Next Article in Journal
Dynapenia Rather Than Sarcopenia Is Associated with Metabolic Syndrome in Patients with Chronic Liver Diseases
Next Article in Special Issue
Anti-DFS70 Antibodies for Differentiating Systemic Autoimmune Rheumatic Disease in Patients with Positive ANA Tests: A Systematic Review and Meta-Analysis
Previous Article in Journal
Maternal Bochdalek Hernia during Pregnancy: A Systematic Review of Case Reports
Previous Article in Special Issue
A Systematic Review of the Inclusion of Non-Inflammatory Ultrasonographic Enthesopathy Findings in Enthesitis Scoring Indices
 
 
Font Type:
Arial Georgia Verdana
Font Size:
Aa Aa Aa
Line Spacing:
Column Width:
Background:
Case Report

Sjogren’s Syndrome Presenting with Solely Cutaneous Features

1
TriHealth Good Samaritan Hospital, Cincinnati, OH 45220, USA
2
Palo Alto Medical Foundation, Fremont, CA 94040, USA
3
University of Cincinnati, Cincinnati, OH 45267, USA
*
Author to whom correspondence should be addressed.
Diagnostics 2021, 11(7), 1260; https://doi.org/10.3390/diagnostics11071260
Submission received: 8 June 2021 / Revised: 11 July 2021 / Accepted: 12 July 2021 / Published: 14 July 2021
(This article belongs to the Special Issue Rheumatic Diseases: Diagnosis, Treatment and Management)

Abstract

:
Sjogren’s syndrome is classically characterized by symptoms of keratoconjunctivitis sicca and xerostomia, secondary to lymphocytic infiltration of the salivary and lacrimal glands. Cutaneous findings of this disease are infrequently discussed and thus rarely considered among patients without the typical symptomatology. However, these patients can develop xerosis, alopecia, vitiligo, papular or nodular lesions, or cutaneous vasculitis. A 56-year-old Asian female presented with intermittent cutaneous erythematous lesions of her bilateral pinna and preauricular areas. Despite initial symptom presentation causing concern for tumid lupus versus cutaneous T cell lymphoma versus relapsing polychondritis, extensive serologic and histopathologic workup eventually indicated a likely diagnosis of Sjogren’s syndrome. This case brings to light that Sjogren’s syndrome is truly a multi-systemic disease and can present with primarily extra glandular cutaneous symptoms. When approaching the workup of a new patient, it is absolutely vital to maintain a broad differential and keep in mind that overlap syndromes among multiple autoimmune diseases do exist as well.

1. Introduction

Sjogren’s syndrome (SS) is a well-known autoimmune condition involving lymphocytic infiltration of the salivary and lacrimal glands, commonly resulting in keratoconjunctivitis sicca and xerostomia [1,2]. Moreover, a wide range of extra glandular findings can be seen and, rarely, cutaneous findings such as xerosis, alopecia, vitiligo, papular or nodular lesions, or cutaneous vasculitis [3,4].
Unlike SS, Relapsing polychondritis (RP) is a rare systemic autoimmune condition. It can exist alone or in about 30% of cases, alongside other rheumatologic diseases, as an overlap syndrome [5]. Most commonly, it can be associated with a systemic vasculitis. The only way to diagnose RP is clinically and/or histologically, as there are no confirmatory lab tests [6,7]. It is characterized by recurrent inflammation and eventual degeneration of any cartilaginous tissue in the body.
Even more exceptionally rare is tumid lupus erythematosus (TLE). It is considered a variant of chronic cutaneous lupus erythematosus and is difficult to diagnose [8]. Symptoms are limited to the skin and there are typically no other obvious presenting signs.
Here, we present a case of an individual with a solely cutaneous clinical presentation. Despite initial concern for cutaneous T cell lymphoma, tumid lupus erythematosus, or relapsing polychondritis, her extensive diagnostic workup eventually revealed likely diagnosis of Sjogren’s syndrome.

2. Case Presentation

The patient is a 56-year-old Asian female, who initially presented to the dermatologist with a small left preauricular erythematous lesion (Figure 1a). She had no associated pain, pruritus, or purulent or sanguineous drainage. She underwent treatment with doxycycline for 2 weeks, but had no improvement. She was reevaluated by the dermatologist who obtained a skin biopsy of that lesion and prescribed hydrocortisone cream. In a week, the lesion started to fade out and then disappeared. Later that same month, the patient developed some left aural edema (Figure 1b), with no associated pain, erythema, or drainage. She used the same hydrocortisone cream that she used for her facial lesion, which resulted in improvement of the swelling, and she did not contact her dermatologist. However, the following month, her right ear pinna (Figure 2) began to develop warmth and swelling without pain. This swelling persisted despite using the hydrocortisone cream and the patient again contacted the dermatologist. During this visit, the dermatologist obtained an additional laboratory workup, performed a second shave biopsy from her right ear, and discussed the results of the first biopsy. The laboratory workup showed a positive antinuclear antibody (ANA), and so a referral to rheumatology was placed for an additional workup.
The first visit with the rheumatology department occurred three months from initial presentation of symptoms. During this evaluation, the patient had persistent swelling of the right pinna, but the facial rash and left ear swelling were completely resolved. Additional clinical findings included intermittent mild xerophthalmia and xerostomia. She uses artificial eye drops as needed, which provide some relief. She has had two dental implants as well. Supplemental review of systems is only positive for intermittent right shoulder pain. Comprehensive rheumatologic review of systems is negative for history of fevers, chills, night sweats, fatigue, weight changes, hair loss, alopecia, scleritis, episcleritis, uveitis, or iritis. The patient denied any nasal crusting, nasal ulcers, sinusitis, hearing loss, oral ulcers, swollen glands or nodes, hoarseness, or voice changes. She also denied dyspnea, cough, chest pain, pericarditis, pleuritis, photosensitivity, skin changes, rashes, psoriasis, or genital ulcers. The patient never complained of abdominal pain, nausea, emesis, hematemesis, bright red blood per rectum, melena, constipation, inflammatory bowel disease, or hematuria. She never experienced Raynaud’s phenomenon, morning stiffness, myalgias, weakness, joint swelling or pain, anemia, stroke, delirium, or psychosis.
The patient has a past medical history of hyperlipidemia and seasonal allergies. Surgical history includes a lumbar laminectomy nine years ago. No significant family history is known. Her only current medications are simvastatin daily, loratadine daily as needed, and topical hydrocortisone cream as needed.
Pertinent physical exam findings revealed right ear cartilage edema with a well healing biopsy site. There was normal appearing left ear cartilage and bilateral preauricular areas without lesions. There was no alopecia, malar rash, oral ulcers, or tonsillar/pharyngeal congestion. Musculoskeletal exam was remarkable for right shoulder limited range of motion only with internal rotation. Remainder of the physical exam was within normal limits.
Lab findings are detailed in Table 1. Pertinent positive findings are positive ANA (1:2560) with speckled appearance, positive Rheumatoid factor (RF) (70 IU/mL), positive anti-Ro (SSA) and anti-La (SSB) antibodies, elevated erythrocyte sedimentation rate (ESR), and elevated liver enzymes, which had previously been normal. The remainder of the serologic workup was negative, as listed in the table.
Chest radiograph displays no sign of acute cardiopulmonary disease but does reveal a seven-millimeter nodular density in the right lower lung, that was not confirmed on a subsequent study. Pulmonary function test shows normal spirometry and flow volume loop findings. Echocardiogram demonstrates normal biventricular size and systolic function, normal left ventricular ejection fraction, no significant valvular abnormalities, and normal estimated pulmonary artery systolic pressure.
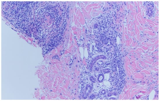
A punch biopsy was performed of the left preauricular lesion (Figure 3) at the time of presentation to the dermatologist. Histopathology of the tissue biopsy demonstrates atypical lymphoid infiltrate in the superficial and deep dermis with perivascular and adnexal involvement within the follicular epidermis. The overlying epidermis is largely uninvolved. No significant dermal mucin deposition was noted. Immunohistochemical stains highlight a CD3 positive infiltrate with a significant skew of more CD4 than CD8 presence within the follicular epithelium. Additional immunohistochemical staining is negative for CD20, BCL-6, CD10, CD21, PD1, and therefore negative for chronic T cell lymphoma, B cell lymphoma, and T cell receptor clonal rearrangements. The findings indicate a connective tissue disorder, possible tumid lupus.
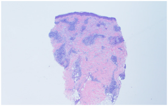
A shave biopsy was later performed of the right ear helix (Figure 4), about two months after initial presentation. This specimen demonstrates telangiectasia with a superficial perivascular lymphohistiocytic infiltrate. Immunohistochemical panel shows a normal ratio of CD4 and CD8 T cells, without evidence of chronic T cell lymphoma. There is no significant dermal mucin nor increased plasmacytoid dendritic cells, again pointing towards a connective tissue disease pathology.
The patient’s presenting right ear swelling has improved with use of 2.5% hydrocortisone, within about 2 months from initial presentation. However, about six weeks after her initial visit with rheumatology, she has developed joint pain of her bilateral shoulders, wrists, and knees. She has associated morning stiffness, which lasts about 45 min to 1 h. No joint swelling is present. These symptoms are improved with movement and use of the joints as well as ibuprofen twice daily. She has most recently been initiated on hydroxychloroquine treatment, currently at a dose of 200 mg daily, and she continues to remain free of symptoms at this time. The patient was referred and evaluated further by ophthalmology, which revealed mild dry eyes with signs of corneal abrasions, consistent with findings of SS.

3. Discussion

This patient has an extremely unusual clinical presentation in relation to her objective immunologic findings. Her initial presentation with a left preauricular lesion was suspicious for tumid lupus versus a type of T cell lymphoma. However, the sequence of events that included the swelling of the cartilaginous area of the left ear, followed by the swelling of the right ear also raised the suspicion of relapsing polychondritis.
Tumid lupus patients may present with pink or violaceous papules or plaques without other manifestations of systemic lupus erythematosus (SLE). Histopathologically, TLE differs from SLE due to lack of epidermal or dermo-epidermal involvement and classic findings of superficial and deep lymphohistiocytic inflammatory infiltrates in a perivascular and adnexal distribution [9]. There is a prominence of CD3 and CD4 lymphocytes, with a lower percentage of CD8. This distribution distinguishes this disease from others, such as lymphomas, pseudolymphomas, and polymorphous light eruption [10]. There is typically also significant mucin deposition, and the lack thereof in the biopsy sample actually questions if this patient had tumid lupus.
Cutaneous T cell lymphoma, one of the initially deliberated diagnoses, is actually more of an umbrella diagnosis. It includes various more specific conditions such as mycosis fungoides, Sezary syndrome, adult T cell lymphoma/leukemia, primary cutaneous CD30+ lymphoproliferative disorders, primary cutaneous peripheral T cell lymphoma, and subcutaneous panniculitis like T cell lymphoma. Diagnosis requires histopathologic evidence, supportive immunocytochemistry, and accurate T cell clonality assays [11]. Multiple immunohistochemical stains were performed on the tissue samples for this patient, without sign of a cutaneous T cell lymphoma, further supporting a connective tissue etiology.
When considering RP, she only met two of the criteria defined by McAdam et al. [3], but the response to steroid may have allowed for the diagnosis per criteria of Damiani and Levine [2]. However, this patient had no signs of other cartilaginous involvement including the sinuses, trachea, nasal cartilage, lung, or aorta. The additional serologic workup, which revealed positive ANA, SSA, SSB, and RF confounded that initial potential diagnosis. RP can present with positive ANA, but presence of these other more specific antibodies more likely indicated Sjogren’s syndrome.
This patient only had mild symptoms of xerostomia and xerophthalmia, and they were never significant enough for her to seek medical workup. She rather presented with the preauricular rashes and cartilaginous edema. These symptoms along with the confounding lab and pathology findings caused some confusion surrounding her final diagnosis. Upon literature review, there have been very few documented presentations of solely the cutaneous manifestations of Sjogren’s syndrome, and none in this specific manner of mimicking RP. The cutaneous findings associated with SS seem to be underestimated in general [8]. It is very important to maintain SS within the rheumatologic differential when approaching patients with new skin lesions, even without the classic keratoconjunctivitis sicca or xerostomia.

Author Contributions

S.C. was a major contributor in writing the manuscript. D.G. was involved in the management of the case, provided expertise, and was a contributor in writing this manuscript. The authors are indebted to J.H.P., who provided and reviewed all images. All authors have read and agreed to the published version of the manuscript.

Funding

This research received no external funding.

Institutional Review Board Statement

Not applicable.

Informed Consent Statement

Informed consent was obtained from the patient.

Data Availability Statement

Not applicable.

Conflicts of Interest

The authors declare no conflict of interest.

References

  1. Ruiz, H.; Sánchez, J.L. Tumid Lupus Erythematosus. Am. J. Dermatopathol. 1999, 21, 356–360. [Google Scholar] [CrossRef] [PubMed]
  2. Shiboski, C.H.; Shiboski, S.C.; Seror, R.; Criswell, L.A.; Labetoulle, M.; Lietman, T.M.; Rasmussen, A.; Scofield, H.; Vitali, C.; Bowman, S.; et al. 2016 American College of Rheumatology/European League against Rheumatism Classification Criteria for Primary Sjögren’s Syndrome: A Consensus and Data-Driven Methodology Involving Three International Patient Cohorts. Arthritis Rheumatol. 2017, 69, 35–45. [Google Scholar] [CrossRef] [PubMed]
  3. Ramos-Casals, M.; Brito-Zerón, P.; Font, J. The overlap of Sjögren’s syndrome with other systemic autoimmune diseases. Semin. Arthritis. Rheum. 2007, 36, 246–255. [Google Scholar] [CrossRef] [PubMed]
  4. Roguedas, A.M.; Misery, L.; Sassolas, B.; Le Masson, G.; Pennec, Y.L.; Youinou, P. Cutaneous Manifestations of Primary Sjögren’s Syndrome Are Underestimated. Clin. Exp. Rheumatol. 2004, 22, 632–636. [Google Scholar] [PubMed]
  5. Stead, J.; Headley, C.; Ioffreda, M.; Kovarik, C.; Werth, V. Coexistence of tumid lupus erythematosus with systemic lupus erythematosus and discoid lupus erythematosus: A report of two cases of tumid lupus. J. Clin. Rheumatol. 2008, 14, 338–341. [Google Scholar] [CrossRef] [PubMed] [Green Version]
  6. Damiani, J.M.; Levine, H.L. Relapsing polychondritis—Report of ten cases. Laryngoscope 1979, 89, 929–946. [Google Scholar] [CrossRef] [PubMed]
  7. McAdam, L.P.; O’Hanlan, M.A.; Bluestone, R.; Pearson, C.M. Relapsing polychondritis: Prospective study of 23 patients and a review of the literature. Medicine 1976, 5, 193–215. [Google Scholar] [CrossRef]
  8. Liu, E.; Daze, R.P.; Moon, S. Tumid Lupus Erythematosus: A Rare and Distinctive Variant of Cutaneous Lupus Erythematosus Masquerading as Urticarial Vasculitis. Cureus 2020, 12, e8305. [Google Scholar] [CrossRef] [PubMed]
  9. Alexiades-Armenakas, M.R.; Baldassano, M.; Bince, B.; Werth, V.; Bystryn, J.C.; Kamino, H.; Soter, N.A.; Franks, A.G., Jr. Tumid lupus erythematosus: Criteria for classification with immunohistochemical analysis. Arthritis Care Res. Off. J. Am. Coll. Rheumatol. 2003, 49, 494–500. [Google Scholar] [CrossRef] [PubMed]
  10. Shiboski, S.C.; Shiboski, C.H.; Criswell, L.A.; Baer, A.N.; Challacombe, S.; Lanfranchi, H.; Schiødt, M.; Umehara, H.; Vivino, F.; Zhao, Y.; et al. American College of Rheumatology classification criteria for Sjögren’s syndrome: A data-driven, expert consensus approach in the Sjögren’s International Collaborative Clinical Alliance cohort. Arthritis. Care Res. (Hoboken) 2012, 64, 475–487. [Google Scholar] [CrossRef] [PubMed]
  11. Robson, A. The Pathology of Cutaneous T-Cell Lymphoma. Cancer Netw. J. Oncol. 2007. Available online: www.cancernetwork.com/view/pathology-cutaneous-t-cell-lymphoma (accessed on 4 February 2021).
Figure 1. (a) Left preauricular lesion. (b) Left ear edema.
Figure 1. (a) Left preauricular lesion. (b) Left ear edema.
Diagnostics 11 01260 g001
Figure 2. Right ear pinna.
Figure 2. Right ear pinna.
Diagnostics 11 01260 g002
Figure 3. Punch biopsy specimen from left preauricular lesion.
Figure 3. Punch biopsy specimen from left preauricular lesion.
Diagnostics 11 01260 g003
Figure 4. Shave biopsy specimen from right ear helix.
Figure 4. Shave biopsy specimen from right ear helix.
Diagnostics 11 01260 g004
Table 1. Laboratory findings.
Table 1. Laboratory findings.
Lab FindingNormal Range
Complete Blood Count
White blood cells (WBC)3.8 × 109 cells/L4.5–11 × 109 cells/L
Hemoglobin (Hgb)13.7 g/dL13.5–17.5 g/dL
Hematocrit (Hct)42%41–50 %
Liver Enzymes
Aspartate transaminase (AST)45 u/L5–40 u/L
Alanine transaminase (ALT)63 u/L19–25 u/L
Inflammatory Markers
Erythrocyte sedimentation rate (ESR)33 mm/hr0–30 mm/hr
C-reactive protein (CRP)2.9 mg/L<10 mg/L
Autoimmune Serology
Antinuclear antibody (ANA)1:2560, speckledNegative, <1:80
Rheumatoid factor (RF)70 IU/mL0–20 IU/mL
Anti-Ro antibody (SSA)PositiveNegative, <20
Anti-La antibody (SSB)PositiveNegative, <20
Complement 3 (C3)Within normal range88–201 mg/dL
Complement 4 (C4)Within normal range15–45 mg/dL
Ribosomal P antibodyNegativeNegative, <15 U/mL
Double stranded DNA antibody (dsDNA)NegativeNegative, <12 U/mL
Sm antibodyNegativeNegative, <7 U/mL
Topoisomerase 1 antibody (Scl 70)NegativeNegative, <32 U/mL
Thyroid peroxidase antibody (TPO)NegativeNegative, <16 U/mL
Antineutrophil cytoplasmic antibody (ANCA)NegativeNegative, <20 IU/mL
Angiotensin converting enzyme (ACE)NegativeNegative, <40 nmol/mL/min
Antiphospholipid panelNegativeNone detected APLNegative, <12 IgM/IgA
Urine Analysis
ProteinNoneNone
Red blood cellsNoneNone
Serum Protein Electrophoresis
Total Protein7.5 g/dL6.4–8.3 g/dL
Albumin4.19 g/dL3.5–5.0 g/dL
Alpha 1 globulin0.27 g/dL0.1–0.3 g/dL
Alpha 2 globulin0.71 g/dL0.6–1.0 g/dL
Beta globulin0.68 g/dL0.7–1.2 g/dL
Gamma globulin 1.65 g/dL0.7−1.6 g/dL
ParaproteinNoneNone
Publisher’s Note: MDPI stays neutral with regard to jurisdictional claims in published maps and institutional affiliations.

Share and Cite

MDPI and ACS Style

Centala, S.; Park, J.H.; Girnita, D. Sjogren’s Syndrome Presenting with Solely Cutaneous Features. Diagnostics 2021, 11, 1260. https://doi.org/10.3390/diagnostics11071260

AMA Style

Centala S, Park JH, Girnita D. Sjogren’s Syndrome Presenting with Solely Cutaneous Features. Diagnostics. 2021; 11(7):1260. https://doi.org/10.3390/diagnostics11071260

Chicago/Turabian Style

Centala, Sneha, Joyce H. Park, and Diana Girnita. 2021. "Sjogren’s Syndrome Presenting with Solely Cutaneous Features" Diagnostics 11, no. 7: 1260. https://doi.org/10.3390/diagnostics11071260

APA Style

Centala, S., Park, J. H., & Girnita, D. (2021). Sjogren’s Syndrome Presenting with Solely Cutaneous Features. Diagnostics, 11(7), 1260. https://doi.org/10.3390/diagnostics11071260

Note that from the first issue of 2016, this journal uses article numbers instead of page numbers. See further details here.

Article Metrics

Back to TopTop