Synchronous Presentation of Rare Brain Tumors in Von Hippel–Lindau Syndrome
Abstract
1. Introduction
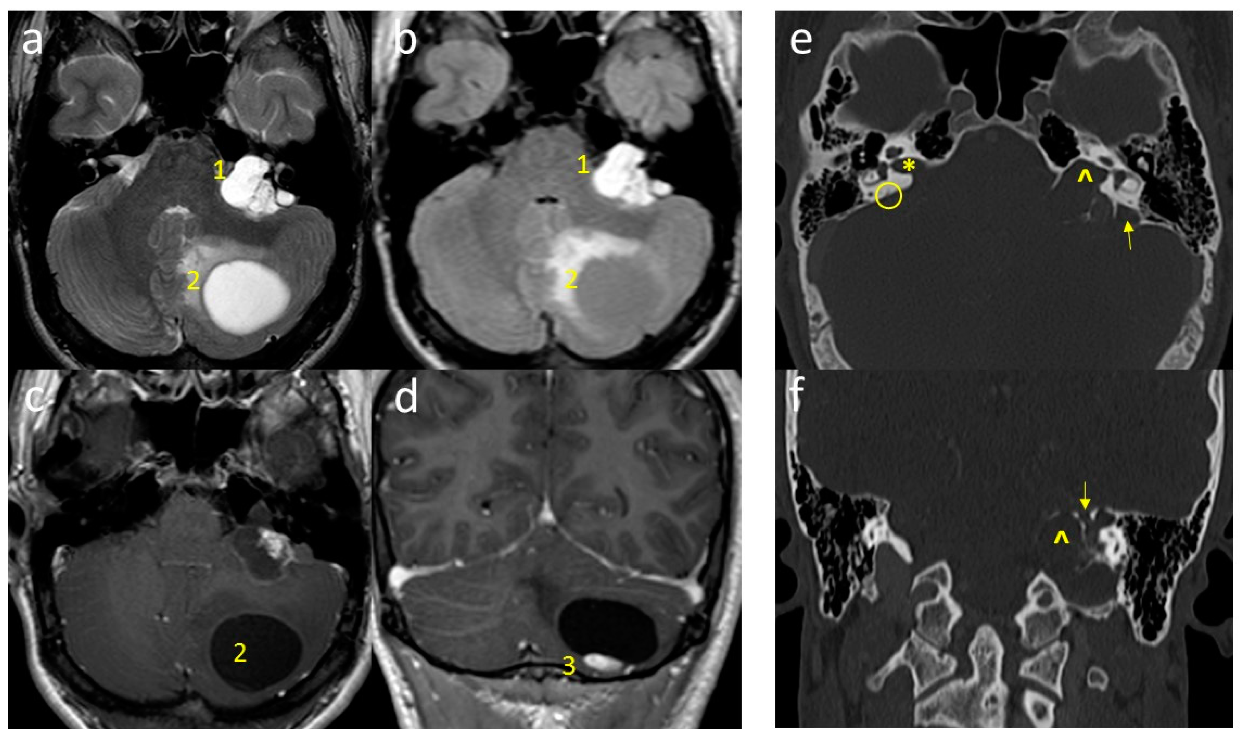
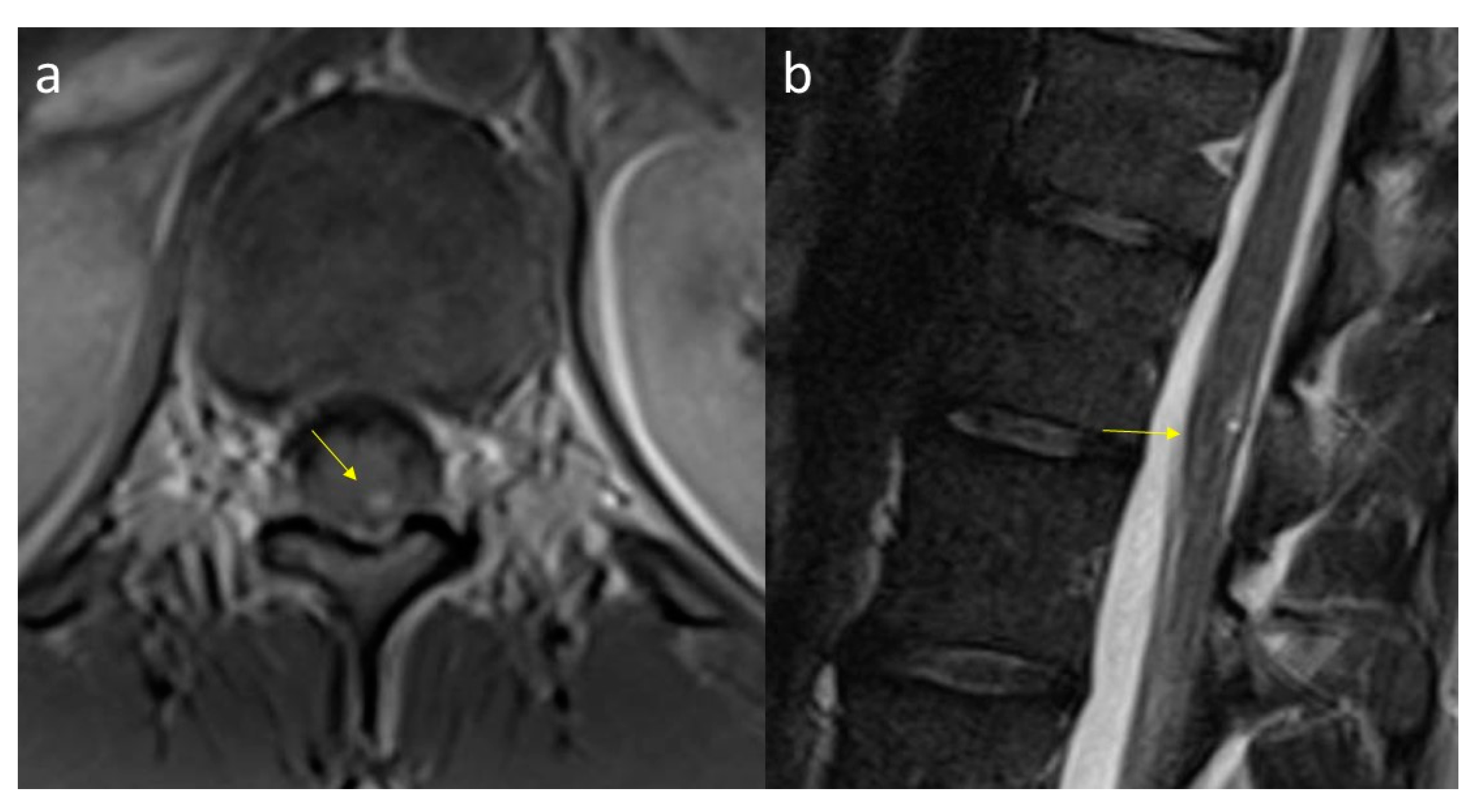
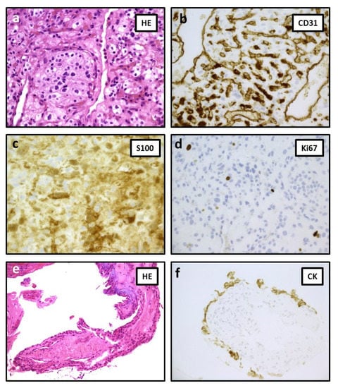
2. Case Report
3. Discussion
- -
- family history for VHLs and diagnosis of retinal hemangioblastoma, CNS hemangioblastoma, PPGL, or RCC;
- -
- negative family history for VHLs, in the presence of ≥2 CNS or retinal lesions (hemangioblastomas) or ≥2 visceral lesions (RCC, PPGL, multiple pancreatic or renal cysts, pNET, tumor of the endolymphatic sac of the o- cystadenoma of the epididymis, or broad ligament of the uterus) or the concomitant presence of a hemangioblastoma and a visceral lesion [20].
Funding
Institutional Review Board Statement
Informed Consent Statement
Data Availability Statement
Conflicts of Interest
References
- Bambakidis, N.C.; Megerian, C.A.; Ratcheson, R.A. Differential Grading of Endolymphatic Sac Tumor Extension by Virtue of Von Hippel–Lindau Disease Status. Otol. Neurotol. 2004, 25, 773–781. [Google Scholar] [CrossRef] [PubMed]
- Butman, J.A.; Kim, H.J.; Baggenstos, M.; Ammerman, J.M.; Dambrosia, J.; Patsalides, A.; Patronas, N.J.; Oldfield, E.H.; Lonser, R.R. Mechanisms of Morbid Hearing Loss Associated with Tumors of the Endolymphatic Sac in Von Hippel–Lindau Disease. JAMA 2007, 298, 41–48. [Google Scholar] [CrossRef] [PubMed]
- Patel, N.P.; Wiggins, R.H.; Shelton, C. The Radiologic Diagnosis of Endolymphatic Sac Tumors. Laryngoscope 2006, 116, 40–46. [Google Scholar] [CrossRef] [PubMed]
- Mukherji, S.K.; Albernaz, V.S.; Lo, W.W.; Gaffey, M.J.; Megerian, C.A.; Feghali, J.G.; Brook, A.; Lewin, J.S.; Lanzieri, C.F.; Talbot, J.M.; et al. Papillary Endolymphatic Sac Tumors: CT, MR Imaging, and Angiographic Findings in 20 Patients. Radiology 1997, 202, 801–808. [Google Scholar] [CrossRef] [PubMed]
- Kim, H.J.; Hagan, M.; Butman, J.A.; Baggenstos, M.; Brewer, C.; Zalewski, C.; Linehan, W.M.; Lonser, R.R. Surgical Resection of Endolymphatic Sac Tumors in Von Hippel–Lindau Disease: Findings, Results, and Indications. Laryngoscope 2013, 123, 477–483. [Google Scholar] [CrossRef] [PubMed]
- Ge, H.; Wang, H.; Cai, J.; Zhang, X.; Mei, W.; Wu, X.; Kang, D. Endolymphatic Sac Tumor: Case Report and Literature Review. Chin. Neurosurg. J. 2020, 6, 16. [Google Scholar] [CrossRef] [PubMed]
- Lonser, R.R.; Glenn, G.M.; Walther, M.; Chew, E.Y.; Libutti, S.K.; Linehan, W.M.; Oldfield, E.H. Von Hippel–Lindau Disease. Lancet Lond. Engl. 2003, 361, 2059–2067. [Google Scholar] [CrossRef]
- Nielsen, S.M.; Rhodes, L.; Blanco, I.; Chung, W.K.; Eng, C.; Maher, E.R.; Richard, S.; Giles, R.H. Von Hippel–Lindau Disease: Genetics and Role of Genetic Counseling in a Multiple Neoplasia Syndrome. J. Clin. Oncol. 2016, 34, 2172–2181. [Google Scholar] [CrossRef] [PubMed]
- Cui, H.; Zou, J.; Bao, Y.-H.; Wang, M.-S.; Wang, Y. Surgical Treatment of Solid Hemangioblastomas of the Posterior Fossa: A Report of 28 Cases. Oncol. Lett. 2017, 13, 1125–1130. [Google Scholar] [CrossRef] [PubMed]
- Richard, S.; Campello, C.; Taillandier, L.; Parker, F.; Resche, F. Haemangioblastoma of the Central Nervous System in Von Hippel–Lindau Disease. French VHL Study Group. J. Intern. Med. 1998, 243, 547–553. [Google Scholar] [CrossRef] [PubMed]
- Leung, R.S.; Biswas, S.V.; Duncan, M.; Rankin, S. Imaging Features of Von Hippel–Lindau Disease. RadioGraphics 2008, 28, 65–79. [Google Scholar] [CrossRef] [PubMed]
- Melmon, K.L.; Rosen, S.W. Lindau’s Disease: Review of the literature and study of a large kindred. Am. J. Med. 1964, 36, 595–617. [Google Scholar] [CrossRef]
- Shanbhogue, K.P.; Hoch, M.; Fatterpaker, G.; Chandarana, H. Von Hippel–Lindau Disease: Review of Genetics and Imaging. Radiol. Clin. North Am. 2016, 54, 409–422. [Google Scholar] [CrossRef]
- Maher, E.R.; Yates, J.R.; Harries, R.; Benjamin, C.; Harris, R.; Moore, A.T.; Ferguson-Smith, M.A. Clinical Features and Natural History of Von Hippel–Lindau Disease. Q. J. Med. 1990, 77, 1151–1163. [Google Scholar] [CrossRef] [PubMed]
- Choyke, P.L.; Glenn, G.M.; Walther, M.M.; Patronas, N.J.; Linehan, W.M.; Zbar, B. Von Hippel–Lindau Disease: Genetic, Clinical, and Imaging Features. Radiology 1995, 194, 629–642. [Google Scholar] [CrossRef] [PubMed]
- Monti, L.; Salerno, T.; Lucidi, V.; Fariello, G.; Orazi, C.; Manfredi, R.; Bella, S.; Castro, M. Pancreatic Cystosis in Cystic Fibrosis: Case Report. Abdom. Imaging 2001, 26, 648–650. [Google Scholar] [CrossRef]
- Crespigio, J.; Berbel, L.C.L.; Dias, M.A.; Berbel, R.F.; Pereira, S.S.; Pignatelli, D.; Mazzuco, T.L. Von Hippel–Lindau Disease: A Single Gene, Several Hereditary Tumors. J. Endocrinol. Investig. 2018, 41, 21–31. [Google Scholar] [CrossRef] [PubMed]
- Barontini, M.; Dahia, P.L.M. VHL Disease. Best Pract. Res. Clin. Endocrinol. Metab. 2010, 24, 401–413. [Google Scholar] [CrossRef] [PubMed]
- Rednam, S.P.; Erez, A.; Druker, H.; Janeway, K.A.; Kamihara, J.; Kohlmann, W.K.; Nathanson, K.L.; States, L.J.; Tomlinson, G.E.; Villani, A.; et al. Von Hippel–Lindau and Hereditary Pheochromocytoma/Paraganglioma Syndromes: Clinical Features, Genetics, and Surveillance Recommendations in Childhood. Clin. Cancer Res. Off. J. Am. Assoc. Cancer Res. 2017, 23, e68–e75. [Google Scholar] [CrossRef] [PubMed]
- Binderup, M.L.M.; Bisgaard, M.L.; Harbud, V.; Møller, H.U.; Gimsing, S.; Friis-Hansen, L.; van Overeem Hansen, T.; Bagi, P.; Knigge, U.; Kosteljanetz, M.; et al. Von Hippel–Lindau Disease (VHL). National Clinical Guideline for Diagnosis and Surveillance in Denmark. 3rd Edition. Dan. Med. J. 2013, 60, B4763. [Google Scholar] [PubMed]





Publisher’s Note: MDPI stays neutral with regard to jurisdictional claims in published maps and institutional affiliations. |
© 2021 by the authors. Licensee MDPI, Basel, Switzerland. This article is an open access article distributed under the terms and conditions of the Creative Commons Attribution (CC BY) license (https://creativecommons.org/licenses/by/4.0/).
Share and Cite
Lodi, M.; Marrazzo, A.; Cacchione, A.; Macchiaiolo, M.; Romanzo, A.; Mastronardi, L.; Diomedi-Camassei, F.; Carboni, A.; Carai, A.; Gandolfo, C.; et al. Synchronous Presentation of Rare Brain Tumors in Von Hippel–Lindau Syndrome. Diagnostics 2021, 11, 1005. https://doi.org/10.3390/diagnostics11061005
Lodi M, Marrazzo A, Cacchione A, Macchiaiolo M, Romanzo A, Mastronardi L, Diomedi-Camassei F, Carboni A, Carai A, Gandolfo C, et al. Synchronous Presentation of Rare Brain Tumors in Von Hippel–Lindau Syndrome. Diagnostics. 2021; 11(6):1005. https://doi.org/10.3390/diagnostics11061005
Chicago/Turabian StyleLodi, Mariachiara, Antonio Marrazzo, Antonella Cacchione, Marina Macchiaiolo, Antonino Romanzo, Luciano Mastronardi, Francesca Diomedi-Camassei, Alessia Carboni, Andrea Carai, Carlo Gandolfo, and et al. 2021. "Synchronous Presentation of Rare Brain Tumors in Von Hippel–Lindau Syndrome" Diagnostics 11, no. 6: 1005. https://doi.org/10.3390/diagnostics11061005
APA StyleLodi, M., Marrazzo, A., Cacchione, A., Macchiaiolo, M., Romanzo, A., Mastronardi, L., Diomedi-Camassei, F., Carboni, A., Carai, A., Gandolfo, C., Monti, L., Mastronuzzi, A., & Colafati, G. S. (2021). Synchronous Presentation of Rare Brain Tumors in Von Hippel–Lindau Syndrome. Diagnostics, 11(6), 1005. https://doi.org/10.3390/diagnostics11061005

