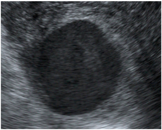
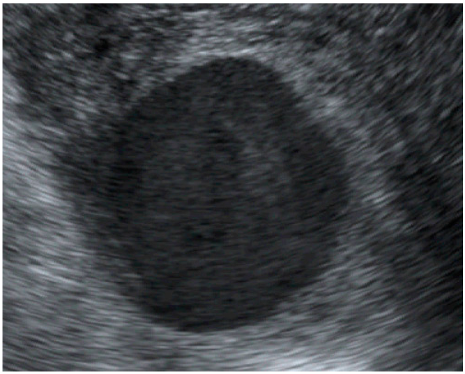
An Unruptured True Aneurysm of the Uterine Artery during Pregnancy
Abstract




Supplementary Materials
Author Contributions
Funding
Informed Consent Statement
Data Availability Statement
Acknowledgments
Conflicts of Interest
References
- Borghese, O.; Pisani, A.; Di Centa, I. True Aneurysm of Ovarian and Uterine Arteries: A Comprehensive Review. Ann. Vasc. Surg. 2021, 72, 610–616. [Google Scholar] [CrossRef] [PubMed]
- Usman, R.; Jamil, M.; Rasheed, M. True Aneurysm of the Uterine Artery in a Young Nulliparous Female: An Extremely Rare Vascular Entity. Ann. Vasc. Dis. 2018, 11, 542–544. [Google Scholar] [CrossRef]
- Nicolaou, M.; Ruben, Y.K.; Peel, C.M.; Kuriakose, A.J.; Paes, T.R.; Jackson, J.E. Spontaneous rupture of a true uterine artery aneurysm: A cause of retroperitoneal haematoma. Br. J. Radiol. 2004, 77, 157–158. [Google Scholar] [CrossRef] [PubMed]
- Sakaguchi, I.; Ohba, T.; Ikeda, O.; Yamashita, Y.; Katabuchi, H. Embolization for post-partum rupture of ovarian artery aneurysm: Case report and review. J. Obstet. Gynaecol. Res. 2015, 41, 623–627. [Google Scholar] [CrossRef] [PubMed]
- Belfort, M.A.; Simon, T.; Kirshon, B.; Howell, J.F. Ruptured ovarian artery aneurysm complicating a term vaginal delivery. South Med. J. 1993, 86, 1073–1074. [Google Scholar] [CrossRef]
- Enakpene, C.A.; Stern, T.; Barzallo Salazar, M.J.; Mukherjee, P. Spontaneous Rupture of an Ovarian Artery Aneurysm: A Rare Postpartum Complication. Case Rep. Obstet. Gynecol. 2016, 2016, 1029561. [Google Scholar] [CrossRef]
- Erdoes, L.S.; Entzian, D. Ruptured traumatic ovarian artery pseudoaneurysm in a pregnant patient. J. Vasc. Surg. Cases 2015, 1, 36–38. [Google Scholar] [CrossRef] [PubMed][Green Version]
- Tsai, M.T.; Lien, W.C. Spontaneous rupture of an ovarian artery aneurysm. Am. J. Obstet. Gynecol. 2009, 200, e7–e9. [Google Scholar] [CrossRef]
- Evans, A.; Gazaille, R.E., 3rd; McKenzie, R.; Musser, M.; Lemming, R.; Curry, J.; Meyers, W.; Austin, N. Acquired uterine arteriovenous fistula following dilatation and curettage: An uncommon cause of vaginal bleeding. Radiol. Case Rep. 2017, 12, 287–291. [Google Scholar] [CrossRef] [PubMed]
- Visconti, F.; Quaresima, P.; Rania, E.; Palumbo, A.R.; Micieli, M.; Zullo, F.; Venturella, R.; Di Carlo, C. Difficult caesarean section: A literature review. Eur. J. Obstet. Gynecol. Reprod. Biol. 2020, 246, 72–78. [Google Scholar] [CrossRef] [PubMed]
- Takeda, J.; Makino, S.; Hirai, C.; Shimanuki, Y.; Inagaki, T.; Itakura, A.; Takeda, S. Assessment of extravasation on ruptured uterine artery pseudoaneurysm using contrast-enhanced ultrasonography during uterine balloon tamponade. J. Int. Med. Res. 2020, 48, 300060519893166. [Google Scholar] [CrossRef]
- Yeniel, A.O.; Ergenoglu, A.M.; Akdemir, A.; Eminov, E.; Akercan, F.; Karadadaş, N. Massive secondary postpartum hemorrhage with uterine artery pseudoaneurysm after cesarean section. Case Rep. Obstet. Gynecol. 2013, 2013, 285846. [Google Scholar] [CrossRef] [PubMed]
- Cooper, B.C.; Hocking-Brown, M.; Sorosky, J.I.; Hansen, W.F. Pseudoaneurysm of the uterine artery requiring bilateral uterine artery embolization. J. Perinatol. 2004, 24, 560–562. [Google Scholar] [CrossRef] [PubMed]
Publisher’s Note: MDPI stays neutral with regard to jurisdictional claims in published maps and institutional affiliations. |
© 2022 by the authors. Licensee MDPI, Basel, Switzerland. This article is an open access article distributed under the terms and conditions of the Creative Commons Attribution (CC BY) license (https://creativecommons.org/licenses/by/4.0/).
Share and Cite
Tantipalakorn, C.; Luewan, S.; Sirilert, S.; Tongsong, T. An Unruptured True Aneurysm of the Uterine Artery during Pregnancy. Diagnostics 2022, 12, 2459. https://doi.org/10.3390/diagnostics12102459
Tantipalakorn C, Luewan S, Sirilert S, Tongsong T. An Unruptured True Aneurysm of the Uterine Artery during Pregnancy. Diagnostics. 2022; 12(10):2459. https://doi.org/10.3390/diagnostics12102459
Chicago/Turabian StyleTantipalakorn, Charuwan, Suchaya Luewan, Sirinart Sirilert, and Theera Tongsong. 2022. "An Unruptured True Aneurysm of the Uterine Artery during Pregnancy" Diagnostics 12, no. 10: 2459. https://doi.org/10.3390/diagnostics12102459
APA StyleTantipalakorn, C., Luewan, S., Sirilert, S., & Tongsong, T. (2022). An Unruptured True Aneurysm of the Uterine Artery during Pregnancy. Diagnostics, 12(10), 2459. https://doi.org/10.3390/diagnostics12102459

