Diffusion-Tensor-Tractography-Based Diagnosis for Injury of Corticospinal Tract in a Patient with Hemiplegia Following Traumatic Brain Injury
Abstract
1. Introduction
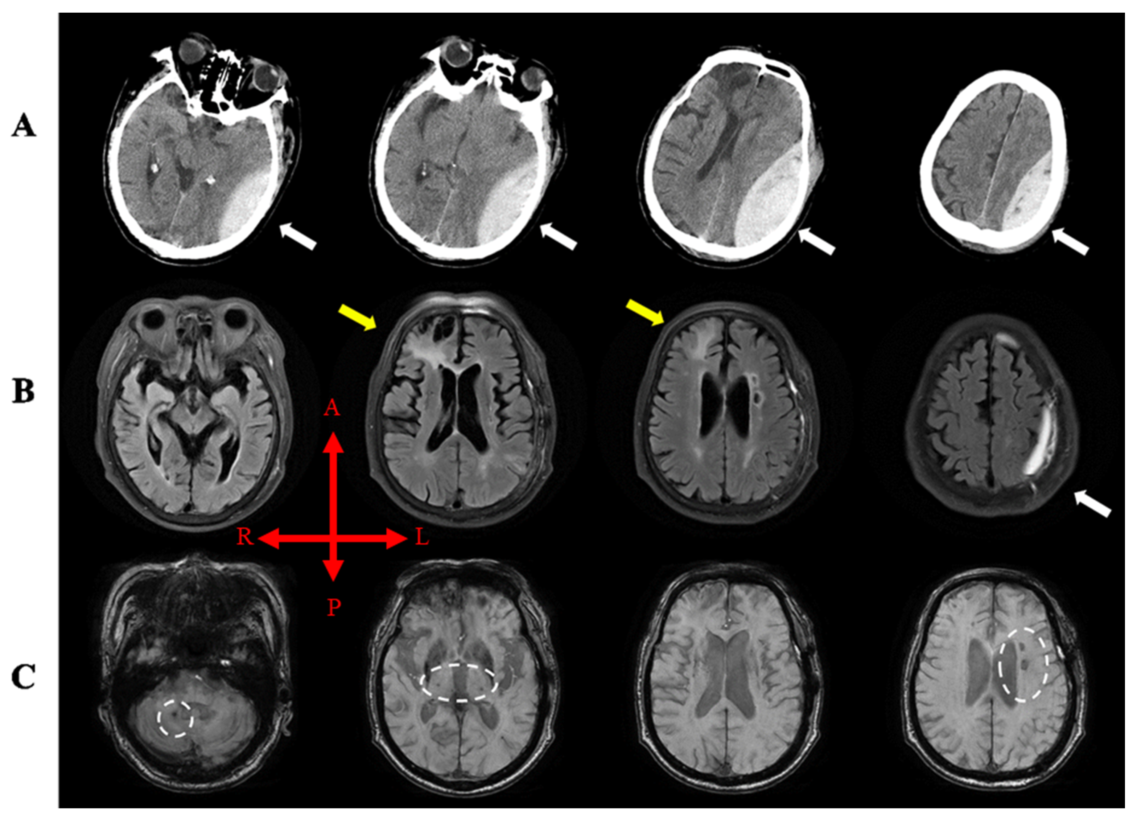
2. Case Report
3. Diffusion Tensor Tractography
4. Discussion
Author Contributions
Funding
Acknowledgments
Conflicts of Interest
References
- Jang, S.H.; Kim, S.H.; Kwon, Y.H. Extensive traumatic axonal injury of brain due to violence A case report. Medicine (United States) 2018, 97, 4–7. [Google Scholar]
- Shenton, M.; Hamoda, H.; Zafonte, R. A review of MRI and DTI Findings in Mild Traumatic Brain Injury. Brain Imaging Behav. 2012, 6, 137–192. [Google Scholar] [CrossRef] [PubMed]
- Jang, S.H.; Kwon, Y.H. A Review of Traumatic axonal injury following whiplash injury as demonstrated by diffusion tensor tractography. Front. Neurol. 2018, 9, 1–6. [Google Scholar] [CrossRef] [PubMed]
- Shin, H.E.; Suh, H.C.; Kang, S.H.; Seo, K.M.; Kim, D.K.; Shin, H.W. Diagnostic challenge of diffusion tensor imaging in a patient with hemiplegia after traumatic brain injury. Ann. Rehabil. Med. 2017, 41, 153–157. [Google Scholar] [CrossRef] [PubMed]
- Jang, S.H.; Kim, S.Y. Injury of the Corticospinal Tract in Patients with Mild Traumatic Brain Injury: A Diffusion Tensor Tractography Study. J. Neurotrauma 2016, 33, 1790–1795. [Google Scholar] [CrossRef] [PubMed]
- Jang, S.H.; Seo, J.P. Differences of the medial lemniscus and spinothalamic tract according to the cortical termination areas: A diffusion tensor tractography study. Somatosens. Mot. Res. 2015, 32, 67–71. [Google Scholar] [CrossRef] [PubMed]
- Kim, J.H.; Son, S.M. Activation of less affected corticospinal tract and poor motor outcome in hemiplegic pediatric patients: A diffusion tensor tractography imaging study. Neural Regen. Res. 2015, 10, 2054–2059. [Google Scholar] [PubMed]
- Jang, S.H.; Seo, Y.S. Diagnosis of Conversion Disorder Using Diffusion Tensor Tractography and Transcranial Magnetic Stimulation in a Patient with Mild Traumatic Brain Injury. Diagnostics 2019, 9, 155. [Google Scholar] [CrossRef] [PubMed]
- Jang, S.H.; Lee, J.; Yeo, S.S. Central post-stroke pain due to injury of the spinothalamic tract in patients with cerebral infarction: A diffusion tensor tractography imaging study. Neural Regen Res. 2017, 12, 2021–2024. [Google Scholar] [CrossRef] [PubMed]
- Jang, S.H.; Seo, Y.S. Injuries of neural tracts in a patient with CADASIL: A diffusion tensor imaging study. BMC Neurol. 2015, 15, 1–5. [Google Scholar] [CrossRef] [PubMed][Green Version]
- Jaspers, E.; Byblow, W.D.; Feys, H.; Wenderoth, N. The corticospinal tract: A biomarker to categorize upper limb functional potential in unilateral cerebral palsy. Front. Pediatr. 2016, 3, 1–10. [Google Scholar] [CrossRef] [PubMed]
- Neil, J.J. Diffusion imaging concepts for clinicians. J. Magn. Reson. Imaging 2008, 27, 1–7. [Google Scholar] [CrossRef] [PubMed]
- O’Donnell, L.J.; Westin, C.F. An introduction to diffusion tensor image analysis. Neurosurg. Clin. N. Am. 2011, 22, 185–196. [Google Scholar] [CrossRef] [PubMed]
- Seo, J.P.; Jang, S.H. Injury of the spinothalamic tract in a patient with mild traumatic brain injury: Diffusion tensor tractography study. J. Rehabil. Med. 2014, 46, 374–377. [Google Scholar] [CrossRef] [PubMed]
- Santillo, A.F.; Mårtensson, J.; Lindberg, O.; Nilsson, M.; Manzouri, A.; Landqvist Waldö, M.; van Westen, D.; Wahlund, L.O.; Lätt, J.; Nilsson, C. Diffusion Tensor Tractography versus Volumetric Imaging in the Diagnosis of Behavioral Variant Frontotemporal Dementia. PLoS ONE 2013, 8, 1–9. [Google Scholar] [CrossRef] [PubMed]
- Jang, S.H.; Seo, J.P.; Lee, S.J. Diffusion Tensor Tractography Studies of Central Post-stroke Pain Due to the Spinothalamic Tract Injury: A mini-review. Front. Neurol. 2019, 10, 10–15. [Google Scholar] [CrossRef] [PubMed]
- Jang, S.H.; Kim, S.H.; Jang, W.H. Recovery of corticospinal tract injured by traumatic axonal injury at the subcortical white matter: A case report. Neural Regen. Res. 2016, 11, 1527–1528. [Google Scholar] [CrossRef] [PubMed]


| FA | TV | MD (×10−3 mm2/s) | ||
|---|---|---|---|---|
| Patient | Tract 1 | |||
| Right | 0.6015 | 3892 | 0.771 | |
| Left | 0.5029 ** | 1396.000 ** | 0.839 ** | |
| Tract 2 | ||||
| Right | 0.6014 | 4071.000 | 0.770 | |
| Left | 0.4997 ** | 1449.000 ** | 0.840 ** | |
| Controls (n = 7) | ||||
| Tract 1 | Subject 1 | 0.621 | 5017.500 | 0.732 |
| Subject 2 | 0.596 | 4992.000 | 0.741 | |
| Subject 3 | 0.661 | 4874.000 | 0.679 | |
| Subject 4 | 0.637 | 5359.500 | 0.727 | |
| Subject 5 | 0.610 | 5180.500 | 0.736 | |
| Subject 6 | 0.654 | 5321.500 | 0.669 | |
| Subject 7 | 0.654 | 5430.000 | 0.689 | |
| Mean (SD) | 0.633 (0.027) | 5167.857 (447.741) | 0.710 (0.032) | |
| Tract 2 | Subject 1 | 0.617 | 5457.000 | 0.727 |
| Subject 2 | 0.597 | 4924.500 | 0.741 | |
| Subject 3 | 0.659 | 4451.500 | 0.676 | |
| Subject 4 | 0.635 | 4344.000 | 0.725 | |
| Subject 5 | 0.609 | 5518.000 | 0.740 | |
| Subject 6 | 0.653 | 5584.000 | 0.673 | |
| Subject 7 | 0.653 | 5338.500 | 0.683 | |
| Mean (SD) | 0.632 (0.026) | 5088.214 (616.730) | 0.710 (0.034) |
© 2020 by the authors. Licensee MDPI, Basel, Switzerland. This article is an open access article distributed under the terms and conditions of the Creative Commons Attribution (CC BY) license (http://creativecommons.org/licenses/by/4.0/).
Share and Cite
Park, C.-H.; Kim, S.-H.; Jung, H.-Y. Diffusion-Tensor-Tractography-Based Diagnosis for Injury of Corticospinal Tract in a Patient with Hemiplegia Following Traumatic Brain Injury. Diagnostics 2020, 10, 156. https://doi.org/10.3390/diagnostics10030156
Park C-H, Kim S-H, Jung H-Y. Diffusion-Tensor-Tractography-Based Diagnosis for Injury of Corticospinal Tract in a Patient with Hemiplegia Following Traumatic Brain Injury. Diagnostics. 2020; 10(3):156. https://doi.org/10.3390/diagnostics10030156
Chicago/Turabian StylePark, Chan-Hyuk, Su-Hong Kim, and Han-Young Jung. 2020. "Diffusion-Tensor-Tractography-Based Diagnosis for Injury of Corticospinal Tract in a Patient with Hemiplegia Following Traumatic Brain Injury" Diagnostics 10, no. 3: 156. https://doi.org/10.3390/diagnostics10030156
APA StylePark, C.-H., Kim, S.-H., & Jung, H.-Y. (2020). Diffusion-Tensor-Tractography-Based Diagnosis for Injury of Corticospinal Tract in a Patient with Hemiplegia Following Traumatic Brain Injury. Diagnostics, 10(3), 156. https://doi.org/10.3390/diagnostics10030156

