Reverse-Wire TEVAR for Subacute Type B Aortic Dissection with Severe True-Lumen Collapse: A Case Report
Abstract
1. Introduction
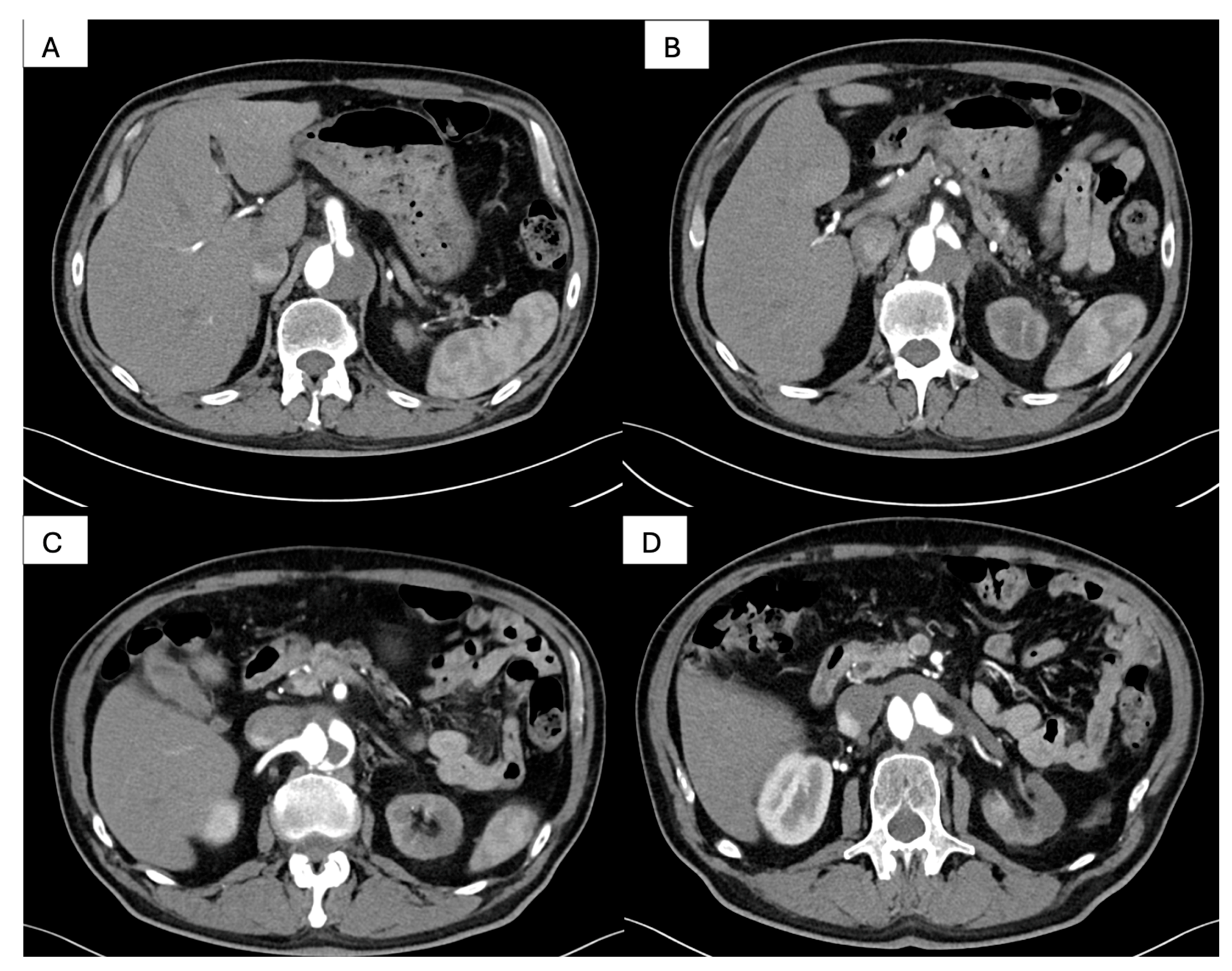
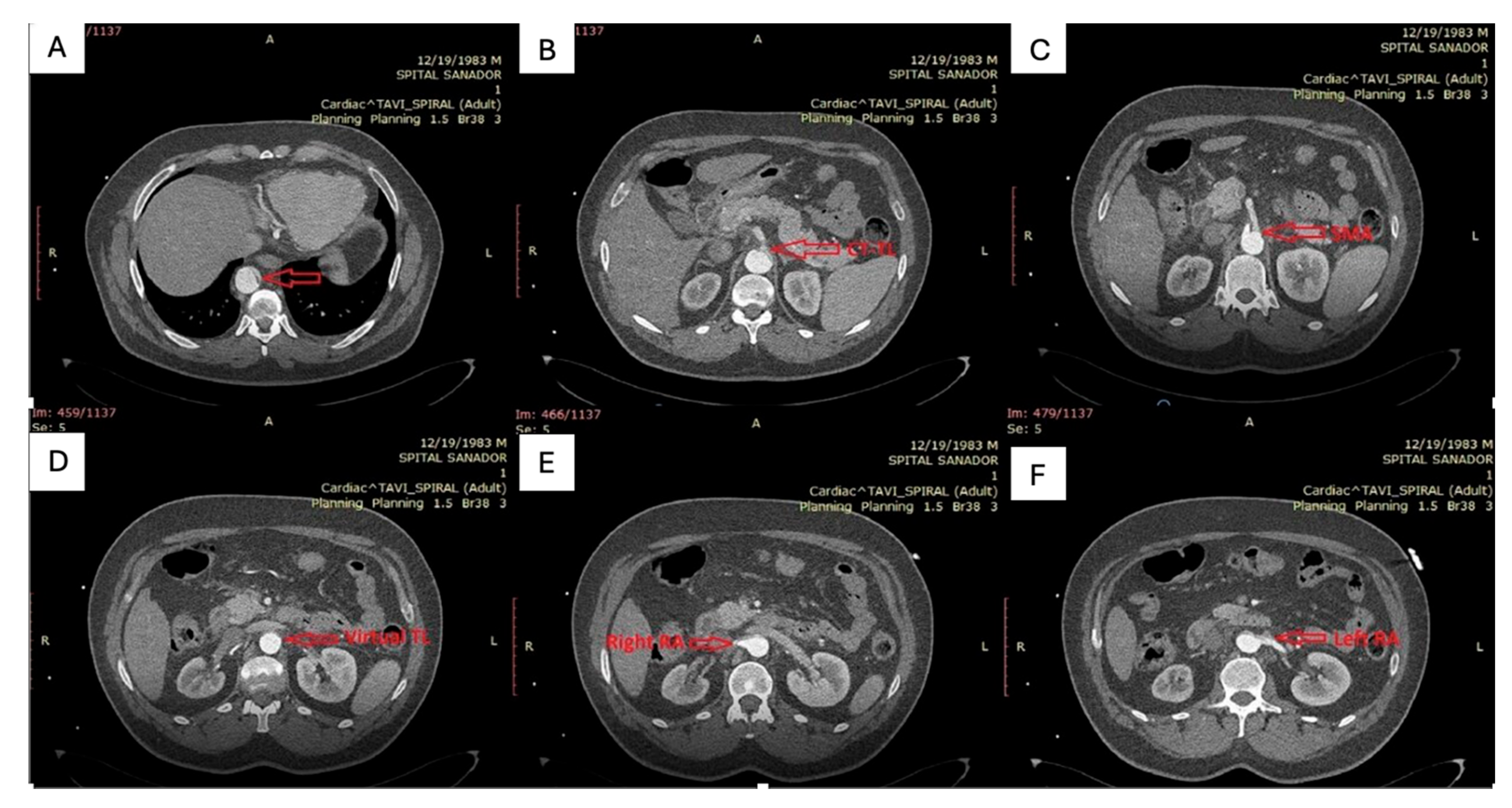
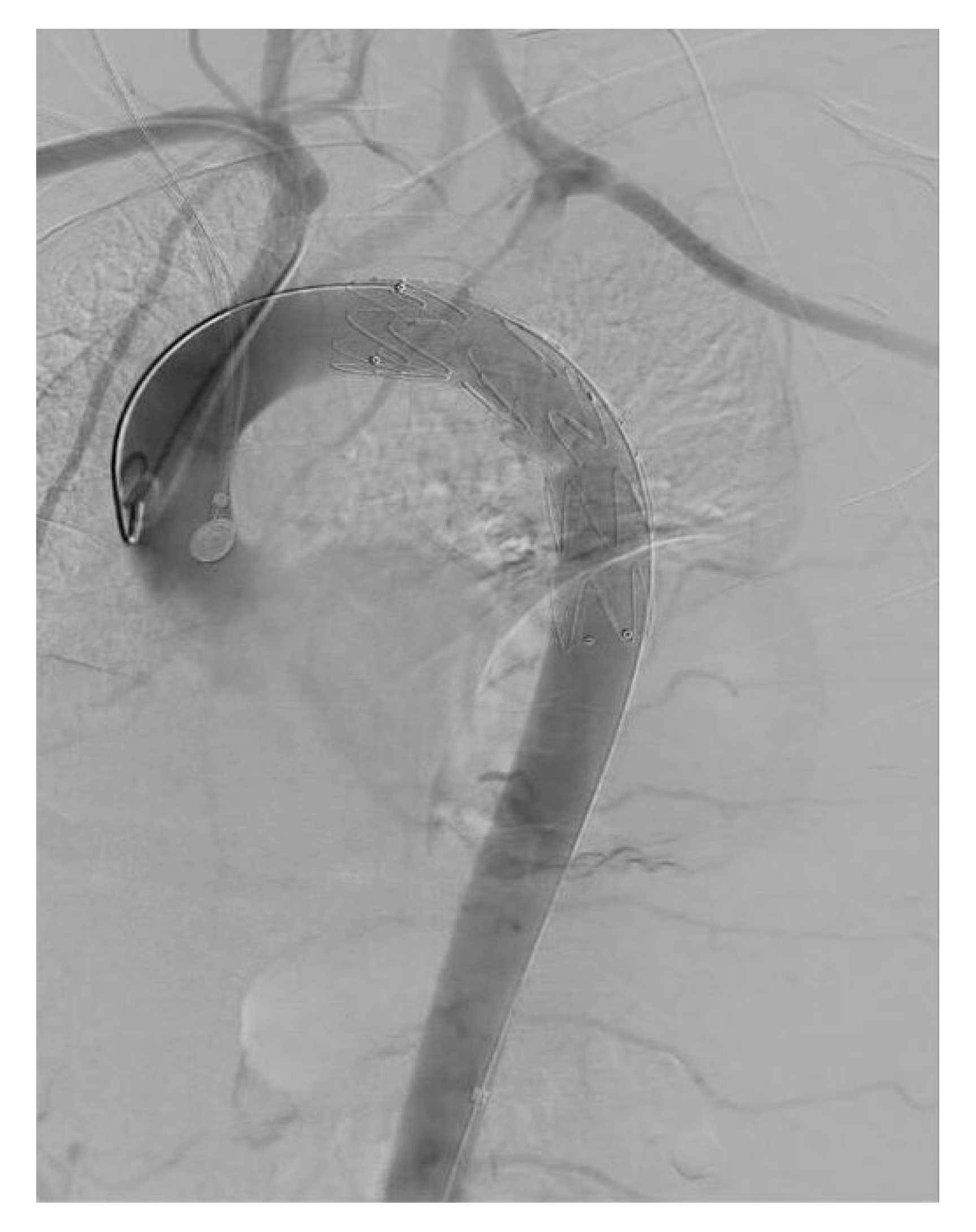
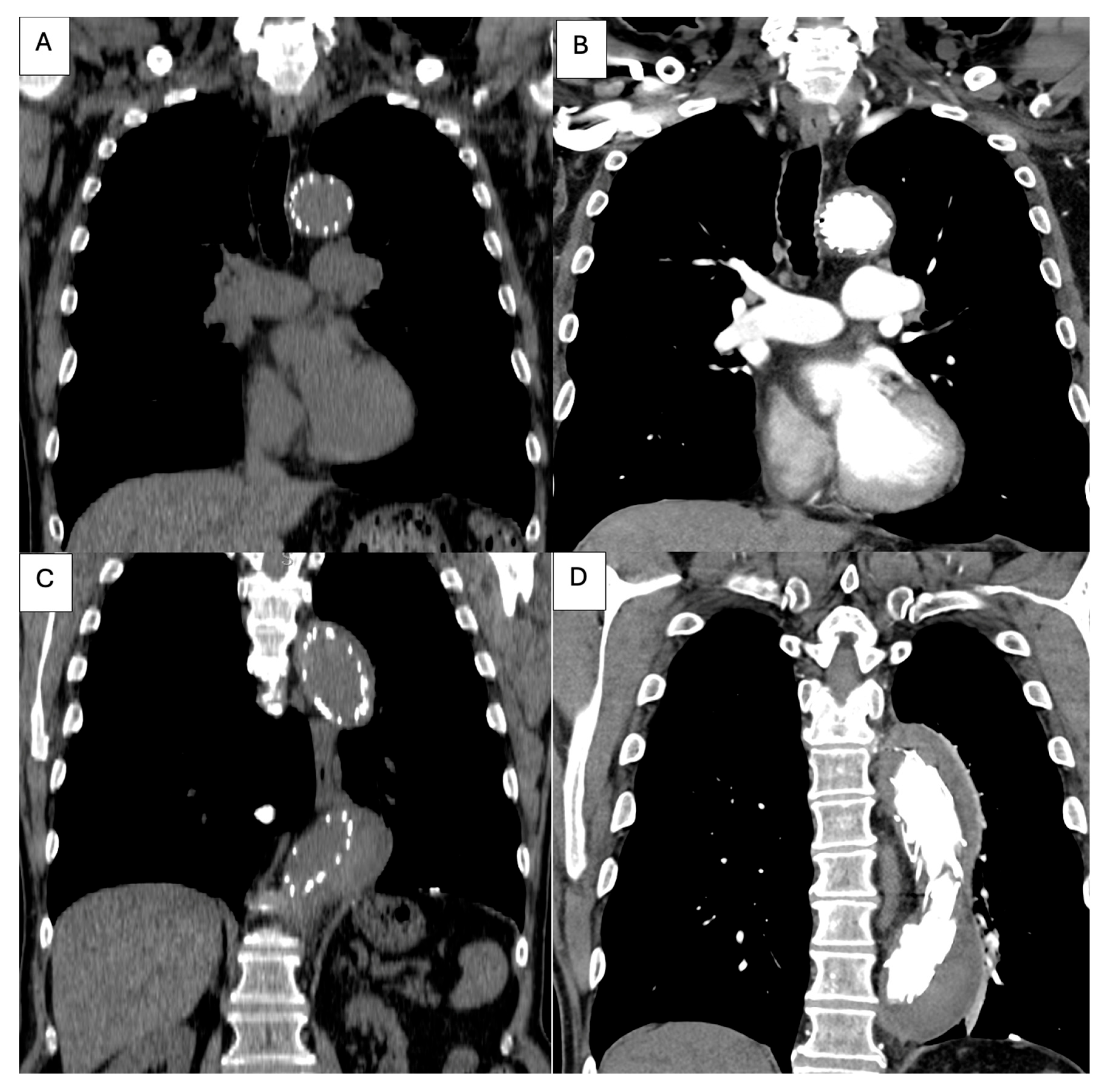
2. Case Report
3. Discussion
4. Conclusions
Author Contributions
Funding
Institutional Review Board Statement
Informed Consent Statement
Data Availability Statement
Conflicts of Interest
References
- Tan, S.Z.C.P.; El Santawy, H.; Abdelhaliem, A. Is TEVAR really needed for uncomplicated type B aortic dissection? J. Card. Surg. 2021, 36, 3831–3833. [Google Scholar] [CrossRef] [PubMed]
- Singh, S.; Palanca, J.A.; Austin, N.J.; Tan, S.Z.C.P.; Jubouri, M.; Bailey, D.M.; Williams, I.M.; Nienaber, C.A.; Coselli, J.S.; Bashir, M. Criteria for endovascular intervention in type B aortic dissection. J. Card. Surg. 2022, 37, 987–992. [Google Scholar] [CrossRef] [PubMed]
- Howard, C.; Sheridan, J.; Picca, L.; Reza, S.; Smith, T.; Ponnapalli, A.; Calow, R.; Cross, O.; Iddawela, S.; George, M.; et al. TEVAR for complicated & uncomplicated type B aortic dissection: Systematic review and meta-analysis. J. Card. Surg. 2021, 36, 3820–3830. [Google Scholar] [CrossRef]
- Jubouri, M.; Bashir, M.; Tan, S.Z.C.P.; Bailey, D.; Anderson, R.; Nienaber, C.A.; Coselli, J.S.; Williams, I. What is the optimal timing for thoracic endovascular aortic repair in uncomplicated Type B aortic dissection? J. Card. Surg. 2022, 37, 993–1001. [Google Scholar] [CrossRef]
- Kaji, S. Update on the therapeutic strategy of type B aortic dissection. J. Atheroscler. Thromb. 2017, 25, 203–212. [Google Scholar] [CrossRef]
- Moldovan, H.; Tiganasu, R.; Câlmâc, L.; Voica, C.; Broască, M.; Diaconu, C.; Ichim, V.; Cacoveanu, M.; Mirea, L.; Nica, C.; et al. Same Clinical Reality of Spontaneous Rupture of the Common Iliac Artery with Pseudoaneurysm Formation—Comparison of Two Therapeutical Solutions, Endovascular Stent-Graft and Open Surgical Correction, for Two Cases and Review of the Literature. J. Clin. Med. 2023, 12, 713. [Google Scholar] [CrossRef]
- Nauta, F.J.; Trimarchi, S.; Kamman, A.V.; Moll, F.L.; van Herwaarden, J.A.; Patel, H.J.; Figueroa, C.A.; Eagle, K.A.; Froehlich, J.B. Update in the management of type B aortic dissection. Vasc. Med. 2016, 21, 251–263. [Google Scholar] [CrossRef] [PubMed]
- Costache, V.S.; Meekel, J.P.; Costache, A.; Melnic, T.; Solomon, C.; Chitic, A.M.; Bucurenciu, C.; Moldovan, H.; Antoniac, I.; Candea, G.; et al. Geometric Analysis of Type B Aortic Dissections Shows Aortic Remodeling After Intervention Using Multilayer Stents. Materials 2020, 13, 2274. [Google Scholar] [CrossRef]
- Al-Tawil, M.; Chikhal, R.; Abdelhaliem, A. Thoracic endovascular aortic repair for uncomplicated Type B aortic dissection: What is the optimal time window for intervention? J. Card. Surg. 2022, 37, 1002–1003. [Google Scholar] [CrossRef] [PubMed]
- Robu, M.; Marian, D.R.; Vasile, R.; Radulescu, B.; Stegaru, A.; Voica, C.; Nica, C.; Gheorghita, D.; Zaharia, O.; Iulian, A.; et al. Delayed Surgical Management of Acute Type A Aortic Dissection in a Patient with Recent COVID-19 Infection and Post-COVID-19 Bronchopneumonia—Case Report and Review of Literature. Medicina 2022, 58, 1357. [Google Scholar] [CrossRef]
- Sayer, D.; Bratby, M.; Brooks, M.; Loftus, I.; Morgan, R.; Thompson, M. Aortic Morphology Following Endovascular Repair of Acute and Chronic Type B Aortic Dissection: Implications for Management. Eur. J. Vasc. Endovasc. Surg. 2008, 36, 522–529. [Google Scholar] [CrossRef]
- Nienaber, C.A.; Divchev, D.; Palisch, H.; Clough, R.E.; Richartz, B. Early and late management of type B aortic dissection. Heart 2014, 100, 1491–1497. [Google Scholar] [CrossRef]
- Baumgart, D.; Eggebrecht, H.; Herold, U.; Kuehl, H.; Piotrowski, J.; Niebel, W.; Jakob, H.; Erbel, R. Underlying aortic pathology and clinical health status determine success of endovascular stent-grafting for descending thoracic aortic disease. Catheter. Cardiovasc. Interv. 2006, 67, 527–534. [Google Scholar] [CrossRef]
- Oda, T.; Minatoya, K.; Sasaki, H.; Tanaka, H.; Seike, Y.; Itonaga, T.; Inoue, Y.; Higashi, M.; Nishimura, K.; Kobayashi, J. Surgical Indication for Chronic Aortic Dissection in Descending Thoracic and Thoracoabdominal Aorta. Circ. Cardiovasc. Interv. 2017, 10, e004292. [Google Scholar] [CrossRef]
- Chen, S.L.; Zhu, J.C.; Li, X.B.; Ye, F.; Zhang, J.J.; Liu, Z.Z.; Tian, N.L.; Lin, S.; Lv, C.Y. Comparison of long-term clinical outcome between patients with chronic versus acute type B aortic dissection treated by implantation of a stent graft: A single-center report. Patient Prefer. Adherence 2013, 7, 319–327. [Google Scholar] [CrossRef]
- Margarint, I.M.; Youssef, T.; Robu, M.; Rotaru, I.; Popescu, A.; Untaru, O.; Filip, C.; Stiru, O.; Iliescu, V.A.; Vladareanu, R. The Management of Aortic Coarctation Associated with Hypoplastic Arches and Particular Arch Anatomies: A Literature Review. J. Pers. Med. 2024, 14, 732. [Google Scholar] [CrossRef] [PubMed] [PubMed Central]
- Iosifescu, A.G.; Moldovan, H.; Iliescu, V.A. Aortic Prosthesis-Patient Mismatch Strongly Affects Early Results of Double Valve Replacement. J. Heart Valve Dis. 2014, 23, 149–157. [Google Scholar] [PubMed]
- Onitsuka, S.; Akashi, H.; Tayama, K.; Okazaki, T.; Ishihara, K.; Hiromatsu, S.; Aoyagi, S. Long-Term Outcome and Prognostic Predictors of Medically Treated Acute Type B Aortic Dissections. Ann. Thorac. Surg. 2004, 78, 1268–1273. [Google Scholar] [CrossRef] [PubMed]
- Anghel, endothelial and hepatocyte growth factor gene therapy in patients with critical limb ischemia. Curr. Neurovascular Res. 2011, 8, 183–189. [CrossRef] [PubMed]
- Zhang, L.; Guan, W.K.; Wu, H.P.; Li, X.; Lv, K.P.; Zeng, C.L.; Song, H.H.; Ye, Q.L. Proximal true lumen collapse in a chronic type B aortic dissection patient: A case report. World J. Clin. Cases 2021, 9, 10689–10695. [Google Scholar] [CrossRef] [PubMed] [PubMed Central]
- Choo, S.J.; Jung, S.H.; Kim, J.E.; Lim, J.; Ju, M.H. Thoracic endovascular repair for complicated type B acute aortic dissection with distal malperfusion. Korean J. Thorac. Cardiovasc Surg. 2011, 44, 427–431. [Google Scholar] [CrossRef] [PubMed] [PubMed Central]
- Panesar, H.; Raval, R.; Simonian, G.; O’Connor, D. Distal true lumen compression after thoracic endovascular aortic repair for aortic dissection treated with endovascular fenestration. J. Vasc. Surg. Cases Innov Tech. 2026, 12, 102055. [Google Scholar] [CrossRef]
- Massmann, A.; Giebels, C.; Buecker, A.; Schäfers, H.J.; Fries, P. Endovascular Rescue Aortic Fenestration After Accidental False Lumen TEVAR in Type B Dissection. J. Endovasc. Ther. 2024, 31, 151–156. [Google Scholar] [CrossRef] [PubMed]
- Kim, H.; Heo, W.; Song, S.W.; Yoo, K.J. Case report: Left monoplegia in acute type B aortic dissection. AME Case Rep. 2020, 4, 16. [Google Scholar] [CrossRef] [PubMed] [PubMed Central]
- Le Huu, A.; Preventza, O. Endovascular repair of acute type B thoracic aortic dissection. Ann. Cardiothorac Surg. 2021, 10, 793–800. [Google Scholar] [CrossRef] [PubMed] [PubMed Central]
- Singh, S.; Nassiri, N.; Vallabhajosyula, P. All type B aortic dissections should undergo thoracic endovascular aneurysm repair. JTCVS Tech. 2021, 9, 17–24. [Google Scholar] [CrossRef] [PubMed] [PubMed Central]
- Spanos, K.; Kölbel, T. Role of endoluminal techniques in the management of chronic type B aortic dissection. Cardiovasc. Interv. Radiol. 2020, 43, 1808–1820. [Google Scholar] [CrossRef]
- Williams, M.L.; de Boer, M.; Hwang, B.; Wilson, B.; Brookes, J.; McNamara, N.; Tian, D.H.; Shiraev, T.; Preventza, O. Thoracic endovascular repair of chronic type B aortic dissection: A systematic review. Ann. Cardiothorac. Surg. 2022, 11, 1–15. [Google Scholar] [CrossRef]
- Fresilli, M.; Oddi, F.M.; Di Girolamo, A.; Ippoliti, A.; Martelli, E. E-STABILISE Technique: A Solution for Postdissection Thoracic Aortic Aneurysm Repair: The Association of Transcatheter Electosurgical Septotomy with the STABILISE Technique. Ann. Vasc. Surg. 2025, 122, 610–617. [Google Scholar] [CrossRef] [PubMed]
- Riambau, V.; Böckler, D.; Brunkwall, J.; Cao, P.; Chiesa, R.; Coppi, G.; Czerny, M.; Fraedrich, G.; Haulon, S.; Jacobs, M.; et al. Editor’s choice—Management of descending thoracic aorta diseases. Eur. J. Vasc. Endovasc. Surg. 2017, 53, 4–52. [Google Scholar] [CrossRef]






| Pre-TEVAR | Early Post-TEVAR (48–72 h) | At Discharge | |
|---|---|---|---|
| Arterial BP | Right arm: 150/80 mmHg Left arm: 125/50 mmHg | Stable, symmetric, no interarm gradient | 130/70 mmHg |
| Heart rate | 110 bpm | 80–88 bpm | 72 bpm |
| Serum creatinine | 6.0 mg/dL | 3.4 mg/dL | 1.8 mg/dL |
| Urea | 145 mg/dL | 78 mg/dL | 47 mg/dL |
| eGFR | <10 mL/min/1.73 m2 | ~25 mL/min/1.73 m2 | ~45 mL/min/1.73 m2 |
| AST | 86 U/L | 52 U/L | 39 U/L |
| ALT | 92 U/L | 58 U/L | 48 U/L |
| Lactate | 2.8 mmol/L | <2 mmol/L | Normal |
| CRP | 18 mg/L | 12 mg/L | 5 mg/L |
| Sensory deficits | Bilateral lower limb numbness, impaired proprioception | Symptoms resolved | Normal |
| Coordination | Intermittent gait imbalance | Fully restored | Normal |
| True lumen | Severely compressed along descending thoracic and abdominal aorta | Re-expanded across thoracic segment | Stable re-expansion |
| Visceral perfusion | SMA and celiac from severely collapsed TL; R renal from FL | TL restored at visceral segment; R renal improved inflow | Full visceral patency; no endoleak |
| Procedure-related | — | No complications | No complications |
| Author. | Year | Publication Type | Management Strategy | Outcome/Key Findings |
|---|---|---|---|---|
| Zhang L. [20] | 2021 | Case report | TEVAR | Restoration of TL flow; favorable remodeling and clinical improvement |
| Choo S.J. [21] | 2011 | Clinical series | TEVAR for complicated TBAD with slit-like true lumen | Successful sealing of entry tear; improved TL perfusion; malperfusion resolution |
| Panesar H. [22] | 2025 | Case report | Endovascular reintervention (fenestration/distal stent extension) for distal TL collapse post-TEVAR | Resolution of malperfusion; re-expansion of distal TL |
| Massmann A. [23] | 2024 | Case report | Septal fenestration and TEVAR revision | Restored TL perfusion; normalization of visceral perfusion |
| Kim H. [24] | 2020 | Case report | Endovascular fenestration | Improvement of monoplegia; restored spinal cord perfusion |
| Le Huu A. [25] | 2021 | Clinical study | TEVAR ± distal bare-metal stents | Positive remodeling; improved TL diameter; controlled malperfusion |
| Singh S. [26] | 2021 | Expert analysis | TEVAR ± scaffolding stents | TEVAR advocated in all TBAD; scaffold stenting effective |
Disclaimer/Publisher’s Note: The statements, opinions and data contained in all publications are solely those of the individual author(s) and contributor(s) and not of MDPI and/or the editor(s). MDPI and/or the editor(s) disclaim responsibility for any injury to people or property resulting from any ideas, methods, instructions or products referred to in the content. |
© 2025 by the authors. Licensee MDPI, Basel, Switzerland. This article is an open access article distributed under the terms and conditions of the Creative Commons Attribution (CC BY) license (https://creativecommons.org/licenses/by/4.0/).
Share and Cite
Bogdan, A.; Robu, M.; Nechifor, E.; Badea, A.; Safta, M.S.; Zaman, A.; Guță, A.; Gaşpar, B.; Gorecki, G.; Moldovan, H. Reverse-Wire TEVAR for Subacute Type B Aortic Dissection with Severe True-Lumen Collapse: A Case Report. Life 2025, 15, 1879. https://doi.org/10.3390/life15121879
Bogdan A, Robu M, Nechifor E, Badea A, Safta MS, Zaman A, Guță A, Gaşpar B, Gorecki G, Moldovan H. Reverse-Wire TEVAR for Subacute Type B Aortic Dissection with Severe True-Lumen Collapse: A Case Report. Life. 2025; 15(12):1879. https://doi.org/10.3390/life15121879
Chicago/Turabian StyleBogdan, Andrada, Mircea Robu, Elena Nechifor, Aida Badea, Maria Sabina Safta, Alexandru Zaman, Andrada Guță, Bogdan Gaşpar, Gabriel Gorecki, and Horațiu Moldovan. 2025. "Reverse-Wire TEVAR for Subacute Type B Aortic Dissection with Severe True-Lumen Collapse: A Case Report" Life 15, no. 12: 1879. https://doi.org/10.3390/life15121879
APA StyleBogdan, A., Robu, M., Nechifor, E., Badea, A., Safta, M. S., Zaman, A., Guță, A., Gaşpar, B., Gorecki, G., & Moldovan, H. (2025). Reverse-Wire TEVAR for Subacute Type B Aortic Dissection with Severe True-Lumen Collapse: A Case Report. Life, 15(12), 1879. https://doi.org/10.3390/life15121879

