Following-Up Micro-Rheological and Microcirculatory Alterations During the Early Wound Healing Phase of Local and Rotated Musculocutaneous Flaps in Rats
Abstract
1. Introduction
2. Materials and Methods
2.1. Experimental Animals and Operative Protocol
2.2. Laboratory Techniques
2.3. Microcriculatory Measurements
2.4. Tensile Strength Measurements
2.5. Histological Analysis
2.6. Statistical Analysis
3. Results
3.1. General Observations
3.2. Changes of Hematological Parameters
3.3. Alterations in Red Blood Cell Deformability
3.4. Red Blood Cell Aggregation Changes
3.5. Microcirculation
3.6. Tensile Strenght
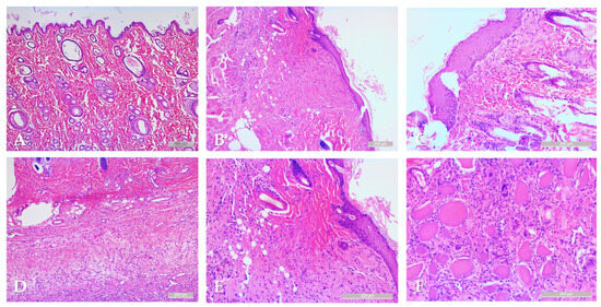
3.7. Histological Alterations
4. Discussion
5. Conclusions
Author Contributions
Funding
Institutional Review Board Statement
Informed Consent Statement
Data Availability Statement
Conflicts of Interest
References
- Ghattaura, A.; Henton, J.; Jallali, N.; Rajapakse, Y.; Savidge, C.; Allen, S.; Searle, A.E.; Harris, P.A.; James, S.E. One Hundred Cases of Abdominal-Based Free Flaps in Breast Reconstruction. The Impact of Preoperative Computed Tomographic Angiography. J. Plast. Reconstr. Aesthet. Surg. 2010, 63, 1597–1601. [Google Scholar] [CrossRef] [PubMed]
- Nahabedian, M.Y.; Patel, K. Autologous Flap Breast Reconstruction: Surgical Algorithm and Patient Selection. J. Surg. Oncol. 2016, 113, 865–874. [Google Scholar] [CrossRef] [PubMed]
- Bennett, K.G.; Qi, J.; Kim, H.M.; Hamill, J.B.; Pusic, A.L.; Wilkins, E.G. Comparison of 2-Year Complication Rates Among Common Techniques for Postmastectomy Breast Reconstruction. JAMA Surg. 2018, 153, 901–908. [Google Scholar] [CrossRef] [PubMed]
- Matera, D.; Huynh, R.; Hanley, T.; Behnam, A.B. Revisiting the Musculocutaneous External Oblique Flap as a Versatile Alternative in Large Thoracic Wall Defects. Surg. Case Rep. 2019, 5, 148. [Google Scholar] [CrossRef]
- Oga, Y.; Okumura, T.; Miwa, T.; Numata, Y.; Matsumoto, S.; Kaneda, K.; Kimura, N.; Fukasawa, M.; Nagamori, M.; Mori, K.; et al. Repair Using the Pectoralis Major Musculocutaneous Flap for Refractory Anastomotic Leakage after Total Esophagectomy. Surg. Case Rep. 2023, 9, 88. [Google Scholar] [CrossRef]
- Deramo, P.; Rose, J. Flaps: Muscle and Musculocutaneous. In StatPearls; StatPearls Publishing: Treasure Island, FL, USA, 2025. [Google Scholar]
- Starkman, S.J.; Williams, C.T.; Sherris, D.A. Flap Basics I: Rotation and Transposition Flaps. Facial Plast. Surg. Clin. N. Am. 2017, 25, 313–321. [Google Scholar] [CrossRef]
- Prohaska, J.; Sequeira Campos, M.B.; Cook, C. Rotation Flaps. In StatPearls; StatPearls Publishing: Treasure Island, FL, USA, 2025. [Google Scholar]
- Mlodinow, A.S.; Fine, N.A.; Khavanin, N.; Kim, J.Y.S. Risk Factors for Mastectomy Flap Necrosis Following Immediate Tissue Expander Breast Reconstruction. J. Plast. Surg. Hand Surg. 2014, 48, 322–326. [Google Scholar] [CrossRef]
- Gong, X.; Cui, J.; Jiang, Z.; Lu, L.; Li, X. Risk Factors for Pedicled Flap Necrosis in Hand Soft Tissue Reconstruction: A Multivariate Logistic Regression Analysis. ANZ J. Surg. 2018, 88, E127–E131. [Google Scholar] [CrossRef]
- Jończyk, J.; Jankau, J. Accordion: A Useful and Workable Classification of Complications After Breast Reconstructive Surgery. Plast. Surg. 2022, 30, 197–203. [Google Scholar] [CrossRef]
- Kusza, K.; Siemionow, M. Is the Knowledge on Tissue Microcirculation Important for Microsurgeon? Microsurgery 2011, 31, 572–579. [Google Scholar] [CrossRef]
- Bekara, F.; Herlin, C.; Mojallal, A.; Sinna, R.; Ayestaray, B.; Letois, F.; Pierre Chavoin, J.; Garrido, I.; Grolleau, J.L.; Chaput, B. A Systematic Review and Meta-Analysis of Perforator-Pedicled Propeller Flaps in Lower Extremity Defects: Identification of Risk Factors for Complications. Plast. Reconstr. Surg. 2016, 137, 314–331. [Google Scholar] [CrossRef]
- Henderson, P.W.; Fernandez, J.G.; Cemal, Y.; Mehrara, B.J.; Pusic, A.L.; McCarthy, C.M.; Matros, E.; Cordeiro, P.G.; Disa, J.J. Successful Salvage of Late Anastomotic Thrombosis after Free Tissue Transfer. J. Reconstr. Microsurg. 2016, 32, 316–324. [Google Scholar] [CrossRef] [PubMed]
- Kwok, A.C.; Agarwal, J.P. An Analysis of Free Flap Failure Using the ACS NSQIP Database. Does Flap Site and Flap Type Matter? Microsurgery 2017, 37, 531–538. [Google Scholar] [CrossRef]
- Chao, A.H.; Lamp, S. Current Approaches to Free Flap Monitoring. Plast. Surg. Nurs. 2014, 34, 52–56, quiz 57–58. [Google Scholar] [CrossRef]
- Chao, A.H.; Coriddi, M. The Impact of Intraoperative Microvascular Compromise on Outcomes in Microsurgical Breast Reconstruction. J. Reconstr. Microsurg. 2015, 31, 493–499. [Google Scholar] [CrossRef]
- Guven, G.; Hilty, M.P.; Ince, C. Microcirculation: Physiology, Pathophysiology, and Clinical Application. Blood Purif. 2020, 49, 143–150. [Google Scholar] [CrossRef]
- Halani, S.H.; Hembd, A.S.; Li, X.; Kirby, B.; Beard, C.C.; Haddock, N.T.; Suszynski, T.M. Flap Monitoring Using Transcutaneous Oxygen or Carbon Dioxide Measurements. J. Hand Microsurg. 2022, 14, 10–18. [Google Scholar] [CrossRef] [PubMed]
- Ichioka, S.; Minh, T.C.; Shibata, M.; Nakatsuka, T.; Sekiya, N.; Ando, J.; Harii, K. In Vivo Model for Visualizing Flap Microcirculation of Ischemia-Reperfusion. Microsurgery 2002, 22, 304–310. [Google Scholar] [CrossRef] [PubMed]
- Salgado, C.J.; Moran, S.L.; Mardini, S. Flap Monitoring and Patient Management. Plast. Reconstr. Surg. 2009, 124, e295–e302. [Google Scholar] [CrossRef] [PubMed]
- Mücke, T.; Hapfelmeier, A.; Schmidt, L.H.; Fichter, A.M.; Kanatas, A.; Wolff, K.D.; Ritschl, L.M. A comparative analysis using flowmeter, laser-Doppler |spectrophotometry, and indocyanine green-videoangiography for detection of vascular stenosis in free flaps. Sci. Rep. 2020, 10, 939. [Google Scholar] [CrossRef]
- Zhang, M.; Liu, Q.; Meng, H.; Duan, H.; Liu, X.; Wu, J.; Gao, F.; Wang, S.; Tan, R.; Yuan, J. Ischemia-Reperfusion Injury: Molecular Mechanisms and Therapeutic Targets. Signal Transduct. Target. Ther. 2024, 9, 12. [Google Scholar] [CrossRef]
- Green, C.J.; Knight, J.; Precious, S.; Simpkin, S. Ketamine alone and combined with diazepam or xylazine in laboratory animals: A 10-year experience. Lab. Anim. 1981, 15, 163–170. [Google Scholar] [CrossRef]
- Flecknell, P. Laboratory Animal Anaesthesia, 4th ed.; Academic Press: Cambridge, MA, USA; Elsevier: Amsterdam, The Netherlands, 2015; pp. 163–165. [Google Scholar]
- Cannon, C.Z.; Kissling, G.E.; Hoenerhoff, M.J.; King-Herbert, A.P.; Blankenship-Paris, T. Evaluation of dosages and routes of administration of tramadol analgesia in rats using hot-plate and tail-flick tests. Lab. Anim. 2010, 39, 342–351. [Google Scholar] [CrossRef] [PubMed]
- Hardeman, M.; Goedhart, P.; Shin, S. Methods in hemorheology. In Handbook of Hemorheology and Hemodynamics; Baskurt, O.K., Hardeman, M.R., Rampling, M.W., Meiselman, H.J., Eds.; IOS Press: Amsterdam, The Netherlands, 2007; pp. 242–266. [Google Scholar]
- Baskurt, O.K.; Boynard, M.; Cokelet, G.C.; Connes, P.; Cooke, B.M.; Forconi, S.; Liao, F.; Hardeman, M.R.; Jung, F.; Meiselman, H.J.; et al. New guidelines for hemorheological laboratory techniques. Clin. Hemorheol. Microcirc. 2009, 42, 75–97. [Google Scholar] [CrossRef] [PubMed]
- Baskurt, O.K.; Meiselman, H.J. Data reduction methods for ektacytometry in clinical hemorheology. Clin. Hemorheol. Microcirc. 2013, 54, 99–107. [Google Scholar] [CrossRef] [PubMed]
- Aykut, G.; Veenstra, G.; Scorcella, C.; Ince, C.; Boerma, C. Cytocam-IDF (Incident Dark Field Illumination) Imaging for Bedside Monitoring of the Microcirculation. Intensive Care Med. Exp. 2015, 3, 40. [Google Scholar] [CrossRef]
- Hutchings, S.; Watts, S.; Kirkman, E. The Cytocam Video Microscope. A New Method for Visualising the Microcirculation Using Incident Dark Field Technology. Clin. Hemorheol. Microcirc. 2016, 62, 261–271. [Google Scholar] [CrossRef]
- De Backer, D.; Hollenberg, S.; Boerma, C.; Goedhart, P.; Büchele, G.; Ospina-Tascon, G.; Dobbe, I.; Ince, C. How to Evaluate the Microcirculation: Report of a Round Table Conference. Crit. Care 2007, 11, R101. [Google Scholar] [CrossRef]
- Godo, Z.A.; Fazekas, L.A.; Fritsch, G.; Szabo, B.; Nemeth, N. A custom-developed device for testing tensile strength and elasticity of vascular and intestinal tissue samples for anastomosis regeneration research. Sensors 2024, 24, 5984. [Google Scholar] [CrossRef]
- Mead, R. The Design of Experiments: Statistical Principles for Practical Applications; Cambridge University Press: New York, NY, USA, 1988. [Google Scholar]
- Qiu, D.; Wang, X.; Wang, X.; Jiao, Y.; Li, Y.; Jiang, D. Risk Factors for Necrosis of Skin Flap-like Wounds after ED Debridement and Suture. Am. J. Emerg. Med. 2019, 37, 828–831. [Google Scholar] [CrossRef]
- Li, X.; Cooley, B.C.; Gruel, S.M.; Ye, Z.; Gould, J.S. Free Flap Transfer of the Cutaneous Maximus Muscle in the Rat: Comparison to the Latissimus Dorsi Muscle Flap. Microsurgery 1992, 13, 208–213. [Google Scholar] [CrossRef]
- Zhang, F.; Sones, W.D.; Lineaweaver, W.C. Microsurgical flap models in the rat. J. Reconstr. Microsurg. 2001, 17, 211–221. [Google Scholar] [CrossRef]
- Klarik, Z.; Tamas, R.; Toth, E.; Kiss, F.; Kovacs, E.L.; Jäckel, M.; Furka, I.; Nemeth, N. Intra and Postoperative Evaluations of Microcirculation and Micro-Rheological Parameters in a Rat Model of Musculocutaneous Flap Ischemia-Reperfusion. Acta Cir. Bras. 2015, 30, 551–560. [Google Scholar] [CrossRef]
- Ballestín, A.; Casado, J.G.; Abellán, E.; Vela, F.J.; Álvarez, V.; Usón, A.; López, E.; Marinaro, F.; Blázquez, R.; Sánchez-Margallo, F.M. Ischemia-Reperfusion Injury in a Rat Microvascular Skin Free Flap Model: A Histological, Genetic, and Blood Flow Study. PLoS ONE 2018, 13, e0209624. [Google Scholar] [CrossRef]
- Molnar, A.; Magyar, Z.; Nachmias, D.B.; Mann, D.; Szabo, B.; Toth, L.; Nemeth, N. Effect of short-term ischemia on microcirculation and wound healing of adipocutaneous flaps in the rat. Acta Cir. Bras. 2020, 34, e201901203. [Google Scholar] [CrossRef]
- Magyar, Z.; Molnar, A.; Nachmias, D.B.; Mann, D.; Sogor, V.; Mester, A.; Peto, K.; Nemeth, N. Impact of groin flap ischemia-reperfusion on red blood cell micro-rheological parameters in a follow-up study on rats. Clin. Hemorheol. Microcirc. 2021, 79, 245–255. [Google Scholar] [CrossRef]
- Bali, U.; Gungor, M.; Yoleri, L. Lateral Thoracic Artery Perforator-Based Flap: A New Experimental Model. J. Surg. Res. 2016, 200, 738–742. [Google Scholar] [CrossRef]
- Savaş, S.A.; Gorgulu, T.; Başsorgun, C.İ.; Akcal, A. A New Lateral Thoracic Artery Perforator Flap Design with Multiple Vascular Territories in Rats. J. Surg. Res. 2017, 209, 70–78. [Google Scholar] [CrossRef][Green Version]
- Nemeth, N.; Deak, A.; Szentkereszty, Z.; Peto, K. Effects and influencing factors on hemorheological variables taken into consideration in surgical pathophysiology research. Clin. Hemorheol. Microcirc. 2018, 69, 133–140. [Google Scholar] [CrossRef]
- Baskurt, O.K.; Meiselman, H.J. Erythrocyte Aggregation: Basic Aspects and Clinical Importance. Clin. Hemorheol. Microcirc. 2013, 53, 23–37. [Google Scholar] [CrossRef]
- Patel, S.A.; Keller, A. A Theoretical Model Describing Arterial Flow in the DIEP Flap Related to Number and Size of Perforator Vessels. J. Plast. Reconstr. Aesthetic Surg. 2008, 61, 1316–1320; discussion 1320. [Google Scholar] [CrossRef]
- Hanasono, M.M.; Butler, C.E. Prevention and Treatment of Thrombosis in Microvascular Surgery. J. Reconstr. Microsurg. 2008, 24, 305–314. [Google Scholar] [CrossRef]
- He, J.; Khan, U.Z.; Qing, L.; Wu, P.; Tang, J. Improving the Ischemia-Reperfusion Injury in Vascularized Composite Allotransplantation: Clinical Experience and Experimental Implications. Front. Immunol. 2022, 13, 998952. [Google Scholar] [CrossRef]
- Heiliger, C.; Ritschl, L.M.; Fichter, A.M.; Postl, L.K.; Kanatas, A.; Wolff, K.D.; Mücke, T. Conditioning of microvascular venous flaps in rats. Sci. Rep. 2023, 13, 1029. [Google Scholar] [CrossRef]
- Lu, W.W.; Ip, W.Y.; Jing, W.M.; Holmes, A.D.; Chow, S.P. Biomechanical properties of thin skin flap after basic fibroblast growth factor (bFGF) administration. Br. J. Plast. Surg. 2000, 53, 225–229. [Google Scholar] [CrossRef]
- Nemeth, N.; Szabo, A. Microcirculation. In Advances in Experimental Surgery; Huifang, C., Martins, P., Eds.; Nova Science Publishers: Hauppauge, NY, USA, 2018; Volume 2, pp. 317–357. [Google Scholar]
- Gierek, M.; Bergler-Czop, B.; Słaboń, A.; Łabuś, W.; Ochała-Gierek, G. Laser speckle contrast analysis (LASCA): A new device in the diagnosis and monitoring of surgical treatment of hidradenitis suppurativa. Postepy. Dermatol. Allergol. 2023, 40, 253–258. [Google Scholar] [CrossRef]






| Variable | Group | Base | 7th p.o. Day | 14th p.o. Day |
|---|---|---|---|---|
| WBC [109/L] | Control | 11.05 ± 2.2 | 11.9 ± 3.0 | 13.64 ± 4.7 |
| Flap | 9.95 ± 4.1 | 12.78 ± 2.9 * (35.7%) | 15.65 ± 3.5 * (84.9%) | |
| RBC [1012/L] | Control | 8.32 ± 0.6 | 7.56 ± 0.7 * (64.5%) | 8.23 ± 0.4 |
| Flap | 7.75 ± 0.5 | 7.19 ± 0.7 * (45.3%) | 6.7 ± 0.7 * (93.2%) # (100%) | |
| Hgb [g/dL] | Control | 15.76 ± 0.8 | 14.36 ± 1.3 * (73.7%) | 15.22 ± 0.8 * (27.1%) |
| Flap | 14.88 ± 0.9 | 13.69 ± 1.4 * (52.5%) | 12.63 ± 1.2 * (98.9%) # (99.9%) | |
| Htc [%] | Control | 46.92 ± 3.1 | 42.93 ± 4.6 * (53%) | 45.99 ± 2.0 |
| Flap | 44.35 ± 2.3 | 40.31 ± 3.8 * (73%) | 38.39 ± 3.7 * (97.2%) # (99.9%) | |
| MCV [fL] | Control | 56.38 ± 1.3 | 56.7 ± 1.9 | 55.92 ± 1.4 |
| Flap | 57.12 ± 2.6 | 56.07 ± 0.8 | 57.02 ± 3.5 | |
| MCH [pg] | Control | 18.95 ± 0.7 | 19.01 ± 0.4 | 18.51 ± 0.6 |
| Flap | 19.18 ± 0.62 | 19.04 ± 0.7 | 18.92 ± 1.2 | |
| MCHC [g/L] | Control | 33.63 ± 0.8 | 33.53 ± 1.0 | 33.09 ± 0.5 |
| Flap | 33.56 ± 1.0 | 33.97 ± 1.4 | 32.94 ± 1.0 | |
| Plt [109/L] | Control | 820.38 ± 133.9 | 997.43 ± 177.14 * (61.6%) | 931.9 ± 232.6 |
| Flap | 764 ± 94.0 | 978.53 ± 150.6 * (92.8%) | 911.8 ± 198.1 * (47.9%) |
| Variable | Group | Base | 7th p.o. Day | 14th p.o. Day |
|---|---|---|---|---|
| EI at 3 Pa [au] | Control | 0.327 ± 0.03 | 0.334 ± 0.02 | 0.347 ± 0.03 * (26.5%) |
| Flap | 0.327 ± 0.03 | 0.313 ± 0.04 | 0.336 ± 0.02 | |
| EImax [au] | Control | 0.540 ± 0.03 | 0.539 ± 0.02 | 0.558 ± 0.01 * (36.3%) |
| Flap | 0.552 ± 0.02 | 0.525 ± 0.03 * (56.3%) | 0.545 ± 0.03 | |
| SS1/2 [Pa] | Control | 2.16 ± 0.6 | 1.89 ± 0.3 | 1.87 ± 0.4 |
| Flap | 2.18 ± 0.6 | 2.22 ± 0.9 | 1.90 ± 0.3 | |
| EImax/SS1/2 [Pa−1] | Control | 0.27 ± 0.07 | 0.228 ± 0.04 | 0.311 ± 0.06 * (24.1%) |
| Flap | 0.26 ± 0.06 | 0.259 ± 0.07 | 0.293 ± 0.04 |
| Region/Flap | Tensile Strengh [N] | Slope of Curve |
|---|---|---|
| Intact abdominal skin | 19.97 ± 5.61 | 0.157 ± 0.115 |
| Local flap | 2.98 ± 0.87 * (100%) | 0.044 ± 0.03 * (76.7%) |
| Rotated flap | 2.44 ± 0.58 * (100%) | 0.024 ± 0.006 * (90.4%) |
Disclaimer/Publisher’s Note: The statements, opinions and data contained in all publications are solely those of the individual author(s) and contributor(s) and not of MDPI and/or the editor(s). MDPI and/or the editor(s) disclaim responsibility for any injury to people or property resulting from any ideas, methods, instructions or products referred to in the content. |
© 2025 by the authors. Licensee MDPI, Basel, Switzerland. This article is an open access article distributed under the terms and conditions of the Creative Commons Attribution (CC BY) license (https://creativecommons.org/licenses/by/4.0/).
Share and Cite
Kincses, G.; Fazekas, L.A.; Varga, A.; Matrai, A.A.; Loc, N.X.; Barabasi, K.; Flasko, A.O.; Juhasz, T.; Molnar, A.; Nemeth, N. Following-Up Micro-Rheological and Microcirculatory Alterations During the Early Wound Healing Phase of Local and Rotated Musculocutaneous Flaps in Rats. Life 2025, 15, 1424. https://doi.org/10.3390/life15091424
Kincses G, Fazekas LA, Varga A, Matrai AA, Loc NX, Barabasi K, Flasko AO, Juhasz T, Molnar A, Nemeth N. Following-Up Micro-Rheological and Microcirculatory Alterations During the Early Wound Healing Phase of Local and Rotated Musculocutaneous Flaps in Rats. Life. 2025; 15(9):1424. https://doi.org/10.3390/life15091424
Chicago/Turabian StyleKincses, Gergo, Laszlo Adam Fazekas, Adam Varga, Adam Attila Matrai, Nguyen Xuan Loc, Kincso Barabasi, Anna Orsolya Flasko, Tamas Juhasz, Abel Molnar, and Norbert Nemeth. 2025. "Following-Up Micro-Rheological and Microcirculatory Alterations During the Early Wound Healing Phase of Local and Rotated Musculocutaneous Flaps in Rats" Life 15, no. 9: 1424. https://doi.org/10.3390/life15091424
APA StyleKincses, G., Fazekas, L. A., Varga, A., Matrai, A. A., Loc, N. X., Barabasi, K., Flasko, A. O., Juhasz, T., Molnar, A., & Nemeth, N. (2025). Following-Up Micro-Rheological and Microcirculatory Alterations During the Early Wound Healing Phase of Local and Rotated Musculocutaneous Flaps in Rats. Life, 15(9), 1424. https://doi.org/10.3390/life15091424

