Visual Aura Secondary to Supratentorial Lipomatous Meningioma: A Rare Case Report
Abstract
1. Introduction
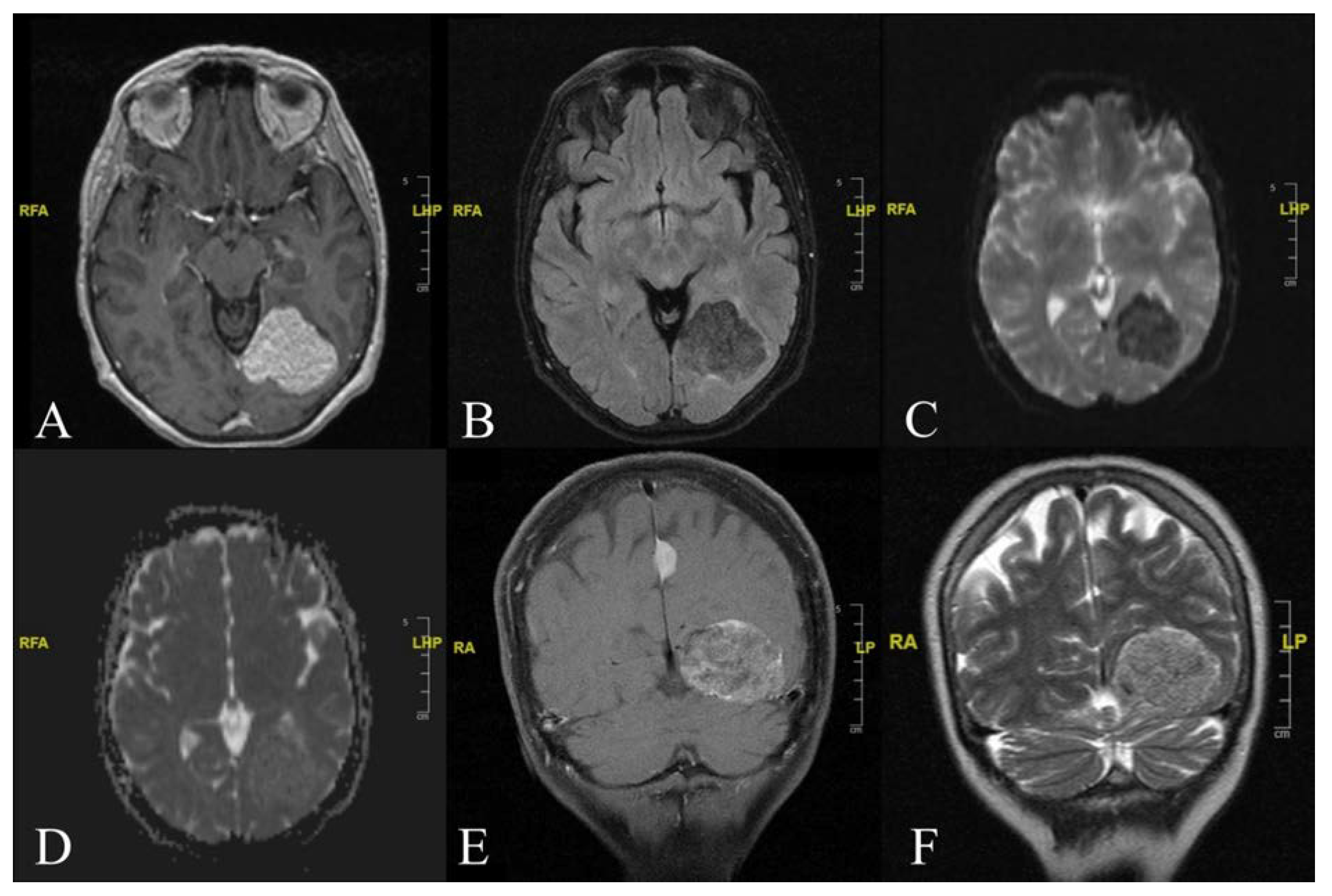
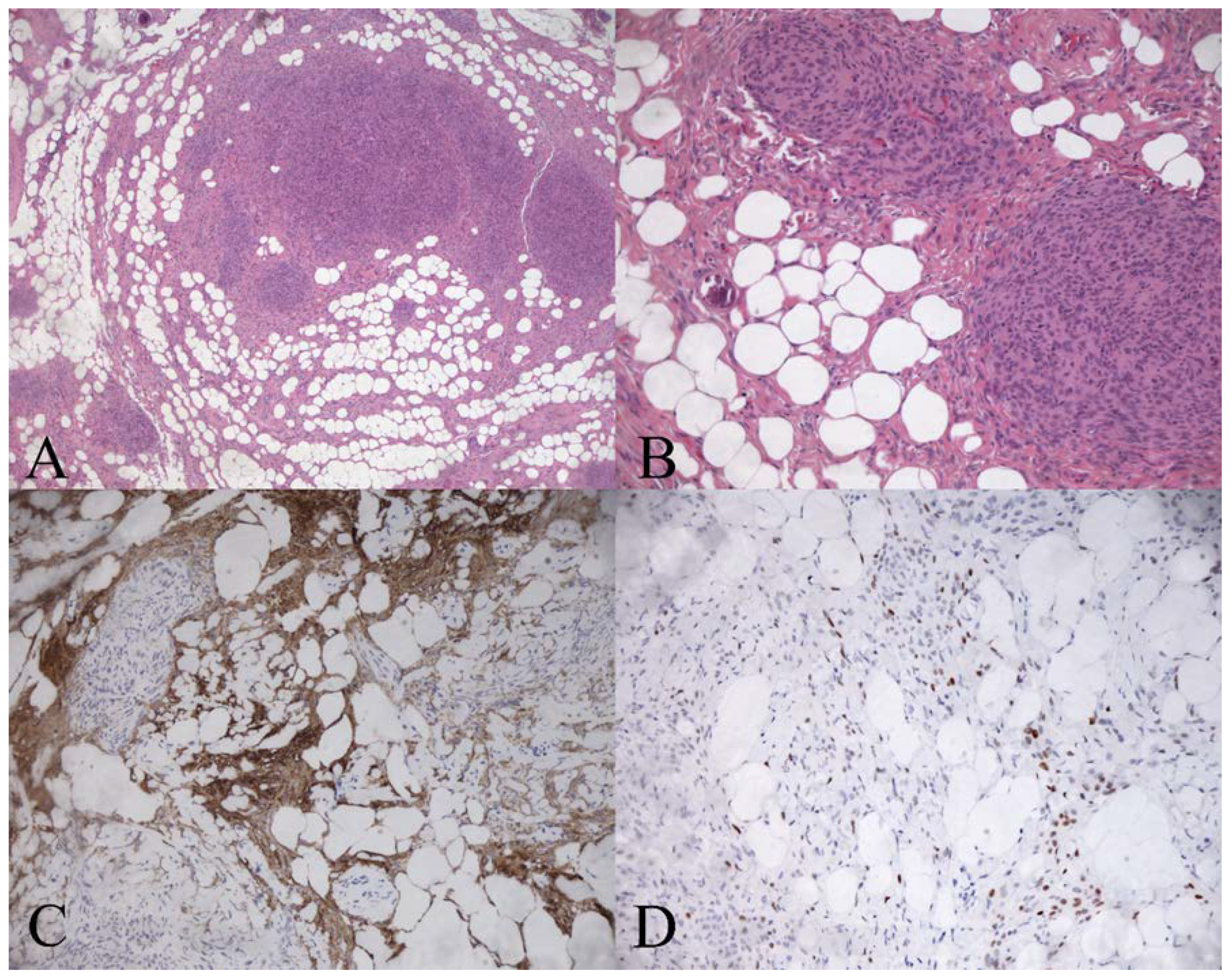
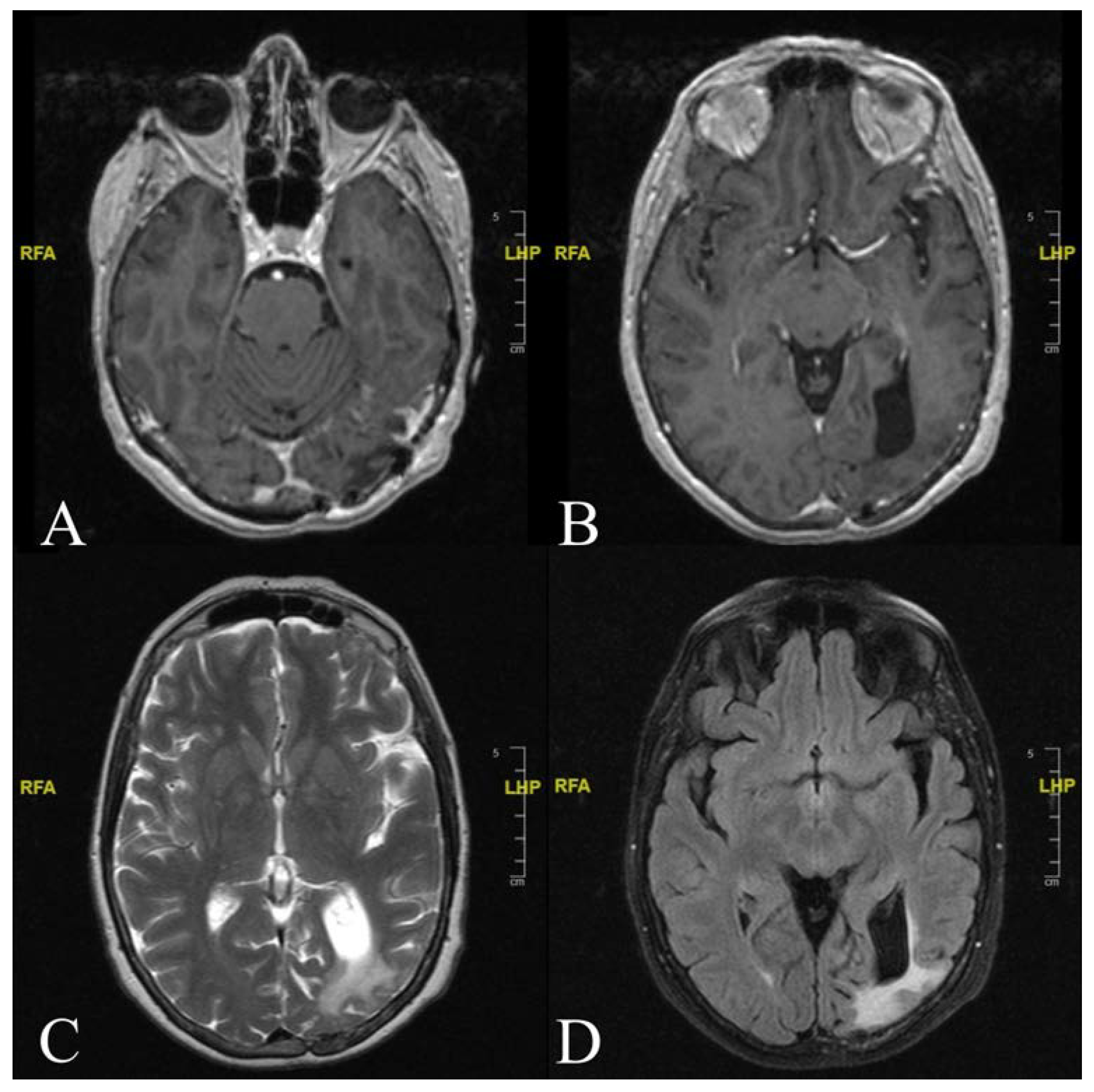
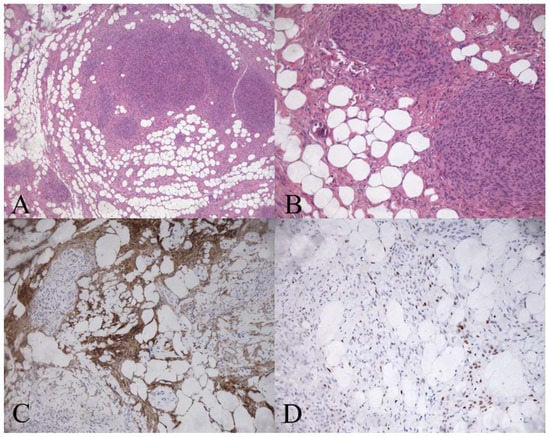
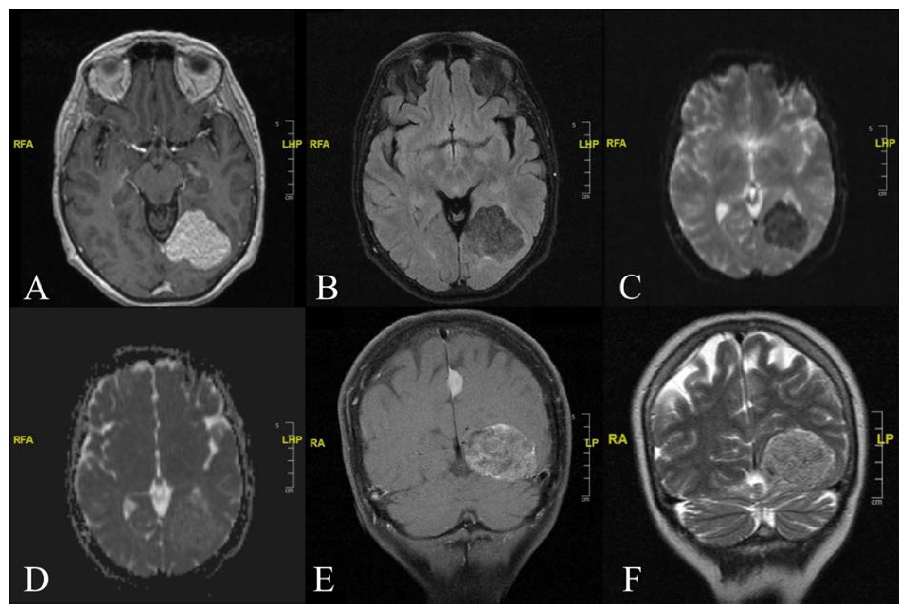
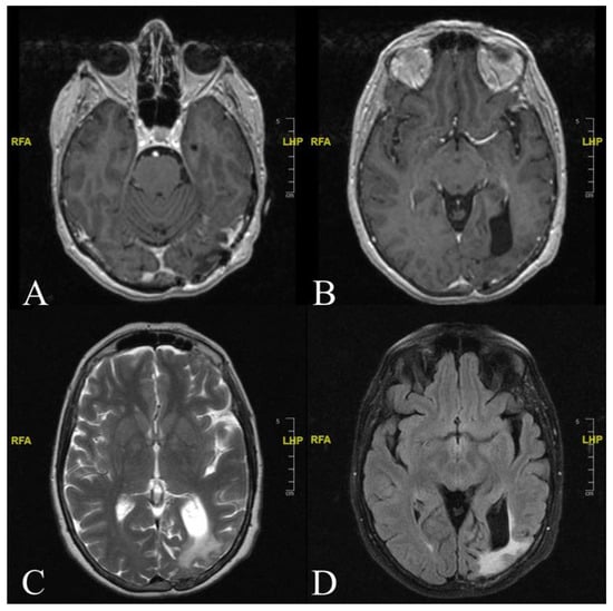
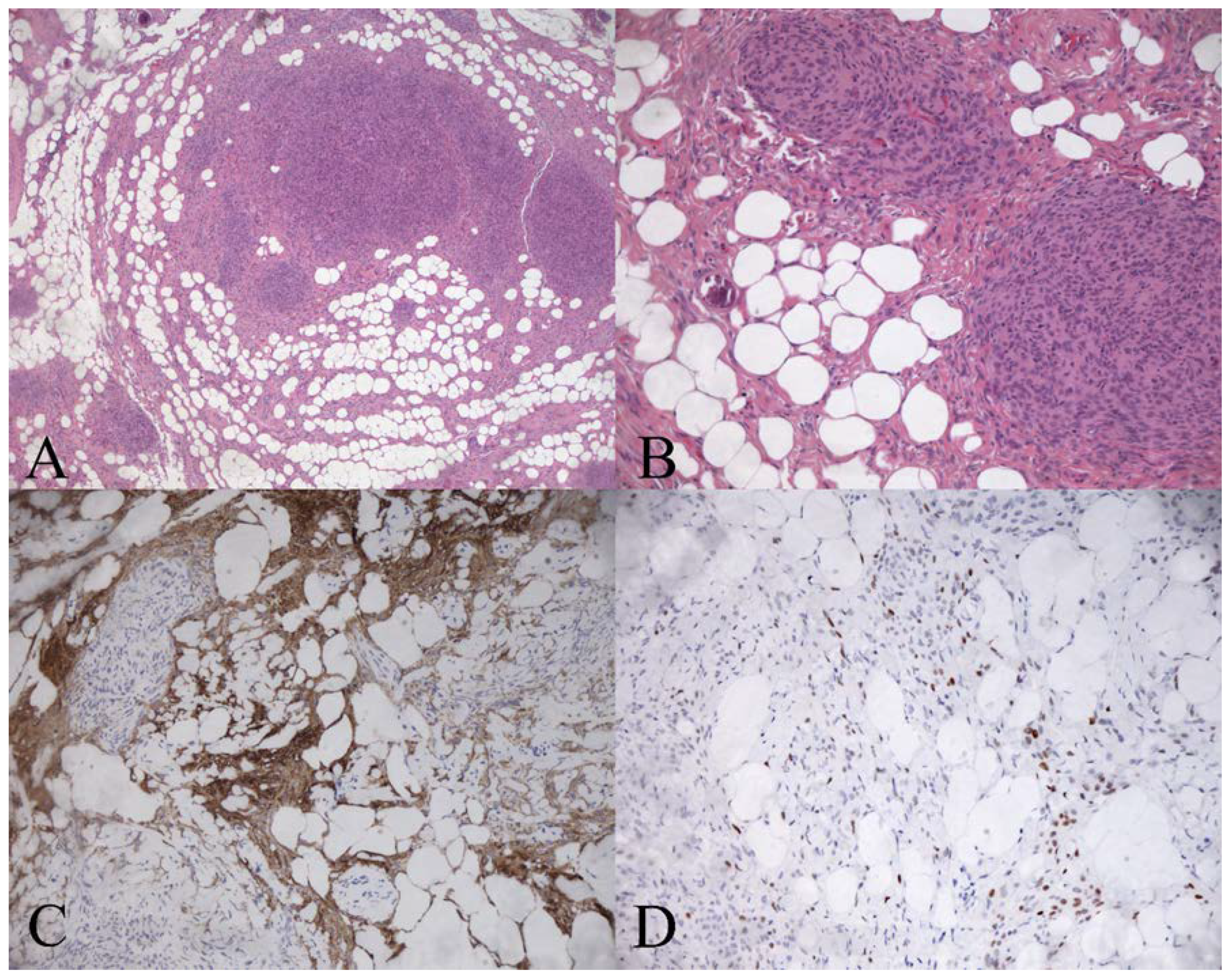
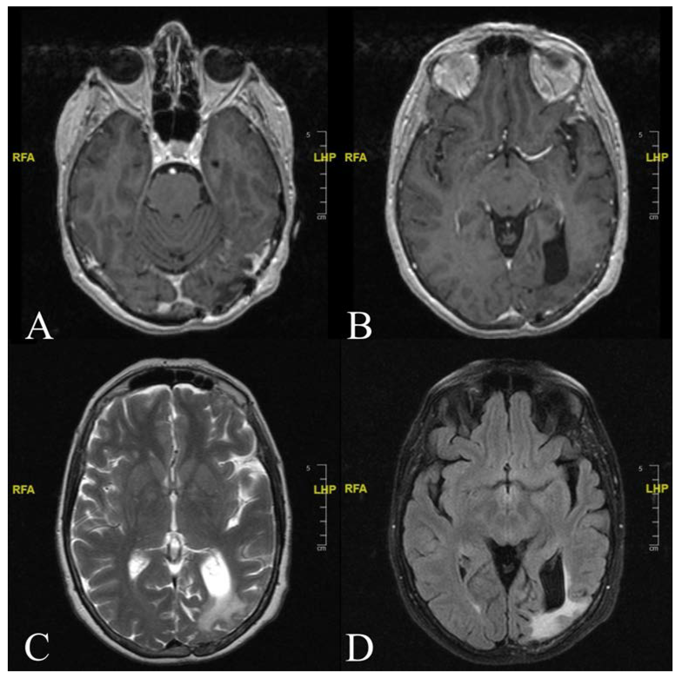
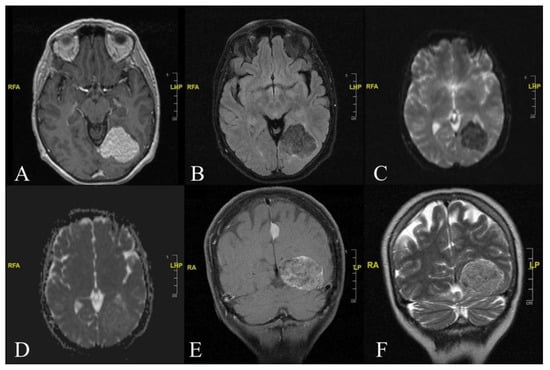
2. Case Report
3. Discussion
4. Conclusions
Author Contributions
Funding
Institutional Review Board Statement
Informed Consent Statement
Conflicts of Interest
References
- Perry, A.; Louis, D.N.; Scheithauer, B.W.; Budka, H.; von Deimling, A. Meningiomas. In World Health Organization Classification of Tumours of the Central Nervous System; Louis, D.N., Ohgaki, H., Wiestler, O.D., Cavenee, W.K., Eds.; Springer: Berlin /Heidelberg, Germany, 2007; pp. 164–172. [Google Scholar]
- Roncaroli, F.; Scheithauer, B.W.; Laeng, R.H.; Cenacchi, G.; Abell-Aleff, P.; Moschopulos, M. Lipomatous meningioma: A clinicopathologic study of 18 cases with special reference to the issue of metaplasia. Am. J. Surg. Pathol. 2001, 25, 769–775. [Google Scholar] [CrossRef] [PubMed]
- Gasparinho, M.G.; Ferreira, M.; Lavrador, J.P.; Livraghi, S. Revisiting lipomatous meningioma: A case report and review of an unusual entity. Int J. Surg. Pathol. 2015, 23, 399–403. [Google Scholar] [CrossRef] [PubMed]
- Carlotti Junior, C.G.; Colli, B.O.; Chimelli, L.; Santos, A.C.D.; Junior, J.E. Lipoblastic meningioma: Case report. Arq. Neuropsiquiatr. 1998, 36, 661–665. [Google Scholar] [CrossRef] [PubMed][Green Version]
- Jaiswal, A.K.; Mehrotra, A.; Kumar, B.; Jaiswal, S.; Vij, M.; Behari, S.; Pal, L. Lipomatous meningioma: A study of five cases with brief review of literature. Neurol. India 2011, 59, 87–91. [Google Scholar] [CrossRef] [PubMed]
- Mariniello, G.; Spaziante, R.; Dal Basso De Caro, M.L.; de Divitiis, E. An unusual case of lipoblastic meningioma of the falx cerebri. Clin. Neurol. Neurosurg. 2000, 102, 180–185. [Google Scholar] [CrossRef]
- Lapolla, P.; Familiari, P.; Zancana, G.; Bruzzaniti, P.; Chen, R.; Li, X.; Familiari, G.; Santoro, A. Lipomatous Meningioma: Clinical-Pathological Findings, Imaging Characterisation and Correlations of a Rare Type of Meningioma. In Vivo 2021, 35, 3031–3037. [Google Scholar] [CrossRef] [PubMed]
- Wang, H.Z.; Simonson, T.M.; Greco, W.R.; Yuh, W.T. Brain MR imaging in the evaluation of chronic headache in patients without other neurologic symptoms. Acad. Radiol. 2001, 8, 405–408. [Google Scholar] [CrossRef]
- Schankin, C.J.; Krumbholz, M.; Sostak, P.; Reinisch, V.M.; Goldbrunner, R.; Straube, A. Headache in patients with a meningioma correlates with a bone-invasive growth pattern but not with cytokine expression. Cephalalgia 2010, 30, 413–424. [Google Scholar] [CrossRef] [PubMed]
- Randolph WEvans, M.D.; Timm, J.S.; Baskin, D.S.; FACS; FAANS. A Left Frontal Secretory Meningioma Can Mimic Transformed Migraine with and Without Aura. Headache 2015, 55, 849–852. [Google Scholar]
- Shimizu, Y.; Yamane, K.; Tsutsumi, Y.; Sato, K.; Yamaguchi, K. A case of migraine with aura associ- ated with meningioma. Rinsho Shinkeigaku 1993, 33, 396–399. [Google Scholar] [PubMed]
- Wirth, F.P.; Van Buren, J.M. Referral of pain from dural stimulation in man. J. Neurosurg. 1971, 34, 630–642. [Google Scholar] [CrossRef] [PubMed]
- Guenther, F.; Swozil, F.; Heber, S.; Buchfelder, M.; Messlinger, K.; Fischer, M.J.M. Pre-and postoperative headache in patients with meningioma. Cephalalgia 2018, 39, 533–543. [Google Scholar] [CrossRef] [PubMed]
- Goffaux, P.; Fortin, D. Brain tumour headaches: From bedside to bench. Neurosurgery 2010, 67, 459–466. [Google Scholar] [CrossRef] [PubMed]




Publisher’s Note: MDPI stays neutral with regard to jurisdictional claims in published maps and institutional affiliations. |
© 2022 by the authors. Licensee MDPI, Basel, Switzerland. This article is an open access article distributed under the terms and conditions of the Creative Commons Attribution (CC BY) license (https://creativecommons.org/licenses/by/4.0/).
Share and Cite
Lapolla, P.; Bruzzaniti, P.; Zancana, G.; Stoppacciaro, A.; Relucenti, M.; Chen, R.; Li, X.; Mingoli, A.; Frati, A.; Familiari, P. Visual Aura Secondary to Supratentorial Lipomatous Meningioma: A Rare Case Report. Diagnostics 2022, 12, 365. https://doi.org/10.3390/diagnostics12020365
Lapolla P, Bruzzaniti P, Zancana G, Stoppacciaro A, Relucenti M, Chen R, Li X, Mingoli A, Frati A, Familiari P. Visual Aura Secondary to Supratentorial Lipomatous Meningioma: A Rare Case Report. Diagnostics. 2022; 12(2):365. https://doi.org/10.3390/diagnostics12020365
Chicago/Turabian StyleLapolla, Pierfrancesco, Placido Bruzzaniti, Giuseppa Zancana, Antonella Stoppacciaro, Michela Relucenti, Rui Chen, Xiaobo Li, Andrea Mingoli, Alessandro Frati, and Pietro Familiari. 2022. "Visual Aura Secondary to Supratentorial Lipomatous Meningioma: A Rare Case Report" Diagnostics 12, no. 2: 365. https://doi.org/10.3390/diagnostics12020365
APA StyleLapolla, P., Bruzzaniti, P., Zancana, G., Stoppacciaro, A., Relucenti, M., Chen, R., Li, X., Mingoli, A., Frati, A., & Familiari, P. (2022). Visual Aura Secondary to Supratentorial Lipomatous Meningioma: A Rare Case Report. Diagnostics, 12(2), 365. https://doi.org/10.3390/diagnostics12020365

