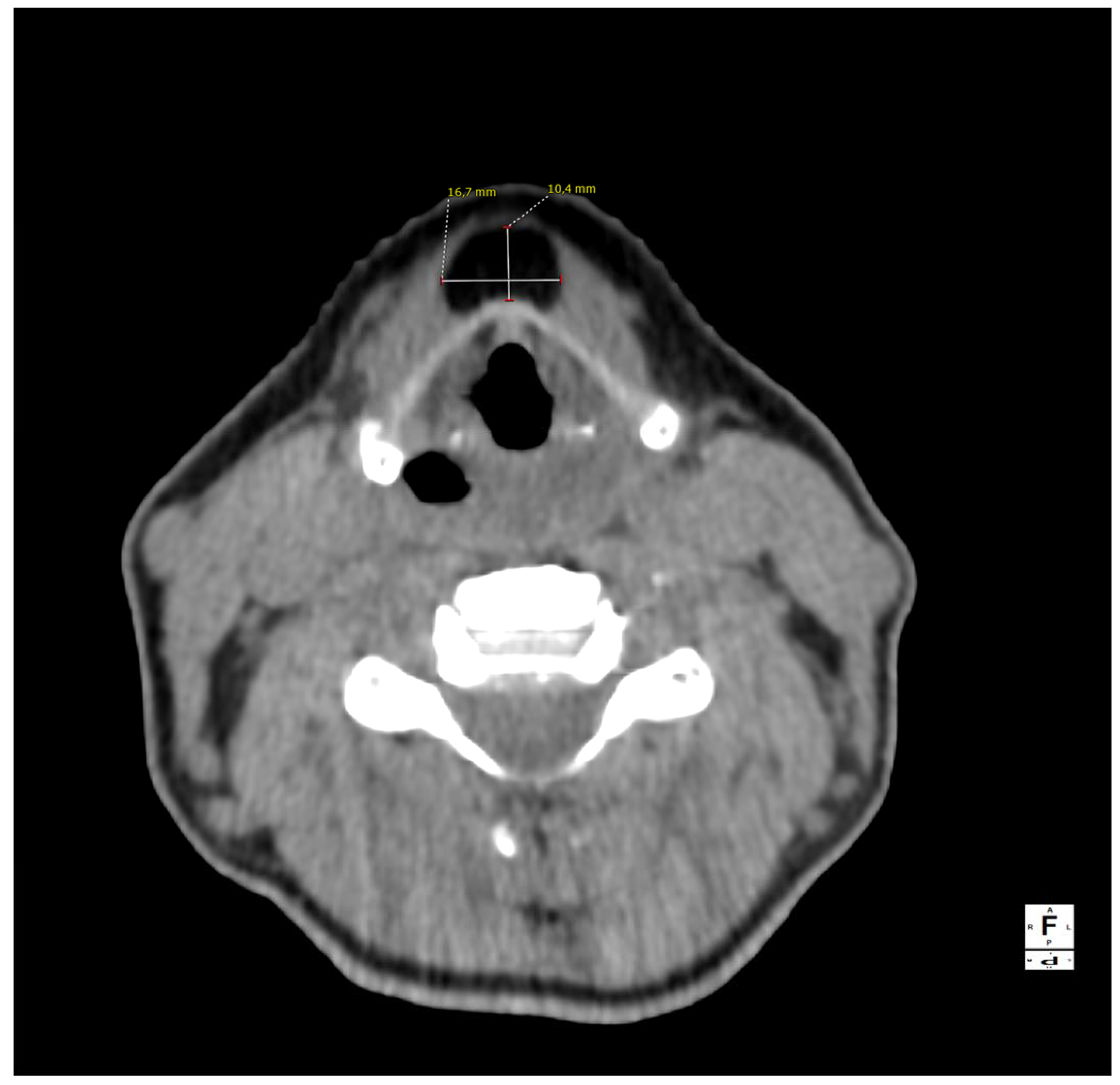
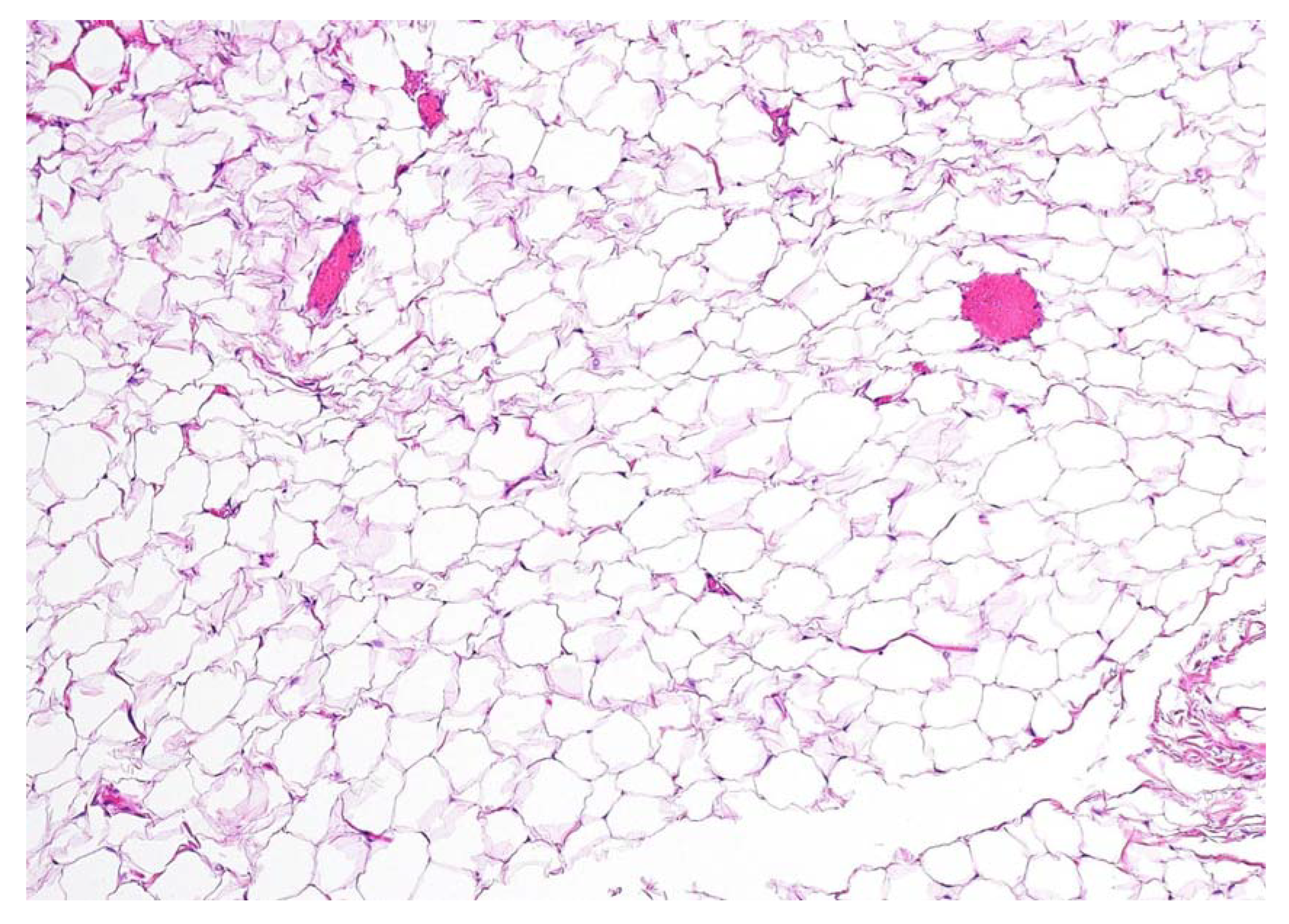
Thyroglossal Duct Lipoma: A Case Report and a Systematic Review of the Literature for Its Management
Abstract






Author Contributions
Funding
Institutional Review Board Statement
Informed Consent Statement
Data Availability Statement
Acknowledgments
Conflicts of Interest
References
- Wei, S.; LiVolsi, V.A.; Baloch, Z.W. Pathology of Thyroglossal Duct: An Institutional Experience. Endocr. Pathol. 2015, 26, 75–79. [Google Scholar] [CrossRef] [PubMed]
- Chou, J.; Walters, A.; Hage, R.; Zurada, A.; Michalak, M.; Tubbs, R.S.; Loukas, M. Thyroglossal duct cysts: Anatomy, embryology and treatment. Surgical and radiologic anatomy. SRA 2013, 35, 875–881. [Google Scholar] [CrossRef] [PubMed]
- Testut, L. Traité D’anatomie Humaine: Appareil de la Digestion (Histologie, par G. Ferré) Appareil de la Respiration. Appareil Uro-Génital. Embryologie (par L. Vialleton). France, Doin, 1895. pp. 330–340. Available online: www.google.it/books/edition/Trait%C3%A9_d_anatomie_humaine_Appareil_de_la/o9gEAQAAIAAJ?hl=it&gbpv=0 (accessed on 11 December 2022).
- Biddinger, P.W. Chapter 2: Embryology and Developmental Lesions. In Diagnostic Pathology and Molecular Genetics of the Thyroid; Nikiforov, Y., Biddinger, P.W., Thompson, L.D.R., Eds.; Wolters Kluwer Health: Baltimore, MD, USA, 2009. [Google Scholar]
- Fujii, N.J.; Gibson, T.M.; Satheesh, K.M.; Cobb, C.M. Thyroglossal Duct Cyst: Abbreviated Review and Case Report. Compend. Contin. Educ. Dent. 2017, 38, 97–101. [Google Scholar]
- Patel, S.; Bhatt, A. Thyroglossal duct pathology and mimics. Insights Into Imaging 2019, 10, 12. [Google Scholar] [CrossRef]
- Sistrunk, W.E. The Surgical Treatment of Cysts of the Thyroglossal Tract. Ann. Surg. 1920, 71, 121. [Google Scholar] [CrossRef]
- Bychkov, A. Thyroglossal Duct Cyst. PathologyOutlines.com Website. Available online: https://www.pathologyoutlines.com/topic/thyroidthyroglossal.html (accessed on 11 December 2022).
- Riley, D.S.; Barber, M.S.; Kienle, G.S.; Aronson, J.K.; von Schoen-Angerer, T.; Tugwell, P.; Kiene, H.; Helfand, M.; Altman, D.G.; Sox, H.; et al. CARE guidelines for case reports: Explanation and elaboration document. J. Clin. Epidemiol. 2017, 89, 218–235. [Google Scholar] [CrossRef]
- Tsai, M.S.; Chang, G.H.; Chuang, H.C.; Lin, W.N.; Tsai, Y.T. Thyroglossal duct lipoma: A rare case report. Medicine 2020, 99, e20392. [Google Scholar] [CrossRef] [PubMed]
- Sharudin, S.N.; Thangavelu, T.; Roslim, S.N.; Hitam, S.; Baki, M.M. Large Vallecula Epiglottica Lipoma: A Rare but Fatal Cause of Dysphagia. Cureus 2022, 14, e30250. [Google Scholar] [CrossRef]
- Ribeiro Costa, N.; Duarte, D.; Viana, M. Lipoma of the pre-epiglottic space: A common pathology in an uncommon place. Acta Otorrinolaringol. Esp. 2018, 69, 181–182. [Google Scholar] [CrossRef]
- Kuwano, Y.; Ishizaki, K.; Watanabe, R.; Nanko, H. Efficacy of Diagnostic Ultrasonography of Lipomas, Epidermal Cysts, and Ganglions. Arch. Dermatol. 2009, 145, 761–764. [Google Scholar] [CrossRef]
- Ho, M.-L. Pediatric Neck Masses: Imaging Guidelines and Recommendations. Radiol. Clin. N. Am. 2022, 60, 1–14. [Google Scholar] [CrossRef]
- Shahin, A.; Burroughs, F.H.; Kirby, J.P.; Ali, M.S.Z. Thyroglossal duct cyst: A cytopathologic study of 26 cases. Diagn. Cytopathol. 2005, 33, 365–369. [Google Scholar] [CrossRef]
- Rayess, H.M.; Monk, I.; Svider, P.F.; Gupta, A.; Raza, S.N.; Lin, H. Thyroglossal Duct Cyst Carcinoma: A Systematic Review of Clinical Features and Outcomes. Otolaryngol. Neck Surg. 2017, 156, 794–802. [Google Scholar] [CrossRef]
- Gallagher, T.Q.; Hartnick, C.J. Thyroglossal Duct Cyst Excision. Adv. Otorhinolaryngol. 2012, 73, 66–69. [Google Scholar] [CrossRef]
- Rohof, D.; Honings, J.; Theunisse, H.J.; Schutte, H.W.; van den Hoogen, F.J.A.; van den Broek, G.B.; Takes, R.P.; Wijnen, M.H.W.A.; Marres, H.A.M. Recurrences after thyroglossal duct cyst surgery: Results in 207 consecutive cases and review of the literature. Head Neck 2015, 37, 1699–1704. [Google Scholar] [CrossRef]
- Ibrahim, F.F.; Alnoury, M.K.; Varma, N.; Daniel, S.J. Surgical management outcomes of recurrent thyroglossal duct cyst in children—A systematic review. Int. J. Pediatr. Otorhinolaryngol. 2015, 79, 863–867. [Google Scholar] [CrossRef]
- Galluzzi, F.; Pignataro, L.; Gaini, R.M.; Hartley, B.; Garavello, W. Risk of recurrence in children operated for thyroglossal duct cysts: A systematic review. J. Pediatr. Surg. 2013, 48, 222–227. [Google Scholar] [CrossRef] [PubMed]
- Arda, M.S.; Ortega, G.; Layman, I.B.; Khubchandani, N.A.; Pichardo, M.S.; Petrosyan, M.; Preciado, D.A.; Qureshi, F.G. Sistrunk vs modified Sistrunk procedures: Does procedure type matter? J. Pediatr. Surg. 2021, 56, 2381–2384. [Google Scholar] [CrossRef] [PubMed]
- Pitner, H.; Elmaraghy, C.; Fischer, B.; Onwuka, A.; Rabe, A.; Walz, P. Diagnostic Accuracy of Midline Pediatric Neck Masses. Otolaryngol. Neck Surg. 2019, 160, 1111–1117. [Google Scholar] [CrossRef] [PubMed]
- Razek, A.A.K.A.; Sherif, F.M. Differentiation of sublingual thyroglossal duct cyst from midline dermoid cyst with diffusion weighted imaging. Int. J. Pediatr. Otorhinolaryngol. 2019, 126, 109623. [Google Scholar] [CrossRef]
- Gioacchini, F.; Alicandri-Ciufelli, M.; Kaleci, S.; Magliulo, G.; Presutti, L.; Re, M. Clinical presentation and treatment outcomes of thyroglossal duct cysts: A systematic review. Int. J. Oral Maxillofac. Surg. 2015, 44, 119–126. [Google Scholar] [CrossRef] [PubMed]
- Zaghi, S.; Hendizadeh, L.; Hayde, D.; Farnoosh, S.; Koempel, J. Concurrent Thyroglossal Duct Cyst and Dermoid Cyst in a Pediatric Patient. J. Otol. Rhinol. 2014, 3. [Google Scholar] [CrossRef]
- Lee, S.-W.; Lee, J.; Lee, H.J.; Seo, J.-H.; Kang, S.-M.; Bae, J.-H.; Ahn, B.-C. Enhanced Scintigraphic Visualization of Thyroglossal Duct Remnant during Hypothyroidism after Total Thyroidectomy: Prevalence and Clinical Implication in Patients with Differentiated Thyroid Cancer. Thyroid 2007, 17, 341–346. [Google Scholar] [CrossRef] [PubMed]
- Chandra, R.K.; Maddalozzo, J.; Kovarik, P. Histological Characterization of the Thyroglossal Tract: Implications for Surgical Management. Laryngoscope 2001, 111, 1002–1005. [Google Scholar] [CrossRef] [PubMed]
Disclaimer/Publisher’s Note: The statements, opinions and data contained in all publications are solely those of the individual author(s) and contributor(s) and not of MDPI and/or the editor(s). MDPI and/or the editor(s) disclaim responsibility for any injury to people or property resulting from any ideas, methods, instructions or products referred to in the content. |
© 2023 by the authors. Licensee MDPI, Basel, Switzerland. This article is an open access article distributed under the terms and conditions of the Creative Commons Attribution (CC BY) license (https://creativecommons.org/licenses/by/4.0/).
Share and Cite
Locatello, L.G.; Graziadio, M.; D’Orlando, E.; Vallone, A.; Miani, C.; Pegolo, E.; Rugiu, M.G. Thyroglossal Duct Lipoma: A Case Report and a Systematic Review of the Literature for Its Management. Diagnostics 2023, 13, 932. https://doi.org/10.3390/diagnostics13050932
Locatello LG, Graziadio M, D’Orlando E, Vallone A, Miani C, Pegolo E, Rugiu MG. Thyroglossal Duct Lipoma: A Case Report and a Systematic Review of the Literature for Its Management. Diagnostics. 2023; 13(5):932. https://doi.org/10.3390/diagnostics13050932
Chicago/Turabian StyleLocatello, Luca Giovanni, Marilena Graziadio, Elena D’Orlando, Alfredo Vallone, Cesare Miani, Enrico Pegolo, and Maria Gabriella Rugiu. 2023. "Thyroglossal Duct Lipoma: A Case Report and a Systematic Review of the Literature for Its Management" Diagnostics 13, no. 5: 932. https://doi.org/10.3390/diagnostics13050932
APA StyleLocatello, L. G., Graziadio, M., D’Orlando, E., Vallone, A., Miani, C., Pegolo, E., & Rugiu, M. G. (2023). Thyroglossal Duct Lipoma: A Case Report and a Systematic Review of the Literature for Its Management. Diagnostics, 13(5), 932. https://doi.org/10.3390/diagnostics13050932

