Gastrointestinal Involvement in Dermatomyositis
Abstract
1. Introduction
2. Materials and Methods
3. Results
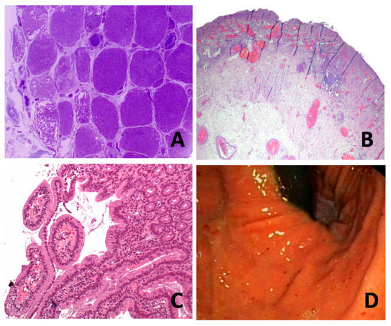
3.1. Case 1
3.2. Case 2
3.3. Case 3
4. Discussion
5. Conclusions
Supplementary Materials
Author Contributions
Funding
Institutional Review Board Statement
Informed Consent Statement
Data Availability Statement
Conflicts of Interest
Abbreviations
References
- Dalakas, M.C.; Hohlfeld, R. Polymyositis and dermatomyositis. Lancet 2003, 362, 971–982. [Google Scholar] [CrossRef]
- Bohan, A.; Peter, J.B. Polymyositis and Dermatomyositis. N. Engl. J. Med. 1975, 292, 344–347. [Google Scholar] [CrossRef] [PubMed]
- Lin, W.Y.; Wang, S.J.; Hwang, D.W.; Lan, J.L.; Yeh, S.H. Technetium-99m-pyrophosphate scintigraphic findings of intestinal perforation in dermatomyositis. J. Nucl. Med. 1995, 36, 1615–1617. [Google Scholar] [PubMed]
- Ebert, E.C. Review article: The gastrointestinal complications of myositis. Aliment. Pharmacol. Ther. 2010, 31, 359–365. [Google Scholar] [CrossRef] [PubMed]
- Laskin, B.L.; Choyke, P.; Keenan, G.F.; Miller, F.W.; Rider, L.G. Novel gastrointestinal tract manifestations in juvenile dermatomyositis. J. Pediatr. 1999, 135, 371–374. [Google Scholar] [CrossRef]
- Wang, I.J.; Hsu, W.M.; Shun, C.T.; Chiang, B.L.; Ni, Y.H. Juvenile dermatomyositis complicated with vasculitis and duodenal perforation. J. Formos. Med. Assoc. 2001, 100, 844–848. [Google Scholar] [PubMed]
- Morita, Y.; Sakuta, T.; Nagasu, H.; Kuwabara, A.; Tokuoka, Y.; Teshigawara, S.; Horike, H.; Kashihara, N. Bilateral ureteral stenosis and duodenal perforation in a patient with dermatomyositis. Mod. Rheumatol. 2007, 17, 54–56. [Google Scholar] [CrossRef]
- Tweezer-Zaks, N.; Ben-Hofrin, S.; Schiby, G.; Bank, I.; Levi, Y.; Livneh, A.; Langevitz, P. Severe gastrointestinal inflammation in adult dermatomyositis: Characterization of a novel clinical association. Am. J. Med. Sci. 2006, 332, 308–313. [Google Scholar] [CrossRef]
- Mamyrova, G.; Kleiner, D.E.; James-Newton, L.; Shaham, B.; Miller, F.W.; Rider, L.G. Late-onset gastrointestinal pain in juvenile dermatomyositis as a manifestation of ischemic ulceration from chronic endarteropathy. Arthritis Care Res. 2007, 57, 881–884. [Google Scholar] [CrossRef]
- Xu, Y.; Ma, X.; Zhou, Z.; Li, J.; Hou, J.; Zhu, J.; Kang, M.; Lai, J.; Li, X. Gastrointestinal perforation in anti-NXP2 antibody-associated juvenile dermatomyositis: Case reports and a review of the literature. Pediatr. Rheumatol. J. 2021, 19, 2. [Google Scholar] [CrossRef]
- Dalakas, M.C. Pathogenesis and therapies of immune-mediated myopathies. Autoimmun. Rev. 2012, 11, 203–206. [Google Scholar] [CrossRef] [PubMed]
- Selva-O’Callaghan, A.; Martínez-Costa, X.; Solans-Laque, R.; Mauri, M.; Capdevila, J.A.; Vilardell-Tarrés, M. Refractory adult dermatomyositis with pneumatosis cystoides intestinalis treated with infliximab. Rheumatology 2004, 43, 1196–1197. [Google Scholar] [CrossRef] [PubMed]
- Lowry, C.A.; Pilkington, C.A. Juvenile dermatomyositis: Extramuscular manifestations and their management. Curr. Opin. Rheumatol. 2009, 21, 575–580. [Google Scholar] [CrossRef] [PubMed]
- Cojocaru, M.; Cojocaru, I.M.; Silosi, I.; Vrabie, C.D. Gastrointestinal manifestations in systemic autoimmune diseases. Maedica 2011, 6, 45–51. [Google Scholar] [PubMed]
- Swenson, W.; Witkowski, L.; Roskelley, R. Total colectomy for dermatomyositis. Am. J. Surg. 1968, 115, 405–407. [Google Scholar] [CrossRef]
- Oliveros, M.A.; Herbst, J.J.; Lester, P.D.; Ziter, F.A. Pneumatosis intestinalis in childhood dermatomyositis. Pediatrics 1973, 52, 711–712. [Google Scholar] [CrossRef]
- Fischer, T.J.; Cipel, L.; Stiehm, E.R. Pneumatosis Intestinalis Associated With Fatal Childhood Dermatomyositis. Pediatrics 1978, 61, 127–130. [Google Scholar] [CrossRef]
- Magill, H.L.; Hixson, S.D.; Whitington, G.; Igarashi, M.; Hannissian, A. Duodenal perforation in childhood dermatomyositis. Pediatr. Radiol. 1984, 14, 28–30. [Google Scholar] [CrossRef]
- Schullinger, J.N.; Jacobs, J.C.; Berdon, W.E. Diagnosis and management of gastrointestinal perforations in childhood dermatomyositis with particular reference to perforations of the duodenum. J. Pediatr. Surg. 1985, 20, 521–524. [Google Scholar] [CrossRef]
- Downey, E.C., Jr.; Woolley, M.M.; Hanson, V. Required surgical therapy in the pediatric patient with dermatomyositis. Arch. Surg. 1988, 123, 1117–1120. [Google Scholar] [CrossRef]
- Wakamatsu, M.; Inada, K.-I.; Tsutsumi, Y. Mixed connective tissue disease complicated by pneumatosis cystoides intestinalis and malabsorption syndrome: Case report and literature review. Pathol. Int. 1995, 45, 875–878. [Google Scholar] [CrossRef] [PubMed]
- Dougenis, D.; Papathanasopoulos, P.; Paschalis, C.; Papapetropoulos, T. Spontaneous esophageal rupture in adult dermatomyositis. Eur. J. Cardio-Thorac. Surg. 1996, 10, 1021–1023. [Google Scholar] [CrossRef]
- Stefanski, J.C.; Shetty, A.K. Abdominal pain in a girl with juvenile dermatomyositis. Clin. Pediatr. 1998, 37, 561–563. [Google Scholar] [CrossRef] [PubMed]
- Takeda, T.; Fujisaku, A.; Jodo, S.; Koike, T.; Ishizu, A. Fatal vascular occlusion in juvenile dermatomyositis. Ann. Rheum. Dis. 1998, 57, 172–173. [Google Scholar] [CrossRef]
- Eshraghi, N.; Farahmand, M.; Maerz, L.L.; Campbell, S.M.; DeVeney, C.W.; Sheppard, B.C. Adult-onset dermatomyositis with severe gastrointestinal manifestations: Case report and review of the literature. Surgery 1998, 123, 356–358. [Google Scholar] [CrossRef]
- Morris-Stiff, G.J.; Williams, R.J.L.L. Pneumatosis cystoides intestinalis in a patient with dermatomyositis. J. R. Soc. Med. 1999, 92, 366–367. [Google Scholar] [CrossRef]
- Marie, I.; Levesque, H.; Cailleux, N.; Courtois, H.; Guédon, C. Intravenous immunoglobulin for treatment of gastro-intestinal haemorrhage in dermatomyositis. Ann. Rheum. Dis. 2001, 60, 723–724. [Google Scholar] [CrossRef]
- Nosho, K.; Hatakeyama, K.; Hamamoto, Y.; Goto, A.; Yamamoto, H.; Yoshida, Y.; Arimura, Y.; Endo, T.; Hinoda, Y.; Imai, K. A case of pneumatosis cystoides intestinalis with dermatomyositis in which EUS was useful for the diagnosis. Int. J. Color. Dis. 2004, 20, 473–474. [Google Scholar] [CrossRef]
- Chen, G.-Y.; Liu, M.-F.; Lee, J.Y.-Y.; Chen, W. Combination of massive mucinosis, dermatomyositis, pyoderma gangrenosum-like ulcer, bullae and fatal intestinal vasculopathy in a young female. Eur. J. Dermatol. 2005, 15, 396–400. [Google Scholar]
- Al-Haddad, M.; Raimondo, M. Upper Gastrointestinal Bleed from Esophageal Diverticula in a Patient with Dermatomyositis. Am. J. Dig. Dis. 2006, 52, 137–139. [Google Scholar] [CrossRef] [PubMed]
- Saito, M.; Tanikawa, A.; Nakasute, K.; Tanaka, M.; Nishikawa, T. Additive contribution of multiple factors in the development of pneumatosis intestinalis: A case report and review of the literature. Clin. Rheumatol. 2006, 26, 601–603. [Google Scholar] [CrossRef] [PubMed]
- Sbidian, E.; Pruvost, C.; Zagdanski, A.-M.; Dubertret, L.; Flageul, B. Pneumatose kystique intestinale compliquant une dermatomyosite paranéoplasique. Ann. Dermatol. Vénéréologie 2008, 135, 668–671. [Google Scholar] [CrossRef]
- Xiao, T.; Xu, H.-H.; Wu, J.; He, C.-D.; Chen, H.-D. Case of pneumatosis cystoides intestinalis in adult dermatomyositis. J. Dermatol. 2007, 35, 49–51. [Google Scholar] [CrossRef] [PubMed]
- Berard, R.; Chédeville, G.; Saint-Martin, C.; Scuccimarri, R. Benign Pneumatosis Intestinalis in a Patient with Juvenile Dermatomyositis. J. Rheumatol. 2010, 37, 2442–2444. [Google Scholar] [CrossRef][Green Version]
- Sagara, A.; Kitagawa, K.; Furuichi, K.; Kitajima, S.; Toyama, T.; Okumura, T.; Hara, A.; Sakai, Y.; Kaneko, S.; Wada, T. Three cases of pneumatosis intestinalis presenting in autoimmune diseases. Mod Rheumatol. 2012, 22, 610–615. [Google Scholar] [CrossRef]
- Lioger, B.; Diot, E. Pneumatosis cystoides intestinalis in dermatomyositis. QJM Int. J. Med. 2011, 105, 801–802. [Google Scholar] [CrossRef][Green Version]
- Zarbalian, Y.; Von Rosenvinge, E.C.; Twadell, W.; Mikdashi, J. Recurrent pneumatosis intestinalis in a patient with dermatomyositis. BMJ Case Rep. 2013, 2013. [Google Scholar] [CrossRef]
- Singh, S.; Suri, D.; Aulakh, R.; Gupta, A.; Rawat, A.; Kumar, R.M. Mortality in children with juvenile dermatomyositis: Two decades of experience from a single tertiary care centre in North India. Clin. Rheumatol. 2014, 33, 1675–1679. [Google Scholar] [CrossRef]
- Burgin, S.; Stone, J.H.; Shenoy-Bhangle, A.S.; McGuone, D. Case records of the Massachusetts General Hospital. Case 18-2014. A 32-Year-old man with a rash, myalgia, and weakness. N. Engl. J. Med. 2014, 370, 2327–2337. [Google Scholar] [CrossRef]
- Mestre-Torres, J.; Landolfi, S.; Selva-O’Callaghan, A. Gastrointestinal endarteropathy in adult dermatomyositis. Jt. Bone Spine 2016, 83, 353–354. [Google Scholar] [CrossRef] [PubMed]
- Kibbi, N.; Bekui, A.; Buckley, L.M. Colonic vasculopathy and perforation in the initial presentation of adult dermatomyositis in a patient with improving muscle weakness. BMJ Case Rep. 2016, 2016. [Google Scholar] [CrossRef] [PubMed]
- Ju, T.R.; Lee, C.C.; Lin, Y.-C. Aortoesophageal Fistula Causing Massive Gastrointestinal Bleeding and Death in a Patient with Dermatomyositis: A Case Report. Am. J. Case Rep. 2018, 19, 1025–1029. [Google Scholar] [CrossRef] [PubMed]
- Lee, D.; Jeong, W.S.; Hyun, C.L.; Kim, J. Jejunal perforation complicating dermatomyositis. Int. J. Surg. Case Rep. 2019, 65, 245–248. [Google Scholar] [CrossRef]
- Day, W.; Gabriel, C.; Kelly, R.E.; Magro, C.M.; Williams, J.V.; Werner, A.; Gifford, L.; Lapsia, S.P.; Aguiar, C.L. Juvenile dermatomyositis resembling late-stage Degos disease with gastrointestinal perforations successfully treated with combination of cyclophosphamide and rituximab: Case-based review. Rheumatol. Int. 2020, 40, 1883–1890. [Google Scholar] [CrossRef]



| Age-Gender | DM Muscle Biopsy | Treatment | Outcome | Time to Perforation | GI Symptoms | Muscular/Skin Activity | Affected Areas | Endoscopic Appearance | Pathological Anatomy | Response to Treatment | |
|---|---|---|---|---|---|---|---|---|---|---|---|
| 1 | 10-F | + | PDN, CYC, cloroquine, IVIG | Death | 1 week | Abdominal pain, dysphagia, GI bleeding | +/+ | Oesophagus, stomach, duodenum | Erosions, oesophageal ulcers, inflamed mucosa | Vascular changes consistent with vasculitis | Partial |
| 2 | 68-F | + | PDN + IVIG | Death | 4 week | Diarrhoea, abdominal pain, GI bleeding | +/- | Oesophagus, stomach, ileocecal valve | Erosions, oesophageal ulcers, inflamed mucosa with active bleeding | Oesophagus with moderate wall inner muscular atrophy with fibrosis and oedema | - |
| 3 | 46-F | + | PDN + AZA + IVIG | Death | 3 week | Abdominal pain, GI bleeding | +/+ | Stomach, duodenum | Erosions, oesophageal inflamed mucosa, ulcers and petechiae | Fibrosis without atrophy and marked ectasia | + |
Publisher’s Note: MDPI stays neutral with regard to jurisdictional claims in published maps and institutional affiliations. |
© 2022 by the authors. Licensee MDPI, Basel, Switzerland. This article is an open access article distributed under the terms and conditions of the Creative Commons Attribution (CC BY) license (https://creativecommons.org/licenses/by/4.0/).
Share and Cite
Matas-Garcia, A.; Milisenda, J.C.; Espinosa, G.; Cuatrecasas, M.; Selva-O’Callaghan, A.; Grau, J.M.; Prieto-González, S. Gastrointestinal Involvement in Dermatomyositis. Diagnostics 2022, 12, 1200. https://doi.org/10.3390/diagnostics12051200
Matas-Garcia A, Milisenda JC, Espinosa G, Cuatrecasas M, Selva-O’Callaghan A, Grau JM, Prieto-González S. Gastrointestinal Involvement in Dermatomyositis. Diagnostics. 2022; 12(5):1200. https://doi.org/10.3390/diagnostics12051200
Chicago/Turabian StyleMatas-Garcia, Ana, José C. Milisenda, Gerard Espinosa, Míriam Cuatrecasas, Albert Selva-O’Callaghan, Josep María Grau, and Sergio Prieto-González. 2022. "Gastrointestinal Involvement in Dermatomyositis" Diagnostics 12, no. 5: 1200. https://doi.org/10.3390/diagnostics12051200
APA StyleMatas-Garcia, A., Milisenda, J. C., Espinosa, G., Cuatrecasas, M., Selva-O’Callaghan, A., Grau, J. M., & Prieto-González, S. (2022). Gastrointestinal Involvement in Dermatomyositis. Diagnostics, 12(5), 1200. https://doi.org/10.3390/diagnostics12051200

