Clinical and Imaging Features of COVID-19-Associated Pulmonary Aspergillosis
Abstract
1. Introduction
2. Materials and Methods
2.1. Imaging and Image Evaluation
2.2. Evaluation of Clinical Features
2.3. Statistics
3. Results
3.1. Baseline Characteristics
3.2. Comparison of Lung Involvement
3.3. Comparison of Main Pattern
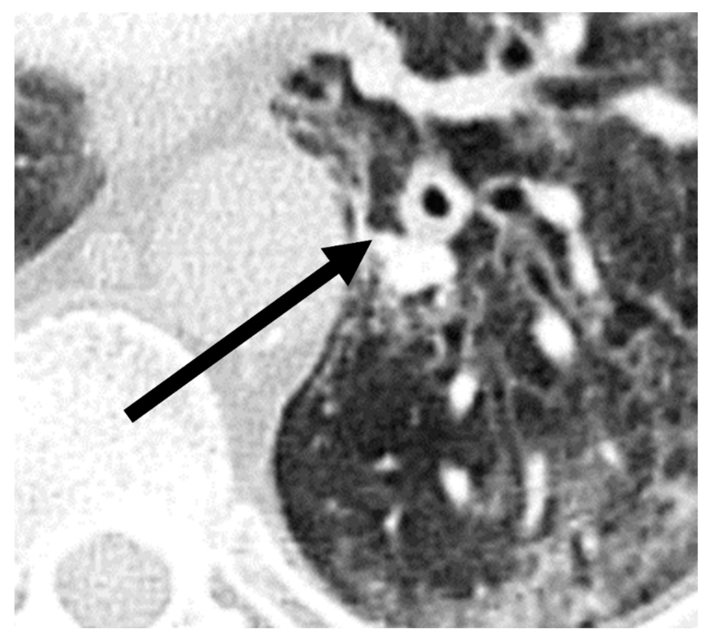
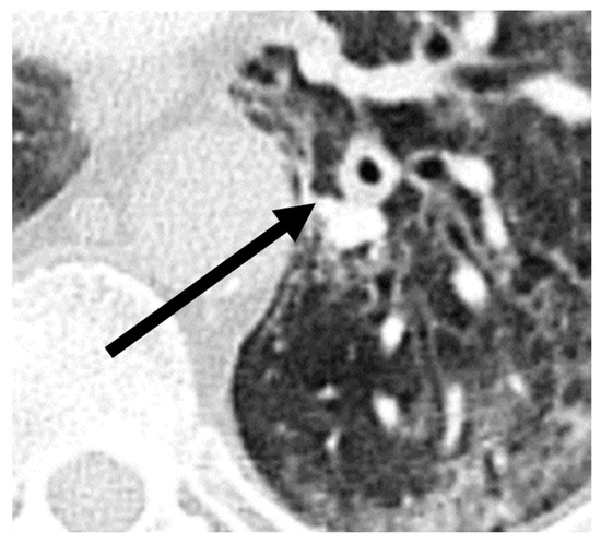
3.3.1. Consolidation
3.3.2. Crazy Paving
3.3.3. Ground Glass Opacity
3.4. Comparison of Additional Findings
3.5. Comparison Clinical Features
3.6. Bacterial Superinfection as a Potential Confounder in CAPA Imaging Features
4. Discussion
5. Conclusions
Supplementary Materials
Author Contributions
Funding
Institutional Review Board Statement
Informed Consent Statement
Data Availability Statement
Conflicts of Interest
References
- Lauring, A.S.; Hodcroft, E.B. Genetic variants of SARS-CoV-2—What do they mean? JAMA 2021, 325, 529–531. [Google Scholar] [CrossRef] [PubMed]
- Lamers, M.M.; Haagmans, B.L. SARS-CoV-2 Pathogenesis. Nat. Rev. Microbiol. 2022, 20, 270–284. [Google Scholar] [CrossRef] [PubMed]
- Pelosi, P.; Tonelli, R.; Torregiani, C.; Baratella, E.; Confalonieri, M.; Battaglini, D.; Marchioni, A.; Confalonieri, P.; Clini, E.; Salton, F.; et al. Different methods to improve the monitoring of noninvasive respiratory support of patients with severe pneumonia/ARDS due to COVID-19: An update. J. Clin. Med. 2022, 11, 1704. [Google Scholar] [CrossRef] [PubMed]
- Spychalski, P.; Błażyńska-Spychalska, A.; Kobiela, J. Estimating case fatality rates of COVID-19. Lancet Infect. Dis. 2020, 20, 774–775. [Google Scholar] [CrossRef]
- Asadi, F.; Shahnazari, R.; Bhalla, N.; Payam, A.F. Clinical evaluation of SARS-CoV-2 lung HRCT and RT-PCR techniques: Towards risk factor based diagnosis of infectious diseases. Comput. Struct. Biotechnol. J. 2021, 19, 2699–2707. [Google Scholar] [CrossRef]
- Kwee, T.C.; Kwee, R.M. Chest CT in COVID-19: What the radiologist needs to know. Radiographics 2020, 40, 1848–1865. [Google Scholar] [CrossRef]
- Wang, Y.; Dong, C.; Hu, Y.; Li, C.; Ren, Q.; Zhang, X.; Shi, H.; Zhou, M. Temporal changes of CT findings in 90 patients with COVID-19 pneumonia: A longitudinal study. Radiology 2020, 296, 55–64. [Google Scholar] [CrossRef]
- Pan, F.; Ye, T.; Sun, P.; Gui, S.; Liang, B.; Li, L.; Zheng, D.; Wang, J.; Hesketh, R.L.; Yang, L.; et al. Time course of lung changes at chest CT during recovery from coronavirus disease 2019 (COVID-19). Radiology 2020, 295, 715–721. [Google Scholar] [CrossRef]
- RECOVERY Collaborative Group; Horby, P.; Lim, W.S.; Emberson, J.R.; Mafham, M.; Bell, J.L.; Linsell, L.; Staplin, N.; Brightling, C.; Ustianowski, A. Dexamethasone in hospitalized patients with COVID-19. N. Engl. J. Med. 2021, 384, 693–704. [Google Scholar] [CrossRef]
- Koehler, P.; Bassetti, M.; Chakrabarti, A.; Chen, S.C.A.; Colombo, A.L.; Hoenigl, M.; Klimko, N.; Lass-Flörl, C.; Oladele, R.O.; Vinh, D.C.; et al. Defining and managing COVID-19-Associated Pulmonary Aspergillosis: The 2020 ECMM/ISHAM consensus criteria for research and clinical guidance. Lancet Infect. Dis. 2020, 21, e149–e162. [Google Scholar] [CrossRef]
- Chong, W.-H.; Neu, K.P. Incidence, diagnosis and outcomes of COVID-19-Associated Pulmonary Aspergillosis (CAPA): A systematic review. J. Hosp. Infect. 2021, 113, 115–129. [Google Scholar] [CrossRef] [PubMed]
- Machado, M.; Valerio, M.; Álvarez-Uría, A.; Olmedo, M.; Veintimilla, C.; Padilla, B.; de la Villa, S.; Guinea, J.; Escribano, P.; Ruiz-Serrano, M.J.; et al. Invasive Pulmonary Aspergillosis in the COVID-19 Era: An expected new entity. Mycoses 2021, 64, 132–143. [Google Scholar] [CrossRef] [PubMed]
- Dupont, D.; Menotti, J.; Turc, J.; Miossec, C.; Wallet, F.; Richard, J.-C.; Argaud, L.; Paulus, S.; Wallon, M.; Ader, F.; et al. Pulmonary Aspergillosis in critically Ill patients with coronavirus disease 2019 (COVID-19). Med. Mycol. 2021, 59, 110–114. [Google Scholar] [CrossRef] [PubMed]
- Bartoletti, M.; Pascale, R.; Cricca, M.; Rinaldi, M.; Maccaro, A.; Bussini, L.; Fornaro, G.; Tonetti, T.; Pizzilli, G.; Francalanci, E.; et al. Epidemiology of Invasive Pulmonary Aspergillosis among intubated patients with COVID-19: A prospective study. Clin. Infect. Dis. 2020, 73, e3606–e3614. [Google Scholar] [CrossRef]
- Salmanton-García, J.; Sprute, R.; Stemler, J.; Bartoletti, M.; Dupont, D.; Valerio, M.; Garcia-Vidal, C.; Falces-Romero, I.; Machado, M.; de la Villa, S.; et al. COVID-19-Associated Pulmonary Aspergillosis, March-August 2020. Emerg. Infect. Dis. 2021, 27, 1077–1086. [Google Scholar] [CrossRef]
- Lamoth, F.; Lewis, R.E.; Walsh, T.J.; Kontoyiannis, D.P. Navigating the uncertainties of COVID-19 Associated Aspergillosis (CAPA): A comparison with Influenza Associated Aspergillosis (IAPA). J. Infect. Dis. 2021, 224, 1631–1640. [Google Scholar] [CrossRef]
- Dewi, I.M.; Janssen, N.A.; Rosati, D.; Bruno, M.; Netea, M.G.; Brüggemann, R.J.; Verweij, P.E.; van de Veerdonk, F.L. Invasive Pulmonary Aspergillosis associated with viral pneumonitis. Curr. Opin. Microbiol. 2021, 62, 21–27. [Google Scholar] [CrossRef]
- White, P.L.; Dhillon, R.; Cordey, A.; Hughes, H.; Faggian, F.; Soni, S.; Pandey, M.; Whitaker, H.; May, A.; Morgan, M.; et al. A national strategy to diagnose COVID-19 associated invasive fungal disease in the ICU. Clin. Infect. Dis. 2020, 73, e1634–e1644. [Google Scholar] [CrossRef]
- Schein, F.; Munoz-Pons, H.; Mahinc, C.; Grange, R.; Cathébras, P.; Flori, P. Fatal aspergillosis complicating severe SARS-CoV-2 infection: A case report. J. De Mycol. Méd. 2020, 30, 101039. [Google Scholar] [CrossRef]
- Imoto, W.; Himura, H.; Matsuo, K.; Kawata, S.; Kiritoshi, A.; Deguchi, R.; Miyashita, M.; Kaga, S.; Noda, T.; Yamamoto, K.; et al. COVID-19-Associated Pulmonary Aspergillosis in a Japanese man: A case report. J. Infect. Chemother. 2021, 27, 911–914. [Google Scholar] [CrossRef]
- Nasri, E.; Shoaei, P.; Vakili, B.; Mirhendi, H.; Sadeghi, S.; Hajiahmadi, S.; Sadeghi, A.; Vaezi, A.; Badali, H.; Fakhim, H. Fatal Invasive Pulmonary Aspergillosis in COVID-19 patient with acute myeloid leukemia in Iran. Mycopathologia 2020, 185, 1077–1084. [Google Scholar] [CrossRef] [PubMed]
- Salehi, M.; Khajavirad, N.; Seifi, A.; Salahshour, F.; Jahanbin, B.; Kazemizadeh, H.; Hashemi, S.J.; Manshadi, S.A.D.; Kord, M.; Verweij, P.E.; et al. Proven aspergillus flavus Pulmonary Aspergillosis in a COVID-19 patient: A case report and review of the literature. Mycoses 2021, 64, 809–816. [Google Scholar] [CrossRef] [PubMed]
- Wang, J.; Yang, Q.; Zhang, P.; Sheng, J.; Zhou, J.; Qu, T. Clinical characteristics of Invasive Pulmonary Aspergillosis in patients with COVID-19 in Zhejiang, China: A retrospective case series. Crit. Care 2020, 24, 299. [Google Scholar] [CrossRef] [PubMed]
- Baratella, E.; Roman-Pognuz, E.; Zerbato, V.; Minelli, P.; Cavallaro, M.F.M.; Cova, M.A.; Luzzati, R.; Lucangelo, U.; Sanson, G.; Friso, F.; et al. Potential links between COVID-19-Associated Pulmonary Aspergillosis and bronchiectasis as detected by high resolution computed tomography. Front. Biosci. 2021, 26, 1607–1612. [Google Scholar] [CrossRef]
- Li, K.; Fang, Y.; Li, W.; Pan, C.; Qin, P.; Zhong, Y.; Liu, X.; Huang, M.; Liao, Y.; Li, S. CT image visual quantitative evaluation and clinical classification of coronavirus disease (COVID-19). Eur. Radiol. 2020, 30, 4407–4416. [Google Scholar] [CrossRef]
- Yamada, Y.; Yamada, M.; Yokoyama, Y.; Tanabe, A.; Matsuoka, S.; Niijima, Y.; Narita, K.; Nakahara, T.; Murata, M.; Fukunaga, K.; et al. Differences in lung and lobe volumes between supine and standing positions scanned with conventional and newly developed 320-Detector-Row upright CT: Intra-Individual comparison. Respiration 2020, 99, 598–605. [Google Scholar] [CrossRef]
- Yang, H.; Lan, Y.; Yao, X.; Lin, S.; Xie, B. The chest CT features of coronavirus disease 2019 (COVID-19) in China: A meta-analysis of 19 retrospective studies. Virol. J. 2020, 17, 159. [Google Scholar] [CrossRef]
- Matsuoka, S.; Uchiyama, K.; Shima, H.; Ueno, N.; Oish, S.; Nojiri, Y. Bronchoarterial ratio and bronchial wall thickness on high-resolution CT in asymptomatic subjects: Correlation with age and smoking. AJR Am. J. Roentgenol. 2003, 180, 513–518. [Google Scholar] [CrossRef]
- Elicker, B.; Webb, W. Fundamentals of High-Resolution Lung CT: Common Findings, Common Patterns, Common Diseases, and Differential Diagnosis, 1st ed.; Lippincott Williams & Wilkins: Philadelphia, PA, USA, 2013; Volume 67. [Google Scholar]
- Franquet, T.; Müller, N.; Giménez, P.; Guembe, P.; de La Torre, P.; Bagué, S. Spectrum of Pulmonary Aspergillosis: Histologic, clinical, and radiologic findings. Radiographics 2001, 21, 825–837. [Google Scholar] [CrossRef]
- Drury, A.; Allan, R.; Underhill, H.; Ball, S.; Joseph, A. Calcification in invasive tracheal aspergillosis demonstrated on ultrasound: A new finding. Br. J. Radiol. 2001, 74, 955–958. [Google Scholar] [CrossRef]
- Ohta, H.; Yamazaki, S.; Miura, Y.; Kanazawa, M.; Sakai, F.; Nagata, M. Invasive tracheobronchial aspergillosis progressing from bronchial to diffuse lung parenchymal lesions. Respirol. Case Rep. 2016, 4, 32–34. [Google Scholar] [CrossRef] [PubMed][Green Version]
- Ye, Z.; Zhang, Y.; Wang, Y.; Huang, Z.; Song, B. Chest CT manifestations of new coronavirus disease 2019 (COVID-19): A pictorial review. Eur. Radiol. 2020, 30, 4381–4389. [Google Scholar] [CrossRef] [PubMed]
- R Core Team R: The R Project for Statistical Computing. Available online: https://www.r-project.org/ (accessed on 11 May 2021).
- Pinheiro, J.; Bated, D.; DebRoy, S.; Sarkar, D. R Core Team Linear and Nonlinear Mixed Effects Models [R Package Nlme Version 3.1-152]. Available online: https://CRAN.R-project.org/package=nlme (accessed on 11 May 2021).
- Bates, D.; Mächler, M.; Bolker, B.; Walker, S. Fitting linear mixed-effects models using Lme4. J. Stat. Softw. 2015, 67, 1–48. [Google Scholar] [CrossRef]
- Yoshida, K.; Bartel, A. Create “Table 1” to Describe Baseline Characteristics with or without Propensity Score Weights [R Package Tableone Version 0.12.0]. Available online: https://CRAN.R-project.org/package=tableone (accessed on 11 May 2021).
- Lüdecke, D. Ggeffects: Tidy data frames of marginal effects from regression models. J. Open Source Softw. 2018, 3, 772. [Google Scholar] [CrossRef]
- Wickham, H.; Grolemund, G. R for Data Science: Import, Tidy, Transform, Visualize, and Model Data; O’Reilly Media Inc.: Sebastopol, CA, USA, 2016; ISBN 978-1-4919-1034-4. [Google Scholar]
- Koo, T.K.; Li, M.Y. A guideline of selecting and reporting intraclass correlation coefficients for reliability research. J. Chiropr. Med. 2016, 15, 155–163. [Google Scholar] [CrossRef]
- Landis, J.R.; Koch, G.G. The measurement of observer agreement for categorical data. Biometrics 1977, 33, 159–174. [Google Scholar] [CrossRef]
- Garcia, P.D.W.; Fumeaux, T.; Guerci, P.; Heuberger, D.M.; Montomoli, J.; Roche-Campo, F.; Schuepbach, R.A.; Hilty, M.P. RISC-19-ICU investigators prognostic factors associated with mortality risk and disease progression in 639 critically Ill patients with COVID-19 in Europe: Initial report of the international RISC-19-ICU prospective observational cohort. EClinicalMedicine 2020, 25, 100449. [Google Scholar] [CrossRef]
- Gu, J.; Yang, L.; Li, T.; Liu, Y.; Zhang, J.; Ning, K.; Su, D. Temporal relationship between serial RT-PCR results and serial chest CT imaging, and serial CT changes in coronavirus 2019 (COVID-19) pneumonia: A descriptive study of 155 cases in China. Eur. Radiol. 2021, 31, 1175–1184. [Google Scholar] [CrossRef]
- Nasir, N.; Farooqi, J.; Mahmood, S.F.; Jabeen, K. COVID-19-Associated Pulmonary Aspergillosis (CAPA) in patients admitted with severe COVID-19 pneumonia: An observational study from Pakistan. Mycoses 2020, 63, 766–770. [Google Scholar] [CrossRef]




| Overall (n = 65) | COVID-19 (n = 52) | CAPA * (n = 13) | p-Value | |
|---|---|---|---|---|
| Mean age in years (±SD) | 64.8 (±9.5) | 63.5 (±9.5) | 70.3 (±7.8) | 0.01 |
| Gender | 0.07 | |||
| male | 74% (48/65) | 79% (41/52) | 54% (7/13) | |
| female | 26% (17/65) | 21% (11/52) | 46% (6/13) |
| Variable | COVID-19 | CAPA * | p-Value | Cohen’s Kappa/ICC |
|---|---|---|---|---|
| Subpleural linear opacity | 25.0% (13/52) | 30.8% (4/13) | 0.73 | 0.97 |
| Septal thickening | 65.4% (34/52) | 61.5% (8/13) | 1.00 | 0.90 |
| Subpleural reticulation | 17.3% (9/52) | 23.1% (3/13) | 0.69 | 0.77 |
| Air bronchogram | 63.5% (33/52) | 69.2% (9/13) | 0.76 | 0.83 |
| Pleural thickening | 9.6% (5/52) | 15.4% (2/13) | 0.62 | 1 |
| Halo sign | 13.5% (7/52) | 0% (0/13) | 0.33 | 0.83 |
| Reverse halo sign | 0% (0/52) | 0% (0/13) | NA | NA |
| Bronchiectasis | 19.2% (10/52) | 38.5% (5/13) | 0.16 | 0.92 |
| Bronchial wall thickening | 26.9% (14/52) | 61.5% (8/13) | 0.03 | 0.89 |
| Tree in bud | 5.8% (3/52) | 0% (0/13) | 1.000 | 1 |
| Cavitating lung lesions | 11.5% (6/52) | 23.1% (3/13) | 0.37 | 0.96 |
| Pulmonary nodules | 3.8% (2/52) | 7.7% (1/13) | 0.49 | 0.56 |
| Vascular enlargement | 19.2% (10/52) | 30.8% (4/13) | 0.45 | 0.66 |
| Trachea abnormal a | 7.7% (4/52) | 7.7% 1/13 | 1.00 | 0.66 |
| Emphysema | 7.7% (4/52) | 0% (0/13) | 0.58 | 0.34 |
| Pleural effusion (median [IQR]) | 0.0 [0.0, 8.1] | 4.5 [0.0, 16.7] | 0.40 | 0.98 |
| Lymphadenopathy (median [IQR]) | 7.9 [7.0, 9.8] | 7.8 [7.1, 10.7] | 0.69 | 0.83 |
| Pericardial effusion (median [IQR]) | 0.0 [0.0, 0.5] | 0.2 [0.0, 0.5] | 0.31 | 0.93 |
| Pre-Existing Condition | COVID-19 | CAPA * | p-Value |
|---|---|---|---|
| COPD | 5.8% (3/52) | 15.4% (2/13) | 0.26 |
| Asthma | 3.8% (2/52) | 0% (0/13) | 1.00 |
| Other pulmonary disease a | 17.3% (9/52) | 0% (0/13) | 0.19 |
| Neoplasm | 5.8% (3/52) | 7.7% (1/13 | 1.00 |
| Hematologic disease | 3.8% (2/52) | 7.7% (1/13 | 0.49 |
| Diabetes | 38.5% (20/52) | 30.8% (4/13) | 0.75 |
| Hypertension | 42.3% (22/52) | 61.5% (8/13) | 0.23 |
| Cardiovascular disease | 26.9% (14/52) | 46.2% (6/13) | 0.20 |
| Cerebrovascular disease | 7.7% (4/52) | 30.8% (4/13) | 0.44 |
| Autoimmune disease | 0% (0/52) | 0% (0/13) | - |
| Prior medication | |||
| Prior use of steroids | 7.7% (4/52) | 6.2% (1/13) | 1.0 |
| Prior use of immunosuppressive drugs | 3.8% (2/52) | 7.7% (1/13) | 0.49 |
| Treatment during COVID-19 disease | |||
| Use of steroids | 98.1% (51/52) | 100% (13/13) | 1.00 |
| Use of immunomodulating drugs | 0% (0/52) | 15.4% (2/13) | 0.04 |
| Antiviral treatment | 13.5% (7/52) | 7.7% (1/13) | 1.00 |
| Complicating factors during COVID-19 disease | |||
| Bacterial superinfection (proven or suspected) b | 51.9% (27/52) | 76.9% (10/13) | 0.13 |
| Renal failure | 11.5% (6/52) | 0% (0/13) | 0.34 |
Publisher’s Note: MDPI stays neutral with regard to jurisdictional claims in published maps and institutional affiliations. |
© 2022 by the authors. Licensee MDPI, Basel, Switzerland. This article is an open access article distributed under the terms and conditions of the Creative Commons Attribution (CC BY) license (https://creativecommons.org/licenses/by/4.0/).
Share and Cite
Fischer, T.; El Baz, Y.; Graf, N.; Wildermuth, S.; Leschka, S.; Kleger, G.-R.; Pietsch, U.; Frischknecht, M.; Scanferla, G.; Strahm, C.; et al. Clinical and Imaging Features of COVID-19-Associated Pulmonary Aspergillosis. Diagnostics 2022, 12, 1201. https://doi.org/10.3390/diagnostics12051201
Fischer T, El Baz Y, Graf N, Wildermuth S, Leschka S, Kleger G-R, Pietsch U, Frischknecht M, Scanferla G, Strahm C, et al. Clinical and Imaging Features of COVID-19-Associated Pulmonary Aspergillosis. Diagnostics. 2022; 12(5):1201. https://doi.org/10.3390/diagnostics12051201
Chicago/Turabian StyleFischer, Tim, Yassir El Baz, Nicole Graf, Simon Wildermuth, Sebastian Leschka, Gian-Reto Kleger, Urs Pietsch, Manuel Frischknecht, Giulia Scanferla, Carol Strahm, and et al. 2022. "Clinical and Imaging Features of COVID-19-Associated Pulmonary Aspergillosis" Diagnostics 12, no. 5: 1201. https://doi.org/10.3390/diagnostics12051201
APA StyleFischer, T., El Baz, Y., Graf, N., Wildermuth, S., Leschka, S., Kleger, G.-R., Pietsch, U., Frischknecht, M., Scanferla, G., Strahm, C., Wälti, S., Dietrich, T. J., & Albrich, W. C. (2022). Clinical and Imaging Features of COVID-19-Associated Pulmonary Aspergillosis. Diagnostics, 12(5), 1201. https://doi.org/10.3390/diagnostics12051201

