The Role of Echocardiography in the Management of Heart Transplant Recipients
Abstract
:1. Introduction
2. Normal Cardiac Allograft Structure and Function
2.1. Left Ventricular Morphology and Function
2.2. Right Ventricular Morphology and Function
2.3. Atrial Morphology and Function
2.4. Valve Morphology and Function
2.5. Pericardium
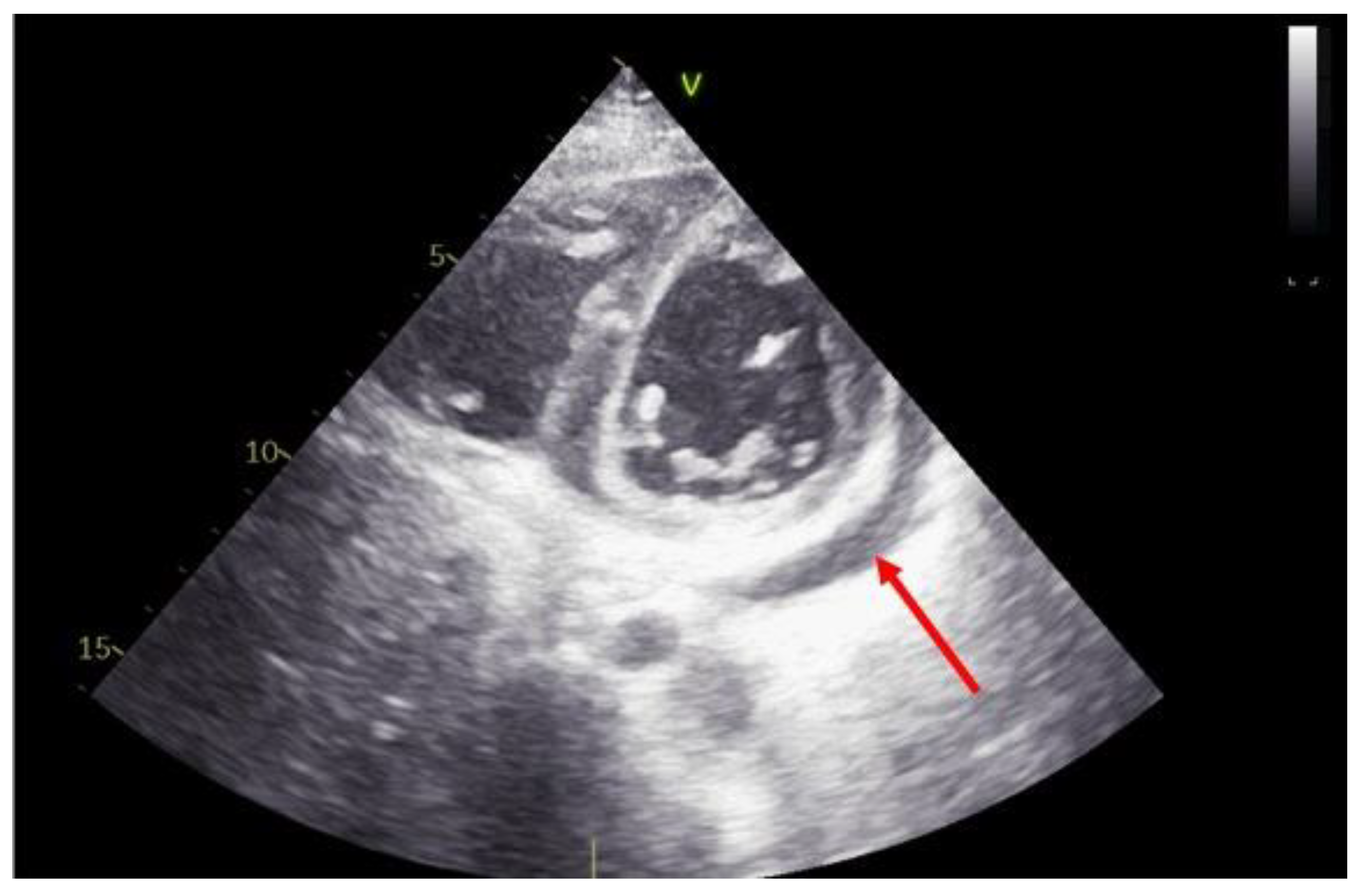
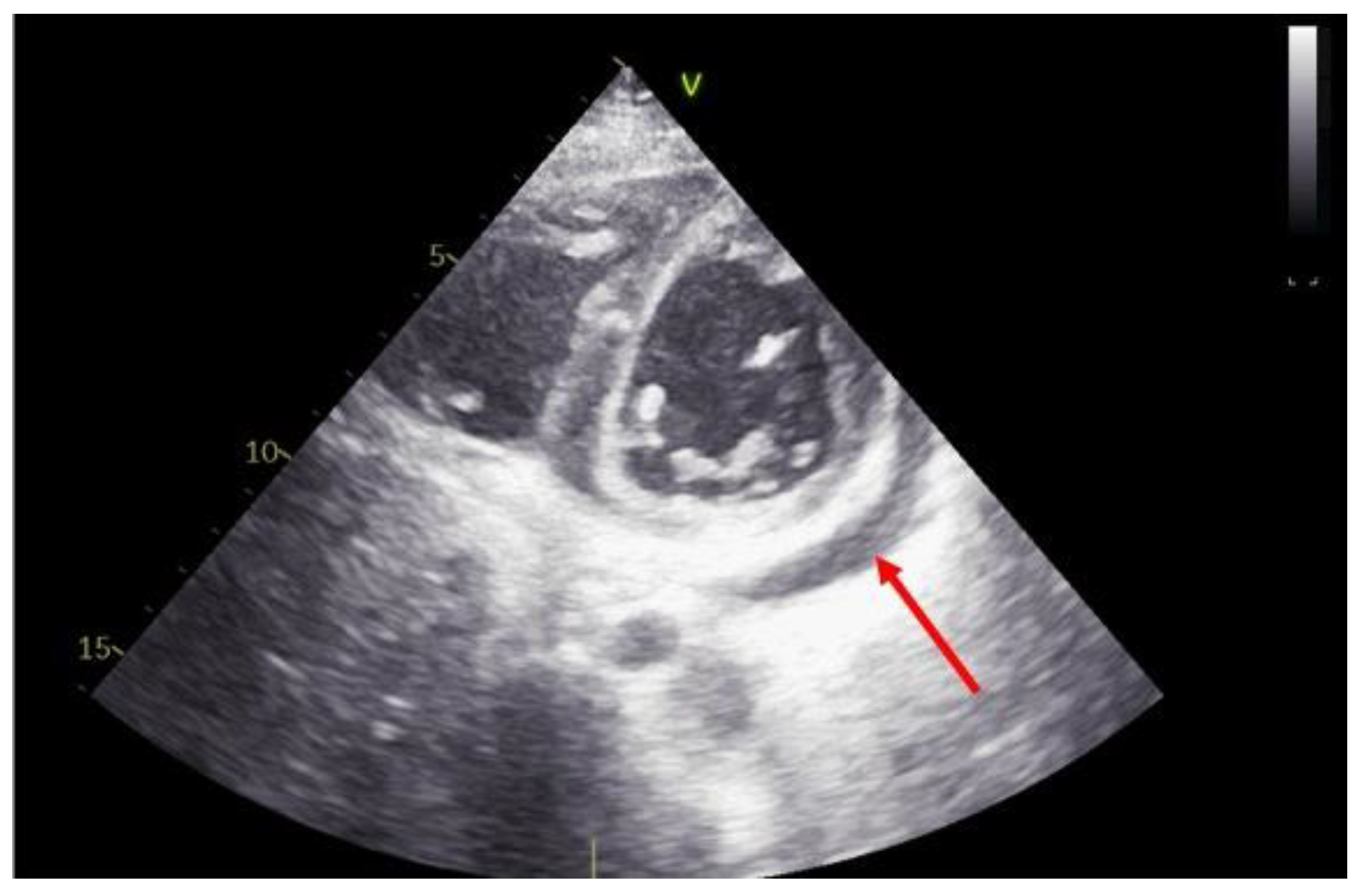
3. Role of Echocardiography in the Evaluation of Primary Graft Dysfunction
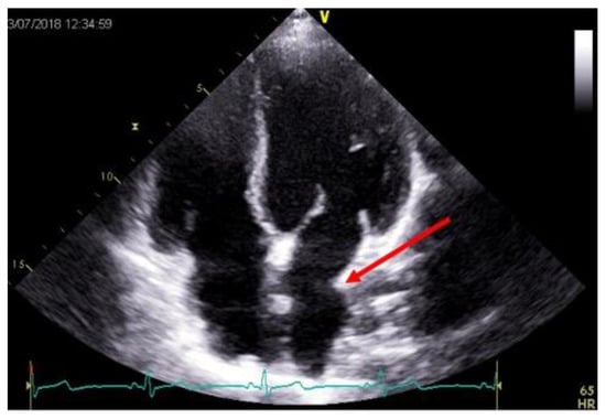
4. Role of Echocardiography in the Evaluation of Acute Graft Rejection
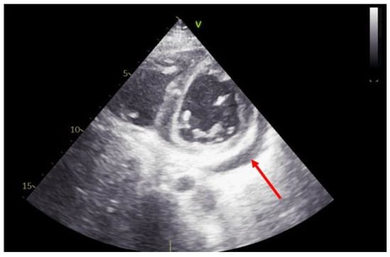
5. Role of Echocardiography in the Evaluation of Cardiac Allograft Vasculopathy
6. Conclusions
Author Contributions
Funding
Institutional Review Board Statement
Informed Consent Statement
Data Availability Statement
Conflicts of Interest
References
- McDonagh, T.A.; Metra, M.; Adamo, M.; Gardner, R.S.; Baumbach, A.; Böhm, M.; Burri, H.; Butler, J.; Čelutkienė, J.; Chioncel, O.; et al. 2021 ESC Guidelines for the diagnosis and treatment of acute and chronic heart failure: Developed by the Task Force for the diagnosis and treatment of acute and chronic heart failure of the European Society of Cardiology (ESC) With the special contribution of the Heart Failure Association (HFA) of the ESC. Eur. Heart J. 2021, 42, 3599–3726. [Google Scholar] [PubMed]
- Kittleson, M.M.; Kobashigawa, J.A. Cardiac Transplantation: Current Outcomes and Contemporary Controversies. JACC Heart Fail. 2017, 5, 857–868. [Google Scholar] [CrossRef] [PubMed]
- Olymbios, M.; Kwiecinski, J.; Berman, D.S.; Kobashigawa, J.A. Imaging in Heart Transplant Patients. JACC: Cardiovasc. Imaging 2018, 11, 1514–1530. [Google Scholar] [CrossRef]
- Costanzo, M.R.; Dipchand, A.; Starling, R.; Anderson, A.; Chan, M.; Desai, S.; Fedson, S.; Fisher, P.; Gonzales-Stawinski, G.; Martinelli, L.; et al. The International Society of Heart and Lung Transplantation Guidelines for the care of heart transplant recipients. J Heart Lung Transplant. 2010, 29, 914–956. [Google Scholar]
- Thorn, E.M.; de Filippi, C.R. Echocardiography in the cardiac transplant recipient. Heart Fail Clin. 2007, 3, 51–67. [Google Scholar] [CrossRef] [PubMed]
- Wilhelmi, M.; Pethig, K.; Wilhelmi, M.; Nguyen, H.; Strüber, M.; Haverich, A. Heart transplantation: Echocardiographic assessment of morphology and function after more than 10 years of follow-up. Ann. Thorac. Surg. 2002, 74, 1075–1079. [Google Scholar] [CrossRef]
- Okada, D.R.; Molina, M.R.; Kohari, M.; Vorovich, E.E.; Owens, A.T.; Han, Y. Clinical echocardiographic indices of left ventricular diastolic function correlate poorly with pulmonary capillary wedge pressure at 1 year following heart transplantation. Int. J. Cardiovasc. Imaging 2015, 31, 783–794. [Google Scholar] [CrossRef] [PubMed]
- Nagueh, S.F.; Smiseth, O.A.; Appleton, C.P.; Gillebert, T.C.; Marino, P.N.; Oh, J.K.; Waggoner, A.D.; Flachskampf, F.A.; Pellikka, P.A.; Evangelisa, A. Recommendations for the evaluation of left ventricular diastolic function by echocardiography. Eur. J. Echocardiogr. 2016, 29, 277–314.25. [Google Scholar] [CrossRef] [PubMed] [Green Version]
- Sundereswaran, L.; Nagueh, S.F.; Vardan, S.; Middleton, K.J.; Zoghbi, W.A.; Quiñones, M.A.; Torre-Amione, G. Estimation of left and right ventricular filling pressures after heart transplantation by tissue Doppler imaging. Am. J. Cardiol. 1998, 82, 352–357. [Google Scholar] [CrossRef]
- Rustad, L.A.; Nytrøen, K.; Andreassen, A.; Geiran, O.; Endresen, K.; Gullestad, L.; Aakhus, S.; Amundsen, B.H. Heart transplant systolic and diastolic function is impaired by prolonged pretransplant graft ischaemic time and high donor age: An echocardiographic study. Eur. J. Cardio-Thoracic Surg. 2013, 44, e97–e104. [Google Scholar] [CrossRef] [Green Version]
- Tallaj, J.A.; Kirklin, J.K.; Brown, R.N.; Rayburn, B.K.; Bourge, R.C.; Benza, R.L.; Pinderski, L.; Pamboukian, S.; McGiffin, D.C.; Naftel, D.C. Post-heart transplant diastolic dysfunction is a risk factor for mortality. J Am Coll Cardiol. 2007, 50, 1064–1069. [Google Scholar] [CrossRef] [PubMed] [Green Version]
- Bhatia, S.J.; Kirshenbaum, J.M.; Shemin, R.J.; Cohn, L.H.; Collins, J.J.; Di Sesa, V.J.; Young, P.J.; Mudge, G.H., Jr.; Sutton, M.G. Time course of resolution of pulmonary hypertension and right ventricular re-modeling after orthotopic cardiac transplantation. Circulation 1987, 76, 819–826. [Google Scholar] [CrossRef] [PubMed] [Green Version]
- Dandel, M.; Hummel, M.; Muller, J.; Wellnhofer, E.; Meyer, R.; Solowjowa, N.; Ewert, R.; Hetzer, R. Reliability of tissue Doppler wall motion monitoring after heart transplantation for replacement of invasive routine screenings by optimally timed cardiac biopsies and catheterizations. Circulation 2001, 104, I184–I191. [Google Scholar] [CrossRef] [PubMed] [Green Version]
- Clemmensen, T.S.; Eiskjaer, H.; Logstrup, B.B.; Andersen, M.J.; Mellemkjær, S.; Poulsen, S.H. Echocardiographic assessment of right heart function in heart transplant re-cipients and the relation to exercise hemodynamics. Transpl. Int. 2016, 29, 909–920. [Google Scholar] [CrossRef] [PubMed]
- Haddad, F.; Doyle, R.; Murphy, D.J.; Hunt, S.A. Right ventricular function in cardiovascular disease, part II: Pathophysiology, clinical importance, and management of right ventricular failure. Circulation 2008, 117, 1717–1731. [Google Scholar] [CrossRef]
- Traversi, E.; Pozzoli, M.; Grande, A.; Forni, G.; Assandri, J.; Viganò, M.; Tavazzi, L. The bicaval anastomosis technique for orthotopic heart transplantation yields better atrial function than the standard technique: An echocardiographic automatic boundary detection study. J. Heart Lung Transplant. 1998, 17, 1065–1074. [Google Scholar]
- Bech-Hanssen, O.; Pergola, V.; Al-Admawi, M.; Fadel, B.M.; Di Salvo, G. Atrial function in heart transplant recipients operated with the bicaval technique. Scand. Cardiovasc. J. 2016, 50, 42–51. [Google Scholar] [CrossRef]
- Mondillo, S.; Maccherini, M.; Galderisi, M. Usefulness and limitations of transthoracic echocardiography in heart transplantation recipients. Cardiovasc. Ultrasound 2008, 6, 2. [Google Scholar] [CrossRef] [Green Version]
- Kwon, M.H.; Shemin, R.J. Tricuspid valve regurgitation after heart transplantation. Ann. Cardiothorac. Surg. 2017, 6, 270–274. [Google Scholar] [CrossRef] [Green Version]
- Stevenson, L.; Dadourian, B.J.; Kobashigawa, J.; Child, J.S.; Clark, S.H.; Laks, H. Mitral regurgitation after cardiac transplantation. Am. J. Cardiol. 1987, 60, 119–122. [Google Scholar] [CrossRef]
- Bishawi, M.; Zanotti, G.; Shaw, L.; MacKenzie, M.; Castleberry, A.; Bartels, K.; Schroder, J.; Velazquez, E.; Swaminathan, M.; Rogers, J.; et al. Tricuspid Valve Regurgitation Immediately After Heart Transplant and Long-Term Outcomes. Ann. Thorac. Surg. 2019, 107, 1348–1355. [Google Scholar] [CrossRef]
- Nguyen, V.; Cantarovich, M.; Cecere, R.; Giannetti, N. Tricuspid regurgitation after cardiac transplantation: How many biopsies are too many? J. Heart Lung Transplant. 2005, 24 (Suppl. 7), S227–S231. [Google Scholar] [CrossRef]
- Wong, R.C.; Abrahams, Z.; Hanna, M.; Pangrace, J.; Gonzalez-Stawinski, G.; Starling, R.; Taylor, D. Tricuspid regurgitation after car-diac transplantation: An old problem revisited. J. Heart Lung Transplant. 2008, 27, 247–252. [Google Scholar] [CrossRef]
- Vandenberg, B.F.; Mohanty, P.K.; Craddock, K.J.; Barnhart, G.; Hanrahan, J.; Szentpetery, S.; Lower, R.R. Clinical significance of peri-cardial effusion after heart transplantation. J. Heart Transplant. 1988, 7, 128–134. [Google Scholar] [PubMed]
- Ciliberto, G.; Anjos, M.C.; Gronda, E.; Bonacina, E.; Danzi, G.; Colombo, P.; Mangiavacchi, M.; Alberti, A.; Frigerio, M.; De Vita, C. Significance of pericardial effusion after heart transplantation. Am. J. Cardiol. 1995, 76, 297–300. [Google Scholar] [CrossRef]
- Quin, J.A.; Tauriainen, M.; Huber, L.M.; McIntire, D.D.; Kaiser, P.A.; Ring, W.; Jessen, M.E. Predictors of pericardial effusion after orthotopic heart transplantation. J. Thorac. Cardiovasc. Surg. 2002, 124, 979–983. [Google Scholar] [CrossRef] [Green Version]
- Chew, H.C.; Kumarasinghe, G.; Iyer, A.; Hicks, M.; Gao, L.; Doyle, A.; Jabbour, A.; Dhital, K.; Granger, E.; Jansz, P.; et al. Primary Graft Dysfunction After Heart Transplantation. Curr. Transplant. Rep. 2014, 1, 257–265. [Google Scholar] [CrossRef] [Green Version]
- Kobashigawa, J.; Zuckermann, A.; Macdonald, P.; Leprince, P.; Esmailian, F.; Luu, M.; Mancini, D.; Patel, J.; Razi, R.; Reichenspurner, H.; et al. Consensus Conference participants. Report from a consensus conference on primary graft dysfunction after cardiac transplantation. J. Heart Lung Transplant. 2014, 33, 327–340. [Google Scholar] [CrossRef]
- Subramani, S.; Aldrich, A.; Dwarakanath, S.; Sugawara, A.; Hanada, S. Early Graft Dysfunction Following Heart Transplant: Prevention and Management. Semin. Cardiothorac. Vasc. Anesthesia 2020, 24, 24–33. [Google Scholar] [CrossRef]
- Singh, S.S.A.; Dalzell, J.R.; Berry, C.; Al-Attar, N. Primary graft dysfunction after heart transplantation: A thorn amongst the roses. Heart Fail Rev. 2019, 24, 805–820. [Google Scholar] [CrossRef] [PubMed] [Green Version]
- DePasquale, E.C.; Ardehali, A. Primary graft dysfunction in heart transplantation. Curr. Opin. Organ Transplant. 2018, 23, 286–294. [Google Scholar] [CrossRef]
- Lund, L.H.; Edwards, L.B.; Kucheryavaya, A.Y.; Benden, C.; Christie, J.D.; Dipchand, A.I.; Dobbels, F.; Goldfarb, S.B.; Levvey, B.J.; Meiser, B.; et al. International Society of Heart and Lung Transplantation. The Registry of the International Society for Heart and Lung Transplantation: Thirty-first Official Adult Heart Transplant Report—2014; Focus Theme: Retransplantation. J. Heart Lung Transplant. 2014, 33, 996–1008. [Google Scholar] [CrossRef]
- Khush, K.K.; Hsich, E.; Potena, L.; Cherikh, W.S.; Chambers, D.C.; Harhay, M.O.; Hayes, D., Jr.; Perch, M.; Sadavarte, A.; Toll, A.; et al. The International Thoracic Organ Transplant Registry of the International Society for Heart and Lung Transplantation: Thirty-eighth adult heart trans-plantation report-2021; Focus on recipient characteristics. J. Heart Lung Transplant. 2021, 40, 1035–1049. [Google Scholar] [CrossRef] [PubMed]
- Crespo-Leiro, M.G.; Barge-Caballero, G.; Couto-Mallon, D. Noninvasive monitoring of acute and chronic rejection in heart transplantation. Curr. Opin. Cardiol. 2017, 32, 308–315. [Google Scholar] [CrossRef] [PubMed]
- McManigle, W.; Pavlisko, E.; Martinu, T. Acute Cellular and Antibody-Mediated Allograft Rejection. Semin. Respir. Crit. Care Med. 2013, 34, 320–335. [Google Scholar] [CrossRef] [PubMed]
- Alegre, M.-L.; Florquin, S.; Goldman, M. Cellular mechanisms underlying acute graft rejection: Time for reassessment. Curr. Opin. Immunol. 2007, 19, 563–568. [Google Scholar] [CrossRef] [PubMed]
- Welch, T.S.; Mrisc, Z.; Sula, M. Monitoring for Rejection. In Contemporary Heart Transplantation, 1st ed.; Bogar, L., Otero, A.S., Eds.; Elsevier: New York, NY, USA; p. 10010.
- Saraiva, F.; Matos, V.; Gonçalves, L.; Antunes, M.; Providência, L. Complications of Endomyocardial Biopsy in Heart Transplant Patients: A Retrospective Study of 2117 Consecutive Procedures. Transplant. Proc. 2011, 43, 1908–1912. [Google Scholar] [CrossRef]
- Tang, Z.; Kobashigawa, J.; Rafiei, M.; Stern, L.K.; Hamilton, M. The natural history of biopsy-negative rejection after heart trans-plantation. J. Transplant. 2013, 2013, 236720. [Google Scholar]
- Badano, L.P.; Miglioranza, M.H.; Edvardsen, T.; Colafranceschi, A.S.; Muraru, D.; Bacal, F.; Nieman, K.; Zoppellaro, G.; Braga, F.G.M.; Binder, T.; et al. Document reviewers. Document reviewers. European Association of Cardiovascular Imag-ing/Cardiovascular Imaging Department of the Brazilian Society of Cardiology recommendations for the use of cardiac imaging to assess and follow patients after heart transplantation. Eur. Heart J. Cardiovasc. Imaging 2015, 16, 919–948. [Google Scholar]
- Sagar, K.B.; Hastillo, A.; Wolfgang, T.C.; Lower, R.R.; Hess, M.L. Left ventricular mass by M-mode echocardiography in cardiac transplant patients with acute rejection. Circulation 1981, 64, II217–II220. [Google Scholar]
- Valantine, H.A.; Hunt, S.A.; Gibbons, R.; Billingham, M.E.; Stinson, E.B.; Popp, R.L. Increasing pericardial effusion in cardiac transplant recipients. Circulation 1989, 79, 603–609. [Google Scholar] [CrossRef] [Green Version]
- Valantine, H.A.; Appleton, C.P.; Hatle, L.K.; Hunt, S.A.; Billingham, M.E.; Shumway, N.E.; Stinson, E.B.; Popp, R.L. A hemodynamic and Doppler echocardiographic study of ventricular function in long-term cardiac allograft recipients: Etiology and prognosis of restrictive-constrictive physiology. Circulation 1989, 79, 66–75. [Google Scholar] [CrossRef] [Green Version]
- Yun, K.L.; Niczyporuk, A.M.; Daughters, G.T.; Ingels, N.B., Jr.; Stinson, E.B.; Alderman, E.L.; Hansen, E.D.; Miller, D.C. Alterations in left ventricular diastolic twist mechanics during acute human cardiac allograft rejection. Circulation 1991, 83, 962–973. [Google Scholar] [CrossRef] [PubMed] [Green Version]
- Kato, T.S.; Homma, S.; Mancini, D. Novel echocardiographic strategies for rejection diagnosis. Curr. Opin. Organ Transplant. 2013, 18, 573–580. [Google Scholar] [CrossRef]
- Mena, C.; Wencker, D.; Krumholz, H.M.; McNamara, R.L. Detection of Heart Transplant Rejection in Adults by Echocardiographic Diastolic Indices: A Systematic Review of the Literature. J. Am. Soc. Echocardiogr. 2006, 19, 1295–1300. [Google Scholar] [CrossRef] [PubMed]
- Marciniak, A.; Eroglu, E.; Marciniak, M.; Sirbu, C.; Herbots, L.; Droogne, W.; Claus, P.; D’Hooge, J.; Bijnens, B.; Vanhaecke, J.; et al. The potential clinical role of ultrasonic strain and strain rate imaging in diagnosing acute rejection after heart transplantation. Eur. J. Echocardiogr. 2007, 8, 213–221. [Google Scholar] [CrossRef] [PubMed] [Green Version]
- Kato, T.-S.; Oda, N.; Hashimura, K.; Hashimoto, S.; Nakatani, T.; Ueda, H.-I.; Shishido, T.; Komamura, K. Strain rate imaging would predict sub-clinical acute rejection in heart transplant recipients. Eur. J. Cardio-Thoracic Surg. 2010, 37, 1104–1110. [Google Scholar] [CrossRef]
- Yuda, S. Current clinical applications of speckle tracking echocardiography for assessment of left atrial function. J. Echocardiogr. 2021, 19, 129–140. [Google Scholar] [CrossRef] [PubMed]
- Sato, T.; Kato, T.S.; Kamamura, K.; Hashimoto, S.; Shishido, T.; Mano, A.; Oda, N.; Takahashi, A.; Ishibashi-Ueda, H.; Nakatani, T.; et al. Utility of left ventricular systolic torsion derived from 2-dimensional speckle-tracking echocardiography in monitoring acute cellular rejection in heart transplant recipients. J. Heart Lung Transplant. 2011, 30, 536–543. [Google Scholar] [CrossRef]
- Mingo-Santos, S.; Moñivas-Palomero, V.; Garcia-Lunar, I.; Mitroi, C.D.; Goirigolzarri-Artaza, J.; Rivero, B.; Oteo, J.F.; Castedo, E.; González-Mirelis, J.; Cavero, M.A.; et al. Usefulness of Two-Dimensional Strain Parameters to Diagnose Acute Rejection after Heart Transplantation. J. Am. Soc. Echocardiogr. 2015, 28, 1149–1156. [Google Scholar] [CrossRef]
- Aranda, J.M.; Hill, J. Cardiac transplant vasculopathy. Chest 2000, 118, 1792–1800. [Google Scholar] [CrossRef]
- Schmauss, D.; Weis, M. Cardiac allograft vasculopathy: Recent developments. Circulation 2008, 117, 2131–2141. [Google Scholar] [CrossRef]
- Lee, M.S.; Finch, W.; Weisz, G.; Kirtane, A.J. Cardiac allograft vasculopathy. Rev. Cardiovasc. Med. 2011, 12, 143–152. [Google Scholar]
- Zimmer, R.J.; Lee, M.S. Transplant coronary artery disease. JACC Cardiovasc. Interv. 2010, 3, 367–377. [Google Scholar] [CrossRef]
- Ortega-Legaspi, J.M.; Bravo, P.E. Diagnosis and management of cardiac allograft vasculopathy. Heart 2021. [Google Scholar] [CrossRef] [PubMed]
- Wu, H.A.; Kolias, T.J. Cardiac Transplantation: Pretransplant and Posttransplant Evaluation. In The Practice of Clinical Echocardiography, 6th ed.; Otto, C.M., Ed.; Elsevier: New York, NY, USA, 2021; pp. 585–596. [Google Scholar]
- Smart, F.W.; Balantyne, C.M.; Cocanougher, B.; Farmer, J.A.; Sekela, M.E.; Noon, G.P.; Young, J.B. Insensitivity of noninvasive tests to detect coronary artery vasculopathy after after heart transplant. Am. J. Cardiol. 2011, 67, 243–247. [Google Scholar] [CrossRef]
- Störk, S.; Behr, T.; Birk, M.; Überfuhr, P.; Klauss, V.; Spes, C.; Angermann, C. Assessment of Cardiac Allograft Vasculopathy Late After Heart Transplantation: When Is Coronary Angiography Necessary? J. Heart Lung Transplant. 2006, 25, 1103–1108. [Google Scholar] [CrossRef] [PubMed]
- Lunze, F.I.; Colan, S.D.; Gauvreau, K.; Perez-Atayde, A.R.; Smith, R.N.; Blume, E.D.; Singh, T.P. Tissue Doppler imaging for rejection surveillance in pediatric heart transplant recipients. J. Heart Lung Transplant. 2013, 32, 1027–1033. [Google Scholar] [CrossRef]
- Sciaccaluga, C.; Ghionzoli, N.; Mandoli, G.; Sisti, N.; D’Ascenzi, F.; Focardi, M.; Bernazzali, S.; Vergaro, G.; Emdin, M.; Valente, S.; et al. The role of non-invasive imaging modalities in cardiac allograft vasculopathy: An updated focus on current evidences. Heart Fail. Rev. 2021, 1–12. [Google Scholar] [CrossRef] [PubMed]
- Dandel, M.; Hummel, M.; Meyer, R.; Müller, J.; Kapell, S.; Ewert, R.; Hetzer, R. Left ventricular dysfunction during cardiac allograft rejection: Early diagnosis, relationship to the histological severity grade, and therapeutic implications. Transplant. Proc. 2002, 34, 2169–2173. [Google Scholar] [CrossRef]
- Hummel, M.; Dandel, M.; Knollmann, F.; Müller, J.; Knosalla, C.; Ewert, R.; Grauhan, O.; Meyer, R.; Hetzer, R. Long-term surveillance of heart-transplanted patients: Noninvasive monitoring of acute rejection episodes and transplant vasculopathy. Transplant. Proc. 2001, 33, 3539–3542. [Google Scholar] [CrossRef]
- Clemmensen, T.S.; Løgstrup, B.B.; Eiskjær, H.; Poulsen, S.H. Evaluation of longitudinal myocardial deformation by 2-dimensional speckle-tracking echocardiography in heart transplant recipients: Relation to coronary allograft vasculopathy. J. Heart Lung Transplant. 2015, 34, 195–203. [Google Scholar] [CrossRef] [PubMed]
- Dandel, M.; Hetzer, R. Post-transplant surveillance for acute rejection and allograft vasculopathy by echocardiography: Use-fulness of myocardial velocity and deformation imaging. J. Heart Lung Transplant. 2017, 36, 117–131. [Google Scholar] [CrossRef]
- Sciaccaluga, C.; Mandoli, G.E.; Sisti, N.; Natali, M.B.; Ibrahim, A.; Menci, D.; D’Errico, A.; Donati, G.; Benfari, G.; Valente, S.; et al. Detection of cardiac allograft vasculopathy by multi-layer left ventricular longitudinal strain in heart transplant recipients. Int. J. Cardiovasc. Imaging 2021, 37, 1621–1628. [Google Scholar] [CrossRef]
- Collings, A.C.; Pinto, F.J.; Valantine, H.A.; Popylisen, S.; Puryear, J.V.; Schnittger, I. Exercise echocardiography in heart transplant recipients: A comparison with angiography and intracoronary ultrasonography. J. Heart Lung Transplant. 1994, 13, 604–613. [Google Scholar] [PubMed]
- Ciliberto, G.R.; Parodi, O.; Cataldo, G.; Mangiavacchi, M.; Alberti, A.; Parolini, M.; Frigerio, M. Prognostic value of contractile response during high-dose dipyridamole echo-cardiography test in heart transplant recipients. J. Heart Lung Transplant. 2003, 22, 526–532. [Google Scholar] [CrossRef]
- Ciliberto, G.; Massa, D.; Mangiavacchi, M.; Danzi, G.B.; Pirelli, S.; Faletra, F.; Frigerio, M.; Gronda, E.; De Vita, C. High-dose dipyridamole echocardiography test in coronary artery disease after heart transplantation. Eur. Heart J. 1993, 14, 48–52. [Google Scholar] [CrossRef]
- Clerkin, K.J.; Farr, M.A.; Restaino, S.W.; Ali, Z.A.; Mancini, D.M. Dobutamine stress echocardiography is inadequate to detect early cardiac allograft vasculopathy. J. Heart Lung Transpl. 2016, 35, 1040. [Google Scholar] [CrossRef] [Green Version]
- Eroglu, E.; D’Hooge, J.; Sutherland, G.R.; Marciniak, A.; Thijs, D.; Droogne, W.; Herbots, L.; Van Cleemput, J.; Claus, P.; Bijnens, B.; et al. Quantitative dobutamine stress echocardiography for the early detection of cardiac allograft vasculopathy in heart transplant recipients. Heart 2008, 94, e3. [Google Scholar] [CrossRef]





| ISHLT Grading | Grading of Rejection | Histopathological Findings |
|---|---|---|
| Grade 0 | No rejection | No rejection |
| Grade 1 R | Mild | Interstitial and/or perivascular infiltrate with up to one focus of myocyte damage |
| Grade 2 R | Moderate | Two or more foci of infiltrates with associated myocyte damage |
| Grade 3 R | Severe | Diffuse infiltrate with multifocal myocyte damage, with or without edema, hemorrhage, or vasculitis |
Publisher’s Note: MDPI stays neutral with regard to jurisdictional claims in published maps and institutional affiliations. |
© 2021 by the authors. Licensee MDPI, Basel, Switzerland. This article is an open access article distributed under the terms and conditions of the Creative Commons Attribution (CC BY) license (https://creativecommons.org/licenses/by/4.0/).
Share and Cite
Masarone, D.; Kittleson, M.; Gravino, R.; Valente, F.; Petraio, A.; Pacileo, G. The Role of Echocardiography in the Management of Heart Transplant Recipients. Diagnostics 2021, 11, 2338. https://doi.org/10.3390/diagnostics11122338
Masarone D, Kittleson M, Gravino R, Valente F, Petraio A, Pacileo G. The Role of Echocardiography in the Management of Heart Transplant Recipients. Diagnostics. 2021; 11(12):2338. https://doi.org/10.3390/diagnostics11122338
Chicago/Turabian StyleMasarone, Daniele, Michelle Kittleson, Rita Gravino, Fabio Valente, Andrea Petraio, and Giuseppe Pacileo. 2021. "The Role of Echocardiography in the Management of Heart Transplant Recipients" Diagnostics 11, no. 12: 2338. https://doi.org/10.3390/diagnostics11122338
APA StyleMasarone, D., Kittleson, M., Gravino, R., Valente, F., Petraio, A., & Pacileo, G. (2021). The Role of Echocardiography in the Management of Heart Transplant Recipients. Diagnostics, 11(12), 2338. https://doi.org/10.3390/diagnostics11122338

