Atypical Polypoid Adenomyoma of the Vagina: Follow Up and Subsequent Evolution: A Case Report and Update
Abstract
:1. Introduction
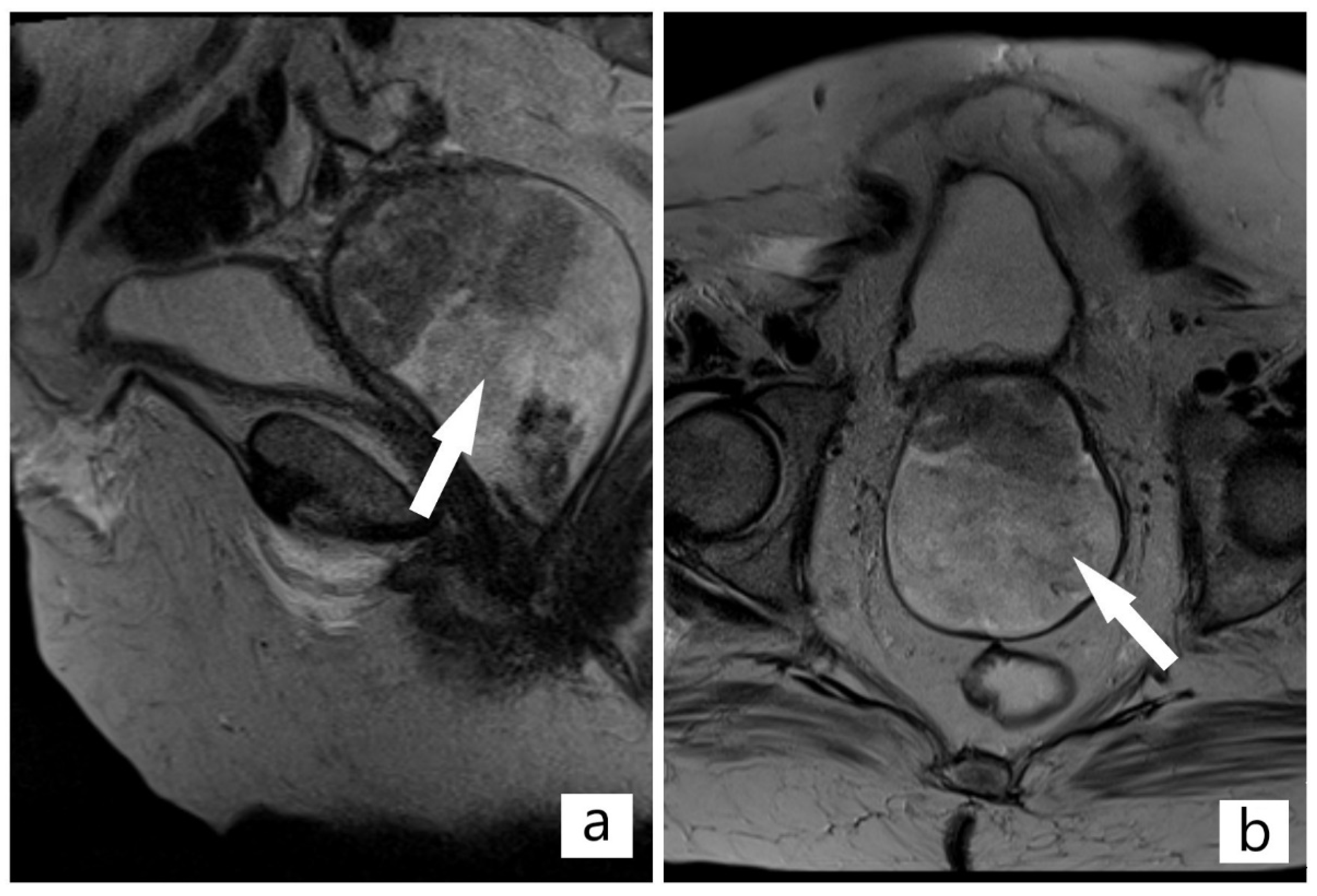
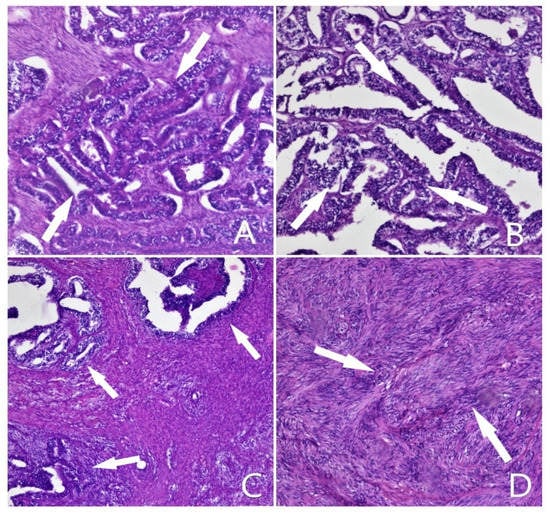
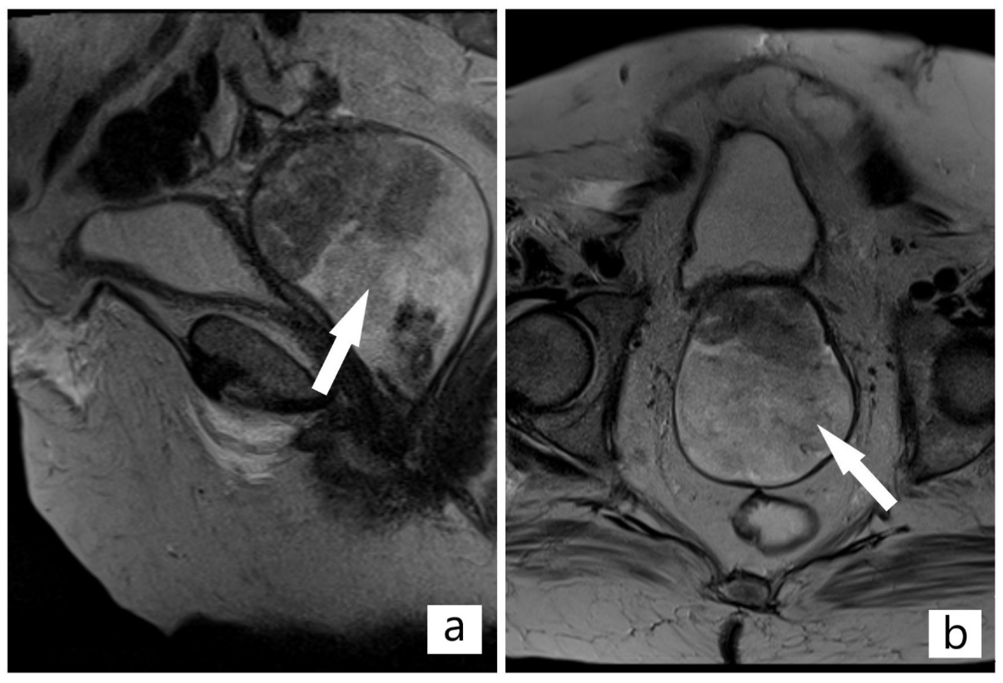
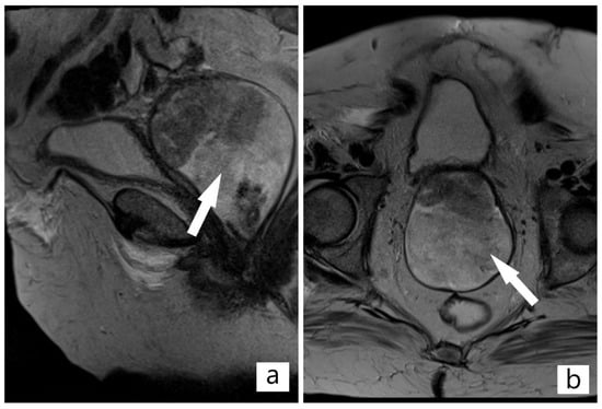
2. Case Presentation
3. Discussion
4. Conclusions
Author Contributions
Funding
Institutional Review Board Statement
Informed Consent Statement
Conflicts of Interest
References
- Grindstaff, S.; Banet, N. Atypical polypoid adenomyoma. Int. J. Gynecol. Cancer 2021, 31, 639–640. [Google Scholar] [CrossRef] [PubMed]
- Grimbizis, G.F.; Mikos, T.; Miliaras, D.; Kioussis, G.; Theodoridis, T.D.; Tsolakidis, D.; Tarlatzis, B.C. Management of atypical polypoid adenomyomas. A case series. Eur. J. Obstet. Gynecol. Reprod. Biol. 2017, 215, 1–5. [Google Scholar] [CrossRef] [PubMed]
- Kalmantis, K.; Daskalakis, G.; Semertzidou, A.; Rodolakis, A. The role of three-dimensional power Doppler hysterosonography (3-DPDS) in distinguishing atypical polypoid adenomyomas (APAs) from other intrauterine tumors: Correlation with pathologic findings. Arch. Gynecol. Obstet. 2017, 296, 391–396. [Google Scholar] [CrossRef] [Green Version]
- Raffone, A.; Travaglino, A.; Saccone, G.; Alviggi, C.; Mascolo, M.; De Placido, G.; Insabato, L.; Mollo, A.; Zullo, F. Management of women with atypical polypoid adenomyoma of the uterus: A quantitative systematic review. Acta Obstet. Gynecol. Scand. 2019, 98, 842–855. [Google Scholar] [CrossRef]
- Matsumoto, T.; Hiura, M.; Baba, T.; Ishiko, O.; Shiozawa, T.; Yaegashi, N.; Kobayashi, H.; Yoshikawa, H.; Kawamura, N.; Kaku, T. Clinical management of atypical polypoid adenomyoma of the uterus. A clinicopathological review of 29 cases. Gynecol. Oncol. 2013, 129, 54–57. [Google Scholar] [CrossRef] [PubMed]
- Javed, L.; Ashraf, N.; Sabqat, M.; Zareen, A. Atypical Polypoid Adenomyoma (APAM). J. Coll. Phys. Surg. Pak. 2021, 30, 719–721. [Google Scholar] [CrossRef]
- Ma, B.; Zhu, Y.; Liu, Y.; Kizaki, T.; Ohara, N. Coexistence of endoetrioid adenomyoma of the uterus: A single center’s experience. Medicine 2018, 97, e0135. [Google Scholar] [CrossRef]
- Sonoyama, A.; Kanda, M.; Ojima, Y.; Kizaki, T.; Ohara, N. Coexistence of endometrioid adenocarcinoma in atypical polypoid adenomyoma. Kobe.J. Med.Sci. 2014, 60, E74–E77. [Google Scholar]
- Huang, C.; Hong, M.K.; Ding, D.C. Endometrial adenomyoma polyp caused postmenopausal bleedinding mimicking uterine malignancy. Gynecol. Minim. Invasive Ther. 2017, 6, 129–131. [Google Scholar] [CrossRef] [Green Version]
- Mikos, T.; Tsolakidis, D.; Grimbizis, G.F. Clinical presentation and management of atypical polypoid adenomyomas: Systematic review of the literature. Eur. J. Obstet. Gynecol. Reprod. Biol. 2019, 236, 14–21. [Google Scholar] [CrossRef]
- Tataru, A.L.; Furau, G.; Afilon, J.; Ionescu, C.; Dimitriu, M.; Bratu, O.G.; Tit, D.M.; Bungau, S.; Furau, C. The Situation of Cervical Cancers in the Context of Female Genital Cancer Clustering and Burden of Disease in Arad County, Romania. J. Clin. Med. 2019, 8, 96. [Google Scholar] [CrossRef] [Green Version]
- Lu, B.; Yu, M.; Shi, H.; Chen, Q. Atypical polypoid adenomyoma of the uterus: A reappraisal of the clinicopathological and immunohistochemical features. Pathol. Res. Pract. 2019, 215, 766–771. [Google Scholar] [CrossRef] [PubMed]
- Jiang, Q.Y.; Wang, L.; Wu, R.J. A multiple perspectives on atypical polypoid adenomyoma of uterus. Gynecol. Endocrinol. 2013, 29, 623–625. [Google Scholar] [CrossRef] [PubMed]
- McCluggage, W.G. A practical approach to the diagnosis of mixed epithelial and mesenchymal tumours of the uterus. Mod. Pathol. 2016, 29 (Suppl. S1), S78–S91. [Google Scholar] [CrossRef] [PubMed] [Green Version]
- World Health Organization and Kurman, R.J. WHO Classification of Tumours of Female Reproductive Organs: This Book Reflects the Views of a Working Group That Convened for a Consensus and Editorial Meeting at the International Agency for Research on Cancer; Agency for Research on Cancer: Lyon, France, 2014. [Google Scholar]
- Visser, N.C.; Breijer, M.C.; Herman, M.C.; Bekkers, R.L.; Veersema, S.; Opmeer, B.C.; Mol, B.W.; Timmermans, A.; Pijnenborg, J.M. Factors attributing to the failure of endometrial sampling in women with postmenopausal bleeding. Acta Obstet. Gynecol. Scand. 2013, 92, 1216–1222. [Google Scholar] [CrossRef]
- Lin, B.-L.; Chin, H.; Ookouchi, M.; Takeda, T.; Suzuki, T.; Ueno, K.; Iwata, S. Invention of a new Lin soft outer sheath as a continuous flow system for diagnostic flexible hysteroscopy. Gynecol. Minim. Invasive Ther. 2015, 4, 87–90. [Google Scholar] [CrossRef] [Green Version]
- Lin, B.-L.; Iida, M.; Yabuno, A.; Higuchi, T.; Murakoshi, Y.; Iwata, S.; Zhao, Y. Removal of endometrial polyps through a small-caliber diagnostic flexible hysteroscope using a Lin polyp snare system. Gynecol. Minim. Invasive Ther. 2013, 2, 18–21. [Google Scholar] [CrossRef]
- Grasso, S.; Loizzi, V.; Minicucci, V.; Resta, L.; Camporeale, A.L.; Cicinelli, E.; Cormio, G. Malignant Mixed Müllerian Tumour of the Uterus: Analysis of 44 Cases. Oncology 2017, 92, 197–204. [Google Scholar] [CrossRef]
- Dueholm, M.; Hjorth, I.M.; Secher, P.; Jørgensen, A.; Ørtoft, G. Structured Hysteroscopic Evaluation of Endometrium in Women With Postmenopausal Bleeding. J. Minim. Invasive Gynecol. 2015, 22, 1215–1224. [Google Scholar] [CrossRef]
- Tsuchiya, T.; Katagiri, Y.; Maemura, T.; Hayata, E.; Fukuda, Y.; Kitamura, M.; Morita, M. Preoperative dienogest to improve the surgical field of view in resectoscopic surgery. Gynecol. Minim. Invasive Ther. 2016, 5, 16–19. [Google Scholar] [CrossRef] [Green Version]
- Zhang, M.; Cheng, S.; Jin, Y.; Zhao, Y.; Wang, Y. Roles of CA125 in diagnosis, prediction, and oncogenesis of ovarian cancer. Biochim. Biophys. Acta Rev. Cancer 2021, 1875, 188503. [Google Scholar] [CrossRef]
- Cantrell, L.A.; Havrilesky, L.; Moore, D.T.; O’Malley, D.; Liotta, M.; Secord, A.A.; Nagel, C.I.; Cohn, D.E.; Fader, A.N.; Wallace, A.H.; et al. A multi-institutional cohort study of adjuvant therapy in stage I-II uterine carcinosarcoma. Gynecol. Oncol. 2012, 127, 22–26. [Google Scholar] [CrossRef] [PubMed]
- Denschlag, D.; Ulrich, U.A. Uterine Carcinosarcomas—Diagnosis and Management. Oncol. Res. Treat. 2018, 41, 675–679. [Google Scholar] [CrossRef] [PubMed]
- El Hallani, S.; Arora, R.; Lin, D.I.; Måsbäc, A.; Mateoiu, C.; McCluggage, W.G.; Nucci, M.R.; Otis, C.N.; Parkash, V.; Parra-Herran, C.; et al. Mixed Endometrioid Adenocarcinoma and Müllerian Adenosarcoma of the Uterus and Ovary: Clinicopathologic Characterization with Emphasis on its Distinction From Carcinosarcoma. Am. J. Surg. Pathol. 2021, 45, 374–383. [Google Scholar] [CrossRef] [PubMed]
- Etoh, T.; Nakai, H. Prognostic factors and status of hormone receptors and angiogenic factors in uterine carcinosarcoma. J. Obstet. Gynaecol. Res. 2014, 40, 820–825. [Google Scholar] [CrossRef]
- Biasioli, A.; Londero, A.P.; Orsaria, M.; Scrimin, F.; Mangino, F.P.; Bertozzi, S.; Mariuzzi, L.; Cagnacci, A. Atypical polypoid adenomyoma follow-up and management: Systematic review of case reports and series and meta-analysis. Medicine 2020, 99, e20491. [Google Scholar] [CrossRef] [PubMed]
- Denschlag, D.; Thiel, F.C.; Ackermann, S.; Harter, P.; Juhasz-Boess, I.; Mallmann, P.; Strauss, H.G.; Ulrich, U.; Horn, L.C.; Schmidt, D.; et al. Sarcoma of the Uterus. Guideline of the DGGG (S2k-Level, AWMF Registry No. 015/074, August 2015). Geburtshilfe Frauenheilkd 2015, 75, 1028–1042. [Google Scholar] [CrossRef] [Green Version]
- Fader, A.N.; Java, J.; Tenney, M.; Ricci, S.; Gunderson, C.C.; Temkin, S.M.; Spirtos, N.; Kushnir, C.L.; Pearl, M.L.; Zivanovic, O.; et al. Impact of histology and surgical approach on survival among women with early-stage, high-grade uterine cancer: An NRG Oncology/Gynecologic Oncology Group ancillary analysis. Gynecol. Oncol. 2016, 143, 460–465. [Google Scholar] [CrossRef] [Green Version]
- Matsuzaki, S.; Klar, M.; Matsuzaki, S.; Roman, L.D.; Sood, A.K.; Matsuo, K. Uterine carcinosarcoma: Contemporary clinical summary, molecular updates, and future research opportunity. Gynecol. Oncol. 2021, 160, 586–601. [Google Scholar] [CrossRef]




Publisher’s Note: MDPI stays neutral with regard to jurisdictional claims in published maps and institutional affiliations. |
© 2022 by the authors. Licensee MDPI, Basel, Switzerland. This article is an open access article distributed under the terms and conditions of the Creative Commons Attribution (CC BY) license (https://creativecommons.org/licenses/by/4.0/).
Share and Cite
Mitranovici, M.I.; Oală, I.E.; Petre, I.; Craina, M.L.; Floruț, S.N.; Chiorean, D.M.; Cocuz, I.G.; Turdean, S.G.; Cotoi, O.S.; Pușcașiu, L. Atypical Polypoid Adenomyoma of the Vagina: Follow Up and Subsequent Evolution: A Case Report and Update. Diagnostics 2022, 12, 368. https://doi.org/10.3390/diagnostics12020368
Mitranovici MI, Oală IE, Petre I, Craina ML, Floruț SN, Chiorean DM, Cocuz IG, Turdean SG, Cotoi OS, Pușcașiu L. Atypical Polypoid Adenomyoma of the Vagina: Follow Up and Subsequent Evolution: A Case Report and Update. Diagnostics. 2022; 12(2):368. https://doi.org/10.3390/diagnostics12020368
Chicago/Turabian StyleMitranovici, Melinda Ildiko, Ioan Emilian Oală, Izabella Petre, Marius Lucian Craina, Silviana Narcisa Floruț, Diana Maria Chiorean, Iuliu Gabriel Cocuz, Sabin Gligore Turdean, Ovidiu Simion Cotoi, and Lucian Pușcașiu. 2022. "Atypical Polypoid Adenomyoma of the Vagina: Follow Up and Subsequent Evolution: A Case Report and Update" Diagnostics 12, no. 2: 368. https://doi.org/10.3390/diagnostics12020368
APA StyleMitranovici, M. I., Oală, I. E., Petre, I., Craina, M. L., Floruț, S. N., Chiorean, D. M., Cocuz, I. G., Turdean, S. G., Cotoi, O. S., & Pușcașiu, L. (2022). Atypical Polypoid Adenomyoma of the Vagina: Follow Up and Subsequent Evolution: A Case Report and Update. Diagnostics, 12(2), 368. https://doi.org/10.3390/diagnostics12020368

