How Much Is Enough? A Surgical Perspective on Imaging Modalities to Estimate Function and Volume of the Future Liver Remnant before Hepatic Resection
Abstract
1. Introduction
2. PHLF: How Far We Have Come
2.1. Definition Criteria and Scoring Systems
2.2. Pathophysiology and Management
3. PHLF Prevention
3.1. Clinical Scores and Treatment Algorithm: Definition and Drawbacks
3.2. ICG-R15: How to Overcome Its Limitations
4. PHLF Prevention: The Role of Imaging Techniques
4.1. The Importance of Remnant Liver Volume Percentage
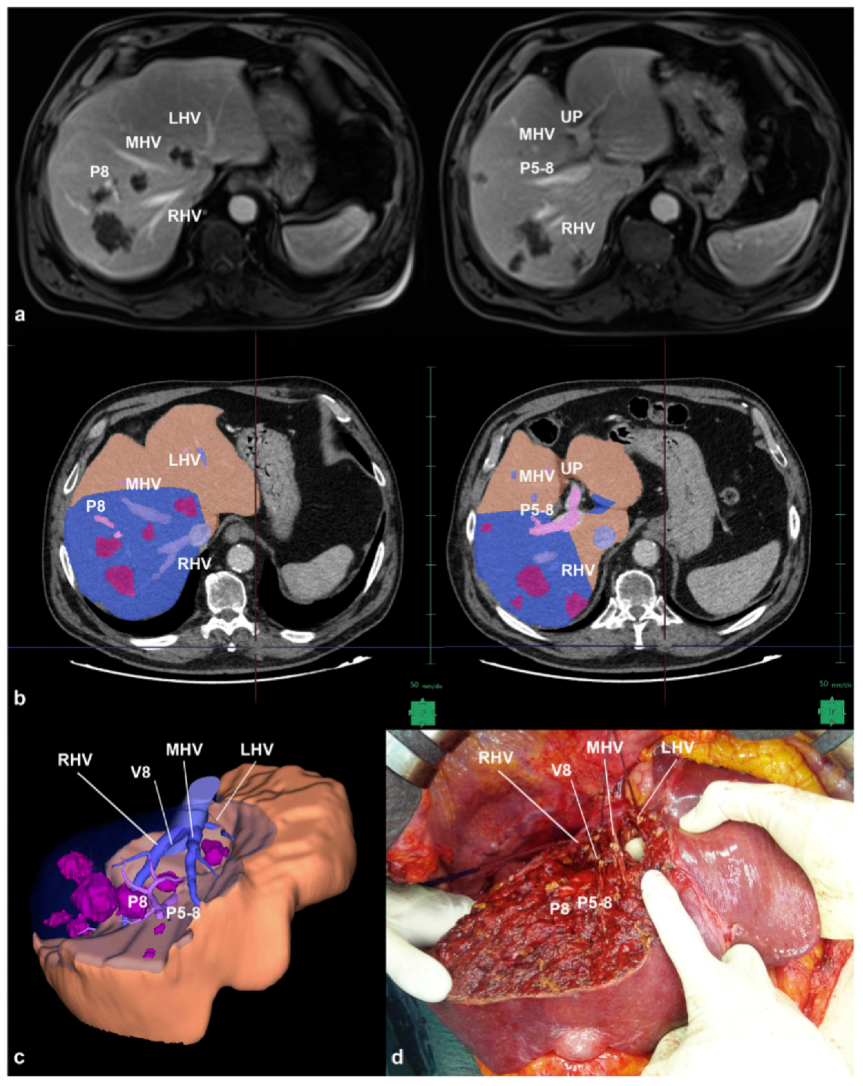
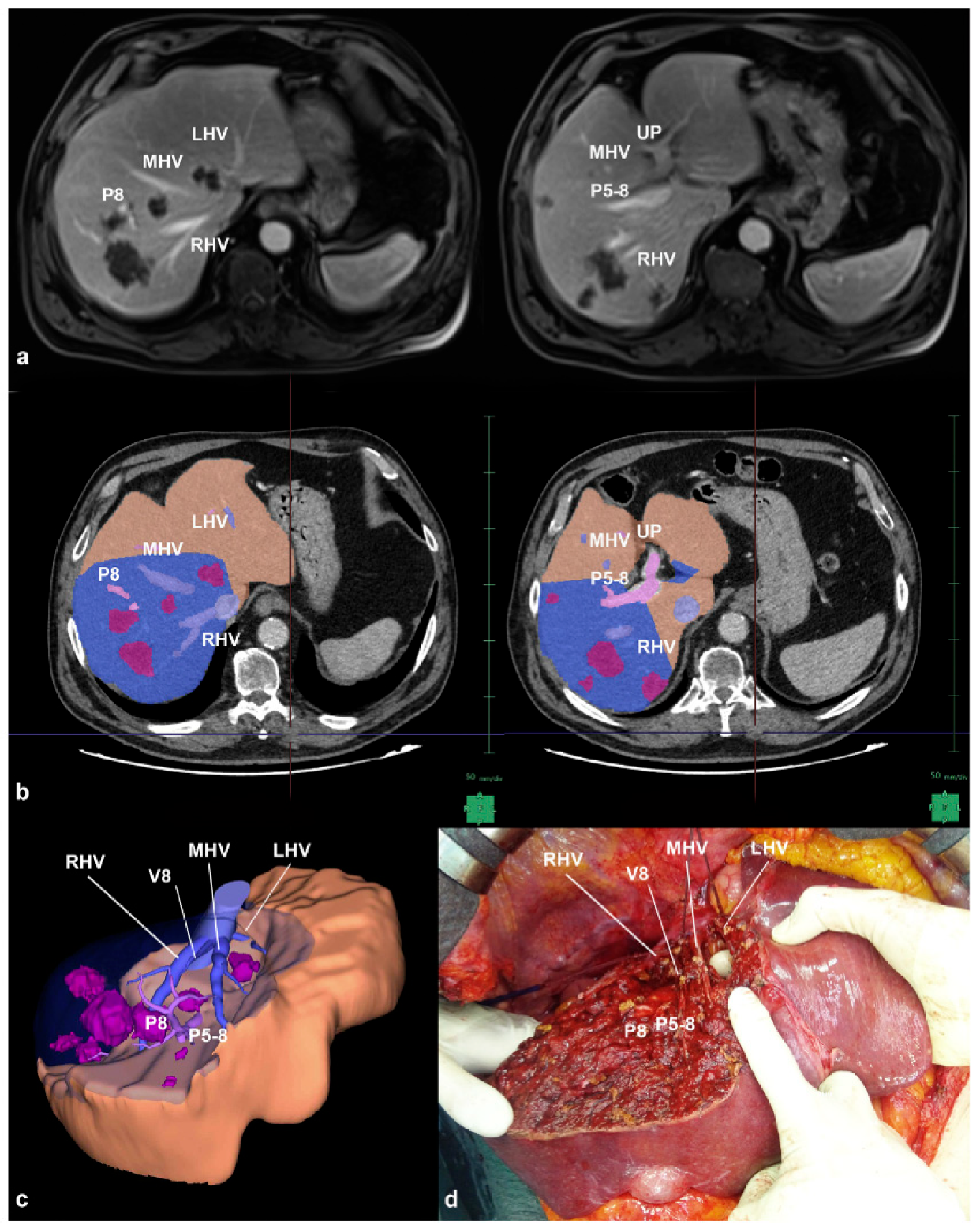
4.2. The Guidance of 3D Volume Reconstruction
4.3. Hepatobiliary Scintigraphy and SPECT/CT
4.4. Combining Volume and Function: The Role of MRI
4.4.1. MRI Applicability in Estimating Liver Function and Volume
4.4.2. The Current Role of MRI and Future Perspectives
5. Conclusions
Supplementary Materials
Author Contributions
Funding
Institutional Review Board Statement
Informed Consent Statement
Data Availability Statement
Acknowledgments
Conflicts of Interest
References
- Thompson, H.H.; Tompkins, R.K.; Longmire, W.P., Jr. Major Hepatic Resection. A 25-Year Experience. Ann. Surg. 1983, 197, 375–388. [Google Scholar] [CrossRef]
- Adson, M.A.; Weiland, L.H. Resection of Primary Solid Hepatic Tumors. Am. J. Surg. 1981, 141, 18–21. [Google Scholar] [CrossRef]
- Makuuchi, M.; Thai, B.L.; Takayasu, K.; Takayama, T.; Kosuge, T.; Gunvén, P.; Yamazaki, S.; Hasegawa, H.; Ozaki, H. Preoperative Portal Embolization to Increase Safety of Major Hepatectomy for Hilar Bile Duct Carcinoma: A Preliminary Report. Surgery 1990, 107, 521–527. [Google Scholar] [PubMed]
- Torzilli, G.; Viganò, L.; Gatti, A.; Costa, G.; Cimino, M.; Procopio, F.; Donadon, M.; Del Fabbro, D. Twelve-Year Experience of “Radical but Conservative” Liver Surgery for Colorectal Metastases: Impact on Surgical Practice and Oncologic Efficacy. HPB 2017, 19, 775–784. [Google Scholar] [CrossRef] [PubMed]
- Jaeck, D.; Bachellier, P.; Oussoultzoglou, E.; Weber, J.-C.; Wolf, P. Surgical Resection of Hepatocellular Carcinoma. Post-Operative Outcome and Long-Term Results in Europe: An Overview. Liver Transpl. 2004, 10, S58–S63. [Google Scholar] [CrossRef] [PubMed]
- Yokoyama, Y.; Nishio, H.; Ebata, T.; Igami, T.; Sugawara, G.; Nagino, M. Value of Indocyanine Green Clearance of the Future Liver Remnant in Predicting Outcome after Resection for Biliary Cancer. Br. J. Surg. 2010, 97, 1260–1268. [Google Scholar] [CrossRef] [PubMed]
- Polson, J.; Lee, W.M.; American Association for the Study of Liver Disease. AASLD Position Paper: The Management of Acute Liver Failure. Hepatology 2005, 41, 1179–1197. [Google Scholar] [PubMed]
- Poon, R.T.; Fan, S.T.; Lo, C.M.; Liu, C.L.; Lam, C.M.; Yuen, W.K.; Yeung, C.; Wong, J. Improving Perioperative Outcome Expands the Role of Hepatectomy in Management of Benign and Malignant Hepatobiliary Diseases: Analysis of 1222 Consecutive Patients from a Prospective Database. Ann. Surg. 2004, 240, 698–710. [Google Scholar] [CrossRef]
- Chen, B.; Lin, S. Albumin-Bilirubin (ALBI) Score at Admission Predicts Possible Outcomes in Patients with Acute-on-Chronic Liver Failure. Medicine 2017, 96, e7142. [Google Scholar] [CrossRef]
- Donadon, M.; Costa, G.; Cimino, M.; Procopio, F.; Fabbro, D.D.; Palmisano, A.; Torzilli, G. Safe Hepatectomy Selection Criteria for Hepatocellular Carcinoma Patients: A Validation of 336 Consecutive Hepatectomies. The BILCHE Score. World J. Surg. 2015, 39, 237–243. [Google Scholar] [CrossRef]
- Torzilli, G.; Makuuchi, M.; Inoue, K.; Takayama, T.; Sakamoto, Y.; Sugawara, Y.; Kubota, K.; Zucchi, A. No-Mortality Liver Resection for Hepatocellular Carcinoma in Cirrhotic and Noncirrhotic Patients: Is There a Way? A Prospective Analysis of Our Approach. Arch. Surg. 1999, 134, 984–992. [Google Scholar] [CrossRef] [PubMed]
- Mise, Y.; Tani, K.; Aoki, T.; Sakamoto, Y.; Hasegawa, K.; Sugawara, Y.; Kokudo, N. Virtual Liver Resection: Computer-Assisted Operation Planning Using a Three-Dimensional Liver Representation. J. Hepatobiliary Pancreat. Sci. 2013, 20, 157–164. [Google Scholar] [CrossRef] [PubMed]
- Procopio, F.; Cimino, M.; Viganò, L.; Colombo, A.E.; Franchi, E.; Costa, G.; Donadon, M.; Del Fabbro, D.; Torzilli, G. Prediction of Remnant Liver Volume Using 3D Simulation Software in Patients Undergoing R1vasc Parenchyma-Sparing Hepatectomy for Multiple Bilobar Colorectal Liver Metastases: Reliability, Clinical Impact, and Learning Curve. HPB 2021, 23, 1084–1094. [Google Scholar] [CrossRef] [PubMed]
- Seyama, Y.; Kokudo, N. Assessment of Liver Function for Safe Hepatic Resection. Hepatol. Res. 2009, 39, 107–116. [Google Scholar] [CrossRef] [PubMed]
- Mise, Y.; Hasegawa, K.; Satou, S.; Shindoh, J.; Miki, K.; Akamatsu, N.; Arita, J.; Kaneko, J.; Sakamoto, Y.; Kokudo, N. How Has Virtual Hepatectomy Changed the Practice of Liver Surgery?: Experience of 1194 Virtual Hepatectomy Before Liver Resection and Living Donor Liver Transplantation. Ann. Surg. 2018, 268, 127–133. [Google Scholar] [CrossRef] [PubMed]
- Jarnagin, W.R.; Gonen, M.; Fong, Y.; DeMatteo, R.P.; Ben-Porat, L.; Little, S.; Corvera, C.; Weber, S.; Blumgart, L.H. Improvement in Perioperative Outcome after Hepatic Resection: Analysis of 1803 Consecutive Cases over the Past Decade. Ann. Surg. 2002, 236, 397–407. [Google Scholar] [CrossRef] [PubMed]
- Van den Broek, M.A.J.; Olde Damink, S.W.M.; Dejong, C.H.C.; Lang, H.; Malagó, M.; Jalan, R.; Saner, F.H. Liver Failure after Partial Hepatic Resection: Definition, Pathophysiology, Risk Factors and Treatment. Liver Int. 2008, 28, 767–780. [Google Scholar] [CrossRef] [PubMed]
- Balzan, S.; Belghiti, J.; Farges, O.; Ogata, S.; Sauvanet, A.; Delefosse, D.; Durand, F. The “50-50 Criteria” on Postoperative Day 5: An Accurate Predictor of Liver Failure and Death after Hepatectomy. Ann. Surg. 2005, 242, 824–829. [Google Scholar] [CrossRef]
- Rahbari, N.N.; Garden, O.J.; Padbury, R.; Brooke-Smith, M.; Crawford, M.; Adam, R.; Koch, M.; Makuuchi, M.; Dematteo, R.P.; Christophi, C.; et al. Posthepatectomy Liver Failure: A Definition and Grading by the International Study Group of Liver Surgery (ISGLS). Surgery 2011, 149, 713–724. [Google Scholar] [CrossRef]
- Mullen, J.T.; Ribero, D.; Reddy, S.K.; Donadon, M.; Zorzi, D.; Gautam, S.; Abdalla, E.K.; Curley, S.A.; Capussotti, L.; Clary, B.M.; et al. Hepatic Insufficiency and Mortality in 1,059 Noncirrhotic Patients Undergoing Major Hepatectomy. J. Am. Coll. Surg. 2007, 204, 854–864. [Google Scholar] [CrossRef]
- Adam, R.; Chiche, L.; Aloia, T.; Elias, D.; Salmon, R.; Rivoire, M.; Jaeck, D.; Saric, J.; Le Treut, Y.P.; Belghiti, J.; et al. Hepatic Resection for Noncolorectal Nonendocrine Liver Metastases: Analysis of 1452 Patients and Development of a Prognostic Model. Ann. Surg. 2006, 244, 524–535. [Google Scholar] [CrossRef] [PubMed]
- Cescon, M.; Vetrone, G.; Grazi, G.L.; Ramacciato, G.; Ercolani, G.; Ravaioli, M.; Del Gaudio, M.; Pinna, A.D. Trends in Perioperative Outcome after Hepatic Resection: Analysis of 1500 Consecutive Unselected Cases over 20 Years. Ann. Surg. 2009, 249, 995–1002. [Google Scholar] [CrossRef] [PubMed]
- Tanabe, G.; Sakamoto, M.; Akazawa, K.; Kurita, K.; Hamanoue, M.; Ueno, S.; Kobayashi, Y.; Mitue, S.; Ogura, Y.; Yoshidome, N. Intraoperative Risk Factors Associated with Hepatic Resection. Br. J. Surg. 1995, 82, 1262–1265. [Google Scholar] [CrossRef] [PubMed]
- Hemming, A.W.; Gallinger, S.; Greig, P.D.; Cattral, M.S.; Langer, B.; Taylor, B.R.; Verjee, Z.; Giesbrecht, E.; Nakamachi, Y.; Furuya, K.N. The Hippurate Ratio as an Indicator of Functional Hepatic Reserve for Resection of Hepatocellular Carcinoma in Cirrhotic Patients. J. Gastrointest. Surg. 2001, 5, 316–321. [Google Scholar] [CrossRef] [PubMed]
- Guglielmi, A.; Ruzzenente, A.; Conci, S.; Valdegamberi, A.; Iacono, C. How Much Remnant Is Enough in Liver Resection? Dig. Surg. 2012, 29, 6–17. [Google Scholar] [CrossRef] [PubMed]
- Kobayashi, Y.; Kiya, Y.; Sugawara, T.; Nishioka, Y.; Hashimoto, M.; Shindoh, J. Expanded Makuuchi’s Criteria Using Estimated Indocyanine Green Clearance Rate of Future Liver Remnant as a Safety Limit for Maximum Extent of Liver Resection. HPB 2019, 21, 990–997. [Google Scholar] [CrossRef] [PubMed]
- Tiberio, G.A.M.; Tiberio, L.; Benetti, A.; Cervi, E.; Montani, N.; Dreano, M.; Garotta, G.; Cerea, K.; Steimberg, N.; Pandolfo, G.; et al. IL-6 Promotes Compensatory Liver Regeneration in Cirrhotic Rat after Partial Hepatectomy. Cytokine 2008, 42, 372–378. [Google Scholar] [CrossRef] [PubMed]
- Corpechot, C.; Barbu, V.; Wendum, D.; Chignard, N.; Housset, C.; Poupon, R.; Rosmorduc, O. Hepatocyte Growth Factor and c-Met Inhibition by Hepatic Cell Hypoxia: A Potential Mechanism for Liver Regeneration Failure in Experimental Cirrhosis. Am. J. Pathol. 2002, 160, 613–620. [Google Scholar] [CrossRef]
- Zhao, J.; van Mierlo, K.M.C.; Gómez-Ramírez, J.; Kim, H.; Pilgrim, C.H.C.; Pessaux, P.; Rensen, S.S.; van der Stok, E.P.; Schaap, F.G.; Soubrane, O.; et al. Systematic Review of the Influence of Chemotherapy-Associated Liver Injury on Outcome after Partial Hepatectomy for Colorectal Liver Metastases. Br. J. Surg. 2017, 104, 990–1002. [Google Scholar] [CrossRef]
- Tamandl, D.; Klinger, M.; Eipeldauer, S.; Herberger, B.; Kaczirek, K.; Gruenberger, B.; Gruenberger, T. Sinusoidal Obstruction Syndrome Impairs Long-Term Outcome of Colorectal Liver Metastases Treated with Resection after Neoadjuvant Chemotherapy. Ann. Surg. Oncol. 2011, 18, 421–430. [Google Scholar] [CrossRef]
- Selzner, M.; Clavien, P.A. Failure of Regeneration of the Steatotic Rat Liver: Disruption at Two Different Levels in the Regeneration Pathway. Hepatology 2000, 31, 35–42. [Google Scholar] [CrossRef] [PubMed]
- Zhou, X.-P.; Lu, T.; Wei, Y.-G.; Chen, X. Liver Volume Variation in Patients with Virus-Induced Cirrhosis: Findings on MDCT. AJR Am. J. Roentgenol. 2007, 189, W153–W159. [Google Scholar] [CrossRef] [PubMed]
- Chen, M.F.; Hwang, T.L.; Hung, C.F. Human Liver Regeneration after Major Hepatectomy. A Study of Liver Volume by Computed Tomography. Ann. Surg. 1991, 213, 227–229. [Google Scholar] [CrossRef] [PubMed]
- Yamanaka, N.; Okamoto, E.; Kawamura, E.; Kato, T.; Oriyama, T.; Fujimoto, J.; Furukawa, K.; Tanaka, T.; Tomoda, F.; Tanaka, W. Dynamics of Normal and Injured Human Liver Regeneration after Hepatectomy as Assessed on the Basis of Computed Tomography and Liver Function. Hepatology 1993, 18, 79–85. [Google Scholar] [CrossRef] [PubMed]
- Chuang, Y.-H.; Ou, H.-Y.; Lazo, M.Z.; Chen, C.-L.; Chen, M.-H.; Weng, C.-C.; Cheng, Y.-F. Predicting Post-Hepatectomy Liver Failure by Combined Volumetric, Functional MR Image and Laboratory Analysis. Liver Int. 2018, 38, 868–874. [Google Scholar] [CrossRef] [PubMed]
- Takao, H.; Akai, H.; Tajima, T.; Kiryu, S.; Watanabe, Y.; Imamura, H.; Akahane, M.; Yoshioka, N.; Kokudo, N.; Ohtomo, K. MR Imaging of the Biliary Tract with Gd-EOB-DTPA: Effect of Liver Function on Signal Intensity. Eur. J. Radiol. 2011, 77, 325–329. [Google Scholar] [CrossRef] [PubMed]
- Matsushima, S.; Sato, Y.; Yamaura, H.; Kato, M.; Kinosada, Y.; Era, S.; Takahashi, K.; Inaba, Y. Visualization of Liver Uptake Function Using the Uptake Contrast-Enhanced Ratio in Hepatobiliary Phase Imaging. Magn. Reson. Imaging 2014, 32, 654–659. [Google Scholar] [CrossRef] [PubMed]
- Golse, N.; Bucur, P.O.; Adam, R.; Castaing, D.; Sa Cunha, A.; Vibert, E. New Paradigms in Post-Hepatectomy Liver Failure. J. Gastrointest. Surg. 2013, 17, 593–605. [Google Scholar] [CrossRef]
- Kandiah, P.A.; Olson, J.C.; Subramanian, R.M. Emerging Strategies for the Treatment of Patients with Acute Hepatic Failure. Curr. Opin. Crit. Care 2016, 22, 142–151. [Google Scholar] [CrossRef]
- Søreide, J.A.; Deshpande, R. Post Hepatectomy Liver Failure (PHLF)—Recent Advances in Prevention and Clinical Management. Eur. J. Surg. Oncol. 2021, 47, 216–224. [Google Scholar] [CrossRef]
- Jayalakshmi, V.T.; Bernal, W. Update on the Management of Acute Liver Failure. Curr. Opin. Crit. Care 2020, 26, 163–170. [Google Scholar] [CrossRef] [PubMed]
- Child, C.G.; Turcotte, J.G. Surgery and Portal Hypertension. Major Probl. Clin. Surg. 1964, 1, 1–85. [Google Scholar] [PubMed]
- Reig, M.; Forner, A.; Rimola, J.; Ferrer-Fàbrega, J.; Burrel, M.; Garcia-Criado, Á.; Kelly, R.K.; Galle, P.R.; Mazzaferro, V.; Salem, R.; et al. BCLC Strategy for Prognosis Prediction and Treatment Recommendation: The 2022 Update. J. Hepatol. 2022, 76, 681–693. [Google Scholar] [CrossRef] [PubMed]
- Heimbach, J.K.; Kulik, L.M.; Finn, R.S.; Sirlin, C.B.; Abecassis, M.M.; Roberts, L.R.; Zhu, A.X.; Hassan Murad, M.; Marrero, J.A. AASLD Guidelines for the Treatment of Hepatocellular Carcinoma. Hepatology 2018, 67, 358–380. [Google Scholar] [CrossRef] [PubMed]
- Malinchoc, M.; Kamath, P.S.; Gordon, F.D.; Peine, C.J.; Rank, J.; ter Borg, P.C. A Model to Predict Poor Survival in Patients Undergoing Transjugular Intrahepatic Portosystemic Shunts. Hepatology 2000, 31, 864–871. [Google Scholar] [CrossRef]
- Cucchetti, A.; Ercolani, G.; Cescon, M.; Ravaioli, M.; Zanello, M.; Del Gaudio, M.; Lauro, A.; Vivarelli, M.; Grazi, G.L.; Pinna, A.D. Recovery from Liver Failure after Hepatectomy for Hepatocellular Carcinoma in Cirrhosis: Meaning of the Model for End-Stage Liver Disease. J. Am. Coll. Surg. 2006, 203, 670–676. [Google Scholar] [CrossRef] [PubMed]
- Makuuchi, M.; Kosuge, T.; Takayama, T.; Yamazaki, S.; Kakazu, T.; Miyagawa, S.; Kawasaki, S. Surgery for Small Liver Cancers. Semin. Surg. Oncol. 1993, 9, 298–304. [Google Scholar] [CrossRef]
- Imamura, H.; Sano, K.; Sugawara, Y.; Kokudo, N.; Makuuchi, M. Assessment of Hepatic Reserve for Indication of Hepatic Resection: Decision Tree Incorporating Indocyanine Green Test. J. Hepatobiliary Pancreat. Surg. 2005, 12, 16–22. [Google Scholar] [CrossRef]
- Iguchi, K.; Hatano, E.; Yamanaka, K.; Tanaka, S.; Taura, K.; Uemoto, S. Validation of the Conventional Resection Criteria in Patients with Hepatocellular Carcinoma in Terms of the Incidence of Posthepatectomy Liver Failure and Long-Term Prognosis. Dig. Surg. 2015, 32, 344–351. [Google Scholar] [CrossRef]
- Torizuka, K.; Ha-Kawa, S.K.; Kudo, M.; Kubota, Y.; Yamamoto, K.; Itoh, K.; Nagao, K.; Uchiyama, G.; Koizumi, K.; Sasaki, Y. Phase III multi-center clinical study on 99mTc-GSA, a new agent for functional imaging of the liver. Kaku Igaku 1992, 29, 159–181. [Google Scholar]
- Nanashima, A.; Yamaguchi, H.; Shibasaki, S.; Morino, S.; Ide, N.; Takeshita, H.; Sawai, T.; Nakagoe, T.; Nagayasu, T.; Ogawa, Y. Relationship between Indocyanine Green Test and Technetium-99m Galactosyl Serum Albumin Scintigraphy in Patients Scheduled for Hepatectomy: Clinical Evaluation and Patient Outcome. Hepatol. Res. 2004, 28, 184–190. [Google Scholar] [CrossRef] [PubMed]
- Redaelli, C.A.; Dufour, J.-F.; Wagner, M.; Schilling, M.; Hüsler, J.; Krähenbühl, L.; Büchler, M.W.; Reichen, J. Preoperative Galactose Elimination Capacity Predicts Complications and Survival after Hepatic Resection. Ann. Surg. 2002, 235, 77–85. [Google Scholar] [CrossRef] [PubMed]
- De Graaf, W.; Häusler, S.; Heger, M.; van Ginhoven, T.M.; van Cappellen, G.; Bennink, R.J.; Kullak-Ublick, G.A.; Hesselmann, R.; van Gulik, T.M.; Stieger, B. Transporters Involved in the Hepatic Uptake of (99m)Tc-Mebrofenin and Indocyanine Green. J. Hepatol. 2011, 54, 738–745. [Google Scholar] [CrossRef] [PubMed]
- Takamoto, T.; Hashimoto, T.; Ichida, A.; Shimada, K.; Maruyama, Y.; Makuuchi, M. Surgical Strategy Based on Indocyanine Green Test for Chemotherapy-Associated Liver Injury and Long-Term Outcome in Colorectal Liver Metastases. J. Gastrointest. Surg. 2018, 22, 1077–1088. [Google Scholar] [CrossRef] [PubMed]
- Torzilli, G. Parenchyma-Sparing Vessel-Guided Major Hepatectomy: Nonsense or New Paradigm in Liver Surgery? Br. J. Surg. 2021, 108, 109–111. [Google Scholar] [CrossRef]
- Takasaki, T.; Kobayashi, S.; Suzuki, S.; Muto, H.; Marada, M.; Yamana, Y.; Nagaoka, T. Predetermining Postoperative Hepatic Function for Hepatectomies. Int. Surg. 1980, 65, 309–313. [Google Scholar]
- Nagino, M.; Kamiya, J.; Nishio, H.; Ebata, T.; Arai, T.; Nimura, Y. Two Hundred Forty Consecutive Portal Vein Embolizations before Extended Hepatectomy for Biliary Cancer: Surgical Outcome and Long-Term Follow-Up. Ann. Surg. 2006, 243, 364–372. [Google Scholar] [CrossRef]
- Kubota, K.; Makuuchi, M.; Kusaka, K.; Kobayashi, T.; Miki, K.; Hasegawa, K.; Harihara, Y.; Takayama, T. Measurement of Liver Volume and Hepatic Functional Reserve as a Guide to Decision-Making in Resectional Surgery for Hepatic Tumors. Hepatology 1997, 26, 1176–1181. [Google Scholar]
- Torzilli, G.; Donadon, M.; Marconi, M.; Palmisano, A.; Del Fabbro, D.; Spinelli, A.; Botea, F.; Montorsi, M. Hepatectomy for Stage B and Stage C Hepatocellular Carcinoma in the Barcelona Clinic Liver Cancer Classification: Results of a Prospective Analysis. Arch. Surg. 2008, 143, 1082–1090. [Google Scholar] [CrossRef]
- Donadon, M.; Fontana, A.; Palmisano, A.; Viganò, L.; Procopio, F.; Cimino, M.; Del Fabbro, D.; Torzilli, G. Individualized Risk Estimation for Postoperative Morbidity after Hepatectomy: The Humanitas Score. HPB 2017, 19, 910–918. [Google Scholar] [CrossRef]
- Vauthey, J.N.; Chaoui, A.; Do, K.A.; Bilimoria, M.M.; Fenstermacher, M.J.; Charnsangavej, C.; Hicks, M.; Alsfasser, G.; Lauwers, G.; Hawkins, I.F.; et al. Standardized Measurement of the Future Liver Remnant prior to Extended Liver Resection: Methodology and Clinical Associations. Surgery 2000, 127, 512–519. [Google Scholar] [CrossRef] [PubMed]
- Ribero, D.; Abdalla, E.K.; Madoff, D.C.; Donadon, M.; Loyer, E.M.; Vauthey, J.-N. Portal Vein Embolization before Major Hepatectomy and Its Effects on Regeneration, Resectability and Outcome. Br. J. Surg. 2007, 94, 1386–1394. [Google Scholar] [CrossRef] [PubMed]
- Vauthey, J.-N.; Dixon, E.; Abdalla, E.K.; Helton, W.S.; Pawlik, T.M.; Taouli, B.; Brouquet, A.; Adams, R.B.; American Hepato-Pancreato-Biliary Association; Society of Surgical Oncology; et al. Pretreatment Assessment of Hepatocellular Carcinoma: Expert Consensus Statement. HPB 2010, 12, 289–299. [Google Scholar] [CrossRef] [PubMed]
- Truant, S.; Oberlin, O.; Sergent, G.; Lebuffe, G.; Gambiez, L.; Ernst, O.; Pruvot, F.-R. Remnant Liver Volume to Body Weight Ratio > or =0.5%: A New Cut-off to Estimate Postoperative Risks after Extended Resection in Noncirrhotic Liver. J. Am. Coll. Surg. 2007, 204, 22–33. [Google Scholar] [CrossRef] [PubMed]
- Aramaki, O.; Takayama, T.; Matsuyama, Y.; Kubo, S.; Kokudo, N.; Kurosaki, M.; Murakami, T.; Shiina, S.; Kudo, M.; Sakamoto, M.; et al. Reevaluation of Makuuchi’s Criteria for Resecting Hepatocellular Carcinoma: A Japanese Nationwide Survey. Hepatol. Res. 2022, 53, 127–134. [Google Scholar] [CrossRef] [PubMed]
- Hashimoto, D.; Dohi, T.; Tsuzuki, M.; Horiuchi, T.; Ohta, Y.; Chinzei, K.; Suzuki, M.; Idezuki, Y. Development of a Computer-Aided Surgery System: Three-Dimensional Graphic Reconstruction for Treatment of Liver Cancer. Surgery 1991, 109, 589–596. [Google Scholar] [PubMed]
- Marescaux, J.; Clément, J.M.; Tassetti, V.; Koehl, C.; Cotin, S.; Russier, Y.; Mutter, D.; Delingette, H.; Ayache, N. Virtual Reality Applied to Hepatic Surgery Simulation: The next Revolution. Ann. Surg. 1998, 228, 627–634. [Google Scholar] [CrossRef] [PubMed]
- Wigmore, S.J.; Redhead, D.N.; Yan, X.J.; Casey, J.; Madhavan, K.; Dejong, C.H.; Currie, E.J.; Garden, O.J. Virtual Hepatic Resection Using Three-Dimensional Reconstruction of Helical Computed Tomography Angioportograms. Ann. Surg. 2001, 233, 221–226. [Google Scholar] [CrossRef][Green Version]
- Takamoto, T.; Sano, K.; Hashimoto, T.; Ichida, A.; Shimada, K.; Maruyama, Y.; Makuuchi, M. Practical Contribution of Virtual Hepatectomy for Colorectal Liver Metastases: A Propensity-Matched Analysis of Clinical Outcome. J. Gastrointest. Surg. 2018, 22, 2037–2044. [Google Scholar] [CrossRef]
- Lamadé, W.; Glombitza, G.; Fischer, L.; Chiu, P.; Cárdenas Sr, C.E.; Thorn, M.; Meinzer, H.P.; Grenacher, L.; Bauer, H.; Lehnert, T.; et al. The Impact of 3-Dimensional Reconstructions on Operation Planning in Liver Surgery. Arch. Surg. 2000, 135, 1256–1261. [Google Scholar] [CrossRef]
- Saito, S.; Yamanaka, J.; Miura, K.; Nakao, N.; Nagao, T.; Sugimoto, T.; Hirano, T.; Kuroda, N.; Iimuro, Y.; Fujimoto, J. A Novel 3D Hepatectomy Simulation Based on Liver Circulation: Application to Liver Resection and Transplantation. Hepatology 2005, 41, 1297–1304. [Google Scholar] [CrossRef] [PubMed]
- Abdalla, E.K.; Denys, A.; Chevalier, P.; Nemr, R.A.; Vauthey, J.-N. Total and Segmental Liver Volume Variations: Implications for Liver Surgery. Surgery 2004, 135, 404–410. [Google Scholar] [CrossRef] [PubMed]
- Majno, P.; Mentha, G.; Toso, C.; Morel, P.; Peitgen, H.O.; Fasel, J.H.D. Anatomy of the Liver: An Outline with Three Levels of Complexity--a Further Step towards Tailored Territorial Liver Resections. J. Hepatol. 2014, 60, 654–662. [Google Scholar] [CrossRef] [PubMed]
- Nakayama, K.; Oshiro, Y.; Miyamoto, R.; Kohno, K.; Fukunaga, K.; Ohkohchi, N. The Effect of Three-Dimensional Preoperative Simulation on Liver Surgery. World J. Surg. 2017, 41, 1840–1847. [Google Scholar] [CrossRef] [PubMed]
- De Graaf, W.; Bennink, R.J.; Veteläinen, R.; van Gulik, T.M. Nuclear Imaging Techniques for the Assessment of Hepatic Function in Liver Surgery and Transplantation. J. Nucl. Med. 2010, 51, 742–752. [Google Scholar] [CrossRef] [PubMed]
- De Graaf, W.; van Lienden, K.P.; Dinant, S.; Roelofs, J.J.T.H.; Busch, O.R.C.; Gouma, D.J.; Bennink, R.J.; van Gulik, T.M. Assessment of Future Remnant Liver Function Using Hepatobiliary Scintigraphy in Patients Undergoing Major Liver Resection. J. Gastrointest. Surg. 2010, 14, 369–378. [Google Scholar] [CrossRef] [PubMed]
- Dinant, S.; de Graaf, W.; Verwer, B.J.; Bennink, R.J.; van Lienden, K.P.; Gouma, D.J.; van Vliet, A.K.; van Gulik, T.M. Risk Assessment of Posthepatectomy Liver Failure Using Hepatobiliary Scintigraphy and CT Volumetry. J. Nucl. Med. 2007, 48, 685–692. [Google Scholar] [CrossRef] [PubMed]
- Ratziu, V.; Charlotte, F.; Heurtier, A.; Gombert, S.; Giral, P.; Bruckert, E.; Grimaldi, A.; Capron, F.; Poynard, T.; LIDO Study Group. Sampling Variability of Liver Biopsy in Nonalcoholic Fatty Liver Disease. Gastroenterology 2005, 128, 1898–1906. [Google Scholar] [CrossRef] [PubMed]
- Cieslak, K.P.; Bennink, R.J.; de Graaf, W.; van Lienden, K.P.; Besselink, M.G.; Busch, O.R.C.; Gouma, D.J.; van Gulik, T.M. Measurement of Liver Function Using Hepatobiliary Scintigraphy Improves Risk Assessment in Patients Undergoing Major Liver Resection. HPB 2016, 18, 773–780. [Google Scholar] [CrossRef]
- Olthof, P.B.; Tomassini, F.; Huespe, P.E.; Truant, S.; Pruvot, F.-R.; Troisi, R.I.; Castro, C.; Schadde, E.; Axelsson, R.; Sparrelid, E.; et al. Hepatobiliary Scintigraphy to Evaluate Liver Function in Associating Liver Partition and Portal Vein Ligation for Staged Hepatectomy: Liver Volume Overestimates Liver Function. Surgery 2017, 162, 775–783. [Google Scholar] [CrossRef]
- Serenari, M.; Pettinato, C.; Bonatti, C.; Zanoni, L.; Odaldi, F.; Cucchetti, A.; Ravaioli, M.; Fanti, S.; Pinna, A.D.; Cescon, M. Hepatobiliary Scintigraphy in the Preoperative Evaluation of Potential Living Liver Donors. Transplant. Proc. 2019, 51, 167–170. [Google Scholar] [CrossRef]
- Sparrelid, E.; Jonas, E.; Tzortzakakis, A.; Dahlén, U.; Murquist, G.; Brismar, T.; Axelsson, R.; Isaksson, B. Dynamic Evaluation of Liver Volume and Function in Associating Liver Partition and Portal Vein Ligation for Staged Hepatectomy. J. Gastrointest. Surg. 2017, 21, 967–974. [Google Scholar] [CrossRef] [PubMed]
- Chapelle, T.; Op De Beeck, B.; Huyghe, I.; Francque, S.; Driessen, A.; Roeyen, G.; Ysebaert, D.; De Greef, K. Future Remnant Liver Function Estimated by Combining Liver Volumetry on Magnetic Resonance Imaging with Total Liver Function on (99m)Tc-Mebrofenin Hepatobiliary Scintigraphy: Can This Tool Predict Post-Hepatectomy Liver Failure? HPB 2016, 18, 494–503. [Google Scholar] [CrossRef] [PubMed]
- Serenari, M.; Collaud, C.; Alvarez, F.A.; de Santibañes, M.; Giunta, D.; Pekolj, J.; Ardiles, V.; de Santibañes, E. Interstage Assessment of Remnant Liver Function in ALPPS Using Hepatobiliary Scintigraphy: Prediction of Posthepatectomy Liver Failure and Introduction of the HIBA Index. Ann. Surg. 2018, 267, 1141–1147. [Google Scholar] [CrossRef] [PubMed]
- Serenari, M.; Bonatti, C.; Zanoni, L.; Peta, G.; Tabacchi, E.; Cucchetti, A.; Ravaioli, M.; Pettinato, C.; Bagni, A.; Siniscalchi, A.; et al. The Role of Hepatobiliary Scintigraphy Combined with Spect/ct in Predicting Severity of Liver Failure before Major Hepatectomy: A Single-Center Pilot Study. Updates Surg. 2021, 73, 197–208. [Google Scholar] [CrossRef] [PubMed]
- Tamada, T.; Ito, K.; Higaki, A.; Yoshida, K.; Kanki, A.; Sato, T.; Higashi, H.; Sone, T. Gd-EOB-DTPA-Enhanced MR Imaging: Evaluation of Hepatic Enhancement Effects in Normal and Cirrhotic Livers. Eur. J. Radiol. 2011, 80, e311–e316. [Google Scholar] [CrossRef] [PubMed]
- Saito, K.; Ledsam, J.; Sourbron, S.; Otaka, J.; Araki, Y.; Akata, S.; Tokuuye, K. Assessing Liver Function Using Dynamic Gd-EOB-DTPA-Enhanced MRI with a Standard 5-Phase Imaging Protocol. J. Magn. Reson. Imaging 2013, 37, 1109–1114. [Google Scholar] [CrossRef] [PubMed]
- Ippolito, D.; Famularo, S.; Giani, A.; Orsini, E.B.; Pecorelli, A.; Pinotti, E.; Gandola, D.; Romano, F.; Sironi, S.; Bernasconi, D.P.; et al. Estimating Liver Function in a Large Cirrhotic Cohort: Signal Intensity of Gadolinium-Ethoxybenzyl-Diethylenetriamine Penta-Acetic Acid-Enhanced MRI. Dig. Liver Dis. 2019, 51, 1438–1445. [Google Scholar] [CrossRef]
- Donadon, M.; Lanza, E.; Branciforte, B.; Muglia, R.; Lisi, C.; Pedicini, V.; Poretti, D.; Famularo, S.; Balzarini, L.; Torzilli, G. Hepatic Uptake Index in the Hepatobiliary Phase of Gadolinium Ethoxybenzyl Diethylenetriamine Penta Acetic Acid-Enhanced Magnetic Resonance Imaging Estimates Functional Liver Reserve and Predicts Post-Hepatectomy Liver Failure. Surgery 2020, 168, 419–425. [Google Scholar] [CrossRef]
- Barth, B.K.; Fischer, M.A.; Kambakamba, P.; Lesurtel, M.; Reiner, C.S. Liver-Fat and Liver-Function Indices Derived from Gd-EOB-DTPA-Enhanced Liver MRI for Prediction of Future Liver Remnant Growth after Portal Vein Occlusion. Eur. J. Radiol. 2016, 85, 843–849. [Google Scholar] [CrossRef]
- Theilig, D.; Steffen, I.; Malinowski, M.; Stockmann, M.; Seehofer, D.; Pratschke, J.; Hamm, B.; Denecke, T.; Geisel, D. Predicting Liver Failure after Extended Right Hepatectomy Following Right Portal Vein Embolization with Gadoxetic Acid-Enhanced MRI. Eur. Radiol. 2019, 29, 5861–5872. [Google Scholar] [CrossRef] [PubMed]
- Watanabe, H.; Kanematsu, M.; Goshima, S.; Kondo, H.; Onozuka, M.; Moriyama, N.; Bae, K.T. Staging Hepatic Fibrosis: Comparison of Gadoxetate Disodium-Enhanced and Diffusion-Weighted MR Imaging—Preliminary Observations. Radiology 2011, 259, 142–150. [Google Scholar] [CrossRef] [PubMed]
- Seale, M.K.; Catalano, O.A.; Saini, S.; Hahn, P.F.; Sahani, D.V. Hepatobiliary-Specific MR Contrast Agents: Role in Imaging the Liver and Biliary Tree. Radiographics 2009, 29, 1725–1748. [Google Scholar] [CrossRef] [PubMed]
- Weinmann, H.J.; Schuhmann-Giampieri, G.; Schmitt-Willich, H.; Vogler, H.; Frenzel, T.; Gries, H. A New Lipophilic Gadolinium Chelate as a Tissue-Specific Contrast Medium for MRI. Magn. Reson. Med. 1991, 22, 233–237. [Google Scholar] [CrossRef] [PubMed]
- Brismar, T.B.; Dahlstrom, N.; Edsborg, N.; Persson, A.; Smedby, O.; Albiin, N. Liver Vessel Enhancement by Gd-BOPTA and Gd-EOB-DTPA: A Comparison in Healthy Volunteers. Acta Radiol. 2009, 50, 709–715. [Google Scholar] [CrossRef] [PubMed]
- Bae, K.E.; Kim, S.Y.; Lee, S.S.; Kim, K.W.; Won, H.J.; Shin, Y.M.; Kim, P.N.; Lee, M.-G. Assessment of Hepatic Function with Gd-EOB-DTPA-Enhanced Hepatic MRI. Dig. Dis. 2012, 30, 617–622. [Google Scholar] [CrossRef] [PubMed]
- Nilsson, H.; Blomqvist, L.; Douglas, L.; Nordell, A.; Jonas, E. Assessment of Liver Function in Primary Biliary Cirrhosis Using Gd-EOB-DTPA-Enhanced Liver MRI. HPB 2010, 12, 567–576. [Google Scholar] [CrossRef]
- Kim, T.; Murakami, T.; Hasuike, Y.; Gotoh, M.; Kato, N.; Takahashi, M.; Miyazawa, T.; Narumi, Y.; Monden, M.; Nakamura, H. Experimental Hepatic Dysfunction: Evaluation by MRI with Gd-EOB-DTPA. J. Magn. Reson. Imaging 1997, 7, 683–688. [Google Scholar] [CrossRef]
- Verloh, N.; Haimerl, M.; Zeman, F.; Schlabeck, M.; Barreiros, A.; Loss, M.; Schreyer, A.G.; Stroszczynski, C.; Fellner, C.; Wiggermann, P. Assessing Liver Function by Liver Enhancement during the Hepatobiliary Phase with Gd-EOB-DTPA-Enhanced MRI at 3 Tesla. Eur. Radiol. 2014, 24, 1013–1019. [Google Scholar] [CrossRef]
- Noda, Y.; Goshima, S.; Kajita, K.; Kawada, H.; Kawai, N.; Koyasu, H.; Matsuo, M.; Bae, K.T. Biliary Tract Enhancement in Gadoxetic Acid-Enhanced MRI Correlates with Liver Function Biomarkers. Eur. J. Radiol. 2016, 85, 2001–2007. [Google Scholar] [CrossRef]
- Yoneyama, T.; Fukukura, Y.; Kamimura, K.; Takumi, K.; Umanodan, A.; Ueno, S.; Nakajo, M. Efficacy of Liver Parenchymal Enhancement and Liver Volume to Standard Liver Volume Ratio on Gd-EOB-DTPA-Enhanced MRI for Estimation of Liver Function. Eur. Radiol. 2014, 24, 857–865. [Google Scholar] [CrossRef]
- Haimerl, M.; Verloh, N.; Zeman, F.; Fellner, C.; Nickel, D.; Lang, S.A.; Teufel, A.; Stroszczynski, C.; Wiggermann, P. Gd-EOB-DTPA-Enhanced MRI for Evaluation of Liver Function: Comparison between Signal-Intensity-Based Indices and T1 Relaxometry. Sci. Rep. 2017, 7, 43347. [Google Scholar] [CrossRef]
- Kamimura, K.; Fukukura, Y.; Yoneyama, T.; Takumi, K.; Tateyama, A.; Umanodan, A.; Shindo, T.; Kumagae, Y.; Ueno, S.-I.; Koriyama, C.; et al. Quantitative Evaluation of Liver Function with T1 Relaxation Time Index on Gd-EOB-DTPA-Enhanced MRI: Comparison with Signal Intensity-Based Indices. J. Magn. Reson. Imaging 2014, 40, 884–889. [Google Scholar] [CrossRef]
- Wang, Q.; Kesen, S.; Liljeroth, M.; Nilsson, H.; Zhao, Y.; Sparrelid, E.; Brismar, T.B. Quantitative Evaluation of Liver Function with Gadoxetic Acid Enhanced MRI: Comparison among Signal Intensity-, T1-Relaxometry-, and Dynamic-Hepatocyte-Specific-Contrast-Enhanced MRI- Derived Parameters. Scand. J. Gastroenterol. 2022, 1–8. [Google Scholar] [CrossRef]


Disclaimer/Publisher’s Note: The statements, opinions and data contained in all publications are solely those of the individual author(s) and contributor(s) and not of MDPI and/or the editor(s). MDPI and/or the editor(s) disclaim responsibility for any injury to people or property resulting from any ideas, methods, instructions or products referred to in the content. |
© 2023 by the authors. Licensee MDPI, Basel, Switzerland. This article is an open access article distributed under the terms and conditions of the Creative Commons Attribution (CC BY) license (https://creativecommons.org/licenses/by/4.0/).
Share and Cite
Milana, F.; Famularo, S.; Diana, M.; Mishima, K.; Reitano, E.; Cho, H.-D.; Kim, K.-H.; Marescaux, J.; Donadon, M.; Torzilli, G. How Much Is Enough? A Surgical Perspective on Imaging Modalities to Estimate Function and Volume of the Future Liver Remnant before Hepatic Resection. Diagnostics 2023, 13, 2726. https://doi.org/10.3390/diagnostics13172726
Milana F, Famularo S, Diana M, Mishima K, Reitano E, Cho H-D, Kim K-H, Marescaux J, Donadon M, Torzilli G. How Much Is Enough? A Surgical Perspective on Imaging Modalities to Estimate Function and Volume of the Future Liver Remnant before Hepatic Resection. Diagnostics. 2023; 13(17):2726. https://doi.org/10.3390/diagnostics13172726
Chicago/Turabian StyleMilana, Flavio, Simone Famularo, Michele Diana, Kohei Mishima, Elisa Reitano, Hwui-Dong Cho, Ki-Hun Kim, Jacques Marescaux, Matteo Donadon, and Guido Torzilli. 2023. "How Much Is Enough? A Surgical Perspective on Imaging Modalities to Estimate Function and Volume of the Future Liver Remnant before Hepatic Resection" Diagnostics 13, no. 17: 2726. https://doi.org/10.3390/diagnostics13172726
APA StyleMilana, F., Famularo, S., Diana, M., Mishima, K., Reitano, E., Cho, H.-D., Kim, K.-H., Marescaux, J., Donadon, M., & Torzilli, G. (2023). How Much Is Enough? A Surgical Perspective on Imaging Modalities to Estimate Function and Volume of the Future Liver Remnant before Hepatic Resection. Diagnostics, 13(17), 2726. https://doi.org/10.3390/diagnostics13172726

