Intracranial Inflammatory Myofibroblastic Tumor: A Literature Review and a Rare Case Misdiagnosed as Acoustic Neuroma
Abstract
1. Introduction
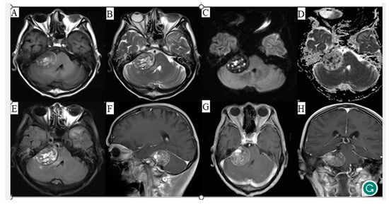
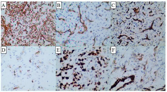
2. Case Presentation
3. Literature Review
4. Discussion
| Patient [Ref] | Location | Complaints | Meningeal Tail Sign | Metastasis | Treatment | Radiological Manifestations | Misdiagnosis | Recurrence |
|---|---|---|---|---|---|---|---|---|
| 17/M [12] | left posterior fossa | headache | NA | ➖ | S | obviously enhancing mass | meningioma | ➖ |
| 6/M [27] | bitemporal lobe | deafness, right hemiparesis, and bilateral cerebellar signs | ➖ | ➖ | S | CT: obviously enhancing mass | NA | no recurrence at 6 years |
| 14/F [28] | right posteromedial frontal lobe | headache | ➖ | ➖ | S+H+R | obviously enhancing mass | meningioma | recurrence at 6 months |
| 48/F [29] | hypothalamus | drowsiness, hyperthermia, vomiting, and headache | ➖ | ➖ | NA | NA | NA | ➖ |
| 19/F [29] | hypothalamus | visual loss, headaches, and drowsiness | ➖ | ➖ | S+R | NA | NA | NA |
| 16/M [30] | right frontoparietal convexity | progressive weakness in the left leg | NA | ➖ | S | CT: iso-density mass | meningioma | ➖ |
| 77/F [31] | left frontal region and clival | dementia, urinary incontinence, and anorexia | ➖ | NA | H | low SI on both T2WI and T1WI, homogeneous enhancement | chronic subdural hematoma | ➖ |
| 40/M [32] | left trigeminal nerve and left cavernous sinus | decrease in visual acuity or loss of visual field | ➖ | ➖ | S+H | T1WI: iso-SI, obviously enhancing | NA | ➖ |
| 57/M [33] | on the falx cerebri in the frontal area | headache | ➖ | ➖ | S | NA | NA | NA |
| 56/M [34] | pituitary stalk | frontal cephalalgias | NA | ➖ | S | T1WI: iso-SI, obviously enhancing | NA | ➖ |
| 30/M [34] | left cavernous sinus and tentorium cerebelli | parieto-occipital cephalalgias | NA | ➖ | S | T1WI: low-SI | NA | ➖ |
| 11/M [34] | vermis cerebelli | occipital cephalalgias | NA | ➖ | S | T1WI: low-SI; T2WI: low-SI at the edge of the lesion and iso-SI in the center | NA | ➖ |
| 40/M [34] | right cavernous sinus | right fronto-orbicular cephalalgias | NA | ➖ | S | CT: obviously enhancing; TIWI, T2WI: high-SI | meningioma | recurrence at 2 years |
| 11/M [35] | left frontal lobe | mild headache and nausea | ➖ | ➖ | S | T1WI: slightly high-SI T2WI: low-SI, heterogeneous enhancement | NA | ➖ |
| 60/F [36] | near the anterior tip of the temporal lobe | headache, grand mal seizure, and postictal confusion | ➕ | ➖ | S+R | T1WI, T2WI: low-SI, obviously enhancing | NA | ➖ |
| 57/F [37] | right cerebellopontine angle | right-sided ptosis and diplopia | NA | ➖ | S+R | NA | NA | NA |
| 17/F [1] | left frontal | left frontal headache | NA | ➖ | S | NA | NA | recurrence at 2 years |
| 8/M [1] | left temporal | seizure | NA | ➖ | S | NA | NA | no recurrence at 5 years |
| 15/M [1] | left occipital | right-sided epileptic seizure | NA | intracranial MT | S+R | obviously enhancing mass | NA | recurrence at 6 months |
| 18/F [38] | right temporal region | headache with occasional vomiting and blurring of vision | ➖ | ➖ | S | CT: obviously enhancing mass | meningioma | ➖ |
| 23/M [39] | right parieto-occipital | seizures | ➕ | ➖ | S+H | T1WI: low-SI T2WI: high-SI slightly enhancing | meningioma | no recurrence at 3 years |
| 13/M [19] | right frontal lobe | seizures | ➖ | ➖ | S | T2WI: hypo-intense Obviously enhancing | NA | no recurrence at 6 months |
| 62/M [40] | right fronto-parietooccipital and falx | focal motor seizures and right-sided tinnitus | ➕ | ➖ | S+R | T1WI: iso-SI T2WI: low-SI obviously enhancing | meningioma | ➖ |
| 6/M [41] | right parietal region | seizure | ➖ | ➖ | S | obviously enhancing | NA | ➖ |
| 41/M [42] | right occipital lobe | epileptic seizure | ➖ | intracranial MT | S | obviously enhancing | High grade glioma, brain metastasis tumor | recurrence at 11 years |
| 22/M [43] | under surface of left tentorium | headache | ➕ | ➖ | S | obviously enhancing | meningioma | no recurrence at 19 months |
| 64/F [44] | beside the anterior parasagittal region | headache | NA | ➖ | S | obviously enhancing | meningioma | no recurrence at 3 years |
| 70/M [45] | cranial base, frontal region, floor of the third ventricle | progressive visual disturbance | ➖ | NA | H+R | obviously enhancing | pituitary tumor, chordoma, plasmacytoma | NA |
| 36/F [42] | left cerebellopontine angle | left-sided headache, tinnitus, and hearing loss | NA | MT to cervical | S+R | obviously enhancing | meningioma | recurrence at 1.5 years |
| 52/M [46] | left cerebellopontine angle | decreased sensation on the left side of the face, hearing loss, headache, and vomiting | ➖ | ➖ | S | T1WI: iso-SI, T2WI: low-SI heterogeneous enhancement | trigeminal neurinoma, meningioma | no recurrence at 6 months |
| 30/F [47] | left temporo-parietal extra parenchymal | worsening headache and memory disturbance | NA | ➖ | S | CT: iso-density mass obviously enhancing | subacute subdural hematoma | ➖ |
| 48/F [47] | left temporal lobe | headache | NA | ➖ | S | T1: low-SI, T2: high-SI obviously enhancing | NA | ➖ |
| 14/F [48] | cavernous sinus, right middle cranial fossa, pterygopalatine, and infratemporal | headache | ➖ | ➖ | H+methotrexate +6-mercaptopurine | NA | NA | recurrence at 18 months |
| 63/M [49] | right frontal lobe | progressive left hemiparesisi | ➖ | ➖ | S | MRI: the solid part of the mass was significantly enhanced | NA | ➖ |
| 18/F [50] | left frontoparietal | generalized seizure | ➖ | ➖ | S | CT: calcifications and extensive ossification T1: low-SI | NA | ➖ |
| 58/F [51] | left fronto-temporal | headache | ➖ | ➖ | S+H | obviously enhancing mass | NA | no recurrence at 18 months |
| 47/M [52] | right cerebellum-pontine angle | reduced visual acuity, hearing loss, difficulty in walking, and urinary retention | NA | NA | H+R | T1WI: iso-SI, T2WI: low-SI | NA | NA |
| 26/F [53] | left frontotemporal region | severe headache, left eye discomfort with diplopia, left ear pain | NA | NA | high-dose dexamethasone and thalidomide | MRI: extensive enhancing, dural thickening over left frontotemporal lobes | NA | NA |
| 52/F [53] | right lateral ventricle | slipped and fell with head injury | NA | NA | S | NA | NA | NA |
| 45/M [53] | right frontal region | progressive left-sided weakness | NA | NA | S | CT: right frontal dural based tumor with peritumoral edema | NA | NA |
| 51/M [26] | right cerebellopontine angle | vertigo, diplopia, headache and fibrillationa of the tongue | NA | ➖ | H | obviously enhancing mass | NA | recurrence at 7 years |
| 56/M [54] | left basal ganglia | headaches and right-sided weakness | ➖ | ➖ | H+biopsy | TIWI: low-signal, heterogeneous enhancement | NA | ➖ |
| 60/M [55] | right cerebral hemisphere | gait disturbance and ataxia | ➖ | ➖ | S | T1WI, T2WI: iso-SI, obviously enhancing | NA | ➖ |
| 82/F [56] | right temporal region | headache and memory decrease | ➕ | ➖ | S | T1WI: slightly high-SI homogeneous enhancement | meningioma | no recurrence at 13 months |
| 38/M [57] | right mastoid | blurred vision and headache | ➖ | ➖ | S+H | MRI: obviously enhancing CT: bone erosion around the tumor MRV: right sigmoid sinus occlusion | NA | ➖ |
| 48/F [15] | right temporal region | depression, paranoid personality, and memory impairment | ➖ | ➖ | S | T2WI: iso-SI, DWI: not limited, obviously enhancing | pleomorphic xanthoastrocytoma, cystic meningioma, cystic glioma | ➖ |
| 20/F [58] | bilateral temporal regions | headache | NA | ➖ | S | T1WI: low-SI T2WI: mixed-SI CT: iso-density mass heterogeneous enhancement | NA | recurrence at 7 months |
| 10/M [2] | left transverse-sigmoid junction | mastoid tenderness and headache | ➕ | ➖ | S | CT: obviously enhancing | meningioma | ➖ |
| 15/M [59] | left parietal region | headache, vomiting, and lethargy | ➖ | ➖ | S | T1WI: iso-SI T2WI: low-SI obviously enhancing | NA | NA |
| 46/F [14] | right temporal lobe and right cerebellar hemisphere | headache, unstable walking | NA | NA | S+H | T1WI: iso-SI T2WI: low-SI MRV: right transverse sinus and sigmoid sinus occlusion | malignant meningioma | recurrence at 2.5 years |
| 21/F [5] | right frontal lobe | bilateral blurred vision | ➖ | ➖ | S | T1WI, T2WI: low-SI obviously enhancing | meningioma | ➖ |
| 54/M [14] | right frontal lobe | headache | ➕ | NA | S | T1WI: iso-SI T2WI: low-SI obviously enhancing | NA | ➖ |
| 27/M [16] | right frontal parietal region | seizures | ➕ | NA | S | obviously enhancing | meningioma | NA |
| 80/F [60] | left choroidal fissure between the amygdala and cerebral peduncle | headache, dizziness, confusion, and gait instability | ➖ | ➖ | S | obviously enhancing | aneurysm | ➖ |
5. Conclusions
Author Contributions
Funding
Institutional Review Board Statement
Informed Consent Statement
Data Availability Statement
Conflicts of Interest
References
- Häusler, M.; Schaade, L.; Ramaekers, V.T.; Doenges, M.; Heimann, G.; Sellhaus, B. Inflammatory Pseudotumors of the Central Nervous System: Report of 3 Cases and a Literature Review. Hum. Pathol. 2003, 34, 253–262. [Google Scholar] [CrossRef] [PubMed]
- Singhal, N.; Agarwal, V.; Chawla, A.; Tangri, R. Central Nervous System Inflammatory Myofibroblastic Tumor Masquerading as Chronic Suppurative Otitis Media. J. Pediatr. Neurosci. 2017, 12, 188–191. [Google Scholar] [CrossRef] [PubMed]
- WHO. Pathology and Genetics of Tumours of Soft Tissue and Bone; IARC: Lyon, France, 2002; ISBN 978-92-832-2413-6. [Google Scholar]
- Fukunaga, A.; Yoshida, K.; Otani, M.; Ogawa, Y.; Horiguchi, T.; Ishihara, M.; Toya, S.; Kawase, T. Plasma Cell Granuloma Extending from the Extracranial to the Intracranial Space Associated with Epstein-Barr Virus Infection Case Report. Neurol. Med. Chir. 1998, 38, 292–296. [Google Scholar] [CrossRef][Green Version]
- Wang, X.; Chen, Y.; Wu, X.; Zhang, H. Intracranial Inflammatory Myofibroblastic Tumor with Negative Expression of Anaplastic Lymphoma Kinase: A Case Report and Review of the Literature. World Neurosurg 2019, 125, 117–122. [Google Scholar] [CrossRef] [PubMed]
- Lawrence, B.; Perez-Atayde, A.; Hibbard, M.K.; Rubin, B.P.; Dal Cin, P.; Pinkus, J.L.; Pinkus, G.S.; Xiao, S.; Yi, E.S.; Fletcher, C.D.; et al. TPM3-ALK and TPM4-ALK Oncogenes in Inflammatory Myofibroblastic Tumors. Am. J. Pathol. 2000, 157, 377–384. [Google Scholar] [CrossRef]
- Surabhi, V.R.; Chua, S.; Patel, R.P.; Takahashi, N.; Lalwani, N.; Prasad, S.R. Inflammatory Myofibroblastic Tumors: Current Update. Radiol. Clin. N. Am. 2016, 54, 553–563. [Google Scholar] [CrossRef]
- Lee, J.-C.; Li, C.-F.; Huang, H.-Y.; Zhu, M.-J.; Mariño-Enríquez, A.; Lee, C.-T.; Ou, W.-B.; Hornick, J.L.; Fletcher, J.A. ALK Oncoproteins in Atypical Inflammatory Myofibroblastic Tumours: Novel RRBP1-ALK Fusions in Epithelioid Inflammatory Myofibroblastic Sarcoma. J. Pathol. 2017, 241, 316–323. [Google Scholar] [CrossRef]
- Gleason, B.C.; Hornick, J.L. Inflammatory Myofibroblastic Tumours: Where Are We Now? J. Clin. Pathol. 2008, 61, 428–437. [Google Scholar] [CrossRef]
- Wang, X.; Krishnan, C.; Nguyen, E.P.; Meyer, K.J.; Oliveira, J.L.; Yang, P.; Yi, E.S.; Erickson-Johnson, M.R.; Yaszemski, M.J.; Maran, A.; et al. Fusion of Dynactin 1 to Anaplastic Lymphoma Kinase in Inflammatory Myofibroblastic Tumor. Hum. Pathol. 2012, 43, 2047–2052. [Google Scholar] [CrossRef]
- Vidrine, D.W.; Berry, J.F.; Garbuzov, A.; Falcon, C.; Tubbs, R.S.; Bui, C.J. DCTN1-ALK Gene Fusion in Inflammatory Myofibroblastic Tumor (IMT) of the CNS. Childs Nerv. Syst. 2021, 37, 2147–2151. [Google Scholar] [CrossRef]
- West, S.G.; Pittman, D.L.; Coggin, J.T. Intracranial Plasma Cell Granuloma. Cancer 1980, 46, 330–335. [Google Scholar] [CrossRef] [PubMed]
- Kim, J.-H.; Chang, K.-H.; Na, D.G.; Park, S.-H.; Kim, E.; Han, D.H.; Kwon, H.-M.; Sohn, C.-H.; Yim, Y.J. Imaging Features of Meningeal Inflammatory Myofibroblastic Tumor. AJNR Am. J. Neuroradiol. 2009, 30, 1261–1267. [Google Scholar] [CrossRef] [PubMed]
- Wang, G.; Shen, H.; Chu, Z.; Shen, J.; Zhang, L. Intracranial Inflammatory Myofibroblastic Tumor: A Report of Two Cases. Br. J. Neurosurg. 2021, 12, 1–5. [Google Scholar] [CrossRef]
- Park, J.-H.; Yoon, W.-S.; Chung, D.-S. Unusual Radiologic Finding of Intracranial Inflammatory Myofibroblastic Tumor Presenting a Cyst with Mural Nodule. Brain. Tumor. Res. Treat. 2015, 3, 138–140. [Google Scholar] [CrossRef][Green Version]
- Phogat, D.; Datta, S.G.S.; Bajpai, M.; Tara, S.; Ganti, S.K. Intracranial Inflammatory Myofibroblastic Tumor: A Review of 49 Cases. Autops. Case Rep. 2021, 11, e2021254. [Google Scholar] [CrossRef] [PubMed]
- Denis, D.J.; Elayoubi, K.; Weil, A.G.; Berthelet, F.; Bojanowski, M.W. Inflammatory Myofibroblastic Tumors of the Central Nervous System That Express Anaplastic Lymphoma Kinase Have a High Recurrence Rate. Surg. Neurol. Int. 2013, 4, 70. [Google Scholar] [CrossRef]
- Ishihara, M.; Izumoto, S.; Iwatsuki, K.; Yoshimine, T. Immunohistochemical Study of Multiple Inflammatory Pseudotumors with Both Brain and Spinal Cord Involvement—Case Report. Neurol. Med. Chir. 2010, 50, 246–250. [Google Scholar] [CrossRef] [PubMed]
- Greiner, C.; Rickert, C.H.; Möllmann, F.T.; Rieger, B.; Semik, M.; Heindel, W.; Wassmann, H. Plasma Cell Granuloma Involving the Brain and the Lung. Acta. Neurochir. 2003, 145, 1127–1131. [Google Scholar] [CrossRef]
- Sullivan, H.C.; Edgar, M.A.; Cohen, C.; Kovach, C.K.; HooKim, K.; Reid, M.D. The Utility of ERG, CD31 and CD34 in the Cytological Diagnosis of Angiosarcoma: An Analysis of 25 Cases. J. Clin. Pathol. 2015, 68, 44–50. [Google Scholar] [CrossRef]
- Li, L.T.; Jiang, G.; Chen, Q.; Zheng, J.N. Ki67 Is a Promising Molecular Target in the Diagnosis of Cancer (Review). Mol. Med. Rep. 2015, 11, 1566–1572. [Google Scholar] [CrossRef]
- Tang, D.D. The Dynamic Actin Cytoskeleton in Smooth Muscle. Adv. Pharmacol. 2018, 81, 1–38. [Google Scholar] [CrossRef] [PubMed]
- Roles of Vimentin in Health and Disease—PubMed. Available online: https://pubmed.ncbi.nlm.nih.gov/35487686/ (accessed on 9 August 2023).
- Güdük, M.; Yener, U.; Sav, A.; Pamir, M.N. Intracranial Multifocal Plasma Cell Granuloma: A Case with Multiple Operations without Recurrence of Surgically Removed Lesions. Acta. Neurochir. 2016, 158, 721–723. [Google Scholar] [CrossRef] [PubMed]
- Tresser, N.; Rolf, C.; Cohen, M. Plasma Cell Granulomas of the Brain: Pediatric Case Presentation and Review of the Literature. Childs Nerv. Syst. 1996, 12, 52–57. [Google Scholar] [CrossRef] [PubMed]
- Carswell, C.; Chataway, C. The Successful Long-Term Management of an Intracranial Inflammatory Myofibroblastic Tumor with Corticosteroids. Clin. Neurol. Neurosurg. 2012, 114, 77–79. [Google Scholar] [CrossRef]
- Kamiryo, T.; Abiko, S.; Orita, T.; Aoki, H.; Watanabe, Y.; Hiraoka, K. Bilateral Intracranial Fibrous Xanthoma. Surg. Neurol. 1988, 29, 27–31. [Google Scholar] [CrossRef]
- Cannella, D.M.; Prezyna, A.P.; Kapp, J.P. Primary Intracranial Plasma-Cell Granuloma. Case Report. J. Neurosurg. 1988, 69, 785–788. [Google Scholar] [CrossRef]
- Ferrer, I.; Garcia Bach, M.; Aparicio, M.A.; Acebes, J.J.; Twose, J.; Isamat, F. Plasma Cell Granuloma of the Hypothalamic Region. Acta. Neurochir. 1989, 99, 152–156. [Google Scholar] [CrossRef]
- Gangemi, M.; Maiuri, F.; Giamundo, A.; Donati, P.; De Chiara, A. Intracranial Plasma Cell Granuloma. Neurosurgery 1989, 24, 591–595. [Google Scholar] [CrossRef]
- Yamataki, A.; Chiba, Y.; Tokoro, K.; Ide, K.; Yagishita, S.; Wakabayashi, Y.; Kan, S. Multicentric Intracranial Fibrous Xanthoma—Case Report. Neurol. Med. Chir. 1990, 30, 759–762. [Google Scholar] [CrossRef][Green Version]
- Kodsi, S.R.; Younge, B.R.; Leavitt, J.A.; Campbell, R.J.; Scheithauer, B.W. Intracranial Plasma Cell Granuloma Presenting as an Optic Neuropathy. Surv. Ophthalmol. 1993, 38, 70–74. [Google Scholar] [CrossRef]
- Hsiang, J.; Moorhouse, D.; Barba, D. Multiple Plasma Cell Granulomas of the Central Nervous System: Case Report. Neurosurgery 1994, 35, 744–747. [Google Scholar] [CrossRef] [PubMed]
- Le Marc’hadour, F.; Fransen, P.; Labat-Moleur, F.; Passagia, J.G.; Pasquier, B. Intracranial Plasma Cell Granuloma: A Report of Four Cases. Surg. Neurol. 1994, 42, 481–488. [Google Scholar] [CrossRef] [PubMed]
- Makino, K.; Murakami, M.; Kitano, I.; Ushio, Y. Primary Intracranial Plasma-Cell Granuloma: A Case Report and Review of the Literature. Surg. Neurol. 1995, 43, 374–378. [Google Scholar] [CrossRef] [PubMed]
- Breidahl, W.H.; Robbins, P.D.; Ives, F.J.; Wong, G. Intracranial Plasma Cell Granuloma. Neuroradiology 1996, 38 (Suppl. S1), S86–S89. [Google Scholar] [CrossRef]
- Hirohata, M.; Sasaguri, Y.; Sugita, Y.; Tokutomi, T.; Kobayashi, S.; Morimatsu, M.; Shigemori, M. Intracranial Plasma-Cell Granuloma: A Case Report. Noshuyo. Byori. 1996, 13, 133–138. [Google Scholar]
- Saxena, A.; Sinha, S.; Tatke, M. Intracranial Plasma Cell Granuloma--a Case Report and Review of the Literature. Br. J. Neurosurg. 2000, 14, 492–495. [Google Scholar] [CrossRef]
- Gollogly, L.; Sadzot, B.; Lejeune, J.P.; Deprez, M. Meningeal Inflammatory Pseudotumour: A Case Report. Acta. Neurol. Belg. 2001, 101, 116–120. [Google Scholar]
- Vender, J.R.; Rupkalvis, R.; Peterson, P.; Little, B.W.; Gennarelli, T.A. Extensive Subdural Mass. J. Neuroimaging 2001, 11, 76–80. [Google Scholar] [CrossRef]
- Lacson, A.; Washington, K.; Tuite, G.; Nuttall, R. Pathological Case of the Month. Intracranial Plasma Cell Granuloma. Arch. Pediatr. Adolesc. Med. 2001, 155, 851–852. [Google Scholar] [CrossRef]
- Brandsma, D.; Jansen, G.H.; Spliet, W.; Van Nielen, K.; Taphoorn, M.J.B. The Diagnostic Difficulties of Meningeal and Intracerebral Plasma Cell Granulomas—Presentation of Three Cases. J. Neurol. 2003, 250, 1302–1306. [Google Scholar] [CrossRef]
- Bigal, M.E.; Rapoport, A.M.; Camel, M. Cluster Headache as a Manifestation of Intracranial Inflammatory Myofibroblastic Tumour: A Case Report with Pathophysiological Considerations. Cephalalgia 2003, 23, 124–128. [Google Scholar] [CrossRef] [PubMed]
- Murakami, M.; Hashimoto, N.; Kimura, S.; Hosokawa, Y.; Kakita, K. Intracranial Plasma Cell Granuloma with Genetic Analysis. Acta Neurochir 2003, 145, 221–225; discussion 225. [Google Scholar] [CrossRef] [PubMed]
- Buccoliero, A.M.; Caldarella, A.; Santucci, M.; Ammannati, F.; Mennonna, P.; Taddei, A.; Taddei, G.L. Plasma Cell Granuloma—An Enigmatic Lesion: Description of an Extensive Intracranial Case and Review of the Literature. Arch. Pathol. Lab. Med. 2003, 127, e220–e223. [Google Scholar] [CrossRef]
- Dwarakanath, S.; Jaiswal, A.K.; Ralte, A.M.; Sharma, M.C.; Mahapatra, A.K. Primary Plasma Cell Granuloma of Petrous Bone. J. Clin. Neurosci. 2004, 11, 552–555. [Google Scholar] [CrossRef]
- Shenoy, S.N.; Raja, S. Intracranial Plasma Cell Granuloma. Neurol. India 2004, 52, 262. [Google Scholar] [PubMed]
- Shah, M.D.; McClain, K.L. Intracranial Plasma Cell Granuloma: Case Report and Treatment of Recurrence with Methotrexate and 6-Mercaptopurine. J. Pediatr. Hematol. Oncol. 2005, 27, 599–603. [Google Scholar] [CrossRef]
- Nawashiro, H.; Omura, T.; Kobayashi, H. Cystic Intracranial Plasma Cell Granuloma. J. Neurosurg. 2006, 105, 799–800. [Google Scholar] [CrossRef]
- Ozüm, U.; Ozer, H.; Karadağ, O.; Polat, N. Intracranial Plasma Cell-Granuloma with Extensive Ossification. Br. J. Neurosurg. 2006, 20, 153–156. [Google Scholar] [CrossRef]
- Flannery, T.; Al-Sabah, F.; Bhangu, J.; Alderazi, Y.; Brett, F.; Pidgeon, C. Treatment of Subtotally Resected Intracranial Plasma Cell Granuloma with Steroids: A Case Report. Br. J. Neurosurg. 2007, 21, 501–503. [Google Scholar] [CrossRef]
- Brito, C.C.B.; Lopes, F.C.R.; Chimelli, L.; Gasparetto, E.L. Intracranial Cell Plasma Granuloma. Arq. Neuropsiquiatr. 2010, 68, 127–129. [Google Scholar] [CrossRef]
- Chen, D.; Liu, L.; Qiu, L. The MRI Misdiagnosis Analysis of Intracranial Inflammatory Myofibroblastic Tumor (4 Cases Report and Literature Review). J. Clin. Radiol. 2009, 3, 42. [Google Scholar]
- Puntambekar, P.; Santhakumar, S.; Kupsky, W.J.; Tselis, A.; Mittal, S. Primary Intracranial Plasma Cell Granulomas Presenting as Malignant Neoplasms. J. Neurooncol. 2012, 106, 327–337. [Google Scholar] [CrossRef]
- Kato, K.; Moteki, Y.; Nakagawa, M.; Kadoyama, S.; Ujiie, H. Inflammatory Myofibroblastic Tumor of the Cerebellar Hemisphere—Case Report. Neurol. Med. Chir. 2011, 51, 79–81. [Google Scholar] [CrossRef] [PubMed][Green Version]
- Fan, F.; Lei, C.; Dong-Liang, L.; Peng, S. Inflammatory Myofibroblastic Tumor Mimicking Malignant Meningioma in the Middle Cranial Fossa: A Case Report. Chin. Med. Sci. J. 2012, 27, 185–187. [Google Scholar] [CrossRef] [PubMed]
- Wang, J.; Sun, Z.; Zhuo, S.; Wang, K. Sigmoid Sinus Occlusion Infiltrated by Inflammatory Myofibroblastic Tumor from Mastoid. Head Neck 2015, 37, E4–E7. [Google Scholar] [CrossRef]
- Chuah, Y.-Y.; Tashi, T.; Shy, C.-G.; Shyu, J.-S.; Dong, M.-J.; Hsueh, E.-J. Intracranial Inflammatory Myofibroblastic Tumor with Sarcomatous Local Recurrence. World Neurosurg. 2016, 93, 484. e1–484. e4. [Google Scholar] [CrossRef]
- Lata, K.A.; Upadhyay, V.; Pawar, S.S. A Rare Case of Inflammatory Myofibroblastic Tumor of Meninges. J. Pediatr. Neurosci. 2018, 13, 255–259. [Google Scholar] [CrossRef]
- Malnik, S.L.; Moor, R.F.; Shin, D.; Laurent, D.; Trejo-Lopez, J.; Dodd, W.; Yachnis, A.; Ghiaseddin, A.P.; Fox, W.C.; Roper, S. Inflammatory Myofibroblastic Tumor Masquerading as an Anterior Choroidal Artery Fusiform Aneurysm. Surg. Neurol. Int. 2021, 12, 297. [Google Scholar] [CrossRef]


| Type of Tumor | Representative Immunomarkers |
|---|---|
| Nodular fasciitis | CD34 (+), SMA (+), Desmin (−), S100 (−), ALK-1 (−), Ki-67(+) |
| Proliferative fasciitis | SMA (+), Desmin (−), CD34 (+), S100 (−), ALK-1 (−), Ki-67 (+) |
| Proliferative myositis | SMA (+), CD34 (+), Desmin (−), S100 (−), ALK-1 (−), Ki-67 (+) |
| Myositis ossificans | SMA (+), Desmin (−), CD34 (−), S100(−), ALK-1 (−), Ki-67 (−) |
| Ischaemic fasciitis | SMA (+), Desmin (−), CD34 (+), S100(−), ALK-1 (−), Ki-67 (+) |
| Elastofibroma | SMA (+), Desmin (−), CD34 (−), S100 (−), ALK-1 (−), Ki-67 (−) |
| Fibrous hamartoma of infancy | SMA (+), Desmin (−), CD34 (+), S100(−), ALK-1 (−), Ki-67 (+) |
| Myofibroma/Myofibromatosis | SMA (+), Desmin (−), CD34 (−), S100 (−), ALK-1 (−), Ki-67 (+) |
| Fibromatosis colli | SMA (+), Desmin (−), CD34 (−), S100 (−), ALK-1 (−), Ki-67 (−) |
| Juvenile hyaline fibromatosis | Vimentin (+), CD34 (−), CD68 (−), SMA (−),S 100(−), Factor XIIIa (−) |
| Inclusion body fibromatosis | Vimentin (+), CD34 (−), CD68 (−), SMA (−), S100 (−), Desmin (−) |
| Fibroma of tendon sheath | Vimentin (+), CD34 (−), Desmin (−), SMA (−), S100 (−), CD68 (−) |
| Desmoplastic fibroblastoma | Vimentin (+), CD34 (−), Desmin (−), SMA (−), S100(−), CD68 (−) |
| Mammary-type myofibroblastoma | Vimentin (+), CD34 (−), Desmin (−), SMA (+), S100 (−), CD68 (−) |
| Calcifying aponeurotic fibroma | Vimentin (+), CD34 (−), Desmin (−), SMA (−), S100 (−), CD68 (−) |
| Angiomyofibroblastoma | Vimentin (+), CD34 (−), Desmin (−), SMA (+), S100 (−), CD68 (−) |
| Cellular angiofibroma | Vimentin (+), CD34 (+), Desmin (−), SMA (−), S100 (−), CD68 (−) |
| Nuchal-type fibroma | Vimentin (+), CD34 (−), Desmin (−), SMA (−), S100 (−), CD68 (−) |
| Gardner fibroma | Vimentin (+), CD34 (−), Desmin (−), SMA (−), S100 (−), CD68 (−) |
| Calcifying fibrous tumor | Vimentin (+), CD34 (−), Desmin (−), SMA (−), S100 (−), CD68 (−) |
| Giant cell angiofibroma | Vimentin (+), CD34 (−), Desmin (−), SMA (+), S100 (−), CD68 (−) |
| Superficial fibromatoses (palmar/plantar) | SMA (+), CD34 (−), Desmin (−), S100 (−), Beta-catenin(CTNNB1) (+) |
| Desmoid-type fibromatoses | SMA (+), CD34 (−), Desmin (−), S100 (−), Beta-catenin(CTNNB1) (+) |
| Lipofibromatosis | CD34 (+), SMA (+), Desmin (−), S100 (−), Beta-catenin(CTNNB1) (−) |
| Solitary fibrous tumor | CD34 (+), CD99 (+), Bcl-2 (+), CD31 (−), S100 (−), Desmin (−) |
| Inflammatory myofibroblastic tumor | ALK [partly(+)], SMA (+), CD34 (+), Desmin (−), CD117 (−), S100 (−) |
| Low grade myofibroblastic sarcoma | SMA (+), Desmin (−), CD34 (−), CD117 (−), ALK (−), S100 (−) |
| Myxoinflammatory | CD68 (+), CD163 (+), SMA (+), Desmin (−), CD34 (−), S100 (−) |
| Infantile fibrosarcoma | SMA (+), Desmin (−), CD34 (−), CD99 (−), ALK (−), S100 (−) |
| Adult fibrosarcoma | SMA (+), CD34 (−), Desmin (−), S100 (−), EMA (−), CD99 (−) |
| Myxofibrosarcoma | CD34 (−), SMA (−), Desmin (−), S100 (−), EMA (−), CD99 (−) |
| Low grade fibromyxoid sarcoma | CD34 (−), SMA (−), Desmin (−), S100 (−), EMA (−), MUC4 (+) |
| Sclerosing epithelioid fibrasarcoma | CD34 (−), SMA (−), Desmin (−), S100 (−), EMA (−), INI1(SMARCB1):(+) |
Disclaimer/Publisher’s Note: The statements, opinions and data contained in all publications are solely those of the individual author(s) and contributor(s) and not of MDPI and/or the editor(s). MDPI and/or the editor(s) disclaim responsibility for any injury to people or property resulting from any ideas, methods, instructions or products referred to in the content. |
© 2023 by the authors. Licensee MDPI, Basel, Switzerland. This article is an open access article distributed under the terms and conditions of the Creative Commons Attribution (CC BY) license (https://creativecommons.org/licenses/by/4.0/).
Share and Cite
Zhou, L.; Pan, W.; Huang, R.; Lu, Z.; You, Z.; Li, Y. Intracranial Inflammatory Myofibroblastic Tumor: A Literature Review and a Rare Case Misdiagnosed as Acoustic Neuroma. Diagnostics 2023, 13, 2725. https://doi.org/10.3390/diagnostics13172725
Zhou L, Pan W, Huang R, Lu Z, You Z, Li Y. Intracranial Inflammatory Myofibroblastic Tumor: A Literature Review and a Rare Case Misdiagnosed as Acoustic Neuroma. Diagnostics. 2023; 13(17):2725. https://doi.org/10.3390/diagnostics13172725
Chicago/Turabian StyleZhou, Le, Wanqian Pan, Renjun Huang, Ziwei Lu, Zhiqun You, and Yonggang Li. 2023. "Intracranial Inflammatory Myofibroblastic Tumor: A Literature Review and a Rare Case Misdiagnosed as Acoustic Neuroma" Diagnostics 13, no. 17: 2725. https://doi.org/10.3390/diagnostics13172725
APA StyleZhou, L., Pan, W., Huang, R., Lu, Z., You, Z., & Li, Y. (2023). Intracranial Inflammatory Myofibroblastic Tumor: A Literature Review and a Rare Case Misdiagnosed as Acoustic Neuroma. Diagnostics, 13(17), 2725. https://doi.org/10.3390/diagnostics13172725

