The Role of MRI in the Diagnosis of Solid Pseudopapillary Neoplasm of the Pancreas and Its Mimickers: A Case-Based Review with Emphasis on Differential Diagnosis
Abstract
1. Introduction
2. Typical Imaging Presentation of Solid Pseudopapillary Neoplasms
3. Solid Pseudopapillary Neoplasm Mimicking Other Solid Pancreatic Lesions
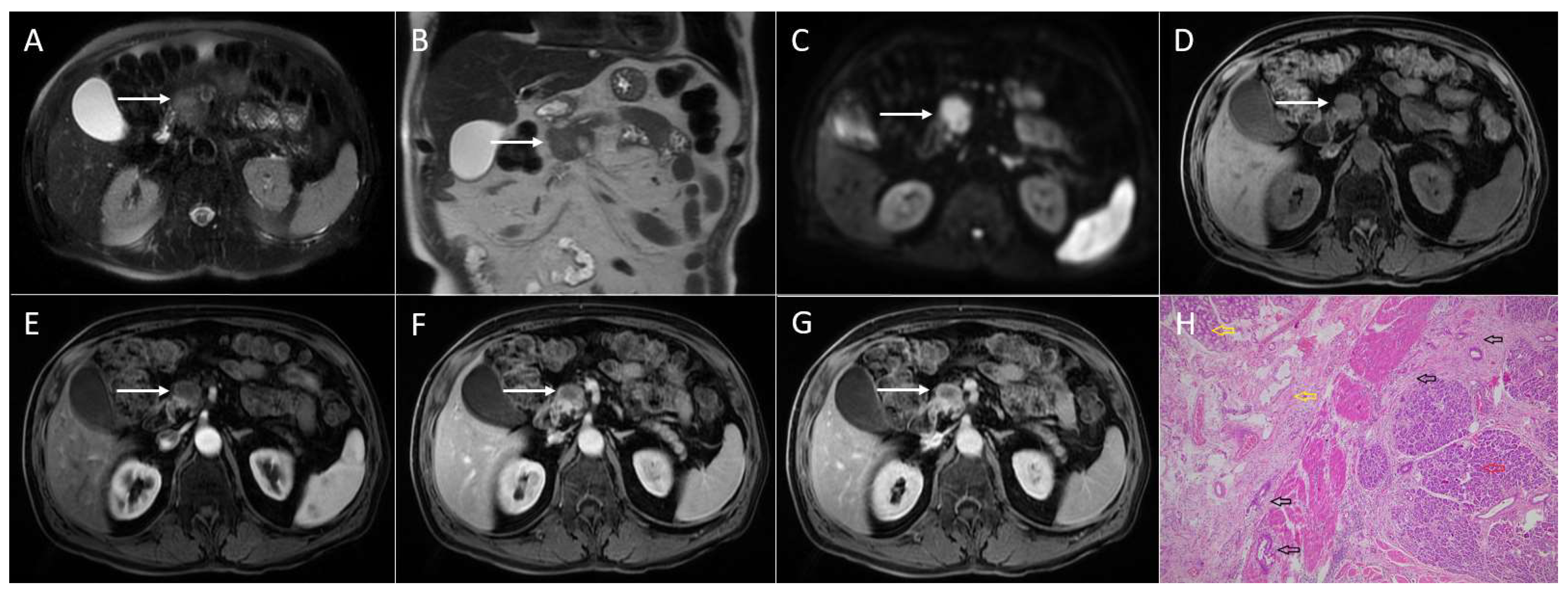
3.1. Neuroendocrine Tumors
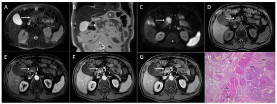
3.2. Pancreatic Adenocarcinoma
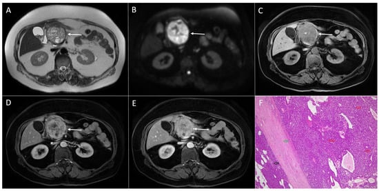
3.3. Intrapancreatic Accessory Spleen
3.4. Pancreatic Metastases
4. Solid Pseudopapillary Neoplasm Mimicking Cystic Pancreatic Lesions
4.1. Serous Cystadenoma
4.2. Mucinous Cystic Neoplasm
4.3. Walled-Off Necrosis
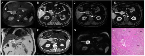
4.4. Cystic Neuroendocrine Tumors
5. Conclusions
Author Contributions
Funding
Institutional Review Board Statement
Informed Consent Statement
Data Availability Statement
Conflicts of Interest
References
- Papavramidis, T.; Papavramidis, S. Solid pseudopapillary tumors of the pancreas: Review of 718 patients reported in English literature. J. Am. Coll. Surg. 2005, 200, 965–972. [Google Scholar] [CrossRef] [PubMed]
- Ganeshan, D.M.; Paulson, E.; Tamm, E.P.; Taggart, M.W.; Balachandran, A.; Bhosale, P. Solid pseudo-papillary tumors of the pancreas: Current update. Abdom. Imaging 2013, 38, 1373–1382. [Google Scholar] [CrossRef]
- Kloppel, G.; Hurban, R.; Luttges, J.; Kern, S.; Klimstra, D.; Adler, G. Tumors of the Exocrine Pancreas. In World Health Organization Classification of Tumors of the Digestive System, 4th ed.; Bosman, F.T., Carnerio, F., Hruban, R.H., Theise, N.D., Eds.; WHO Press: Geneva, Switzerland, 2010; pp. 246–248. [Google Scholar]
- Kloppel, G.; Solcia, E.; Longnecker, D.S.; Capella, C.; Sobin, L.H. World Health Organization: Institutional Histological Classifications of Tumors—Histological Typing of Tumours of Exoxrine Pancreas, 2nd ed.; Springer Verlag: Berlin, Germany, 1996. [Google Scholar]
- Machado, M.C.; Machado, M.A.; Bacchella, T.; Jukemura, J.; Almeida, J.L.; Cunha, J.E. Solid pseudopapillary neoplasm of the pancreas: Distinct patterns of onset, diagnosis, and prognosis for male versus female patients. Surgery 2008, 143, 29–34. [Google Scholar] [CrossRef]
- De Robertis, R.; Marchegiani, G.; Catania, M.; Ambrosetti, M.C.; Capelli, P.; Salvia, R.; D’Onofrio, M. Solid Pseudopapillary Neoplasms of the Pancreas: Clinicopathologic and Radiologic Features According to Size. AJR Am. J. Roentgenol. 2019, 213, 1073–1080. [Google Scholar] [CrossRef]
- Adams, A.L.; Siegal, G.P.; Jhala, N.C. Solid pseudopapillary tumor of the pancreas: A review of salient clinical and pathologic features. Adv. Anat. Pathol. 2008, 15, 39–45. [Google Scholar] [CrossRef] [PubMed]
- Cienfuegos, J.A.; Lozano, M.D.; Rotellar, F.; Martí, P.; Pedano, N.; Arredondo, J.; Bellver, M.; Sola, J.J.; Pardo, F. Solid pseudopapillary tumor of the pancreas (SPPT). Still an unsolved enigma. Rev. Esp. Enferm. Dig. 2010, 102, 722–728. [Google Scholar] [CrossRef] [PubMed]
- Canzonieri, V.; Berretta, M.; Buonadonna, A.; Libra, M.; Vasquez, E.; Barbagallo, E.; Bearz, A.; Berretta, S. Solid pseudopapillary tumour of the pancreas. Lancet Oncol. 2003, 4, 255–256. [Google Scholar] [CrossRef]
- Kosmahl, M.; Seada, L.S.; Jänig, U.; Harms, D.; Klöppel, G. Solid-pseudopapillary tumor of the pancreas: Its origin revisited. Virchows Arch. 2000, 436, 473–480. [Google Scholar] [CrossRef]
- Anil, G.; Zhang, J.; Al Hamar, N.E.; Nga, M.E. Solid pseudopapillary neoplasm of the pancreas: CT imaging features and radiologic-pathologic correlation. Diagn. Interv. Radiol. 2017, 23, 94–99. [Google Scholar] [CrossRef] [PubMed]
- Adsay, N.V. Cystic neoplasia of the pancreas: Pathology and biology. J. Gastrointest. Surg. 2008, 12, 401–404. [Google Scholar] [CrossRef]
- Omiyale, A.O. Solid pseudopapillary neoplasm of the pancreas. World J. Hepatol. 2021, 13, 896–903. [Google Scholar] [CrossRef] [PubMed]
- Coleman, K.M.; Doherty, M.C.; Bigler, S.A. Solid-pseudopapillary tumor of the pancreas. Radiographics 2003, 23, 1644–1648. [Google Scholar] [CrossRef]
- Koo, C.S.; Ho, K.Y. The role of EUS-FNA in the evaluation of pancreatic cystic lesions. Endosc. Ultrasound 2020, 9, 71–75. [Google Scholar] [CrossRef]
- Klimstra, D.S.; Wenig, B.M.; Heffess, C.S. Solid-pseudopapillary tumor of the pancreas: A typically cystic carcinoma of low malignant potential. Semin. Diagn. Pathol. 2000, 17, 66–80. [Google Scholar]
- Liu, M.; Liu, J.; Hu, Q.; Xu, W.; Liu, W.; Zhang, Z.; Sun, Q.; Qin, Y.; Yu, X.; Ji, S.; et al. Management of solid pseudopapillary neoplasms of pancreas: A single center experience of 243 consecutive patients. Pancreatology 2019, 19, 681–685. [Google Scholar] [CrossRef] [PubMed]
- Chung, E.M.; Travis, M.D.; Conran, R.M. Pancreatic tumors in children: Radiologic-pathologic correlation. Radiographics 2006, 26, 1211–1238. [Google Scholar] [CrossRef]
- Lee, J.H.; Yu, J.S.; Kim, H.; Kim, J.K.; Kim, T.H.; Kim, K.W.; Park, M.S.; Kim, J.H.; Kim, Y.B.; Park, C. Solid pseudopapillary carcinoma of the pancreas: Differentiation from benign solid pseudopapillary tumour using CT and MRI. Clin. Radiol. 2008, 63, 1006–1014. [Google Scholar] [CrossRef] [PubMed]
- Ventriglia, A.; Manfredi, R.; Mehrabi, S.; Boninsegna, E.; Negrelli, R.; Pedrinolla, B.; Pozzi Mucelli, R. MRI features of solid pseudopapillary neoplasm of the pancreas. Abdom. Imaging 2014, 39, 1213–1220. [Google Scholar] [CrossRef] [PubMed]
- Chae, S.H.; Lee, J.M.; Baek, J.H.; Shin, C.I.; Yoo, M.H.; Yoon, J.H.; Kim, J.H.; Han, J.K.; Choi, B.I. Magnetic resonance imaging spectrum of solid pseudopapillary neoplasm of the pancreas. J. Comput. Assist. Tomogr. 2014, 38, 249–257. [Google Scholar] [CrossRef]
- Guerrache, Y.; Soyer, P.; Dohan, A.; Faraoun, S.A.; Laurent, V.; Tasu, J.P.; Aubé, C.; Cazejust, J.; Boudiaf, M.; Hoeffel, C. Solid-pseudopapillary tumor of the pancreas: MR imaging findings in 21 patients. Clin. Imaging 2014, 38, 475–482. [Google Scholar] [CrossRef]
- Buetow, P.C.; Buck, J.L.; Pantongrag-Brown, L.; Beck, K.G.; Ros, P.R.; Adair, C.F. Solid and papillary epithelial neoplasm of the pancreas: Imaging-pathologic correlation on 56 cases. Radiology 1996, 199, 707–711. [Google Scholar] [CrossRef]
- Yao, X.; Ji, Y.; Zeng, M.; Rao, S.; Yang, B. Solid pseudopapillary tumor of the pancreas: Cross-sectional imaging and pathologic correlation. Pancreas 2010, 39, 486–491. [Google Scholar] [CrossRef] [PubMed]
- Choi, J.Y.; Kim, M.J.; Kim, J.H.; Kim, S.H.; Lim, J.S.; Oh, Y.T.; Chung, J.J.; Yoo, H.S.; Lee, J.T.; Kim, K.W. Solid pseudopapillary tumor of the pancreas: Typical and atypical manifestations. AJR Am. J. Roentgenol. 2006, 187, W178–W186. [Google Scholar] [CrossRef]
- Ohtomo, K.; Furui, S.; Onoue, M.; Okada, Y.; Kusano, S.; Shiga, J.; Suda, K. Solid and papillary epithelial neoplasm of the pancreas: MR imaging and pathologic correlation. Radiology 1992, 184, 567–570. [Google Scholar] [CrossRef]
- Santini, D.; Poli, F.; Lega, S. Solid-papillary tumors of the pancreas: Histopathology. JOP 2006, 7, 131–136. [Google Scholar] [PubMed]
- Law, J.K.; Ahmed, A.; Singh, V.K.; Akshintala, V.S.; Olson, M.T.; Raman, S.P.; Ali, S.Z.; Fishman, E.K.; Kamel, I.; Canto, M.I.; et al. A systematic review of solid-pseudopapillary neoplasms: Are these rare lesions? Pancreas 2014, 43, 331–337. [Google Scholar] [CrossRef]
- Alexandrescu, D.T.; O’Boyle, K.; Feliz, A.; Fueg, A.; Wiernik, P.H. Metastatic solid-pseudopapillary tumour of the pancreas: Clinico-biological correlates and management. Clin. Oncol. (R Coll Radiol.) 2005, 17, 358–363. [Google Scholar] [CrossRef]
- Nishihara, K.; Nagoshi, M.; Tsuneyoshi, M.; Yamaguchi, K.; Hayashi, I. Papillary cystic tumors of the pancreas. Assessment of their malignant potential. Cancer 1993, 71, 82–92. [Google Scholar] [CrossRef] [PubMed]
- Chung, Y.E.; Kim, M.J.; Choi, J.Y.; Lim, J.S.; Hong, H.S.; Kim, Y.C.; Cho, H.J.; Kim, K.A.; Choi, S.Y. Differentiation of benign and malignant solid pseudopapillary neoplasms of the pancreas. J. Comput. Assist. Tomogr. 2009, 33, 689–694. [Google Scholar] [CrossRef]
- Barral, M.; Faraoun, S.A.; Fishman, E.K.; Dohan, A.; Pozzessere, C.; Berthelin, M.A.; Bazeries, P.; Barat, M.; Hoeffel, C.; Soyer, P. Imaging features of rare pancreatic tumors. Diagn. Interv. Imaging 2016, 97, 1259–1273. [Google Scholar] [CrossRef]
- Yang, F.; Jin, C.; Long, J.; Yu, X.J.; Xu, J.; Di, Y.; Li, J.; Fu, de, L.; Ni, Q.X. Solid pseudopapillary tumor of the pancreas: A case series of 26 consecutive patients. Am. J. Surg. 2009, 198, 210–215. [Google Scholar] [CrossRef] [PubMed]
- Takahashi, Y.; Fukusato, T.; Aita, K.; Toida, S.; Fukushima, J.; Imamura, T.; Tanaka, F.; Amano, H.; Takada, T.; Mori, S. Solid pseudopapillary tumor of the pancreas with metastases to the lung and liver. Pathol. Int. 2005, 55, 792–796. [Google Scholar] [CrossRef]
- Hassan, I.; Celik, I.; Nies, C.; Zielke, A.; Gerdes, B.; Moll, R.; Ramaswamy, A.; Wagner, H.J.; Bartsch, D.K. Successful treatment of solid-pseudopapillary tumor of the pancreas with multiple liver metastases. Pancreatology 2005, 5, 289–294. [Google Scholar] [CrossRef] [PubMed]
- Lee, Y.R.; Kim, Y.; Koh, B.H.; Cho, O.K.; Rhim, H.; Park, D.W.; Park, H.K. Solid and papillary epithelial neoplasm of the pancreas with peritoneal metastasis and its recurrence: A case report. Abdom. Imaging 2003, 28, 96–98. [Google Scholar] [CrossRef] [PubMed]
- Martin, R.C.; Klimstra, D.S.; Brennan, M.F.; Conlon, K.C. Solid-pseudopapillary tumor of the pancreas: A surgical enigma? Ann. Surg. Oncol. 2002, 9, 35–40. [Google Scholar] [CrossRef]
- Yu, C.C.; Tseng, J.H.; Yeh, C.N.; Hwang, T.L.; Jan, Y.Y. Clinicopathological study of solid and pseudopapillary tumor of pancreas: Emphasis on magnetic resonance imaging findings. World J. Gastroenterol. 2007, 13, 1811–1815. [Google Scholar] [CrossRef]
- Yu, M.H.; Lee, J.Y.; Kim, M.A.; Kim, S.H.; Lee, J.M.; Han, J.K.; Choi, B.I. MR imaging features of small solid pseudopapillary tumors: Retrospective differentiation from other small solid pancreatic tumors. AJR Am. J. Roentgenol. 2010, 195, 1324–1332. [Google Scholar] [CrossRef]
- Tipton, S.G.; Smyrk, T.C.; Sarr, M.G.; Thompson, G.B. Malignant potential of solid pseudopapillary neoplasm of the pancreas. Br. J. Surg. 2006, 93, 733–737. [Google Scholar] [CrossRef]
- Gao, H.; Gao, Y.; Yin, L.; Wang, G.; Wei, J.; Jiang, K.; Miao, Y. Risk Factors of the Recurrences of Pancreatic Solid Pseudopapillary Tumors: A Systematic Review and Meta-analysis. J. Cancer 2018, 9, 1905–1914. [Google Scholar] [CrossRef]
- Jutric, Z.; Rozenfeld, Y.; Grendar, J.; Hammill, C.W.; Cassera, M.A.; Newell, P.H.; Hansen, P.D.; Wolf, R.F. Analysis of 340 Patients with Solid Pseudopapillary Tumors of the Pancreas: A Closer Look at Patients with Metastatic Disease. Ann. Surg. Oncol 2017, 24, 2015–2022. [Google Scholar] [CrossRef]
- Baek, J.H.; Lee, J.M.; Kim, S.H.; Kim, S.J.; Kim, S.H.; Lee, J.Y.; Han, J.K.; Choi, B.I. Small (≤3 cm) Solid Pseudopapillary Tumors of the Pancreas at Multiphasic Multidetector CT. Radiology 2010, 257, 97–106. [Google Scholar] [CrossRef]
- Ansari, N.A.; Ramalho, M.; Semelka, R.C.; Buonocore, V.; Gigli, S.; Maccioni, F. Role of magnetic resonance imaging in the detection and characterization of solid pancreatic nodules: An update. World J. Radiol. 2015, 7, 361–374. [Google Scholar] [CrossRef] [PubMed]
- Mergo, P.J.; Helmberger, T.K.; Buetow, P.C.; Helmberger, R.C.; Ros, P.R. Pancreatic neoplasms: MR imaging and pathologic correlation. Radiographics 1997, 17, 281–301. [Google Scholar] [CrossRef] [PubMed]
- Ros, P.R.; Mortelé, K.J. Imaging features of pancreatic neoplasms. JBR-BTR 2001, 84, 239–249. [Google Scholar]
- Perri, G.; Prakash, L.R.; Katz, M.H.G. Pancreatic neuroendocrine tumors. Curr. Opin. Gastroenterol. 2019, 35, 468–477. [Google Scholar] [CrossRef]
- Lee, L.; Ito, T.; Jensen, R.T. Imaging of pancreatic neuroendocrine tumors: Recent advances, current status, and controversies. Expert Rev. Anticancer Ther. 2018, 18, 837–860. [Google Scholar] [CrossRef]
- Lee, E.S.; Lee, J.M. Imaging diagnosis of pancreatic cancer: A state-of-the-art review. World J. Gastroenterol. 2014, 20, 7864–7877. [Google Scholar] [CrossRef] [PubMed]
- McGuigan, A.; Kelly, P.; Turkington, R.C.; Jones, C.; Coleman, H.G.; McCain, R.S. Pancreatic cancer: A review of clinical diagnosis, epidemiology, treatment and outcomes. World J. Gastroenterol. 2018, 24, 4846–4861. [Google Scholar] [CrossRef]
- Kulkarni, N.M.; Hough, D.M.; Tolat, P.P.; Soloff, E.V.; Kambadakone, A.R. Pancreatic adenocarcinoma: Cross-sectional imaging techniques. Abdom. Radiol. (NY) 2018, 43, 253–263. [Google Scholar] [CrossRef]
- Yoon, S.H.; Lee, J.M.; Cho, J.Y.; Lee, K.B.; Kim, J.E.; Moon, S.K.; Kim, S.J.; Baek, J.H.; Kim, S.H.; Kim, S.H.; et al. Small (≤20 mm) pancreatic adenocarcinomas: Analysis of enhancement patterns and secondary signs with multiphasic multidetector CT. Radiology 2011, 259, 442–452. [Google Scholar] [CrossRef]
- Nakashima, S.; Sato, Y.; Imamura, T.; Hattori, D.; Tamura, T.; Koyama, R.; Sato, J.; Kobayashi, Y.; Hashimoto, M. Solid pseudopapillary neoplasm of the pancreas in a young male with main pancreatic duct dilatation: A case report. World J. Clin. Cases 2021, 9, 11382–11391. [Google Scholar] [CrossRef]
- Li, D.L.; Li, H.S.; Xu, Y.K.; Wang, Q.S.; Chen, R.Y.; Zhou, F. Solid pseudopapillary tumor of the pancreas: Clinical features and imaging findings. Clin. Imaging 2018, 48, 113–121. [Google Scholar] [CrossRef]
- Ferrozzi, F.; Zuccoli, G.; Bova, D.; Calculli, L. Mesenchymal tumors of the pancreas: CT findings. J. Comput. Assist. Tomogr. 2000, 24, 622–627. [Google Scholar] [CrossRef] [PubMed]
- Herédia, V.; Altun, E.; Bilaj, F.; Ramalho, M.; Hyslop, B.W.; Semelka, R.C. Gadolinium- and superparamagnetic-iron-oxide-enhanced MR findings of intrapancreatic accessory spleen in five patients. Magn. Reson. Imaging 2008, 26, 1273–1278. [Google Scholar] [CrossRef]
- Jang, K.M.; Kim, S.H.; Lee, S.J.; Park, M.J.; Lee, M.H.; Choi, D. Differentiation of an intrapancreatic accessory spleen from a small (<3-cm) solid pancreatic tumor: Value of diffusion-weighted MR imaging. Radiology 2013, I, 159–167. [Google Scholar]
- Kim, S.H.; Lee, J.M.; Han, J.K.; Lee, J.Y.; Kim, K.W.; Cho, K.C.; Choi, B.I. Intrapancreatic accessory spleen: Findings on MR Imaging, CT, US and scintigraphy, and the pathologic analysis. Korean J. Radiol. 2008, 9, 162–174. [Google Scholar] [CrossRef]
- Merkle, E.M.; Boaz, T.; Kolokythas, O.; Haaga, J.R.; Lewin, J.S.; Brambs, H.J. Metastases to the pancreas. Br. J. Radiol. 1998, 71, 1208–1214. [Google Scholar] [CrossRef] [PubMed]
- Tsitouridis, I.; Diamantopoulou, A.; Michaelides, M.; Arvanity, M.; Papaioannou, S. Pancreatic metastases: CT and MRI findings. Diagn. Interv. Radiol. 2010, 16, 45–51. [Google Scholar] [CrossRef] [PubMed]
- Klein, K.A.; Stephens, D.H.; Welch, T.J. CT characteristics of metastatic disease of the pancreas. Radiographics 1998, 18, 369–378. [Google Scholar] [CrossRef]
- Liang, W. Pancreatic metastases can have radiologic characteristics similar to small solid pseudopapillary tumors. Radiology 2011, 259, 924. [Google Scholar] [CrossRef]
- Sahani, D.V.; Kadavigere, R.; Saokar, A.; Fernandez-del Castillo, C.; Brugge, W.R.; Hahn, P.F. Cystic pancreatic lesions: A simple imaging-based classification system for guiding management. Radiographics 2005, 25, 1471–1484. [Google Scholar] [CrossRef] [PubMed]
- Kalb, B.; Sarmiento, J.M.; Kooby, D.A.; Adsay, N.V.; Martin, D.R. MR imaging of cystic lesions of the pancreas. Radiographics 2009, 29, 1749–1765. [Google Scholar] [CrossRef] [PubMed]
- Gabata, T.; Terayama, N.; Yamashiro, M.; Takamatsu, S.; Yoshida, K.; Matsui, O.; Usukura, M.; Takeshita, M.; Minato, H. Solid serous cystadenoma of the pancreas: MR imaging with pathologic correlation. Abdom. Imaging 2005, 30, 605–609. [Google Scholar] [CrossRef] [PubMed]
- Morana, G.; Guarise, A. Cystic tumors of the pancreas. Cancer Imaging 2006, 6, 60–71. [Google Scholar] [CrossRef]
- Chu, L.C.; Singhi, A.D.; Haroun, R.R.; Hruban, R.H.; Fishman, E.K. The many faces of pancreatic serous cystadenoma: Radiologic and pathologic correlation. Diagn. Interv. Imaging 2017, 98, 191–202. [Google Scholar] [CrossRef]
- Ozaki, K.; Ikeno, H.; Kaizaki, Y.; Maeda, K.; Higuchi, S.; Kosaka, N.; Kimura, H.; Gabata, T. Pearls and pitfalls of imaging features of pancreatic cystic lesions: A case-based approach with imaging-pathologic correlation. Jpn. J. Radiol. 2021, 39, 118–142. [Google Scholar] [CrossRef]
- Campbell, F.; Azadeh, B. Cystic neoplasms of the exocrine pancreas. Histopathology 2008, 52, 539–551. [Google Scholar] [CrossRef]
- Rana, S.S. An overview of walled-off pancreatic necrosis for clinicians. Expert Rev. Gastroenterol. Hepatol. 2019, 13, 331–343. [Google Scholar] [CrossRef]
- Sandrasegaran, K.; Heller, M.T.; Panda, A.; Shetty, A.; Menias, C.O. MRI in acute pancreatitis. Abdom. Radiol. 2020, 45, 1232–1242. [Google Scholar] [CrossRef]
- Patel, V.G.; Fortson, J.K.; Weaver, W.L.; Hammami, A. Solid-pseudopapillary tumor of the pancreas masquerading as a pancreatic pseudocyst. Am. Surg. 2002, 68, 631–632. [Google Scholar] [CrossRef]
- Kawamoto, S.; Johnson, P.T.; Shi, C.; Singhi, A.D.; Hruban, R.H.; Wolfgang, C.L.; Edil, B.H.; Fishman, E.K. Pancreatic neuroendocrine tumor with cystlike changes: Evaluation with MDCT. AJR Am. J. Roentgenol. 2013, 200, W283–W290. [Google Scholar] [CrossRef] [PubMed]
- Barral, M.; Soyer, P.; Dohan, A.; Laurent, V.; Hoeffel, C.; Fishman, E.K.; Boudiaf, M. Magnetic resonance imaging of cystic pancreatic lesions in adults: An update in current diagnostic features and management. Abdom. Imaging 2014, 39, 48–65. [Google Scholar] [CrossRef] [PubMed]
- Ligneau, B.; Lombard-Bohas, C.; Partensky, C.; Valette, P.J.; Calender, A.; Dumortier, J.; Gouysse, G.; Boulez, J.; Napoleon, B.; Berger, F.; et al. Cystic endocrine tumors of the pancreas: Clinical, radiologic, and histopathologic features in 13 cases. Am. J. Surg. Pathol. 2001, 25, 752–760. [Google Scholar] [CrossRef] [PubMed]
- Ohara, Y.; Oda, T.; Hashimoto, S.; Akashi, Y.; Miyamoto, R.; Enomoto, T.; Satomi, K.; Morishita, Y.; Ohkohchi, N. Pancreatic neuroendocrine tumor and solid-pseudopapillary neoplasm: Key immunohistochemical profiles for differential diagnosis. World J. Gastroenterol. 2016, 22, 8596–8604. [Google Scholar] [CrossRef] [PubMed]
















| Disclaimer/Publisher’s Note: The statements, opinions and data contained in all publications are solely those of the individual author(s) and contributor(s) and not of MDPI and/or the editor(s). MDPI and/or the editor(s) disclaim responsibility for any injury to people or property resulting from any ideas, methods, instructions or products referred to in the content. | 
© 2023 by the authors. Licensee MDPI, Basel, Switzerland. This article is an open access article distributed under the terms and conditions of the Creative Commons Attribution (CC BY) license (https://creativecommons.org/licenses/by/4.0/).
Share and Cite
Kovac, J.D.; Djikic-Rom, A.; Bogdanovic, A.; Jankovic, A.; Grubor, N.; Djuricic, G.; Dugalic, V. The Role of MRI in the Diagnosis of Solid Pseudopapillary Neoplasm of the Pancreas and Its Mimickers: A Case-Based Review with Emphasis on Differential Diagnosis. Diagnostics 2023, 13, 1074. https://doi.org/10.3390/diagnostics13061074
Kovac JD, Djikic-Rom A, Bogdanovic A, Jankovic A, Grubor N, Djuricic G, Dugalic V. The Role of MRI in the Diagnosis of Solid Pseudopapillary Neoplasm of the Pancreas and Its Mimickers: A Case-Based Review with Emphasis on Differential Diagnosis. Diagnostics. 2023; 13(6):1074. https://doi.org/10.3390/diagnostics13061074
Chicago/Turabian StyleKovac, Jelena Djokic, Aleksandra Djikic-Rom, Aleksandar Bogdanovic, Aleksandra Jankovic, Nikica Grubor, Goran Djuricic, and Vladimir Dugalic. 2023. "The Role of MRI in the Diagnosis of Solid Pseudopapillary Neoplasm of the Pancreas and Its Mimickers: A Case-Based Review with Emphasis on Differential Diagnosis" Diagnostics 13, no. 6: 1074. https://doi.org/10.3390/diagnostics13061074
APA StyleKovac, J. D., Djikic-Rom, A., Bogdanovic, A., Jankovic, A., Grubor, N., Djuricic, G., & Dugalic, V. (2023). The Role of MRI in the Diagnosis of Solid Pseudopapillary Neoplasm of the Pancreas and Its Mimickers: A Case-Based Review with Emphasis on Differential Diagnosis. Diagnostics, 13(6), 1074. https://doi.org/10.3390/diagnostics13061074
 
        



