Diagnostic Principles for Chronic Gastritis Associated with Duodenogastric Reflux
Abstract
1. Introduction
2. Risk Factors for The Formation of BG
2.1. Factors Associated with Age, Gender and Type of Constitution
2.2. Factors Associated with Lifestyle
2.3. Factors Associated with Anatomical Changes in the Area of the Duodenogastric Junction
2.4. Factors Associated with Persistent Motor Disorders
3. Mechanisms for the Development of BG
- Lysolecithin, which is formed from lecithin under the action of phospholipase A, destroys the phospholipid layer of the cell membranes of the coolant epithelium;
- Inhibition of the nitric oxide synthetase enzyme activity results in DNA damage, apoptosis, and cell mutation;
- Increased back diffusion of H+, stimulation of mast cells and, as a consequence, a greater release of histamine occur. As a result, there is an increase in the secretion of hydrochloric acid, which is not only a factor of aggression in relation to the coolant, but also potentiates the negative effect of the bile acids themselves [23,24].
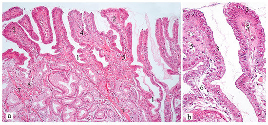
4. Stages of Diagnosing BG
- The main method for diagnosing pathological DGR at present is 24 h pH-impedancemetry. Daily pH-impedancemetry allows for differential diagnosis between physiological and pathological GDR, quantitative analysis of episodes of acidic, weakly acidic, and non-acidic reflux [50]. The method is invasive and has high sensitivity but low specificity.
- Hepatobiliary scintigraphy is a method for diagnosing DGR based on the determination of the content of the stomach after a choleretic breakfast of a radiopharmaceutical excreted in the bile, administered intravenously [51]. The test is well-tolerated by patients, while the method has high sensitivity and specificity; however, the high cost and radiation effects on the body limit its use in clinical practice. Among the shortcomings of this method, it should be noted that the volume and composition of the refluxate cannot be determined.
- The bilirubin content in the refluxate is monitored for 24 h using a Bilitec 2000 photometer. In vitro studies have demonstrated a statistically significant relationship between the concentration of bilirubin and bile acids in the refluxate, which allows us to consider bilirubin an alternative marker of DGR [52]. Using bilirubin as a DGR marker, the Bilitec 2000 allows recording the frequency of these refluxes and the duration of bile residence in the stomach; however, the measurement result can be affected by changes in pH and dilution of the refluxate.
5. Conclusions
Author Contributions
Funding
Institutional Review Board Statement
Informed Consent Statement
Data Availability Statement
Conflicts of Interest
References
- Sugano, K.; Tack, J.; Kuipers, E.J.; Graham, D.Y.; El-Omar, E.M.; Miura, S.; Haruma, K.; Asaka, M.; Uemura, N.; Malfertheiner, P.; et al. Kyoto global consensus report on Helicobacter pylori gastritis. Gut 2015, 64, 1353–1367. [Google Scholar] [CrossRef]
- Taşcı, E.K.; Karakoyun, M.; Sezak, M.; Doğanavsargil, B.; Çetin, F.; Aydoğdu, S. Does bile reflux reduce Helicobacter pylori gastritis? Turk. J. Pediatr. 2022, 64, 122–126. [Google Scholar] [CrossRef]
- Basnayake, C.; Geeraerts, A.; Pauwels, A.; Koek, G.; Vaezi, M.; Vanuytsel, T.; Tack, J. Systematic review: Duodenogastroesophageal (biliary) reflux prevalence, symptoms, oesophageal lesions and treatment. Aliment. Pharmacol. Ther. 2021, 54, 755–778. [Google Scholar] [CrossRef]
- Buchan, W. Domestic Medicine (Or a Treatise on the Prevention and Cure of Disease by Regimen and Simple Medicines), 8th ed.; Strahan, W., Cadell, T., Balfour, J., Creech, W., Eds.; Gale ECCO: London, UK, 1784; p. 462. [Google Scholar]
- Keane, F.B.; Dimagno, E.P.; Malagelada, J.R. Duodenogastric reflux in humans: Its relationship to fasting antroduodenal motility and gastric, pancreatic, and biliary secretion. Gastroenterology 1981, 81, 726–731. [Google Scholar] [CrossRef]
- Tack, J. Review article: Role of pepsin and bile in gastro-oesophageal reflux disease. Aliment. Pharmacol. Ther. 2005, 22 (Suppl. S1), 48–54. [Google Scholar] [CrossRef]
- Li, D.; Zhang, J.; Yao, W.Z.; Zhang, D.L.; Feng, C.C.; He, Q.; Lv, H.H.; Cao, Y.P.; Wang, J.; Qi, Y.; et al. The relationship between gastric cancer, its precancerous lesions and bile reflux: A retrospective study. J. Dig. Dis. 2020, 21, 222–229. [Google Scholar] [CrossRef]
- Shi, X.; Chen, Z.; Yang, Y.; Yan, S. Bile Reflux Gastritis: Insights into Pathogenesis, Relevant Factors, Carcinomatous Risk, Diagnosis, and Management. Gastroenterol. Res. Pract. 2022, 2022, 2642551. [Google Scholar] [CrossRef]
- Maity, P.; Biswas, K.; Roy, S.; Banerjee, R.K.; Bandyopadhyay, U. Smoking and the pathogenesis of gastroduodenal ulcer--recent mechanistic update. Mol. Cell. Biochem. 2003, 253, 329–338. [Google Scholar] [CrossRef]
- Bihter Gürler, E.; Özbeyli, D.; Buzcu, H.; Bayraktar, S.; Carus, İ.; Dağ, B.; Geriş, Y.; Jeral, S.; Yeğen, B.Ç. Natural sweetener agave inhibits gastric emptying in rats by a cholecystokinin-2- and glucagon like peptide-1 receptor-dependent mechanism. Food Funct. 2017, 8, 741–745. [Google Scholar] [CrossRef]
- Aprea, G.; Canfora, A.; Ferronetti, A.; Giugliano, A.; Guida, F.; Braun, A.; Battaglini Ciciriello, M.; Tovecci, F.; Mastrobuoni, G.; Cardin, F.; et al. Morpho-functional gastric pre-and post-operative changes in elderly patients undergoing laparoscopic cholecystectomy for gallstone related disease. BMC Surg. 2012, 12 (Suppl. S1), S5. [Google Scholar] [CrossRef]
- Zobolas, B.; Sakorafas, G.H.; Kouroukli, I.; Glynatsis, M.; Peros, G.; Bramis, J. Alkaline reflux gastritis: Early and late results of surgery. World J. Surg. 2006, 30, 1043–1049. [Google Scholar] [CrossRef] [PubMed]
- McCabe, M.E., 4th; Dilly, C.K. New Causes for the Old Problem of Bile Reflux Gastritis. Clin. Gastroenterol. Hepatol. 2018, 16, 1389–1392. [Google Scholar] [CrossRef] [PubMed]
- Watkins, C.C.; Sawa, A.; Jaffrey, S.; Blackshaw, S.; Barrow, R.K.; Snyder, S.H.; Ferris, C.D. Insulin restores neuronal nitric oxide synthase expression and function that is lost in diabetic gastropathy. J. Clin. Investig. 2000, 106, 803. [Google Scholar] [CrossRef] [PubMed]
- Yamamoto, S.; Watabe, K.; Takehara, T. Is obesity a new risk factor for gastritis? Digestion 2012, 85, 108–110. [Google Scholar] [CrossRef] [PubMed]
- Kawai, Y.; Tazuma, S.; Inoue, M. Bile acid reflux and possible inhibition of Helicobacter pylori infection in subjects without gastric surgery. Dig. Dis. Sci. 2001, 46, 1779–1783. [Google Scholar] [CrossRef]
- Manifold, D.K.; Anggiansah, A.; Rowe, I.; Sanderson, J.D.; Chinyama, C.N.; Owen, W.J. Gastro-oesophageal reflux and duodenogastric reflux before and after eradication in Helicobacter pylori gastritis. Eur. J. Gastroenterol. Hepatol. 2001, 13, 535–539. [Google Scholar] [CrossRef]
- Liu, H.; Hu, C.; Zhang, X.; Jia, W. Role of gut microbiota, bile acids and their cross-talk in the effects of bariatric surgery on obesity and type 2 diabetes. J. Diabetes Investig. 2018, 9, 13–20. [Google Scholar] [CrossRef]
- Stellaard, F.; Sackmann, M.; Sauerbruch, T.; Paumgartner, G. Simultaneous determination of cholic acid and chenodeoxycholic acid pool sizes and fractional turnover rates in human serum using 13C-labeled bile acids. J. Lipid Res. 1984, 25, 1313–1319. [Google Scholar] [CrossRef]
- Režen, T.; Rozman, D.; Kovács, T.; Kovács, P.; Sipos, A.; Bai, P.; Mikó, E. The role of bile acids in carcinogenesis. Cell. Mol. Life Sci. 2022, 79, 243. [Google Scholar] [CrossRef]
- Zwartjes MS, Z.; Gerdes VE, A.; Nieuwdorp, M. The Role of Gut Microbiota and Its Produced Metabolites in Obesity, Dyslipidemia, Adipocyte Dysfunction, and Its Interventions. Metabolites 2021, 11, 531. [Google Scholar] [CrossRef]
- Dawson, P.A. Role of the intestinal bile acid transporters in bile acid and drug disposition. Handb. Exp. Pharmacol. 2011, 201, 169–203. [Google Scholar]
- Goldman, A.S.; Hahidullah, M.; Goldman, D.; Khailova, L.; Watts, G.; Delamere, N.; Dvorak, K. A novel mechanism of acid and bile acid-induced DNA damage involving Na+/H+ exchanger: Implication for Barrett’s oesophagus. Gut 2010, 59, 1606–1616. [Google Scholar] [CrossRef] [PubMed]
- Bechi, P.; Amorosi, A.; Mazzanti, R.; Dei, R.; Bianchi, S.; Mugnai, L.; Masini, E. Reflux-related gastric mucosal injury is associated with increased mucosal histamine content in humans. Gastroenterology 1993, 104, 1057–1063. [Google Scholar] [CrossRef]
- Choi, J.; Kim, S.G.; Yoon, H.; Im, J.P.; Kim, J.S.; Kim, W.H.; Jung, H.C. Eradication of Helicobacter pylori after endoscopic resection of gastric tumors does not reduce incidence of metachronous gastric carcinoma. Clin. Gastroenterol. Hepatol. 2014, 12, 793–800.e1. [Google Scholar] [CrossRef]
- He, Q.; Liu, L.; Wei, J.; Jiang, J.; Rong, Z.; Chen, X.; Zhao, J.; Jiang, K. Roles and action mechanisms of bile acid-induced gastric intestinal metaplasia: A review. Cell Death Discov. 2022, 8, 158. [Google Scholar] [CrossRef]
- Oshima, T.; Miwa, H. Gastrointestinal mucosal barrier function and diseases. J. Gastroenterol. 2016, 51, 768–778. [Google Scholar] [CrossRef] [PubMed]
- Camilleri, M. Leaky gut: Mechanisms, measurement and clinical implications in humans. Gut 2019, 68, 1516–1526. [Google Scholar] [CrossRef]
- Igarashi, M.; Nakae, H.; Matsuoka, T.; Takahashi, S.; Hisada, T.; Tomita, J.; Koga, Y. Alteration in the gastric microbiota and its restoration by probiotics in patients with functional dyspepsia. BMJ Open Gastroenterol. 2017, 4, e000144. [Google Scholar] [CrossRef]
- Wang, C.; Li, W.; Wang, H.; Ma, Y.; Zhao, X.; Zhang, X.; Yang, H.; Qian, J.; Li, J. Saccharomyces boulardii alleviates ulcerative colitis carcinogenesis in mice by reducing TNF-α and IL-6 levels and functions and by rebalancing intestinal microbiota. BMC Microbiol. 2019, 19, 246. [Google Scholar] [CrossRef]
- Liu, X.; Shao, L.; Liu, X.; Ji, F.; Mei, Y.; Cheng, Y.; Liu, F.; Yan, C.; Li, L.; Ling, Z. Alterations of gastric mucosal microbiota across different stomach microhabitats in a cohort of 276 patients with gastric cancer. EBioMedicine 2019, 40, 336–348. [Google Scholar] [CrossRef]
- Gong, J.; Li, L.; Zuo, X.; Li, Y. Change of the duodenal mucosa-associated microbiota is related to intestinal metaplasia. BMC Microbiol. 2019, 19, 275. [Google Scholar] [CrossRef] [PubMed]
- Straub, D.; Oude Elferink, R.P.; Jansen, P.L.; Bergman, J.J.; Parikh, K.; Krishnadath, K.K. Glyco-conjugated bile acids drive the initial metaplastic gland formation from multi-layered glands through crypt-fission in a murine model. PLoS ONE 2019, 14, e0220050. [Google Scholar] [CrossRef] [PubMed]
- Matsuhisa, T.; Tsukui, T. Relation between reflux of bile acids into the stomach and gastric mucosal atrophy, intestinal metaplasia in biopsy specimens. J. Clin. Biochem. Nutr. 2012, 50, 217–221. [Google Scholar] [CrossRef] [PubMed][Green Version]
- Matsuhisa, T.; Arakawa, T.; Watanabe, T.; Tokutomi, T.; Sakurai, K.; Okamura, S.; Chono, S.; Kamada, T.; Sugiyama, A.; Fujimura, Y.; et al. Relation between bile acid reflux into the stomach and the risk of atrophic gastritis and intestinal metaplasia: A multicenter study of 2283 cases. Dig. Endosc. 2013, 25, 519–525. [Google Scholar] [CrossRef] [PubMed]
- Takahashi, Y.; Uno, K.; Iijima, K.; Abe, Y.; Koike, T.; Asano, N.; Asanuma, K.; Shimosegawa, T. Acidic bile salts induces mucosal barrier dysfunction through let-7a reduction during gastric carcinogenesis after Helicobacter pylori eradication. Oncotarget 2018, 9, 18069–18083. [Google Scholar] [CrossRef] [PubMed][Green Version]
- Li, X.B.; Lu, H.; Chen, H.M.; Chen, X.Y.; Ge, Z.Z. Role of bile reflux and Helicobacter pylori infection on inflammation of gastric remnant after distal gastrectomy. J. Dig. Dis. 2008, 9, 208–212. [Google Scholar] [CrossRef]
- Rohr, M.; Aljabban, J.; Rudeski-Rohr, T.; Lessans, S.; Nakkina, S.P.; Hadley, D.; Zhu, X.; Altomare, D.A. Meta-Analysis Reveals the Prognostic Relevance of Nuclear and Membrane-Associated Bile Acid Receptors in Gastric Cancer. Clin. Transl. Gastroenterol. 2021, 12, e00295. [Google Scholar] [CrossRef]
- Yu, J.H.; Zheng, J.B.; Qi, J.; Yang, K.; Wu, Y.H.; Wang, K.; Wang, C.B.; Sun, X.J. Bile acids promote gastric intestinal metaplasia by upregulating CDX2 and MUC2 expression via the FXR/NF-κB signalling pathway. Int. J. Oncol. 2019, 54, 879–892. [Google Scholar] [CrossRef]
- Park, M.J.; Kim, K.H.; Kim, H.Y.; Kim, K.; Cheong, J. Bile acid induces expression of COX-2 through the homeodomain transcription factor CDX1 and orphan nuclear receptor SHP in human gastric cancer cells. Carcinogenesis 2008, 29, 2385–2393. [Google Scholar] [CrossRef]
- Ni, Z.; Min, Y.; Han, C.; Yuan, T.; Lu, W.; Ashktorab, H.; Smoot, D.T.; Wu, Q.; Wu, J.; Zeng, W.; et al. TGR5-HNF4alpha axis contributes to bile acid-induced gastric intestinal metaplasia markers expression. Cell Death Discov. 2020, 6, 56. [Google Scholar] [CrossRef]
- Yang, H.B.; Song, W.; Cheng, M.D.; Fan, H.F.; Gu, X.; Qiao, Y.; Lu, X.; Yu, R.H.; Chen, L.Y. Deoxycholic acid inhibits the growth of BGC-823 gastric carcinoma cells via a p53-mediated pathway. Mol. Med. Rep. 2015, 11, 2749–2754. [Google Scholar] [CrossRef]
- Song, W.; Yang, H.B.; Chen, P.; Wang, S.M.; Zhao, L.P.; Xu, W.H.; Fan, H.F.; Gu, X.; Chen, L.Y. Apoptosis of human gastric carcinoma SGC-7901 induced by deoxycholic acid via the mitochondrial dependent pathway. Appl. Biochem. Biotechnol. 2013, 171, 1061–1071. [Google Scholar] [CrossRef] [PubMed]
- Lake, A.; Rao SS, C.; Larion, S.; Spartz, H.; Kavuri, S. Bile Reflux Gastropathy and Functional Dyspepsia. J. Neurogastroenterol. Motil. 2021, 27, 400–407. [Google Scholar] [CrossRef]
- Keighley, M.R.; Asquith, P.; Alexander-Williams, J. Duodenogastric reflux: A cause of gastric mucosal hyperaemia and symptoms after operations for peptic ulceration. Gut 1975, 16, 28–32. [Google Scholar] [CrossRef]
- Vaezi, M.F.; Richter, J.E. Importance of duodeno-gastro-esophageal reflux in the medical outpatient practice. Hepato-Gastroenterol. 1999, 46, 40–47. [Google Scholar]
- Naik, R.D.; Meyers, M.H.; Vaezi, M.F. Treatment of Refractory Gastroesophageal Reflux Disease. Gastroenterol. Hepatol. 2020, 16, 196–205. [Google Scholar]
- Kunsch, S.; Neesse, A.; Linhart, T.; Nell, C.; Gress, T.M.; Ellenrieder, V. Prospective evaluation of duodenogastroesophageal reflux in gastroesophageal reflux disease patients refractory to proton pump inhibitor therapy. Digestion 2012, 86, 315–322. [Google Scholar] [CrossRef] [PubMed]
- Eldredge, T.A.; Myers, J.C.; Kiroff, G.K.; Shenfine, J. Detecting Bile Reflux-the Enigma of Bariatric Surgery. Obes. Surg. 2018, 28, 559–566. [Google Scholar] [CrossRef]
- Barrett, M.W.; Myers, J.C.; Watson, D.I.; Jamieson, G.G. Dietary interference with the use of Bilitec to assess bile reflux. Dis. Esophagus 1999, 12, 60–64. [Google Scholar] [CrossRef] [PubMed]
- Saarinen, T.; Pietiläinen, K.H.; Loimaala, A.; Ihalainen, T.; Sammalkorpi, H.; Penttilä, A.; Juuti, A. Bile Reflux is a Common Finding in the Gastric Pouch After One Anastomosis Gastric Bypass. Obes. Surg. 2020, 30, 875–881. [Google Scholar] [CrossRef]
- Shenouda, M.M.; Harb, S.E.; Mikhail SA, A.; Mokhtar, S.M.; Osman AM, A.; Wassef AT, S.; Rizkallah NN, H.; Milad, N.M.; Anis, S.E.; Nabil, T.M.; et al. Bile Gastritis Following Laparoscopic Single Anastomosis Gastric Bypass: Pilot Study to Assess Significance of Bilirubin Level in Gastric Aspirate. Obes. Surg. 2018, 28, 389–395. [Google Scholar] [CrossRef] [PubMed]
- Pimentel-Nunes, P.; Libânio, D.; Marcos-Pinto, R.; Areia, M.; Leja, M.; Esposito, G.; Garrido, M.; Kikuste, I.; Megraud, F.; Matysiak-Budnik, T.; et al. Management of epithelial precancerous conditions and lesions in the stomach (MAPS II): European Society of Gastrointestinal Endoscopy (ESGE), European Helicobacter and Microbiota Study Group (EHMSG), European Society of Pathology (ESP), and Sociedade Portuguesa de Endoscopia Digestiva (SPED) guideline update 2019. Endoscopy 2019, 51, 365–388. [Google Scholar] [PubMed]
- Chang, W.K.; Lin, C.K.; Chuan, D.C.; Chao, Y.C. Duodenogastric Reflux: Proposed New Endoscopic Classification in Symptomatic Patients. J. Med. Sci. 2016, 3, 1–5. [Google Scholar]



Disclaimer/Publisher’s Note: The statements, opinions and data contained in all publications are solely those of the individual author(s) and contributor(s) and not of MDPI and/or the editor(s). MDPI and/or the editor(s) disclaim responsibility for any injury to people or property resulting from any ideas, methods, instructions or products referred to in the content. |
© 2023 by the authors. Licensee MDPI, Basel, Switzerland. This article is an open access article distributed under the terms and conditions of the Creative Commons Attribution (CC BY) license (https://creativecommons.org/licenses/by/4.0/).
Share and Cite
Livzan, M.A.; Mozgovoi, S.I.; Gaus, O.V.; Bordin, D.S.; Kononov, A.V. Diagnostic Principles for Chronic Gastritis Associated with Duodenogastric Reflux. Diagnostics 2023, 13, 186. https://doi.org/10.3390/diagnostics13020186
Livzan MA, Mozgovoi SI, Gaus OV, Bordin DS, Kononov AV. Diagnostic Principles for Chronic Gastritis Associated with Duodenogastric Reflux. Diagnostics. 2023; 13(2):186. https://doi.org/10.3390/diagnostics13020186
Chicago/Turabian StyleLivzan, Maria A., Sergei I. Mozgovoi, Olga V. Gaus, Dmitry S. Bordin, and Alexei V. Kononov. 2023. "Diagnostic Principles for Chronic Gastritis Associated with Duodenogastric Reflux" Diagnostics 13, no. 2: 186. https://doi.org/10.3390/diagnostics13020186
APA StyleLivzan, M. A., Mozgovoi, S. I., Gaus, O. V., Bordin, D. S., & Kononov, A. V. (2023). Diagnostic Principles for Chronic Gastritis Associated with Duodenogastric Reflux. Diagnostics, 13(2), 186. https://doi.org/10.3390/diagnostics13020186

