Analysis of the Causes of Solitary Pulmonary Nodule Misdiagnosed as Lung Cancer by Using Artificial Intelligence: A Retrospective Study at a Single Center
Abstract
:1. Introduction
2. Methods
2.1. Patient Inclusion/Exclusion Criteria
2.2. CT Examination and AI Analysis
2.3. Statistical Analysis
3. Results
3.1. AI Prediction Results
3.2. Radiologists’ Prediction Results
3.3. Comparison between AI Prediction Results and Radiologist Prediction Results
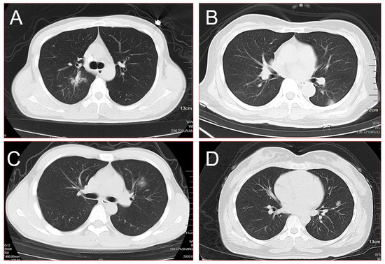
3.4. Clinical Data of Misdiagnosed benign SPNs with AI
4. Discussion
Author Contributions
Funding
Institutional Review Board Statement
Informed Consent Statement
Data Availability Statement
Conflicts of Interest
Abbreviations
| AI | Artificial intelligence |
| COVID-19 | Coronavirus disease 2019 |
| CT | Computed tomography |
| CNN | Convolutional neural networks |
| SARS-CoV-2 | Severe acute respiratory syndrome coronavirus 2 |
| pGGN | Pure ground-glass nodule |
| mGGN | Mixed ground-glass nodule |
| SPN | Solitary pulmonary nodule |
| RT-PCR | Reverse transcription-polymerase chain reaction |
References
- Tanner, N.T.; Porter, A.; Gould, M.K.; Li, X.J.; Vachani, A.; Silvestri, G.A. Physician Assessment of Pretest Probability of Malignancy and Adherence With Guidelines for Pulmonary Nodule Evaluation. Chest 2017, 152, 263–270. [Google Scholar] [CrossRef] [PubMed]
- MacMahon, H.; Naidich, D.P.; Goo, J.M.; Lee, K.S.; Leung, A.N.C.; Mayo, J.R.; Mehta, A.C.; Ohno, Y.; Powell, C.A.; Prokop, M.; et al. Guidelines for Management of Incidental Pulmonary Nodules Detected on CT Images: From the Fleischner Society 2017. Radiology 2017, 284, 228–243. [Google Scholar] [CrossRef] [PubMed]
- Kikano, G.E.; Fabien, A.; Schilz, R. Evaluation of the Solitary Pulmonary Nodule. Am. Fam. Physician 2015, 92, 1084–1091. [Google Scholar] [PubMed]
- Chen, S.H.; Qin, J.; Ji, X.; Lei, B.Y.; Wang, T.F.; Ni, D.; Cheng, J.Z. Automatic Scoring of Multiple Semantic Attributes with Multi-Task Feature Leverage: A Study on Pulmonary Nodules in CT Images. IEEE Trans. Med. Imaging 2017, 36, 802–814. [Google Scholar] [CrossRef] [PubMed]
- Setio, A.A.A.; Traverso, A.; de Bel, T.; Berens, M.S.N.; Bogaard, C.V.D.; Cerello, P.; Chen, H.; Dou, Q.; Fantacci, M.E.; Geurts, B.; et al. Validation, comparison, and combination of algorithms for automatic detection of pulmonary nodules in computed tomography images: The LUNA16 challenge. Med. Image Anal. 2017, 42, 1–13. [Google Scholar] [CrossRef] [PubMed]
- Jin, H.; Li, Z.; Tong, R.; Lin, L. A deep 3D residual CNN for false-positive reduction in pulmonary nodule detection. Med. Phys. 2018, 45, 2097–2107. [Google Scholar] [CrossRef]
- Dou, Q.; Chen, H.; Yu, L.; Qin, J.; Heng, P.A. Multilevel Contextual 3-D CNNs for False Positive Reduction in Pulmonary Nodule Detection. IEEE Trans. Biomed. Eng. 2017, 64, 1558–1567. [Google Scholar] [CrossRef]
- Cheng, J.Z.; Ni, D.; Chou, Y.H.; Qin, J.; Tiu, C.M.; Chang, Y.C.; Huang, C.S.; Shen, D.; Chen, C.M. Computer-Aided Diagnosis with Deep Learning Architecture: Applications to Breast Lesions in US Images and Pulmonary Nodules in CT Scans. Sci. Rep. 2016, 6, 24454. [Google Scholar] [CrossRef]
- Zhang, K.; Liu, X.; Shen, J.; Li, Z.; Sang, Y.; Wu, X.; Zha, Y.; Liang, W.; Wang, C.; Wang, K.; et al. Clinically Applicable AI System for Accurate Diagnosis, Quantitative Measurements, and Prognosis of COVID-19 Pneumonia Using Computed Tomography. Cell 2020, 181, 1423–1433.e11. [Google Scholar] [CrossRef]
- Wan, Y.L.; Wu, P.W.; Huang, P.C.; Tsay, P.K.; Pan, K.T.; Trang, N.N.; Chuang, W.Y.; Wu, C.Y.; Lo, S.B. The Use of Artificial Intelligence in the Differentiation of Malignant and Benign Lung Nodules on Computed Tomograms Proven by Surgical Pathology. Cancers 2020, 12, 2211. [Google Scholar] [CrossRef]
- Li, Q.; Guan, X.; Wu, P.; Wang, X.; Zhou, L.; Tong, Y.; Ren, R.; Leung, K.S.M.; Lau, E.H.Y.; Wong, J.Y.; et al. Early Transmission Dynamics in Wuhan, China, of Novel Coronavirus-Infected Pneumonia. N. Engl. J. Med. 2020, 382, 1199–1207. [Google Scholar] [CrossRef]
- Roth, H.R.; Lu, L.; Seff, A.; Cherry, K.M.; Hoffman, J.; Wang, S.; Liu, J.; Turkbey, E.; Summers, R.M. A new 2.5D representation for lymph node detection using random sets of deep convolutional neural network observations. Med. Image Comput. Comput. Assist. Interv. 2014, 17, 520–527. [Google Scholar]
- Teramoto, A.; Tsukamoto, T.; Kiriyama, Y.; Fujita, H. Automated Classification of Lung Cancer Types from Cytological Images Using Deep Convolutional Neural Networks. BioMed Res. Int. 2017, 2017, 4067832. [Google Scholar] [CrossRef]
- Ciompi, F.; Chung, K.; van Riel, S.J.; Setio, A.A.A.; Gerke, P.K.; Jacobs, C.; Scholten, E.T.; Schaefer-Prokop, C.; Wille, M.M.W.; Marchianò, A.; et al. Towards automatic pulmonary nodule management in lung cancer screening with deep learning. Sci. Rep. 2017, 7, 46479. [Google Scholar] [CrossRef]
- Huang, B.; Zhu, J.; Wu, X.Y.; Gao, X.H. Should patients stop their radiotherapy or chemotherapy during the COVID-19 pandemic. Am. J. Cancer Res. 2020, 10, 1518–1521. [Google Scholar]
- Zou, J.N.; Sun, L.; Wang, B.R.; Zou, Y.; Xu, S.; Ding, Y.J.; Shen, L.J.; Huang, W.C.; Jiang, X.J.; Chen, S.M. The characteristics and evolution of pulmonary fibrosis in COVID-19 patients as assessed by AI-assisted chest HRCT. PLoS ONE. 2021, 16, e0248957. [Google Scholar] [CrossRef]
- Zhu, J.; Huang, W.C.; Huang, B.; Zhu, Y.; Jiang, X.J.; Zou, J.N.; Yang, G.; Wang, Z.; Ji, T.; Gu, M.M.; et al. Clinical characteristics and prognosis of COVID-19 patients with initial presentation of lung lesions confined to a single pulmonary lobe. Am. J. Transl. Res. 2020, 12, 7501–7509. [Google Scholar]
- Zhu, J.; Zhang, Y.; Gao, X.H.; Xi, E.P. Coronavirus Disease 2019 or Lung Cancer: A Differential Diagnostic Experience and Management Model From Wuhan. J. Thorac Oncol. 2020, 15, e141–e142. [Google Scholar] [CrossRef]
- Zhu, Y.; Liu, Y.L.; Li, Z.P.; Kuang, J.Y.; Li, X.M.; Yang, Y.Y.; Feng, S.T. Clinical and CT imaging features of 2019 novel coronavirus disease (COVID-19). J. Infect. 2020, 81, 147–178. [Google Scholar] [CrossRef]
- Li, Z.; Zhong, Z.; Li, Y.; Zhang, T.; Gao, L.; Jin, D.; Sun, Y.; Ye, X.; Yu, L.; Hu, Z.; et al. From community-acquired pneumonia to COVID-19: A deep learning-based method for quantitative analysis of COVID-19 on thick-section CT scans. Eur. Radiol. 2020, 30, 6828–6837. [Google Scholar] [CrossRef]
- Zhao, L.; Bai, C.X.; Zhu, Y. Diagnostic value of artificial intelligence in early-stage lung cancer. Chin. Med. J. 2020, 133, 503–504. [Google Scholar] [CrossRef] [PubMed]
- Wang, S.; Yang, D.M.; Rong, R.; Zhan, X.; Fujimoto, J.; Liu, H.; Minna, J.; Wistuba, I.I.; Xie, Y.; Xiao, G. Artificial Intelligence in Lung Cancer Pathology Image Analysis. Cancers 2019, 11, 1673. [Google Scholar] [CrossRef] [PubMed]
- Li, X.; Hu, B.; Li, H.; You, B. Application of artificial intelligence in the diagnosis of multiple primary lung cancer. Thorac. Cancer 2019, 10, 2168–2174. [Google Scholar] [CrossRef] [PubMed] [Green Version]
- Kermany, D.S.; Goldbaum, M.; Cai, W.; Valentim, C.C.S.; Liang, H.; Baxter, S.L.; McKeown, A.; Yang, G.; Wu, X.; Yan, F.; et al. Identifying Medical Diagnoses and Treatable Diseases by Image-Based Deep Learning. Cell 2018, 172, 1122–1131.e9. [Google Scholar] [CrossRef] [PubMed]
- Baldwin, D.R.; Gustafson, J.; Pickup, L.; Arteta, C.; Novotny, P.; Declerck, J.; Kadir, T.; Figueiras, C.; Sterba, A.; Exell, A.; et al. External validation of a convolutional neural network artificial intelligence tool to predict malignancy in pulmonary nodules. Thorax 2020, 75, 306–312. [Google Scholar] [CrossRef]
- Zhou, P.; Yang, X.L.; Wang, X.G.; Hu, B.; Zhang, L.; Zhang, W.; Si, H.R.; Zhu, Y.; Li, B.; Huang, C.L.; et al. A pneumonia outbreak associated with a new coronavirus of probable bat origin. Nature 2020, 579, 270–273. [Google Scholar] [CrossRef]
- Keshani, M.; Azimifar, Z.; Tajeripour, F.; Boostani, R. Lung nodule segmentation and recognition using SVM classifier and active contour modeling: A complete intelligent system. Comput. Biol. Med. 2013, 43, 287–300. [Google Scholar] [CrossRef]
- Wainberg, M.; Merico, D.; Delong, A.; Frey, B.J. Deep learning in biomedicine. Nat. Biotechnol. 2018, 36, 829–838. [Google Scholar] [CrossRef]
- Xu, X.W.; Wu, X.X.; Jiang, X.G.; Xu, K.J.; Ying, L.J.; Ma, C.L.; Li, S.B.; Wang, H.Y.; Zhang, S.; Gao, H.N.; et al. Clinical findings in a group of patients infected with the 2019 novel coronavirus (SARS-Cov-2) outside of Wuhan, China: Retrospective case series. BMJ 2020, 368, m606. [Google Scholar] [CrossRef] [Green Version]


| AI Technology | Radiologist | ||||
|---|---|---|---|---|---|
| Pathology or RT-PCR Results | Correct | FALSE | Correct | FALSE | Total |
| Malignant | 31 | 3 | 32 | 2 | 34 |
| Benign | 5 | 22 | 25 | 2 | 27 |
| Accuracy Rate | Sensitivity | Specificity | False-Positive Rate | |
|---|---|---|---|---|
| AI | 59.00% | 91.20% | 18.50% | 81.50% |
| Radiologist | 93.40% | 94.10% | 92.60% | 7.40% |
| AI Technology | McNemar Test | Kappa | ||
|---|---|---|---|---|
| Radiologist | Correct | FALSE | ||
| Correct | 5 | 20 | <0.001 | 0.036 |
| FALSE | 0 | 2 | ||
| Patients (n = 21) | |
|---|---|
| Patients demographics | |
| Mean age, years (range) | 41.71 ± 16.04 (25–71) |
| Men | 9 (42.9%) |
| Women | 12 (57.1%) |
| Exposure history | |
| Exposure | 10 (47.6%) |
| Unknown exposure | 11 (52.4%) |
| Current smoking | 3 (14.3%) |
| Family history of cancer | 0 |
| Comorbid conditions | |
| Any | 5 (23.8%) |
| Hypertension | 2 (9.5%) |
| Diabetes | 2 (9.5%) |
| Tuberculosis | 2 (9.5%) |
| Hypothyroidism | 1 (4.8%) |
| Signs and symptoms | |
| Fever | 7 (76%) |
| Cough | 6 (28.6%) |
| Sputum production | 3 (14.3%) |
| Fatigue | 6 (28.6%) |
| Chills | 6 (28%) |
| Muscle soreness | 4 (28%) |
| Sore throat | 3 (14.3%) |
| Headache | 2 (9.5%) |
| Rhinorrhea | 2 (9.5%) |
| Chest tightness | 2 (9.5%) |
| Nausea | 2 (9.5%) |
| Asymptomatic Patients | 5 (23.8%) |
| Patients (n = 21) | |
|---|---|
| Distribution | |
| Periphery distribution | 15 (71.4%) |
| Central distribution | 6 (28.6%) |
| Patterns of the SPN | |
| Burr sign | 16 (76.2%) |
| Lobulated sign | 13 (61.9%) |
| Pleural indentation | 9 (42.9%) |
| Smooth edges | 5 (23.8%) |
| Cavity | 3 (14.3%) |
| Density of the SPN | |
| Pure ground-glass nodule | 13 (61.9%) |
| Mixed ground-glass nodule | 8 (38.1%) |
| Diameter of the SPN | |
| <10 mm | 3 (14.3%) |
| 10 mm–20 mm | 8 (38.1%) |
| >20 mm | 10 (47.6%) |
| AI results | |
| High-risk nodules | 16 (76.2%) |
| Medium-risk nodules | 5 (23.8%) |
| Progression of SPN | |
| No development | 5 (23.8%) |
| Develop to one side of lungs | 4 (19.0%) |
| Develop to both sides of lungs | 9 (42.9%) |
| Develops to all lobes of bilateral lungs | 3 (14.3%) |
Publisher’s Note: MDPI stays neutral with regard to jurisdictional claims in published maps and institutional affiliations. |
© 2022 by the authors. Licensee MDPI, Basel, Switzerland. This article is an open access article distributed under the terms and conditions of the Creative Commons Attribution (CC BY) license (https://creativecommons.org/licenses/by/4.0/).
Share and Cite
Wu, X.-Y.; Ding, F.; Li, K.; Huang, W.-C.; Zhang, Y.; Zhu, J. Analysis of the Causes of Solitary Pulmonary Nodule Misdiagnosed as Lung Cancer by Using Artificial Intelligence: A Retrospective Study at a Single Center. Diagnostics 2022, 12, 2218. https://doi.org/10.3390/diagnostics12092218
Wu X-Y, Ding F, Li K, Huang W-C, Zhang Y, Zhu J. Analysis of the Causes of Solitary Pulmonary Nodule Misdiagnosed as Lung Cancer by Using Artificial Intelligence: A Retrospective Study at a Single Center. Diagnostics. 2022; 12(9):2218. https://doi.org/10.3390/diagnostics12092218
Chicago/Turabian StyleWu, Xiong-Ying, Fan Ding, Kun Li, Wen-Cai Huang, Yong Zhang, and Jian Zhu. 2022. "Analysis of the Causes of Solitary Pulmonary Nodule Misdiagnosed as Lung Cancer by Using Artificial Intelligence: A Retrospective Study at a Single Center" Diagnostics 12, no. 9: 2218. https://doi.org/10.3390/diagnostics12092218
APA StyleWu, X.-Y., Ding, F., Li, K., Huang, W.-C., Zhang, Y., & Zhu, J. (2022). Analysis of the Causes of Solitary Pulmonary Nodule Misdiagnosed as Lung Cancer by Using Artificial Intelligence: A Retrospective Study at a Single Center. Diagnostics, 12(9), 2218. https://doi.org/10.3390/diagnostics12092218

