The Role of Ultrasonography in Hip Impingement Syndromes: A Narrative Review
Abstract
1. Introduction
2. Materials and Methods
3. Discussion
3.1. Hip Pain and Femoroacetabular Syndromes
3.2. FAI and Hip Imaging
3.2.1. Hip Imaging in General
3.2.2. Ultrasonography-Associated Benefits and FAI
3.3. Ultrasound and Hip Quadrants
3.3.1. Anterior Quadrant
3.3.2. Medial Quadrant
3.3.3. Lateral Quadrant
3.3.4. Posterior Quadrant
3.4. Ultrasonography for Intra-Articular Pathology
3.4.1. Labral Tears
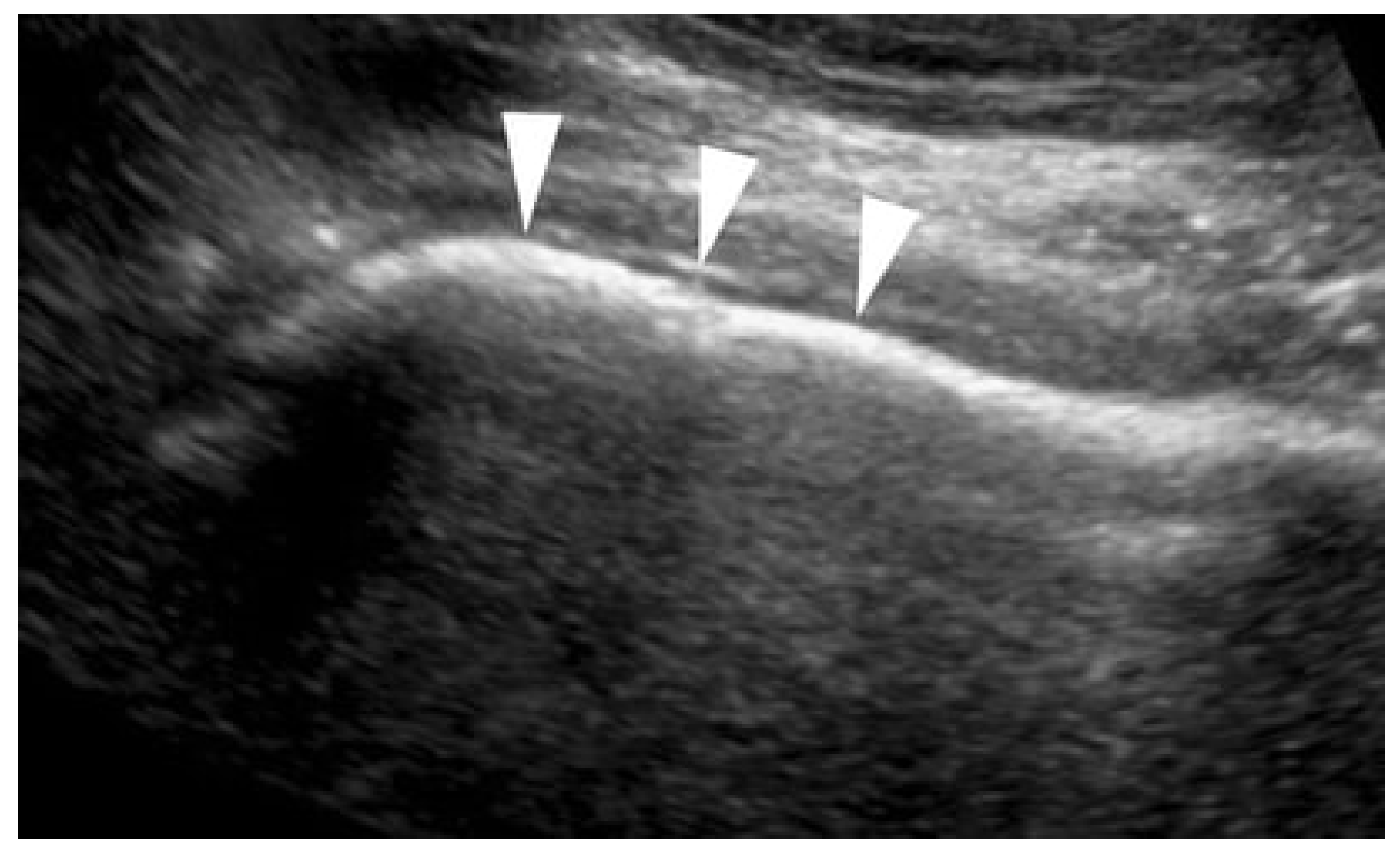
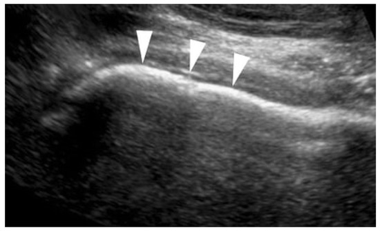
3.4.2. Cam Impingement
3.5. Extra-Articular Pathologies and Ultrasonography
3.6. Ultrasound-Guided Injections
4. Conclusions
Author Contributions
Funding
Institutional Review Board Statement
Informed Consent Statement
Data Availability Statement
Conflicts of Interest
References
- Chamberlain, R. Hip Pain in Adults: Evaluation and Differential Diagnosis. Am. Fam. Physician 2021, 103, 81–89. [Google Scholar] [PubMed]
- Haldane, C.E.; Ekhtiari, S.; de Sa, D.; Simunovic, N.; Ayeni, O.R. Preoperative physical examination and imaging of femoroacetabular impingement prior to hip arthroscopy—A systematic review. J. Hip Preserv. Surg. 2017, 4, 201–213. [Google Scholar] [CrossRef] [PubMed]
- Wilson, J.J.; Furukawa, M. Evaluation of the patient with hip pain. Am. Fam. Physician 2014, 89, 27–34. [Google Scholar] [PubMed]
- Nepple, J.J.; Prather, H.; Trousdale, R.T.; Clohisy, J.C.; Beaulé, P.E.; Glyn-Jones, S.; Kim, Y.-J. Clinical diagnosis of femoroacetabular impingement. J. Am. Acad. Orthop. Surg. 2013, 21, S16–S19. [Google Scholar] [PubMed]
- Jackson, T.J.; Estess, A.A.; Adamson, G.J. Supine and standing AP pelvis radiographs in the evaluation of pincer femoroacetabular impingement. Clin. Orthop. Relat. Res. 2016, 474, 1692–1696. [Google Scholar]
- Atkins, P.R.; Shin, Y.; Agrawal, P.; Elhabian, S.Y.; Whitaker, R.T.; Weiss, J.A.; Aoki, S.K.; Peters, C.L.; Anderson, A.E. Which two-dimensional radiographic measurements of cam femoroacetabular impingement best describe the three-dimensional shape of the proximal femur? Clin. Orthop. Relat. Res. 2019, 477, 242–253. [Google Scholar] [CrossRef]
- Jacobson, J.A.; Bedi, A.; Sekiya, J.K.; Blankenbaker, D.G. Evaluation of the painful athletic hip: Imaging options and imaging-guided injections. AJR Am. J. Roentgenol. 2012, 199, 516–524. [Google Scholar] [CrossRef]
- Nestorova, R.; Vlad, V.; Petranova, T.; Porta, F.; Radunovic, G.; Micu, M.C.; Iagnocco, A. Ultrasonography of the hip. Med. Ultrason. 2012, 14, 217–224. [Google Scholar]
- Hodler, J.; Yu, J.S.; Goodwin, D.; Haghighi, P.; Trudell, D.; Resnick, D.; Zlatkin, M.B.; Pevsner, D.; Sanders, T.G.; Hancock, C.R.; et al. MR arthrography of the hip: Improved imaging of the acetabular labrum with histologic correlation in cadavers. AJR Am. J. Roentgenol. 1995, 165, 887–891. [Google Scholar] [CrossRef]
- Buck, F.M.; Hodler, J.; Zanetti, M.; Dora, C.; Pfirrmann, C.W.A. Ultrasound for the evaluation of femoroacetabular impingement of the cam type. Diagnostic performance of qualitative criteria and alpha angle measurements. Eur. Radiol. 2011, 21, 167–175. [Google Scholar]
- DeAngelis, N.A.; Busconi, B.D. Assessment and diagnosis of the painful hip. Clin. Orthop. Relate Res. 2006, 406, 11–18. [Google Scholar] [CrossRef]
- Hsu, J.C.; Fischer, D.A.; Wright, R.W. Proximal rectus femoris avulsions in national football league kickers. Am. J. Sports Med. 2005, 33, 1085–1087. [Google Scholar] [CrossRef]
- Orellana, C.; Moreno, M.; Calvet, J.; Navarro, N.; García-Manrique, M.; Gratacós, J. Ultrasound Findings in Patients With Femoracetabular Impingement Without Radiographic Osteoarthritis. A Pilot Study. Ultrasound Med. 2018, 38, 895–901. [Google Scholar] [CrossRef]
- Carstensen, S.E.; McCrum, E.C.; Pierce, J.L.; Gwathmey, F.W. Magnetic resonance imaging (MRI) and hip arthroscopy correlations. Sports Med. Arthrosc. Rev. 2017, 25, 199–209. [Google Scholar] [CrossRef]
- Crespo-Rodríguez, A.M.; De Lucas-Villarrubia, J.C.; Pastrana- Ledesma, M.; Hualde-Juvera, A.; Méndez-Alonso, S.; Padron, M. The diagnostic performance of non-contrast 3-tesla magnetic resonance imaging (3-T MRI) versus 1.5-tesla magnetic resonance arthrography (1.5-T MRA) in femoro-acetabular impingement. Eur. J. Radiol. 2017, 88, 109–116. [Google Scholar] [CrossRef]
- Bianchi, S.; Martinoli, C. Ultrasound of the Musculoskeletal System; Springer: Berlin/Heidelberg, Germany, 2007; pp. 551–610. [Google Scholar]
- Koski, J.M.; Anttila, P.J.; Isomäki, H.A. Ultrasonography of the adult hip joint. Scand. J. Rheumatol. 1989, 18, 113–117. [Google Scholar] [CrossRef]
- Lerch, S.; Kasperczyk, A.; Warnecke, J.; Berndt, T.; Rühmann, O. Evaluation of Cam-type femoroacetabular impingement by ultrasound. Int. Orthop. 2013, 37, 783–788. [Google Scholar] [CrossRef]
- McNally, E.G. Practical Musculoskeletal Ultrasound; Elsevier: Philadelphia, PA, USA, 2005; Volume 23–28, pp. 136–141. [Google Scholar]
- Scott, C.P.; d’Hemecourt, P.A.; Miller, P.E.; Sugimoto, D.; Jackson, S.S.; Kobelski, G.P.; Whitney, K.E.; Stracciolini, A. Femoroacetabular translation in female athletes and dancers assessed by dynamic hip ultrasonography. BMJ Open Sport. Exerc. Med. 2021, 7, e001169. [Google Scholar] [CrossRef]
- Smith, J.; Hurdle, M.F.; Weingarten, T.N. Accuracy of sonographically guided intra-articular injections in the native adult hip. J. Ultrasound Med. 2009, 28, 329–335. [Google Scholar] [CrossRef]
- Pateder, D.B.; Hungerford, M.W. Use of fluoroscopically guided intra-articular hip injection in differentiating the pain source in concomitant hip and lumbar spine arthritis. Am. J. Orthop. 2007, 36, 591–593. [Google Scholar]
- Kivlan, B.R.; Martin, R.L.; Sekiya, J.K. Response to diagnostic injection in patients with femoroacetabular impingement, labral tears, chondral lesions, and extra-articular pathology. Arthroscopy 2011, 27, 619–627. [Google Scholar] [PubMed]
- Lin, Y.-T.; Wang, T.-G. Ultrasonographic Examination of the Adult Hip. J. Med. Ultrasound 2012, 20, 201–209. [Google Scholar] [CrossRef]
- Pfirrmann, C.W.; Mengiardi, B.; Dora, C.; Kalberer, F.; Zanetti, M.; Hodler, J. Cam and pincer femoroacetabular impingement: Characteristic MR arthrographic findings in 50 patients. Radiology 2006, 240, 778–785. [Google Scholar] [CrossRef] [PubMed]
- Biernacki, J.L.; d’Hemecourt, P.A.; Stracciolini, A.; Owen, M.; Sugimoto, D. Ultrasound Alpha Angles and Hip Pain and Function in Female Elite Adolescent Ballet Dancers. J. Dance Med. Sci. 2020, 24, 99–104. [Google Scholar] [CrossRef] [PubMed]
- Thorborg, K.; Rathleff, M.S.; Petersen, P.; Branci, S.; Hölmich, P. Prevalence and severity of hip and groin pain in sub-elite male football: A cross-sectional cohort study of 695 players. Scand. J. Med. Sci. Sports 2017, 27, 107–114. [Google Scholar] [PubMed]
- Troelsen, A.; Mechlenburg, I.; Gelineck, J.; Bolvig, L.; Jacobsen, S.; Søballe, K. What is the role of clinical tests and ultrasound in acetabular labral tear diagnostics? Acta Orthop. 2009, 80, 314–318. [Google Scholar] [CrossRef]
- Troelsen, A.; Jacobsen, S.; Bolvig, L.; Gelineck, J.; Romer, L.; Soballe, K. Ultrasound versus magnetic resonance arthrography in acetabular labral tear diagnostics: A prospective comparison in 20 dysplastic hips. Acta Radiol. 2007, 48, 1004–1010. [Google Scholar]
- Jin, W.; Kim, K.I.; Rhyu, K.H.; Park, S.Y.; Kim, H.C.; Yang, D.M.; Park, J.S.; Park, S.J.; Ryu, K.N. Sonographic evaluation of anterosuperior hip labral tears with magnetic resonance arthrographic and surgical correlation. J. Ultrasound Med. 2012, 31, 439–447. [Google Scholar] [CrossRef]
- Hsu, Y.-C.; Wu, Y.-C.; Wang, H.-H.; Lee, M.-S.; Huang, G.-S. Assessment of cam-type femoroacetabular impingement by ultrasonography: Value of anterior femoral distance measurements. Ultraschall Med. 2012, 33, E158–E165. [Google Scholar] [CrossRef]
- Lohan, D.G.; Seeger, L.L.; Motamedi, K.; Hame, S.; Sayre, J. Cam-type femoral-acetabular impingement: Is the alpha angle the best MR arthrography has to offer? Skeletal Radiol. 2009, 38, 855–862. [Google Scholar] [CrossRef]
- Nouh, M.R.; Schweitzer, M.E.; Rybak, L.; Cohen, J. Femoroacetabular impingement: Can the alpha angle be estimated? AJR Am. J. Roentgenol. 2008, 190, 1260–1262. [Google Scholar] [CrossRef]
- Gao, G.; Fu, Q.; Wu, R.; Liu, R.; Cui, M.L.; Xu, Y. Ultrasound and Ultrasound-Guided Hip Injection Have High Accuracy in the Diagnosis of Femoroacetabular Impingement With Atypical Symptoms. J. Arthrosc. Relat. Surg. 2020, 37, 128–135. [Google Scholar] [CrossRef]
- Rowbotham, E.L.; Grainger, A.J. Ultrasound-guided intervention around the hip joint. AJR Am. J. Roentgenol. 2011, 197, W122–W127. [Google Scholar] [CrossRef]
- Byrd, J.W.; Jones, K.S. Diagnostic accuracy of clinical assessment, magnetic resonance imaging, magnetic resonance arthrography, and intra-articular injection in hip arthroscopy patients. Am. J. Sports Med. 2004, 32, 1668–1674. [Google Scholar] [CrossRef]
- Levy, D.M.; Cvetanovich, G.L.; Kuhns, B.D.; Greenberg, M.J.; Alter, J.M.; Nho, S.J. Hip arthroscopy for atypical posterior hip pain: A comparative matched-pair analysis. Am. J. Sports Med. 2017, 45, 1627–1632. [Google Scholar]
- Khan, W.; Khan, M.; Alradwan, H.; Williams, R.; Simunovic, N.; Ayeni, O.R. Utility of intra-articular hip injections for femoroacetabular impingement: A Systematic review. Orthop. J. Sports Med. 2015, 3, 2325967115601030. [Google Scholar]
- Byrd, J.W.; Potts, E.A.; Allison, R.K.; Jones, K.S. Ultrasound-guided hip injections: A comparative study with fluoroscopy-guided injections. Arthroscopy 2014, 30, 42–46. [Google Scholar] [CrossRef]


Disclaimer/Publisher’s Note: The statements, opinions and data contained in all publications are solely those of the individual author(s) and contributor(s) and not of MDPI and/or the editor(s). MDPI and/or the editor(s) disclaim responsibility for any injury to people or property resulting from any ideas, methods, instructions or products referred to in the content. |
© 2023 by the authors. Licensee MDPI, Basel, Switzerland. This article is an open access article distributed under the terms and conditions of the Creative Commons Attribution (CC BY) license (https://creativecommons.org/licenses/by/4.0/).
Share and Cite
Karampinas, P.; Galanis, A.; Vlamis, J.; Vavourakis, M.; Papagrigorakis, E.; Sakellariou, E.; Zachariou, D.; Karampitianis, S.; Vasiliadis, E.; Pneumaticos, S. The Role of Ultrasonography in Hip Impingement Syndromes: A Narrative Review. Diagnostics 2023, 13, 2609. https://doi.org/10.3390/diagnostics13152609
Karampinas P, Galanis A, Vlamis J, Vavourakis M, Papagrigorakis E, Sakellariou E, Zachariou D, Karampitianis S, Vasiliadis E, Pneumaticos S. The Role of Ultrasonography in Hip Impingement Syndromes: A Narrative Review. Diagnostics. 2023; 13(15):2609. https://doi.org/10.3390/diagnostics13152609
Chicago/Turabian StyleKarampinas, Panagiotis, Athanasios Galanis, John Vlamis, Michail Vavourakis, Eftychios Papagrigorakis, Evangelos Sakellariou, Dimitrios Zachariou, Spyridon Karampitianis, Elias Vasiliadis, and Spiros Pneumaticos. 2023. "The Role of Ultrasonography in Hip Impingement Syndromes: A Narrative Review" Diagnostics 13, no. 15: 2609. https://doi.org/10.3390/diagnostics13152609
APA StyleKarampinas, P., Galanis, A., Vlamis, J., Vavourakis, M., Papagrigorakis, E., Sakellariou, E., Zachariou, D., Karampitianis, S., Vasiliadis, E., & Pneumaticos, S. (2023). The Role of Ultrasonography in Hip Impingement Syndromes: A Narrative Review. Diagnostics, 13(15), 2609. https://doi.org/10.3390/diagnostics13152609

