The Influence of Demographic Characteristics, Pre-Existing Conditions and Laboratory Parameters on Postoperative Hemorrhage After Brain Tumor Surgery
Abstract
1. Introduction
2. Materials and Methods
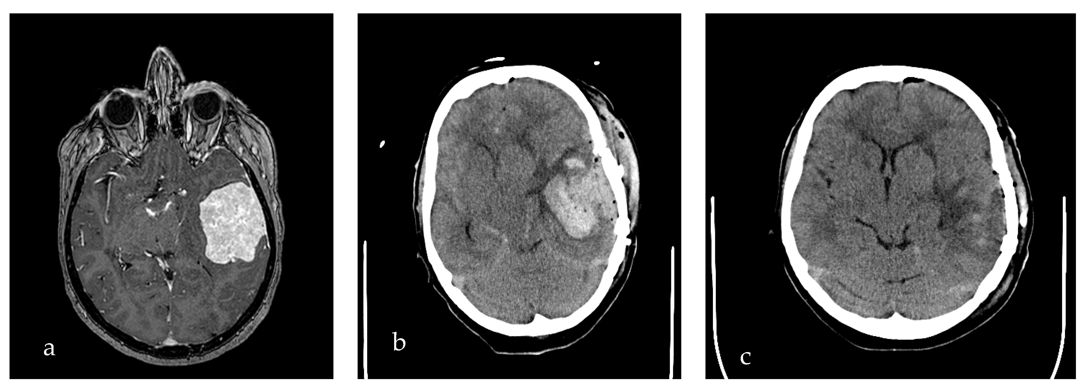
3. Results
3.1. Predictors of Hemorrhagic Complications
3.1.1. Demographic Characteristics
3.1.2. Comorbidities and Tumor Characteristics
3.1.3. Laboratory Parameters
4. Discussion
5. Conclusions
Author Contributions
Funding
Institutional Review Board Statement
Informed Consent Statement
Data Availability Statement
Acknowledgments
Conflicts of Interest
Abbreviations
| POH | Postoperative hemorrhage |
| BMI | Body-mass-index |
| ASA | American Society of Anesthesiologists |
| ICP | Intracranial pressure |
| MRI | Magnetic resonance tomography |
| CT | Computer tomography |
| CRP | C-reactive protein |
| INR | International normalized ratio |
| PTT | Partial thromboplastin time |
| DM | Diabetes mellitus |
References
- Lassen, B.; Helseth, E.; Rønning, P.; Scheie, D.; Johannesen, T.B.; Mæhlen, J.; Langmoen, I.A.; Meling, T.R. Surgical Mortality at 30 Days and Complications Leading to Recraniotomy in 2630 Consecutive Craniotomies for Intracranial Tumors. Neurosurgery 2011, 68, 1259–1268; discussion 68–69. [Google Scholar] [CrossRef]
- Palmer, J.D.; Sparrow, O.C.; Iannotti, F. Postoperative Hematoma: A 5-Year Survey and Identification of Avoidable Risk Factors. Neurosurgery 1994, 35, 1061–1064; discussion 64–65. [Google Scholar] [CrossRef]
- Seifman, M.A.; Lewis, P.M.; Rosenfeld, J.V.; Hwang, P.Y. Postoperative Intracranial Haemorrhage: A Review. Neurosurg. Rev. 2011, 34, 393–407. [Google Scholar] [CrossRef]
- Basali, A.; Mascha, E.J.; Kalfas, I.; Schubert, A. Relation between Perioperative Hypertension and Intracranial Hemorrhage after Craniotomy. Anesthesiology 2000, 93, 48–54. [Google Scholar] [CrossRef] [PubMed]
- Kalfas, I.H.; Little, J.R. Postoperative Hemorrhage: A Survey of 4992 Intracranial Procedures. Neurosurgery 1988, 23, 343–347. [Google Scholar] [CrossRef] [PubMed]
- Zetterling, M.; Ronne-Engström, E. High Intraoperative Blood Loss May Be a Risk Factor for Postoperative Hematoma. J. Neurosurg. Anesthesiol. 2004, 16, 151–155. [Google Scholar] [CrossRef] [PubMed]
- Lonjaret, L.; Guyonnet, M.; Berard, E.; Vironneau, M.; Peres, F.; Sacrista, S.; Ferrier, A.; Ramonda, V.; Vuillaume, C.; Roux, F.E.; et al. Postoperative Complications after Craniotomy for Brain Tumor Surgery. Anaesth. Crit. Care Pain. Med. 2017, 36, 213–218. [Google Scholar] [CrossRef]
- Wang, C.; Niu, X.; Ren, Y.; Lan, Z.; Zhang, Y. Risk Factors for Postoperative Intracranial Hemorrhage after Resection of Intracranial Tumor in 2259 Consecutive Patients. World Neurosurg. 2019, 129, e663–e668. [Google Scholar] [CrossRef]
- Ening, G.; Osterheld, F.; Capper, D.; Schmieder, K.; Brenke, C. Risk Factors for Glioblastoma Therapy Associated Complications. Clin. Neurol. Neurosurg. 2015, 134, 55–59. [Google Scholar] [CrossRef]
- Sastry, R.A.; Pertsch, N.J.; Tang, O.; Shao, B.; Toms, S.A.; Weil, R.J. Frailty and Outcomes after Craniotomy for Brain Tumor. J. Clin. Neurosci. 2020, 81, 95–100. [Google Scholar] [CrossRef]
- Ren, X.H.; Chu, C.; Zeng, C.; Tian, Y.J.; Ma, Z.Y.; Tang, K.; Yu, L.B.; Cui, X.L.; Wang, Z.C.; Lin, S. Delayed Postoperative Hemorrhage in 21 Patients with Intracranial Epidermoid Cysts. J. Neurosurg. 2011, 114, 1592–1602. [Google Scholar] [CrossRef]
- Taylor, W.A.; Thomas, N.W.; Wellings, J.A.; Bell, B.A. Timing of Postoperative Intracranial Hematoma Development and Implications for the Best Use of Neurosurgical Intensive Care. J. Neurosurg. 1995, 82, 48–50. [Google Scholar] [CrossRef]
- Peck, K.A.; Calvo, R.Y.; Schechter, M.S.; Sise, C.B.; Kahl, J.E.; Shackford, M.C.; Shackford, S.R.; Sise, M.J.; Blaskiewicz, D.J. The Impact of Preinjury Anticoagulants and Prescription Antiplatelet Agents on Outcomes in Older Patients with Traumatic Brain Injury. J. Trauma. Acute Care Surg. 2014, 76, 431–436. [Google Scholar] [CrossRef]
- Hylek, E.M.; Singer, D.E. Risk Factors for Intracranial Hemorrhage in Outpatients Taking Warfarin. Ann. Intern. Med. 1994, 120, 897–902. [Google Scholar] [CrossRef] [PubMed]
- Wilhelmy, F.; Gaier, M.; Planitzer, U.; Kasper, J.; Prasse, G.; Frydrychowicz, C.; Oesemann, R.; Meixensberger, J.; Lindner, D. Venous Thromboembolism and Intracranial Hemorrhage in Patients Undergoing Glioblastoma Surgery. Sci. Rep. 2023, 13, 21679. [Google Scholar] [CrossRef]
- Wilhelmy, F.; Hantsche, A.; Wende, T.; Kasper, J.; Reuschel, V.; Frydrychowicz, C.; Rasche, S.; Lindner, D.; Meixensberger, J. Perioperative Anticoagulation in Patients with Intracranial Meningioma: No Increased Risk of Intracranial Hemorrhage? PLoS ONE 2020, 15, e0238387. [Google Scholar] [CrossRef]
- Wagner, A.; Wostrack, M.; Hartz, F.; Heim, J.; Hameister, E.; Hildebrandt, M.; Meyer, B.; Winter, C. The Role of Extended Coagulation Screening in Adult Cranial Neurosurgery. Brain Spine 2023, 3, 101756. [Google Scholar] [CrossRef]
- Rahman, M.; Donnangelo, L.L.; Neal, D.; Mogali, K.; Decker, M.; Ahmed, M.M. Effects of Perioperative Acetyl Salicylic Acid on Clinical Outcomes in Patients Undergoing Craniotomy for Brain Tumor. World Neurosurg. 2015, 84, 41–47. [Google Scholar] [CrossRef] [PubMed]
- Hanalioglu, S.; Sahin, B.; Sahin, O.S.; Kozan, A.; Ucer, M.; Cikla, U.; Goodman, S.L.; Baskaya, M.K. Effect of Perioperative Aspirin Use on Hemorrhagic Complications in Elective Craniotomy for Brain Tumors: Results of a Single-Center, Retrospective Cohort Study. J. Neurosurg. 2020, 132, 1529–1538. [Google Scholar] [CrossRef]
- Gerlach, R.; Tölle, F.; Raabe, A.; Zimmermann, M.; Siegemund, A.; Seifert, V. Increased Risk for Postoperative Hemorrhage after Intracranial Surgery in Patients with Decreased Factor Xiii Activity: Implications of a Prospective Study. Stroke 2002, 33, 1618–1623. [Google Scholar] [CrossRef] [PubMed]
- Desai, V.R.; Grossman, R.; Sparrow, H. Incidence of Intracranial Hemorrhage after a Cranial Operation. Cureus 2016, 8, e616. [Google Scholar] [CrossRef]
- Zeng, M.; Li, Z.; Xia, C.; Cheng, X.; Wang, Y.; Wang, F. Postoperative Epidural Hematoma as a Rare Complication after Intracranial Tumor Resection: A Case Series Report and Causes Analysis. Chin. Neurosurg. J. 2024, 10, 7. [Google Scholar] [CrossRef]
- Peto, I.; Pressman, E.; Piper, K.; Flores-Milan, G.; Ryan, C.A.; Lockard, G.; Gordon, J.; Alayli, A.; van Loveren, H.; Agazzi, S. Complications after Resection of Parasagittal and Superior Sagittal Sinus Meningiomas. Neurosurg. Rev. 2025, 48, 278. [Google Scholar] [CrossRef] [PubMed]
- Greuter, L.; Ullmann, M.; Mariani, L.; Guzman, R.; Soleman, J. Effect of Preoperative Antiplatelet or Anticoagulation Therapy on Hemorrhagic Complications in Patients with Traumatic Brain Injury Undergoing Craniotomy or Craniectomy. Neurosurg. Focus. 2019, 47, E3. [Google Scholar] [CrossRef] [PubMed]
- Nakajima, H.; Yasui, T.; Nishikawa, M.; Kishi, H.; Kan, M. The Role of Postoperative Patient Posture in the Recurrence of Chronic Subdural Hematoma: A Prospective Randomized Trial. Surg. Neurol. 2002, 58, 385–387; discussion 87. [Google Scholar] [CrossRef]
- Taussky, P.; Fandino, J.; Landolt, H. Number of Burr Holes as Independent Predictor of Postoperative Recurrence in Chronic Subdural Haematoma. Br. J. Neurosurg. 2008, 22, 279–282. [Google Scholar] [CrossRef]
- Raabe, A.; Gerlach, R.; Zimmermann, M.; Seifert, V. The Risk of Haemorrhage Associated with Early Postoperative Heparin Administration after Intracranial Surgery. Acta Neurochir. 2001, 143, 1–7. [Google Scholar] [CrossRef] [PubMed]
- Abouzari, M.; Rashidi, A.; Rezaii, J.; Esfandiari, K.; Asadollahi, M.; Aleali, H.; Abdollahzadeh, M. The Role of Postoperative Patient Posture in the Recurrence of Traumatic Chronic Subdural Hematoma after Burr-Hole Surgery. Neurosurgery 2007, 61, 794–797; discussion 97. [Google Scholar] [CrossRef]
- Yamamoto, J.; Inoue, N.; Otsui, K.; Ishii, H.; Gorog, D.A. Global Thrombosis Test (Gtt) Can Detect Major Determinants of Haemostasis Including Platelet Reactivity, Endogenous Fibrinolytic and Thrombin Generating Potential. Thromb. Res. 2014, 133, 919–926. [Google Scholar] [CrossRef]
- Gudeman, S.K.; Kishore, P.R.; Miller, J.D.; Girevendulis, A.K.; Lipper, M.H.; Becker, D.P. The Genesis and Significance of Delayed Traumatic Intracerebral Hematoma. Neurosurgery 1979, 5, 309–313. [Google Scholar] [CrossRef]
- Thiagarajah, S. Postoperative Care of Neurosurgical Patients. Int. Anesthesiol. Clin. 1983, 21, 139–156. [Google Scholar] [CrossRef] [PubMed]
- Kwinta, B.M.; Krzyżewski, R.M.; Kliś, K.M.; Dragan, M.R.; Donicz, P.; Gackowska, M.; Stachura, K.; Moskała, M. Predictive Factors of Complications Post Intracranial Meningioma Surgery Leading to Early Unplanned Reoperations—A Single Center Study. Folia Med. Cracov. 2018, 58, 5–13. [Google Scholar] [PubMed]
- Chan, K.H.; Mann, K.S.; Chan, T.K. The Significance of Thrombocytopenia in the Development of Postoperative Intracranial Hematoma. J. Neurosurg. 1989, 71, 38–41. [Google Scholar] [CrossRef] [PubMed]



| Hemorrhage | n | % |
|---|---|---|
| No postoperative bleeding | 1728 | 92.8 |
| Bleeding without reoperation | 103 | 5.5 |
| Bleeding with reoperation | 31 | 1.7 |
| Total | 1862 | 100 |
| Demographic Data | No Hemorrhage n (%) | Hemorrhage with Reoperation n (%) | p-Value | |
|---|---|---|---|---|
| Sex | female male | 935 (51.06) 896 (48.94) | 15 (48.39) 16 (51.61) | 0.857 |
| Age [years]—mean ± SD | 59.8 ± 15.6 | 60.6 ± 14.9 | 0.755 | |
| BMI—mean ± SD | 27.5 ± 5.5 | 28.2 ± 4.8 | 0.482 | |
| Blood group | A B AB 0 | 753 (43.30) 224 (12.88) 115 (6.61) 647 (37.21) | 11 (35.48) 3 (9.68) 1 (3.23) 16 (51.61) | 0.520 |
| Rh-factor | negative positive | 310 (17.85) 1427 (82.15) | 5 (16.13) 26 (83.87) | 1.000 |
| ASA-Score | I II III IV | 100 (5.49) 1024 (56.26) 649 (35.66) 47 (2.58) | 0 (0.00) 15 (50.00) 13 (43.33) 2 (6.67) | 0.214 |
| Smoker | yes no | 473 (26.59) 1306 (73.41) | 6 (19.35) 25 (80.65) | 0.419 |
| Parameters | Hemorrhage | ||||
|---|---|---|---|---|---|
| No Hemorrhage n (%) | Hemorrhage with Operation n (%) | p-Value | |||
| Tumor characteristics | Recurrence | Yes No | 315 (17.37) 1498 (82.63) | 4 (12.90) 27 (87.10) | 0.637 |
| Diagnostic group | Glioma Meningioma Metastases other | 642 (35.06) 414 (22.61) 359 (19.61) 416 (22.72) | 10 (32.26) 8 (25.81) 6 (19.35) 7 (22.58) | 0.972 | |
| Laboratory Parameters | No Hemorrhage | Hemorrhage with Reoperation | p-Value |
|---|---|---|---|
| Mean [Scatter Range] | Mean [Scatter Range] | ||
| INR | 0.99 [0.99; 1.00] | 1.02 [1.02; 1.03] | 0.202 |
| PTT [s]—mean ± SD | 27.4 ± 3.6 | 27.3 ± 3.6 | 0.816 |
| Platelets [109/L]—mean ± SD | 269.9 ± 90.3 | 250.7 ± 125.8 | 0.404 |
| C-reactive protein [mg/L] | 5.3 [0.4; 10.2] | 3.1 [0.0; 6.2] | 0.106 |
| Leukocytes [109/L] | 10.8 [10.2; 11.5] | 9.2 [8.8; 9.5] | 0.071 |
Disclaimer/Publisher’s Note: The statements, opinions and data contained in all publications are solely those of the individual author(s) and contributor(s) and not of MDPI and/or the editor(s). MDPI and/or the editor(s) disclaim responsibility for any injury to people or property resulting from any ideas, methods, instructions or products referred to in the content. |
© 2025 by the authors. Licensee MDPI, Basel, Switzerland. This article is an open access article distributed under the terms and conditions of the Creative Commons Attribution (CC BY) license (https://creativecommons.org/licenses/by/4.0/).
Share and Cite
Pinchuk, A.; Tonchev, N.; Schaufler, A.; Dumitru, C.A.; Stein, K.-P.; Neyazi, B.; Sandalcioglu, I.E.; Rashidi, A. The Influence of Demographic Characteristics, Pre-Existing Conditions and Laboratory Parameters on Postoperative Hemorrhage After Brain Tumor Surgery. Life 2025, 15, 1941. https://doi.org/10.3390/life15121941
Pinchuk A, Tonchev N, Schaufler A, Dumitru CA, Stein K-P, Neyazi B, Sandalcioglu IE, Rashidi A. The Influence of Demographic Characteristics, Pre-Existing Conditions and Laboratory Parameters on Postoperative Hemorrhage After Brain Tumor Surgery. Life. 2025; 15(12):1941. https://doi.org/10.3390/life15121941
Chicago/Turabian StylePinchuk, Anatoli, Nikolay Tonchev, Anna Schaufler, Claudia A. Dumitru, Klaus-Peter Stein, Belal Neyazi, I. Erol Sandalcioglu, and Ali Rashidi. 2025. "The Influence of Demographic Characteristics, Pre-Existing Conditions and Laboratory Parameters on Postoperative Hemorrhage After Brain Tumor Surgery" Life 15, no. 12: 1941. https://doi.org/10.3390/life15121941
APA StylePinchuk, A., Tonchev, N., Schaufler, A., Dumitru, C. A., Stein, K.-P., Neyazi, B., Sandalcioglu, I. E., & Rashidi, A. (2025). The Influence of Demographic Characteristics, Pre-Existing Conditions and Laboratory Parameters on Postoperative Hemorrhage After Brain Tumor Surgery. Life, 15(12), 1941. https://doi.org/10.3390/life15121941

