Optical Coherence Tomography and Optical Coherence Tomography Angiography in Pediatric Retinal Diseases
Abstract
1. Introduction
2. Methodology
3. Normal OCT and OCTA in Children
4. OCT and OCTA in Retinal Vascular Diseases
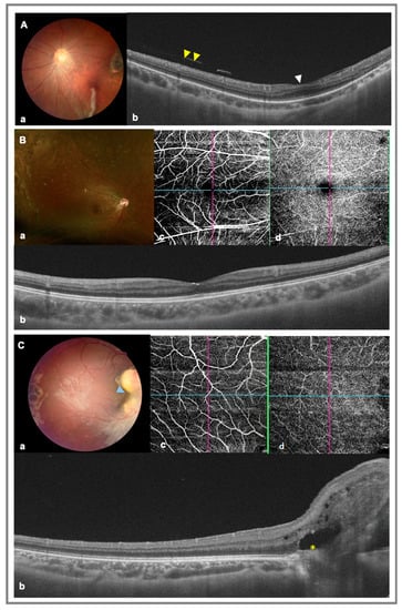
4.1. Retinopathy of Prematurity
4.2. Familial Exudative Vitreoretinopathy
4.3. Coats Disease
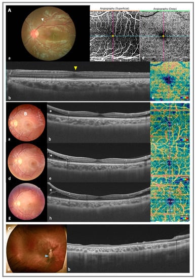
4.4. Incontinentia Pigmenti
4.5. Type-I-Diabetes-Mellitus-Related Retinopathy
5. OCT and OCTA in Inherited Retinal Degenerations
5.1. X-Linked Juvenile Retinoschisis
5.2. Stargardt Disease
6. OCT and OCTA in Neoplasm
7. OCT and OCTA in Inflammatory/Uveitic Diseases
8. OCT and OCTA of Miscellaneous Conditions
8.1. Nonaccidental Traumatic Brain Injury (NAI) or Shaken Baby Syndrome (SBS)
8.2. Torpedo Maculopathy
9. Challenges and Future Directions
10. Conclusions
Author Contributions
Funding
Institutional Review Board Statement
Informed Consent Statement
Data Availability Statement
Conflicts of Interest
References
- Tsai, A.S.; Chou, H.D.; Ling, X.C.; Al-Khaled, T.; Valikodath, N.; Cole, E.; Yap, V.L.; Chiang, M.F.; Chan, R.V.P.; Wu, W.C. Assessment and management of retinopathy of prematurity in the era of anti-vascular endothelial growth factor (VEGF). Prog. Retin. Eye Res. 2021, 88, 101018. [Google Scholar] [CrossRef]
- Cai, S.; Therattil, A.; Vajzovic, L. Optical coherence tomography imaging of the pediatric retina. J. AAPOS 2020, 24, 261–267. [Google Scholar] [CrossRef]
- Huang, D.; Swanson, E.A.; Lin, C.P.; Schuman, J.S.; Stinson, W.G.; Chang, W.; Hee, M.R.; Flotte, T.; Gregory, K.; Puliafito, C.A.; et al. Optical coherence tomography. Science 1991, 254, 1178–1181. [Google Scholar] [CrossRef]
- Cheung, C.M.G.; Wong, T.Y. Clinical Use of Optical Coherence Tomography Angiography in Diabetic Retinopathy Treatment: Ready for Showtime? JAMA Ophthalmol. 2018, 136, 729–730. [Google Scholar] [CrossRef] [PubMed]
- Spaide, R.F.; Fujimoto, J.G.; Waheed, N.K.; Sadda, S.R.; Staurenghi, G. Optical coherence tomography angiography. Prog. Retin. Eye Res. 2018, 64, 1–55. [Google Scholar] [CrossRef] [PubMed]
- Cehajic-Kapetanovic, J.; Xue, K.; Purohit, R.; Patel, C.K. Flying baby optical coherence tomography alters the staging and management of advanced retinopathy of prematurity. Acta Ophthalmol. 2021, 99, 441–447. [Google Scholar] [CrossRef] [PubMed]
- Patel, C.K.; Fung, T.H.; Muqit, M.M.; Mordant, D.J.; Brett, J.; Smith, L.; Adams, E. Non-contact ultra-widefield imaging of retinopathy of prematurity using the Optos dual wavelength scanning laser ophthalmoscope. Eye 2013, 27, 589–596. [Google Scholar] [CrossRef]
- Fung, T.H.; Yusuf, I.H.; Xue, K.; Smith, L.M.; Patel, C.K. Heidelberg Spectralis ultra-widefield fundus fluorescein angiography in infants. Am. J. Ophthalmol. 2015, 159, 78–84. [Google Scholar] [CrossRef]
- Agarwal, K.; Vinekar, A.; Chandra, P.; Padhi, T.R.; Nayak, S.; Jayanna, S.; Panchal, B.; Jalali, S.; Das, T. Imaging the pediatric retina: An overview. Indian J. Ophthalmol. 2021, 69, 812–823. [Google Scholar] [CrossRef]
- Ponugoti, A.; Baumal, C.R.; Vajzovic, L. Optical Coherence Tomography Angiography in Pediatric Retinal Disorders. J. Vitr. Dis. 2022, 6, 221–228. [Google Scholar] [CrossRef]
- Stanga, P.E.; Papayannis, A.; Tsamis, E.; Chwiejczak, K.; Stringa, F.; Jalil, A.; Cole, T.; Biswas, S. Swept-Source Optical Coherence Tomography Angiography of Paediatric Macular Diseases. Dev. Ophthalmol. 2016, 56, 166–173. [Google Scholar] [CrossRef]
- Maccora, K.A.; Sheth, S.; Ruddle, J.B. Optical coherence tomography in paediatric clinical practice. Clin. Exp. Optom. 2019, 102, 300–308. [Google Scholar] [CrossRef]
- Cheung, C.Y.; Li, J.; Yuan, N.; Lau, G.Y.L.; Chan, A.Y.F.; Lam, A.; Tang, F.Y.; Tham, C.C.; Pang, C.P.; Chen, L.J.; et al. Quantitative retinal microvasculature in children using swept-source optical coherence tomography: The Hong Kong Children Eye Study. Br. J. Ophthalmol. 2018, 103, 672–679. [Google Scholar] [CrossRef] [PubMed]
- El-Dairi, M.A.; Asrani, S.G.; Enyedi, L.B.; Freedman, S.F. Optical coherence tomography in the eyes of normal children. Arch. Ophthalmol. 2009, 127, 50–58. [Google Scholar] [CrossRef]
- Hsu, S.T.; Ngo, H.T.; Stinnett, S.S.; Cheung, N.L.; House, R.J.; Kelly, M.P.; Chen, X.; Enyedi, L.B.; Prakalapakorn, S.G.; Materin, M.A.; et al. Assessment of Macular Microvasculature in Healthy Eyes of Infants and Children Using OCT Angiography. Ophthalmology 2019, 126, 1703–1711. [Google Scholar] [CrossRef]
- Jammal, H.M.; Al-Omari, R.; Khader, Y. Normative Data of Macular Thickness Using Spectral Domain Optical Coherence Tomography for Healthy Jordanian Children. Clin. Ophthalmol. 2022, 16, 3571–3580. [Google Scholar] [CrossRef] [PubMed]
- Yanni, S.E.; Wang, J.; Cheng, C.S.; Locke, K.I.; Wen, Y.; Birch, D.G.; Birch, E.E. Normative reference ranges for the retinal nerve fiber layer, macula, and retinal layer thicknesses in children. Am. J. Ophthalmol. 2013, 155, 354–360. [Google Scholar] [CrossRef] [PubMed]
- Pérez-García, D.; Ibañez-Alperte, J.; Remón, L.; Cristóbal, J.; Sanchez-Cano, A.; Pinilla, I. Study of spectral-domain optical coherence tomography in children: Normal values and influence of age, sex, and refractive status. Eur. J. Ophthalmol. 2016, 26, 135–141. [Google Scholar] [CrossRef]
- Maldonado, R.S.; Izatt, J.A.; Sarin, N.; Wallace, D.K.; Freedman, S.; Cotten, C.M.; Toth, C.A. Optimizing hand-held spectral domain optical coherence tomography imaging for neonates, infants, and children. Investig. Ophthalmol. Vis. Sci. 2010, 51, 2678–2685. [Google Scholar] [CrossRef]
- Lee, H.; Proudlock, F.A.; Gottlob, I. Pediatric Optical Coherence Tomography in Clinical Practice-Recent Progress. Investig. Ophthalmol. Vis. Sci. 2016, 57, Oct69–Oct79. [Google Scholar] [CrossRef]
- Deng, J.; Jin, J.; Zhang, B.; Zhang, S.; Wang, J.; Xiong, S.; Cheng, T.; Liu, K.; Huang, J.; He, X.; et al. Effect of Ocular Magnification on Macular Choroidal Thickness Measurements Made Using Optical Coherence Tomography in Children. Curr. Eye Res. 2022, 47, 1538–1546. [Google Scholar] [CrossRef] [PubMed]
- He, Y.; Chen, X.; Tsui, I.; Vajzovic, L.; Sadda, S.R. Insights into the developing fovea revealed by imaging. Prog. Retin. Eye Res. 2022, 90, 101067. [Google Scholar] [CrossRef] [PubMed]
- Turk, A.; Ceylan, O.M.; Arici, C.; Keskin, S.; Erdurman, C.; Durukan, A.H.; Mutlu, F.M.; Altinsoy, H.I. Evaluation of the nerve fiber layer and macula in the eyes of healthy children using spectral-domain optical coherence tomography. Am. J. Ophthalmol. 2012, 153, 552–559. [Google Scholar] [CrossRef]
- Passani, A.; Sframeli, A.T.; Posarelli, C.; Lisi, D.; Guidi, G.; Casini, G.; Ferreras, A.; Figus, M. Macular spectral-domain optical coherence tomography values and correlations in healthy children. Int. Ophthalmol. 2019, 39, 2449–2457. [Google Scholar] [CrossRef] [PubMed]
- Zhang, X.J.; Lau, Y.H.; Wang, Y.M.; Chan, H.N.; Chan, P.P.; Kam, K.W.; Ip, P.; Zhang, W.; Young, A.L.; Tham, C.C.; et al. Thicker Retinal Nerve Fiber Layer with Age among Schoolchildren: The Hong Kong Children Eye Study. Diagnostics 2022, 12, 500. [Google Scholar] [CrossRef] [PubMed]
- Barrio-Barrio, J.; Noval, S.; Galdós, M.; Ruiz-Canela, M.; Bonet, E.; Capote, M.; Lopez, M. Multicenter Spanish study of spectral-domain optical coherence tomography in normal children. Acta Ophthalmol. 2013, 91, e56–e63. [Google Scholar] [CrossRef]
- Yang, Y.; Zhang, G.; Zhang, S.; Bian, X.; Qi, L.; Guo, S.; Zhang, B.; Liu, L. Quantitative Analysis of the Macular and Peripapillary Capillary Network with Optical Coherence Tomography Angiography in Chinese Adolescents: The Tuyou County Pediatric Eye (TYPE) Study. Int. J. Gen. Med. 2021, 14, 371–379. [Google Scholar] [CrossRef]
- Zhang, Z.; Huang, X.; Meng, X.; Chen, T.; Gu, Y.; Wu, Y.; Wu, Z. In vivo assessment of macula in eyes of healthy children 8 to 16 years old using optical coherence tomography angiography. Sci. Rep. 2017, 7, 8936. [Google Scholar] [CrossRef]
- Tan, C.S.; Lim, L.W.; Chow, V.S.; Chay, I.W.; Tan, S.; Cheong, K.X.; Tan, G.T.; Sadda, S.R. Optical Coherence Tomography Angiography Evaluation of the Parafoveal Vasculature and Its Relationship With Ocular Factors. Investig. Ophthalmol. Vis. Sci. 2016, 57, Oct224–Oct234. [Google Scholar] [CrossRef]
- Xiang, L.; Zhou, Y.; Chen, Y.; Jiang, S.; Fei, C.; Wang, Y.; Bai, Y.; Zhang, X.; Li, K.; Shen, X. Assessment of the retinal vasculature in healthy Chinese preschool children aged 4-6 years old using optical coherence tomography angiography. BMC Ophthalmol. 2021, 21, 415. [Google Scholar] [CrossRef]
- İçel, E.; Yılmaz, H.; Uçak, T.; Taşlı, N.G.; Uğurlu, A.; Karakurt, Y. Evaluation of the Optic Disc and Macula in Healthy Children Using Optical Coherence Tomography Angiography. Turk. J. Ophthalmol. 2020, 50, 228–233. [Google Scholar] [CrossRef] [PubMed]
- Lee, J.W.Y.; Yau, G.S.K.; Woo, T.T.Y.; Yick, D.W.F.; Tam, V.T.Y.; Lai, J.S.M. Retinal nerve fiber layer thickness in myopic, emmetropic, and hyperopic children. Medicine 2015, 94, e699. [Google Scholar] [CrossRef] [PubMed]
- Lonngi, M.; Velez, F.G.; Tsui, I.; Davila, J.P.; Rahimi, M.; Chan, C.; Sarraf, D.; Demer, J.L.; Pineles, S.L. Spectral-Domain Optical Coherence Tomographic Angiography in Children With Amblyopia. JAMA Ophthalmol. 2017, 135, 1086–1091. [Google Scholar] [CrossRef] [PubMed]
- Yilmaz, I.; Ocak, O.B.; Yilmaz, B.S.; Inal, A.; Gokyigit, B.; Taskapili, M. Comparison of quantitative measurement of foveal avascular zone and macular vessel density in eyes of children with amblyopia and healthy controls: An optical coherence tomography angiography study. J. AAPOS 2017, 21, 224–228. [Google Scholar] [CrossRef] [PubMed]
- Zhang, Z.; He, X.; Zhu, J.; Jiang, K.; Zheng, W.; Ke, B. Macular measurements using optical coherence tomography in healthy Chinese school age children. Investig. Ophthalmol. Vis. Sci. 2011, 52, 6377–6383. [Google Scholar] [CrossRef]
- Lee, A.C.; Maldonado, R.S.; Sarin, N.; O’Connell, R.V.; Wallace, D.K.; Freedman, S.F.; Cotten, M.; Toth, C.A. Macular features from spectral-domain optical coherence tomography as an adjunct to indirect ophthalmoscopy in retinopathy of prematurity. Retina 2011, 31, 1470–1482. [Google Scholar] [CrossRef]
- Maldonado, R.S.; O’Connell, R.; Ascher, S.B.; Sarin, N.; Freedman, S.F.; Wallace, D.K.; Chiu, S.J.; Farsiu, S.; Cotten, M.; Toth, C.A. Spectral-domain optical coherence tomographic assessment of severity of cystoid macular edema in retinopathy of prematurity. Arch Ophthalmol. 2012, 130, 569–578. [Google Scholar] [CrossRef]
- Maldonado, R.S.; Toth, C.A. Optical coherence tomography in retinopathy of prematurity: Looking beyond the vessels. Clin. Perinatol. 2013, 40, 271–296. [Google Scholar] [CrossRef]
- Dubis, A.M.; Subramaniam, C.D.; Godara, P.; Carroll, J.; Costakos, D.M. Subclinical macular findings in infants screened for retinopathy of prematurity with spectral-domain optical coherence tomography. Ophthalmology 2013, 120, 1665–1671. [Google Scholar] [CrossRef]
- Zepeda, E.M.; Shariff, A.; Gillette, T.B.; Grant, L.; Ding, L.; Tarczy-Hornoch, K.; Cabrera, M.T. Vitreous Bands Identified by Handheld Spectral-Domain Optical Coherence Tomography Among Premature Infants. JAMA Ophthalmol. 2018, 136, 753–758. [Google Scholar] [CrossRef]
- Mangalesh, S.; McGeehan, B.; Tai, V.; Chen, X.; Tran-Viet, D.; Vajzovic, L.; Viehland, C.; Izatt, J.A.; Cotten, C.M.; Freedman, S.F.; et al. Macular OCT Characteristics at 36 Weeks’ Postmenstrual Age in Infants Examined for Retinopathy of Prematurity. Ophthalmol. Retina 2021, 5, 580–592. [Google Scholar] [CrossRef] [PubMed]
- Chen, P.-Y.; Kang, E.Y.-C.; Chen, K.-J.; Ling, X.C.; Chang, Y.-H.; Wang, N.-K.; Liu, L.; Chen, Y.-P.; Hwang, Y.-S.; Lai, C.-C.; et al. Foveal hypoplasia and characteristics of optical components in patients with familial exudative vitreoretinopathy and retinopathy of prematurity. Sci. Rep. 2022, 12, 7694. [Google Scholar] [CrossRef] [PubMed]
- Chen, X.; Prakalapakorn, S.G.; Freedman, S.F.; Vajzovic, L.; Toth, C.A. Differentiating Retinal Detachment and Retinoschisis Using Handheld Optical Coherence Tomography in Stage 4 Retinopathy of Prematurity. JAMA Ophthalmol. 2020, 138, 81–85. [Google Scholar] [CrossRef]
- Maldonado, R.S.; Yuan, E.; Tran-Viet, D.; Rothman, A.L.; Tong, A.Y.; Wallace, D.K.; Freedman, S.F.; Toth, C.A. Three-dimensional assessment of vascular and perivascular characteristics in subjects with retinopathy of prematurity. Ophthalmology 2014, 121, 1289–1296. [Google Scholar] [CrossRef] [PubMed]
- Chen, X.; Mangalesh, S.; Dandridge, A.; Tran-Viet, D.; Wallace, D.K.; Freedman, S.F.; Toth, C.A. Spectral-Domain OCT Findings of Retinal Vascular-Avascular Junction in Infants with Retinopathy of Prematurity. Ophthalmol. Retina 2018, 2, 963–971. [Google Scholar] [CrossRef] [PubMed]
- Nguyen, T.P.; Ni, S.; Ostmo, S.; Rajagopalan, A.; Coyner, A.S.; Woodward, M.; Chiang, M.F.; Jia, Y.; Huang, D.; Campbell, J.P.; et al. Association of Optical Coherence Tomography-Measured Fibrovascular Ridge Thickness and Clinical Disease Stage in Retinopathy of Prematurity. JAMA Ophthalmol. 2022, 140, 1121–1127. [Google Scholar] [CrossRef]
- Seely, K.R.; Wang, K.L.; Tai, V.; Prakalapakorn, S.G.; Chiu, S.J.; Viehland, C.; Grace, S.; Izatt, J.A.; Freedman, S.F.; Toth, C.A. Auto-Processed Retinal Vessel Shadow View Images From Bedside Optical Coherence Tomography to Evaluate Plus Disease in Retinopathy of Prematurity. Transl. Vis. Sci. Technol. 2020, 9, 16. [Google Scholar] [CrossRef]
- Mangalesh, S.; Seely, K.R.; Tran-Viet, D.; Tai, V.; Chen, X.; Prakalapakorn, S.G.; Freedman, S.F.; Toth, C.A. Integrated Visualization Highlighting Retinal Changes in Retinopathy of Prematurity From 3-Dimensional Optical Coherence Tomography Data. JAMA Ophthalmol. 2022, 140, 725–729. [Google Scholar] [CrossRef]
- Erol, M.K.; Coban, D.T.; Özdemir, Ö.; Tunay, Z.; Bilgin, A.B.; Dogan, B. Spectral-Domain OCT Analyses of Macular Changes After Ranibizumab Therapy for Type 1 Retinopathy of Prematurity. J. Pediatr. Ophthalmol. Strabismus 2015, 52, 152–158. [Google Scholar] [CrossRef]
- Wong, B.M.; Chu, A.; Tsui, I. Regression of Cystoid Macular Edema Three Weeks After Laser for Retinopathy of Prematurity. Ophthalmic Surg Lasers Imaging Retin. 2020, 51, 472–475. [Google Scholar] [CrossRef]
- Seely, K.R.; Mangalesh, S.; Shen, L.L.; McGeehan, B.; Ying, G.S.; Sarin, N.; Vajzovic, L.; Prakalapakorn, S.G.; Freedman, S.F.; Toth, C.A. Association Between Retinal Microanatomy in Preterm Infants and 9-Month Visual Acuity. JAMA Ophthalmol. 2022, 140, 699–706. [Google Scholar] [CrossRef] [PubMed]
- Falavarjani, K.G.; Iafe, N.A.; Velez, F.G.; Schwartz, S.D.; Sadda, S.R.; Sarraf, D.; Tsui, I. Optical Coherence Tomography Angiography of The Fovea in Children Born Preterm. Retina 2017, 37, 2289–2294. [Google Scholar] [CrossRef] [PubMed]
- Nonobe, N.; Kaneko, H.; Ito, Y.; Takayama, K.; Kataoka, K.; Tsunekawa, T.; Matsuura, T.; Suzumura, A.; Shimizu, H.; Terasaki, H. Optical coherence tomography angiography of the foveal avascular zone in children with a history of treatment-requiring retinopathy of prematurity. Retina 2019, 39, 111–117. [Google Scholar] [CrossRef] [PubMed]
- Takagi, M.; Maruko, I.; Yamaguchi, A.; Kakehashi, M.; Hasegawa, T.; Iida, T. Foveal abnormalities determined by optical coherence tomography angiography in children with history of retinopathy of prematurity. Eye 2019, 33, 1890–1896. [Google Scholar] [CrossRef]
- Rezar-Dreindl, S.; Eibenberger, K.; Told, R.; Neumayer, T.; Steiner, I.; Sacu, S.; Schmidt-Erfurth, U.; Stifter, E. Retinal vessel architecture in retinopathy of prematurity and healthy controls using swept-source optical coherence tomography angiography. Acta Ophthalmol. 2021, 99, e232–e239. [Google Scholar] [CrossRef]
- Czeszyk, A.; Hautz, W.; Jaworski, M.; Bulsiewicz, D.; Czech-Kowalska, J. Morphology and Vessel Density of the Macula in Preterm Children Using Optical Coherence Tomography Angiography. J. Clin. Med. 2022, 11, 1337. [Google Scholar] [CrossRef]
- Chen, Y.C.; Chen, Y.T.; Chen, S.N. Foveal microvascular anomalies on optical coherence tomography angiography and the correlation with foveal thickness and visual acuity in retinopathy of prematurity. Graefes Arch Clin. Exp. Ophthalmol. 2019, 257, 23–30. [Google Scholar] [CrossRef]
- Vinekar, A.; Sinha, S.; Mangalesh, S.; Jayadev, C.; Shetty, B. Optical coherence tomography angiography in preterm-born children with retinopathy of prematurity. Graefes Arch Clin. Exp. Ophthalmol. 2021, 259, 2131–2137. [Google Scholar] [CrossRef]
- Deng, X.; Cheng, Y.; Zhu, X.M.; Linghu, D.D.; Xu, H.; Liang, J.H. Foveal structure changes in infants treated with anti-VEGF therapy or laser therapy guided by optical coherence tomography angiography for retinopathy of prematurity. Int. J. Ophthalmol. 2022, 15, 106–112. [Google Scholar] [CrossRef]
- Zhao, J.; Wu, Z.; Lam, W.; Yang, M.; Chen, L.; Zheng, L.; Zhang, F.; Zeng, J.; Wang, J.; Zhang, G. Comparison of OCT angiography in children with a history of intravitreal injection of ranibizumab versus laser photocoagulation for retinopathy of prematurity. Br. J. Ophthalmol. 2020, 104, 1556–1560. [Google Scholar] [CrossRef]
- Campbell, J.P.; Nudleman, E.; Yang, J.; Tan, O.; Chan, R.V.P.; Chiang, M.F.; Huang, D.; Liu, G. Handheld Optical Coherence Tomography Angiography and Ultra-Wide-Field Optical Coherence Tomography in Retinopathy of Prematurity. JAMA Ophthalmol. 2017, 135, 977–981. [Google Scholar] [CrossRef] [PubMed]
- Moshiri, Y.; Legocki, A.T.; Zhou, K.; Cabrera, M.T.; Rezaei, K.A.; Tarczy-Hornoch, K.; Wang, R.K. Handheld swept-source optical coherence tomography with angiography in awake premature neonates. Quant. Imaging Med. Surg. 2019, 9, 1495–1502. [Google Scholar] [CrossRef] [PubMed]
- Viehland, C.; Chen, X.; Tran-Viet, D.; Jackson-Atogi, M.; Ortiz, P.; Waterman, G.; Vajzovic, L.; Toth, C.A.; Izatt, J.A. Ergonomic handheld OCT angiography probe optimized for pediatric and supine imaging. Biomed. Opt. Express 2019, 10, 2623–2638. [Google Scholar] [CrossRef]
- Yonekawa, Y.; Thomas, B.J.; Drenser, K.A.; Trese, M.T.; Capone, A., Jr. Familial Exudative Vitreoretinopathy: Spectral-Domain Optical Coherence Tomography of the Vitreoretinal Interface, Retina, and Choroid. Ophthalmology 2015, 122, 2270–2277. [Google Scholar] [CrossRef] [PubMed]
- Pendergast, S.D.; Trese, M.T. Familial exudative vitreoretinopathy. Results of surgical management. Ophthalmology 1998, 105, 1015–1023. [Google Scholar] [CrossRef]
- Kashani, A.H.; Learned, D.; Nudleman, E.; Drenser, K.A.; Capone, A.; Trese, M.T. High prevalence of peripheral retinal vascular anomalies in family members of patients with familial exudative vitreoretinopathy. Ophthalmology 2014, 121, 262–268. [Google Scholar] [CrossRef]
- Hsu, S.T.; Finn, A.P.; Chen, X.; Ngo, H.T.; House, R.J.; Toth, C.A.; Vajzovic, L. Macular Microvascular Findings in Familial Exudative Vitreoretinopathy on Optical Coherence Tomography Angiography. Ophthalmic Surg. Lasers Imaging Retin. 2019, 50, 322–329. [Google Scholar] [CrossRef] [PubMed]
- Gilmour, D.F. Familial exudative vitreoretinopathy and related retinopathies. Eye 2015, 29, 1–14. [Google Scholar] [CrossRef]
- Lee, J.; El-Dairi, M.A.; Tran-Viet, D.; Mangalesh, S.; Dandridge, A.; Jiramongkolchai, K.; Viehland, C.; Toth, C.A. Longitudinal changes in the optic nerve head and retina over time in very young children with familial exudative vitreoretinopathy. Retina 2019, 39, 98–110. [Google Scholar] [CrossRef]
- Tauqeer, Z.; Yonekawa, Y. Familial Exudative Vitreoretinopathy: Pathophysiology, Diagnosis, and Management. Asia. Pac. J. Ophthalmol. 2018, 7, 176–182. [Google Scholar] [CrossRef]
- Hasegawa, T.; Hirato, M.; Kobashi, C.; Yamaguchi, A.; Takagi, R.; Tanaka, Y.; Kaburaki, T.; Kakehashi, A. Evaluation of the Foveal Avascular Zone in Familial Exudative Vitreoretinopathy Using Optical Coherence Tomography Angiography. Clin. Ophthalmol. 2021, 15, 1913–1920. [Google Scholar] [CrossRef]
- Chen, C.; Liu, C.; Wang, Z.; Sun, L.; Zhao, X.; Li, S.; Luo, X.; Zhang, A.; Chong, V.; Lu, L.; et al. Optical Coherence Tomography Angiography in Familial Exudative Vitreoretinopathy: Clinical Features and Phenotype-Genotype Correlation. Investig. Ophthalmol. Vis. Sci. 2018, 59, 5726–5734. [Google Scholar] [CrossRef] [PubMed]
- Zhang, T.; Wang, Z.; Sun, L.; Li, S.; Huang, L.; Liu, C.; Chen, C.; Luo, X.; Yu, B.; Ding, X. Ultra-wide-field scanning laser ophthalmoscopy and optical coherence tomography in FEVR: Findings and its diagnostic ability. Br. J. Ophthalmol. 2021, 105, 995–1001. [Google Scholar] [CrossRef] [PubMed]
- Koulisis, N.; Moysidis, S.N.; Yonekawa, Y.; Dai, Y.L.; Burkemper, B.; Wood, E.H.; Lertjirachai, I.; Todorich, B.; Khundkar, T.Z.; Chu, Z.; et al. Correlating Changes in the Macular Microvasculature and Capillary Network to Peripheral Vascular Pathologic Features in Familial Exudative Vitreoretinopathy. Ophthalmol. Retina 2019, 3, 597–606. [Google Scholar] [CrossRef]
- Mao, J.; Chen, Y.; Fang, Y.; Shao, Y.; Xiang, Z.; Li, H.; Zhao, S.; Chen, Y.; Shen, L. Clinical characteristics and mutation spectrum in 33 Chinese families with familial exudative vitreoretinopathy. Ann. Med. 2022, 54, 3286–3298. [Google Scholar] [CrossRef]
- Sen, M.; Shields, C.L.; Honavar, S.G.; Shields, J.A. Coats disease: An overview of classification, management and outcomes. Indian J. Ophthalmol. 2019, 67, 763–771. [Google Scholar] [CrossRef] [PubMed]
- Shields, J.A.; Shields, C.L.; Honavar, S.G.; Demirci, H.; Cater, J. Classification and management of Coats disease: The 2000 Proctor Lecture. Am. J. Ophthalmol. 2001, 131, 572–583. [Google Scholar] [CrossRef]
- Gupta, M.P.; Dow, E.; Jeng-Miller, K.W.; Mukai, S.; Orlin, A.; Xu, K.; Yonekawa, Y.; Chan, R.V.P. Spectral domain optical coherence tomography findings in coats disease. Retina 2019, 39, 1177–1185. [Google Scholar] [CrossRef]
- Ong, S.S.; Cummings, T.J.; Vajzovic, L.; Mruthyunjaya, P.; Toth, C.A. Comparison of Optical Coherence Tomography With Fundus Photographs, Fluorescein Angiography, and Histopathologic Analysis in Assessing Coats Disease. JAMA Ophthalmol. 2019, 137, 176–183. [Google Scholar] [CrossRef]
- Daruich, A.L.; Moulin, A.P.; Tran, H.V.; Matet, A.; Munier, F.L. Subfoveal nodule in coats’ disease: Toward an updated classification predicting visual prognosis. Retina 2017, 37, 1591–1598. [Google Scholar] [CrossRef]
- Ong, S.S.; Mruthyunjaya, P.; Stinnett, S.; Vajzovic, L.; Toth, C.A. Macular Features on Spectral-Domain Optical Coherence Tomography Imaging Associated With Visual Acuity in Coats’ Disease. Investig. Ophthalmol. Vis. Sci. 2018, 59, 3161–3174. [Google Scholar] [CrossRef] [PubMed]
- Rabiolo, A.; Marchese, A.; Sacconi, R.; Cicinelli, M.V.; Grosso, A.; Querques, L.; Querques, G.; Bandello, F. Refining Coats’ disease by ultra-widefield imaging and optical coherence tomography angiography. Graefe’s Arch. Clin. Exp. Ophthalmol. 2017, 255, 1881–1890. [Google Scholar] [CrossRef]
- Schwartz, R.; Sivaprasad, S.; Macphee, R.; Ibanez, P.; Keane, P.A.; Michaelides, M.; Wong, S.C. Subclinical macular changes and disease laterality in pediatric coats disease determined by quantitative optical coherence tomography angiography. Retina 2019, 39, 2392–2398. [Google Scholar] [CrossRef] [PubMed]
- Zhang, J.; Ruan, L.; Jiang, C.; Yang, Q.; Ju, Y.; Chang, Q.; Huang, X. Updating Understanding of Macular Microvascular Abnormalities and Their Correlations With the Characteristics and Progression of Macular Edema or Exudation in Coats’ Disease. Front Med. 2022, 9, 788001. [Google Scholar] [CrossRef] [PubMed]
- Cennamo, G.; Montorio, D.; Comune, C.; Laezza, M.P.; Fallico, M.; Lionetti, M.E.; Reibaldi, M. Optical Coherence Tomography Angiography Findings After Intravitreal Ranibizumab in Patients With Coats Disease. Front Med. 2020, 7, 615015. [Google Scholar] [CrossRef]
- Peng, J.; Zhang, Q.; Long, X.; Zhang, J.; Huang, Q.; Li, Y.; She, K.; Zhao, P. Incontinentia pigmenti-associated ocular anomalies of paediatric incontinentia pigmenti patients in China. Acta Ophthalmol. 2019, 97, 265–272. [Google Scholar] [CrossRef]
- Basilius, J.; Young, M.P.; Michaelis, T.C.; Hobbs, R.; Jenkins, G.; Hartnett, M.E. Structural Abnormalities of the Inner Macula in Incontinentia Pigmenti. JAMA Ophthalmol. 2015, 133, 1067–1072. [Google Scholar] [CrossRef]
- Liu, T.Y.A.; Han, I.C.; Goldberg, M.F.; Linz, M.O.; Chen, C.J.; Scott, A.W. Multimodal Retinal Imaging in Incontinentia Pigmenti Including Optical Coherence Tomography Angiography: Findings From an Older Cohort With Mild Phenotype. JAMA Ophthalmol. 2018, 136, 467–472. [Google Scholar] [CrossRef]
- Mangalesh, S.; Chen, X.; Tran-Viet, D.; Viehland, C.; Freedman, S.F.; Toth, C.A. Assessment of the retinal structure in children with incontinentia pigmenti. Retina 2017, 37, 1568–1574. [Google Scholar] [CrossRef]
- Kim, S.J.; Yang, J.; Liu, G.; Huang, D.; Campbell, J.P. Optical Coherence Tomography Angiography and Ultra-Widefield Optical Coherence Tomography in a Child With Incontinentia Pigmenti. Ophthalmic Surg. Lasers Imaging Retin. 2018, 49, 273–275. [Google Scholar] [CrossRef]
- Sen, A.; Shenoy, P.; Mitra, A.; Jain, T. Multimodal retinal imaging of a 6-year-old male child with incontinentia pigmenti. Indian J. Ophthalmol. 2019, 67, 942–943. [Google Scholar] [CrossRef] [PubMed]
- Cunha, A.M.; Breda, J.; Rocha-Sousa, A.; Falcão-Reis, F.; Santos-Silva, R. Child with a mild phenotype of Incontinentia Pigmenti and inner retinal dysfunction. Doc. Ophthalmol. 2021, 143, 93–98. [Google Scholar] [CrossRef] [PubMed]
- Shibeshi, M.S.; Fantahun, B.; Kebede, T.; Tilahun, B. Pediatric diabetic retinopathy: Experience of a tertiary hospital in Ethiopia. BMC Res. Notes 2016, 9, 116. [Google Scholar] [CrossRef] [PubMed]
- Wysocka-Mincewicz, M.; Gołębiewska, J.; Olechowski, A.; Szalecki, M. Diabetic Retinopathy in Children with Type 1 Diabetes—Occurrence and Screening Using Optical Coherence Tomography. Life 2021, 11, 590. [Google Scholar] [CrossRef] [PubMed]
- Gołębiewska, J.; Olechowski, A.; Wysocka-Mincewicz, M.; Baszyńska-Wilk, M.; Groszek, A.; Czeszyk-Piotrowicz, A.; Szalecki, M.; Hautz, W. Choroidal Thickness and Ganglion Cell Complex in Pubescent Children with Type 1 Diabetes without Diabetic Retinopathy Analyzed by Spectral Domain Optical Coherence Tomography. J. Diabetes Res. 2018, 2018, 5458015. [Google Scholar] [CrossRef]
- Niestrata-Ortiz, M.; Fichna, P.; Stankiewicz, W.; Stopa, M. Determining the effect of diabetes duration on retinal and choroidal thicknesses in children with type 1 diabetes mellitus. Retina 2020, 40, 421–427. [Google Scholar] [CrossRef]
- Orduna-Hospital, E.; Sanchez-Cano, A.; Perdices, L.; Acha, J.; Lopez-Alaminos, E.M.; Pinilla, I. Changes in retinal layers in type 1 diabetes mellitus without retinopathy measured by spectral domain and swept source OCTs. Sci. Rep. 2021, 11, 10427. [Google Scholar] [CrossRef]
- Nagaoka, T.; Kitaya, N.; Sugawara, R.; Yokota, H.; Mori, F.; Hikichi, T.; Fujio, N.; Yoshida, A. Alteration of choroidal circulation in the foveal region in patients with type 2 diabetes. Br. J. Ophthalmol. 2004, 88, 1060–1063. [Google Scholar] [CrossRef]
- Van Dijk, H.W.; Kok, P.H.; Garvin, M.; Sonka, M.; Devries, J.H.; Michels, R.P.; van Velthoven, M.E.; Schlingemann, R.O.; Verbraak, F.D.; Abràmoff, M.D. Selective loss of inner retinal layer thickness in type 1 diabetic patients with minimal diabetic retinopathy. Investig. Ophthalmol. Vis. Sci. 2009, 50, 3404–3409. [Google Scholar] [CrossRef]
- Mameli, C.; Invernizzi, A.; Bolchini, A.; Bedogni, G.; Giani, E.; Macedoni, M.; Zuccotti, G.; Preziosa, C.; Pellegrini, M. Analysis of Retinal Perfusion in Children, Adolescents, and Young Adults with Type 1 Diabetes Using Optical Coherence Tomography Angiography. J. Diabetes Res. 2019, 2019, 5410672. [Google Scholar] [CrossRef]
- Sousa, D.C.; Leal, I.; Moreira, S.; do Vale, S.; Silva-Herdade, A.S.; Aguiar, P.; Dionísio, P.; Abegão Pinto, L.; Castanho, M.A.R.B.; Marques-Neves, C. Retinal Vascular Reactivity in Type 1 Diabetes Patients Without Retinopathy Using Optical Coherence Tomography Angiography. Investig. Ophthalmol. Vis. Sci. 2020, 61, 49. [Google Scholar] [CrossRef] [PubMed]
- Oliverio, G.W.; Ceravolo, I.; Bhatti, A.; Trombetta, C.J. Foveal avascular zone analysis by optical coherence tomography angiography in patients with type 1 and 2 diabetes and without clinical signs of diabetic retinopathy. Int. Ophthalmol. 2021, 41, 649–658. [Google Scholar] [CrossRef] [PubMed]
- Bernal-Morales, C.; Alé-Chilet, A.; Martín-Pinardel, R.; Barraso, M.; Hernández, T.; Oliva, C.; Vinagre, I.; Ortega, E.; Figueras-Roca, M.; Sala-Puigdollers, A.; et al. Optical Coherence Tomography Angiography in Type 1 Diabetes Mellitus. Report 4: Glycated Haemoglobin. Diagnostics 2021, 11, 1537. [Google Scholar] [CrossRef]
- Oliverio, G.W.; Meduri, A.; De Salvo, G.; Trombetta, L.; Aragona, P. OCT Angiography Features in Diabetes Mellitus Type 1 and 2. Diagnostics 2022, 12, 2942. [Google Scholar] [CrossRef] [PubMed]
- Um, T.; Seo, E.J.; Kim, Y.J.; Yoon, Y.H. Optical coherence tomography angiography findings of type 1 diabetic patients with diabetic retinopathy, in comparison with type 2 patients. Graefe’s Arch. Clin. Exp. Ophthalmol. 2020, 258, 281–288. [Google Scholar] [CrossRef] [PubMed]
- Barraso, M.; Alé-Chilet, A.; Hernández, T.; Oliva, C.; Vinagre, I.; Ortega, E.; Figueras-Roca, M.; Sala-Puigdollers, A.; Esquinas, C.; Esmatjes, E.; et al. Optical Coherence Tomography Angiography in Type 1 Diabetes Mellitus. Report 1: Diabetic Retinopathy. Transl. Vis. Sci. Technol. 2020, 9, 34. [Google Scholar] [CrossRef]
- Molday, R.S.; Kellner, U.; Weber, B.H. X-linked juvenile retinoschisis: Clinical diagnosis, genetic analysis, and molecular mechanisms. Prog. Retin. Eye Res. 2012, 31, 195–212. [Google Scholar] [CrossRef]
- Rao, P.; Dedania, V.S.; Drenser, K.A. Congenital X-Linked Retinoschisis: An Updated Clinical Review. Asia-Pac. J. Ophthalmol. 2018, 7, 169–175. [Google Scholar] [CrossRef]
- Padrón-Pérez, N.; Català-Mora, J.; Díaz, J.; Arias, L.; Prat, J.; Caminal, J.M. Swept-source and optical coherence tomography angiography in patients with X-linked retinoschisis. Eye 2018, 32, 707–715. [Google Scholar] [CrossRef]
- Yu, J.; Ni, Y.; Keane, P.A.; Jiang, C.; Wang, W.; Xu, G. Foveomacular schisis in juvenile X-linked retinoschisis: An optical coherence tomography study. Am. J. Ophthalmol. 2010, 149, 973–978. [Google Scholar] [CrossRef]
- Orès, R.; Mohand-Said, S.; Dhaenens, C.M.; Antonio, A.; Zeitz, C.; Augstburger, E.; Andrieu, C.; Sahel, J.A.; Audo, I. Phenotypic Characteristics of a French Cohort of Patients with X-Linked Retinoschisis. Ophthalmology 2018, 125, 1587–1596. [Google Scholar] [CrossRef]
- Gerth, C.; Zawadzki, R.J.; Werner, J.S.; Héon, E. Retinal Morphological Changes of Patients With X-linked Retinoschisis Evaluated by Fourier-Domain Optical Coherence Tomography. Arch. Ophthalmol. 2008, 126, 807–811. [Google Scholar] [CrossRef]
- Yang, H.S.; Lee, J.B.; Yoon, Y.H.; Lee, J.Y. Correlation Between Spectral-Domain OCT Findings and Visual Acuity in X-Linked Retinoschisis. Investig. Ophthalmol. Vis. Sci. 2014, 55, 3029–3036. [Google Scholar] [CrossRef] [PubMed]
- Guo, Q.; Li, Y.; Li, J.; You, Y.; Liu, C.; Chen, K.; Li, S.; Lei, B. Phenotype Heterogeneity and the Association Between Visual Acuity and Outer Retinal Structure in a Cohort of Chinese X-Linked Juvenile Retinoschisis Patients. Front. Genet. 2022, 13, 832814. [Google Scholar] [CrossRef]
- Nguyen, T.P.; Ni, S.; Liang, G.; Khan, S.; Wei, X.; Skalet, A.; Ostmo, S.; Chiang, M.F.; Jia, Y.; Huang, D.; et al. Widefield Optical Coherence Tomography in Pediatric Retina: A Case Series of Intraoperative Applications Using a Prototype Handheld Device. Front Med. 2022, 9, 860371. [Google Scholar] [CrossRef] [PubMed]
- Ling, K.P.; Mangalesh, S.; Tran-Viet, D.; Gunther, R.; Toth, C.A.; Vajzovic, L. Handheld spectral domain optical coherence tomography findings of X-linked retinoschisis in early childhood. Retina 2020, 40, 1996–2003. [Google Scholar] [CrossRef] [PubMed]
- Han, I.C.; Whitmore, S.S.; Critser, D.B.; Lee, S.Y.; DeLuca, A.P.; Daggett, H.T.; Affatigato, L.M.; Mullins, R.F.; Tucker, B.A.; Drack, A.V.; et al. Wide-Field Swept-Source OCT and Angiography in X-Linked Retinoschisis. Ophthalmol. Retina 2019, 3, 178–185. [Google Scholar] [CrossRef]
- Mastropasqua, R.; Toto, L.; Di Antonio, L.; Parodi, M.B.; Sorino, L.; Antonucci, I.; Stuppia, L.; Di Nicola, M.; Mariotti, C. Optical Coherence Tomography Angiography Findings in X-linked Retinoschisis. Ophthalmic Surg. Lasers Imaging Retin. 2018, 49, e20–e31. [Google Scholar] [CrossRef] [PubMed]
- Romano, F.; Arrigo, A.; Chʼng, S.W.; Battaglia Parodi, M.; Manitto, M.P.; Martina, E.; Bandello, F.; Stanga, P.E. Capillary network alterations in X-linked retinoschisis imaged on optical coherence tomography angiography. Retina 2019, 39, 1761–1767. [Google Scholar] [CrossRef]
- Kwon, H.J.; Kim, Y.N.; Min, C.H.; Kim, Y.J.; Lee, J.; Lee, J.Y.; Yoon, Y.H. Macular microvasculature in X-linked retinoschisis: Optical coherence tomography and optical coherence tomography angiography Study. Retina 2022, 42, 1939–1949. [Google Scholar] [CrossRef]
- Tanna, P.; Strauss, R.W.; Fujinami, K.; Michaelides, M. Stargardt disease: Clinical features, molecular genetics, animal models and therapeutic options. Br. J. Ophthalmol. 2017, 101, 25–30. [Google Scholar] [CrossRef] [PubMed]
- Strauss, R.W.; Ho, A.; Muñoz, B.; Cideciyan, A.V.; Sahel, J.A.; Sunness, J.S.; Birch, D.G.; Bernstein, P.S.; Michaelides, M.; Traboulsi, E.I.; et al. The Natural History of the Progression of Atrophy Secondary to Stargardt Disease (ProgStar) Studies: Design and Baseline Characteristics: ProgStar Report No. 1. Ophthalmology 2016, 123, 817–828. [Google Scholar] [CrossRef] [PubMed]
- Paavo, M.; Lee, W.; Allikmets, R.; Tsang, S.; Sparrow, J.R. Photoreceptor cells as a source of fundus autofluorescence in recessive Stargardt disease. J. Neurosci. Res. 2019, 97, 98–106. [Google Scholar] [CrossRef]
- Sparrow, J.R.; Marsiglia, M.; Allikmets, R.; Tsang, S.; Lee, W.; Duncker, T.; Zernant, J. Flecks in Recessive Stargardt Disease: Short-Wavelength Autofluorescence, Near-Infrared Autofluorescence, and Optical Coherence Tomography. Investig. Ophthalmol. Vis. Sci. 2015, 56, 5029–5039. [Google Scholar] [CrossRef]
- Al-Khuzaei, S.; Shah, M.; Foster, C.R.; Yu, J.; Broadgate, S.; Halford, S.; Downes, S.M. The role of multimodal imaging and vision function testing in ABCA4-related retinopathies and their relevance to future therapeutic interventions. Ther. Adv. Ophthalmol. 2021, 13, 25158414211056384. [Google Scholar] [CrossRef] [PubMed]
- Khan, K.N.; Kasilian, M.; Mahroo, O.A.R.; Tanna, P.; Kalitzeos, A.; Robson, A.G.; Tsunoda, K.; Iwata, T.; Moore, A.T.; Fujinami, K.; et al. Early Patterns of Macular Degeneration in ABCA4-Associated Retinopathy. Ophthalmology 2018, 125, 735–746. [Google Scholar] [CrossRef]
- Bax, N.M.; Lambertus, S.; Cremers, F.P.M.; Klevering, B.J.; Hoyng, C.B. The absence of fundus abnormalities in Stargardt disease. Graefe’s Arch. Clin. Exp. Ophthalmol. 2019, 257, 1147–1157. [Google Scholar] [CrossRef]
- Heath Jeffery, R.C.; Chen, F.K. Stargardt disease: Multimodal imaging: A review. Clin. Exp. Ophthalmol. 2021, 49, 498–515. [Google Scholar] [CrossRef]
- Testa, F.; Rossi, S.; Sodi, A.; Passerini, I.; Di Iorio, V.; Della Corte, M.; Banfi, S.; Surace, E.M.; Menchini, U.; Auricchio, A.; et al. Correlation between photoreceptor layer integrity and visual function in patients with Stargardt disease: Implications for gene therapy. Investig. Ophthalmol. Vis. Sci. 2012, 53, 4409–4415. [Google Scholar] [CrossRef]
- Alabduljalil, T.; Patel, R.C.; Alqahtani, A.A.; Gao, S.S.; Gale, M.J.; Zhang, M.; Jia, Y.; Huang, D.; Chiang, P.W.; Chen, R.; et al. Correlation of Outer Retinal Degeneration and Choriocapillaris Loss in Stargardt Disease Using En Face Optical Coherence Tomography and Optical Coherence Tomography Angiography. Am. J. Ophthalmol. 2019, 202, 79–90. [Google Scholar] [CrossRef]
- Gersch, J.; Hufendiek, K.; Delarocque, J.; Framme, C.; Jacobsen, C.; Stöhr, H.; Kellner, U.; Hufendiek, K. Investigation of Structural Alterations in Inherited Retinal Diseases: A Quantitative SD-OCT-Analysis of Retinal Layer Thicknesses in Light of Underlying Genetic Mutations. Int. J. Mol. Sci. 2022, 23, 16007. [Google Scholar] [CrossRef] [PubMed]
- Strauss, R.W.; Muñoz, B.; Wolfson, Y.; Sophie, R.; Fletcher, E.; Bittencourt, M.G.; Scholl, H.P. Assessment of estimated retinal atrophy progression in Stargardt macular dystrophy using spectral-domain optical coherence tomography. Br. J. Ophthalmol. 2016, 100, 956–962. [Google Scholar] [CrossRef] [PubMed]
- Cai, C.X.; Light, J.G.; Handa, J.T. Quantifying the Rate of Ellipsoid Zone Loss in Stargardt Disease. Am. J. Ophthalmol. 2018, 186, 1–9. [Google Scholar] [CrossRef]
- Cicinelli, M.V.; Battista, M.; Starace, V.; Battaglia Parodi, M.; Bandello, F. Monitoring and Management of the Patient with Stargardt Disease. Clin. Optom. 2019, 11, 151–165. [Google Scholar] [CrossRef] [PubMed]
- Guduru, A.; Lupidi, M.; Gupta, A.; Jalali, S.; Chhablani, J. Comparative analysis of autofluorescence and OCT angiography in Stargardt disease. Br. J. Ophthalmol. 2018, 102, 1204–1207. [Google Scholar] [CrossRef] [PubMed]
- Mastropasqua, R.; Toto, L.; Borrelli, E.; Di Antonio, L.; Mattei, P.A.; Senatore, A.; Di Nicola, M.; Mariotti, C. Optical Coherence Tomography Angiography Findings in Stargardt Disease. PLoS ONE 2017, 12, e0170343. [Google Scholar] [CrossRef]
- Sabbaghi, H.; Daftarian, N.; Hassanpour, K.; Fekri, S.; Nourinia, R.; Suri, F.; Kheiri, B.; Yaseri, M.; Rajabpour, M.; Sheibani, K.; et al. Retinal Vascular Abnormalities in Different Types of Inherited Retinal Dystrophies Assessed by Optical Coherence Tomography Angiography. J. Curr. Ophthalmol. 2021, 33, 189–196. [Google Scholar] [CrossRef]
- Reich, M.; Glatz, A.; Cakir, B.; Böhringer, D.; Lang, S.; Küchlin, S.; Joachimsen, L.; Lagreze, W.; Agostini, H.T.; Lange, C. Characterisation of vascular changes in different stages of Stargardt disease using double swept-source optical coherence tomography angiography. BMJ Open Ophthalmol. 2019, 4, e000318. [Google Scholar] [CrossRef]
- Ratra, D.; Tan, R.; Jaishankar, D.; Khandelwal, N.; Gupta, A.; Chhablani, J.; Agrawal, R. Choroidal structural changes and vascularity index in stargardt disease on swept source optical coherence tomography. Retina 2018, 38, 2395–2400. [Google Scholar] [CrossRef]
- Arrigo, A.; Romano, F.; Aragona, E.; di Nunzio, C.; Sperti, A.; Bandello, F.; Battaglia Parodi, M. OCTA-Based Identification of Different Vascular Patterns in Stargardt Disease. Transl. Vis. Sci. Technol. 2019, 8, 26. [Google Scholar] [CrossRef]
- Corbelli, E.; Sacconi, R.; Battista, M.; Bacherini, D.; Miere, A.; Borrelli, E.; Costanzo, E.; Vella, G.; Parravano, M.; Ziccardi, L.; et al. Choroidal vascularity index in eyes with central macular atrophy secondary to age-related macular degeneration and Stargardt disease. Graefe’s Arch. Clin. Exp. Ophthalmol. 2022, 260, 1525–1534. [Google Scholar] [CrossRef] [PubMed]
- Abdolrahimzadeh, S.; Formisano, M.; Di Pippo, M.; Lodesani, M.; Lotery, A.J. The Role of the Choroid in Stargardt Disease. Int. J. Mol. Sci. 2022, 23, 7607. [Google Scholar] [CrossRef] [PubMed]
- Medina, C.A.; Plesec, T.; Singh, A.D. Optical coherence tomography imaging of ocular and periocular tumours. Br. J. Ophthalmol. 2014, 98, ii40. [Google Scholar] [CrossRef]
- Shields, C.L.; Manalac, J.; Das, C.; Saktanasate, J.; Shields, J.A. Review of spectral domain-enhanced depth imaging optical coherence tomography of tumors of the retina and retinal pigment epithelium in children and adults. Indian J. Ophthalmol. 2015, 63, 128–132. [Google Scholar] [CrossRef] [PubMed]
- Nadiarnykh, O.; McNeill-Badalova, N.A.; Gaillard, M.C.; Bosscha, M.I.; Fabius, A.W.M.; Verbraak, F.D.; Munier, F.L.; de Boer, J.F.; Moll, A.C. Optical coherence tomography (OCT) to image active and inactive retinoblastomas as well as retinomas. Acta Ophthalmol. 2020, 98, 158–165. [Google Scholar] [CrossRef]
- Rootman, D.B.; Gonzalez, E.; Mallipatna, A.; VandenHoven, C.; Hampton, L.; Dimaras, H.; Chan, H.S.L.; Gallie, B.L.; Heon, E. Hand-held high-resolution spectral domain optical coherence tomography in retinoblastoma: Clinical and morphologic considerations. Br. J. Ophthalmol. 2013, 97, 59. [Google Scholar] [CrossRef]
- Gonzalez-Montpetit, M.E.; Samara, W.A.; Magrath, G.N.; Shields, C.L. Detection of Minimally Visible Recurrent Retinoblastoma by Hand-held Spectral-Domain Optical Coherence Tomography. J. Pediatr. Ophthalmol. Strabismus 2017, 54, e6–e8. [Google Scholar] [CrossRef]
- Welch, R.J.; Rao, R.; Gordon, P.S.; Say, E.A.T.; Shields, C.L. Optical Coherence Tomography of Small Retinoblastoma. Asia. Pac. J. Ophthalmol. 2018, 7, 301–306. [Google Scholar] [CrossRef]
- Saktanasate, J.; Vongkulsiri, S.; Khoo, C.T.L. Invisible Retinoblastoma. JAMA Ophthalmol. 2015, 133, e151123. [Google Scholar] [CrossRef]
- Soliman, S.E.; VandenHoven, C.; MacKeen, L.D.; Héon, E.; Gallie, B.L. Optical Coherence Tomography-Guided Decisions in Retinoblastoma Management. Ophthalmology 2017, 124, 859–872. [Google Scholar] [CrossRef]
- Cao, C.; Markovitz, M.; Ferenczy, S.; Shields, C.L. Hand-held spectral-domain optical coherence tomography of small macular retinoblastoma in infants before and after chemotherapy. J. Pediatr. Ophthalmol. Strabismus 2014, 51, 230–234. [Google Scholar] [CrossRef] [PubMed]
- Damodaran, S.; Bajaj, M.S.; Sharma, P.; Kumar, A.; Chawla, R.; Pujari, A.; Garg, G.; Temkar, S. Swept-source optical coherence tomography features of regressed macular retinoblastoma. Indian J. Ophthalmol. 2019, 67, 2013–2018. [Google Scholar] [CrossRef] [PubMed]
- Fernandez, J.P.; Haider, A.A.; Vajzovic, L.; Ponugoti, A.; Kelly, M.P.; Materin, M.A. Optical Coherence Tomography Angiography Microvascular Variations in Pre- and Posttreatment of Retinoblastoma Tumors. Ocul. Oncol. Pathol. 2021, 7, 330–339. [Google Scholar] [CrossRef] [PubMed]
- Thomas, A.S.; Hsu, S.T.; House, R.J.; Finn, A.P.; Kelly, M.P.; Toth, C.A.; Materin, M.A.; Vajzovic, L. Microvascular Features of Treated Retinoblastoma Tumors in Children Assessed Using OCTA. Ophthalmic Surg. Lasers Imaging Retin. 2019, 51, 43–49. [Google Scholar] [CrossRef]
- Nadiarnykh, O.; Davidoiu, V.; Gräfe, M.G.O.; Bosscha, M.; Moll, A.C.; de Boer, J.F. Phase-based OCT angiography in diagnostic imaging of pediatric retinoblastoma patients: Abnormal blood vessels in post-treatment regression patterns. Biomed. Opt. Express 2019, 10, 2213–2226. [Google Scholar] [CrossRef]
- Gaillard, M.C.; Houghton, S.; Stathopoulos, C.; Munier, F.L. OCT-guided management of subclinical recurrent retinoblastoma. Ophthalmic Genet. 2018, 39, 338–343. [Google Scholar] [CrossRef]
- Ashkenazy, N.; Diaz, J.D.; Hansen, E.D.; Harbour, J.W.; Correa, Z.M. Cyst-like recurrence of retinoblastoma diagnosed by multimodal imaging. Am. J. Ophthalmol. Case Rep. 2022, 27, 101678. [Google Scholar] [CrossRef]
- Yi, X.; Sun, J.; Qian, J.; Guo, J.; Xue, K. Quantitative evaluation of retinal microvasculature and retrobulbar vessels after intravenous chemotherapy for retinoblastoma. BMC Ophthalmol. 2021, 21, 405. [Google Scholar] [CrossRef]
- Sioufi, K.; Say, E.A.T.; Ferenczy, S.C.; Leahey, A.M.; Shields, C.L. Optical coherence tomography angiography findings of deep capillary plexus microischemia after intravenous chemotherapy for retinoblastoma. Retina 2019, 39, 371–378. [Google Scholar] [CrossRef]
- Skalet, A.H.; Campbell, J.P.; Jian, Y. Ultrawide-field OCT for Retinoblastoma. Ophthalmology 2022, 129, 718. [Google Scholar] [CrossRef]
- Diala, F.G.I.; McCarthy, K.; Chen, J.L.; Tsui, E. Multimodal imaging in pediatric uveitis. Ther. Adv. Ophthalmol. 2021, 13, 25158414211059244. [Google Scholar] [CrossRef] [PubMed]
- Balbaba, M.; Ulaş, F.; Postacı, S.A.; Çeliker, Ü.; Gürgöze, M.K. Clinical and Demographic Features of Pediatric-Onset Behçet’s Disease and Evaluation of Optical Coherence Tomography Findings. Ocul. Immunol. Inflamm. 2020, 28, 606–612. [Google Scholar] [CrossRef]
- Qu, Y.; Zhao, C.; Pei, M.; Liang, A.; Gao, F.; Zhang, M. Anterior Segment Inflammation in Pediatric Uveitis Is Associated with Reduced Retinal Vascular Density as Quantified by Optical Coherence Tomography Angiography. Ocul. Immunol. Inflamm. 2022, 30, 392–396. [Google Scholar] [CrossRef] [PubMed]
- Elnahry, A.G.; Hassan, L.M.; Abdelrahman, W.; Abd Elmohsen, M.N. Optical coherence tomography angiography (OCTA) findings in juvenile idiopathic arthritis. Egypt. Rheumatol. 2023, 45, 105–110. [Google Scholar] [CrossRef]
- Yılmaz Tuğan, B.; Sönmez, H.E. Optical coherence tomography angiography of subclinical ocular features in pediatric Behçet disease. J. AAPOS 2022, 26, 24.e1–24.e6. [Google Scholar] [CrossRef] [PubMed]
- Gjerde, H.; Mantagos, I.S. Charting the Globe: How Technologies Have Affected Our Understanding of Retinal Findings in Abusive Head Trauma/Shaken Baby Syndrome. Semin. Ophthalmol. 2021, 36, 205–209. [Google Scholar] [CrossRef] [PubMed]
- Muni, R.H.; Kohly, R.P.; Sohn, E.H.; Lee, T.C. Hand-held spectral domain optical coherence tomography finding in shaken-baby syndrome. Retina 2010, 30, S45–S50. [Google Scholar] [CrossRef]
- Echegaray, J.J.; Iyer, P.; Acon, D.; Negron, C.; El Hamichi, S.; Berrocal, A.M. Superficial and Deep Capillary Plexus Nonperfusion in Nonaccidental Injury on OCTA. J. Vitreoretin. Dis. 2023, 7, 79–82. [Google Scholar] [CrossRef] [PubMed]
- Hugo, J.; Beylerian, M.; Denion, E.; Aziz, A.; Gascon, P.; Denis, D.; Matonti, F. Multimodal imaging of torpedo maculopathy including adaptive optics. Eur. J. Ophthalmol. 2020, 30, Np27–Np31. [Google Scholar] [CrossRef] [PubMed]
- Shirley, K.; O’Neill, M.; Gamble, R.; Ramsey, A.; McLoone, E. Torpedo maculopathy: Disease spectrum and associated choroidal neovascularisation in a paediatric population. Eye 2018, 32, 1315–1320. [Google Scholar] [CrossRef]
- Giannakaki-Zimmermann, H.; Munk, M.R.; Dysli, C.; Ebneter, A.; Wolf, S.; Zinkernagel, M.S. Optical coherence tomography angiography features of torpedo maculopathy. Retin. Cases Brief Rep. 2019, 13, 337–342. [Google Scholar] [CrossRef] [PubMed]
- Lim, M.E.; Jiramongkolchai, K.; Xu, L.; Freedman, S.F.; Tai, V.; Toth, C.A.; El-Dairi, M.A. Handheld Optical Coherence Tomography Normative Inner Retinal Layer Measurements for Children <5 Years of Age. Am. J. Ophthalmol. 2019, 207, 232–239. [Google Scholar] [CrossRef] [PubMed]
- Hormel, T.T.; Hwang, T.S.; Bailey, S.T.; Wilson, D.J.; Huang, D.; Jia, Y. Artificial intelligence in OCT angiography. Prog. Retin. Eye Res. 2021, 85, 100965. [Google Scholar] [CrossRef]
- Lo, J.; Heisler, M.; Vanzan, V.; Karst, S.; Matovinović, I.Z.; Lončarić, S.; Navajas, E.V.; Beg, M.F.; Šarunić, M.V. Microvasculature Segmentation and Intercapillary Area Quantification of the Deep Vascular Complex Using Transfer Learning. Transl. Vis. Sci. Technol. 2020, 9, 38. [Google Scholar] [CrossRef] [PubMed]
- Ran, A.; Cheung, C.Y. Deep Learning-Based Optical Coherence Tomography and Optical Coherence Tomography Angiography Image Analysis: An Updated Summary. Asia. Pac. J. Ophthalmol. 2021, 10, 253–260. [Google Scholar] [CrossRef]
- Govindasamy, N.; Ratra, D.; Dalan, D.; Mochi, T.B.; Sinha Roy, A. Artificial intelligence effectively combined OCT and OCTA indices to improve early detection of diabetic retinopathy (DR). Investig. Ophthalmol. Vis. Sci. 2019, 60, 1434. [Google Scholar]
- Campbell, J.P.; Chiang, M.F.; Chen, J.S.; Moshfeghi, D.M.; Nudleman, E.; Ruambivoonsuk, P.; Cherwek, H.; Cheung, C.Y.; Singh, P.; Kalpathy-Cramer, J.; et al. Artificial Intelligence for Retinopathy of Prematurity: Validation of a Vascular Severity Scale against International Expert Diagnosis. Ophthalmology 2022, 129, e69–e76. [Google Scholar] [CrossRef]
- Nguyen, T.X.; Ran, A.R.; Hu, X.; Yang, D.; Jiang, M.; Dou, Q.; Cheung, C.Y. Federated Learning in Ocular Imaging: Current Progress and Future Direction. Diagnostics 2022, 12, 2835. [Google Scholar] [CrossRef]
- Campbell, J.P.; Mathenge, C.; Cherwek, H.; Balaskas, K.; Pasquale, L.R.; Keane, P.A.; Chiang, M.F. Artificial Intelligence to Reduce Ocular Health Disparities: Moving From Concept to Implementation. Transl. Vis. Sci. Technol. 2021, 10, 19. [Google Scholar] [CrossRef]
- Lim, M.E.; O’Reilly, D.; Tarride, J.E.; Burke, N.; Ferrusi, I.L.; Campbell, K.; Goeree, R. Health technology assessment for radiologists: Basic principles and evaluation framework. J. Am. Coll. Radiol. 2009, 6, 299–306. [Google Scholar] [CrossRef]




| Diseases | OCT | OCTA | ||
|---|---|---|---|---|
| Thickness | Structures | FAZ | VD | |
| Vascular Diseases | ||||
| ROP |
|
| Reduced |
|
| FEVR | Increased |
| Reduced in most studies Koulilis et al. found FAZ larger only in the deep retina layer in stage I and II FEVR |
|
| Coats disease | Increased |
| Reduced, even absence or obliteration may accompany crossing vessels in the FAZ |
|
| IP | Normal or focal inner or outer retinal thinning |
| Reduced |
|
| Type 1 DR |
| DME, epiretinal membranes, vitreoretinal traction, hyper-reflective foci | Enlarged |
|
| Inherited Diseases | ||||
| XLJR | Increased |
| Irregular and enlarged |
|
| STGD | Decreased central foveal, parafoveal thickness and total macular volume over time |
| Enlarged |
|
| Neoplasm | ||||
| Rb | Increased, dome-shaped |
| Unaffected after treatment |
|
| Inflammatory Disease | ||||
| JIA-related uveitis | Decreased in moderate/severe disease |
| Enlarged in moderate/severe disease |
|
| Miscellaneous | ||||
| NAI | Increased due to hemorrhage |
| N/A |
|
| Torpedo maculopathy | Usually normal, may decrease due to atrophic change |
| N/A |
|
Disclaimer/Publisher’s Note: The statements, opinions and data contained in all publications are solely those of the individual author(s) and contributor(s) and not of MDPI and/or the editor(s). MDPI and/or the editor(s) disclaim responsibility for any injury to people or property resulting from any ideas, methods, instructions or products referred to in the content. |
© 2023 by the authors. Licensee MDPI, Basel, Switzerland. This article is an open access article distributed under the terms and conditions of the Creative Commons Attribution (CC BY) license (https://creativecommons.org/licenses/by/4.0/).
Share and Cite
Wang, C.-T.; Chang, Y.-H.; Tan, G.S.W.; Lee, S.Y.; Chan, R.V.P.; Wu, W.-C.; Tsai, A.S.H. Optical Coherence Tomography and Optical Coherence Tomography Angiography in Pediatric Retinal Diseases. Diagnostics 2023, 13, 1461. https://doi.org/10.3390/diagnostics13081461
Wang C-T, Chang Y-H, Tan GSW, Lee SY, Chan RVP, Wu W-C, Tsai ASH. Optical Coherence Tomography and Optical Coherence Tomography Angiography in Pediatric Retinal Diseases. Diagnostics. 2023; 13(8):1461. https://doi.org/10.3390/diagnostics13081461
Chicago/Turabian StyleWang, Chung-Ting, Yin-Hsi Chang, Gavin S. W. Tan, Shu Yen Lee, R. V. Paul Chan, Wei-Chi Wu, and Andrew S. H. Tsai. 2023. "Optical Coherence Tomography and Optical Coherence Tomography Angiography in Pediatric Retinal Diseases" Diagnostics 13, no. 8: 1461. https://doi.org/10.3390/diagnostics13081461
APA StyleWang, C.-T., Chang, Y.-H., Tan, G. S. W., Lee, S. Y., Chan, R. V. P., Wu, W.-C., & Tsai, A. S. H. (2023). Optical Coherence Tomography and Optical Coherence Tomography Angiography in Pediatric Retinal Diseases. Diagnostics, 13(8), 1461. https://doi.org/10.3390/diagnostics13081461

