Cardiac Metastasis: Epidemiology, Pathophysiology, and Clinical Management
Abstract
1. Introduction
2. Materials and Methods
2.1. Search Strategy
2.2. Selection Process
3. Results
4. Incidence
5. Pathophysiology
6. Endocardial, Myocardial, and Epicardial Metastasis
7. Clinical Manifestations
8. Challenges in Diagnosing Cardiac Metastases in Asymptomatic Patients
9. Pericardial Involvement
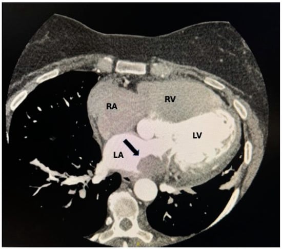
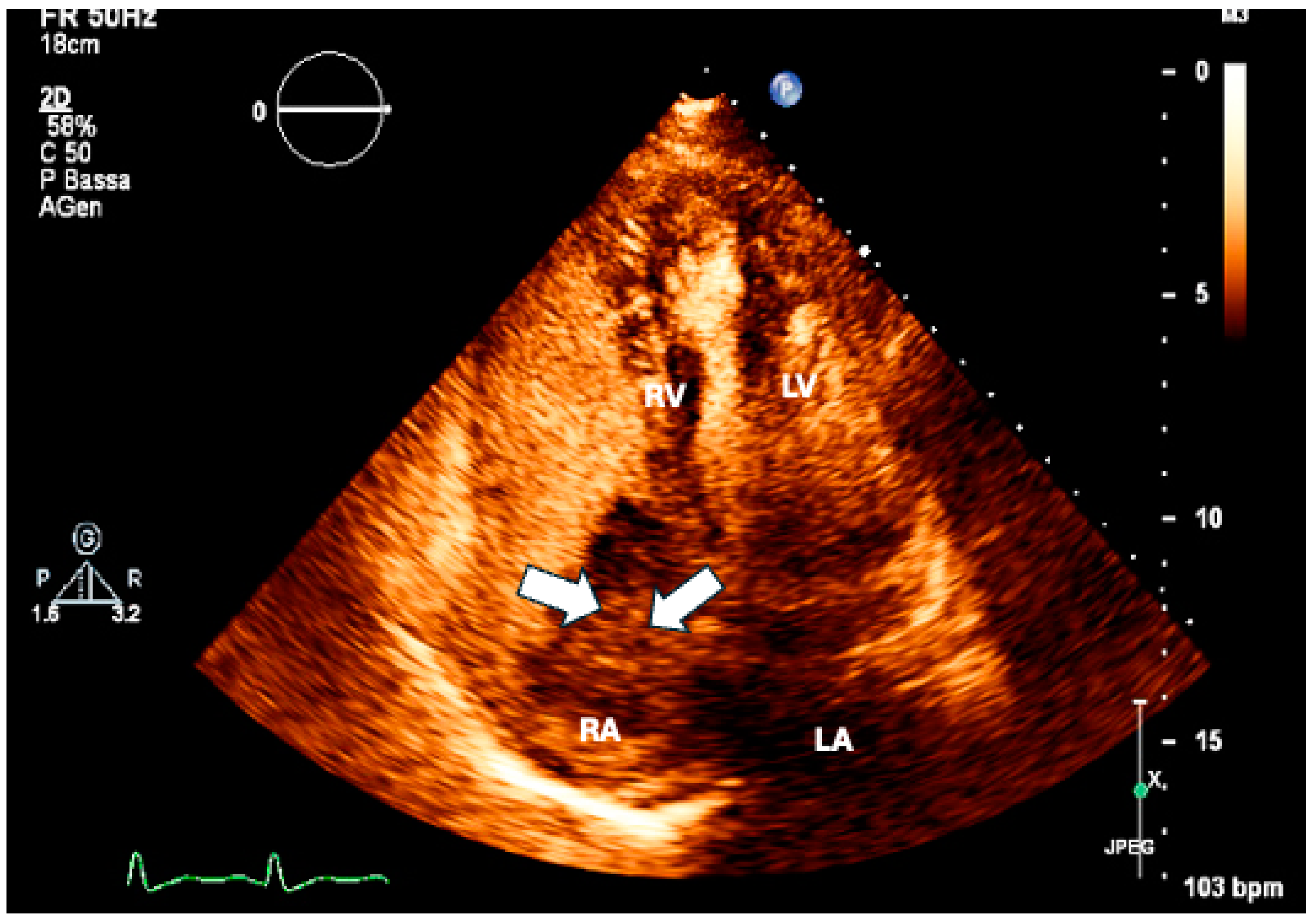
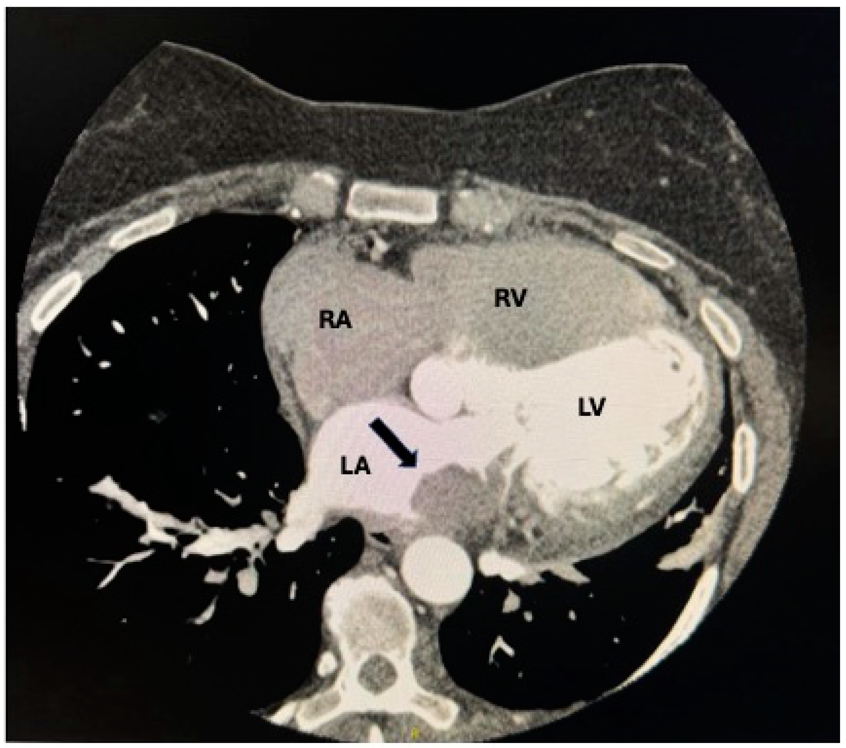
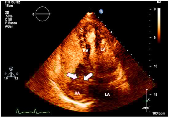
10. Diagnostic Imaging
11. Management
12. Oncologic Significance and Outcome of Cardiac Metastasis
13. Future Directions
14. Conclusions
Author Contributions
Funding
Acknowledgments
Conflicts of Interest
References
- Tyebally, S.; Chen, D.; Bhattacharyya, S.; Mughrabi, A.; Hussain, Z.; Manisty, C.; Westwood, M.; Ghosh, A.K.; Guha, A. Cardiac Tumors. JACC CardioOncol. 2020, 2, 293–311. (In English) [Google Scholar] [CrossRef] [PubMed]
- Lin, Z.; Xiao, H.; Liu, J.; Chen, L.; Zhang, H.; Huang, Y.; Chen, Y.; Lin, J. Clinical features and prognosis of cardiac metastatic tumors. BMC Cancer 2023, 23, 1235. (In English) [Google Scholar] [CrossRef] [PubMed]
- Burazor, I.; Aviel-Ronen, S.; Imazio, M.; Goitein, O.; Perelman, M.; Shelestovich, N.; Radovanovic, N.; Kanjuh, V.; Barshack, I.; Adler, Y. Metastatic cardiac tumors: From clinical presentation through diagnosis to treatment. BMC Cancer 2018, 18, 202. [Google Scholar] [CrossRef]
- Balinski, A.M.; Kerndt, C.C.; Parry, N.P.; Rehman, R.A.; Yeow, R.Y.; Hayek, S.S. Metastatic melanoma of the heart: A systematic review. J. Clin. Oncol. 2020, 38, e22017. [Google Scholar] [CrossRef]
- Chiles, C.; Woodard, P.K.; Gutierrez, F.R.; Link, K.M. Metastatic Involvement of the Heart and Pericardium: CT and MR Imaging. RadioGraphics 2001, 21, 439–449. (In English) [Google Scholar] [CrossRef]
- Fares, J.; Fares, M.Y.; Khachfe, H.H.; Salhab, H.A.; Fares, Y. Molecular principles of metastasis: A hallmark of cancer revisited. Signal Transduct. Target. Ther. 2020, 5, 28. [Google Scholar] [CrossRef]
- Goldberg, A.D.; Blankstein, R.; Padera, R.F. Tumors Metastatic to the Heart. Circulation 2013, 128, 1790–1794. [Google Scholar] [CrossRef] [PubMed]
- Ghosh, A.K.; Crake, T.; Manisty, C.; Westwood, M. Pericardial Disease in Cancer Patients. Curr. Treat. Options Cardiovasc. Med. 2018, 20, 60. [Google Scholar] [CrossRef]
- Le, A.N.; Van Nguyen, A.; Nguyen, T.N.; Kirkpatrick, J.N.; Nguyen, H.T.; Nguyen, H.T.T. Cardiac metastasis mimicking STEMI—Impact of point-of-care ultrasound on clinical decision-making: A case report. Front. Cardiovasc. Med. 2023, 10, 1098154. (In English) [Google Scholar] [CrossRef] [PubMed]
- Meijers, W.C.; Maglione, M.; Bakker, S.J.L.; Oberhuber, R.; Kieneker, L.M.; de Jong, S.; Haubner, B.J.; Nagengast, W.B.; Lyon, A.R.; van der Vegt, B.; et al. Heart Failure Stimulates Tumor Growth by Circulating Factors. Circulation 2018, 138, 678–691. (In English) [Google Scholar] [CrossRef] [PubMed]
- Ji, H.; Hu, C.; Yang, X.; Liu, Y.; Ji, G.; Ge, S.; Wang, X.; Wang, M. Lymph node metastasis in cancer progression: Molecular mechanisms, clinical significance and therapeutic interventions. Signal Transduct. Target. Ther. 2023, 8, 367. [Google Scholar] [CrossRef] [PubMed]
- Curigliano, G.; Lenihan, D.; Fradley, M.; Ganatra, S.; Barac, A.; Blaes, A.; Herrmann, J.; Porter, C.; Lyon, A.R.; Lancellotti, P.; et al. Management of cardiac disease in cancer patients throughout oncological treatment: ESMO consensus recommendations. Ann. Oncol. 2020, 31, 171–190. (In English) [Google Scholar] [CrossRef]
- Pino, P.G.; Moreo, A.; Lestuzzi, C. Differential diagnosis of cardiac tumors: General consideration and echocardiographic approach. J. Clin. Ultrasound 2022, 50, 1177–1193. (In English) [Google Scholar] [CrossRef]
- Bisceglia, I.; Canale, M.L.; Silvestris, N.; Gallucci, G.; Camerini, A.; Inno, A.; Camilli, M.; Turazza, F.M.; Russo, G.; Paccone, A.; et al. Cancer survivorship at heart: A multidisciplinary cardio-oncology roadmap for healthcare professionals. Front. Cardiovasc. Med. 2023, 10, 1223660. (In English) [Google Scholar] [CrossRef]
- Shamseer, L.; Moher, D.; Clarke, M.; Ghersi, D.; Liberati, A.; Petticrew, M.; Shekelle, P.; Stewart, L.A.; PRISMA-P Group. Preferred reporting items for systematic review and meta-analysis protocols (PRISMA-P) 2015: Elaboration and explanation. BMJ 2015, 349, g7647. (In English) [Google Scholar] [CrossRef]
- Hutton, B.; Salanti, G.; Caldwell, D.M.; Chaimani, A.; Schmid, C.H.; Cameron, C.; Ioannidis, J.P.A.; Straus, S.; Thorlund, K.; Jansen, J.P.; et al. The PRISMA Extension Statement for Reporting of Systematic Reviews Incorporating Network Meta-analyses of Health Care Interventions: Checklist and Explanations. Ann. Intern. Med. 2015, 162, 777–784. (In English) [Google Scholar] [CrossRef]
- Sterne, J.A.C.; Hernán, M.A.; Reeves, B.C.; Savović, J.; Berkman, N.D.; Viswanathan, M.; Henry, D.; Altman, D.G.; Ansari, M.T.; Boutron, I.; et al. ROBINS-I: A tool for assessing risk of bias in non-randomised studies of interventions. BMJ 2016, 355, i4919. (In English) [Google Scholar] [CrossRef] [PubMed]
- Butany, J.; Leong, S.W.; Carmichael, K.; Komeda, M. A 30-year analysis of cardiac neoplasms at autopsy. Can. J. Cardiol. 2005, 21, 675–680. [Google Scholar] [PubMed]
- Liu, L.; Woo, Y.; D’apuzzo, M.; Melstrom, L.; Raoof, M.; Liang, Y.; Afkhami, M.; Hamilton, S.R.; Chao, J. Immunotherapy-Based Neoadjuvant Treatment of Advanced Microsatellite Instability–High Gastric Cancer: A Case Series. J. Natl. Compr. Cancer Netw. 2022, 20, 857–865. (In English) [Google Scholar] [CrossRef]
- Guan, T.; Wei, Q.; Tang, Y.; Zhao, H.; Lu, Z.; Feng, W.; Teng, Y.; Luo, Z.; Chi, K.; Ou, C.; et al. Metastatic patterns and prognosis of patients with primary malignant cardiac tumor. Front. Cardiovasc. Med. 2022, 9, 1009765. (In English) [Google Scholar] [CrossRef] [PubMed]
- Liu, L.; Fang, A.; Cheng, S.; Guo, G.; Zhang, S.; Chen, X.; Pan, J.; Sun, B.; Yao, J. Diagnosis and survival analyses of patients with space-occupying cardiac lesions: A 10-year retrospective single-center study. Quant. Imaging Med. Surg. 2022, 12, 4081–4094. (In English) [Google Scholar] [CrossRef] [PubMed]
- Nova-Camacho, L.M.; Gomez-Dorronsoro, M.; Guarch, R.; Cordoba, A.; Cevallos, M.I.; Panizo-Santos, A. Cardiac Metastasis From Solid Cancers: A 35-Year Single-Center Autopsy Study. Arch. Pathol. Lab. Med. 2022, 147, 177–184. (In English) [Google Scholar] [CrossRef] [PubMed]
- Lau, C.; Leonard, J.R.; Schwann, A.N.; Soletti, G.; Abouarab, A.A.; Munjal, M.; Gaudino, M.; Girardi, L.N. A 20-Year Experience With Resection of Primary Cardiac Tumors and Metastatic Tumors of the Heart. Ann. Thorac. Surg. 2019, 107, 1126–1131. (In English) [Google Scholar] [CrossRef]
- Kopcik, K.; Kościelecka, K.; Krzyżak, K. Cardiac metastatic tumors: Current knowledge. Am. J. Clin. Oncol. 2023, 46, 374–379. [Google Scholar] [CrossRef]
- Silvestri, F.; Bussani, R.; Pavletic, N.; Mannone, T. Metastases of the heart and pericardium. G. Ital. Cardiol. 1997, 27, 1252–1255. [Google Scholar] [PubMed]
- MacGee, W. Metastatic and invasive tumours involving the heart in a geriatric population: A necropsy study. Virchows Arch. 1991, 419, 183–189. (In English) [Google Scholar] [CrossRef] [PubMed]
- Manojlović, S. Metastatic carcinomas involving the heart. Review of postmortem examination. Zentralblatt Allg. Pathol. Pathol. Anat. 1990, 136, 657–661. (In English) [Google Scholar]
- Mukai, K.; Shinkai, T.; Tominaga, K.; Shimosato, Y. The Incidence of Secondary Tumors of the Heart and Pericardium: A 10-Year Study. Ultrasound Med. Biol. 1988, 18, 195–201. (In English) [Google Scholar] [CrossRef]
- Karwinski, B.; Svendsen, E. Trends in cardiac metastasis. APMIS 1989, 97, 1018–1024. (In English) [Google Scholar] [CrossRef]
- Kline, I.K. Cardiac lymphatic involvement by metastatic tumor. Cancer 1972, 29, 799–808. (In English) [Google Scholar] [CrossRef]
- Berge, T.; Sievers, J. Myocardial metastases. A pathological and electrocardiographic study. Heart 1968, 30, 383–390. (In English) [Google Scholar] [CrossRef] [PubMed]
- Hanfling, S.M. Metastatic cancer to the heart: Review of the literature and report of 127 cases. Circulation 1960, 22, 474–483. [Google Scholar] [CrossRef]
- Wenger, N. Pericardial disease in the elderly. Cardiovasc. Clin. 1992, 22, 97–103. [Google Scholar] [PubMed]
- Jiang, W.G.; Sanders, A.J.; Katoh, M.; Ungefroren, H.; Gieseler, F.; Prince, M.; Thompson, S.K.; Zollo, M.; Spano, D.; Dhawan, P.; et al. Tissue invasion and metastasis: Molecular, biological and clinical perspectives. Semin. Cancer Biol. 2015, 35, S244–S275. [Google Scholar] [CrossRef] [PubMed]
- Bussani, R.; De-Giorgio, F.; Abbate, A.; Silvestri, F. Cardiac metastases. J. Clin. Pathol. 2006, 60, 27–34. (In English) [Google Scholar] [CrossRef]
- Roman, S.; Fichadiya, H.; Rushdy, A.; AbuArqob, S.; Bhavsar, M.; Noori, M.A.M.; Meherwan, J. The great invasion, a case of lung mass invading the heart through the pulmonary veins. Radiol. Case Rep. 2022, 17, 3219–3223. (In English) [Google Scholar] [CrossRef]
- Diallo, O.; Yaméogo, V.N.; Dao, S.B.A.; Ouattara, B.; Cissé, R. Right upper pulmonary vein metastasis from hepatocarcinoma. Radiol. Case Rep. 2017, 13, 11–13. (In English) [Google Scholar] [CrossRef]
- Nkengurutse, G.; Wang, Q.; Tian, F.; Jiang, S.; Zhang, L.; Sun, W. Renal Cell Carcinoma Metastasizing to Left Atrium With Coronary Sinus Invasion: A Rare Site of Metastasis Mimicking Myxoma. Front. Oncol. 2019, 9, 738. (In English) [Google Scholar] [CrossRef] [PubMed]
- Parato, V.M.; Nocco, S.; Alunni, G.; Becherini, F.; Conti, S.; Cucchini, U.; Di Giannuario, G.; Di Nora, C.; Fabiani, D.; La Carrubba, S.; et al. Imaging of Cardiac Masses. J. Cardiovasc. Echogr. 2022, 32, 65–75. (In English) [Google Scholar] [CrossRef]
- Pelliccia, A.; Sharma, S.; Gati, S.; Bäck, M.; Börjesson, M.; Caselli, S.; Collet, J.P.; Corrado, D.; Drezner, J.A.; Halle, M.; et al. 2020 ESC Guidelines on sports cardiology and exercise in patients with cardiovascular disease: The Task Force on sports cardiology and exercise in patients with cardiovascular disease of the European Society of Cardiology (ESC). Eur. Heart J. 2021, 42, 17–96. [Google Scholar] [CrossRef]
- Lucà, F.; Parrini, I.; Abrignani, M.G.; Rao, C.M.; Piccioni, L.; Di Fusco, S.A.; Ceravolo, R.; Bisceglia, I.; Riccio, C.; Gelsomino, S.; et al. Management of Acute Coronary Syndrome in Cancer Patients: It’s High Time We Dealt with It. J. Clin. Med. 2022, 11, 1792. (In English) [Google Scholar] [CrossRef] [PubMed]
- Wu, B.; Sodji, Q.H.; Oyelere, A.K. Inflammation, Fibrosis and Cancer: Mechanisms, Therapeutic Options and Challenges. Cancers 2022, 14, 552. (In English) [Google Scholar] [CrossRef] [PubMed]
- Mori, S.; Bertamino, M.; Guerisoli, L.; Stratoti, S.; Canale, C.; Spallarossa, P.; Porto, I.; Ameri, P. Pericardial effusion in oncological patients: Current knowledge and principles of management. Cardio-Oncology 2024, 10, 8. (In English) [Google Scholar] [CrossRef] [PubMed]
- Parrini, I.; Lucà, F.; Rao, C.M.; Parise, G.; Micali, L.R.; Musumeci, G.; La Meir, M.; Colivicchi, F.; Gulizia, M.M.; Gelsomino, S. Superiority of Direct Oral Anticoagulants over Vitamin K Antagonists in Oncological Patients with Atrial Fibrillation: Analysis of Efficacy and Safety Outcomes. J. Clin. Med. 2022, 11, 5712. [Google Scholar] [CrossRef] [PubMed] [PubMed Central]
- Adler, Y.; Charron, P.; Imazio, M.; Badano, L.; Barón-Esquivias, G.; Bogaert, J.; Brucato, A.; Gueret, P.; Klingel, K.; Lionis, C.; et al. 2015 ESC Guidelines for the diagnosis and management of pericardial diseases. Eur. Heart J. 2015, 36, 2921–2964. (In English) [Google Scholar] [CrossRef] [PubMed]
- Szturmowicz, M.; Tomkowski, W.; Fijalkowska, A.; Kupis, W.; Cieślik, A.; Demkow, U.; Langfort, R.; Wiechecka, A.; Orlowski, T.; Torbicki, A. Diagnostic utility of CYFRA 21-1 and CEA assays in pericardial fluid for the recognition of neoplastic pericarditis. Int. J. Biol. Markers 2005, 20, 43–49. (In English) [Google Scholar] [CrossRef] [PubMed]
- Khandaker, M.H.; Espinosa, R.E.; Nishimura, R.A.; Sinak, L.J.; Hayes, S.N.; Melduni, R.M.; Oh, J.K. Pericardial Disease: Diagnosis and Management. Mayo Clin. Proc. 2010, 85, 572–593. (In English) [Google Scholar] [CrossRef]
- Kotake, M.; Imai, H.; Kaira, K.; Fujisawa, T.; Yanagita, Y.; Minato, K. Intrapericardial carboplatin in the management of malignant pericardial effusion in breast cancer: A pilot study. Cancer Chemother. Pharmacol. 2019, 84, 655–660. [Google Scholar] [CrossRef] [PubMed]
- Zaborowska-Szmit, M.; Krzakowski, M.; Kowalski, D.M.; Szmit, S. Cardiovascular Complications of Systemic Therapy in Non-Small-Cell Lung Cancer. J. Clin. Med. 2020, 9, 1268. [Google Scholar] [CrossRef]
- De Carlini, C.C.; Maggiolini, S. Pericardiocentesis in cardiac tamponade: Indications and practical aspects. EJ Cardiol Pr. 2017, 15, 3–5. [Google Scholar]
- L’Angiocola, P.; Donati, R. Cardiac masses in echocardiography: A pragmatic review. J. Cardiovasc. Echography 2020, 30, 5–14. (In English) [Google Scholar] [CrossRef]
- Aggeli, C.; Dimitroglou, Y.; Raftopoulos, L.; Sarri, G.; Mavrogeni, S.; Wong, J.; Tsiamis, E.; Tsioufis, C. Cardiac Masses: The Role of Cardiovascular Imaging in the Differential Diagnosis. Diagnostics 2020, 10, 1088. (In English) [Google Scholar] [CrossRef] [PubMed]
- Xia, H.; Gan, L.; Jiang, Y.; Tang, Q.; Zhang, P.; Tang, X.; Wen, L.; Liu, Z.; Gao, Y. Use of transesophageal echocardiography and contrast echocardiography in the evaluation of cardiac masses. Int. J. Cardiol. 2017, 236, 466–472. (In English) [Google Scholar] [CrossRef]
- Pino, P.G.; Madeo, A.; Lucà, F.; Ceravolo, R.; di Fusco, S.A.; Benedetto, F.A.; Bisignani, G.; Oliva, F.; Colivicchi, F.; Gulizia, M.M.; et al. Clinical Utility of Three-Dimensional Echocardiography in the Evaluation of Mitral Valve Disease: Tips and Tricks. J. Clin. Med. 2023, 12, 2522. [Google Scholar] [CrossRef] [PubMed]
- Li, X.; Chen, Y.; Liu, J.; Xu, L.; Li, Y.; Liu, D.; Sun, Z.; Wen, Z. Cardiac magnetic resonance imaging of primary cardiac tumors. Quant. Imaging Med. Surg. 2020, 10, 294–313. (In English) [Google Scholar] [CrossRef] [PubMed]
- Almuhaideb, A.; Papathanasiou, N.; Bomanji, J. 18F-FDG PET/CT Imaging In Oncology. Ann. Saudi Med. 2011, 31, 3–13. (In English) [Google Scholar] [CrossRef] [PubMed]
- Cooper, L.T.; Baughman, K.L.; Feldman, A.M.; Frustaci, A.; Jessup, M.; Kuhl, U.; Levine, G.N.; Narula, J.; Starling, R.C.; Towbin, J.; et al. The Role of Endomyocardial Biopsy in the Management of Cardiovascular Disease. Circulation 2007, 116, 2216–2233. [Google Scholar] [CrossRef]
- Lewis, W.D.; Lilly, S.; Jones, K.L. Lymphoma: Diagnosis and Treatment. Am. Fam. Physician 2020, 101, 34–41. (In English) [Google Scholar] [PubMed]
- Rebegea, L.; Ilie, A.M.; Paslaru, A.M.; Firescu, D.; Serban, C.; Voinescu, C.; Sapira, V.; Stoleriu, G.; Lungu, M.; Zgura, A.; et al. Management of Epicardial Metastasis in Breast Cancer. Chirurgia 2021, 116, 627–633. [Google Scholar] [CrossRef] [PubMed]
- Bisceglia, I.; Canale, M.L.; Gallucci, G.; Turazza, F.M.; Lestuzzi, C.; Parrini, I.; Russo, G.; Maurea, N.; Quagliariello, V.; Oliva, S.; et al. Cardio-Oncology in the COVID Era (Co & Co): The Never Ending Story. Front. Cardiovasc. Med. 2022, 9, 821193. (In English) [Google Scholar] [CrossRef]
- Hamidi, M.; Moody, J.S.; Weigel, T.L.; Kozak, K.R. Primary Cardiac Sarcoma. Ann. Thorac. Surg. 2010, 90, 176–181. (In English) [Google Scholar] [CrossRef]
- Bakaeen, F.G.; Jaroszewski, D.E.; Rice, D.C.; Walsh, G.L.; Vaporciyan, A.A.; Swisher, S.S.; Benjamin, R.; Blackmon, S.; Reardon, M.J. Outcomes after surgical resection of cardiac sarcoma in the multimodality treatment era. J. Thorac. Cardiovasc. Surg. 2009, 137, 1454–1460. (In English) [Google Scholar] [CrossRef]
- Carver, J.R.; Shapiro, C.L.; Ng, A.; Jacobs, L.; Schwartz, C.; Virgo, K.S.; Hagerty, K.L.; Somerfield, M.R.; Vaughn, D.J. American Society of Clinical Oncology Clinical Evidence Review on the Ongoing Care of Adult Cancer Survivors: Cardiac and Pulmonary Late Effects. J. Clin. Oncol. 2007, 25, 3991–4008. (In English) [Google Scholar] [CrossRef] [PubMed]
- Mauro, E.; Lucà, F.; Tetta, C.; Parise, O.; Parrini, I.; Parise, G.; Rao, C.M.; Matteucci, F.; Micali, L.R.; Gulizia, M.M.; et al. Breast Cancer and Atrial Fibrillation. J. Clin. Med. 2022, 11, 1417. (In English) [Google Scholar] [CrossRef] [PubMed]
- Law, N.L.W.; Hong, L.W.; Tan, S.S.N.; Foo, C.J.; Lee, D.; Voon, P.J. Barriers And Challenges Of Multidisciplinary Teams In Oncology Management: A Scoping Review Protocol. BMJ Open 2024, 14, e079559. (In English) [Google Scholar] [CrossRef] [PubMed]
- Aldea, M.; Friboulet, L.; Apcher, S.; Jaulin, F.; Mosele, F.; Sourisseau, T.; Soria, J.-C.; Nikolaev, S.; André, F. Precision medicine in the era of multi-omics: Can the data tsunami guide rational treatment decision? ESMO Open 2023, 8, 101642. [Google Scholar] [CrossRef]








| Authors | N° of Pts | Average Age (Years) | Incidence | Type of Cancer | Site of CM | Mean Survival Time | Management |
|---|---|---|---|---|---|---|---|
| Lin et al. [2]. | 41 | 52.6 | 12% |
|
| 19.70 Months |
|
| Liu L. [19] | 412 total 42 CM | 57 | 7.7% |
|
| 38.21 months | Surgery + radiotherapy + chemotherapy |
| Guan T. [20] | 218 | 65–71 | 32.1% |
| - | - | Surgery 52.3% |
| Liu L. [21] | 389 total 75 CM | 59 ± 14 | 19% | - |
| <2 years | Radiotherapy or chemotherapy |
| Luiz M. Nova-Camacho [22] | 1294 autopsies 61 CM | 4.71% |
|
| 2.76 ± 3.85 years | - | |
| Lau C. [23] | 180 | 55.9 ± 16.4 | 39.4% |
| 18.3 ± 4.4 months | Neoadjuvant therapy + surgery | |
| Kopoic K. [24] | 12,285 autopsies | 10–20% |
|
| Focus on managing primary tumor Perioperative chemotherapy Surgery (including pericardiocentesis or pericardial window for effusion) |
| Primary Cancer Type | Incidence | Features |
|---|---|---|
| Lung Cancer | ~36–39% | Most common cancer type to metastasize to the heart. |
| Breast Cancer | ~10–12% | Second-most common source of cardiac metastasis. |
| Melanoma | ~28–64% | High incidence due to the aggressive nature of melanoma in spreading to various organs, including the heart. |
| Renal Cell Carcinoma | ~7–20% | Notably metastatic to both cardiac and vascular structures. |
| Lymphomas and Leukemias | ~9–24% | Includes non-Hodgkin lymphoma and other hematologic cancers which can spread to the pericardium, myocardium, or endocardium. |
| Gastrointestinal Cancers | ~3–6% | Less commonly metastasizes to the heart, but possible in advanced disease stages. |
| Sarcomas | ~10–15% | Soft-tissue sarcomas, especially angiosarcomas, may directly invade or metastasize to the heart. |
| Head and Neck Cancers | ~1–3% | Rare incidence of cardiac metastasis; typically in advanced stages of metastatic disease. |
| Thyroid Cancer | <1% | Rarely metastasizes to the heart; typically involves the pericardium when it does. |
| Hepatocellular Carcinoma | ~1–5% | Low incidence; metastasis to the heart occurs mainly in cases of vascular invasion. |
| Cardiac Metastasis | Other Cardiac Masses | |
|---|---|---|
| Secondary to cancer elsewhere (e.g., lung, breast, melanoma) | Primary tumors (e.g., myxomas, fibromas, sarcomas) | |
| Common Locations | Multiple lesions, often involving pericardium, myocardium | Specific sites: left atrium (myxoma), myocardium (fibroma), valves (papillary fibroelastoma) |
| Characteristics | Variable; can be multiple, diffuse, or infiltrative | Well-defined, specific to type (e.g., pedunculated, solid, infiltrative) |
| Imaging Features | Often multiple lesions, diffuse involvement; may show systemic cancer signs | Typically well-defined masses; can cause obstruction or local effects |
| Symptoms | Symptoms related to primary cancer, heart failure, arrhythmias | Symptoms related to mass effect, obstruction, or arrhythmias |
| Histology | Identifies cancer cells from the primary malignancy | Specific to tumor type (e.g., myxoma, fibroma, sarcoma) |
| Primary Cancer History | Often present or suspected | Usually absent or less relevant |
| Clinical Context | Evidence of systemic cancer, other metastatic sites | Usually isolated to the heart or part of a syndrome |
| Diagnostic Tools | Imaging (CT, MRI, PET) and biopsy; look for systemic malignancy | Imaging (echocardiography, MRI, CT) and biopsy if needed |
Disclaimer/Publisher’s Note: The statements, opinions and data contained in all publications are solely those of the individual author(s) and contributor(s) and not of MDPI and/or the editor(s). MDPI and/or the editor(s) disclaim responsibility for any injury to people or property resulting from any ideas, methods, instructions or products referred to in the content. |
© 2025 by the authors. Licensee MDPI, Basel, Switzerland. This article is an open access article distributed under the terms and conditions of the Creative Commons Attribution (CC BY) license (https://creativecommons.org/licenses/by/4.0/).
Share and Cite
Lucà, F.; Parrini, I.; Canale, M.L.; Rao, C.M.; Nucara, M.; Pelaggi, G.; Murrone, A.; Oliva, S.; Bisceglia, I.; Sergi, A.; et al. Cardiac Metastasis: Epidemiology, Pathophysiology, and Clinical Management. Life 2025, 15, 291. https://doi.org/10.3390/life15020291
Lucà F, Parrini I, Canale ML, Rao CM, Nucara M, Pelaggi G, Murrone A, Oliva S, Bisceglia I, Sergi A, et al. Cardiac Metastasis: Epidemiology, Pathophysiology, and Clinical Management. Life. 2025; 15(2):291. https://doi.org/10.3390/life15020291
Chicago/Turabian StyleLucà, Fabiana, Iris Parrini, Maria Laura Canale, Carmelo Massimiliano Rao, Mariacarmela Nucara, Giuseppe Pelaggi, Adriano Murrone, Stefano Oliva, Irma Bisceglia, Andrea Sergi, and et al. 2025. "Cardiac Metastasis: Epidemiology, Pathophysiology, and Clinical Management" Life 15, no. 2: 291. https://doi.org/10.3390/life15020291
APA StyleLucà, F., Parrini, I., Canale, M. L., Rao, C. M., Nucara, M., Pelaggi, G., Murrone, A., Oliva, S., Bisceglia, I., Sergi, A., Geraci, G., Riccio, C., Ceravolo, R., Gelsomino, S., Colivicchi, F., Grimaldi, M., Oliva, F., & Gulizia, M. M., on behalf of Multi-Specialist and Multi-Integrated Approach in Cardiology Working Group, Cardio-Oncology Working Group, Cardiogeriatrics Working Group of Italian Association of Hospital Cardiologists and Epidemiology Working Group (ANMCO). (2025). Cardiac Metastasis: Epidemiology, Pathophysiology, and Clinical Management. Life, 15(2), 291. https://doi.org/10.3390/life15020291

