The Prevalence and Characteristics of Diffuse Idiopathic Skeletal Hyperostosis (DISH): A Cross-Sectional Study of 1519 Japanese Individuals
Abstract
1. Introduction
2. Materials and Methods
2.1. Patients
2.2. Imaging Evaluation of DISH
2.3. Evaluation of the Aortic Calcification
2.4. Previous History of Cardiac or Vascular Disease
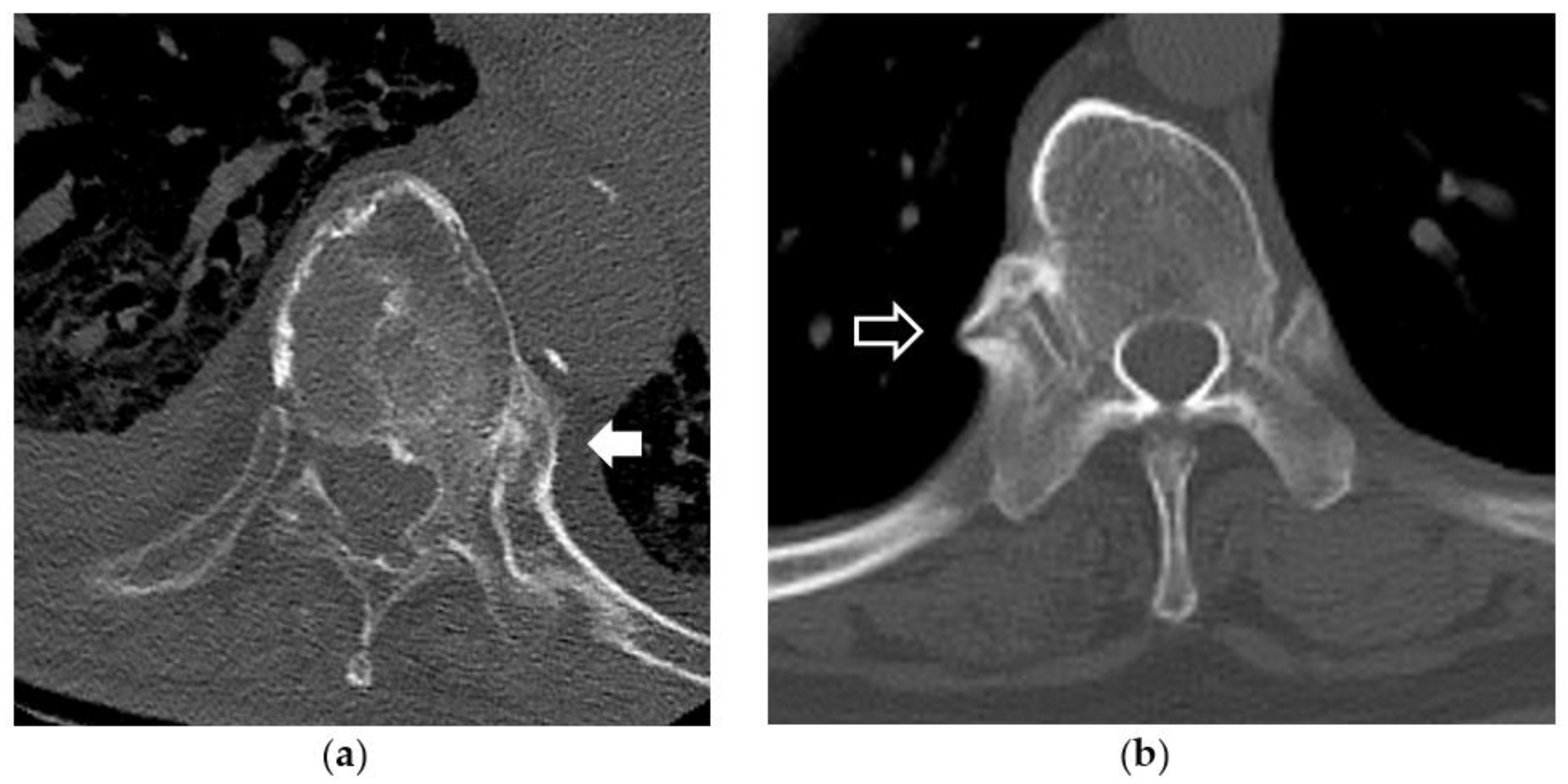
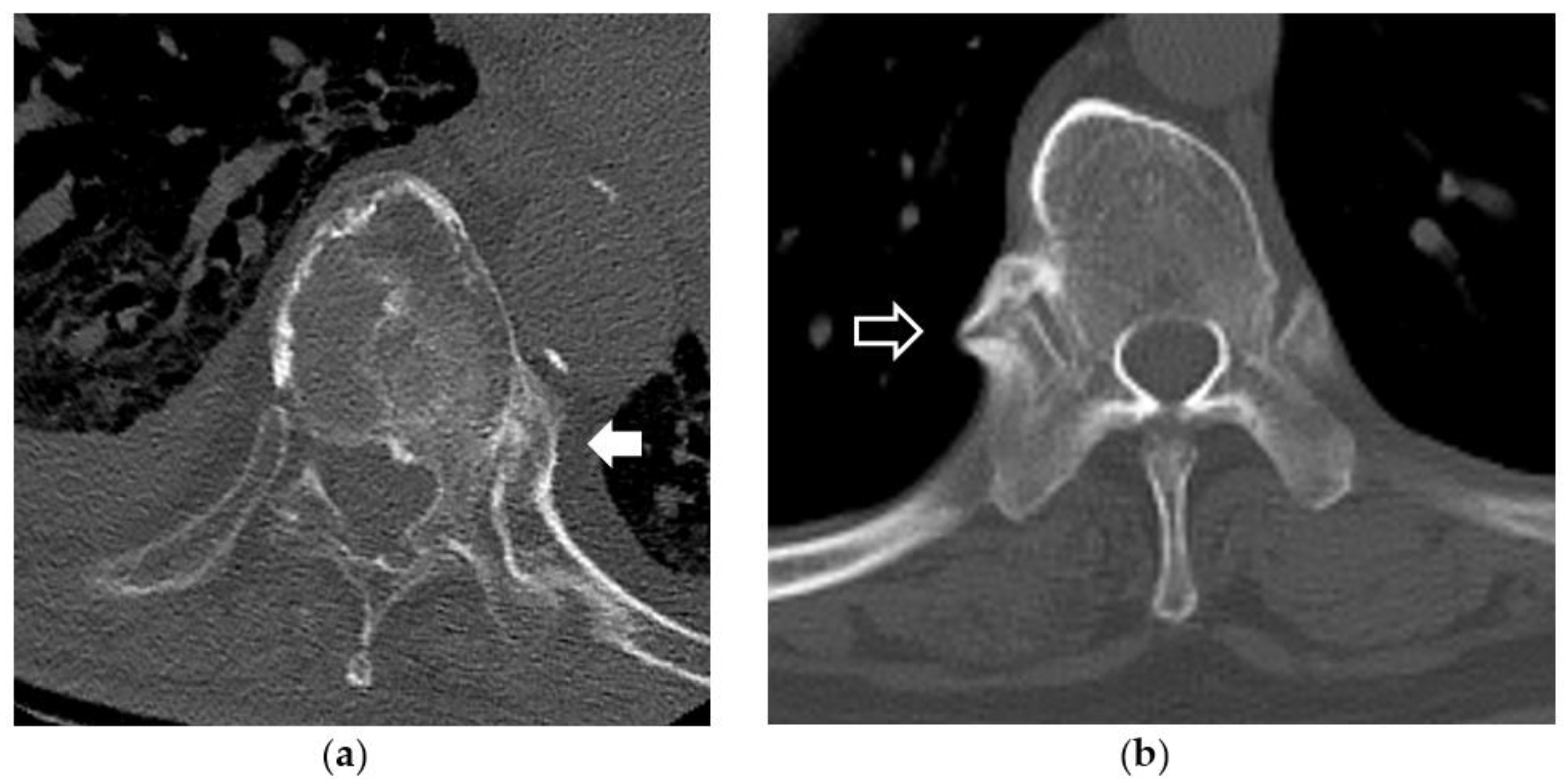
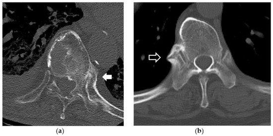
2.5. Evaluation of Hyperostosis around the Costovertebral Joint
2.6. Ethical Considerations
2.7. Statistical Analysis
3. Results
3.1. Research Subjects and Demographics
3.2. Previous Medical History
3.3. Extent of Aortic Calcification
3.4. Frequency of Hyperostosis around the Costovertebral Joint
3.5. Mortality Rate within 3 Months of the Initial Examination
4. Discussion
4.1. Issues with DISH
4.2. Course of the Epidemiological Survey on DISH
4.3. Range and Levels of DISH
4.4. Patient Matching
4.5. Relationship between DISH and Diabetes Mellitus
4.6. Prevalence of Cardiac or Vascular Events
4.7. Mortality Rate within 3 Months of the Initial Examination
4.8. Limitations
5. Conclusions
Author Contributions
Funding
Institutional Review Board Statement
Informed Consent Statement
Data Availability Statement
Conflicts of Interest
Abbreviations
| DISH | diffuse idiopathic skeletal hyperostosis; |
| DEXA | dual-energy X-ray absorptiometry; |
| CT | computed tomography; |
| ACI | aortic calcification index; |
| T | thoracic spine. |
References
- Resnick, D.; Niwayama, G. Radiographic and Pathologic Features of Spinal Involvement in Diffuse Idiopathic Skeletal Hyperostosis (DISH). Radiology 1976, 119, 559–568. [Google Scholar] [CrossRef] [PubMed]
- Mazières, B. Diffuse Idiopathic Skeletal Hyperostosis (Forestier-Rotes-Querol Disease): What’s New? Jt. Bone Spine 2013, 80, 466–470. [Google Scholar] [CrossRef] [PubMed]
- Nishimura, S.; Nagoshi, N.; Iwanami, A.; Takeuchi, A.; Hirai, T.; Yoshii, T.; Takeuchi, K.; Mori, K.; Yamada, T.; Seki, S.; et al. Prevalence and Distribution of Diffuse Idiopathic Skeletal Hyperostosis on Whole-spine Computed Tomography in Patients With Cervical Ossification of the Posterior Longitudinal Ligament: A Multicenter Study. Clin. Spine Surg. 2018, 31, E460–E465. [Google Scholar] [CrossRef]
- Okada, E.; Yoshii, T.; Yamada, T.; Watanabe, K.; Katsumi, K.; Hiyama, A.; Watanabe, M.; Nakagawa, Y.; Okada, M.; Endo, T.; et al. Spinal Fractures in Patients with Diffuse Idiopathic Skeletal Hyperostosis: A Nationwide Multi-institution Survey. J. Orthop. Sci. 2019, 24, 601–606. [Google Scholar] [CrossRef] [PubMed]
- Katzuman, W.B.; Huang, M.H.; Kritz-Silverstein, D.; Barret-Connor, E.; Kado, D.M. Diffuse Idiopathic Skeletal Hyperostosis (DISH) and Impaired Physical Function: The Rancho Bernardo Study. J. Am. Geriatr. Soc. 2017, 65, 1476–1481. [Google Scholar] [CrossRef]
- Browner, B.; Jupiter, J.B.; Krettek, C.; Anderson, P.A. Skeletal Trauma, 6th ed.; Elsevier: Amsterdam, The Netherlands, 2019; Volume 34. [Google Scholar]
- Westerveld, L.A.; van Bemmel, J.C.; Dhert, W.J.A.; Oner, F.C.; Verlaan, j.j. Clinical Outcome After Traumatic Spinal Fractures in Patients with Ankylosing Spinal Disorders Compared with Control Patients. Spine J. 2014, 14, 729–740. [Google Scholar] [CrossRef]
- Robinson, Y.; Willander, J.; Olerud, C. Surgical Stabilization Improves Survival of Spinal Fractures Related to Ankylosing Spondylitis. Spine 2015, 40, 1697–1702. [Google Scholar] [CrossRef]
- Sawakami, K.; Watanabe, K.; Sato, T.; Miura, K.; Katsumi, K.; Hosaka, N.; Nomura, S.; Fujikawa, R.; Kikuchi, R.; Tashi, H.; et al. Rib Hyperostosis as A Risk Factor for Poor Prognosis in Cervical Spine Injury Patients with Diffuse Idiopathic Skeletal Hyperostosis. Spine 2020, 45, 300–308. [Google Scholar] [CrossRef]
- Yamamoto, T.; Kobayashi, Y.; Ogura, Y.; Takahashi, Y.; Shinozaki, Y.; Ogawa, J. Delayed Leg Paraplegia Associated with Hyperextension Injury in Patients with Diffuse Idiopathic Skeletal Hyperostosis DISH Case Report and Review of the Literature. J. Surg. Case Rep. 2017, 1, rjx040. [Google Scholar] [CrossRef][Green Version]
- Westerveld, L.A.; Verlaan, J.J.; Oner, F.C. Spinal Fractures in Patients with Ankylosing Spinal Disorders: A Systematic Review of the Literature on Treatment, Neurological Status and Complications. Eur. Spine J. 2009, 18, 145–156. [Google Scholar] [CrossRef]
- Takayama, Y.; Yasuda, Y.; Suzuki, S.; Shibata, Y.; Tatami, Y.; Shibata, K.; Niwa, M.; Sawai, A.; Morimoto, R.; Kato, S.; et al. Relationship Between Abdominal Aortic and Coronary Artery Calcification as Detected by Computed Tomography in Chronic Kidney Disease Patients. Heart Vessel. 2016, 31, 1030–1037. [Google Scholar] [CrossRef] [PubMed]
- Taniwaki, H.; Ishimura, E.; Tabata, T.; Tsujimoto, Y.; Shioi, A.; Shoji, T.; Inaba, M.; Inoue, T.; Nishizawa, Y. Aortic Calcification in Haemodialysis Patients with Diabetes Mellitus. Nephrol. Dial. Transplant. 2005, 20, 2472–2478. [Google Scholar] [CrossRef] [PubMed]
- Yamada, K.; Fujimoto, S.; Nishiura, R.; Komatsu, H.; Tatsumoto, M.; Sato, Y.; Hara, S.; Hisanaga, S.; Ochiai, H.; Nakao, H.; et al. Risk Factors of the Progression of Abdominal Aortic Calcification in Patients on Chronic Haemodialysis. Nephrol. Dial. Transplant. 2007, 22, 2032–2037. [Google Scholar] [CrossRef][Green Version]
- Kanda, Y. Investigation of Freely Available Rasy-to-Use Software ‘EZR’ for Medical Statistics. Bone Marrow Transplant. 2013, 48, 452–458. [Google Scholar] [CrossRef]
- Forestier, J.; Rotes-Querol, J. Senile Ankylosing Hyperostosis of the Spine. Ann. Rheum. Dis. 1950, 9, 321–330. [Google Scholar] [CrossRef]
- Resnick, D.; Shaul, S.R.; Robins, J.M. Diffuse Idiopathic Skeletal Hyperostosis (DISH): Forestier’s Disease with Extraspinal Manifestations. Radiology 1975, 115, 513–524. [Google Scholar] [CrossRef]
- Kagotani, R.; Yoshida, M.; Muraki, S.; Oka, H.; Hashizume, H.; Yamada, H.; Enyo, Y.; Nagata, K.; Ishimoto, Y.; Teraguchi, M.; et al. Prevalence of Diffuse Idiopathic Skeletal Hyperostosis (DISH) of the Whole Spine and Its Association with Lumbar Spondylosis and Knee Osteoarthritis: The ROAD Study. J. Bone Miner. Metab. 2015, 33, 221–229. [Google Scholar] [CrossRef] [PubMed]
- Mader, R.; Lavi, I. Diabetes Mellitus and Hypertension as Risk Factors for Early Diffuse Idiopathic Skeletal Hyperostosis (DISH). Osteoarthr. Cartil. 2009, 17, 825–828. [Google Scholar] [CrossRef] [PubMed]
- Kiss, C.; Szilagyi, M.; Paksy, A.; Poór, G. Risk Factors for Diffuse Idiopathic Skeletal Hyperostosis: A Case Control Study. Rheumatology 2002, 41, 27–30. [Google Scholar] [CrossRef]
- Mader, R.; Sarzi-Puttini, P.; Atzeni, F.; Olivieri, I.; Pappone, N.; Verlaan, J.-J.; Buskila, D. Extraspinal Manifestations of Diffuse Idiopathic Skeletal Hyperostosis. Rheumatology 2009, 48, 1478–1481. [Google Scholar] [CrossRef]
- Hasegawa, K.; Takahashi, H.; Iida, Y.; Yokoyama, Y.; Furutake, K.; Takamatsu, K.; Nakamura, K.; Suzuki, D.; Shishikura, W.; Tsuge, S.; et al. Spontaneous Symptomatic Pseudoarthrosis at the L2-L3 Intervertebral Space with Diffuse Idiopathic Skeletal Hyperostosis: A Case Report. Case Rep. Orthop. 2013, 2013, 497458. [Google Scholar] [CrossRef]
- Okada, E.; Tsuji, T.; Shimizu, K.; Kato, M.; Fukuda, K.; Kaneko, S.; Ogawa, J.; Watanabe, K.; Ishii, K.; Nakamura, M.; et al. CT-based Morphological Analysis of Spinal Fractures in Patients with Diffuse Idiopathic Skeletal Hyperostosis. J. Orthop. Sci. 2017, 22, 3–9. [Google Scholar] [CrossRef]
- Rustagi, T.; Drazin, D.; Oner, C.; York, J.; Schroeder, G.D.; Vaccaro, A.R.; Oskouian, R.J.; Chapman, J.R. Fractures in Spinal Ankylosing Disorders: A Narrative Review of Disease and Injury Types, Treatment Techniques, and Outcomes. J. Orthop. Trauma 2017, 31, S57–S74. [Google Scholar] [CrossRef]
- Holton, K.F.; Denard, P.J.; Yoo, J.U.; Kado, D.M.; Barrett-Connor, E.; Marshall, L.M.; Osteoprotic Fractures in Men (MrOS) Study Group. Diffuse Idiopathic Skeletal Hyperostosis and Its Relation to Back Pain Among Older Men: The MrOS Study. Semin. Arthritis Rheum. 2011, 41, 131–138. [Google Scholar] [CrossRef]
- Westerveld, L.A.; Quarles van Ufford, H.M.E.; Verlaan, J.J.; Oner, F.C. The Prevalence of Diffuse Idiopathi Skeletal Hyperostosis in an Outpatient Population in the Netherlands. J. Rheumatol. 2008, 35, 1635–1638. [Google Scholar]
- Kim, S.-K.; Choi, B.-R.; Kim, C.-G.; Chung, S.-H.; Choe, J.-Y.; Joo, K.-B.; Bae, S.-C.; Yoo, D.-H.; Jun, J.-B. The Prevalence of Diffuse Idiopathic Skeletal Hyperostosis in Korea. J. Rheumatol. 2004, 31, 2032–2035. [Google Scholar]
- Hirasawa, A.; Wakao, N.; Kamiya, M.; Takeuchi, M.; Kawanami, K.; Murotani, K.; Matsuo, T.; Deie, M. The Prevalence of Diffuse Idiopathic Skeletal Hyperostosis in Japan-The First Report of Measurement by CT and Review of the Literature. J. Orthop. Sci. 2016, 21, 287–290. [Google Scholar] [CrossRef]
- Mori, K.; Kasahara, T.; Mimura, T.; Nishizawa, K.; Nakamura, A.; Imai, S. Prevalence of Thoracic Diffuse Idiopathic Skeletal Hyperostosis (DISH) in Japanese: Results of Chest CT-based Cross-sectional Study. J. Orthop. Sci. 2017, 22, 38–42. [Google Scholar] [CrossRef]
- Toyoda, H.; Terai, H.; Yamada, K.; Suzuki, A.; Dohzono, S.; Matsumoto, T.; Nakamura, H. Prevalence of Diffuse Idiopathic Skeletal Hyperostosis in Patients with Spinal Disorders. Asian Spine J. 2017, 11, 63–70. [Google Scholar] [CrossRef]
- Orden, A.O.; David, J.M.; Díaz, R.P.; Nardi, N.N.; Ejarque, A.C.; Yöchler, A.B. Association of Diffuse Idiopathic Skeletal Hyperostosis and Aortic Valve Sclerosis. Med. (B Aires) 2014, 74, 205–209. [Google Scholar]
- Pappone, N.; Lubrano, E.; Esposito-del Puente, A.; D’Angero, S.; Girolamo, C.D.; Puente, A.D. Prevalence of Diffuse Idiopathic Skeletal Hyperostosis in a Female Italian Population. Clin. Exp. Rheumatol. 2005, 23, 123–124. [Google Scholar] [PubMed]
- Cassim, B.; Mody, G.M.; Rubin, D.L. The Prevalence of Diffuse Idiopathic Skeletal Hyperostosis in African Blacks. Br. J. Rheumatol. 1990, 29, 131–132. [Google Scholar] [CrossRef] [PubMed]
- Pariente-Rodrigo, E.; Sgaramella, G.A.; Olmos-Martínez, J.M.; Pini-Valdivieso, S.F.; Landeras-Alvaro, R.; Hernábdez-Hernández, J.L. Relationship Between Diffuse Idiopathic Skeletal Hyperostosis, Abdominal Aortic Calcification and Associated Metabolic Disorders: Data from the Camargo Cohort. Med. Clin. 2017, 149, 196–202. [Google Scholar] [CrossRef]
- Eckertova, M.; Krskova, K.; Penesova, A.; Radicova, Z.; Zlnay, D.; Rovensky, J.; Zorad, S. Impaired Insulin Secretion and Uptake in Patients with Diffuse Idiopathic Skeletal Hyperostosis. Endocr. Regul. 2009, 43, 149–155. [Google Scholar] [PubMed]
- Yamamoto, T.; Okada, E.; Michikawa, T.; Yoshii, T.; Yamada, T.; Watanabe, K.; Katsumi, K.; Hiyama, A.; Watanabe, M.; Nakagawa, Y.; et al. The Impact of Diabetes Mellitus on Spinal Fracture with Diffuse Idiopathic Skeletal Hyperostosis: A Multicenter Retrospective Study. J. Orthop. Sci. 2021, 20. [Google Scholar] [CrossRef] [PubMed]
- Julkunen, H.; Karava, R.; Viljanen, V. Hyperostosis of the Spine in Diabetes Mellitus and Acromegaly. Diabetologia 1966, 2, 123–126. [Google Scholar] [CrossRef] [PubMed][Green Version]
- Mader, R.; Dubenski, N.; Lavi, I. Morbidity and Mortality of Hospitalized Patients with Diffuse Idiopathic Skeletal Hyperostosis. Rheumatol. Int. 2005, 26, 132–136. [Google Scholar] [CrossRef]
- Oudkerk, S.F.; Mohamed Hoesein, F.A.A.; PThM Mali, W.; Öner, F.C.; Verlaan, J.-J.; de Jong, P.A.; Kinney, G.L.; Hokanson, J.; Lynch, D.; Silverman, E.K.; et al. Subjects with Diffuse Idiopathic Skeletal Hyperostosis Have an Increased Burden of Coronary Artery Disease: An Evaluation in the COPDGene Cohort. Atherosclerosis 2019, 287, 24–29. [Google Scholar] [CrossRef]
- Oudkerk, S.F.; Buckens, C.F.; Mali, W.P.T.M.; De Koning, H.j.; Öner, F.C.; Vlieganthart, R.; Pompe, E.; Lammers, J.-W.J.; Mohamed Hoesein, F.A.A.; Verlaan, J.-J.; et al. Diffuse Idiopathic Skeletal Hyperostosis is Associated with Lower Lung Lolumes in Current and Former Smokers. Am. J. Respir. Crit. Care Med. 2016, 194, 241–242. [Google Scholar] [CrossRef]
- Oudkerk, S.F.; Mohamed Hoesein, F.A.A.; Öner, F.C.; Verlaan, J.-J.; de Jong, P.A.; Kuperus, J.S.; Cho, M.; McDonald, M.-L.; Lynch, D.A.; Silverman, E.K.; et al. Diffuse Idiopathic Skeletal Hyperostosis in Smokers and Restrictive Spirometry Pattern: An Analysis of the COPDGene Cohort. J. Rheumatol. 2019, 47, 531–538. [Google Scholar] [CrossRef]



| DISH (+) (n = 265, 17.4%) | DISH (−) (n = 1254, 82.5%) | p-Value | SMD | |
|---|---|---|---|---|
| Mean age ± SD, yrs | 78.8 ± 10.1 | 67.8 ± 19.5 | <0.001 * | 0.711 |
| Gender, m/f, (% of m) | 185/80 (69.8) | 646/608 (51.6) | <0.001 * | 0.387 |
| BMI ± SD, kg/m2 | 22.1 ± 4.3 | 23.4 ± 3.7 | 0.378 | NA |
| DISH (+) (n = 188) | DISH (−) (n = 188) | p-Value | SMD | |
|---|---|---|---|---|
| Mean age ± SD, yrs | 78.8 ± 9.5 | 79.3 ± 9.5 | 0.564 | 0.060 |
| Gender, m/f, (% m) | 123/65 (65.4) | 117/71 (62.2) | 0.592 | 0.066 |
| BMI ± SD, kg/m2 | 22.2 ± 4.4 | 20.5 ± 4.0 | 0.264 | NA |
| DISH (+) (n = 188) | DISH (−) (n = 188) | p-Value | |
|---|---|---|---|
| Diabetes mellitus, n (%) | 43 (22.9) | 34 (18.1) | 0.313 |
| Medical history of cardiovascular disease, n (%) | 95 (50.5) | 86 (45.7) | 0.352 |
| Mean ACI ± SD, % | 46.4 ± 30.0 | 47.2 ± 30.6 | NA |
| Number of over 50% of ACI, n (%) | 93 (49.5) | 96 (51.1) | 0.756 |
| Number of hyperostosis around the costovertebral joint, n (%) | 86 (45.7) | 12 (6.3) | <0.001 * |
| Mortality within 3 weeks of the initial examination, n (%) | 20 (10.6) | 25 (13.3) | 0.522 |
| DISH (+), n (%) | DISH (−), n (%) | p-Value | |
|---|---|---|---|
| Cerebral infarction | 19 (15.5) | 15 (12.1) | 0.398 |
| Cerebrovascular hemorrhage | 5 (4.0) | 10 (8.1) | 0.188 |
| Cardiac valvulopathy | 3 (2.4) | 2 (1.6) | 0.644 |
| Angina pectoris | 9 (7.3) | 10 (8.1) | 0.825 |
| Myocardial infarction | 15 (12.2) | 9 (7.3) | 0.189 |
| Atrial fibrillation | 14 (11.4) | 9 (7.3) | 0.264 |
| Chronic heart failure | 8 (6.5) | 12 (9.7) | 0.360 |
| Chronic renal failure | 6 (4.9) | 8 (6.5) | 0.592 |
| Hemodialysis | 6 (4.9) | 3 (2.4) | 0.302 |
| Hypertension | 23 (18.8) | 34 (27.6) | 0.103 |
| Pulmonary thromboembolism | 1 (0.8) | 2 (1.6) | 0.566 |
| Arteriosclerosis obliterans | 1 (0.8) | 1 (0.8) | 0.995 |
| Aortic aneurysm | 9 (7.3) | 3 (2.4) | 0.073 |
| Aortic dissection | 3 (2.4) | 5 (4.0) | 0.479 |
Publisher’s Note: MDPI stays neutral with regard to jurisdictional claims in published maps and institutional affiliations. |
© 2022 by the authors. Licensee MDPI, Basel, Switzerland. This article is an open access article distributed under the terms and conditions of the Creative Commons Attribution (CC BY) license (https://creativecommons.org/licenses/by/4.0/).
Share and Cite
Ikuma, H.; Hirose, T.; Nakamura, D.; Yamashita, K.; Ueda, M.; Sasaki, K.; Kawasaki, K. The Prevalence and Characteristics of Diffuse Idiopathic Skeletal Hyperostosis (DISH): A Cross-Sectional Study of 1519 Japanese Individuals. Diagnostics 2022, 12, 1088. https://doi.org/10.3390/diagnostics12051088
Ikuma H, Hirose T, Nakamura D, Yamashita K, Ueda M, Sasaki K, Kawasaki K. The Prevalence and Characteristics of Diffuse Idiopathic Skeletal Hyperostosis (DISH): A Cross-Sectional Study of 1519 Japanese Individuals. Diagnostics. 2022; 12(5):1088. https://doi.org/10.3390/diagnostics12051088
Chicago/Turabian StyleIkuma, Hisanori, Tomohiko Hirose, Dai Nakamura, Kazutaka Yamashita, Masataka Ueda, Kazuhiro Sasaki, and Keisuke Kawasaki. 2022. "The Prevalence and Characteristics of Diffuse Idiopathic Skeletal Hyperostosis (DISH): A Cross-Sectional Study of 1519 Japanese Individuals" Diagnostics 12, no. 5: 1088. https://doi.org/10.3390/diagnostics12051088
APA StyleIkuma, H., Hirose, T., Nakamura, D., Yamashita, K., Ueda, M., Sasaki, K., & Kawasaki, K. (2022). The Prevalence and Characteristics of Diffuse Idiopathic Skeletal Hyperostosis (DISH): A Cross-Sectional Study of 1519 Japanese Individuals. Diagnostics, 12(5), 1088. https://doi.org/10.3390/diagnostics12051088

