Somatostatin Receptor Subtype Expression in Patients with Acromegaly and Complicated Clinical Course
Abstract
1. Introduction
2. Materials and Methods
3. Results
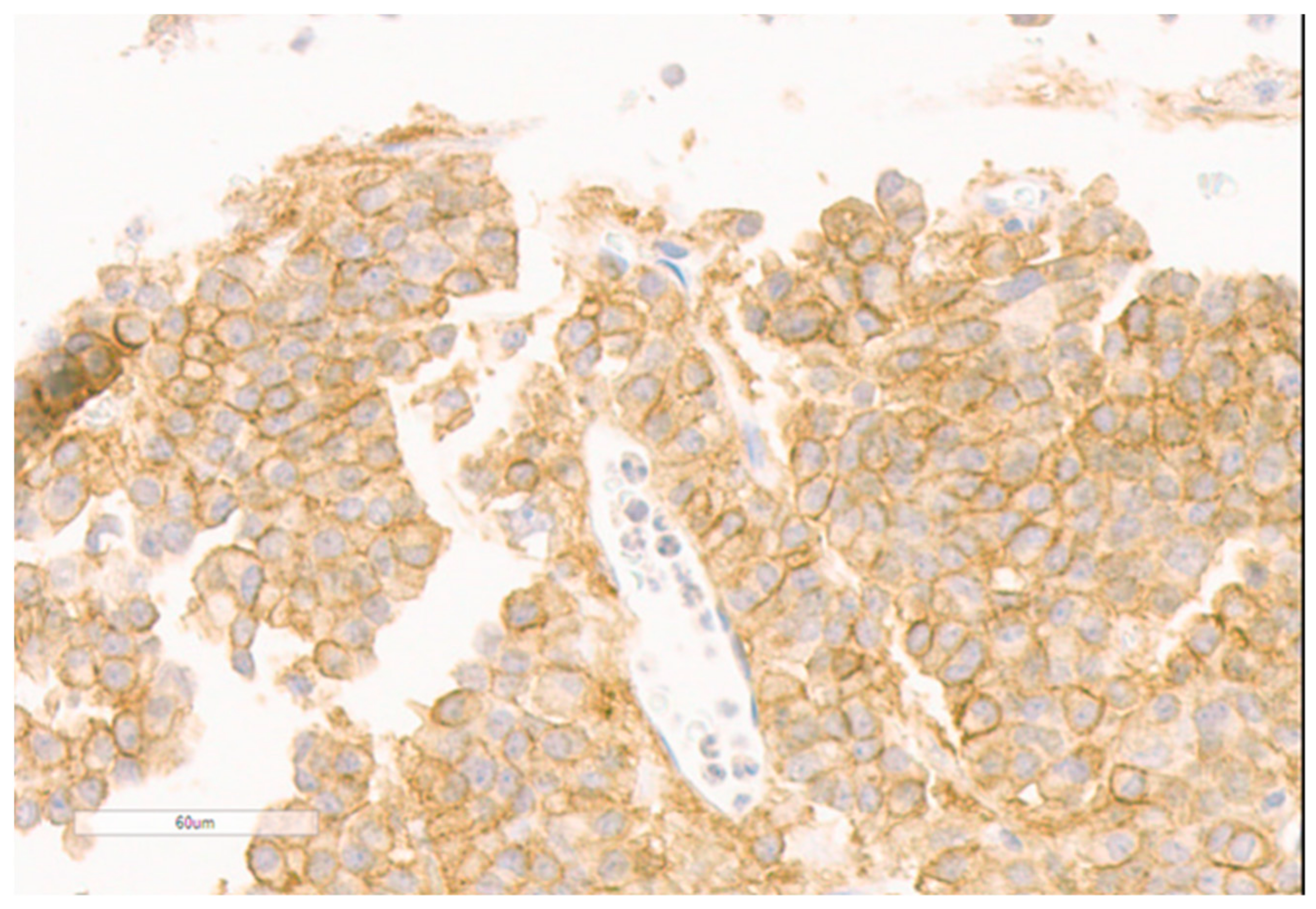
3.1. Clinical Story #1
3.2. Clinical Story #2
4. Discussion
5. Conclusions
Author Contributions
Funding
Institutional Review Board Statement
Informed Consent Statement
Data Availability Statement
Acknowledgments
Conflicts of Interest
References
- Boscaro, M.; Ludlam, W.H.; Atkinson, B.; Glusman, J.E.; Petersenn, S.; Reincke, M.; Snyder, P.; Tabarin, A.; Biller, B.M.; Findling, J.; et al. Treatment of pituitary-dependent Cushing’s disease with the multireceptor ligand somatostatin analog pasireotide (SOM230): A multicenter, phase II trial. J. Clin. Endocrinol. Metab. 2009, 94, 115–122. [Google Scholar] [CrossRef] [PubMed]
- Paragliola, R.M.; Salvatori, R. Novel Somatostatin Receptor Ligands Therapies for Acromegaly. Front. Endocrinol. 2018, 9, 78. [Google Scholar] [CrossRef] [PubMed]
- Marazuela, M.; Ramos-Leví, A.M.; Borges de Souza, P.; Zatelli, M.C. Is receptor profiling useful for predicting pituitary therapy? Eur. J. Endocrinol. 2018, 179, D15–D25. [Google Scholar] [CrossRef] [PubMed]
- Franck, S.E.; Gatto, F.; van der Lely, A.J.; Janssen, J.A.M.J.L.; Dallenga, A.H.G.; Nagtegaal, A.P.; Hofland, L.J.; Neggers, S.J.C.M.M. Somatostatin Receptor Expression in GH-Secreting Pituitary Adenomas Treated with Long-Acting Somatostatin Analogues in Combination with Pegvisomant. Neuroendocrinology 2017, 105, 44–53. [Google Scholar] [CrossRef] [PubMed]
- Remmele, W.; Stegner, H.E. Recommendation for uniform definition of an immunoreactive score (IRS) for immunohistochemical estrogen receptor detection (ER-ICA) in breast cancer tissue (in German). Pathologe 1987, 8, 138–140. [Google Scholar] [PubMed]
- Mikhael, S.; Punjala-Patel, A.; Gavrilova-Jordan, L. Hypothalamic-Pituitary-Ovarian Axis Disorders Impacting Female Fertility. Biomedicines 2019, 7, 5. [Google Scholar] [CrossRef] [PubMed]
- Gadelha, M.R.; Kasuki, L.; Korbonits, M. Novel pathway for somatostatin analogs in patients with acromegaly. Trends Endocrinol. Metab. 2013, 24, 238–246. [Google Scholar] [CrossRef] [PubMed]
- Colao, A.; Bronstein, M.D.; Freda, P.; Gu, F.; Shen, C.C.; Gadelha, M.; Fleseriu, M.; van der Lely, A.J.; Farrall, A.J.; Hermosillo Reséndiz, K.; et al. Pasireotide versus octreotide in acromegaly: A head-to-head superiority study. J. Clin. Endocrinol. Metab. 2014, 99, 791–799. [Google Scholar] [CrossRef] [PubMed]
- Sheppard, M.; Bronstein, M.D.; Freda, P.; Serri, O.; De Marinis, L.; Naves, L.; Rozhinskaya, L.; Hermosillo Reséndiz, K.; Ruffin, M.; Chen, Y.; et al. Pasireotide LAR maintains inhibition of GH and IGF-1 in patients with acromegaly for up to 25 months: Results from the blinded extension phase of a randomized, double-blind, multicenter, Phase III study. Pituitary 2015, 18, 385–394. [Google Scholar] [CrossRef] [PubMed]
- Gadelha, M.R.; Bronstein, M.D.; Brue, T.; Coculescu, M.; Fleseriu, M.; Guitelman, M.; Pronin, V.; Raverot, G.; Shimon, I.; Lievre, K.K.; et al. Pasireotide versus continued treatment with octreotide or lanreotide in patients with inadequately controlled acromegaly (PAOLA): A randomised, phase 3 trial. Lancet Diabetes Endocrinol. 2014, 2, 875–884. [Google Scholar] [CrossRef]
- Muhammad, A.; Coopmans, E.C.; Gatto, F.; Franck, S.E.; Janssen, J.A.M.J.L.; van der Lely, A.J.; Hofland, L.J.; Neggers, S.J.C.M.M. Pasireotide Responsiveness in Acromegaly Is Mainly Driven by Somatostatin Receptor Subtype 2 Expression. J. Clin. Endocrinol. Metab. 2019, 104, 915–924. [Google Scholar] [CrossRef] [PubMed]
- Iacovazzo, D.; Carlsen, E.; Lugli, F.; Chiloiro, S.; Piacentini, S.; Bianchi, A.; Giampietro, A.; Mormando, M.; Clear, A.J.; Doglietto, F.; et al. Factors predicting pasireotide responsiveness in somatotroph pituitary adenomas resistant to first-generation somatostatin analogues: An immunohistochemical study. Eur. J. Endocrinol. 2016, 174, 241–250. [Google Scholar] [CrossRef] [PubMed]
- van der Lely, A.J.; Biller, B.M.; Brue, T.; Buchfelder, M.; Ghigo, E.; Gomez, R.; Hey-Hadavi, J.; Lundgren, F.; Rajicic, N.; Strasburger, C.J.; et al. Long-term safety of pegvisomant in patients with acromegaly: Comprehensive review of 1288 subjects in ACROSTUDY. J. Clin. Endocrinol. Metab. 2012, 97, 1589–1597. [Google Scholar] [CrossRef] [PubMed]
- Sandret, L.; Maison, P.; Chanson, P. Place of cabergoline in acromegaly: A meta-analysis. J. Clin. Endocrinol. Metab. 2011, 96, 1327–1335. [Google Scholar] [CrossRef] [PubMed]
- Dai, C.; Liu, X.; Ma, W.; Wang, R. The Treatment of Refractory Pituitary Adenomas. Front. Endocrinol. 2019, 10, 334. [Google Scholar] [CrossRef] [PubMed]
- Alexandraki, K.I.; Papadimitriou, E.; Mavroeidi, V.; Kyriakopoulos, G.; Xydakis, A.; Papaioannou, T.G.; Kolomodi, D.; Kaltsas, G.A.; Grossman, A.B. Role of Receptor Profiling for Personalized Therapy in a Patient with a Growth Hormone-Secreting Macroadenoma Resistant to First-Generation Somatostatin Analogues. J. Pers. Med. 2019, 9, 48. [Google Scholar] [CrossRef] [PubMed]







| Date | GH (ng/mL) | IGF-1 (ng/mL) | Normal Value IGF-1 | Therapy (mg) | MRI (mm) Length/Width/Height |
|---|---|---|---|---|---|
| August 2011 | 10.9 | 563 | 117–358 | 0 | 14/12/12 |
| August 2011 | 1st operation | 8/11/7 ** | |||
| September 2011 | 4.9 | 352 | 117–358 | 0 | |
| December 2011 | 10.6 | 334 | 117–358 | 0 | |
| June 2012 | 10.6 | 334 | 117–358 | LAN90/8w | |
| December 2012 | 6.1 | 752 | 117–358 | LAN120/6w | 10/14/11 |
| March 2013 | 9.8 | 504 | 117–358 | LAN90/4w+CAB1/1w | |
| May 2013 | 10/14/11 | ||||
| June 2013 | 9.9 | 438 | 117–358 | LAN90/4w+CAB4/1w | |
| October 2013 | 18.6 | 412 | 117–358 | LAN90/4w+CAB6/1w | 11/15/11 |
| November 2013 | 3.0 | 312 | 117–358 | 2nd operation | 2/2/2 |
| December 2013 | 1.8 | 322 | 117–358 | 0 | |
| March 2014 | 10.2 | 164 | 117–358 | 0 | 2/2/2 |
| July 2014 | 3.5 | 190 | 117–358 | 0 | |
| January 2015 | 4.1 | 292 | 117–358 | 0 | 5/6/6 |
| January 2016 | 8.7 | 568 | 117–358 | CAB1/1w | 9/9/7 |
| January 2016 | Radiation | 9/9/7 | |||
| May 2016 | 2.2 | 381 | 117–358 | 0 | 6/6/5 |
| August 2016 | 2.6 | 328 | 117–358 | 0 | |
| November 2016 | 3.4 | 401 | 117–358 | 0 | |
| February 2017 | 1.3 | 228150 | 117–358 88–537 * | PAS20/4w | |
| June 2017 | 1.8 | 189145 | 117–358 88–537 * | PAS20/4w | 2/2/2 |
| January 2018 | 1.2 | 133 | 88–537 | PAS20/4w | |
| June 2018 | 1.4 | 149 | 88–537 | PAS20/4w | 2/2/2 |
| November 2018 | 1.2 | 209 | 41–246 | PAS20/4w | |
| August 2019 | 1.0 | 170 | 112–281 | PAS20/4w | 2/2/2 |
| September 2020 | 1.2 | 152 | 109–271 | PAS20/4w |
| Date | GH (ng/mL) | IGF-1 (ng/mL) | Normal Value IGF-1 | Therapy (mg) | MRI (mm) Length/Width/Height |
|---|---|---|---|---|---|
| June 2016 | >40 | 816 | 109–307 | 0 | 26/25/37 |
| June 2016 | 109–307 | Operation | |||
| June 2016 | 5.0 | 751 | 109–307 | 0 | 8/15/11 |
| October 2016 | 8.5 | 760 | 109–307 | 0 | |
| February 2017 | 10.6 | 678 400 | 109–307 41–246 * | LAN60/4w | |
| March 2017 | 11.5 | 604 405 | 109–307 41–246 * | LAN60/4w | |
| May 2017 | 6.4 | 603 360 | 109–307 41–246 * | PAS40/4w | 8/15/11 |
| August 2017 | 3.9 | 581 373 | 109–307 41–246 * | PAS40/4w+CAB1/1w | |
| November 2017 | 6.0 | 425 | 41–246 | PAS40/4w | 8/15/11 |
| November 2017 | Radiation | ||||
| May 2018 | 5.9 | 490 | 41–246 | PAS40/6w | 8/15/11 |
| September 2018 | 2.3 | 287 | 41–246 | PAS40/6w+PEG40/1w | |
| March 2019 | 11.8 | 304 | 100–242 | PAS40/6w+PEG60/1w | |
| August 2019 | 7.2 | 297 | 98–238 | PAS40/6w+PEG80/1w | 6/10/9 |
| April 2020 | 8.6 | 319 | 98–238 | PAS40/6w+PEG100/1w | |
| October 2020 | 14.9 | 246 | 97–234 | PAS40/6w+PEG150/1w | |
| May 2021 | 13,0 | 138 | 97–234 | PAS40/6w+PEG180/1w |
| Patient 1 | Patient 2 | |
|---|---|---|
| Adenoma size | Macroadenoma (12 mm) | Macroadenoma (37 mm) |
| Histology | Densely granulated | Sparsely granulated, fibrous bodies |
| Ki67 | 5% | 5% |
| SSTR2 | IRS = 8 | IRS = 6 |
| SSTR5 | IRS = 6 | IRS = 8 |
Publisher’s Note: MDPI stays neutral with regard to jurisdictional claims in published maps and institutional affiliations. |
© 2021 by the authors. Licensee MDPI, Basel, Switzerland. This article is an open access article distributed under the terms and conditions of the Creative Commons Attribution (CC BY) license (https://creativecommons.org/licenses/by/4.0/).
Share and Cite
Pichler, R.; Kalev, O.; Tomancok, B.; Sonnberger, M.; Ehrlich, D.; Hodolic, M. Somatostatin Receptor Subtype Expression in Patients with Acromegaly and Complicated Clinical Course. Diagnostics 2021, 11, 1050. https://doi.org/10.3390/diagnostics11061050
Pichler R, Kalev O, Tomancok B, Sonnberger M, Ehrlich D, Hodolic M. Somatostatin Receptor Subtype Expression in Patients with Acromegaly and Complicated Clinical Course. Diagnostics. 2021; 11(6):1050. https://doi.org/10.3390/diagnostics11061050
Chicago/Turabian StylePichler, Robert, Ognian Kalev, Berndt Tomancok, Michael Sonnberger, Daniela Ehrlich, and Marina Hodolic. 2021. "Somatostatin Receptor Subtype Expression in Patients with Acromegaly and Complicated Clinical Course" Diagnostics 11, no. 6: 1050. https://doi.org/10.3390/diagnostics11061050
APA StylePichler, R., Kalev, O., Tomancok, B., Sonnberger, M., Ehrlich, D., & Hodolic, M. (2021). Somatostatin Receptor Subtype Expression in Patients with Acromegaly and Complicated Clinical Course. Diagnostics, 11(6), 1050. https://doi.org/10.3390/diagnostics11061050
