Patterns of Myometrial Invasion in Endometrial Adenocarcinoma with Emphasizing on Microcystic, Elongated and Fragmented (MELF) Glands Pattern: A Narrative Review of the Literature
Abstract
:1. Introduction
2. Aim
3. Discussion
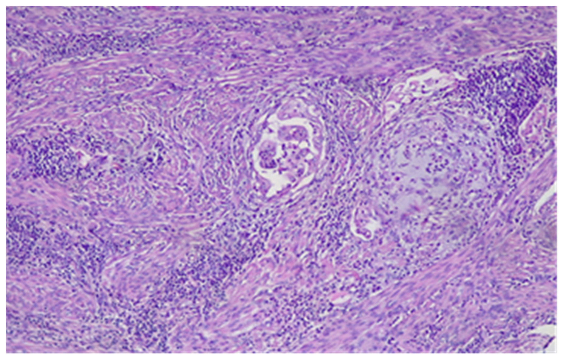
- The presence of focal cytologic atypia.
- Pseudostratification of glands.
- Focal loose, edematous stromal response (not desmoplasia).
- The presence of inflammatory cell infiltrate around problematic glands.
- Lymph vascular space invasion.
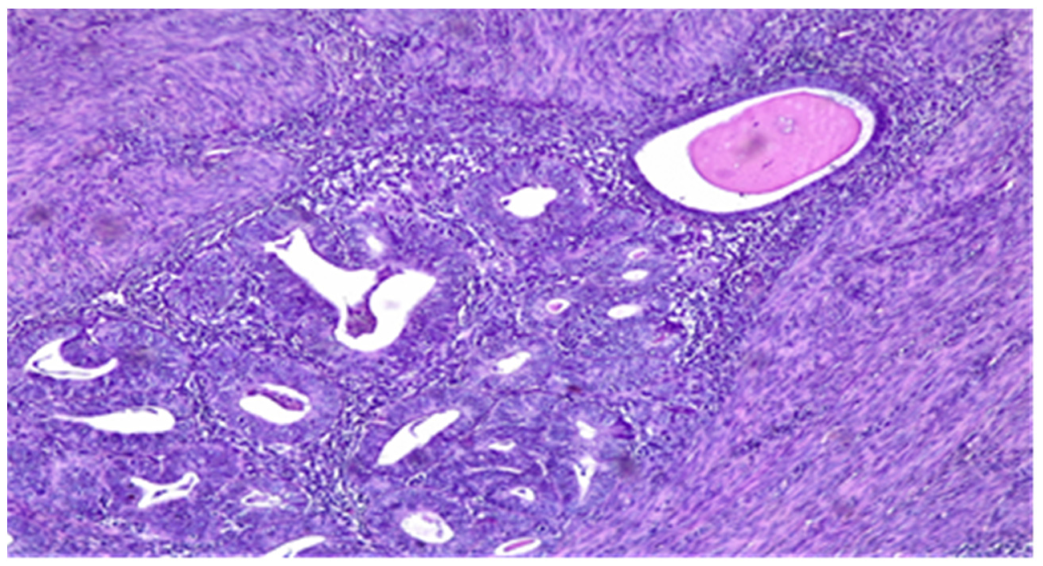
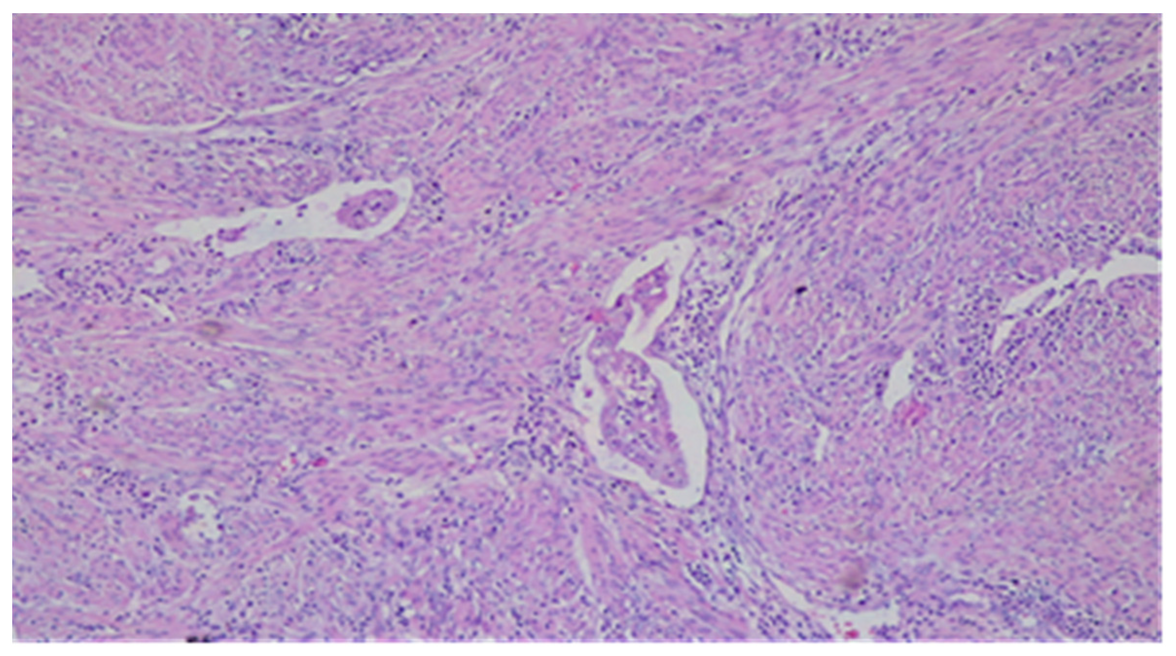
- 1.
- Microcysts, lined with cells with abundant eosinophilic cytoplasm and vaguely squamoid appearance, or with flattened cells. Lumens often contain neutrophils and occasionally eosinophils.
- 2.
- Elongated structures lined with the same types of cells and containing the same inflammatory cells in their lumens.
- 3.
- Clusters of detached cells or individual cells lying in edematous or myxoid tissue.
- 1.
- Markers of EMT:
- Lack of mitotic activity and Ki67 shows 0–5% positive neoplastic cells [13,39,49]. This appears to be a paradoxical finding, as invasion and proliferation are generally considered to occur synchronously during tumour progression. But at least in some neoplastic contexts, invasion and proliferation may be related inversely and occur as sequential events, perhaps corresponding to EMT and MET-like phases, respectively. This could also explain why cells exhibiting EMT are less responsive to chemotherapy and radiotherapy, a feature shared with CSCs [43].
- Reduced galectin-3 expression [50].
- Stronger fascin expression in tumor cells and stromal cells in MELF. Fascin potentiates the migratory capacity of cells [51].
- 2.
- 3.
4. Conclusions
Author Contributions
Funding
Institutional Review Board Statement
Informed Consent Statement
Conflicts of Interest
References
- Genestie, C.; Leary, A.; Devouassoux, M.; Auguste, A. Histological and molecular classification of endometrial carcinoma and therapeutical implications. Bull. Cancer 2017, 104, 1001–1012. [Google Scholar] [CrossRef] [PubMed]
- Ries, L.A.G.; Melbert, D.; Krapcho, M.; Stinchcomb, D.G.; Howlader, N.; Horner, M.J.; Mariotto, A.; Miller, B.A.; Feuer, E.J.; Altekruse, S.F.; et al. SEER Cancer Statistics Review 1975–2005. Bathesda Natl. Cancer Inst. 2008, 907. Available online: https://seer.cancer.gov/archive/csr/1975_2005/ (accessed on 20 May 2021).
- Siegel, R.L.; Miller, K.D. Cancer statistics. CA Cancer J. Clin. 2019, 69, 7–34. [Google Scholar] [CrossRef] [Green Version]
- Ballester, M.; Bendifallah, S.; Daraï, E. European guidelines (ESMO-ESGO-ESTRO consensus conference) for the management of endometrial cancer. Bull. Cancer 2017, 104, 1032–1038. [Google Scholar] [CrossRef]
- Euscher, E.; Fox, P.; Bassett, R.; Al-Ghawi, H.; Ali-Fehmi, R.; Barbuto, D.; Djordjevic, B.; Frauenhoffer, E.; Kim, I.; Hong, S.R.; et al. The pattern of myometrial invasion as a predictor of lymph node metastasis or extrauterine disease in low-grade endometrial carcinoma. Am. J. Surg. Pathol. 2013, 37, 1728–1736. [Google Scholar] [CrossRef] [PubMed]
- Bokhman, J.V. Two pathogenetic types of endometrial carcinoma. Gynecol. Oncol. 1983, 15, 10–17. [Google Scholar] [CrossRef]
- Soslow, R.A.; Tornos, C.; Park, K.J.; Malpica, A.; Matias-Guiu, X.; Oliva, E.; Parkash, V.; Carlson, J.; McCluggage, W.G.; Gilks, C.B. Endometrial carcinoma diagnosis: Use of FIGO grading and genomic subcategories in clinical practice: Recommendations of the international society of gynecological pathologists. Int. J. Gynecol. Pathol. 2019, 38 (Suppl. 1), S64–S74. [Google Scholar] [CrossRef] [Green Version]
- Sadowski, E.A.; Robbins, J.B.; Guite, K.; Patel-Lippmann, K.; del Rio, A.M.; Kushner, D.M.; Al-Niaimi, A. Preoperative pelvic MRI and serum cancer antigen-125: Selecting women with grade 1 endometrial cancer for lymphadenectomy. Am. J. Roentgenol. 2015, 205, W556–W564. [Google Scholar] [CrossRef]
- Chan, J.K.; Kapp, D.S.; Cheung, M.K.; Shin, J.Y.; Stieglitz, D.; Husain, A.; Teng, N.N.; Berek, J.S.; Osann, K.; Guo, H. Prognostic factors and risk of extrauterine metastases in 3867 women with grade 1 endometrioid corpus cancer. Am. J. Obstet. Gynecol. 2008, 198, 216.e1–216.e5. [Google Scholar] [CrossRef]
- Singh, N.; Hirschowitz, L.; Zaino, R.; Alvarado-Cabrero, I.; Duggan, M.A.; Ali-Fehmi, R.; Euscher, E.; Hecht, J.L.; Horn, L.C.; Ioffe, O.; et al. Pathologic prognostic factors in endometrial carcinoma (other than tumor type and grade). Int. J. Gynecol. Pathol. 2019, 38, S93–S113. [Google Scholar] [CrossRef]
- Sorbe Nordstram, B.; Maenpaa, J.; Kuhelj, J. Intravaginal brachytherapy in FIBO stage I low-risk endometrial cancer: A controlled randomized study. Int. J. Gynecol. Cancer 2009, 19, 873–878. [Google Scholar] [CrossRef]
- Jeppesen, M.M.; Jensen, P.T.; Gilsa Hansen, D.; Iachina, M.; Mogensen, O. The nature of early-stage endometrial cancer recurrence a national cohort study. Eur. J. Cancer 2016, 69, 51–60. [Google Scholar] [CrossRef]
- Kihara, A.; Yoshida, H.; Watanabe, R.; Takahashi, K.; Kato, T.; Ino, Y.; Kitagawa, M.; Hiraoka, N. Clinicopathologic association and prognostic value of microcystic, elongated, and fragmented (MELF) pattern in endometrial endometrioid carcinoma. Am. J. Surg. Pathol. 2017, 41, 896–905. [Google Scholar] [CrossRef]
- Piulats, J.M.; Guerra, E.; Gil-Martin, M.; Roman-Canal, B.; Gatius, S.; Sanz-Pamplona, R.; Velasco, A.; Vidal, A.; Matias-Guiu, X. Molecular approaches for classifying endometrial carcinoma. Gynecol. Oncol. 2017, 145, 200–207. [Google Scholar] [CrossRef]
- Pecorelli, S. Revised FIGO staging for carcinoma of the vulva, cervix, and endometrium. Int. J. Gynaecol. Obstet. 2009, 105, 103–104. [Google Scholar] [CrossRef] [PubMed]
- Zaino, R.J. Unusual patterns of endometrial carcinoma including MELF and its relation to epithelial mesenchymal transition. Int. J. Gynecol. Pathol. 2014, 33, 357–364. [Google Scholar] [CrossRef]
- Park, J.Y.; Hong, D.; Park, J.Y. Association between Morphological Patterns of Myometrial Invasion and Cancer Stem Cell Markers in Endometrial Endometrioid Carcinoma. Pathol. Oncol. Res. 2019, 25, 123–130. [Google Scholar] [CrossRef] [PubMed]
- Quick, C.M.; May, T.; Horowitz, N.S.; Nucci, M.R. Low-grade, low stage endometrioid endometrial adenocarcinoma: A clinicopathologic analysis of 324 cases focusing on frequency and pattern of myoinvasion. Int. J. Gynecol. Pathol. 2012, 31, 337–343. [Google Scholar] [CrossRef] [PubMed]
- Longacre, T.A.; Hendrickson, M.R. Diffusely infiltrative endometrial adenocarcinoma: An adenoma malignum pattern of myoinvasion. Am. J. Surg. Pathol. 1999, 23, 69–78. [Google Scholar] [CrossRef] [PubMed]
- Cole, A.J.; Quick, C.M. Patterns of myoinvasion in endometrial adenocarcinoma: Recognition and implications. Adv. Anat. Pathol. 2013, 20, 141–147. [Google Scholar] [CrossRef]
- Murray, S.K.; Young, R.H.; Scully, R.E. Unusual epithelial and stromal changes in myoinvasive endometrioid adenocarcinoma: A study of their frequency, associated diagnostic problems, and prognostic significance. Int. J. Gynecol. Pathol. 2003, 22, 324–333. [Google Scholar] [CrossRef] [PubMed]
- Ruz-Caracuel, I.; Ramón-Patino, J.L.; López-Janeiro, Á.; Yébenes, L.; Berjón, A.; Hernández, A.; Gallego, A.; Heredia-Soto, V.; Mendiola, M.; Redondo, A.; et al. Myoinvasive pattern as a prognostic marker in low-grade, early-stage endometrioid endometrial carcinoma. Cancers 2019, 11, 1845. [Google Scholar] [CrossRef] [Green Version]
- Švajdler, M.; Michal, M.; Dubinský, P.; Švajdler, P.; Ondič, O.; Michal, M. Endometrial endometrioid carcinoma with large cystic growth configuration and deceptive pattern of invasion associated with abundant nodular fasciitis-like stroma: A unique hitherto unreported histology in endometrioid carcinoma. Adv. Anat. Pathol. 2016, 23, 381–384. [Google Scholar] [CrossRef]
- Ali, A.; Black, D.; Soslow, R.A. Difficulties in assessing the depth of myometrial invasion in endometrial carcinoma. Int. J. Gynecol. Pathol. 2007, 26, 115–123. [Google Scholar] [CrossRef] [PubMed]
- Joehlin-Price, A.S.; McHugh, K.E.; Stephens, J.A.; Li, Z.; Backes, F.J.; Cohn, D.E.; Cohen, D.W.; Suarez, A.A. The microcystic, elongated, and fragmented (MELF) pattern of invasion: A single institution report of 464 consecutive FIGO grade 1 endometrial endometrioid adenocarcinomas. Am. J. Surg. Pathol. 2017, 41, 49–55. [Google Scholar] [CrossRef] [Green Version]
- Clement, P.B.; Young, R.H. Endometrioid carcinoma of the uterine corpus: A review of its pathology with emphasis on recent advances and problematic aspects. Adv. Anat. Pathol. 2002, 9, 145–184. [Google Scholar] [CrossRef]
- Amălinei, C.; Aignătoaei, A.M.; Balan, R.A.; Giuşcă, S.E.; Lozneanu, L.; Avădănei, E.R.; Căruntu, I.D. Clinicopathological significance and prognostic value of myoinvasive patterns in endometrial endometrioid carcinoma. Rom. J. Morphol. Embryol. 2018, 59, 13–22. [Google Scholar]
- Creasman, W.T.; Odicino, F.; Maisonneuve, P.; Beller, U.; Benedet, J.L.; Heintz, A.P.; Ngan, H.Y.; Pecorelli, S. Carcinoma of the corpus uteri. Int. J. Gynaecol. Obstet. 2003, 83 (Suppl. 1), 79–118. [Google Scholar] [CrossRef]
- Lax, S. Classification of endometrial carcinoma. In Precision Molecular Pathology of Uterine Cancer; Springer: Berlin/Heidelberg, Germany, 2017; pp. 21–42. [Google Scholar] [CrossRef]
- Renu, T.; Siji, M.; Shilpa, N.; Vijayalakhmi, A. Minimal deviation adenocarcinoma of endometrium: A rare entity in a 72-year old female. Indian J. Pathol. Microbiol. 2016, 59, 530–531. [Google Scholar] [CrossRef] [PubMed]
- Kalyanasundaram, K.; Ganesan, R.; Perunovic, B.; McCluggage, W.G. Diffusely infiltrating endometrial carcinomas with no stromal response: Report of a series, including cases with cervical and ovarian involvement and emphasis on the potential for misdiagnosis. Int. J. Surg. Pathol. 2010, 18, 138–143. [Google Scholar] [CrossRef] [PubMed]
- Landry, D.; Mai, K.T.; Senterman, M.K.; Perkins, D.G.; Yazdi, H.M.; Veinot, J.P.; Thomas, J. Endometrioid adenocarcinoma of the uterus with a minimal deviation invasive pattern. Histopathology 2003, 42, 77–82. [Google Scholar] [CrossRef]
- Pavlakis, K.; Messini, I.; Vrekoussis, T.; Panoskaltsis, T.; Chrysanthakis, D.; Yiannou, P.; Voulgaris, Z. MELF invasion in endometrial cancer as a risk factor for lymph node metastasis. Histopathology 2011, 58, 966–973. [Google Scholar] [CrossRef] [PubMed] [Green Version]
- Stewart, C.J.; Brennan, B.A.; Leung, Y.C.; Little, L. MELF pattern invasion in endometrial carcinoma: Association with low grade, myoinvasive endometrioid tumours, focal mucinous differentiation and vascular invasion. Pathology 2009, 41, 454–459. [Google Scholar] [CrossRef] [PubMed]
- Pavlakis, K.; Rodolakis, A.; Vagios, S.; Voulgaris, Z.; Messini, I.; Yiannou, P.; Vlachos, A.; Panoskaltsis, T. Identifiable Risk Factors for Lymph Node Metastases in Grade 1 Endometrial Carcinoma. Int. J. Gynecol. Cancer 2017, 27, 1694–1700. [Google Scholar] [CrossRef]
- Lee, J.M.; Dedhar, S.; Kalluri, R.; Thompson, E.W. The epithelial-mesenchymal transition: New insights in signaling, development, and disease. J. Cell Biol. 2006, 172, 973–981. [Google Scholar] [CrossRef]
- Stewart, C.J.R.; Crook, M.L.; Leung, Y.C.; Platten, M. Expression of cell cycle regulatory proteins in endometrial adenocarcinoma: Variations in conventional tumor areas and in microcystic, elongated and fragmented glands. Mod. Pathol. 2009, 22, 725–733. [Google Scholar] [CrossRef] [PubMed] [Green Version]
- Altunpulluk, M.D.; Kir, G.; Topal, C.S.; Cetiner, H.; Gocmen, A. The association of the microcystic, elongated and fragmented (MELF) invasion pattern in endometrial carcinomas with deep myometrial invasion, lymphovascular space invasion and lymph node metastasis. J. Obstet. Gynaecol. 2015, 35, 397–402. [Google Scholar] [CrossRef]
- Stewart, C.J.; Little, L. Immunophenotypic features of MELF pattern invasion in endometrial adenocarcinoma: Evidence or epithelial–mesenchymal transition. Histopathology 2009, 55, 91–101. [Google Scholar] [CrossRef] [PubMed]
- McCluggage, W. Glenn FRCPath pathologic staging of endometrial carcinomas: Selected areas of difficulty, advances. Anat. Pathol. 2018, 25, 71–84. [Google Scholar] [CrossRef]
- Hertel, J.D.; Huettner, P.C.; Pfeifer, J.D. Lymphovascular space invasion in microcystic elongated and fragmented (MELF)-pattern well-differentiated endometrioid adenocarcinoma is associated with a higher rate of lymph node metastasis. Int. J. Gynecol. Pathol. 2011, 33, 127–134. [Google Scholar] [CrossRef]
- Bosse, T.; Peters, E.E.; Creutzberg, C.L.; Jürgenliemk-Schulz, I.M.; Jobsen, J.J.; Mens JW, M.; Lutgens, L.C.H.W.; van der Steen-Banasik, E.M.; Smit, V.T.H.B.M.; Nout, R.A. Substantial lymph-vascular space invasion (LVSI) is a significant risk factor for recurrence in endometrial cancer—A pooled analysis of PORTEC 1 and 2 trials. Eur. J. Cancer 2015, 51, 1742–1750. [Google Scholar] [CrossRef] [PubMed]
- Stewart, C.J.; McCluggage, W.G. Epithelial-mesenchymal transition in carcinomas of the female genital tract. Histopathology 2013, 62, 31–43. [Google Scholar] [CrossRef] [PubMed]
- Hay, E.D. An overview of epithelio-mesenchymal transformation. Acta Anat. 1995, 154, 8–20. [Google Scholar] [CrossRef] [PubMed]
- Makker, A.; Goel, M.M. Tumor progression, metastasis, and modulators of epithelial–mesenchymal transition in endometrioid endometrial carcinoma: An update. Endocr. Relat. Cancer 2016, 23, R85–R111. [Google Scholar] [CrossRef] [Green Version]
- Kalluri, R.; Weinberg, R.A. The basics of epithelial-mesenchymal transition. J. Clin. Investig. 2009, 119, 1420–1428. [Google Scholar] [CrossRef] [PubMed] [Green Version]
- Han, G.; Sidhu, D.; Duggan, M.A.; Arseneau, J.; Cesari, M.; Clement, P.B.; Ewanowich, C.A.; Kalloger, S.E.; Köbel, M. Reproducibility of histological cell type in high-grade endometrial carcinoma. Mod. Pathol. 2013, 26, 1594–1604. [Google Scholar] [CrossRef] [Green Version]
- McMeekin, D.S.; Filiaci, V.L.; Aghajanian, C.; Cho, J.; Kim, J.W.; DiSilvestro, P.A.; O’Malley, D.; Rutherford, T.J.; Van Le, L.; Randall, M.E. A randomized phase III trial of pelvic radiation therapy (PXRT) versus vaginal cuff brachytherapy followed by paclitaxel/carboplatin chemotherapy (VCB/C) in patients with high risk (HR), early stage endometrial cancer (EC): A Gynecologic Oncology Group trial. Gynecol. Oncol. 2014, 134, 438. [Google Scholar]
- Stewart, C.J.; Crook, M.L.; Doherty, D.A. Micro-anatomical variation in cellular proliferation in endometrial adenocarcinoma, and inverse correlation between Ki67 and cytokeratin 7 expression. Histopathology 2010, 57, 46–54. [Google Scholar] [CrossRef]
- Stewart, C.J.; Crook, M.L. Galectin-3 expression in uterine endometrioid adenocarcinoma: Comparison of staining in conventional tumor glands and in areas of MELF pattern myometrial invasion. Int. J. Gynecol. Pathol. 2010, 29, 555–561. [Google Scholar] [CrossRef]
- Stewart, C.J.; Crook, M.L.; Manso, L. Fascin expression in low-grade uterine endometrioid adenocarcinoma: Correlation with microcystic, elongated and fragmented (MELF)-type alteration at the deep invasive margin. Histopathology 2011, 59, 73–80. [Google Scholar] [CrossRef] [PubMed]
- Liang, S.; Mu, K.; Wang, Y.; Zhou, Z.; Zhang, J.; Sheng, Y.; Zhang, T. CyclinD1, a prominent prognostic marker for endometrial diseases. Diagn. Pathol. 2013, 15, 138. [Google Scholar] [CrossRef] [Green Version]
- Tahara, S.; Nojima, S.; Ohshima, K.; Hori, Y.; Kurashige, M.; Wada, N.; Ikeda, J.; Morii, E. S100A4 accelerates the proliferation and invasion of endometrioid carcinoma and is associated with the “MELF” pattern. Cancer Sci. 2016, 107, 1345–1352. [Google Scholar] [CrossRef] [PubMed]
- Zinovkin, D.A.; Pranjol, M.Z.I.; Petrenyov, D.R.; Nadyrov, E.A.; Savchenko, O.G. The potential roles of MELF-pattern, microvessel density, and VEGF expression in survival of patients with endometrioid endometrial carcinoma: A morphometrical and immunohistochemical analysis of 100 cases. J. Pathol. Transl. Med. 2017, 51, 456–462. [Google Scholar] [CrossRef] [PubMed] [Green Version]
- Stewart, C.J.; Crook, M.L.; Lacey, J.; Louwen, K. Cytokeratin 19 expression in normal endometrium and in low-grade endometrioid adenocarcinoma of the endometrium. Int. J. Gynecol. Pathol. 2011, 30, 484–491. [Google Scholar] [CrossRef] [PubMed]
- Thiery, J.P. Epithelial–mesenchymal transitions in tumour progression. Nat. Rev. Cancer 2002, 2, 442–454. [Google Scholar] [CrossRef] [PubMed]
- Naki, M.M.; Oran, G.; Tetikkurt, S.Ü.; Sönmez, C.F.; Türkmen, İ.; Köse, F. Microcystic, elongated, and fragmented pattern of invasion in relation to histopathologic and clinical prognostic factors in endometrioid endometrial adenocarcinoma. J. Turk. Ger. Gynecol. Assoc. 2017, 18, 139–142. [Google Scholar] [CrossRef] [Green Version]
- Holloway, R.W.; Gupta, S.; Stavitzski, N.M.; Zhu, X.; Takimoto, E.L.; Gubbi, A.; Bigsby, G.E.; Brudie, L.A.; Kendrick, J.E.; Ahmad, S. Sentinel lymph node mapping with staging lymphadenectomy for patients with endometrial cancer increases the detection of metastasis. Gynecol. Oncol. 2016, 141, 206–210. [Google Scholar]
- Levine, D.A.; Cancer Genome Atlas Research Network. Integrated genomic characterization of endometrial carcinoma. Nature 2013, 497, 67–73. [Google Scholar] [CrossRef] [Green Version]
- He, D.; Wang, H.; Dong, Y.; Zhang, Y.; Zhao, J.; Lv, C.; Zheng, X.; Li, D.; Li, T. POLE mutation combined with microcystic, elongated and fragmented (MELF) pattern invasion in endometrial carcinomas might be associated with poor survival in Chinese women. Gynecol. Oncol. 2020, 159, 36–42. [Google Scholar] [CrossRef] [PubMed]
- Stewart, C.J.S.; Amanuel, B.; Grieu, F.; Carrello, A.; Iacopetta, B. KRAS mutation and microsatellite instability in endometrial adenocarcinomas showing MELF-type myometrial invasion. J. Clin. Pathol. 2010, 63, 604–608. [Google Scholar] [CrossRef]




Publisher’s Note: MDPI stays neutral with regard to jurisdictional claims in published maps and institutional affiliations. |
© 2021 by the authors. Licensee MDPI, Basel, Switzerland. This article is an open access article distributed under the terms and conditions of the Creative Commons Attribution (CC BY) license (https://creativecommons.org/licenses/by/4.0/).
Share and Cite
Mateva, S.; Nikolova, M.; Yordanov, A. Patterns of Myometrial Invasion in Endometrial Adenocarcinoma with Emphasizing on Microcystic, Elongated and Fragmented (MELF) Glands Pattern: A Narrative Review of the Literature. Diagnostics 2021, 11, 1707. https://doi.org/10.3390/diagnostics11091707
Mateva S, Nikolova M, Yordanov A. Patterns of Myometrial Invasion in Endometrial Adenocarcinoma with Emphasizing on Microcystic, Elongated and Fragmented (MELF) Glands Pattern: A Narrative Review of the Literature. Diagnostics. 2021; 11(9):1707. https://doi.org/10.3390/diagnostics11091707
Chicago/Turabian StyleMateva, Svetlana, Margarita Nikolova, and Angel Yordanov. 2021. "Patterns of Myometrial Invasion in Endometrial Adenocarcinoma with Emphasizing on Microcystic, Elongated and Fragmented (MELF) Glands Pattern: A Narrative Review of the Literature" Diagnostics 11, no. 9: 1707. https://doi.org/10.3390/diagnostics11091707
APA StyleMateva, S., Nikolova, M., & Yordanov, A. (2021). Patterns of Myometrial Invasion in Endometrial Adenocarcinoma with Emphasizing on Microcystic, Elongated and Fragmented (MELF) Glands Pattern: A Narrative Review of the Literature. Diagnostics, 11(9), 1707. https://doi.org/10.3390/diagnostics11091707

