Correlation between Pancreatic Duct Variation and Related Diseases: An Effective Method Observing the Dual-Energy CT with Low-keV Monoenergetic Images
Abstract
1. Introduction
2. Materials and Methods
2.1. Subjects
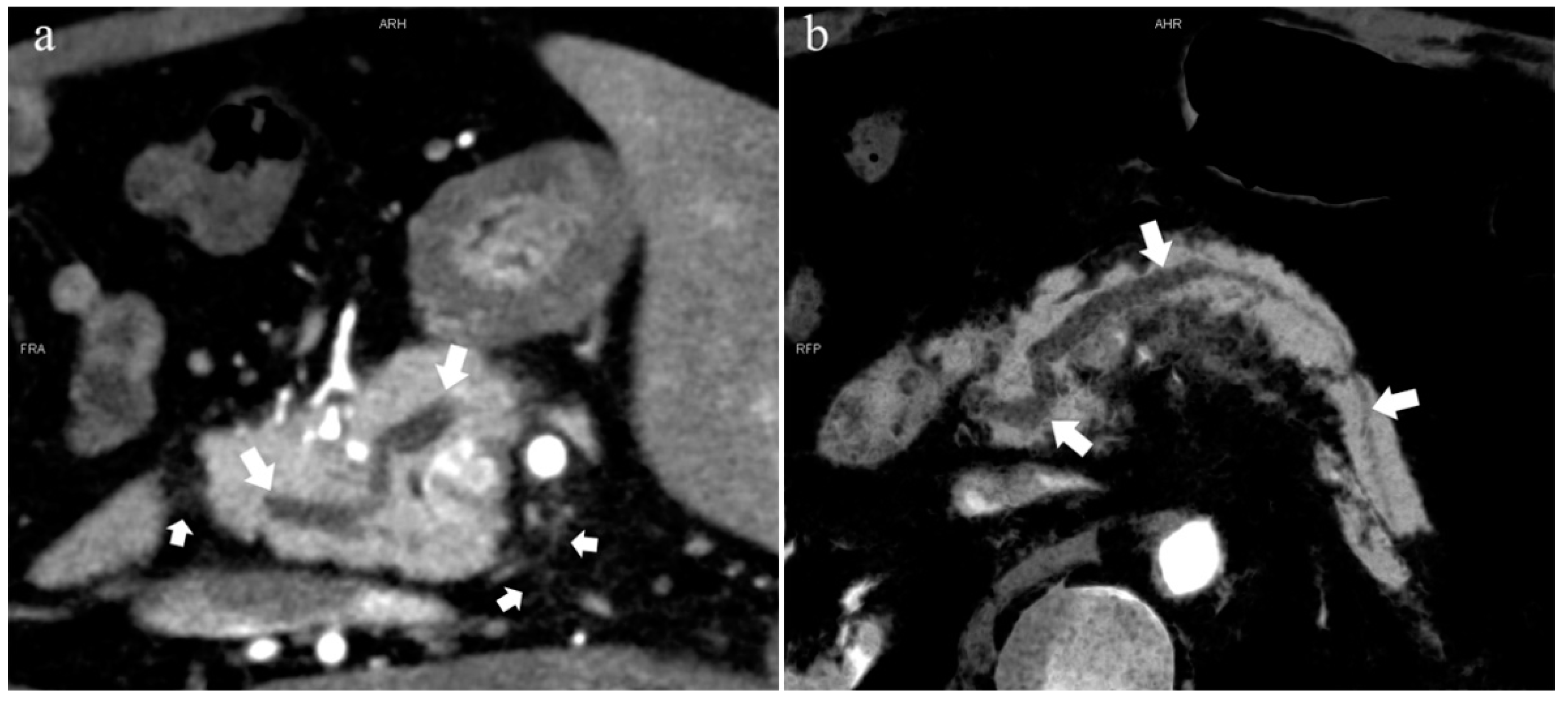
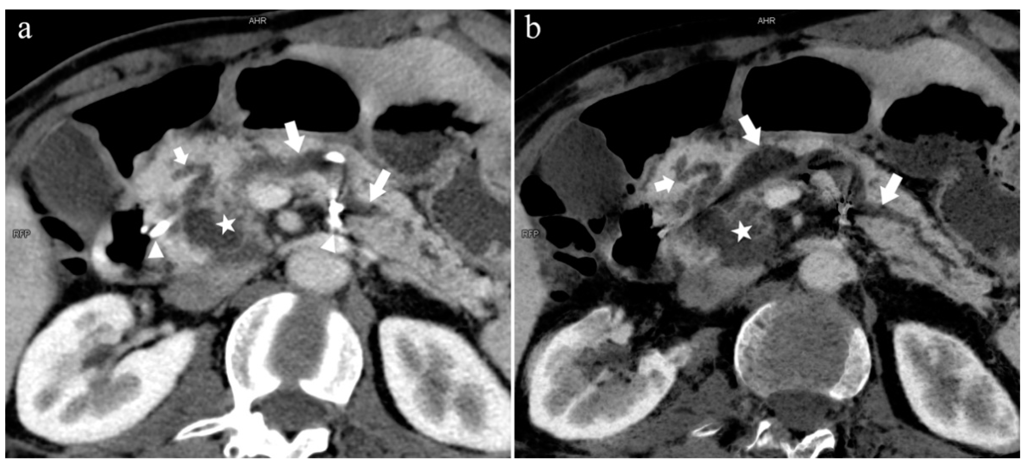
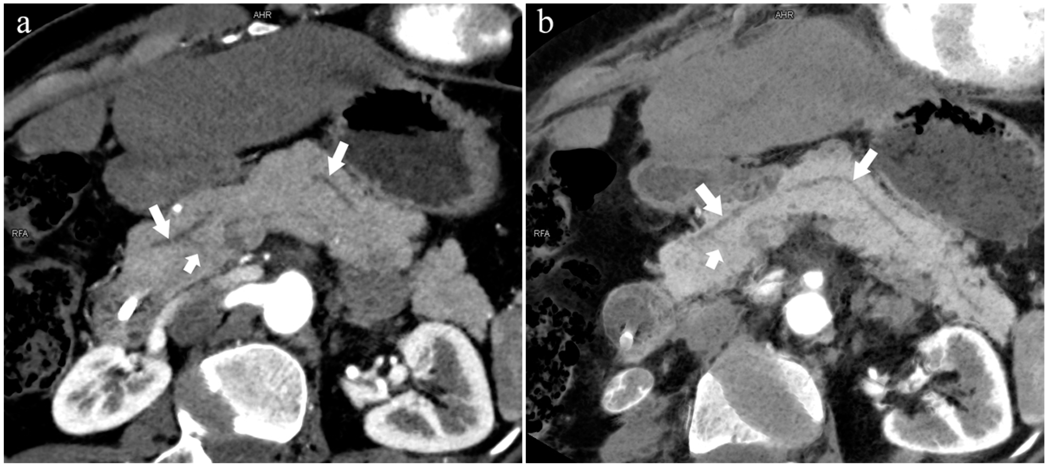
2.2. Imaging Analysis—Anatomical Classification of Pancreatic Ducts and Related Disease Grouping
3. Imaging Technology
3.1. Enhanced Dual-Energy CT
3.2. MRCP
3.3. Statistical Analysis
4. Results
4.1. Patient Characteristics
4.2. Frequency of Pancreatic Duct Variation
4.3. Distribution of Pancreas-Related Diseases in the Normal and Variant Groups
4.4. Comparison of the Sharpness of the Pancreatic Duct System between DECT and MRCP Images
5. Discussion
5.1. Embryonic Development of the Pancreatic Duct
5.2. Special Types of Pancreatic Duct Variation
5.2.1. Pancreas Divisum (Type 4)
5.2.2. Ansa Pancreatica
5.3. Correlation between Pancreatic Duct Variation and Related Diseases
5.3.1. Duodenal Papillary Carcinoma (DPC)
5.3.2. Pancreatitis
5.4. Comparison between Low-keV DECT and MRCP
6. Conclusions
Author Contributions
Funding
Institutional Review Board Statement
Informed Consent Statement
Data Availability Statement
Conflicts of Interest
Abbreviations
References
- Lowenfels, A.B.; Sullivan, T.; Fiorianti, J.; Maisonneuve, P. The epidemiology and impact of pancreatic diseases in the United States. Curr. Gastroenterol. Rep. 2005, 7, 90–95. [Google Scholar] [CrossRef]
- Hamada, S.; Masamune, A.; Shimosegawa, T. Transition of early-phase treatment for acute pancreatitis: An analysis of nationwide epidemiological survey. World J. Gastroenterol. 2017, 23, 2826–2831. [Google Scholar] [CrossRef]
- Dyba, T.; Randi, G.; Bray, F.; Martos, C.; Giusti, F.; Nicholson, N.; Gavin, A.; Flego, M.; Neamtiu, L.; Dimitrova, N.; et al. The European cancer burden in 2020: Incidence and mortality estimates for 40 countries and 25 major cancers. Eur. J. Cancer 2021, 157, 308–347. [Google Scholar] [CrossRef] [PubMed]
- Andersson, R.; Ansari, D.; Sternby, H.; Valdimarsson, V. Acute pancreatitis—Can evidence-based guidelines be transferred to an optimized comprehensive treatment program? Scand. J. Gastroenterol. 2021, 56, 1220–1221. [Google Scholar] [CrossRef] [PubMed]
- Ghadirian, P.; Lynch, H.T.; Krewski, D. Epidemiology of pancreatic cancer: An overview. Cancer Detect. Prev. 2003, 27, 87–93. [Google Scholar] [CrossRef] [PubMed]
- Dugic, A.; Nikolic, S.; Mühldorfer, S.; Bulajic, M.; Pozzi Mucelli, R.; Tsolakis, A.V.; Löhr, J.M.; Vujasinovic, M. Clinical importance of main pancreatic duct variants and possible correlation with pancreatic diseases. Scand. J. Gastroenterol. 2020, 55, 517–527. [Google Scholar] [CrossRef]
- Arsenijevic, T.; Perret, J.; Van Laethem, J.L.; Delporte, C. Aquaporins Involvement in Pancreas Physiology and in Pancreatic Diseases. Int. J. Mol. Sci. 2019, 20, 5052. [Google Scholar] [CrossRef] [PubMed]
- Tadokoro, H.; Takase, M.; Nobukawa, B. Development and congenital anomalies of the pancreas. Anat. Res. Int. 2011, 2011, 351217. [Google Scholar] [CrossRef]
- Vasilescu, A.M.; Andriesi Rusu, D.F.; Bradea, C.; Vlad, N.; Lupascu-Ursulescu, C.; Cianga Spiridon, I.A.; Trofin, A.M.; Tarcoveanu, E.; Lupascu, C.D. Protective or Risk Factors for Postoperative Pancreatic Fistulas in Malignant Pathology. Life 2021, 11, 1216. [Google Scholar] [CrossRef]
- Kandikattu, H.K.; Venkateshaiah, S.U.; Mishra, A. Chronic Pancreatitis and the Development of Pancreatic Cancer. Endocr. Metab. Immune Disord. Drug Targets 2020, 20, 1182–1210. [Google Scholar] [CrossRef]
- Walkowska, J.; Zielinska, N.; Karauda, P.; Tubbs, R.S.; Kurtys, K.; Olewnik, Ł. The Pancreas and Known Factors of Acute Pancreatitis. J. Clin. Med. 2022, 11, 5565. [Google Scholar] [CrossRef] [PubMed]
- DiMagno, M.J.; Wamsteker, E.J. Pancreas divisum. Curr. Gastroenterol. Rep. 2011, 13, 150–156. [Google Scholar] [CrossRef] [PubMed]
- Gutta, A.; Fogel, E.; Sherman, S. Identification and management of pancreas divisum. Expert Rev. Gastroenterol. Hepatol. 2019, 13, 1089–1105. [Google Scholar] [CrossRef]
- Swensson, J.; Zaheer, A.; Conwell, D.; Sandrasegaran, K.; Manfredi, R.; Tirkes, T. Secretin-Enhanced MRCP: How and Why-AJR Expert Panel Narrative Review. AJR. Am. J. Roentgenol. 2021, 216, 1139–1149. [Google Scholar] [CrossRef]
- Ribeiro, B.J.; Alves, A.M.A.; de Oliveira, R.S.; Velloni, F.; D’Ippolito, G. The role of gadoxetic acid-enhanced magnetic resonance cholangiography in the evaluation of postoperative bile duct injury: Pictorial essay. Radiol. Bras. 2019, 52, 403–407. [Google Scholar] [CrossRef] [PubMed]
- Khuri, S.; Kluger, Y. Kluri Anomaly: Newly Introduced Pancreatic Duct Anomaly. J. Med. Cases 2022, 13, 509–512. [Google Scholar] [CrossRef]
- Li, X.; Duan, R.; He, Y.; Qin, J.; Liu, R.; Dai, S.; Zhou, J.; Zeng, X.; Duan, J.; Gao, P.; et al. Application of three-dimensional visualization technology in the anatomical variations of hilar bile ducts in Chinese population. Front. Surg. 2022, 9, 934183. [Google Scholar] [CrossRef] [PubMed]
- Gonoi, W.; Akai, H.; Hagiwara, K.; Akahane, M.; Hayashi, N.; Maeda, E.; Yoshikawa, T.; Kiryu, S.; Tada, M.; Uno, K.; et al. Meandering main pancreatic duct as a relevant factor to the onset of idiopathic recurrent acute pancreatitis. PLoS ONE 2012, 7, e37652. [Google Scholar] [CrossRef]
- Koizumi, M.; Takada, T.; Kawarada, Y.; Hirata, K.; Mayumi, T.; Yoshida, M.; Sekimoto, M.; Hirota, M.; Kimura, Y.; Takeda, K.; et al. JPN Guidelines for the management of acute pancreatitis: Diagnostic criteria for acute pancreatitis. J. Hepato-Biliary-Pancreat. Surg. 2006, 13, 25–32. [Google Scholar] [CrossRef]
- Türkvatan, A.; Erden, A.; Türkoğlu, M.A.; Yener, Ö. Congenital variants and anomalies of the pancreas and pancreatic duct: Imaging by magnetic resonance cholangiopancreaticography and multidetector computed tomography. Korean J. Radiol. 2013, 14, 905–913. [Google Scholar] [CrossRef]
- Wichmann, J.L.; Hardie, A.D.; Schoepf, U.J.; Felmly, L.M.; Perry, J.D.; Varga-Szemes, A.; Mangold, S.; Caruso, D.; Canstein, C.; Vogl, T.J.; et al. Single- and dual-energy CT of the abdomen: Comparison of radiation dose and image quality of 2nd and 3rd generation dual-source CT. Eur. Radiol. 2017, 27, 642–650. [Google Scholar] [CrossRef] [PubMed]
- Beer, L.; Toepker, M.; Ba-Ssalamah, A.; Schestak, C.; Dutschke, A.; Schindl, M.; Wressnegger, A.; Ringl, H.; Apfaltrer, P. Objective and subjective comparison of virtual monoenergetic vs. polychromatic images in patients with pancreatic ductal adenocarcinoma. Eur. Radiol. 2019, 29, 3617–3625. [Google Scholar] [CrossRef]
- Covantsev, S.; Chicu, C.; Mazuruc, N.; Belic, O. Pancreatic ductal anatomy: More than meets the eye. Surg. Radiol. Anat. SRA 2022, 44, 1231–1238. [Google Scholar] [CrossRef] [PubMed]
- Liang, H.W.; Zhou, Y.; Zhang, Z.W.; Yan, G.W.; Du, S.L.; Zhang, X.H.; Li, X.Y.; Lv, F.J.; Zheng, Q.; Li, Y.M. Dual-energy CT with virtual monoenergetic images to improve the visualization of pancreatic supplying arteries: The normal anatomy and variations. Insights Imaging 2022, 13, 21. [Google Scholar] [CrossRef] [PubMed]
- Yoon, J.H.; Chang, W.; Lee, E.S.; Lee, S.M.; Lee, J.M. Double Low-Dose Dual-Energy Liver CT in Patients at High-Risk of HCC: A Prospective, Randomized, Single-Center Study. Investig. Radiol. 2020, 55, 340–348. [Google Scholar] [CrossRef]
- Wang, D.B.; Yu, J.; Fulcher, A.S.; Turner, M.A. Pancreatitis in patients with pancreas divisum: Imaging features at MRI and MRCP. World J. Gastroenterol. 2013, 19, 4907–4916. [Google Scholar] [CrossRef]
- Takuma, K.; Kamisawa, T.; Tabata, T.; Egawa, N.; Igarashi, Y. Pancreatic diseases associated with pancreas divisum. Dig. Surg. 2010, 27, 144–148. [Google Scholar] [CrossRef]
- Ludwig, K.; Santoro, L.; Ingravallo, G.; Cazzato, G.; Giacometti, C.; Dall’Igna, P. Congenital anomalies of the gastrointestinal tract: The liver, extrahepatic biliary tree and pancreas. Pathologica 2022, 114, 55–63. [Google Scholar] [CrossRef]
- Yu, J.; Turner, M.A.; Fulcher, A.S.; Halvorsen, R.A. Congenital anomalies and normal variants of the pancreaticobiliary tract and the pancreas in adults: Part 2, Pancreatic duct and pancreas. AJR. Am. J. Roentgenol. 2006, 187, 1544–1553. [Google Scholar] [CrossRef]
- Gürsoy Çoruh, A.; Gülpınar, B.; Baş, H.; Erden, A. Frequency of bile duct confluence variations in subjects with pancreas divisum: An analysis of MRCP findings. Diagn. Interv. Radiol. 2018, 24, 72–76. [Google Scholar] [CrossRef]
- DAWSON, W.; LANGMAN, J. An anatomical-radiological study on the pancreatic duct pattern in man. Anat. Rec. 1961, 139, 59–68. [Google Scholar] [CrossRef] [PubMed]
- Ben Ismail, I.; Rebii, S.; Zenaidi, H.; Zoghlami, A. Acute pancreatitis secondary to ansa pancreatica: Two new cases and review of the literature. Clin. Case Rep. 2022, 10, e05381. [Google Scholar] [CrossRef] [PubMed]
- Prasanna, L.C.; Rajagopal, K.V.; Thomas, H.R.; Bhat, K.M. Accessory pancreatic duct patterns and their clinical implications. J. Clin. Diagn. Res. JCDR 2015, 9, AC05–AC7. [Google Scholar] [CrossRef]
- Berry, R.; Han, J.Y.; Tabibian, J.H. Difficult biliary cannulation: Historical perspective, practical updates, and guide for the endoscopist. World J. Gastrointest. Endosc. 2019, 11, 5–21. [Google Scholar] [CrossRef]
- Lian, P.L.; Chang, Y.; Xu, X.C.; Zhao, Z.; Wang, X.Q.; Xu, K.S. Pancreaticoduodenectomy for duodenal papilla carcinoma: A single-centre 9-year retrospective study of 112 patients with long-term follow-up. World J. Gastroenterol. 2017, 23, 5579–5588. [Google Scholar] [CrossRef]
- Sugimoto, M.; Takagi, T.; Suzuki, R.; Konno, N.; Asama, H.; Sato, Y.; Irie, H.; Watanabe, K.; Nakamura, J.; Kikuchi, H.; et al. Pancreatic stents for the prevention of post-endoscopic retrograde cholangiopancreatography pancreatitis should be inserted up to the pancreatic body or tail. World J. Gastroenterol. 2018, 24, 2392–2399. [Google Scholar] [CrossRef] [PubMed]
- Roskams, T.; Desmet, V. Embryology of extra- and intrahepatic bile ducts, the ductal plate. Anat. Rec. 2008, 291, 628–635. [Google Scholar] [CrossRef] [PubMed]
- Tan, C.E.; Moscoso, G.J. The developing human biliary system at the porta hepatis level between 29 days and 8 weeks of gestation: A way to understanding biliary atresia. Part 1. Pathol. Int. 1994, 44, 587–599. [Google Scholar] [CrossRef]
- Bang, S.; Suh, J.H.; Park, B.K.; Park, S.W.; Song, S.Y.; Chung, J.B. The relationship of anatomic variation of pancreatic ductal system and pancreaticobiliary diseases. Yonsei Med. J. 2006, 47, 243–248. [Google Scholar] [CrossRef]
- Coulier, B. Pancreatic Lipomatosis: An Extensive Pictorial Review. J. Belg. Soc. Radiol. 2016, 100, 39. [Google Scholar] [CrossRef]
- Nishi, T.; Kawabata, Y.; Ishikawa, N.; Araki, A.; Yano, S.; Maruyama, R.; Tajima, Y. Intraductal papillary mucinous carcinoma of the pancreas associated with pancreas divisum: A case report and review of the literature. BMC Gastroenterol. 2015, 15, 78. [Google Scholar] [CrossRef]
- Ehlers, L.; Bannert, K.; Rohde, S.; Berlin, P.; Reiner, J.; Wiese, M.; Doller, J.; Lerch, M.M.; Aghdassi, A.A.; Meyer, F.; et al. Preclinical insights into the gut-skeletal muscle axis in chronic gastrointestinal diseases. J. Cell. Mol. Med. 2020, 24, 8304–8314. [Google Scholar] [CrossRef] [PubMed]
- Lew, D.; Afghani, E.; Pandol, S. Chronic Pancreatitis: Current Status and Challenges for Prevention and Treatment. Dig. Dis. Sci. 2017, 62, 1702–1712. [Google Scholar] [CrossRef] [PubMed]
- Wilcox, C.M.; Yadav, D.; Ye, T.; Gardner, T.B.; Gelrud, A.; Sandhu, B.S.; Lewis, M.D.; Al-Kaade, S.; Cote, G.A.; Forsmark, C.E.; et al. Chronic pancreatitis pain pattern and severity are independent of abdominal imaging findings. Clin. Gastroenterol. Hepatol. 2015, 13, 552–560. [Google Scholar] [CrossRef]
- Okazaki, K.; Kawa, S.; Kamisawa, T.; Ikeura, T.; Itoi, T.; Ito, T.; Inui, K.; Irisawa, A.; Uchida, K.; Ohara, H.; et al. Amendment of the Japanese consensus guidelines for autoimmune pancreatitis, 2020. J. Gastroenterol. 2022, 57, 225–245. [Google Scholar] [CrossRef]
- Masood, M. Autoimmune pancreatitis: What we know so far. JGH Open 2021, 6, 3–10. [Google Scholar] [CrossRef] [PubMed]
- Shaygan-Nejad, A.; Masjedizadeh, A.R.; Ghavidel, A.; Ghojazadeh, M.; Khoshbaten, M. Aggressive hydration with Lactated Ringer’s solution as the prophylactic intervention for postendoscopic retrograde cholangiopancreatography pancreatitis: A randomized controlled double-blind clinical trial. J. Res. Med. Sci. Off. J. Isfahan Univ. Med. Sci. 2015, 20, 838–843. [Google Scholar] [CrossRef]










| Normal | Variant | p | |
|---|---|---|---|
| Age (years), mean ± SD | 57.9 ± 14.5 | 59.3 ± 12.8 | 0.464 * |
| Gender, n (%) | |||
| Male | 368 (52.6) | 58 (53.2) | 0.913 # |
| Female | 331 (47.4) | 51 (46.8) | |
| Pancreas-related diseases a | 289 (41.3) | 64 (58.7) | 0.001 # |
| Non-pancreas-related diseases b | 410 (58.7) | 45 (41.3) |
| PN | NPB | Tumor at the Opening of Pancreatic Duct and Common Bile Duct | |||||
|---|---|---|---|---|---|---|---|
| PC | Other Pancreatic Tumors | AP | CP | AIP | DPC | AC | |
| Normal | 89 | 38 | 94 | 12 | 4 | 15 | 37 |
| Variant | 10 | 5 | 27 | 6 | / | 7 | 9 |
| Total | 99 | 43 | 121 | 18 | 4 | 22 | 46 |
| p | 0.292 # | 0.713 # | 0.002 # | 0.025 * | 0.020 * | 0.214 # | |
| Normal Group | Type 3c | Type 4a | Type 4b | Type 4c | |
|---|---|---|---|---|---|
| AP | 94 | 9 | 5 | 4 | 3 |
| Non-AP | 605 | 20 | 8 | 24 | 6 |
| p | 0.014 *# | 0.024 *# | 0.782 * | 0.113 * | |
| CP | 12 | 1 | 2 | 1 | 1 |
| Non-CP | 687 | 28 | 11 | 27 | 8 |
| p | 0.413 * | 0.025 *# | 0.402 * | 0.154 * |
| Grade of Subjective Image Quality | Mean Rank * | p | |||
|---|---|---|---|---|---|
| G1 | G2 | G3 | |||
| Low-keV DECT | 12 | 9 | 831 | 909.44 | <0.05 |
| MRCP | 32 | 104 | 716 | 795.56 | |
Disclaimer/Publisher’s Note: The statements, opinions and data contained in all publications are solely those of the individual author(s) and contributor(s) and not of MDPI and/or the editor(s). MDPI and/or the editor(s) disclaim responsibility for any injury to people or property resulting from any ideas, methods, instructions or products referred to in the content. |
© 2023 by the authors. Licensee MDPI, Basel, Switzerland. This article is an open access article distributed under the terms and conditions of the Creative Commons Attribution (CC BY) license (https://creativecommons.org/licenses/by/4.0/).
Share and Cite
Zhang, R.; Li, Z.; Hu, X.; Liang, H.; Yan, G.; Xie, D.; Zhang, J.; Li, Y. Correlation between Pancreatic Duct Variation and Related Diseases: An Effective Method Observing the Dual-Energy CT with Low-keV Monoenergetic Images. Diagnostics 2023, 13, 520. https://doi.org/10.3390/diagnostics13030520
Zhang R, Li Z, Hu X, Liang H, Yan G, Xie D, Zhang J, Li Y. Correlation between Pancreatic Duct Variation and Related Diseases: An Effective Method Observing the Dual-Energy CT with Low-keV Monoenergetic Images. Diagnostics. 2023; 13(3):520. https://doi.org/10.3390/diagnostics13030520
Chicago/Turabian StyleZhang, Ruike, Zhengying Li, Xiaoli Hu, Hongwei Liang, Gaowu Yan, Dan Xie, Jiao Zhang, and Yongmei Li. 2023. "Correlation between Pancreatic Duct Variation and Related Diseases: An Effective Method Observing the Dual-Energy CT with Low-keV Monoenergetic Images" Diagnostics 13, no. 3: 520. https://doi.org/10.3390/diagnostics13030520
APA StyleZhang, R., Li, Z., Hu, X., Liang, H., Yan, G., Xie, D., Zhang, J., & Li, Y. (2023). Correlation between Pancreatic Duct Variation and Related Diseases: An Effective Method Observing the Dual-Energy CT with Low-keV Monoenergetic Images. Diagnostics, 13(3), 520. https://doi.org/10.3390/diagnostics13030520

