Bicuspid Aortic Valve in Children and Adolescents: A Comprehensive Review
Abstract
:1. Introduction
2. BAV: Genetic Insights
3. Morphology and Classification
4. Clinical Presentation in Different Paediatric Ages and Natural History
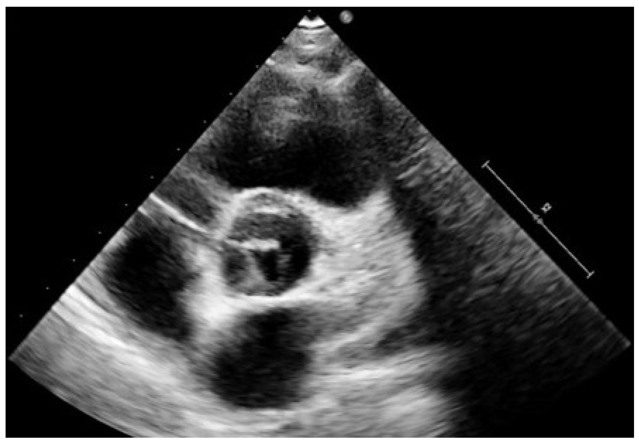
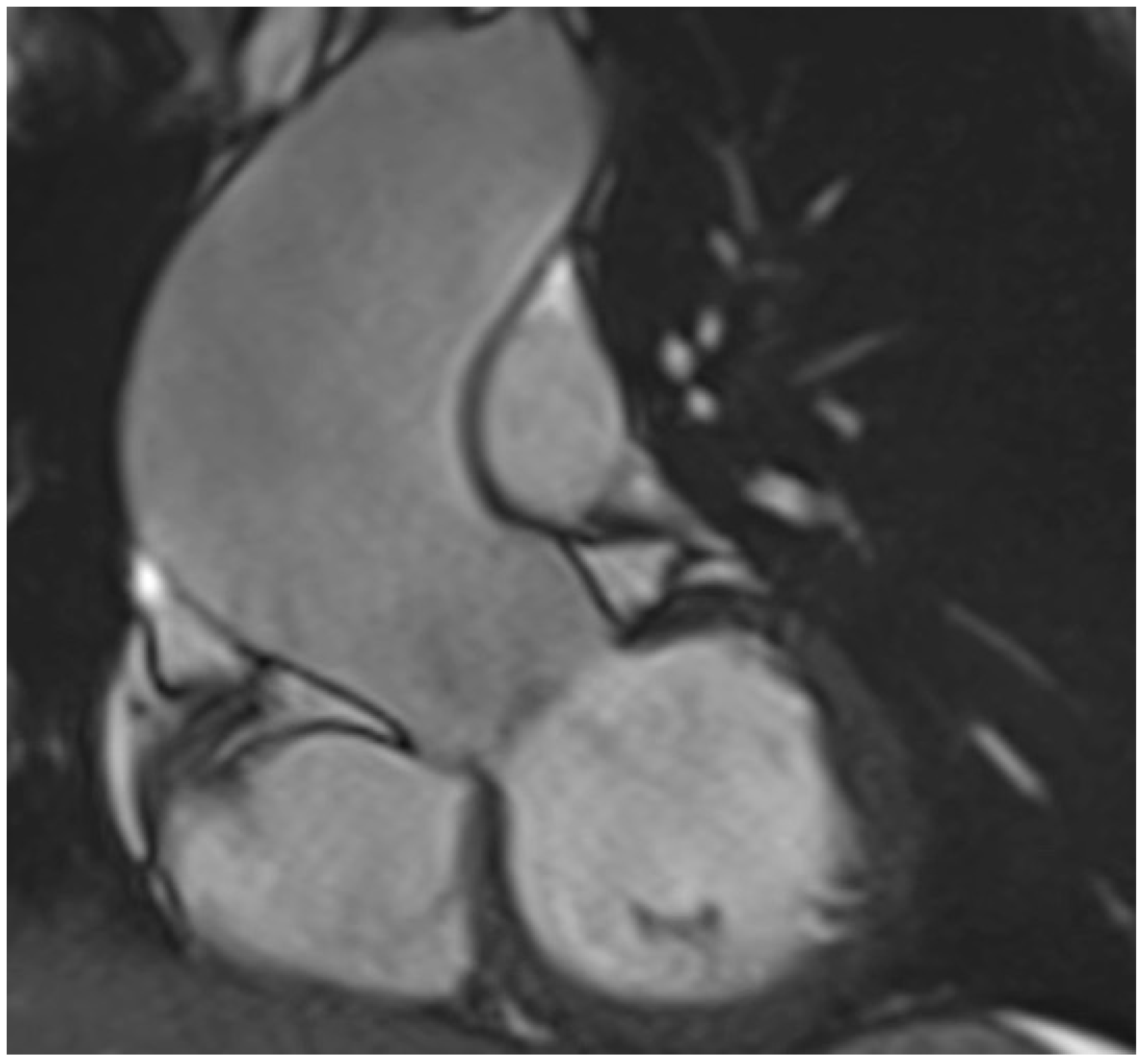
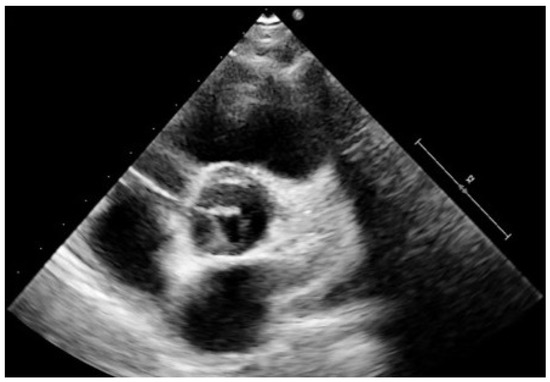
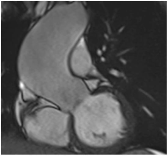
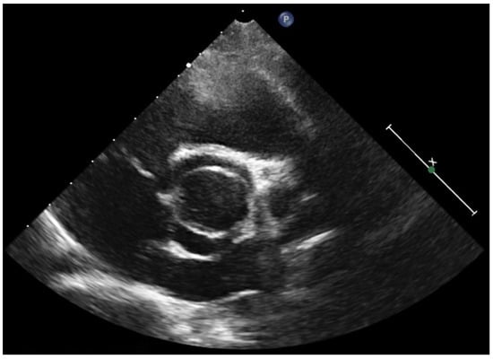
5. Diagnostic Imaging
6. Clinical Issues
6.1. Antibiotic Prophylaxis
6.2. Sport Activity
6.3. Pre-Pregnancy Counselling in Adolescents with BAV
7. Therapy
7.1. Balloon Valvuloplasty
7.2. Surgery
8. Conclusions
Author Contributions
Funding
Conflicts of Interest
References
- Basso, C.; Boschello, M.; Perrone, C.; Mecenero, A.; Cera, A.; Bicego, D.; Thiene, G.; de Dominicis, E. An echocardiographic survey of primary schoolchildren for bicuspid aortic valve. Am. J. Cardiol. 2004, 93, 661–663. [Google Scholar] [CrossRef] [PubMed]
- Steinberger, J.; Moller, J.H.; Berry, J.M.; Sinaiko, A.R. Echocardiographic diagnosis of heart disease in apparently healthy adolescents. Pediatrics 2000, 105, 815–818. [Google Scholar] [CrossRef] [PubMed] [Green Version]
- Nistri, S.; Basso, C.; Marzari, C.; Mormino, P.; Thiene, G. Frequency of bicuspid aortic valve in young male conscripts by echocardiogram. Am. J. Cardiol. 2005, 96, 718–721. [Google Scholar] [CrossRef] [PubMed]
- Niaz, T.; Poterucha, J.T.; Johnson, J.N.; Craviari, C.; Nienaber, T.; Palfreeman, J.; Cetta, F.; Hagler, D.J. Incidence, morphology, and progression of bicuspid aortic valve in pediatric and young adult subjects with coexisting congenital heart defects. Congenit. Heart Dis. 2017, 12, 261–269. [Google Scholar] [CrossRef] [PubMed]
- Donadille, B.; Christin-Maitre, S. Heart and Turner syndrome. Ann. Endocrinol. 2021, 82, 135–140. [Google Scholar] [CrossRef]
- Bravo-Jaimes, K.; Prakash, S.K. Genetics in Bicuspid Aortic Valve Disease: Where are we? Prog. Cardiovasc. Dis. 2020, 63, 398–406. [Google Scholar] [CrossRef]
- Prakash, S.K.; Bossé, Y.; Muehlschlegel, J.D.; Michelena, H.I.; Limongelli, G.; della Corte, A.; Pluchinotta, F.R.; Russo, M.G.; Evangelista, A.; Benson, D.W.; et al. A roadmap to investigate the genetic basis of bicuspid aortic valve and its complications: Insights from the International BAVCon (Bicuspid Aortic Valve Consortium). J. Am. Coll. Cardiol. 2014, 64, 832–839. [Google Scholar] [CrossRef] [Green Version]
- Cripe, L.; Andelfinger, G.; Martin, L.J.; Shooner, K.; Benson, D.W. Bicuspid aortic valve is heritable. J. Am. Coll. Cardiol. 2004, 44, 138–143. [Google Scholar] [CrossRef]
- Tzemos, N.; Therrien, J.; Yip, J.; Thanassoulis, G.; Tremblay, S.; Jamorski, M.T.; Webb, G.D.; Siu, S.C. Outcomes in adults with bicuspid aortic valves. JAMA 2008, 300, 1317–1325. [Google Scholar] [CrossRef] [Green Version]
- Nadorlik, H.; Bowman, J.L.; Fitzgerald-Butt, S.; Mah, M.L.; McBride, K.L.; Kovalchin, J.P.; Garg, V. Abnormal longitudinal growth of the aorta in children with familial bicuspid aortic valve. Pediatr. Cardiol. 2017, 38, 1709–1715. [Google Scholar] [CrossRef]
- Guntheroth, W.G. A critical review of the American College of Cardiology/American Heart Association practice guidelines on bicuspid aortic valve with dilated ascending aorta. Am. J. Cardiol. 2008, 102, 107–110. [Google Scholar] [CrossRef] [PubMed]
- Hiratzka, L.F.; Bakris, G.L.; Beckman, J.A.; Bersin, R.M.; Carr, V.F.; Casey, D.E., Jr.; Eagle, K.A.; Hermann, L.K.; Isselbacher, E.M.; Kazerooni, E.A.; et al. 2010 CF/AHA/AATS/ACR/ASA/SCA/SCAI/SIR/STS/ SVM Guidelines for the diagnosis and management of patients with thoracic aortic disease. A Report of the American College of Cardiology Foundation/American Heart Association Task Force on Practice Guidelines, American Association for Thoracic Surgery, American College of Radiology, American Stroke Association, Society of Cardiovascular Anesthesiologists, Society for Cardiovascular Angiography and Interventions, Society of Interventional Radiology, Society of Thoracic Surgeons, and Society for Vascular Medicine. J. Am. Coll. Cardiol. 2010, 55, e27–e129. [Google Scholar] [PubMed] [Green Version]
- Tessler, I.; Albuisson, J.; Goudot, G.; Carmi, S.; Shpitzen, S.; Messas, E.; Gilon, D.; Durst, R. Bicuspid aortic valve: Genetic and clinical insights. Aorta 2021, 9, 139–146. [Google Scholar] [CrossRef] [PubMed]
- Michelena, H.I.; Della Corte, A.; Evangelista, A.; Maleszewski, J.J.; Enriquez-Sarano, M.; Bax, J.J.; Otto, C.M.; Schäfers, H.-J. Speaking a common language. Introduction to a standard terminology for the bicuspid aortic valve and its aortopathy. Prog. Cardiovasc. Dis. 2020, 63, 419–424. [Google Scholar] [CrossRef] [PubMed]
- Grattan, M.; Prince, A.; Rumman, R.K.; Morgan, C.; Petrovic, M.; Hauck, A.; Young, L.; Franco-Cereceda, A.; Loeys, B.; Mohamed, S.A.; et al. Predictors of bicuspid-aortic valve associated aortopathy in childhood. Circ. Cardiovasc. Imaging 2020, 13, e009717. [Google Scholar] [CrossRef]
- Spaziani, G.; Ballo, P.; Favilli, S.; Fibbi, V.; Buonincontri, L.; Pollini, I.; Zuppiroli, A.; Chiappa, E. Clinical outcome, valve dysfunction, and progressive aortic dilation in a pediatric population with isolated bicuspid aortic valve. Pediatr. Cardiol. 2014, 35, 803–809. [Google Scholar] [CrossRef]
- Fernandes, S.M.; Sanders, S.P.; Khairy, P.; Jenkins, K.J.; Gauvreau, K.; Lang, P.; Simonds, H.; Colan, S.D. Morphology of bicuspid aortic valve in children and adolescents. J. Am. Coll. Cardiol. 2004, 44, 1648–1651. [Google Scholar] [CrossRef] [Green Version]
- Koenraadt, W.M.C.; Bartelings, M.M.; Bökenkamp, R.; Groot, A.C.G.-D.; DeRuiter, M.C.; Schalij, M.J.; Jongbloed, M.R. Coronary anatomy in children with bicuspid aortic valves and associated congenital heart disease. Heart 2018, 104, 385–393. [Google Scholar] [CrossRef]
- Mahle, W.T.; Sutherland, J.L.; Frias, P.A. Outcome of isolated bicuspid aortic valve in childhood. J. Pediatr. 2010, 157, 445–449. [Google Scholar] [CrossRef]
- Yamauchi, M.S.W.; Puchalski, M.D.; Weng, H.T.; Pinto, N.M.; Etheridge, S.P.; Presson, A.P.; Tani, L.Y.; Minich, L.L.; Williams, R.V. Disease progression and variation in clinical practice for isolated bicuspid aortic valve in children. Congenit. Heart Dis. 2018, 13, 432–439. [Google Scholar] [CrossRef]
- Blais, S.; Meloche-Dumas, L.; Fournier, A.; Dallaire, F.; Dahdah, N. Long-term risk factors for dilatation of the proximal aorta in a large cohort of children with bicuspid aortic valve. Circ. Cardiovasc. Imaging 2020, 13, e009675. [Google Scholar] [CrossRef] [PubMed]
- Kent, K.C.; Crenshaw, M.L.; Goh, D.L.; Dietz, H.C. Genotype-phenotype correlation in patients with bicuspid aortic valve and aneurysm. J. Thorac. Cardiovasc. Surg. 2013, 146, 158–165. [Google Scholar] [CrossRef] [PubMed] [Green Version]
- Evangelista, A.; Gallego, P.; Calvo-Iglesias, F.; Bermejo, J.; Robledo-Carmona, J.; Sánchez, V.; Saura, D.; Arnold, R.; Carro, A.; Maldonado, G.; et al. Anatomical and clinical predictors of valve dysfunction and aortic dilation in bicuspid aortic valve disease. Heart 2018, 104, 566–573. [Google Scholar] [CrossRef] [PubMed]
- Pan, J. Unicuspid Aortic Valve: A rare congenital anomaly. Cardiology 2022, 147, 207–215. [Google Scholar] [CrossRef] [PubMed]
- Kolesar, A.; Toporcer, T.; Bajmoczi, M.; Luczy, J.; Candik, P.; Sabol, F. Aortic valve repair of a stenotic unicuspid aortic valve in young patients. Ann. Thorac. Surg. 2018, 105, 1351–1356. [Google Scholar] [CrossRef] [PubMed] [Green Version]
- Gautier, M.; Detaint, D.; Fermanian, C.; Aegerter, P.; Delorme, G.; Arnoult, F.; Milleron, O.; Raoux, F.; Stheneur, C.; Boileau, C.; et al. Nomograms for aortic root diameters in children using two-dimensional echocardiography. Am. J. Cardiol. 2010, 105, 888–894. [Google Scholar] [CrossRef]
- Frasconi, P.; Baracchi, D.; Giusti, B.; Kura, A.; Spaziani, G.; Cherubini, A.; Favilli, S.; Di Lenarda, A.; Pepe, G.; Nistri, S. Two-dimensional aortic size normalcy: A novelty detection approach. Diagnostics 2021, 11, 220. [Google Scholar] [CrossRef]
- Polte, C.L.; Gao, S.A.; Johnsson, A.A.; Lagerstrand, K.M.; Bech-Hanssen, O. Characterization of Chronic Aortic and Mitral Regurgitation Undergoing Valve Surgery Using Cardiovascular Magnetic Resonance. Am. J. Cardiol. 2017, 119, 2061–2068. [Google Scholar] [CrossRef]
- Gao, S.A.; Polte, C.L.; Lagerstrand, K.M.; Bech-Hanssen, O. The usefulness of left ventricular volume and aortic diastolic flow reversal for grading chronic aortic regurgitation severity—Using cardiovascular magnetic resonance as reference. Int. J. Cardiol. 2021, 340, 59–65. [Google Scholar] [CrossRef]
- Kammerlander, A.A.; Wiesinger, M.; Duca, F.; Aschauer, S.; Binder, C.; Tufaro, C.Z.; Nitsche, C.; Badre-Eslam, R.; Schönbauer, R.; Bartko, P.; et al. Diagnostic and Prognostic Utility of Cardiac Magnetic Resonance Imaging in Aortic Regurgitation. JACC Cardiovasc. Imaging 2019, 12, 1474–1483. [Google Scholar] [CrossRef]
- Stefek, H.A.; Berhane, H.; Robinson, J.D.; Reilly, B.; Ruh, A.; Markl, M.; Rigsby, C.K. Comprehensive MR analysis of cardiac function, aortic hemodynamics and left ventricular strain in pediatric cohort with isolated bicuspid aortic valve. Pediatr. Cardiol. 2019, 40, 1450–1459. [Google Scholar] [CrossRef] [PubMed]
- Alashi, A.; Mentias, A.; Abdallah, A.; Feng, K.; Gillinov, A.M.; Rodriguez, L.L.; Johnston, D.R.; Svensson, L.G.; Popovic, Z.; Griffin, B.P.; et al. Incremental prognostic utility of left ventricular global longitudinal strain in asymptomatic patients with significant chronic aortic regurgitation and preserved left ventricular ejection fraction. JACC Cardiovasc. Imaging 2018, 11, 673–682. [Google Scholar] [CrossRef] [PubMed]
- Vollema, E.M.; Sugimoto, T.; Shen, M.; Tastet, L.; Ng, A.; Abou, R.; Marsan, N.A.; Mertens, B.; Dulgheru, R.; Lancellotti, P.; et al. Association of left ventricular global longitudinal strain with asymptomatic severe aortic stenosis. JAMA Cardiol. 2018, 3, 839–847. [Google Scholar] [CrossRef] [PubMed] [Green Version]
- Magne, J.; Cosyns, B.; Popescu, B.A.; Carstensen, H.G.; Dahl, J.; Desai, M.Y.; Kearney, L.; Lancellotti, P.; Marwick, T.H.; Sato, K.; et al. Distribution and prognostic significance of left ventricular global longitudinal strain in asymptomatic significant aortic stenosis. JACC Cardiovasc. Imaging 2018, 12, 84–92. [Google Scholar]
- Godlewski, K.; Dryzek, P.; Sadurska, E.; Werner, B. Left ventricular systolic function impairment in children after balloon valvuloplasty for congenital aortic stenosis assessed by 2D speckle tracking echocardiography. PLoS ONE 2021, 16, e0248862. [Google Scholar] [CrossRef]
- Carlos, T.; Freitas, A.A.; Alves, P.M.; Martins, R.; Gonçalves, L. Aortic strain in bicuspid aortic valve: An analysis. Int. J. Cardiovasc. Imaging 2021, 37, 2399–2408. [Google Scholar] [CrossRef]
- Kong, W.K.F.; Vollema, E.M.; Prevedello, F.; Perry, R.; Ng, A.C.T.; Poh, K.K.; Almeida, A.; González, A.; Shen, M.; Yeo, T.C.; et al. Prognostic implications of left ventricular global longitudinal strain in patients with bicuspid aortic valve disease and preserved left ventricular ejection fraction. Eur. Heart J. Cardiovasc. Imaging 2020, 21, 759–767. [Google Scholar] [CrossRef]
- Zegri-Reiriz, I.; de Alarcón, A.; Muñoz, P.; Sellés, M.M.; Ramallo, V.J.G.; Miro, J.M.; Falces, C.; Rico, C.G.; Urkola, X.K.; Lepe, J.A.; et al. Infective Endocarditis in Patients With Bicuspid Aortic Valve or Mitral Valve Prolapse. J. Am. Coll. Cardiol. 2018, 71, 2731–2740. [Google Scholar] [CrossRef]
- Patel, J.; Kupferman, F.; Rapaport, S.; Kern, J.H. Preprocedure prophylaxis against endocarditis among United States pediatric cardiologists. Pediatr. Cardiol. 2014, 35, 1220–1224. [Google Scholar] [CrossRef]
- Delise, P.; Mos, L.; Sciarra, L.; Basso, C.; Biffi, A.; Cecchi, F.; Colivicchi, F.; Corrado, D.; D’Andrea, A.; Di Cesare, E.; et al. Italian Cardiological Guidelines (COCIS) for Competitive Sport Eligibility in athletes with heart disease: Update 2020. J. Cardiovasc. Med. 2021, 22, 874–891. [Google Scholar] [CrossRef]
- Monda, E.; Fusco, A.; Della Corte, A.; Caiazza, M.; Cirillo, A.; Gragnano, F.; Giugliano, M.P.; Citro, R.; Rubino, M.; Esposito, A.; et al. Impact of regular physical activity on aortic diameter progression in paediatric patients with bicuspid aortic valve. Pediatr. Cardiol. 2021, 42, 1133–1140. [Google Scholar] [CrossRef] [PubMed]
- D’Ascenzi, F.; Valentini, F.; Anselmi, F. Bicuspid aortic valve and sports: From the echocardiographic evaluation to the eligibility for sport competition. Scand. J. Med. Sci. Sports 2021, 31, 510–520. [Google Scholar] [CrossRef] [PubMed]
- Baleilevuka-Hart, M.; Teng, B.J.; Carson, K.A.; Ravekes, W.J.; Holmes, K.W. Sports Participation and Exercise Restriction in Children with Isolated Bicuspid Aortic Valve. Am. J. Cardiol. 2020, 125, 1673–1677. [Google Scholar] [CrossRef]
- Lindley, K.J.; Bairey Merz, C.N.; Asgar, A.W.; Bello, N.A.; Chandra, S.; Davis, M.B.; Gomberg-Maitland, M.; Gulati, M.; Hollier, L.M.; Krieger, E.V.; et al. Management of women with congenital or inherited cardiovascular disease from pre-conception through pregnancy and postpartum. JACC 2021, 77, 1778–1798. [Google Scholar] [CrossRef]
- Regitz-Zagrosek, V.; Blomstrom Lundqvist, C.; Borghi, C.; Cifkova, R.; Ferreira, R.; Foidart, J.-M.; Gibbs, J.S.R.; Gohlke-Baerwolf, C.; Gorenek, B.; Iung, B.; et al. 2018 ESC guidelines on the management of cardiovascular diseases during pregnancy: The Task Force on the Management of Cardiovascular Diseases during Pregnancy of the European Society of Cardiology (ESC). Eur. Heart J. 2018, 32, 3147–3197. [Google Scholar]
- Lababidi, Z. Neonatal transluminal balloon coarctation angioplasty. Am. Heart J. 1983, 106, 752–753. [Google Scholar] [CrossRef]
- Ewert, P.; Bertram, H.; Breuer, J.; Dähnert, I.; Dittrich, S.; Eicken, A.; Emmel, M.; Fischer, G.; Gitter, R.; Gorenflo, M.; et al. Balloon valvuloplasty in the treatment of congenital aortic valve stenosis—A retrospective multicenter survey of more than 1000 patients. Int. J. Cardiol. 2011, 149, 182–185. [Google Scholar] [CrossRef] [PubMed]
- Mozumdar, N.; Burke, E.; Schweizer, M.; Gillespie, M.J.; Dori, Y.; Narayan, H.K.; Rome, J.J.; Glatz, A.C. A Comparison of Anterograde Versus Retrograde Approaches for Neonatal Balloon Aortic Valvuloplasty. Pediatr. Cardiol. 2018, 39, 450–458. [Google Scholar] [CrossRef]
- Boe, B.A.; Zampi, J.D.; Kennedy, K.F.; Jayaram, N.; Porras, D.; Foerster, S.R.; Armstrong, A.K. Acute Success of Balloon Aortic Valvuloplasty in the Current Era: A National Cardiovascular Data Registry Study. J. Am. Coll. Cardiol. Interv. 2017, 10, 1717–1726. [Google Scholar] [CrossRef]
- Balmer, C.; Beghetti, M.; Fasnacht, M.; Friedli, B.; Arbenz, U. Balloon aortic valvuloplasty in paediatric patients: Progressive aortic regurgitation is common. Heart 2004, 90, 77–81. [Google Scholar] [CrossRef]
- Hijazi, Z.M.; Kenny, D. The impact of IMPACT-Contemporary outcomes with balloon aortic valvuloplasty: Are we doing the right thing? J. Am. Coll. Cardiol. Interv. 2017, 10, 1727–1728. [Google Scholar] [CrossRef]
- Maskatia, S.A.; Justino, H.; Ing, F.F.; Crystal, M.A.; Mattamal, R.J.; Petit, C.J. Aortic valve morphology is associated with outcomes following balloon valvuloplasty for congenital aortic stenosis. Catheter. Cardiovasc. Interv. 2013, 81, 90–95. [Google Scholar] [CrossRef] [PubMed]
- Auld, B.; Carrigan, L.; Ward, C.; Justo, R.; Alphonso, N.; Anderson, B. Balloon Aortic Valvuloplasty for Congenital Aortic Stenosis: A 14-Year Single Centre Review. Heart Lung Circ. 2019, 28, 632–636. [Google Scholar] [CrossRef] [PubMed]
- Brown, D.W.; Dipilato, A.E.; Chong, E.C.; Lock, J.E.; McElhinney, D.B. Aortic Valve Reinterventions After Balloon Aortic Valvuloplasty for Congenital Aortic Stenosis. J. Am. Coll. Cardiol. 2010, 56, 1740–1749. [Google Scholar] [CrossRef] [PubMed] [Green Version]
- Fratz, S.; Gildein, H.P.; Balling, G.; Sebening, W.; Genz, T.; Eicken, A.; Hess, J. Aortic Valvuloplasty in Pediatric Patients Substantially Postpones the Need for Aortic Valve Surgery: A Single-Center Experience of 188 Patients After up to 17.5 Years of Follow-Up. Circulation 2008, 117, 1201–1206. [Google Scholar] [CrossRef]
- Brown, J.W.; Rodefeld, M.D.; Ruzmetov, M.; Eltayeb, O.; Yurdakok, O.; Turrentine, M.W. Surgical Valvuloplasty versus Balloon Aortic Dilation for Congenital Aortic Stenosis: Are Evidence-Based Outcomes Relevant? Ann. Thorac. Surg. 2012, 94, 146–155. [Google Scholar] [CrossRef]
- Atik, S.U.; Eroğlu, A.G.; Çinar, B.; Bakar, M.T.; Saltik, İ.L. Comparison of Balloon Dilatation and Surgical Valvuloplasty in Non-critical Congenital Aortic Valvular Stenosis at Long-Term Follow-Up. Pediatr. Cardiol. 2018, 39, 1554–1560. [Google Scholar] [CrossRef]
- Prijic, S.M.; Vukomanovic, V.A.; Stajevic, M.S.; Bjelaković, B.B.; Zdravkovic, M.; Sehic, I.N.; Kosutic, J.L. Balloon Dilation and Surgical Valvotomy Comparison in Non-critical Congenital Aortic Valve Stenosis. Pediatr. Cardiol. 2015, 36, 616–624. [Google Scholar] [CrossRef]
- Ananthakrishna Pillai, A.; Rangaswamy Balasubramanian, V.; Kanshilal Sharma, D. Immediate and Long-Term Follow up Results of Balloon Aortic Valvuloplasty in Congenital Bicuspid Aortic Valve Stenosis Among Young Patients. J. Heart Valve Dis. 2018, 27, 17–23. [Google Scholar]
- Ehrlich, T.; de Kerchove, L.; Vojacek, J.; Boodhwani, M.; El-Hamamsy, I.; De Paulis, R.; Lansac, E.; Bavaria, J.E.; El Khoury, G.; Schäfers, H.-J. State-of-the art bicuspid aortic valve repair in 2020. Prog. Cardiovasc. Dis. 2020, 63, 457–464. [Google Scholar] [CrossRef]
- Della Corte, A.; Body, S.C.; Booher, A.M.; Schaefers, H.-J.; Milewski, R.K.; Michelena, H.I.; Evangelista, A.; Pibarot, P.; Mathieu, P.; Limongelli, G.; et al. Surgical treatment of bicuspid aortic valve disease: Knowledge gaps and research perspectives. J. Thorac. Cardiovasc. Surg. 2014, 147, 1749–1757. [Google Scholar] [CrossRef] [PubMed] [Green Version]
- Schafers, H.J.; Langer, F.; Aicher, D.; Graeter, T.P.; Wendler, O. Remodeling of the aortic root and reconstruction of the bicuspid aortic valve. Ann. Thorac. Surg. 2000, 70, 542–546. [Google Scholar] [CrossRef]
- D’Udekem, Y. Aortic valve repair in pediatrics-time to swing the pendulum back? Ann. Cardiothorac. Surg. 2019, 8, 396–398. [Google Scholar] [CrossRef] [PubMed] [Green Version]
- Siddiqui, J.; Brizard, C.P.; Konstantinov, I.E.; Galati, J.; Wheaton, G.; Cheung, M.; Horton, S.; D’Udekem, Y. Outcomes after Operations for Bicuspid Aortic Valve Disease in the Pediatric Population. Ann. Thorac. Surg. 2013, 96, 2175–2183. [Google Scholar] [CrossRef] [PubMed]
- Ivanov, Y.; Drury, N.E.; Stickley, J.; Botha, P.; Khan, N.E.; Jones, T.J.; Brawn, W.J.; Barron, D.J. Strategies to minimise need for prosthetic aortic valve replacement in congenital aortic stenosis-value of the Ross procedure. Semin. Thorac. Cardiovasc. Surg. 2020, 32, 509–519. [Google Scholar] [CrossRef]
- Danial, P.; Neily, A.; Pontallier, M.; Gaudin, R.; Khraiche, D.; Osborne-Pellegrin, M.; Vouhe, P.; Raisky, O. Ross procedure or complex aortic valve repair using pericardium in children: A real dilemma. J. Thorac. Cardiovasc. Surg. 2022, 163, 1180–1191. [Google Scholar] [CrossRef]
- Zacek, P.; Holubec, T.; Vobornik, M. Quality of life after aortic valve repair is similar to Ross patients and superior to mechanical valve replacement: A cross-sectional study. BMC Cardiovasc. Disord. 2016, 16, 63. [Google Scholar] [CrossRef] [Green Version]
- Aicher, D.; Holz, A.; Feldner, S.; Köllner, V.; Schäfers, H.-J. Quality of life after aortic valve surgery: Replacement versus reconstruction. J. Thorac. Cardiovasc. Surg. 2011, 142, e19–e24. [Google Scholar] [CrossRef] [Green Version]
- Schafers, H.J.; Schmied, W.; Marom, G.; Aicher, D. Cusp height in aortic valves. J. Thorac. Cardiovasc. Surg. 2013, 146, 269–274. [Google Scholar] [CrossRef] [Green Version]
- Schafers, H.J.; Bierbach, B.; Aicher, D. A new approach to the assessment of aortic cusp geometry. J. Thorac. Cardiovasc. Surg. 2006, 132, 436–438. [Google Scholar] [CrossRef] [Green Version]
- Schneider, U.; Schafers, H.-J. Repair of the bicuspid aortic valve. Oper. Tech. Thorac. Cardiovasc. Surg. 2017, 22, 91–109. [Google Scholar] [CrossRef] [Green Version]
- El Khoury, G.; Vanoverschelde, J.L.; Glineur, D.; Pierard, F.; Verhelst, R.R.; Rubay, J.; Funken, J.-C.; Watremez, C.; Astarci, P.; Lacroix, V.; et al. Repair of bicuspid aortic valves in patients with aortic regurgitation. Circulation 2006, 114 (Suppl. 1), I610–I616. [Google Scholar] [CrossRef] [PubMed] [Green Version]
- Kayatta, M.O.; Leshnower, B.G.; McPherson, L.; Binongo, J.N.; Lasanajak, Y.; Chen, E.P. Valve-sparing root replacement provides excellent midterm outcomes for bicuspid valve aortopathy. Ann. Thorac. Surg. 2019, 107, 499–504. [Google Scholar] [CrossRef] [PubMed]
- Lansac, E.; Di Centa, I.; Sleilaty, G.; Lejeune, S.; Berrebi, A.; Zacek, P.; Debauchez, M. Remodeling root repair with an external aortic ring annuloplasty. J. Thorac. Cardiovasc. Surg. 2017, 153, 1033–1042. [Google Scholar] [CrossRef] [Green Version]
- Schneider, U.; Aicher, D.; Miura, Y.; Schäfers, H.-J. Suture annuloplasty in aortic valve repair. Ann. Thorac. Surg. 2016, 101, 783–785. [Google Scholar] [CrossRef] [Green Version]
- Rankin, J.S.; Mazzitelli, D.; Fischlein, T.; Choi, Y.-H.; Pirk, J.; Pfeiffer, S.; Wei, L.M.; Badhwar, V. Geometric ring annuloplasty for aortic valve repair during aortic aneurysm surgery: Two-year clinical trial results. Innovations 2018, 13, 248–253. [Google Scholar] [CrossRef]
- Bonow, R.; Carabello, B.A.; Chatterjee, K.; American College of Cardiology; de Leon, A.C., Jr.; Faxon, D.P.; Freed, M.D.; Gaasch, W.H.; Lytle, B.W.; Nishimura, R.A.; et al. ACC/AHA 2006 guidelines for the management of patients with valvular heart disease: A report of the American College of Cardiology/American Heart Association task force on practice guidelines. J. Am. Coll. Cardiol. 2006, 48, e1–e148. [Google Scholar] [CrossRef] [Green Version]
- Schneider, U.; Hofmann, C.; Schpe, J.; Niewald, A.-K.; Giebels, C.; Karliova, I.; Schäfers, H.-J. Reconstruction of bicuspid aortic valves—Long-term results of a differentiated anatomic repair concept. JAMA Cardiol. 2020, 5, 1366–1373. [Google Scholar] [CrossRef]



Publisher’s Note: MDPI stays neutral with regard to jurisdictional claims in published maps and institutional affiliations. |
© 2022 by the authors. Licensee MDPI, Basel, Switzerland. This article is an open access article distributed under the terms and conditions of the Creative Commons Attribution (CC BY) license (https://creativecommons.org/licenses/by/4.0/).
Share and Cite
Spaziani, G.; Girolami, F.; Arcieri, L.; Calabri, G.B.; Porcedda, G.; Di Filippo, C.; Surace, F.C.; Pozzi, M.; Favilli, S. Bicuspid Aortic Valve in Children and Adolescents: A Comprehensive Review. Diagnostics 2022, 12, 1751. https://doi.org/10.3390/diagnostics12071751
Spaziani G, Girolami F, Arcieri L, Calabri GB, Porcedda G, Di Filippo C, Surace FC, Pozzi M, Favilli S. Bicuspid Aortic Valve in Children and Adolescents: A Comprehensive Review. Diagnostics. 2022; 12(7):1751. https://doi.org/10.3390/diagnostics12071751
Chicago/Turabian StyleSpaziani, Gaia, Francesca Girolami, Luigi Arcieri, Giovanni Battista Calabri, Giulio Porcedda, Chiara Di Filippo, Francesca Chiara Surace, Marco Pozzi, and Silvia Favilli. 2022. "Bicuspid Aortic Valve in Children and Adolescents: A Comprehensive Review" Diagnostics 12, no. 7: 1751. https://doi.org/10.3390/diagnostics12071751
APA StyleSpaziani, G., Girolami, F., Arcieri, L., Calabri, G. B., Porcedda, G., Di Filippo, C., Surace, F. C., Pozzi, M., & Favilli, S. (2022). Bicuspid Aortic Valve in Children and Adolescents: A Comprehensive Review. Diagnostics, 12(7), 1751. https://doi.org/10.3390/diagnostics12071751

