A Comprehensive Review of COVID-19-Infection- and Steroid-Treatment-Associated Bone Avascular Necrosis: A Multi-Study Analysis
Abstract
1. Introduction
2. Materials and Methods
- Articles in English
- COVID-19 infection or vaccination
- No joint pain prior to the infection
- Musculoskeletal symptoms after COVID-19
- Patients over 18 years old
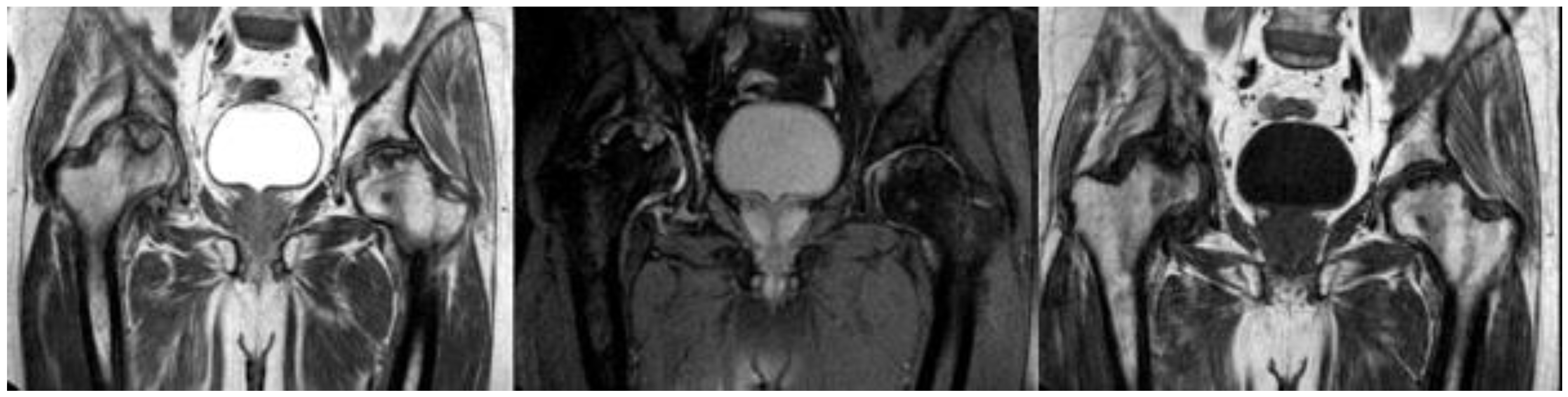
3. Results
3.1. Demographics
3.2. Course of COVID-19 Infection
3.3. COVID-19 Treatment
3.4. AVN Treatment Approaches and Outcome Measures
3.5. Follow-Up Period
| Scheme | Study Design | No. of Patients and Gender | Mean Age (years) | COVID-19 Symptoms | Treatment of COVID-19 | Days Until AVN | AVN Treatment | Results |
|---|---|---|---|---|---|---|---|---|
| 1. Sulewski et al. (2021) [5] | Cohort study | 10 (6 F + 4 M) | 58.8 | Moderately severe | Steroids | Initially conservatively (NSAIDs, IA steroid inj) with no improvement Oral dexamethasone at 2 × 8 mg daily for 2 weeks | 30% THA with good clinical outcome 10% chronic pain without joint destruction in the control tests | |
| 2. Alkindi et al. (2021) [18] | Case report | 1 M | 29 | Combination of experimental anti-COVID-19 therapies (favipiravir, hydroxychloroquine, tocilizumab) Methylprednisolone IV at 40 mg/d for 5 days | IV corticosteroids for 5 days (cumulative dose: 200 mg) | Clinical improvement with NSAIDs and PT | ||
| 3. Daltro et al. (2021) [28] | Follow up | 14 M + 9 F | 43.5 | 33% Mild 66% Moderate/Severe | Mild infection: no hospitalization/corticosteroids Dexamethasone: min dose of 40 mg/day for a mean time of 14.6 days (min 15–max 21) | 33% osteonecrosis of the femoral head | ||
| 4. Chacko et al. (2021) [29] | Case report | 1 M (bilateral) | 23 | IV dexamethasone at 6 mg/d for 9 days and IV methylprednisolone at 40 mg × 2/d for 5 days Cumulative dose is equivalent to 860 mg of prednisolone | 56 | Core decompression of femoral heads Bone marrow aspirate concentrate injection | ||
| 5. Joshi et al. (2021) [30] | Case report | 1 F (bilateral) | 31 | Moderate/Severe | Methylprednisolone at 32 mg/d for 7 days with minimal improvement Continued for 10 days more Total dose of 544 mg | 30 | N/G | |
| 6. Agarwala et al. (2021) [24] | Case report | 3 M (bilateral) | 37 | Moderate/Severe | Mean equivalent to 758 mg of prednisolone | 58 | Oral alendronate at 70 mg/w IV zoledronic acid at 5 mg annually | Mean VAS: 2.7 No surgery |
| 7. Panin et al. (2022) [19] | Case report | 4 (2 M/2 F) (bilateral) | 34 | Moderate/Severe | Mean total dose of dexamethasone/prednisolone of 264 (80–600 mg)/1759 (533–4000 mg) 1 patient: iv favipiravir, tocilizumab 2nd: iv triazaverin | 96.6 | 2 decompressions of the necrosis foci Administration of a bone marrow concentrate 1THA Statins Bisphosphonates Anticoagulants | Improvement in motor activity Decrease in pain intensity No significant improvement in MRI |
| 8. Uyshal et al. (2022) [21] | Case report | 1 M | 63 | Mild/Moderate | No steroid usage | Protected weight bearing Oral alendronate at 70 mg/w (no improvement) THA | ||
| 9. Ergün et al. (2022) [22] | Case report | 1 F (bilateral) | 51 | No prior use of steroid Favipiravir LMWH | 60 | Core decompression PT No weight bearing for 6 weeks | Improved clinical scores No femoral head subchondral bone collapse | |
| 10. Kingma et al. (2022) [17] | Case report | 1 M (bilateral) | 60 | Severe | Total dose of prednisone equivalent of 1327.5 mg | 300 | Bilateral THA | No complications |
| 11. Ardakani et al. (2022) [14] | Case series | 5 (2 M/3 F) | 38.4 | Moderate/Severe | Mean dose of prednisolone was 1695.2 mg | 41.6 | All patients underwent surgery with direct anterior approach 1 did two-stage THA due to Serratia marcescens infection in both hips | Clinical and laboratory symptoms improved significantly Mean VAS decreased from 9.4 to 2.8 1 week post-operation |
| 12. Annam et al. (2022) [20] | Case report | 2 M (bilateral) | 48 (27/69) | Moderate | Oseltamivir, doxycycline, and methylprednisolone Mean total dose of methylprednisolone of 588 mg, equivalent to 735 mg of prednisolone | The younger had bilateral THA and hip core decompression The older had left THA and right hip decompression | ||
| 13. Kamani et al. (2022) [31] | Case report | 1 M (bilateral) | 40 | Severe | Steroid injection | Bilateral core decompression hip surgery PT | ||
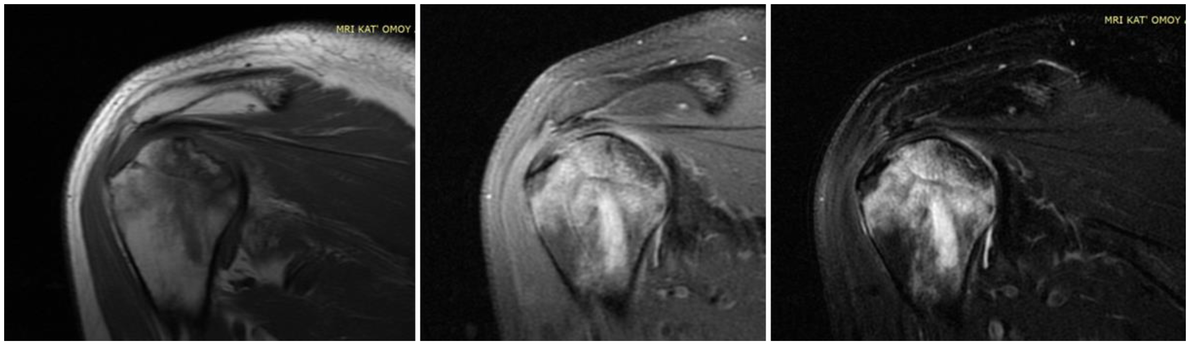
| 14. Kashkosh et al. (2022) [15] | Case report | 1 M | 40 | Second dose of the Pfizer COVID-19 vaccine | AVN of the humeral head | 2 | Analgesics Activity modification IA hydrodilatation inj | Improved ROM Severe shoulder pain Surgical intervention |
| 15. Jyothiprasanth et al. (2023) [23] | Cohort study | 17 (10 M/7 F)/4 bilateral | 37 | 82.4% COVID-19 Inf | No steroid therapy | 66 | N/G | |
| 16. Baimukhamedov (2023) [10] | Cohort study | 8 M | N/G | N/G | Range of cumulative corticosteroid doses 50–20,675 mg of prednisolone | N/G | N/G | |
| 17. Karpur et al. (2023) [32] | Follow up | 20 (14 M/6 F) | N/G | N/G | N/G | N/G | N/G | Stage I: 45% Stage II: 40% M/F: 70/30% |
| 18. Shershah et al. (2023) [25] | Case reports | 3 (2 M/1 F) bilateral | 29.3 | Severe | 560 mg of IV methylprednisolone | 240 | Conservative without results 2 bilateral THAs 1 core decompression with bone marrow aspirate infiltration | |
| 19. Velchov et al. (2023) [27] | Follow up | 24 (17 M/7 F) 4 bilateral | 55.6 | 8 Moderate/16 Severe | Moderate: mean of 120 mg of dexamethasone Severe: also 3600 mg of methylprednisolone | 56.3 | 23 THAs 5 core decompressions | |
| 20. Jayapalan et al. (2023) [26] | Case report | 1 M (bilateral) | 31 | Moderate | IV methylprednisolone (600 mg) followed by an oral dose of 8 mg | 65 | Bilateral core decompression and BMAC | |
| 21. Parikh et al. (2023) [33] | Case reports | 3 (2 M/1 F) | 55.6 | Moderate | Steroid treatment | N/G | Core decompression (1 bilateral) | |
| 22. Sinha et al. (2023) [16] | Cohort study | 10 (4 M/6 F) | 53.9 | 7 Moderate/3 Severe | 4 steroid therapies | 14 | 4 core decompressions | |
| 23. Veizi et al. (2023) [9] | Prospective study | 472 (289 M/183 F) | 42 | Group 2: (236) received steroid treatment | Increased % of AVN in Group 2 Joint pain: 5.1% in Group 1 11.9% in Group 2 AVN: 8 pts from Group 2 | No relationship between the treatment duration, cumulative dosage of medication, and ONC |
4. Discussion
5. Putative Future Guidelines
6. Conclusions
Author Contributions
Funding
Institutional Review Board Statement
Informed Consent Statement
Data Availability Statement
Conflicts of Interest
References
- Griffith, J.F. Musculoskeletal complications of severe acute respiratory syndrome. Semin. Musculoskelet. Radiol. 2011, 15, 554–560. [Google Scholar] [CrossRef] [PubMed]
- Singh, M.; Singh, B.; Sharma, K.; Kumar, N.; Mastana, S.; Singh, P. A Molecular Troika of Angiogenesis, Coagulopathy and Endothelial Dysfunction in the Pathology of Avascular Necrosis of Femoral Head: A Comprehensive Review. Cells 2023, 12, 2278. [Google Scholar] [CrossRef] [PubMed]
- Chang, C.; Greenspan, A.; Gershwin, M.E. The pathogenesis, diagnosis and clinical manifestations of steroid-induced osteonecrosis. J. Autoimmun. 2020, 110, 102460. [Google Scholar] [CrossRef] [PubMed]
- Huang, L.; Yao, Q.; Gu, X.; Wang, Q.; Ren, L.; Wang, Y.; Hu, P.; Guo, L.; Liu, M.; Xu, J.; et al. 1-year outcomes in hospital survivors with COVID-19: A longitudinal cohort study. Lancet 2021, 398, 747–758. [Google Scholar] [CrossRef] [PubMed]
- Sulewski, A.; Sieroń, D.; Szyluk, K.; Dąbrowski, M.; Kubaszewski, Ł.; Lukoszek, D.; Christe, A. Avascular necrosis bone complication after active COVID-19 infection: Preliminary results. Medicina 2021, 57, 1311. [Google Scholar] [CrossRef]
- Powell, C.; Chang, C.; Naguwa, S.M.; Cheema, G.; Gershwin, M.E. Steroid induced osteonecrosis: An analysis of steroid dosing risk. Autoimmun. Rev. 2010, 9, 721–743. [Google Scholar] [CrossRef]
- Patel, T.K.; Patel, P.B.; Barvaliya, M.; Saurabh, M.K.; Bhalla, H.L.; Khosla, P.P. Efficacy and safety of lopinavir-ritonavir in COVID-19: A systematic review of randomized controlled trials. J. Infect. Public Health 2021, 14, 740–748. [Google Scholar] [CrossRef]
- Shetty, G.M. Double Trouble-COVID-19 and the Widespread Use of Corticosteroids: Are We Staring at an Osteonecrosis Epidemic? Indian J. Orthop. 2022, 56, 226–236. [Google Scholar] [CrossRef]
- Veizi, E.; Erdoğan, Y.; Sezgin, B.S.; Karaman, Y.; Kılıçarslan, K.; Fırat, A. The painful joint after COVID-19 treatment: A study on joint osteonecrosis following COVID-19-related corticosteroid use. Jt. Dis. Relat. Surg. 2022, 34, 75–83. [Google Scholar] [CrossRef]
- Baimukhamedov, C.; Botabekova, A.; Lessova, Z.; Abshenov, B.; Kurmanali, N. Osteonecrosis amid the COVID-19 pandemic. Rheumatol. Int. 2023, 43, 1377–1378. [Google Scholar] [CrossRef] [PubMed]
- Freund, E. Bilateral aseptic necrosis of the femoral head: Problems arising in a compensation case. Ann. Surg. 1936, 104, 100–106. [Google Scholar] [CrossRef] [PubMed]
- Guo, K.J.; Zhao, F.C.; Guo, Y.; Li, F.L.; Zhu, L.; Zheng, W. The influence of age, gender and treatment with steroids on the incidence of osteonecrosis of the femoral head during the management of severe acute respiratory syndrome: A retrospective study. Bone Jt. J. 2014, 96-B, 259–262. [Google Scholar] [CrossRef] [PubMed]
- Koutalos, A.A.; Stefanou, N.; Malizos, K.N. Postacute sequelae of SARS-CoV-2 infection. Osteonecrosis must not be overlooked. Int. J. Infect. Dis. 2022, 121, 11–13. [Google Scholar] [CrossRef] [PubMed]
- Ardakani, M.V.; Parviz, S.; Ghadimi, E.; Zamani, Z.; Salehi, M.; Firoozabadi, M.A.; Mortazavi, S.M.J. Concomitant septic arthritis of the hip joint and femoral head avascular necrosis in patients with recent COVID-19 infection: A cautionary report. J. Orthop. Surg. Res. 2022, 17, 302. [Google Scholar] [CrossRef]
- Kashkosh, A.; Peake, C.M.; Narvani, A.A.; Imam, M.A. Spontaneous Avascular Necrosis of the Humeral Head Following COVID-19 Vaccination. Arch. Bone Jt. Surg. 2023, 11, 140–143. [Google Scholar]
- Sinha, P.R.; Mallick, N.; Sahu, R.L. Avascular Necrosis of the Hip after the COVID-19 Pandemic. J. Pharm. Bioallied Sci. 2023, 15 (Suppl. S1), S661–S664. [Google Scholar] [CrossRef]
- Kingma, T.J.; Hoch, V.; Johnson, C.; Chaudhry, B. Avascular Necrosis of the Hip: A Post COVID-19 Sequela. Cureus 2022, 14, e29976. [Google Scholar] [CrossRef]
- Alkindi, F.; Al Nokhatha, S.; Alseiari, K.; Alnaqb, K.A. Reactive Hip Arthritis and Avascular Necrosis After Severe COVID-19 Infection: A Case Report and Comprehensive Review of Literature. EMJ Rheumatol. 2022, 7, 48–55. [Google Scholar] [CrossRef]
- Panin, M.A.; Petrosyan, A.S.; Hadjicharalambous, K.K.; Boiko, A.V. Avascular Necrosis of the Femoral Head after COVID-19: A Case Series. Traumatol. Orthop. Russ. 2022, 28, 110–117. [Google Scholar] [CrossRef]
- Annam, P.; Manda, A.; Myneni, U.K.; Sahar, A.N.; Prasad, N.; Sam, K.K.; Sahu, S.; Reddy, K.K. Corticosteroids induced avascular necrosis of hip, a “long COVID-19” complication: Case report. Ann. Med. Surg. 2022, 82, 104753. [Google Scholar] [CrossRef]
- Uysal, A.; Erdem Uysal, M. Bilateral Avascular Necrosis of the Femoral Head after COVID-19 Infection: A Case Report. Batı Karadeniz Tıp Derg. 2022, 6, 235–238. [Google Scholar] [CrossRef]
- Ergün, S.; Adiyaman, C.; Sensöz, E.; Eceviz, E. Avascular Necrosis of the Hip Triggered by COVID-19 Infection in a Patient with Sickle Cell Disease: A Case Report. J. Orthop. Case Rep. 2022, 12, 10–12. [Google Scholar] [CrossRef] [PubMed]
- Jyothiprasanth, M.; Jithin, C.R.; Vincent, A.; Thomas, A.K.; Pratheesh, C.B.; Sarang, P. A case series on COVID-19 infection and avascular necrosis of hip. J. Orthop. Rep. 2023, 2, 100104. [Google Scholar] [CrossRef]
- Agarwala, S.R.; Vijayvargiya, M.; Pandey, P. Avascular necrosis as a part of a € long COVID-19’. BMJ Case Rep. 2021, 14, e242101. [Google Scholar] [CrossRef] [PubMed]
- Shershah, K.; Chandrashekar, M.; Ramanand, M.; Akash, K. Bilateral avascular necrosis of femoral head following COVID-19 infection: Case series. Sanamed 2023, 18, 53–57. [Google Scholar] [CrossRef]
- Jayapalan, Y.; Baskar, A.; Mohan, J.P.; Maheshwaran, S.M.P. Osteonecrosis-An Emerging Challenge of Post COVID-19 Sequalae. Eur. J. Clin. Med. 2023, 4, 4–6. [Google Scholar] [CrossRef]
- Velchov, V.; Georgiev, P.; Tserovski, S.; Tsenkov, T.; Alexiev, V. Corticosteroid-Associated Avascular Necrosis of the Femoral Head in Patients with Severe COVID-19: A Single-Center Study. Med. Sci. Monit. 2023, 29, e940965. [Google Scholar] [CrossRef] [PubMed]
- Slater, G.; Elliott, M.; Slater, G.J. Osteonecrosis Development Post COVID-19 Infection. J. Regen. Biol. Med. 2019, 2, 1–15. [Google Scholar] [CrossRef]
- Chacko, A.; Babu, M.; Thomas, D.K. Osteonecrosis of bilateral femoral head in a post COVID-19 patient: Case report. Int. J. Res. Orthop. 2021, 7, 674. [Google Scholar] [CrossRef]
- Joshi, S.R.; Mahmud, C.I.; Selimullah, A.; Sidny, D.N.Z. Post COVID-19 osteoporosis and avascular necrosis of femoral head: A case report. Int. J. Orthop. Sci. 2021, 7, 177–179. [Google Scholar] [CrossRef]
- Kamani, S.; Lakhwani, M.G.; Phansopkar, P. Undiagnosed Bilateral Avascular Necrosis of the Femur in a Young Male Caused by COVID-19 Steroid Injections. Cureus 2022, 14, e29982. [Google Scholar] [CrossRef] [PubMed]
- Karpur, S.; Baja, N.; Malikireddy, P.; Pokuri, D. Avascular necrosis of hip joints in post-COVID-19 patients: A case series. MRIMS J. Health Sci. 2023, 11, 98–101. [Google Scholar]
- Parikh, S.; Gomez, O.; Davis, T.; Lyon, Z.; Corces, A. Avascular Necrosis as a Sequela of COVID-19: A Case Series. Cureus 2023, 15, e35368. [Google Scholar] [CrossRef] [PubMed]
- Hines, J.T.; Jo, W.L.; Cui, Q.; Mont, M.A.; Koo, K.H.; Cheng, E.Y.; Goodman, S.B.; Ha, Y.-C.; Hernigou, P.; Jones, L.C.; et al. Osteonecrosis of the Femoral Head: An Updated Review of ARCO on Pathogenesis, Staging and Treatment. J. Korean Med. Sci. 2021, 36, e177. [Google Scholar] [CrossRef]
- Daltro, G.; Franco, B.; Rosário, D.; Faleiro, T.; Lima, V.; Vitório, F.; Daltro, P.B.; Meyer, R. Osteonecrosis Development Post COVID-19 Infection. J. Regen. Biol. Med. 2021, 3, 1–8. [Google Scholar] [CrossRef]





Disclaimer/Publisher’s Note: The statements, opinions and data contained in all publications are solely those of the individual author(s) and contributor(s) and not of MDPI and/or the editor(s). MDPI and/or the editor(s) disclaim responsibility for any injury to people or property resulting from any ideas, methods, instructions or products referred to in the content. |
© 2024 by the authors. Licensee MDPI, Basel, Switzerland. This article is an open access article distributed under the terms and conditions of the Creative Commons Attribution (CC BY) license (https://creativecommons.org/licenses/by/4.0/).
Share and Cite
Sakellariou, E.; Argyropoulou, E.; Karampinas, P.; Galanis, A.; Varsamos, I.; Giannatos, V.; Vasiliadis, E.; Kaspiris, A.; Vlamis, J.; Pneumaticos, S. A Comprehensive Review of COVID-19-Infection- and Steroid-Treatment-Associated Bone Avascular Necrosis: A Multi-Study Analysis. Diagnostics 2024, 14, 247. https://doi.org/10.3390/diagnostics14030247
Sakellariou E, Argyropoulou E, Karampinas P, Galanis A, Varsamos I, Giannatos V, Vasiliadis E, Kaspiris A, Vlamis J, Pneumaticos S. A Comprehensive Review of COVID-19-Infection- and Steroid-Treatment-Associated Bone Avascular Necrosis: A Multi-Study Analysis. Diagnostics. 2024; 14(3):247. https://doi.org/10.3390/diagnostics14030247
Chicago/Turabian StyleSakellariou, Evangelos, Evangelia Argyropoulou, Panagiotis Karampinas, Athanasios Galanis, Iordanis Varsamos, Vasileios Giannatos, Elias Vasiliadis, Angelos Kaspiris, John Vlamis, and Spiros Pneumaticos. 2024. "A Comprehensive Review of COVID-19-Infection- and Steroid-Treatment-Associated Bone Avascular Necrosis: A Multi-Study Analysis" Diagnostics 14, no. 3: 247. https://doi.org/10.3390/diagnostics14030247
APA StyleSakellariou, E., Argyropoulou, E., Karampinas, P., Galanis, A., Varsamos, I., Giannatos, V., Vasiliadis, E., Kaspiris, A., Vlamis, J., & Pneumaticos, S. (2024). A Comprehensive Review of COVID-19-Infection- and Steroid-Treatment-Associated Bone Avascular Necrosis: A Multi-Study Analysis. Diagnostics, 14(3), 247. https://doi.org/10.3390/diagnostics14030247

