Postoperative Findings of Common Foot and Ankle Surgeries: An Imaging Review
Abstract
:1. Introduction
2. Osteotomies
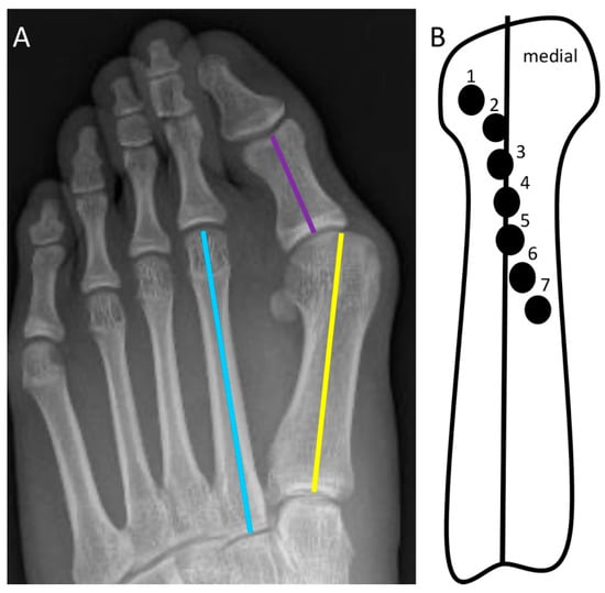
2.1. Hallux Valgus and Metatarsus Primus Varus
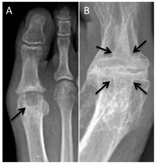
2.2. Akin Osteotomy
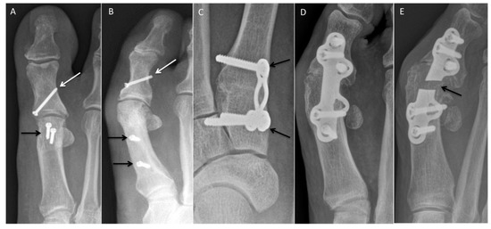
2.3. Chevron Osteotomy
2.4. Reverdin Osteotomy
2.5. Scarf Osteotomy
2.6. First-Metatarsal Base Closing Wedge Osteotomy
2.7. Lapidus Arthrodesis
2.8. First Metatarsophalangeal Arthrodesis
2.9. Bunionectomy and Bunionettectomy
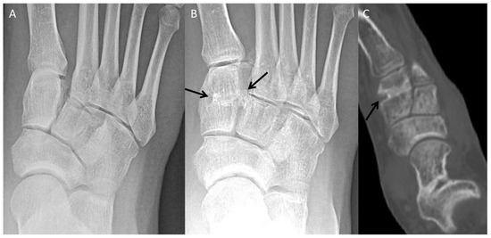
2.10. Second-Metatarsal Shortening
2.11. Calcaneal Osteotomy
2.12. Single-Plane Translational Osteotomy
2.13. Closing-Wedge Osteotomy
2.14. Rotational Osteotomy
2.15. Medial Cuneiform Opening-Wedge Osteotomy
3. Arthrodeses
3.1. Hindfoot
3.2. Subtalar
3.3. Triple Arthrodesis
3.4. Tibiotalar
4. Osseous Resection
4.1. Accessory Navicular Resection
4.2. Cheilectomy
5. Articular Implants
5.1. Polyvinyl Alcohol Hydrogel Hemiarthroplasty/Synthetic Cartilage Implant (SCI)
5.2. Silastic Implant
5.3. Subtalar Arthroereisis
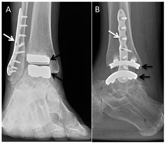
5.4. Total Ankle Arthroplasty
Funding
Institutional Review Board Statement
Conflicts of Interest
References
- Belatti, D.A.; Phisitkul, P. Economic Burden of Foot and Ankle Surgery in the US Medicare Population. Foot Ankle Int. 2014, 35, 334–340. [Google Scholar] [CrossRef] [PubMed]
- Martin DE, P.J. Introduction and evaluation of hallux abducto valgus. In McGlamry’s Comprehensive Textbook of Foot and Ankle Surgery; McGlamry, E.D., Banks, A.S., Eds.; Lippincott Williams & Wilkins: Philadelphia, PA, USA, 2001; pp. 481–491. ISBN 978-0-683-30471-8. [Google Scholar]
- Ramdass, R.; Meyr, A.J. The Multiplanar Effect of First Metatarsal Osteotomy on Sesamoid Position. J. Foot Ankle Surg. Off. Publ. Am. Coll. Foot Ankle Surg. 2010, 49, 63–67. [Google Scholar] [CrossRef] [Green Version]
- Springer, K.R. The Role of the Akin Osteotomy in the Surgical Management of Hallux Abducto Valgus. Clin. Podiatr. Med. Surg. 1989, 6, 115–131. [Google Scholar] [PubMed]
- Austin, D.W.; Leventen, E.O. A New Osteotomy for Hallux Valgus: A Horizontally Directed “V” Displacement Osteotomy of the Metatarsal Head for Hallux Valgus and Primus Varus. Clin. Orthop. 1981, 157, 25–30. [Google Scholar] [CrossRef] [Green Version]
- Johnson, K.A.; Cofield, R.H.; Morrey, B.F. Chevron Osteotomy for Hallux Valgus. Clin. Orthop. 1979, 142, 44–47. [Google Scholar] [CrossRef]
- Kalish, S.R.; Spector, J.E. The Kalish Osteotomy. A Review and Retrospective Analysis of 265 Cases. J. Am. Podiatr. Med. Assoc. 1994, 84, 237–242. [Google Scholar] [CrossRef] [PubMed]
- Isham, S.A. The Reverdin-Isham Procedure for the Correction of Hallux Abducto Valgus. A Distal Metatarsal Osteotomy Procedure. Clin. Podiatr. Med. Surg. 1991, 8, 81–94. [Google Scholar] [PubMed]
- Weil, L.S. Scarf Osteotomy for Correction of Hallux Valgus. Historical Perspective, Surgical Technique, and Results. Foot Ankle Clin. 2000, 5, 559–580. [Google Scholar]
- Nigro, J.S.; Greger, G.M.; Catanzariti, A.R. Closing Base Wedge Osteotomy. J. Foot Surg. 1991, 30, 494–505. [Google Scholar]
- Hofbauer, M.H.; Grossman, J.P. The Lapidus Procedure. Clin. Podiatr. Med. Surg. 1996, 13, 485–496. [Google Scholar]
- Coughlin, M.J. Lesser Toe Abnormalities. Instr. Course Lect. 2003, 52, 421–444. [Google Scholar] [CrossRef] [PubMed]
- Barouk, L.S. Weil’s metatarsal osteotomy in the treatment of metatarsalgia. Orthopade 1996, 25, 338–344. [Google Scholar] [CrossRef] [PubMed]
- Hart, R.; Janecek, M.; Bucek, P. The Weil osteotomy in metatarsalgia. Z. Orthop. Ihre Grenzgeb. 2003, 141, 590–594. [Google Scholar] [CrossRef] [PubMed]
- Dwyer, F.C. Osteotomy of the Calcaneum for Pes Cavus. J. Bone Jt. Surg. Br. 1959, 41, 80–86. [Google Scholar] [CrossRef] [PubMed]
- Evans, D. Calcaneo-Valgus Deformity. J. Bone Jt. Surg. Br. 1975, 57, 270–278. [Google Scholar] [CrossRef]
- Kraus, J.C.; Fischer, M.T.; McCormick, J.J.; Klein, S.E.; Johnson, J.E. Geometry of the Lateral Sliding, Closing Wedge Calcaneal Osteotomy: Review of the Two Methods and Technical Tip to Minimize Shortening. Foot Ankle Int. 2014, 35, 238–242. [Google Scholar] [CrossRef] [PubMed]
- Saltzman, C.L.; el-Khoury, G.Y. The Hindfoot Alignment View. Foot Ankle Int. 1995, 16, 572–576. [Google Scholar] [CrossRef]
- Greenfield, S.; Cohen, B. Calcaneal Osteotomies: Pearls and Pitfalls. Foot Ankle Clin. 2017, 22, 563–571. [Google Scholar] [CrossRef]
- Matthews, M.; Cook, E.A.; Cook, J.; Johnson, L.; Karthas, T.; Collier, B.; Hansen, D.; Manning, E.; McKenna, B.; Basile, P. Long-Term Outcomes of Corrective Osteotomies Using Porous Titanium Wedges for Flexible Flatfoot Deformity Correction. J. Foot Ankle Surg. Off. Publ. Am. Coll. Foot Ankle Surg. 2018, 57, 924–930. [Google Scholar] [CrossRef]
- Wu, B.; Huang, G.; Ding, Z. Application Strategy of Ankle and Hindfoot Arthrodesis. Zhongguo Xiu Fu Chong Jian Wai Ke Za Zhi Zhongguo Xiufu Chongjian Waike Zazhi Chin. J. Reparative Reconstr. Surg. 2016, 30, 514–517. [Google Scholar]
- Wülker, N.; Flamme, C. Hindfoot arthrodesis. Orthopade 1996, 25, 177–186. [Google Scholar] [PubMed]
- Wapner, K.L. Triple Arthrodesis in Adults. J. Am. Acad. Orthop. Surg. 1998, 6, 188–196. [Google Scholar] [CrossRef] [PubMed]
- Wang, L.; Gui, J.; Gao, F.; Yu, Z.; Jiang, Y.; Xu, Y.; Shen, H. Modified Posterior Portals for Hindfoot Arthroscopy. Arthrosc. J. Arthrosc. Relat. Surg. Off. Publ. Arthrosc. Assoc. N. Am. Int. Arthrosc. Assoc. 2007, 23, 1116–1123. [Google Scholar] [CrossRef] [PubMed]
- Stone, J.W. Arthroscopic Ankle Arthrodesis. Foot Ankle Clin. 2006, 11, 361–368. [Google Scholar] [CrossRef] [PubMed]
- Thordarson, D.B.; Markolf, K.; Cracchiolo, A. Stability of an Ankle Arthrodesis Fixed by Cancellous-Bone Screws Compared with That Fixed by an External Fixator. A Biomechanical Study. J. Bone Jt. Surg. Am. 1992, 74, 1050–1055. [Google Scholar] [CrossRef]
- Betz, M.M.; Benninger, E.E.; Favre, P.P.; Wieser, K.K.; Vich, M.M.; Espinosa, N. Primary Stability and Stiffness in Ankle Arthrodes-Crossed Screws versus Anterior Plating. Foot Ankle Surg. Off. J. Eur. Soc. Foot Ankle Surg. 2013, 19, 168–172. [Google Scholar] [CrossRef] [Green Version]
- Clifford, C.; Berg, S.; McCann, K.; Hutchinson, B. A Biomechanical Comparison of Internal Fixation Techniques for Ankle Arthrodesis. J. Foot Ankle Surg. Off. Publ. Am. Coll. Foot Ankle Surg. 2015, 54, 188–191. [Google Scholar] [CrossRef]
- Al-Khudairi, N.; Welck, M.J.; Brandao, B.; Saifuddin, A. The Relationship of MRI Findings and Clinical Features in Symptomatic and Asymptomatic Os Naviculare. Clin. Radiol. 2019, 74, 80.e1–80.e6. [Google Scholar] [CrossRef]
- Chan, B.Y.; Markhardt, B.K.; Williams, K.L.; Kanarek, A.A.; Ross, A.B. Os Conundrum: Identifying Symptomatic Sesamoids and Accessory Ossicles of the Foot. AJR Am. J. Roentgenol. 2019, 213, 417–426. [Google Scholar] [CrossRef]
- Roddy, E.; Menz, H.B. Foot Osteoarthritis: Latest Evidence and Developments. Ther. Adv. Musculoskelet. Dis. 2018, 10, 91–103. [Google Scholar] [CrossRef]
- Cha, S.-M.; Shin, H.-D.; Kim, K.-C.; Lee, J.-K. Simple Excision vs the Kidner Procedure for Type 2 Accessory Navicular Associated with Flatfoot in Pediatric Population. Foot Ankle Int. 2013, 34, 167–172. [Google Scholar] [CrossRef] [PubMed]
- Anderson, M.R.; Ho, B.S.; Baumhauer, J.F. Current Concepts Review: Hallux Rigidus. Foot Ankle Orthop. 2018, 3, 247301141876446. [Google Scholar] [CrossRef] [Green Version]
- Baumhauer, J.F.; Singh, D.; Glazebrook, M.; Blundell, C.; De Vries, G.; Le, I.L.D.; Nielsen, D.; Pedersen, M.E.; Sakellariou, A.; Solan, M.; et al. Prospective, Randomized, Multi-Centered Clinical Trial Assessing Safety and Efficacy of a Synthetic Cartilage Implant Versus First Metatarsophalangeal Arthrodesis in Advanced Hallux Rigidus. Foot Ankle Int. 2016, 37, 457–469. [Google Scholar] [CrossRef]
- Younger, A.S.E.; Baumhauer, J.F. Polyvinyl Alcohol Hydrogel Hemiarthroplasty of the Great Toe: Technique and Indications. Tech. Foot Ankle Surg. 2013, 12, 164–169. [Google Scholar] [CrossRef] [Green Version]
- Lemon, B.; Pupp, G.R. Long-Term Efficacy of Total SILASTIC Implants: A Subjective Analysis. J. Foot Ankle Surg. Off. Publ. Am. Coll. Foot Ankle Surg. 1997, 36, 341–346; discussion 396–397. [Google Scholar] [CrossRef]
- Sullivan, M.R. Hallux Rigidus: MTP Implant Arthroplasty. Foot Ankle Clin. 2009, 14, 33–42. [Google Scholar] [CrossRef] [PubMed]
- Morgan, S.; Ng, A.; Clough, T. The Long-Term Outcome of Silastic Implant Arthroplasty of the First Metatarsophalangeal Joint: A Retrospective Analysis of One Hundred and Eight Feet. Int. Orthop. 2012, 36, 1865–1869. [Google Scholar] [CrossRef] [Green Version]
- Brage, M.E.; Ball, S.T. Surgical Options for Salvage of End-Stage Hallux Rigidus. Foot Ankle Clin. 2002, 7, 49–73. [Google Scholar] [CrossRef]
- Manaster, B.J. Diagnostic Imaging. In Musculoskeletal: Non-Traumatic Disease; Elsevier: Philadelphia, PA, USA, 2016; ISBN 978-0-323-39252-5. [Google Scholar]
- Nelson, S.C.; Haycock, D.M.; Little, E.R. Flexible Flatfoot Treatment with Arthroereisis: Radiographic Improvement and Child Health Survey Analysis. J. Foot Ankle Surg. Off. Publ. Am. Coll. Foot Ankle Surg. 2004, 43, 144–155. [Google Scholar] [CrossRef]
- Metcalfe, S.A.; Bowling, F.L.; Reeves, N.D. Subtalar Joint Arthroereisis in the Management of Pediatric Flexible Flatfoot: A Critical Review of the Literature. Foot Ankle Int. 2011, 32, 1127–1139. [Google Scholar] [CrossRef]
- Nevalainen, M.T.; Roedl, J.B.; Zoga, A.C.; Morrison, W.B. Imaging Findings of Arthroereisis in Planovalgus Feet. Radiol. Case Rep. 2016, 11, 398–404. [Google Scholar] [CrossRef] [PubMed] [Green Version]
- LiMarzi, G.M.; Scherer, K.F.; Richardson, M.L.; Warden, D.R.; Wasyliw, C.W.; Porrino, J.A.; Pettis, C.R.; Lewis, G.; Mason, C.C.; Bancroft, L.W. CT and MR Imaging of the Postoperative Ankle and Foot. RadioGraphics 2016, 36, 1828–1848. [Google Scholar] [CrossRef] [PubMed]
- Dimmick, S.; Chhabra, A.; Grujic, L.; Linklater, J.M. Acquired Flat Foot Deformity: Postoperative Imaging. In Seminars in Musculoskeletal Radiology; Thieme Medical Publishers: New York, NY, USA, 2012; Volume 16, pp. 217–232. [Google Scholar] [CrossRef]
- Haddad, S.L.; Coetzee, J.C.; Estok, R.; Fahrbach, K.; Banel, D.; Nalysnyk, L. Intermediate and Long-Term Outcomes of Total Ankle Arthroplasty and Ankle Arthrodesis. A Systematic Review of the Literature. J. Bone Jt. Surg. Am. 2007, 89, 1899–1905. [Google Scholar] [CrossRef]
- Kim, H.J.; Suh, D.H.; Yang, J.H.; Lee, J.W.; Kim, H.J.; Ahn, H.S.; Han, S.W.; Choi, G.W. Total Ankle Arthroplasty versus Ankle Arthrodesis for the Treatment of End-Stage Ankle Arthritis: A Meta-Analysis of Comparative Studies. Int. Orthop. 2017, 41, 101–109. [Google Scholar] [CrossRef] [PubMed]
- Hanna, R.S.; Haddad, S.L.; Lazarus, M.L. Evaluation of Periprosthetic Lucency after Total Ankle Arthroplasty: Helical CT versus Conventional Radiography. Foot Ankle Int. 2007, 28, 921–926. [Google Scholar] [CrossRef] [PubMed]













Publisher’s Note: MDPI stays neutral with regard to jurisdictional claims in published maps and institutional affiliations. |
© 2022 by the authors. Licensee MDPI, Basel, Switzerland. This article is an open access article distributed under the terms and conditions of the Creative Commons Attribution (CC BY) license (https://creativecommons.org/licenses/by/4.0/).
Share and Cite
Soltanolkotabi, M.; Mallory, C.; Allen, H.; Chan, B.Y.; Mills, M.K.; Leake, R.L. Postoperative Findings of Common Foot and Ankle Surgeries: An Imaging Review. Diagnostics 2022, 12, 1090. https://doi.org/10.3390/diagnostics12051090
Soltanolkotabi M, Mallory C, Allen H, Chan BY, Mills MK, Leake RL. Postoperative Findings of Common Foot and Ankle Surgeries: An Imaging Review. Diagnostics. 2022; 12(5):1090. https://doi.org/10.3390/diagnostics12051090
Chicago/Turabian StyleSoltanolkotabi, Maryam, Chris Mallory, Hailey Allen, Brian Y. Chan, Megan K. Mills, and Richard L. Leake. 2022. "Postoperative Findings of Common Foot and Ankle Surgeries: An Imaging Review" Diagnostics 12, no. 5: 1090. https://doi.org/10.3390/diagnostics12051090
APA StyleSoltanolkotabi, M., Mallory, C., Allen, H., Chan, B. Y., Mills, M. K., & Leake, R. L. (2022). Postoperative Findings of Common Foot and Ankle Surgeries: An Imaging Review. Diagnostics, 12(5), 1090. https://doi.org/10.3390/diagnostics12051090

