasc. Endovasc. Surg. 2023, 65, 802–808. [Google Scholar] [CrossRef]
- Bjorck, M.; Koelemay, M.; Acosta, S.; Bastos Goncalves, F.; Kolbel, T.; Kolkman, J.J.; Lees, T.; Lefevre, J.H.; Menyhei, G.; Oderich, G.; et al. Editor’s Choice—Management of the Diseases of Mesenteric Arteries and Veins: Clinical Practice Guidelines of the European Society of Vascular Surgery (ESVS). Eur. J. Vasc. Endovasc. Surg. 2017, 53, 460–510. [Google Scholar] [CrossRef]
- Kanasaki, S.; Furukawa, A.; Fumoto, K.; Hamanaka, Y.; Ota, S.; Hirose, T.; Inoue, A.; Shirakawa, T.; Hung Nguyen, L.D.; Tulyeubai, S. Acute Mesenteric Ischemia: Multidetector CT Findings and Endovascular Management. Radiographics 2018, 38, 945–961. [Google Scholar] [CrossRef] [PubMed]
- Bobadilla, J.L. Mesenteric ischemia. Surg. Clin. N. Am. 2013, 93, 925–940. [Google Scholar] [CrossRef]
- Garzelli, L.; Nuzzo, A.; Copin, P.; Calame, P.; Corcos, O.; Vilgrain, V.; Ronot, M. Contrast-Enhanced CT for the Diagnosis of Acute Mesenteric Ischemia. AJR Am. J. Roentgenol. 2020, 215, 29–38. [Google Scholar] [CrossRef] [PubMed]
- Bordet, M.; Tresson, P.; Huvelle, U.; Long, A.; Passot, G.; Bergoin, C.; Lermusiaux, P.; Millon, A.; Della Schiava, N. Natural History of Asymptomatic Superior Mesenteric Arterial Stenosis Depends on Coeliac and Inferior Mesenteric Artery Status. Eur. J. Vasc. Endovasc. Surg. 2021, 61, 810–818. [Google Scholar] [CrossRef]
- Tang, W.; Zhang, J.; Kuang, L.Q.; Yi, K.M.; Li, C.X.; Wang, Y. Relationship of superior mesenteric artery thrombus density with transmural intestinal necrosis on multidetector computed tomography in acute mesenteric ischemia. Quant. Imaging Med. Surg. 2021, 11, 3120–3132. [Google Scholar] [CrossRef] [PubMed]
- Nakano, T.; Ito, T.; Takei, T.; Takemoto, M. Accuracy of the smaller superior mesenteric vein sign for the detection of acute superior mesenteric artery occlusion. Acute Med. Surg. 2018, 5, 129–132. [Google Scholar] [CrossRef]
- Nakamura, S. Superior mesenteric artery thrombosis/embolism. In A Key to Gastrointestinal Imaging; Gakken Medical: Tokyo, Japan, 2015; pp. 162–163. [Google Scholar]
- Olson, M.C.; Fletcher, J.G.; Nagpal, P.; Froemming, A.T.; Khandelwal, A. Mesenteric ischemia: What the radiologist needs to know. Cardiovasc. Diagn. Ther. 2019, 9, S74–S87. [Google Scholar] [CrossRef]
- Jia, Z.; Tu, J.; Jiang, G. The Classification and Management Strategy of Spontaneous Isolated Superior Mesenteric Artery Dissection. Korean Circ. J. 2017, 47, 425–431. [Google Scholar] [CrossRef]
- Mei, J.; Ding, W.; Yu, H.; Zhao, X.; Xu, H.; Wang, K.; Jia, Z.; Li, B. Different hemodynamic factors cause the occurrence of superior mesenteric atherosclerotic stenosis and superior mesenteric artery dissection. Front. Cardiovasc. Med. 2023, 10, 1121224. [Google Scholar] [CrossRef]
- Li, D.L.; He, Y.Y.; Alkalei, A.M.; Chen, X.D.; Jin, W.; Li, M.; Zhang, H.K.; Liang, T.B. Management strategy for spontaneous isolated dissection of the superior mesenteric artery based on morphologic classification. J. Vasc. Surg. 2014, 59, 165–172. [Google Scholar] [CrossRef]
- Luan, J.Y.; Li, X. Computed tomography imaging features and classification of isolated dissection of the superior mesenteric artery. Eur. J. Vasc. Endovasc. Surg. 2013, 46, 232–235. [Google Scholar] [CrossRef] [PubMed]
- Sakamoto, I.; Ogawa, Y.; Sueyoshi, E.; Fukui, K.; Murakami, T.; Uetani, M. Imaging appearances and management of isolated spontaneous dissection of the superior mesenteric artery. Eur. J. Radiol. 2007, 64, 103–110. [Google Scholar] [CrossRef] [PubMed]
- Eldine, R.N.; Dehaini, H.; Hoballah, J.; Haddad, F. Isolated Superior Mesenteric Artery Dissection: A Novel Etiology and a Review. Ann. Vasc. Dis. 2022, 15, 1–7. [Google Scholar] [CrossRef] [PubMed]
- Suzuki, S.; Furui, S.; Kohtake, H.; Sakamoto, T.; Yamasaki, M.; Furukawa, A.; Murata, K.; Takei, R. Isolated dissection of the superior mesenteric artery: CT findings in six cases. Abdom. Imaging 2004, 29, 153–157. [Google Scholar] [CrossRef] [PubMed]
- Misra, D.P.; Krishnan, N.; Gochhait, D.; Emmanuel, D.; Negi, V.S. Takayasu arteritis (TA) first presenting with intestinal ischemia: A case report and review of gastrointestinal tract involvement (ischemic and non-ischemic) associated with TA. Rheumatol. Int. 2017, 37, 169–175. [Google Scholar] [CrossRef] [PubMed]
- Acosta, S. Epidemiology of mesenteric vascular disease: Clinical implications. Semin. Vasc. Surg. 2010, 23, 4–8. [Google Scholar] [CrossRef] [PubMed]
- Konan, A.; Piton, G.; Ronot, M.; Hassoun, Y.; Winiszewski, H.; Besch, G.; Doussot, A.; Delabrousse, E.; Calame, P. Abdominal atherosclerosis is not a risk factor of nonocclusive mesenteric ischemia among critically ill patients: A propensity matching study. Ann. Intensive Care 2022, 12, 117. [Google Scholar] [CrossRef] [PubMed]
- Fitzpatrick, L.A.; Rivers-Bowerman, M.D.; Thipphavong, S.; Clarke, S.E.; Rowe, J.A.; Costa, A.F. Pearls, Pitfalls, and Conditions that Mimic Mesenteric Ischemia at CT. Radiographics 2020, 40, 545–561. [Google Scholar] [CrossRef]
- Gnanapandithan, K.; Feuerstadt, P. Review Article: Mesenteric Ischemia. Curr. Gastroenterol. Rep. 2020, 22, 17. [Google Scholar] [CrossRef]
- Harnik, I.G.; Brandt, L.J. Mesenteric venous thrombosis. Vasc. Med. 2010, 15, 407–418. [Google Scholar] [CrossRef]
- Goldberg, M.F.; Kim, H.S. Treatment of acute superior mesenteric vein thrombosis with percutaneous techniques. AJR Am. J. Roentgenol. 2003, 181, 1305–1307. [Google Scholar] [CrossRef] [PubMed]
- Schoots, I.G.; Koffeman, G.I.; Legemate, D.A.; Levi, M.; van Gulik, T.M. Systematic review of survival after acute mesenteric ischaemia according to disease aetiology. Br. J. Surg. 2004, 91, 17–27. [Google Scholar] [CrossRef] [PubMed]
- Cokkinis, A.J. Observations on the Mesenteric Circulation. J. Anat. 1930, 64, 200–205. [Google Scholar] [PubMed]
- Milone, M.; Di Minno, M.N.; Musella, M.; Maietta, P.; Iaccarino, V.; Barone, G.; Milone, F. Computed tomography findings of pneumatosis and portomesenteric venous gas in acute bowel ischemia. World J. Gastroenterol. 2013, 19, 6579–6584. [Google Scholar] [CrossRef] [PubMed]
- Kernagis, L.Y.; Levine, M.S.; Jacobs, J.E. Pneumatosis intestinalis in patients with ischemia: Correlation of CT findings with viability of the bowel. AJR Am. J. Roentgenol. 2003, 180, 733–736. [Google Scholar] [CrossRef] [PubMed]
- Wiesner, W.; Mortele, K.J.; Glickman, J.N.; Ji, H.; Ros, P.R. Pneumatosis intestinalis and portomesenteric venous gas in intestinal ischemia: Correlation of CT findings with severity of ischemia and clinical outcome. AJR Am. J. Roentgenol. 2001, 177, 1319–1323. [Google Scholar] [CrossRef]
- Garzelli, L.; Nuzzo, A.; Hamon, A.; Ben Abdallah, I.; Gregory, J.; Raynaud, L.; Paulatto, L.; Dioguardi Burgio, M.; Castier, Y.; Panis, Y.; et al. Reperfusion injury on computed tomography following endovascular revascularization of acute mesenteric ischemia: Prevalence, risk factors, and patient outcome. Insights Imaging 2022, 13, 194. [Google Scholar] [CrossRef]
- Sugi, M.D.; Menias, C.O.; Lubner, M.G.; Bhalla, S.; Mellnick, V.M.; Kwon, M.H.; Katz, D.S. CT Findings of Acute Small-Bowel Entities. Radiographics 2018, 38, 1352–1369. [Google Scholar] [CrossRef]










| Atherosclerotic AMI | Embolic AMI | NOMI | Veno-Occlusive Mesenteric Ischemia | |
|---|---|---|---|---|
| Cause | Atherosclerotic plaques at mesenteric artery origin | Embolism in distal SMA | SMA vasospasm | Mesenteric venous thrombosis |
| Early findings | Paper-thin hypoenhancing bowel wall (thickened with reperfusion) | Paper-thin hypoenhancing bowel wall (thickened with reperfusion) | Paper-thin hypoenhancing or thickened bowel wall | Thickened bowel wall with increased attenuation of mesenteric fat and peritoneal fluid |
| Late findings | Ill-marginated bowel wall with periparietal fluid effusion; bowel wall pneumatosis; porto-mesenteric/hepatic pneumatosis; free intraperitoneal air; extraintestinal findings (splenic and kidney infarcts; CT hypoperfusion complex) | |||
Disclaimer/Publisher’s Note: The statements, opinions and data contained in all publications are solely those of the individual author(s) and contributor(s) and not of MDPI and/or the editor(s). MDPI and/or the editor(s) disclaim responsibility for any injury to people or property resulting from any ideas, methods, instructions or products referred to in the content. |
© 2024 by the authors. Licensee MDPI, Basel, Switzerland. This article is an open access article distributed under the terms and conditions of the Creative Commons Attribution (CC BY) license (https://creativecommons.org/licenses/by/4.0/).
Share and Cite
Ronza, F.M.; Di Gennaro, T.L.; Buzzo, G.; Piccolo, L.; Della Noce, M.; Giordano, G.; Posillico, G.; Pietrobono, L.; Mazzei, F.G.; Ricci, P.; et al. Diagnostic Role of Multi-Detector Computed Tomography in Acute Mesenteric Ischemia. Diagnostics 2024, 14, 1214. https://doi.org/10.3390/diagnostics14121214
Ronza FM, Di Gennaro TL, Buzzo G, Piccolo L, Della Noce M, Giordano G, Posillico G, Pietrobono L, Mazzei FG, Ricci P, et al. Diagnostic Role of Multi-Detector Computed Tomography in Acute Mesenteric Ischemia. Diagnostics. 2024; 14(12):1214. https://doi.org/10.3390/diagnostics14121214
Chicago/Turabian StyleRonza, Francesco Michele, Teresa Letizia Di Gennaro, Gianfranco Buzzo, Luciana Piccolo, Marina Della Noce, Giovanni Giordano, Giuseppe Posillico, Luigi Pietrobono, Francesco Giuseppe Mazzei, Paolo Ricci, and et al. 2024. "Diagnostic Role of Multi-Detector Computed Tomography in Acute Mesenteric Ischemia" Diagnostics 14, no. 12: 1214. https://doi.org/10.3390/diagnostics14121214
APA StyleRonza, F. M., Di Gennaro, T. L., Buzzo, G., Piccolo, L., Della Noce, M., Giordano, G., Posillico, G., Pietrobono, L., Mazzei, F. G., Ricci, P., Masala, S., Scaglione, M., & Tamburrini, S. (2024). Diagnostic Role of Multi-Detector Computed Tomography in Acute Mesenteric Ischemia. Diagnostics, 14(12), 1214. https://doi.org/10.3390/diagnostics14121214

