Next Article in Journal
Multi-Classification of Breast Cancer Lesions in Histopathological Images Using DEEP_Pachi: Multiple Self-Attention Head
Next Article in Special Issue
Imaging Features of Post Main Hepatectomy Complications: The Radiologist Challenging
Previous Article in Journal
Endometriosis Associated-miRNome Analysis of Blood Samples: A Prospective Study
Previous Article in Special Issue
Combined Hepatocellular-Cholangiocarcinoma: What the Multidisciplinary Team Should Know
 
 
Font Type:
Arial Georgia Verdana
Font Size:
Aa Aa Aa
Line Spacing:
Column Width:
Background:
Review

Complications after Thermal Ablation of Hepatocellular Carcinoma and Liver Metastases: Imaging Findings

1
Department of Medicine and Health Sciences V. Tiberio, University of Molise, 86100 Campobasso, Italy
2
Department of Medicine, Surgery and Dentistry, University of Salerno, 84084 Fisciano, Italy
3
Division of Radiology, Università degli Studi della Campania Luigi Vanvitelli, 80138 Naples, Italy
4
Division of Radiology, Università degli Studi di Napoli Federico II, 80138 Naples, Italy
5
Division of Radiodiagnostic, Azienda Ospedaliero-Universitaria Careggi, 50134 Firenze, Italy
6
Italian Society of Medical and Interventional Radiology (SIRM), SIRM Foundation, Via della Signora 2, 20122 Milan, Italy
7
Radiology Division, Istituto Nazionale Tumori—IRCCS—Fondazione G. Pascale, Napoli, Italia, Via Mariano Semmola, 80131 Naples, Italy
8
Department of Diagnostic Imaging, Area of Cardiovascular and Interventional Imaging, Abruzzo Health Unit 1, 67100 L’Aquila, Italy
9
Department of Applied Clinical Sciences and Biotechnology, University of L‘Aquila, 67100 L‘Aquila, Italy
10
Departement of Radiological Sciences, Università Politecnica Delle Marche, University Hospital, Via Tronto 10, 60126 Ancona, Italy
11
Medical Oncology Division, Igea SpA, 80013 Naples, Italy
*
Author to whom correspondence should be addressed.
Diagnostics 2022, 12(5), 1151; https://doi.org/10.3390/diagnostics12051151
Submission received: 17 April 2022 / Revised: 26 April 2022 / Accepted: 3 May 2022 / Published: 5 May 2022
(This article belongs to the Special Issue Advancements on Diagnostic and Management of Liver Disease)

Abstract

:
Tumour ablation is a strategy of treatment of hepatic tumours in patients with small hepatocellular carcinoma (HCC) (<3 cm) or in patients unfit for surgical resection. Moreover, tumor ablation can be used as an adjuvant therapy or may be used in association with resection in case of patients with poor functional liver disease. These types of treatment usually could be performed percutaneously under image guidance. The most clinically verified and used ablation modalities are Radiofrequency Ablation (RFA) and microwave ablation (MWA). However, despite both of them are considered minimally invasive techniques, they could be related to post-procedural complications. The International Working Group on Image-Guided Tumor and the Society of Interventional Radiology (SIR) identified major and minor post-ablative complications. Major complications, as vascular complications, occur in 2.2% to 3.1% of cases and include all the high risk pathological conditions which could increase the level of care or result in hospital admission or substantially prolonged hospital stay (SIR classifications C–E). Minor complications, as biliary complications, occur in 5% to 8.9% and include self-limiting conditions that are considered to be of low risk for the patient’s outcome. The purpose of this review is to summarise the main pathological ultrasound (US) and Computed Tomography (CT) findings, that may arise after ablative treatment. To simplify the analysis, the pathological pictures are divided according to the site of damage into vascular, biliary and extrahepatic complications.

1. Introduction

Ablation therapy is a widely used treatment strategy in liver diseases. The main indication guidelines are hepatocellular carcinoma (HCC) and metastatic lesions, in patients with small HCC (<3 cm) or ineligible for surgical resection [1,2,3,4]. In addition, tumour ablation can be applied as adjuvant therapy after surgery or in combination with tumour resection in patients with an impaired liver function [5]. The most clinically verified ablation treatments are Radiofrequency ablation (RFA) and microwave ablation (MWA), both of them apply thermal energy to heat tissues to at last of 60 °C for maximum efficacy [6]. Although the technical features of these percutaneous procedures are similar, they differ for physical phenomenon on the basis of heat generation [5]. Specifically, RFA causes cellular death thanks to thermocoagulation necrosis, while MWA used a dielectric heating [7]. The MWA has some advantages over RFA, such as greater volume of cellular necrosis (about 5 cm of target compared to 3 cm), procedure time reduction (about to 20 min) and higher temperatures delivered to the malignant tissue (according to manufacture utilized) [5,7]. Even more important, MWA shows less susceptibility to variation in the morphology of the ablated zone because of heat-sink effects from adjacent vasculature [5,7]. The main feature that should be considered during the indication of percutaneous treatments is the possibility to ablate all viable tumour tissue and achieve an adequate tumour-free margin [5,8,9,10,11]. As regards the treatment of HCC, ablative procedures are recommended when a maximum of three lesions have to be treated (specifically a single lesion smaller than 5 cm or as many as three nodules smaller than 3 cm) [5], while in the treatment of colorectal cancer metastases the number of lesions is not strictly a contraindicating factor [12,13,14,15]. Although ablation procedures are considered safe in most cases, several complications related to mechanical or thermal damage may be observed at follow-up examination. Hence radiologists have not only to assess tumour response, but should become familiar with the main radiological features that occur after the procedure [16,17,18]. The International Working Group on Image-Guided Tumour and the Society of Interventional Radiology (SIR) identified major and minor post-ablative complications [19,20]. Major complications occur in 2.2 to 3.1% of cases and include all the high risk pathological conditions which could increase the level of care or result in hospital admission or substantially prolonged hospital stay (SIR classifications C–E) [19,20]. Minor complications occur in 5% to 8.9% and include self-limiting conditions that are considered to be of low risk for the patient’s outcome [19,20]. Complications are also distinguished according to the time of insurgence into immediate (6–24 h after the procedure), periprocedural (within 30 days) and late injuries (after 30 days) [19,20]. Different imaging techniques could be applied in post-procedural follow-up [21,22], but Computed Tomography (CT) is definitely the gold standard method. The spatial resolution and the possibility to perform multiplanar reconstructions (MPR) make CT ideal for an extensive analysis of the resection margin [23,24,25,26,27,28]. In addition, fast thoraco-abdominal scans enable to an early detection of possible complications, allowing an assessment of their extent and severity. On the other hand, CT is burdened by radiation exposure. Considering that short-term post ablative surveillance is performed at close intervals, Ultrasound (US) even with contrast medium injection can be considered as an excellent alternative [29,30,31,32,33,34,35,36,37]. In the last few decades, contrast-enhanced ultrasound (CEUS) has assumed an increasingly recognised role not only in guiding ablative procedures but also in identifying possible complications, especially haemorrhagic ones [20,38]. The purpose of this review was to summarise the main pathological US and CT findings, that may arise after ablative treatment. To simplify the analysis, the pathological pictures were divided into vascular, biliary, infectious and extrahepatic complications.

2. Vascular Complications

2.1. Bleeding

Intraperitoneal bleeding is the most frequent major complication (Figure 1), that can be immediate/periprocedural/late injury, occurring in 0.1–0.4% [5].
Usually, the direct mechanical injury, rather than thermal damage, is the cause of blood spillage.
The cirrhotic patients are considered on high-risk, due to the underlying coagulopathy caused by hepatic hypofunction.
When large-calibre electrodes (17–14 gauge) are used during the procedure, it is appropriate to set a biochemical coagulation panel, with the possibility of postponing the treatment in case of altered values [39].
The use of multiple electrodes and treating lesions located next to large vessels increase the likelihood of bleeding occurring.
To avoid this adverse event, operators should leave a large margin of healthy parenchyma in the route of the electrodes, being careful not to cross vessels which could therefore be damaged.
Continuous monitoring the procedure with Colour Doppler US, may lead to find a source of bleeding through observation of a localized swirling or turbulent flow [40].
CEUS appears to be more sensitive in identifying a haemorrhagic spillage, overcoming respiratory motion artefacts, which may affect Colour Doppler performance.
Specifically, applying a high-powered flash during a continuous acquisition, the examiner could disrupt the contrast microbubbles within the volume and temporarily reset perfusion. In this way, a continuous extravasation of contrast medium due to ongoing haemorrhage could be intercepted [41].
Also, CEUS seems also to be capable to classify more severe patients, who need immediate surgery [42].
Indeed, in patients with suspected abdominal haemorrhage two main US patterns could be observed: an oval hyperechogenic blush associated with minor blood extravasation and a high-flow fountain-like contrast spillage due to a potentially lethal hemorrhage [42].
Although US demonstrates good diagnostic accuracy, in emergency setting [43,44,45,46,47,48,49], a periprocedural haemorrhage should then be investigated also through a multiphasic CT study [50,51].
On unenhanced scan haemorrhage is recognisable as a highly attenuated fluid collection surrounding the liver parenchyma or in peritoneal space.
During the arterial phase, active bleeding is visible as a clear overflow of iodinated contrast agent, which could assume a jet-like appearance, evocative of arterial high-flow bleeding.
Within 24 h after the procedure, the blood could organise into a hematoma. On basal CT scan hematoma appears as a biconvex or growing intraparenchymal area with a suprafluid density value (between 50 and 60 HU), usually superficial at the entry point of the electrode.
Suspected hypoechoic/hypodense areas detected on baseline US and CT scan could be diagnosed as hematomas after contrast injection, showing microcirculation alterations within the collection in absence of contrast enhancement [52].

2.2. Vascular Thromboses

Besides bleeding, hepatic vessels thrombosis is another frequent vascular complication that usually could occur few hours after the procedure. According to the vessel involved it can be a major or minor complication.
The vascular damage caused by the heat-sink effect depends on the calibre of the vessel and the blood flow rate. Thus, it tends to affect vessels of reduced calibre, with a slowed down flow due to occlusions for former treatment or pre-existing thrombosis [53].
Other risk factors to consider are a central location of the tumour, veins compression and mechanical direct damage induced by the electrodes placement.
On US images a portal or hepatic vein thrombus appears as a circumscribed, intraluminal hyperechogenic spot in absence of inner flow signs on Color Doppler US.
On contrast enhanced (CE)-CT study, a portal intraluminal filling defect may be best depict on arterial phase, frequently accompanied by a segmental enhancement of the adjacent liver parenchyma, paradoxally of increased attenuation due to a compensatory augmentation of local arterial flow [54].
On the other hand, a thrombosis of the hepatic veins is best recognised in the portal or equilibrium phase, often associated with a parenchymal wedge area of reduced enhancement driven by vascular congestion [55].
In this last circumstance, pervious portal branches could be distinguished at the margins of the wedge area, allowing a certain differentiation between portal ischemia and hepatic venous congestion [40].
Extensive portal thrombosis may lead to parenchymal infarction, recognisable as a triangular-shaped portion of unenhanced liver parenchyma during arterial phase on CECT and CEUS examination [56].
The infarcted area spreads over the hepatic surface, in the context of which portal segments with air attenuation are often visible.
The lesion may extend on an entire lobe, causing liver failure. However, in most cases the infarction is symptomless and tends to dissolve over time, only applying antibiotic therapy [52].

2.3. Pseudoaneurysm

During the arterial phase of a CECT study, the radiologist should pay attention to the possible presence of a small, well-circumscribed hyperdense nodule within the ablated area. This finding could suggest a small pseudoanerismatic sac, due to iatrogenic damage of a branch of the hepatic artery.
On US examination, pseudoaneurysm could be seen as an anechogenic zone similar to a cyst formation.
Hence, the diagnosis could be easily achieved using Colour Doppler imaging, through the characteristic yin-yang sign due to the turbulent flow within the lesion [57].
Pseudo-aneurysms, its self a minor complication, should be monitored over time, given the possible rupture with an inauspicious outcome, becoming a major complication. The evidence of progressive diameter growth in subsequent follow-ups, may determine the need of an interventional procedure (i.e., embolization) [58].

3. Biliary Complications

3.1. Ductal Stenosis and Biloma

Biliary ducts thermal injuries or stenosis (Figure 2) are common post-ablative minor complications, particularly involving peripheral branches which are more susceptible to heat-induced damage. The incidence reported vary from 0% to 10.5%, according to the employed technology and lesions type [5], although, probably, the asymptomatic cases have not been reported.
If the operator overcomes the heat sink effect of large-calibre vessels adjacent to a central mass, also a damage to the main bile ducts may be determined. Therefore, the ratio of injury risk and therapeutic benefit has to be estimated for each patient.
In cases that are more complicated a combination therapy with transarterial chemoembolization or percutaneous ethanol injection should be considered [39].
Biliary stenosis could evolve over months and does not require specific treatment as it tends to be subclinical, especially peripheral ones.
However, biliary ducts necrosis due to the pre-stenotic dilatation may lead to the leakage of bile, collecting in intrahepatic (Figure 3) or extrahepatic biloma.
US imaging identifies an oval or round cyst formation, which could show a simple fluid content or a mixed collection of cellular debris and blood clots. A heavily multiloculated structure are usually associated with infected bilomas.
In most cases of CT examinations is required to allow a conclusive diagnosis [59].
Usually, on CECT a biloma appears as a hypodense fluid collection (<20 HU) often with a fibrotic capsule, formed thought the mild bile-induced inflammation process of the adjacent liver parenchyma.
In addition to the classic findings, a characteristic CT mural nodule in cyst pattern of mixed content bilomas could be appreciated after an ablative procedure.
The mural nodule represents residuals necrotic tumor debris with a higher density than the surrounding bile, lacking of enhancement after contrast medium injection [60].
Biloma formation occurs in a small percentage of cases after ablative procedures. Chang et al. in a study on HCC observed the development of bilomas in 3.3% of all sessions of RFA and only one of the 109 examined collections required drainage as it was overinfected [61] or for biliry leak (Figure 4).
However, catheter drainage and antibiotics should be promptly employed once biloma is diagnosed to avoid uncontrolled spread of the infection, reducing rates of morbidity and mortality.

3.2. Hemobilia

Ablation procedures could be an iatrogenic cause of blood extravasation into the bile ducts, with an incidence of 0.25% as reported by Rhim et al. [39].
Goto et al. [62] found an increased hemobilia occurrence in the case of RFA ablations conducted on caudate lobe in the deeper portions of the liver, due to a risk of damaging both vessels and bile ducts during the procedure [62].
The detection of clots, especially small ones, inside bile ducts on US examination could be difficult due to their loss of ecogenicity and shape, leaning against the ductal walls [63].
The US contrast medium injection could play an important role in this situation.
In fact, Francica et al. [64] found different pathological signs at CEUS, surely related to active or inactive status of the hemobilia. Examiners found, within the lumen of the gallbladder, contrast microbubbles in active blood spillage and hyperechogenic material referable to blood clots with no enhancement in a hemobilia that spontaneously stopped [64].
The presence of scattered hyperdensities within bile ducts are signs of haemobilia at basal CT scan.
Moreover, the enhancement of the ductal walls after contrast injection may indicate a cholangitic process triggered by the continuous haemorrhagic stimulus on the ductal walls [65].
Clinically patients could manifest jaundice, melena and abdominal pain and treatment could range from supportive medical care to interventional radiologic or surgical intervention depending on the severity of the process.

3.3. Cholecystitis

In treating masses adjacent to the cholecystic fossa, complications such as cholecystitis may occur (Figure 5).
Nevertheless, the most frequent pathological change observed after an ablation procedure is transient wall thickening of the gallbladder and acute symptomatic inflammation or perforation are considered rare events.
This is probably due to protective effect of the lumen fluid component against thermal damage, which prevent the occurrence of potentially more serious injuries [66].
Regardless the gravity of the process, the imaging findings are easily recognisable to an expert eye.
Parietal thickening associated with pericholecystic fat stranding should lead to the suspicion of an acute cholecystitis, which may be further complicated by peritoneal infection.
Moreover, the creation of a fistula between a vessel and the intrahepatic bile ducts, or thermal necrosis of the bile ducts, could lead to a haemocolecyst.
In this case, both CT and US may detect echogenic/homogeneously material forming a pseudomass, within the lumen of the gallbladder [67].
Simple fluid collections may be drained percutaneously, while in case of a complicated inflammation, a laparoscopically cholecystectomy may be required [68].

4. Infectious Complications

Abscess

Bacterial colonization of the ablated area could lead to an abscess formation [69,70,71,72,73,74,75,76,77], which is considered a major complication occurring in 0.3–2% of all procedures [58].
The main risk factors are the presence of a biliary-enteric anastomosis with a possible ascending pathogen progression, an external drainage, an incompetent Oddi sphincter, diabetes and retention of iodized oil from previous tumor arterial chemoembolization [78,79].
The symptoms (fever, malaise, chill, pain at the treatment site, nausea, and vomiting) could simulate a postablation syndrome, a condition that occurs 1 to 3 days after treatment with spontaneous resolution in 1–2 weeks.
However, in case of an abscess, fever tends to be of higher grade and symptoms appear several days after the procedure [52].
Imaging is certainly very supportive and an abscess could be easily recognised with both US examination and CT scan.
On US, lesion appearance depends on size and content, usually ranging from a well- or poorly defined hypoechogenic nodule to a large inhomogeneous mass with septa and cellular debris, in absence of central perfusion on Color doppler examination [80].
On CEUS abscesses appear as inhomogeneous enhancing lesions with a persistently hypoechoic core, a rim of dense opacification and thin vessels along the septa and walls [81].
On CT examination, the typical imaging feature is a central hypodense core of fluid material surrounded by a hyperdense rim and a hypodense outer ring as a double target appearance.
The inner rim shows an early and persistent enhancement and represents the wall of the collection, while the outer rim corresponds to the area of edematous liver parenchyma that only enhances on delayed phase [82].
Pleomorphic airborne microbubbles are usually visible within the lesion, which may help in the definitive diagnosis. Nevertheless, it should be noted that the presence of small amount of air in the ablated area is a physiological finding in 63% of cases, which persists for up to one month after surgery [83].
Percutaneous abscess drainage should be considered in patients with a decline in physical condition and a worsening of laboratory parameters [84].
Prophylactic antibiotic therapy is a matter of debate, and only few centres agree to adopt this strategy to prevent the formation of infected collections.

5. Extrahepatic Complications

Gastro Intestinal Tract Injuries

The gastrontestinal tract (GIT) injuries are mostly periprocedural complications that may deeply affect patients’ prognosis.
Wall damage may occur in procedure performed on a lesion close to a bowel loop or in the presence of fibrotic adhesions from previous treatments with an altered anatomy.
The incidence of bowel perforation after RF ablation has been reported between 0.1–0.3% [40].
The colon, in particular the hepatic flexure, is more susceptible to perforation due to its poor mobility and reduced wall thickness.
In contrast, the thick gastric wall and small bowel peristaltic movements appear to be protective factors against iatrogenic insults [78].
Although rare, a direct injury could potentially occur in any site adjacent to the treated liver area, so radiologists should promptly recognise its early imaging signs.
In cases of suspected perforation CECT should be performed.
Jeong et al. observed in a group of 52 patients receiving ablative treatments, that wall thickening >1.65 cm and concentric bowel wall thickening with mucosal disruption were main CT signs of a serious bowel damage, requiring urgent surgical treatment [85].
In addition, the presence of extraluminal air around a bowel tract and abdominal free fluid are other CT findings, which may suggest a perforation.
To prevent wall injuries, artificial ascites could be a valuable strategy, allowing a detachment of the liver parenchyma from hepatic flexure.
While, for lesions located in left hepatic segments, a mechanically displace of the stomach using a multi-needle technique or a simple and practical ingestion of cold water could be solutions to prevent gastric walls injury [86].

6. Thoracic Complications

Thoracic complications may range from a right pleural effusion considered a paraphysiological sequela to severe pleural or diaphragmatic injuries [87] (Figure 6).
The risk of pleural damage increases during the treatment of masses located on the hepatic dome, choosing an intercostal approach.
If the patient complains dyspnea and breathing difficulties, it is appropriate to perform a chest X-ray, eventually followed by a CT scan.
A pneumo or haemothorax due to damage of diaphragmatic vessels may be easily detected and subsequently monitored or eventually treated.
Thermal diaphragmatic damage is another rare thoracic complication of liver ablation [88].
Although generally it’s a self-limiting condition, clinicians should be aware of this adverse event, which could be associated to bowel herniation and subsequent perforation.

7. Tumor Seeding

Recent large series studies reported the incidence of tumor seeding around 0.2–0.9% [40].
Post-procedural CT could successfully intercept a iatrogenic dissemination of disease.
On CT, tumour nests appear as enhancing, irregular soft tissue nodules along the ablation track similar to that of the primary tumor, not to be confused with accessory splenic nuclei or peritoneal plenosis.
The risk of malignant dissemination increases with the number of electrode repositioning, the treatment of superficial or subcapsular tumor and obviously with a poor tumor differentiation and aggressive tumor histology [89].
An adequate heating of the ablation track is essential to prevent secondary tumor diffusion, which is the most feared long-term complication.

8. Fistulae

The imaging findings of an abscess and pneumobilia should always give rise to the suspicion of a fistula formation.
Depending on the location of the tumour, various ablation-related fistulous pathways may form.
In treating lesions on hepatic dome, damaging of the biliary duct and pleura may result in a biliary-pleural fistula. The risk is higher when lesions are located within segments VII and VIII [88].
Despite pleural involvement, Thiemann et al. also reported the possible development of a hepato-pericardial fistula leading to pericardial empyema after RFA procedure on metastatic hepatic lesions [90].
In all these circumstances, CT is the imaging method of choice, enabling to detect the direct passage of contrast medium agent through the fistulous path.
As previously reported [5], the operator’s experience and manual dexterity are essential prerequisites for avoiding this major complication, which can potentially require extensive surgery [5].
Furthermore, it is essential to carefully select the patients who could undergo to an ablation procedure, always bearing in mind the risks and complications which may follow [91].
Hence, during the preoperative setting it should be also considered electroporation-based treatments, i.e., electrochemotherapy (ECT) and irreversible electroporation (IRE) [92,93,94,95,96,97,98,99,100], especially in the treatment of large central tumors near to the main bile ducts or major vessels [101,102,103].

9. Conclusions

The knowledge of post ablation complications radiological findings can be helpful to detect immediately the main complications that can arise after an ablative procedure, allowing the possibility of early and specific treatment. CT with multiphase contrast study remains the tool to choose in emergency setting, while CEUS is the diagnostic tool that could be used during treatment and as a surveillance tool. MRI with hepatospecific contrast could be used in selected cases (as biliary leak).

Funding

This research received no external funding.

Acknowledgments

The authors are grateful to Alessandra Trocino, librarian at the National Cancer Institute of Naples, Italy.

Conflicts of Interest

The authors have no conflict of interest to be disclosed. The authors confirm that the article is not under consideration for publication elsewhere. Each author has participated sufficiently in any submission to take public responsibility for its content.

References

  1. Granata, V.; Grassi, R.; Fusco, R.; Belli, A.; Cutolo, C.; Pradella, S.; Grazzini, G.; La Porta, M.; Brunese, M.C.; De Muzio, F.; et al. Diagnostic evaluation and ablation treatments assessment in hepatocellular carcinoma. Infect. Agents Cancer 2021, 16, 53. [Google Scholar] [CrossRef]
  2. Nakamura, Y.; Higaki, T.; Honda, Y.; Tatsugami, F.; Tani, C.; Fukumoto, W.; Narita, K.; Kondo, S.; Akagi, M.; Awai, K. Advanced CT techniques for assessing hepatocellular carcinoma. Radiol. Med. 2021, 126, 925–935. [Google Scholar] [CrossRef] [PubMed]
  3. Li, J.; Cao, B.; Bi, X.; Chen, W.; Wang, L.; Du, Z.; Zhang, X.; Yu, X. Evaluation of liver function in patients with chronic hepatitis B using Gd-EOB-DTPA-enhanced T1 mapping at different acquisition time points: A feasibility study. Radiol. Med. 2021, 126, 1149–1158. [Google Scholar] [CrossRef] [PubMed]
  4. Esposito, A.; Buscarino, V.; Raciti, D.; Casiraghi, E.; Manini, M.; Biondetti, P.; Forzenigo, L. Characterization of liver nodules in patients with chronic liver disease by MRI: Performance of the Liver Imaging Reporting and Data System (LI-RADS v.2018) scale and its comparison with the Likert scale. Radiol. Med. 2020, 125, 15–23. [Google Scholar] [CrossRef] [PubMed]
  5. Izzo, F.; Granata, V.; Grassi, R.; Fusco, R.; Palaia, R.; Delrio, P.; Carrafiello, G.; Azoulay, D.; Petrillo, A.; Curley, A.S. Radiofrequency Ablation and Microwave Ablation in Liver Tumors: An Update. Oncologist 2019, 24, e990–e1005. [Google Scholar] [CrossRef] [PubMed] [Green Version]
  6. Knavel, E.M.; Brace, C.L. Tumor ablation: Common Modalities and General Practices. Tech. Vasc. Interv. Radiol. 2013, 16, 192–200. [Google Scholar] [CrossRef] [Green Version]
  7. Brace, C.L. Radiofrequency and Microwave Ablation of the Liver, Lung, Kidney, and Bone: What Are the Differences? Curr. Probl. Diagn. Radiol. 2009, 38, 135–143. [Google Scholar] [CrossRef] [Green Version]
  8. Granata, V.; Grassi, R.; Fusco, R.; Setola, S.V.; Palaia, R.; Belli, A.; Miele, V.; Brunese, L.; Petrillo, A.; Izzo, F. Assessment of Ablation Therapy in Pancreatic Cancer: The Radiologist’s Challenge. Front. Oncol. 2020, 10, 560952. [Google Scholar] [CrossRef]
  9. Granata, V.; Fusco, R.; Setola, S.V.; Piccirillo, M.; Leongito, M.; Palaia, R.; Granata, F.; Lastoria, S.; Izzo, F.; Petrillo, A. Early radiological assessment of locally advanced pancreatic cancer treated with electrochemotherapy. World J. Gastroenterol. 2017, 23, 4767–4778. [Google Scholar] [CrossRef]
  10. Granata, V.; de Lutio di Castelguidone, E.; Fusco, R.; Catalano, O.; Piccirillo, M.; Palaia, R.; Izzo, F.; Gallipoli, A.D.; Petrillo, A. Irreversible electroporation of hepatocellular carcinoma: Preliminary report on the diagnostic accuracy of magnetic resonance, computer tomography, and contrast-enhanced ultrasound in evaluation of the ablated area. Radiol. Med. 2016, 121, 122–131. [Google Scholar] [CrossRef]
  11. Granata, V.; Grassi, R.; Fusco, R.; Belli, A.; Palaia, R.; Carrafiello, G.; Miele, V.; Petrillo, A.; Izzo, F. Local ablation of pancreatic tumors: State of the art and future perspectives. World J. Gastroenterol. 2021, 27, 3413–3428. [Google Scholar] [CrossRef] [PubMed]
  12. Granata, V.; Fusco, R.; Barretta, M.L.; Picone, C.; Avallone, A.; Belli, A.; Patrone, R.; Ferrante, M.; Cozzi, D.; Grassi, R.; et al. Radiomics in hepatic metastasis by colorectal cancer. Infect. Agents Cancer 2021, 16, 39. [Google Scholar] [CrossRef] [PubMed]
  13. Granata, V.; Bicchierai, G.; Fusco, R.; Cozzi, D.; Grazzini, G.; Danti, G.; De Muzio, F.; Maggialetti, N.; Smorchkova, O.; D’Elia, M.; et al. Diagnostic protocols in oncology: Workup and treatment planning. Part 2: Abbreviated MR protocol. Eur. Rev. Med. Pharmacol. Sci. 2021, 25, 6499–6528. [Google Scholar] [CrossRef] [PubMed]
  14. Granata, V.; Fusco, R.; Petrillo, A. Additional Considerations on Use of Abbreviated Liver MRI in Patients with Colorectal Liver Metastases. AJR Am. J. Roentgenol. 2021, 217, W1. [Google Scholar] [CrossRef] [PubMed]
  15. Granata, V.; Fusco, R.; Avallone, A.; Catalano, O.; Piccirillo, M.; Palaia, R.; Nasti, G.; Petrillo, A.; Izzo, F. A radiologist’s point of view in the presurgical and intraoperative setting of colorectal liver metastases. Future Oncol. 2018, 14, 2189–2206. [Google Scholar] [CrossRef] [PubMed]
  16. Fiorentino, A.; Gregucci, F.; Bonaparte, I.; Vitulano, N.; Surgo, A.; Mazzola, R.; Di Monaco, A.; Carbonara, R.; Alongi, F.; Langialonga, T.; et al. Stereotactic Ablative radiation therapy (SABR) for cardiac arrhythmia: A new therapeutic option? Radiol. Med. 2021, 126, 155–162. [Google Scholar] [CrossRef] [PubMed]
  17. Fersino, S.; Borghesi, S.; Jereczek-Fossa, B.A.; Arcangeli, S.; Mortellaro, G.; Magrini, S.M.; Alongi, F.; Uro-Oncology Study Group of Italian Association of Radiotherapy and Clinical Oncology (AIRO). PROACTA: A survey on the actual attitude of the Italian radiation oncologists in the management and prescription of hormonal therapy in prostate cancer patients. Radiol. Med. 2021, 126, 460–465. [Google Scholar] [CrossRef]
  18. Arrigoni, F.; Bianchi, G.; Formiconi, F.; Palumbo, P.; Zugaro, L.; Gravina, G.L.; Barile, A.; Masciocchi, C. CT-guided cryoablation for management of bone metastases: A single center experience and review of the literature. Radiol. Med. 2022, 127, 199–205. [Google Scholar] [CrossRef]
  19. Goldberg, S.N.; Charboneau, J.W.; Dodd, G.D., 3rd; Dupuy, D.; Gervais, D.A.; Gillams, A.R.; Kane, R.A.; Lee, F.T.; Livraghi, T.; McGahan, J.P.; et al. Image-guided tumor ablation: Proposal for standardization of terms and reporting criteria. Radiology 2003, 228, 335–345. [Google Scholar] [CrossRef]
  20. Ahmed, M.; Solbiati, L.; Brace, C.L.; Breen, D.J.; Callstrom, M.R.; Charboneau, J.W.; Chen, M.-H.; Choi, B.I.; De Baère, T.; Dodd, G.D., 3rd; et al. Image-guided tumor ablation: Standardization of terminology and reporting criteria—A 10-year update. Radiology 2014, 273, 241–260. [Google Scholar] [CrossRef]
  21. Granata, V.; Grassi, R.; Fusco, R.; Setola, S.V.; Belli, A.; Ottaiano, A.; Nasti, G.; La Porta, M.; Danti, G.; Cappabianca, S.; et al. Intrahepatic cholangiocarcinoma and its differential diagnosis at MRI: How radiologist should assess MR features. Radiol. Med. 2021, 126, 1584–1600. [Google Scholar] [CrossRef] [PubMed]
  22. Arrigoni, F.; Bruno, F.; Gianneramo, C.; Palumbo, P.; Zugaro, L.; Zoccali, C.; Barile, A.; Masciocchi, C. Evolution of the imaging features of osteoid osteoma treated with RFA or MRgFUS during a long-term follow-up: A pictorial review with clinical correlations. Radiol. Med. 2020, 125, 578–584. [Google Scholar] [CrossRef] [PubMed]
  23. Ippolito, D.; Giandola, T.; Maino, C.; Pecorelli, A.; Capodaglio, C.; Ragusi, M.; Porta, M.; Gandola, D.; Masetto, A.; Drago, S.; et al. Acute pulmonary embolism in hospitalized patients with SARS-CoV-2-related pneumonia: Multicentric experience from Italian endemic area. Radiol Med. 2021, 126, 669–678. [Google Scholar] [CrossRef] [PubMed]
  24. Mathy, R.M.; Fritz, F.; Mayer, P.; Klauss, M.; Grenacher, L.; Stiller, W.; Kauczor, H.U.; Skornitzke, S. Iodine concentration and tissue attenuation in dual-energy contrast-enhanced CT as a potential quantitative parameter in early detection of local pancreatic carcinoma recurrence after surgical resection. Eur. J. Radiol. 2021, 143, 109944. [Google Scholar] [CrossRef]
  25. Karmazanovsky, G.; Gruzdev, I.; Tikhonova, V.; Kondratyev, E.; Revishvili, A. Computed tomography-based radiomics approach in pancreatic tumors characterization. Radiol. Med. 2021, 126, 1388–1395. [Google Scholar] [CrossRef]
  26. Sun, J.; Li, H.; Gao, J.; Li, J.; Li, M.; Zhou, Z.; Peng, Y. Performance evaluation of a deep learning image reconstruction (DLIR) algorithm in “double low” chest CTA in children: A feasibility study. Radiol. Med. 2021, 126, 1181–1188. [Google Scholar] [CrossRef]
  27. Palmisano, A.; Darvizeh, F.; Cundari, G.; Rovere, G.; Ferrandino, G.; Nicoletti, V.; Cilia, F.; De Vizio, S.; Palumbo, R.; Esposito, A.; et al. Advanced cardiac imaging in athlete’s heart: Unravelling the grey zone between physiologic adaptation and pathology. Radiol. Med. 2021, 126, 1518–1531. [Google Scholar] [CrossRef]
  28. Stein, S.I.; Soliman, M.M.; Sparapani, J.; Doustaly, R.; Cobb, B.W.; Malhotra, A.; Charalel, R.; May, B.J.; Lee, K.S.; Madoff, D.C.; et al. Conventional Hepatic Volumetry May Lead to Inaccurate Segmental Yttrium-90 Radiation Dosimetry. Cardiovasc. Interv. Radiol. 2021, 44, 1973–1985. [Google Scholar] [CrossRef]
  29. Fanelli, F.; Cannavale, A.; Chisci, E.; Citone, M.; Falcone, G.M.; Michelagnoli, S.; Miele, V. Direct percutaneous embolization of aneurysm sac: A safe and effective procedure to treat post-EVAR type II endoleaks. Radiol. Med. 2020, 126, 258–263. [Google Scholar] [CrossRef]
  30. Battaglia, V.; Cervelli, R. Liver investigations: Updating on US technique and contrast-enhanced ultrasound (CEUS). Eur. J. Radiol. 2017, 96, 65–73. [Google Scholar] [CrossRef]
  31. Faccia, M.; Garcovich, M.; Ainora, M.E.; Riccardi, L.; Pompili, M.; Gasbarrini, A.; Zocco, M.A. Contrast-Enhanced Ultrasound for Monitoring Treatment Response in Different Stages of Hepatocellular Carcinoma. Cancers 2022, 14, 481. [Google Scholar] [CrossRef] [PubMed]
  32. Ossola, C.; Curti, M.; Calvi, M.; Tack, S.; Mazzoni, S.; Genesio, L.; Venturini, M.; Genovese, E.A. Role of ultrasound and magnetic resonance imaging in the prognosis and classification of muscle injuries in professional football players: Correlation between imaging and return to sport time. Radiol. Med. 2021, 126, 1460–1467. [Google Scholar] [CrossRef] [PubMed]
  33. Soyer Güldoğan, E.; Ergun, O.; Taşkın Türkmenoğlu, T.; Yılmaz, K.B.; Akdağ, T.; Özbal Güneş, S.; Durmaz, H.A.; Hekimoğlu, B. The impact of TI-RADS in detecting thyroid malignancies: A prospective study. Radiol. Med. 2021, 126, 1335–1344. [Google Scholar] [CrossRef] [PubMed]
  34. Celletti, I.; Fresilli, D.; De Vito, C.; Bononi, M.; Cardaccio, S.; Cozzolino, A.; Durante, C.; Grani, G.; Grimaldi, G.; Isidori, A.M.; et al. TIRADS, SRE and SWE in INDETERMINATE thyroid nodule characterization: Which has better diagnostic performance? Radiol. Med. 2021, 126, 1189–1200. [Google Scholar] [CrossRef]
  35. Rosa, F.; Martinetti, C.; Veirana, M.A.; Attieh, A.; Trisoglio, A.; Sabattini, R.; Gandolfo, N.; Gastaldo, A. How embryology knowledge can help radiologists in the differential diagnosis of canal of Nuck pathologies. Radiol. Med. 2021, 126, 910–924. [Google Scholar] [CrossRef]
  36. Wang, X.; Liang, P.; Yu, J.; Yao, J.D.; Fan, F.Y.; Yu, X.; Cheng, Z.G.; Han, Z.Y.; Liu, F.Y.; Dou, J.P. Contrast-enhanced ultrasound features predict the prognosis of percutaneous microwave ablation of intrahepatic cholangiocarcinoma. Br. J. Radiol. 2022, 95, 20211379. [Google Scholar] [CrossRef]
  37. Bai, L.; Wang, X.; Shi, S.; Gao, J.; Li, X.; Wang, Y.; Jiang, M.; Zheng, C.; Liu, H. Evaluation of 3D-CEUS in the Recurrence of Liver Cancer after Radiofrequency Ablation. J. Health Eng. 2021, 2021, 3123553. [Google Scholar] [CrossRef]
  38. Danti, G.; Flammia, F.; Matteuzzi, B.; Cozzi, D.; Berti, V.; Grazzini, G.; Pradella, S.; Recchia, L.; Brunese, L.; Miele, V. Gastrointestinal neuroendocrine neoplasms (GI-NENs): Hot topics in morphological, functional, and prognostic imaging. Radiol. Med. 2021, 126, 1497–1507. [Google Scholar] [CrossRef]
  39. Rhim, H.; Yoon, K.H.; Lee, J.M.; Cho, Y.; Cho, J.S.; Kim, S.H.; Lee, W.J.; Lim, H.K.; Nam, G.J.; Han, S.S.; et al. Major complications after radio-frequency thermal ablation of hepatic tumors: Spectrum of imaging findings. RadioGraphics 2003, 23, 123–134. [Google Scholar] [CrossRef]
  40. Kwon, H.J.; Kim, P.N.; Byun, J.H.; Kim, K.W.; Won, H.J.; Shin, Y.M.; Lee, M.G. Various complications of percutaneous radiofrequency ablation for hepatic tumors: Radiologic findings and technical tips. Acta Radiol. 2014, 55, 1082–1092. [Google Scholar] [CrossRef]
  41. Sugihara, T.; Koda, M.; Tokunaga, S.; Matono, T.; Nagahara, T.; Ueki, M.; Murawaki, Y.; Kaminou, T. Contrast-enhanced ultrasonography revealed active thoracic bleeding. J. Med. Ultrason. 2010, 37, 143–145. [Google Scholar] [CrossRef] [PubMed]
  42. Catalano, O.; Sandomenico, F.; Raso, M.M.; Siani, A. Real-time, contrast-enhanced sonography: A new tool for detecting active bleeding. J. Trauma Inj. Infect. Crit. Care 2005, 59, 933–939. [Google Scholar] [CrossRef] [PubMed]
  43. Marano, R.; Pontone, G.; Agricola, E.; Alushi, B.; Bartorelli, A.; Cameli, M.; Carrabba, N.; Esposito, A.; Faletti, R.; Francone, M.; et al. Recommendations in pre-procedural imaging assessment for TAVI intervention: SIC-SIRM position paper part 2 (CT and MR angiography, standard medical reporting, future perspectives). Radiol. Med. 2022, 127, 277–293. [Google Scholar] [CrossRef] [PubMed]
  44. Masselli, G.; Almberger, M.; Tortora, A.; Capoccia, L.; Dolciami, M.; D’Aprile, M.R.; Valentini, C.; Avventurieri, G.; Bracci, S.; Ricci, P. Role of CT angiography in detecting acute pulmonary embolism associated with COVID-19 pneumonia. Radiol. Med. 2021, 126, 1553–1560. [Google Scholar] [CrossRef]
  45. Mirabile, A.; Lucarelli, N.M.; Sollazzo, E.P.; Ianora, A.A.S.; Sardaro, A.; Mirabile, G.; Lorusso, F.; Racanelli, V.; Maggialetti, N.; Scardapane, A. CT pulmonary angiography appropriateness in a single emergency department: Does the use of revised Geneva score matter? Radiol. Med. 2021, 126, 1544–1552. [Google Scholar] [CrossRef]
  46. Cozzi, D.; Moroni, C.; Cavigli, E.; Bindi, A.; Caviglioli, C.; Nazerian, P.; Vanni, S.; Miele, V.; Bartolucci, M. Prognostic value of CT pulmonary angiography parameters in acute pulmonary embolism. Radiol. Med. 2021, 126, 1030–1036. [Google Scholar] [CrossRef]
  47. De Cecco, C.N.; Buffa, V.; Fedeli, S.; Luzietti, M.; Vallone, A.; Ruopoli, R.; Miele, V.; Rengo, M.; Maurizi Enrici, M.; Fina, P.; et al. Preliminary experience with abdominal dual-energy CT (DECT): True versus virtual nonenhanced images of the liver. Radiol. Med. 2010, 115, 1258–1266. [Google Scholar] [CrossRef]
  48. Rawashdeh, M.A.; Saade, C. Radiation dose reduction considerations and imaging patterns of ground glass opacities in coronavirus: Risk of over exposure in computed tomography. Radiol. Med. 2020, 126, 380–387. [Google Scholar] [CrossRef]
  49. Trinci, M.; Cirimele, V.; Cozzi, D.; Galluzzo, M.; Miele, V. Diagnostic accuracy of pneumo-CT-cystography in the detection of bladder rupture in patients with blunt pelvic trauma. Radiol. Med. 2020, 125, 907–917. [Google Scholar] [CrossRef]
  50. Ferorelli, D.; Donno, F.; de Giorgio, G.; Mele, F.; Favia, M.; Riefoli, F.; Andresciani, S.; Melodia, R.; Zotti, F.; Dell’Erba, A. Head CT scan in emergency room: Is it still abused? Quantification and causes analysis of overprescription in an Italian Emergency Department. Radiol. Med. 2020, 125, 595–599. [Google Scholar] [CrossRef]
  51. Masjedi, H.; Zare, M.H.; Keshavarz Siahpoush, N.; Razavi-Ratki, S.K.; Alavi, F.; Shabani, M. European trends in radiology: Investigating factors affecting the number of examinations and the effective dose. Radiol. Med. 2020, 125, 296–305. [Google Scholar] [CrossRef] [PubMed]
  52. Akahane, M.; Koga, H.; Kato, N.; Yamada, H.; Uozumi, K.; Tateishi, R.; Teratani, T.; Shiina, S.; Ohtomo, K. Complications of percutaneous radiofrequency ablation for hepato-cellular carcinoma: Imaging spectrum and management. RadioGraphics 2005, 25, S57–S68. [Google Scholar] [CrossRef] [PubMed]
  53. Lu, D.S.; Raman, S.S.; Vodopich, D.J.; Wang, M.; Sayre, J.; Lassman, C. Effect of vessel size on creation of hepatic radiofrequency lesions in pig: Assessment of the “heat sink” effect. AJR Am. J. Roentgenol. 2002, 178, 47–51. [Google Scholar] [CrossRef] [PubMed]
  54. Novick, S.L.; Fishman, E.K. Portal vein thrombosis: Spectrum of helical CT and CT angiographic findings. Abdom. Imaging 1998, 23, 505–510. [Google Scholar] [CrossRef]
  55. Kim, B.S.; Kim, T.K.; Kim, J.S.; Lee, M.G.; Kim, J.H.; Kim, K.W.; Sung, K.B.; Kim, P.N.; Ha, H.K.; Lee, S.G.; et al. Hepatic venous congestion after living donor liver transplantation with right lobe graft: Two-phase CT findings. Radiology 2004, 232, 173–180. [Google Scholar] [CrossRef]
  56. Shindo, D.; Yamamoto, A.; Amano, R.; Kimura, K.; Yamazoe, S.; Shimono, T.; Miki, Y. The findings of the contrast-enhanced CT and risk factors for hepatic infarction after pancreatoduodenectomy. Jpn. J. Radiol. 2020, 38, 547–552. [Google Scholar] [CrossRef]
  57. Sivakumar, V. ‘Washing machine’ and ‘yin-yang’ sign in popliteal pseudoaneurysm. QJM Int. J. Med. 2021, 114, 212. [Google Scholar] [CrossRef]
  58. Kim, Y.S.; Rhim, H.; Lim, H.K. Imaging after radiofrequency ablation of hepatic tumors. Semin. Ultrasound CT MRI 2009, 30, 49–66. [Google Scholar] [CrossRef]
  59. Balfour, J.; Ewing, A. Hepatic Biloma; StatPearls Publishing: Treasure Island, FL, USA, 2022. [Google Scholar]
  60. Kim, Y.S.; Rhim, H.; Lim, H.K.; Choi, D.; Lee, M.W.; Park, M.J. Coagulation necrosis induced by radiofrequency ablation in the liver: Histopathologic and radiologic review of usual to extremely rare changes. RadioGraphics 2011, 31, 377–390. [Google Scholar] [CrossRef]
  61. Chang, I.S.; Rhim, H.; Kim, S.H.; Kim, Y.S.; Choi, D.; Park, Y.; Lim, H.K. Biloma formation after radiofrequency ablation of hepatocellular carcinoma: Incidence, imaging features, and clinical significance. AJR Am. J. Roentgenol. 2010, 195, 1131–1136. [Google Scholar] [CrossRef]
  62. Goto, E.; Tateishi, R.; Shiina, S.; Masuzaki, R.; Enooku, K.; Sato, T.; Ohki, T.; Kondo, Y.; Goto, T.; Yoshida, H.; et al. Hemorrhagic complications of percutaneous radiofrequency ablation for liver tumors. J. Clin. Gastroenterol. 2010, 44, 374–380. [Google Scholar] [CrossRef] [PubMed]
  63. Cathcart, S.; Birk, J.W.; Tadros, M.; Schuster, M. Hemobilia: An Uncommon but Notable Cause of Upper Gastrointestinal Bleeding. J. Clin. Gastroenterol. 2017, 51, 796–804. [Google Scholar] [CrossRef] [PubMed]
  64. Francica, G.; Meloni, M.F.; Riccardi, L.; Giangregorio, F.; Caturelli, E.; Terracciano, F.; de Sio, I. Role of Contrast-Enhanced Ultrasound in the Detection of Complications After Ultrasound-Guided Liver Interventional Procedures. J. Ultrasound Med. 2020, 40, 1665–1673. [Google Scholar] [CrossRef] [PubMed]
  65. Feng, W.; Yue, D.; Zaiming, L.; Zhaoyu, L.; Xiangxuan, Z.; Wei, L.; Qiyong, G. Iatrogenic hemobilia: Imaging features and management with transcatheter arterial embolization in 30 patients. Diagn. Interv. Radiol. 2016, 22, 371–377. [Google Scholar] [CrossRef]
  66. Chopra, S.; Dodd, G.D., 3rd; Chanin, M.P.; Chintapalli, K.N. Radiofrequency ablation of hepatic tumors adjacent to the gallbladder:Feasibility and safety. AJR Am. J. Roentgenol. 2003, 180, 697–701. [Google Scholar] [CrossRef]
  67. Yamamoto, T.; Kubo, S.; Hirohashi, K.; Tanaka, S.; Uenishi, T.; Ogawa, M.; Sakabe, K.; Hai, S.; Yamamoto, S.; Shuto, T.; et al. Secondary hemocholecyst after radiofrequency ablation therapy for hepatocellular carcinoma. J. Gastroenterol. 2003, 38, 399–403. [Google Scholar] [CrossRef]
  68. Sainani, N.I.; Gervais, D.A.; Mueller, P.R.; Arellano, R.S. Imaging after percutaneous radiofrequency ablation of hepatic tumors: Part 1, Normal findings. AJR Am. J. Roentgenol. 2013, 200, 184–193. [Google Scholar] [CrossRef]
  69. Cannataci, C.; Cimo’, B.; Mamone, G.; Tuzzolino, F.; D’Amico, M.; Cortis, K.; Maruzzelli, L.; Miraglia, R. Portal vein puncture-related complications during transjugular intrahepatic portosystemic shunt creation: Colapinto needle set vs Rösch-Uchida needle set. Radiol. Med. 2021, 126, 1487–1495. [Google Scholar] [CrossRef]
  70. Cicero, G.; Ascenti, G.; Albrecht, M.H.; Blandino, A.; Cavallaro, M.; D’Angelo, T.; Carerj, M.L.; Vogl, T.J.; Mazziotti, S. Extra-abdominal dual-energy CT applications: A comprehensive overview. Radiol Med. 2020, 125, 384–397. [Google Scholar] [CrossRef]
  71. Ledda, R.E.; Milanese, G.; Cademartiri, F.; Maffei, E.; Benedetti, G.; Goldoni, M.; Silva, M.; Sverzellati, N. Association of hepatic steatosis with epicardial fat volume and coronary artery disease in symptomatic patients. Radiol. Med. 2021, 126, 652–660. [Google Scholar] [CrossRef]
  72. Lombardi, A.F.; Afsahi, A.M.; Gupta, A.; Gholamrezanezhad, A. Severe acute respiratory syndrome (SARS), Middle East respiratory syndrome (MERS), influenza, and COVID-19, beyond the lungs: A review article. Radiol. Med. 2021, 126, 561–569. [Google Scholar] [CrossRef] [PubMed]
  73. Schullian, P.; Johnston, E.; Laimer, G.; Putzer, D.; Eberle, G.; Amann, A.; Effenberger, M.; Maglione, M.; Freund, M.C.; Loizides, A.; et al. Frequency and risk factors for major complications after stereotactic radiofrequency ablation of liver tumors in 1235 ablation sessions: A 15-year experience. Eur. Radiol. 2021, 31, 3042–3052. [Google Scholar] [CrossRef] [PubMed]
  74. Powerski, M.; Drewes, R.; Omari, J.; Relja, B.; Surov, A.; Pech, M. Intra-hepatic Abscopal Effect Following Radioembolization of Hepatic Metastases. Cardiovasc. Interv. Radiol. 2020, 43, 1641–1649. [Google Scholar] [CrossRef]
  75. Schullian, P.; Putzer, D.; Eberle, G.; Laimer, G.; Bale, R. Simultaneous Stereotactic Radiofrequency Ablation of Multiple (≥ 4) Liver Tumors: Feasibility, Safety, and Efficacy. J. Vasc. Interv. Radiol. 2020, 31, 943–952. [Google Scholar] [CrossRef]
  76. Giurazza, F.; Corvino, F.; Cavaglià, E.; Silvestre, M.; Cangiano, G.; Amodio, F.; De Magistris, G.; Niola, R. Emborrhoid in patients with portal hypertension and chronic hemorrhoidal bleeding: Preliminary results in five cases with a new coiling release fashion “Spaghetti technique”. Radiol. Med. 2020, 125, 1008–1011. [Google Scholar] [CrossRef]
  77. Aberle, S.; Kenkel, D.; Becker, A.S.; Puippe, G.; Burger, I.; Schaefer, N.; Pfammatter, T. Outpatient Yttrium-90 microsphere radioembolization: Assessment of radiation safety and quantification of post-treatment adverse events causing hospitalization. Radiol. Med. 2020, 125, 971–980. [Google Scholar] [CrossRef]
  78. Livraghi, T.; Solbiati, L.; Meloni, M.F.; Gazelle, G.S.; Halpern, E.F.; Goldberg, S.N. Treatment of focal liver tumors with percutaneous radio-frequency ablation: Complications encountered in a multicenter Study. Radiology 2003, 226, 441–451. [Google Scholar] [CrossRef]
  79. Choi, D.; Lim, H.K.; Kim, M.J.; Kim, S.J.; Kim, S.H.; Lee, W.J.; Lim, J.H.; Paik, S.W.; Yoo, B.C.; Choi, M.S.; et al. Liver abscess after percutaneous radiofrequency ablation for hepatocellular carcinomas: Frequency and risk factors. AJR Am. J. Roentgenol. 2005, 184, 1860–1867. [Google Scholar] [CrossRef]
  80. Malekzadeh, S.; Widmer, L.; Salahshour, F.; Egger, B.; Ronot, M.; Thoeny, H.C. Typical imaging finding of hepatic infections: A pictorial essay. Abdom. Radiol. 2021, 46, 544–561. [Google Scholar] [CrossRef]
  81. Catalano, O.; Sandomenico, F.; Raso, M.M.; Siani, A. Low mechanical index contrast-enhanced sonographic findings of pyogenic hepatic abscesses. AJR Am. J. Roentgenol. 2004, 182, 447–450. [Google Scholar] [CrossRef]
  82. Giambelluca, D.; Panzuto, F.; Giambelluca, E.; Midiri, M. The “double target sign” in liver abscess. Abdom. Radiol. 2018, 43, 2885–2886. [Google Scholar] [CrossRef] [PubMed]
  83. Lim, H.K.; Choi, N.; Lee, W.J.; Kim, S.H.; Lee, S.J.; Jang, H.J.; Lee, J.H.; Lim, J.H.; Choo, I.W. Hepatocellular carcinoma treated with percutaneous radio-frequency ablation: Evaluation with follow-up multiphase helical CT. Radiology 2001, 221, 447–454. [Google Scholar] [CrossRef] [PubMed]
  84. De Filippo, M.; Puglisi, S.; D’Amuri, F.; Gentili, F.; Paladini, I.; Carrafiello, G.; Maestroni, U.; Del Rio, P.; Ziglioli, F.; Pagnini, F. CT-guided percutaneous drainage of abdominopelvic collections: A pictorial essay. Radiol. Med. 2021, 126, 1561–1570. [Google Scholar] [CrossRef]
  85. Jeong, Y.S.; Kim, S.H.; Lee, J.M.; Lee, J.Y.; Kim, J.H.; Lee, D.H.; Kang, H.J.; Yoon, C.J.; Han, J.K. Gastrointestinal tract complications after hepatic radiofrequency ablation: CT prediction for major complications. Abdom. Radiol. 2018, 43, 583–592. [Google Scholar] [CrossRef] [PubMed]
  86. Schmit, G.D.; Kurup, A.N.; Schmitz, J.J.; Atwell, T.D. The “Leverage Technique”: Using Needles to Displace the Stomach during Liver Ablation. J. Vasc. Interv. Radiol. 2016, 27, 1765–1767. [Google Scholar] [CrossRef]
  87. Head, H.W.; Dodd, G.D., 3rd; Dalrymple, N.C.; Prasad, S.R.; El-Merhi, F.M.; Freckleton, M.W.; Hubbard, L.G. Percutaneous radiofrequency ablation of hepatic tumors against the diaphragm: Frequency of diaphragmatic injury1. Radiology 2007, 243, 877–884. [Google Scholar] [CrossRef] [PubMed]
  88. Abe, T.; Shinzawa, H.; Wakabayashi, H.; Aoki, M.; Sugahara, K.; Iwaba, A.; Haga, H.; Miyano, S.; Terui, Y.; Mitsuhashi, H.; et al. Value of laparoscopic microwave coagulation therapy for hepatocellular carcinoma in relation to tumor size and location. Endoscopy 2000, 32, 598–603. [Google Scholar] [CrossRef] [PubMed]
  89. Llovet, J.M.; Vilana, R.; Brú, C.; Bianchi, L.; Salmeron, J.M.; Boix, L.; Ganau, S.; Sala, M.; Pagès, M.; Ayuso, C.; et al. Increased risk of tumor seeding after percutaneous radiofrequency ablation for single hepatocellular carcinoma. Hepatology 2001, 33, 1124–1129. [Google Scholar] [CrossRef]
  90. Thiemann, M.; Benhidjeb, T.; Anders, S.; Gebauer, B.; Strik, M.W. Hepato-pericardial fistula following radiofrequency ablation (RFA) for liver metastasis: A case report and review of the literature. Langenbeck’s Arch. Surg. 2008, 393, 1013–1016. [Google Scholar] [CrossRef]
  91. Puijk, R.S.; Ruarus, A.H.; Scheffer, H.J.; Vroomen, L.G.P.H.; van Tilborg, A.A.J.M.; de Vries, J.J.J.; Berger, F.H.; van den Tol, P.M.P.; Meijerink, M.R. Percutaneous Liver Tumour Ablation: Image Guidance, Endpoint Assessment, and Quality Control. Can. Assoc. Radiol. J. 2018, 69, 51–62. [Google Scholar] [CrossRef] [Green Version]
  92. Izzo, F.; Palaia, R.; Albino, V.; Amore, A.; Di Giacomo, R.; Piccirillo, M.; Leongito, M.; Nasto, A.; Granata, V.; Petrillo, A.; et al. Hepatocellular carcinoma and liver metastases: Clinical data on a new dual-lumen catheter kit for surgical sealant infusion to prevent perihepatic bleeding and dissemination of cancer cells following biopsy and loco-regional treatments. Infect. Agents Cancer 2015, 10, 11. [Google Scholar] [CrossRef] [PubMed] [Green Version]
  93. Granata, V.; Fusco, R.; Piccirillo, M.; Palaia, R.; Petrillo, A.; Lastoria, S.; Izzo, F. Electrochemotherapy in locally advanced pancreatic cancer: Preliminary results. Int. J. Surg. 2015, 18, 230–236. [Google Scholar] [CrossRef] [PubMed]
  94. Tafuto, S.; von Arx, C.; De Divitiis, C.; Maura, C.T.; Palaia, R.; Albino, V.; Fusco, R.; Membrini, M.; Petrillo, A.; Granata, V.; et al. Electrochemotherapy as a new approach on pancreatic cancer and on liver metastases. Int. J. Surg. 2015, 21, S78–S82. [Google Scholar] [CrossRef]
  95. Pfannenstiel, A.; Sebek, J.; Fallahi, H.; Beard, W.L.; Ganta, C.K.; Dupuy, D.E.; Prakash, P. Directional Microwave Ablation: Experimental Evaluation of a 2.45-GHz Applicator in Ex Vivo and In Vivo Liver. J. Vasc. Interv. Radiol. 2020, 31, 1170–1177. [Google Scholar] [CrossRef] [PubMed]
  96. Vogel, J.A.; van Veldhuisen, E.; Alles, L.K.; Busch, O.R.; Dijk, F.; van Gulik, T.M.; Huijzer, G.M.; Besselink, M.G.; van Lienden, K.P.; Verheij, J. Time-Dependent Impact of Irreversible Electroporation on Pathology and Ablation Size in the Porcine Liver: A 24-Hour Experimental Study. Technol. Cancer Res. Treat. 2019, 18, 1533033819876899. [Google Scholar] [CrossRef] [PubMed]
  97. Sun, J.; Yang, L.; Zhou, Z.; Zhang, D.; Han, W.; Zhang, Q.; Peng, Y. Performance evaluation of two iterative reconstruction algorithms, MBIR and ASIR, in low radiation dose and low contrast dose abdominal CT in children. Radiol. Med. 2020, 125, 918–925. [Google Scholar] [CrossRef]
  98. Imajo, K.; Ogawa, Y.; Yoneda, M.; Saito, S.; Nakajima, A. A review of conventional and newer generation microwave ablation systems for hepatocellular carcinoma. J. Med. Ultrason. 2020, 47, 265–277. [Google Scholar] [CrossRef]
  99. Liebl, M.; Schulze-Hagen, M.; Zimmermann, M.; Pedersoli, F.; Kuhl, C.; Bruners, P.; Isfort, P. Microwave Ablation in the Proximity of Surgical Clips: Is there a Safety Issue? Cardiovasc. Interv. Radiol. 2020, 43, 918–923. [Google Scholar] [CrossRef] [Green Version]
  100. Cicero, G.; Mazziotti, S.; Silipigni, S.; Blandino, A.; Cantisani, V.; Pergolizzi, S.; D’Angelo, T.; Stagno, A.; Maimone, S.; Squadrito, G.; et al. Dual-energy CT quantification of fractional extracellular space in cirrhotic patients: Comparison between early and delayed equilibrium phases and correlation with oesophageal varices. Radiol. Med. 2021, 126, 761–767. [Google Scholar] [CrossRef]
  101. Granata, V.; Fusco, R.; Catalano, O.; Piccirillo, M.; De Bellis, M.; Izzo, F.; Petrillo, A. Percutaneous ablation therapy of hepatocellular carcinoma with irreversible electroporation: MRI findings. AJR Am. J. Roentgenol. 2015, 204, 1000–1007. [Google Scholar] [CrossRef]
  102. Granata, V.; Fusco, R.; Salati, S.; Petrillo, A.; Di Bernardo, E.; Grassi, R.; Palaia, R.; Danti, G.; La Porta, M.; Cadossi, M.; et al. A Systematic Review about Imaging and Histopathological Findings for Detecting and Evaluating Electroporation Based Treatments Response. Int. J. Environ. Res. Public Health 2021, 18, 5592. [Google Scholar] [CrossRef] [PubMed]
  103. Fang, C.; Cortis, K.; Yusuf, G.T.; Gregory, S.; Lewis, D.; Kane, P.; Peddu, P. Complications from percutaneous microwave ablation of liver tumours: A pictorial review. Br. J. Radiol. 2019, 92, 20180864. [Google Scholar] [CrossRef] [PubMed]
Figure 1. Woman 65 year at 7-day follow-up after RFA of liver metastases. CT assessment ((A): arterial phase; (B): portal phase and (C): late phase): active bleeding (arrow).
Figure 1. Woman 65 year at 7-day follow-up after RFA of liver metastases. CT assessment ((A): arterial phase; (B): portal phase and (C): late phase): active bleeding (arrow).
Diagnostics 12 01151 g001
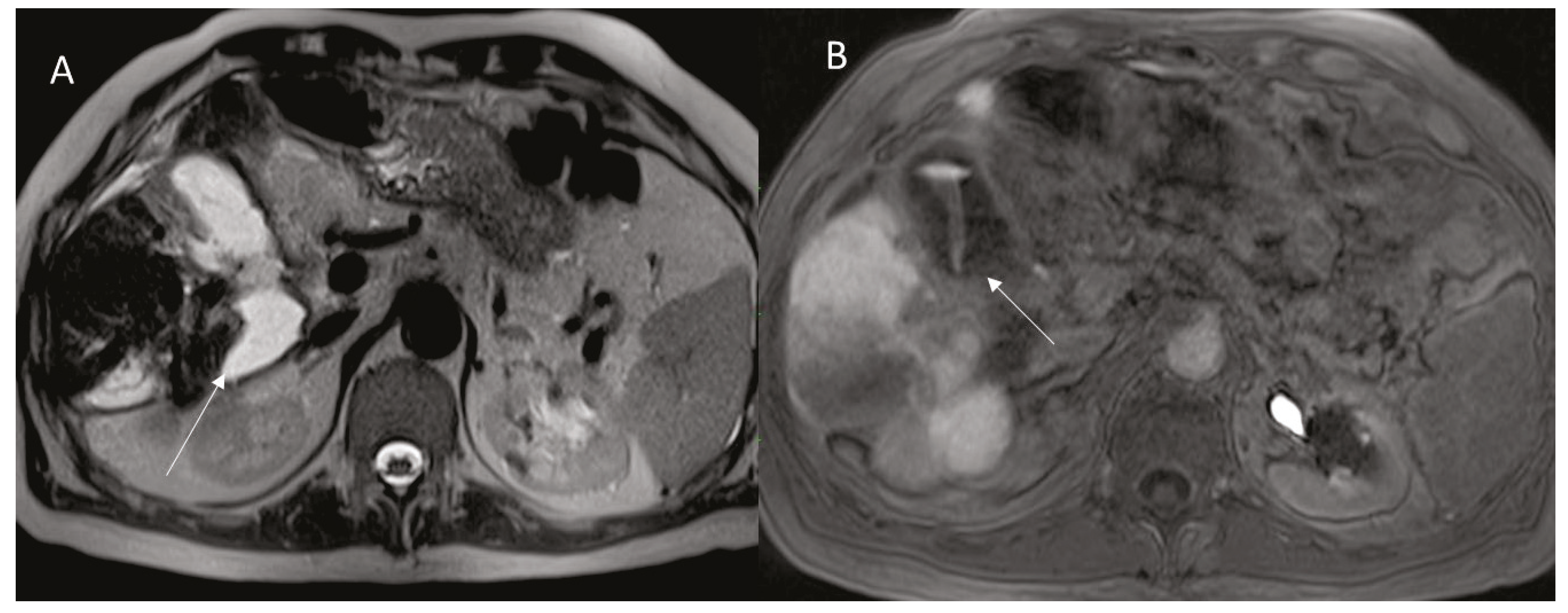
Figure 2. Woman 63 year at 1-month follow-up after RFA of liver metastasis. MRI assessment ((A): HASTE T2-W sequence; (B): in phase T1-W sequence and (C): porta phase of contrast study), ablated zone with biliary tree damage (arrow).
Figure 2. Woman 63 year at 1-month follow-up after RFA of liver metastasis. MRI assessment ((A): HASTE T2-W sequence; (B): in phase T1-W sequence and (C): porta phase of contrast study), ablated zone with biliary tree damage (arrow).
Diagnostics 12 01151 g002
Figure 3. The same patient of Figure 2, MRI assessment ((A): HASTE T2-W sequence, (B): EOB-Phase of contrast study) after 2-month, arrow shows biloma.
Figure 3. The same patient of Figure 2, MRI assessment ((A): HASTE T2-W sequence, (B): EOB-Phase of contrast study) after 2-month, arrow shows biloma.
Diagnostics 12 01151 g003
Figure 4. Man 74 year at 1-month follow-up after RFA of HCC on VI seg. MRI ((A): HASTE T2-W sequences in axial, in (B): EOB-phase of contrast study in axial plane). The arrow shows bile leak.
Figure 4. Man 74 year at 1-month follow-up after RFA of HCC on VI seg. MRI ((A): HASTE T2-W sequences in axial, in (B): EOB-phase of contrast study in axial plane). The arrow shows bile leak.
Diagnostics 12 01151 g004
Figure 5. Woman 58 year at 1-week follow-up after MWA of liver metastasis. MRI assessment US assessment of RFA treated HCC on V segment ((A); arrow). In (B) arrow shows cholecystitis.
Figure 5. Woman 58 year at 1-week follow-up after MWA of liver metastasis. MRI assessment US assessment of RFA treated HCC on V segment ((A); arrow). In (B) arrow shows cholecystitis.
Diagnostics 12 01151 g005
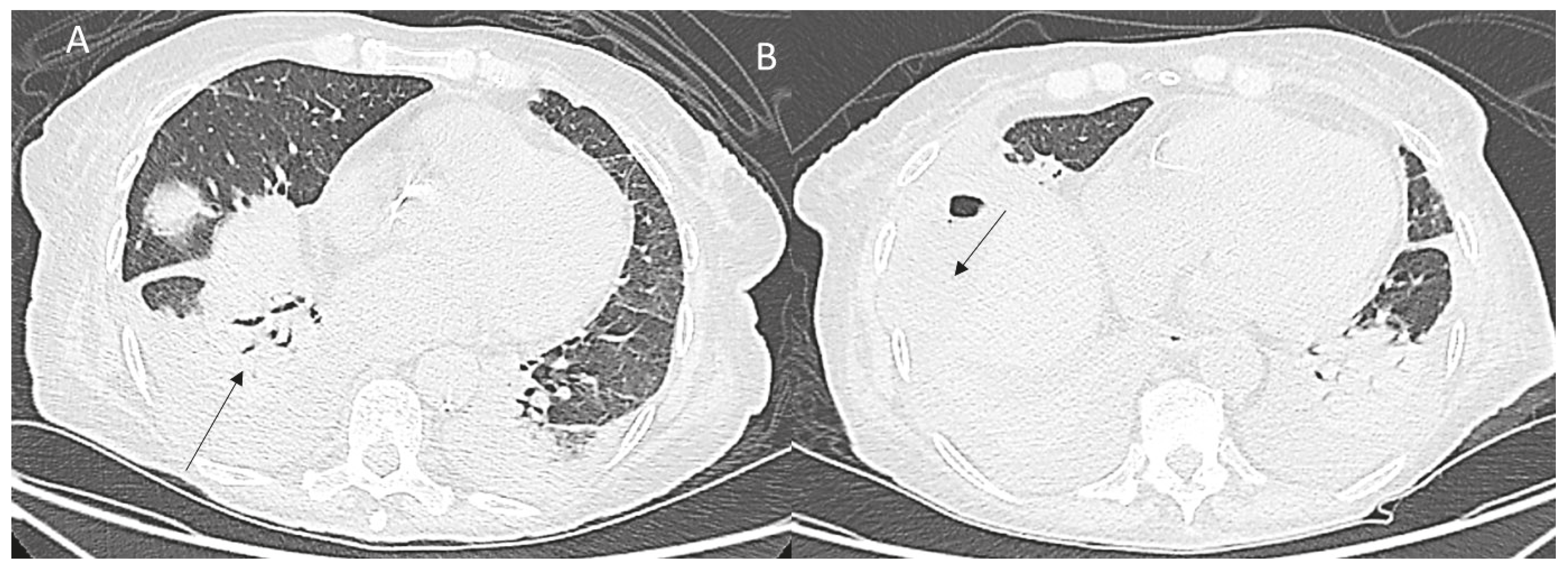
Figure 6. CT assessment (A,B) of treated HCC on IVa seg: pleural effusion and consolidation (arrow).
Figure 6. CT assessment (A,B) of treated HCC on IVa seg: pleural effusion and consolidation (arrow).
Diagnostics 12 01151 g006
Publisher’s Note: MDPI stays neutral with regard to jurisdictional claims in published maps and institutional affiliations.

Share and Cite

MDPI and ACS Style

De Muzio, F.; Cutolo, C.; Dell’Aversana, F.; Grassi, F.; Ravo, L.; Ferrante, M.; Danti, G.; Flammia, F.; Simonetti, I.; Palumbo, P.; et al. Complications after Thermal Ablation of Hepatocellular Carcinoma and Liver Metastases: Imaging Findings. Diagnostics 2022, 12, 1151. https://doi.org/10.3390/diagnostics12051151

AMA Style

De Muzio F, Cutolo C, Dell’Aversana F, Grassi F, Ravo L, Ferrante M, Danti G, Flammia F, Simonetti I, Palumbo P, et al. Complications after Thermal Ablation of Hepatocellular Carcinoma and Liver Metastases: Imaging Findings. Diagnostics. 2022; 12(5):1151. https://doi.org/10.3390/diagnostics12051151

Chicago/Turabian Style

De Muzio, Federica, Carmen Cutolo, Federica Dell’Aversana, Francesca Grassi, Ludovica Ravo, Marilina Ferrante, Ginevra Danti, Federica Flammia, Igino Simonetti, Pierpaolo Palumbo, and et al. 2022. "Complications after Thermal Ablation of Hepatocellular Carcinoma and Liver Metastases: Imaging Findings" Diagnostics 12, no. 5: 1151. https://doi.org/10.3390/diagnostics12051151

APA Style

De Muzio, F., Cutolo, C., Dell’Aversana, F., Grassi, F., Ravo, L., Ferrante, M., Danti, G., Flammia, F., Simonetti, I., Palumbo, P., Bruno, F., Pierpaoli, L., Fusco, R., Giovagnoni, A., Miele, V., Barile, A., & Granata, V. (2022). Complications after Thermal Ablation of Hepatocellular Carcinoma and Liver Metastases: Imaging Findings. Diagnostics, 12(5), 1151. https://doi.org/10.3390/diagnostics12051151

Note that from the first issue of 2016, this journal uses article numbers instead of page numbers. See further details here.

Article Metrics

Back to TopTop