Reversible Cortical Visual Impairment in an Adolescent Due to a Posterior Fossa Arachnoid Cyst: A Case Report
Abstract
1. Introduction
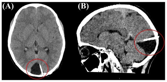
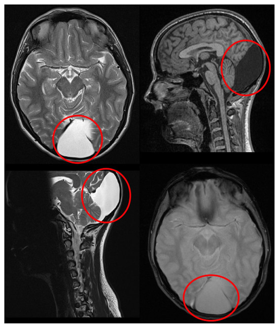
2. Case Report
3. Discussion
4. Conclusions
Author Contributions
Funding
Institutional Review Board Statement
Informed Consent Statement
Data Availability Statement
Acknowledgments
Conflicts of Interest
Abbreviations
| CVI | cortical visual impairment |
| ICP | intracranial pressure |
| BCVA | best corrected visual acuity |
| RAPD | relative afferent pupillary defect |
| OCT | Optical Coherence Tomography |
| RNFL | retinal nerve fiber layer |
| VEPs | visual evoked potentials |
| MRI | Magnetic Resonance Imaging |
| CT | Computed Tomography |
| CSF | Cerebrospinal fluid |
References
- Shin, C.J.; Rho, M.; Won, Y.S.; Kim, S.O. Rapid Visual Deterioration Caused by Posterior Fossa Arachnoid Cyst. J. Korean Neurosurg. Soc. 2016, 59, 314–318. [Google Scholar] [CrossRef] [PubMed] [PubMed Central]
- Al-Holou, W.N.; Terman, S.; Kilburg, C.; Garton, H.J.; Muraszko, K.M.; Maher, C.O. Prevalence and natural history of arachnoid cysts in adults. J. Neurosurg. 2013, 118, 222–231. [Google Scholar] [CrossRef] [PubMed]
- Al-Holou, W.N.; Yew, A.Y.; Boomsaad, Z.E.; Garton, H.J.; Muraszko, K.M.; Maher, C.O. Prevalence and natural history of arachnoid cysts in children. J. Neurosurg. Pediatr. 2010, 5, 578–585. [Google Scholar] [CrossRef] [PubMed]
- Wang, J.Y.; Hadi, H.; Arshad, M.; Whitney, E. A comprehensive review of arachnoid cysts. Cureus 2025, 17, e83894. [Google Scholar] [CrossRef]
- Papadakis, J.E.; Slingerland, A.L.; Rangwala, S.D.; Proctor, M.R.; Shah, A.S.; See, A.P. Optic nerve edema in pediatric middle cranial fossa arachnoid cysts: Report of 51 patients from a single institution. Pediatr. Neurol. 2024, 156, 182–190. [Google Scholar] [CrossRef]
- Gotz Wieckowska, A.; Główka, Ł.; Brązert, A.; Pawlak, M. Ophthalmological symptoms in children with intracranial cysts. Sci. Rep. 2017, 7, 13630. [Google Scholar] [CrossRef]
- Pradilla, G.; Jallo, G. Arachnoid cysts: Case series and review of the literature. Neurosurg. Focus. 2007, 22, E7. [Google Scholar] [CrossRef] [PubMed]
- Weil, R.J. Rapidly progressive visual loss caused by a sellar arachnoid cyst: Reversal with transsphenoidal microsurgery. S. Med. J. 2001, 94, 1118–1121. [Google Scholar] [CrossRef] [PubMed]
- Suzuki, M.; Tamaki, T.; Toda, S.; Tsuchiya, M.; Kogure, K.; Hosone, M.; Node, Y.; Teramoto, A. Delayed recurrent arachnoid cyst of the occipital convexity in an elderly woman. Neurol. Med. Chir. 2009, 49, 134–137. [Google Scholar] [CrossRef] [PubMed]
- Yagi, T.; Ohashi, Y.; Nakano, S.; Ogawa, M.; Fukamachi, A. A case of symptomatic arachnoid cyst of the occipital convexity in an adult. No Shinkei Geka 2006, 34, 1125–1129. (In Japanese) [Google Scholar] [PubMed]
- Nelson, M.; Maher, K.; Gilles, F. A different approach to cysts of the posterior fossa. Pediatr. Radiol. 2004, 34, 643–649. [Google Scholar] [CrossRef]
- Arai, H.; Sato, K. Posterior fossa cysts: Clinical, neuroradiological and surgical features. Childs Nerv. Syst. 1991, 7, 156–164. [Google Scholar] [CrossRef]
- Sarkar, S.; Tripathy, K. Cortical Blindness; StatPearls Publishing: Treasure Island, FL, USA, 2023. Available online: https://www.ncbi.nlm.nih.gov/books/NBK560626/ (accessed on 12 July 2025).
- Dutton, G.N.; Jacobson, L.K. Cerebral visual impairment in children. Semin. Neonatol. 2001, 6, 477–485. [Google Scholar] [CrossRef] [PubMed]
- Kelly, J.P.; Phillips, J.O.; Saneto, R.P.; Khalatbari, H.; Poliakov, A.; Tarczy-Hornoch, K.; Weiss, A.H. Cerebral Visual Impairment Characterized by Abnormal Visual Orienting Behavior with Preserved Visual Cortical Activation. Invest. Ophthalmol. Vis. Sci. 2021, 62, 15. [Google Scholar] [CrossRef] [PubMed] [PubMed Central]
- Good, W.V.; Jan, J.E.; DeSa, L.; Barkovich, A.J.; Groenveld, M.; Hoyt, C.S. Cortical visual impairment in children. Surv. Ophthalmol. 1994, 38, 351–364. [Google Scholar] [CrossRef] [PubMed]
- Güdük, M.; HamitAytar, M.; Sav, A.; Berkman, Z. Intrasellar arachnoid cyst: A case report and review of the literature. Int. J. Surg. Case Rep. 2016, 23, 105–108. [Google Scholar] [CrossRef] [PubMed] [PubMed Central]
- Suh, Y.H.; Yim, M.B.; Lee, C.C.; Son, E.I.; Kim, D.W.; Kim, H. Visual loss related to papilledema: Report of 5 cases. J. Korean Neurosurg. Soc. 1994, 23, 827–833. [Google Scholar]
- Mustansir, F.; Bashir, S.; Darbar, A. Management of Arachnoid Cysts: A Comprehensive Review. Cureus 2018, 10, e2458. [Google Scholar] [CrossRef] [PubMed] [PubMed Central]
- Kupersmith, M.J.; Berenstein, A.; Nelson, P.K.; ApSimon, H.T.; Setton, A. Visual symptoms with dural arteriovenous malformations draining into occipital veins. Neurology 1999, 52, 156–162. [Google Scholar] [CrossRef]
- Tanaka, T.; Takei, J.; Teshigawara, A.; Yamamoto, Y.; Akasaki, Y.; Hasegawa, Y.; Murayama, Y. Avoidance and Improvement in Visual Field Defect After Surgery for Metastatic Brain Tumors in the Parietal and the Occipital Lobe. World Neurosurg. 2021, 155, e847–e857. [Google Scholar] [CrossRef] [PubMed]
- Ruddy, J.M.; Cardenas, A.C. Hemianopsia. In StatPearls; StatPearls Publishing: Treasure Island, FL, USA, 2024. Available online: https://www.ncbi.nlm.nih.gov/books/NBK562262/ (accessed on 12 July 2025).
- Maia da Silva, M.N.; Millington, R.S.; Bridge, H.; James-Galton, M.; Plant, G.T. Visual Dysfunction in Posterior Cortical Atrophy. Front. Neurol. 2017, 8, 389. [Google Scholar] [CrossRef] [PubMed] [PubMed Central]
- Gjerde, P.B.; Schmid, M.; Hammar, A.; Wester, K. Intracranial arachnoid cysts: Impairment of higher cognitive functions and postoperative improvement. J. Neurodev. Disord. 2013, 5, 21. [Google Scholar] [CrossRef] [PubMed] [PubMed Central]
- Lockard, G.M.; Piper, K.; George, Z.; Alayli, A.; Neal, E.; Klocksieben, F.; Shaheen, N.; Flouty, O. Symptomatic and Radiographic Improvement Following Surgery for Posterior Fossa Arachnoid Cysts: Meta-Analysis and Literature Review. World Neurosurg. 2024, 192, e163–e171. [Google Scholar] [CrossRef] [PubMed]
- Ishii, T.; Takagi, K.; Shirouzu, M.; Watanabe, T.; Shinohara, T.; Furuya, K.; Fujimaki, T.; Nakagomi, T. Acute onset of visual disturbance in a patient with arachnoid cyst in the middle cranial fossa. Brain Nerve 2008, 60, 97–102. (In Japanese) [Google Scholar] [PubMed]
- Stubgen, J.P. Reversible, Chronic Homonymous Hemianopia due to a Suprasellar Arachnoid Cyst in An Elderly Patient. Consultant360. 10 June 2014. Available online: https://www.consultant360.com/articles/reversible-chronic-homonymous-hemianopia-due-suprasellar-arachnoid-cyst-elderly-patient (accessed on 27 May 2025).
- Menon, R.K.; Wester, K.G. A boy with arachnoid cyst, a fall, and temporary and reversible visual impairment. Pediatr. Neurol. 2014, 51, 834–836. [Google Scholar] [CrossRef] [PubMed]
- Mayeda, M.S.; Jung, J.L.; McCourt, E.A.; Maloney, J.A.; Puente, M.A. Ophthalmic manifestations of ruptured arachnoid cysts in children. J. AAPOS 2023, 27, e1–e89. [Google Scholar] [CrossRef] [PubMed]







Disclaimer/Publisher’s Note: The statements, opinions and data contained in all publications are solely those of the individual author(s) and contributor(s) and not of MDPI and/or the editor(s). MDPI and/or the editor(s) disclaim responsibility for any injury to people or property resulting from any ideas, methods, instructions or products referred to in the content. |
© 2025 by the authors. Licensee MDPI, Basel, Switzerland. This article is an open access article distributed under the terms and conditions of the Creative Commons Attribution (CC BY) license (https://creativecommons.org/licenses/by/4.0/).
Share and Cite
Škunca Herman, J.; Živković, D.J.; Orešković, I.; Knežević, L.; Malenica Ravlić, M.; Doko Mandić, B.; Marić, G.; Vukojević, A.; Sliepčević, H.; Zorić Geber, M.; et al. Reversible Cortical Visual Impairment in an Adolescent Due to a Posterior Fossa Arachnoid Cyst: A Case Report. Life 2025, 15, 1121. https://doi.org/10.3390/life15071121
Škunca Herman J, Živković DJ, Orešković I, Knežević L, Malenica Ravlić M, Doko Mandić B, Marić G, Vukojević A, Sliepčević H, Zorić Geber M, et al. Reversible Cortical Visual Impairment in an Adolescent Due to a Posterior Fossa Arachnoid Cyst: A Case Report. Life. 2025; 15(7):1121. https://doi.org/10.3390/life15071121
Chicago/Turabian StyleŠkunca Herman, Jelena, Dario Josip Živković, Ivana Orešković, Lana Knežević, Maja Malenica Ravlić, Blanka Doko Mandić, Goran Marić, Ante Vukojević, Hrvoje Sliepčević, Mia Zorić Geber, and et al. 2025. "Reversible Cortical Visual Impairment in an Adolescent Due to a Posterior Fossa Arachnoid Cyst: A Case Report" Life 15, no. 7: 1121. https://doi.org/10.3390/life15071121
APA StyleŠkunca Herman, J., Živković, D. J., Orešković, I., Knežević, L., Malenica Ravlić, M., Doko Mandić, B., Marić, G., Vukojević, A., Sliepčević, H., Zorić Geber, M., Kalousek, V., & Vatavuk, Z. (2025). Reversible Cortical Visual Impairment in an Adolescent Due to a Posterior Fossa Arachnoid Cyst: A Case Report. Life, 15(7), 1121. https://doi.org/10.3390/life15071121
