Intracerebral Hemorrhage in Aging: Pathophysiology, Clinical Challenges, and Future Directions
Abstract
1. Introduction
2. Pathophysiological Mechanisms Linking Aging to CMBs and ICH
2.1. Endothelial Dysfunction and Blood–Brain Barrier (BBB) Breakdown
2.2. Vascular Senescence and Extracellular Matrix (ECM) Remodeling
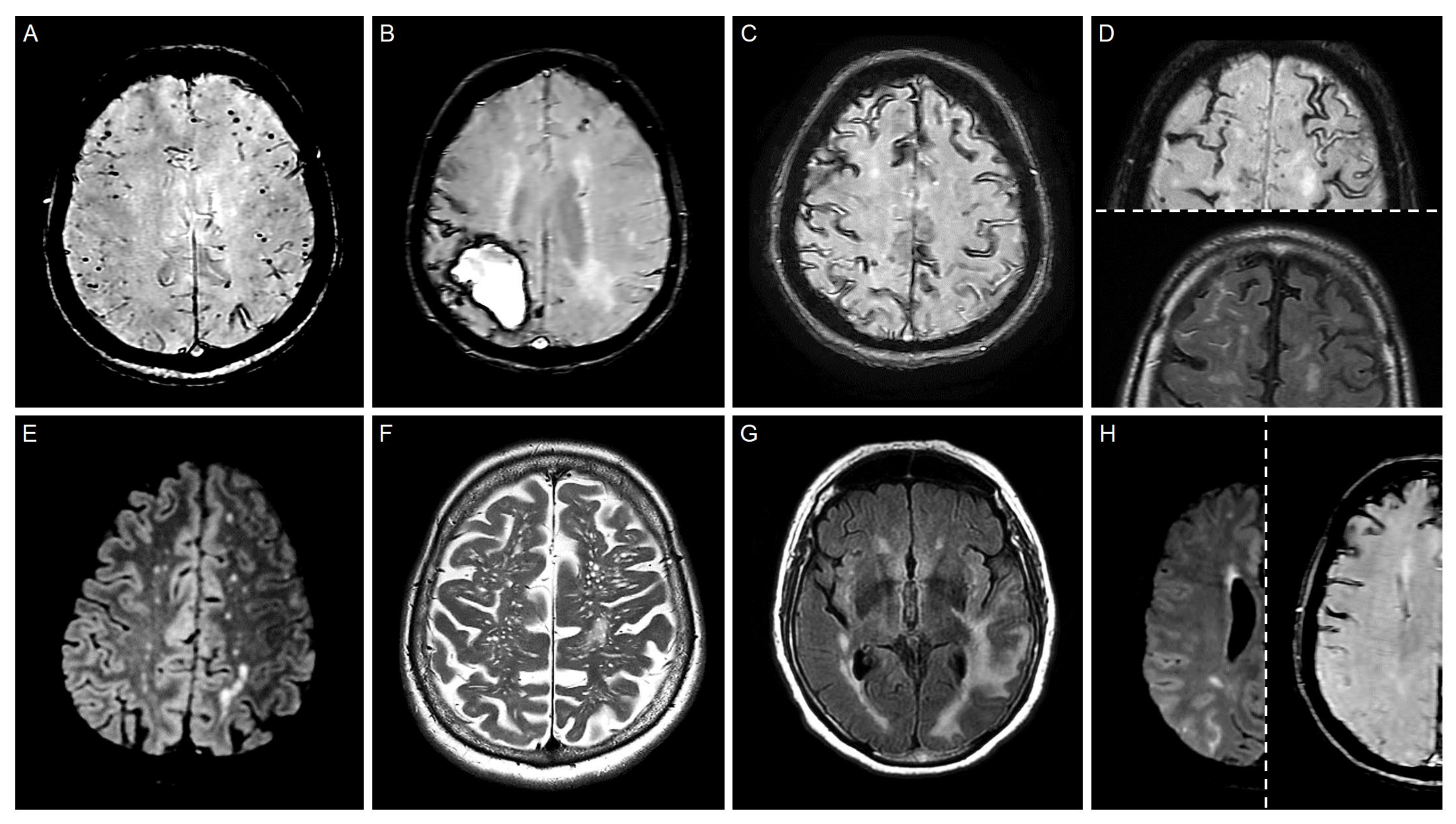
2.3. CSVD: A Common Pathological Substrate
2.4. Impaired Cerebral Autoregulation and Hemodynamic Stress
2.4.1. Myogenic Dysfunction: Loss of Pressure-Induced Vasoconstriction
2.4.2. Impaired Adaptation to Chronic Hypertension
2.4.3. Functional Consequences: CMBs and ICH as Spectrum Manifestations
2.4.4. Interplay with Small Vessel Disease and Neurovascular Uncoupling
2.5. Chronic Sterile Inflammation—Inflammaging
2.6. Systemic Endocrine Dysregulation: Role of IGF-1 Deficiency
3. Clinical Features and Challenges in Older Adults
3.1. Atypical Presentations in Older Adults
3.2. Hemorrhage Location and Aging Patterns
3.3. Diagnostic Pitfalls
3.4. Prognosis in Aging Populations
3.5. Predictors of Outcome
4. Management Considerations
4.1. Acute Phase Care
4.2. Tailored Strategies for Older Adults
4.3. Secondary Prevention
4.4. Emerging Therapeutic Directions
4.5. Ethical and Palliative Care Aspects
5. Conclusions
Author Contributions
Funding
Institutional Review Board Statement
Informed Consent Statement
Data Availability Statement
Acknowledgments
Conflicts of Interest
References
- Watson, N.; Bonsack, F.; Sukumari-Ramesh, S. Intracerebral Hemorrhage: The Effects of Aging on Brain Injury. Front. Aging Neurosci. 2022, 14, 859067. [Google Scholar] [CrossRef]
- Hostettler, I.C.; Seiffge, D.J.; Werring, D.J. Intracerebral hemorrhage: An update on diagnosis and treatment. Expert. Rev. Neurother. 2019, 19, 679–694. [Google Scholar] [CrossRef]
- Malhotra, K.; Zompola, C.; Theodorou, A.; Katsanos, A.H.; Shoamanesh, A.; Gupta, H.; Beshara, S.; Goyal, N.; Chang, J.; Tayal, A.H.; et al. Prevalence, Characteristics, and Outcomes of Undetermined Intracerebral Hemorrhage: A Systematic Review and Meta-Analysis. Stroke 2021, 52, 3602–3612. [Google Scholar] [CrossRef]
- Rajashekar, D.; Liang, J.W. Intracerebral Hemorrhage. In StatPearls; StatPearls Publishing LLC.: Treasure Island, FL, USA, 2025. [Google Scholar]
- Stein, M.; Misselwitz, B.; Hamann, G.F.; Scharbrodt, W.; Schummer, D.I.; Oertel, M.F. Intracerebral hemorrhage in the very old: Future demographic trends of an aging population. Stroke 2012, 43, 1126–1128. [Google Scholar] [CrossRef]
- Wang, Z.W.; Wan, M.P.; Tai, J.H.; Wang, Y.; Yin, M.Y. Global regional and national burden of intracerebral hemorrhage between 1990 and 2021. Sci. Rep. 2025, 15, 3624. [Google Scholar] [CrossRef]
- Clancy, U.; Kancheva, A.K.; Valdes Hernandez, M.D.C.; Jochems, A.C.C.; Munoz Maniega, S.; Quinn, T.J.; Wardlaw, J.M. Imaging Biomarkers of VCI: A Focused Update. Stroke 2024, 55, 791–800. [Google Scholar] [CrossRef] [PubMed]
- Arndt, P.; Chahem, C.; Luchtmann, M.; Kuschel, J.N.; Behme, D.; Pfister, M.; Neumann, J.; Gortler, M.; Dorner, M.; Pawlitzki, M.; et al. Risk factors for intracerebral hemorrhage in small-vessel disease and non-small-vessel disease etiologies-an observational proof-of-concept study. Front. Neurol. 2024, 15, 1322442. [Google Scholar] [CrossRef] [PubMed]
- Zhu, Y.; Liu, L.; Zhong, L.; Cheng, Y.; Zhang, S.; Wu, B.; Wang, D.; Xu, M. The association between hypertensive angiopathy and cerebral amyloid angiopathy in primary intracerebral hemorrhage. Front. Neurol. 2023, 14, 1257896. [Google Scholar] [CrossRef] [PubMed]
- Chen, S.J.; Tsai, H.H.; Lo, Y.L.; Chen, Y.F.; Tang, S.C.; Jeng, J.S.; Tsai, L.K. Interaction between cerebral small vessel disease, blood pressure, and remote ischemic lesions in acute spontaneous intracerebral hemorrhage. Eur. Stroke J. 2023, 8, 828–835. [Google Scholar] [CrossRef]
- Boulouis, G.; Charidimou, A.; Auriel, E.; Haley, K.E.; van Etten, E.S.; Fotiadis, P.; Reijmer, Y.; Ayres, A.; Schwab, K.M.; Martinez-Ramirez, S.; et al. Intracranial atherosclerosis and cerebral small vessel disease in intracerebral hemorrhage patients. J. Neurol. Sci. 2016, 369, 324–329. [Google Scholar] [CrossRef]
- Gao, Y.; Zong, C.; Liu, H.; Zhang, K.; Yang, H.; Wang, Y.; Li, Y.; Song, B.; Xu, Y. Clinical features and associated factors of coexisting intracerebral hemorrhage in patients with cerebral small vessel disease: A cross-sectional study. Sci. Rep. 2024, 14, 5596. [Google Scholar] [CrossRef]
- Ungvari, Z.; Tarantini, S.; Kirkpatrick, A.C.; Csiszar, A.; Prodan, C.I. Cerebral microhemorrhages: Mechanisms, consequences, and prevention. Am. J. Physiol. Heart Circ. Physiol. 2017, 312, H1128–H1143. [Google Scholar] [CrossRef]
- Caunca, M.R.; Del Brutto, V.; Gardener, H.; Shah, N.; Dequatre-Ponchelle, N.; Cheung, Y.K.; Elkind, M.S.; Brown, T.R.; Cordonnier, C.; Sacco, R.L.; et al. Cerebral Microbleeds, Vascular Risk Factors, and Magnetic Resonance Imaging Markers: The Northern Manhattan Study. J. Am. Heart Assoc. 2016, 5, e003477. [Google Scholar] [CrossRef]
- Markus, H.S.; de Leeuw, F.E. Cerebral small vessel disease: Recent advances and future directions. Int. J. Stroke 2023, 18, 4–14. [Google Scholar] [CrossRef] [PubMed]
- Graff-Radford, J.; Simino, J.; Kantarci, K.; Mosley, T.H., Jr.; Griswold, M.E.; Windham, B.G.; Sharrett, A.R.; Albert, M.S.; Gottesman, R.F.; Jack, C.R., Jr.; et al. Neuroimaging Correlates of Cerebral Microbleeds: The ARIC Study (Atherosclerosis Risk in Communities). Stroke 2017, 48, 2964–2972. [Google Scholar] [CrossRef] [PubMed]
- Greenberg, S.M.; Vernooij, M.W.; Cordonnier, C.; Viswanathan, A.; Al-Shahi Salman, R.; Warach, S.; Launer, L.J.; Van Buchem, M.A.; Breteler, M.M. Cerebral microbleeds: A guide to detection and interpretation. Lancet Neurol. 2009, 8, 165–174. [Google Scholar] [CrossRef] [PubMed]
- Lee, S.H.; Bae, H.J.; Kwon, S.J.; Kim, H.; Kim, Y.H.; Yoon, B.W.; Roh, J.K. Cerebral microbleeds are regionally associated with intracerebral hemorrhage. Neurology 2004, 62, 72–76. [Google Scholar] [CrossRef]
- Shams, S.; Martola, J.; Granberg, T.; Li, X.; Shams, M.; Fereshtehnejad, S.M.; Cavallin, L.; Aspelin, P.; Kristoffersen-Wiberg, M.; Wahlund, L.O. Cerebral microbleeds: Different prevalence, topography, and risk factors depending on dementia diagnosis-the Karolinska Imaging Dementia Study. AJNR Am. J. Neuroradiol. 2015, 36, 661–666. [Google Scholar] [CrossRef]
- Benedictus, M.R.; Prins, N.D.; Goos, J.D.; Scheltens, P.; Barkhof, F.; van der Flier, W.M. Microbleeds, Mortality, and Stroke in Alzheimer Disease: The MISTRAL Study. JAMA Neurol. 2015, 72, 539–545. [Google Scholar] [CrossRef]
- Akoudad, S.; Portegies, M.L.; Koudstaal, P.J.; Hofman, A.; van der Lugt, A.; Ikram, M.A.; Vernooij, M.W. Cerebral Microbleeds Are Associated With an Increased Risk of Stroke: The Rotterdam Study. Circulation 2015, 132, 509–516. [Google Scholar] [CrossRef]
- Ghelmez, D.; Sorin Tuta, S.; Popa, C. Cerebral microbleeds (CMBs)—Relevance for mechanisms of cerebral hemorrhage--analysis of 24 MRI evaluated patients. J. Med. Life 2013, 6, 437–439. [Google Scholar]
- Wardlaw, J.M.; Smith, C.; Dichgans, M. Small vessel disease: Mechanisms and clinical implications. Lancet Neurol. 2019, 18, 684–696. [Google Scholar] [CrossRef]
- Incontri, D.; Marchina, S.; Andreev, A.; Wilson, M.; Wang, J.Y.; Lin, D.; Heistand, E.C.; Carvalho, F.; Selim, M.; Lioutas, V.A. Etiology of Primary Cerebellar Intracerebral Hemorrhage Based on Topographic Localization. Stroke 2023, 54, 3074–3080. [Google Scholar] [CrossRef] [PubMed]
- Okine, D.N.; Knopman, D.S.; Mosley, T.H.; Wong, D.F.; Johansen, M.C.; Walker, K.A.; Jack, C.R., Jr.; Kantarci, K.; Pike, J.R.; Graff-Radford, J.; et al. Cerebral Microbleed Patterns and Cortical Amyloid-beta: The ARIC-PET Study. Stroke 2023, 54, 2613–2620. [Google Scholar] [CrossRef] [PubMed]
- Shoamanesh, A.; Kwok, C.S.; Benavente, O. Cerebral microbleeds: Histopathological correlation of neuroimaging. Cerebrovasc. Dis. 2011, 32, 528–534. [Google Scholar] [CrossRef] [PubMed]
- Iadecola, C. The pathobiology of vascular dementia. Neuron 2013, 80, 844–866. [Google Scholar] [CrossRef]
- Wardlaw, J.M.; Smith, E.E.; Biessels, G.J.; Cordonnier, C.; Fazekas, F.; Frayne, R.; Lindley, R.I.; O’Brien, J.T.; Barkhof, F.; Benavente, O.R.; et al. Neuroimaging standards for research into small vessel disease and its contribution to ageing and neurodegeneration. Lancet Neurol. 2013, 12, 822–838. [Google Scholar] [CrossRef]
- Ungvari, A.; Nyul-Toth, A.; Patai, R.; Csik, B.; Gulej, R.; Nagy, D.; Shanmugarama, S.; Benyo, Z.; Kiss, T.; Ungvari, Z.; et al. Cerebromicrovascular senescence in vascular cognitive impairment: Does accelerated microvascular aging accompany atherosclerosis? Geroscience 2025, 47, 5511–5524. [Google Scholar] [CrossRef]
- Patai, R.; Patel, K.; Csik, B.; Gulej, R.; Nagaraja, R.Y.; Nagy, D.; Chandragiri, S.S.; Shanmugarama, S.; Kordestan, K.V.; Nagykaldi, M.; et al. Aging, mitochondrial dysfunction, and cerebral microhemorrhages: A preclinical evaluation of SS-31 (elamipretide) and development of a high-throughput machine learning-driven imaging pipeline for cerebromicrovascular protection therapeutic screening. Geroscience 2025, 47, 4871–4887. [Google Scholar] [CrossRef]
- Kallai, A.; Ungvari, A.; Csaban, D.; Orfi, Z.; Lehoczki, A.; Harasztdombi, J.; Yabluchanskiy, A.; Benyo, Z.; Szappanos, A.; Tarantini, S.; et al. Clonal hematopoiesis of indeterminate potential (CHIP) in cerebromicrovascular aging: Implications for vascular contributions to cognitive impairment and dementia (VCID). Geroscience 2025, 47, 2739–2775. [Google Scholar] [CrossRef]
- Stankovics, L.; Ungvari, A.; Fekete, M.; Nyul-Toth, A.; Mukli, P.; Patai, R.; Csik, B.; Gulej, R.; Conley, S.; Csiszar, A.; et al. The vasoprotective role of IGF-1 signaling in the cerebral microcirculation: Prevention of cerebral microhemorrhages in aging. Geroscience 2024, 47, 445–455. [Google Scholar] [CrossRef] [PubMed]
- Miller, L.R.; Bickel, M.A.; Vance, M.L.; Vaden, H.; Nagykaldi, D.; Nyul-Toth, A.; Bullen, E.C.; Gautam, T.; Tarantini, S.; Yabluchanskiy, A.; et al. Vascular smooth muscle cell-specific Igf1r deficiency exacerbates the development of hypertension-induced cerebral microhemorrhages and gait defects. Geroscience 2024, 46, 3481–3501. [Google Scholar] [CrossRef] [PubMed]
- Csiszar, A.; Ungvari, A.; Patai, R.; Gulej, R.; Yabluchanskiy, A.; Benyo, Z.; Kovacs, I.; Sotonyi, P.; Kirkpartrick, A.C.; Prodan, C.I.; et al. Atherosclerotic burden and cerebral small vessel disease: Exploring the link through microvascular aging and cerebral microhemorrhages. Geroscience 2024, 46, 5103–5132. [Google Scholar] [CrossRef] [PubMed]
- Faakye, J.; Nyul-Toth, A.; Muranyi, M.; Gulej, R.; Csik, B.; Shanmugarama, S.; Tarantini, S.; Negri, S.; Prodan, C.; Mukli, P.; et al. Preventing spontaneous cerebral microhemorrhages in aging mice: A novel approach targeting cellular senescence with ABT263/navitoclax. Geroscience 2023, 46, 21–37. [Google Scholar] [CrossRef]
- Nyul-Toth, A.; Fulop, G.A.; Tarantini, S.; Kiss, T.; Ahire, C.; Faakye, J.A.; Ungvari, A.; Toth, P.; Toth, A.; Csiszar, A.; et al. Cerebral venous congestion exacerbates cerebral microhemorrhages in mice. Geroscience 2022, 44, 805–816. [Google Scholar] [CrossRef]
- Nyul-Toth, A.; Tarantini, S.; Kiss, T.; Toth, P.; Galvan, V.; Tarantini, A.; Yabluchanskiy, A.; Csiszar, A.; Ungvari, Z. Increases in hypertension-induced cerebral microhemorrhages exacerbate gait dysfunction in a mouse model of Alzheimer’s disease. Geroscience 2020, 42, 1685–1698. [Google Scholar] [CrossRef]
- Tarantini, S.; Valcarcel-Ares, N.M.; Yabluchanskiy, A.; Springo, Z.; Fulop, G.A.; Ashpole, N.; Gautam, T.; Giles, C.B.; Wren, J.D.; Sonntag, W.E.; et al. Insulin-like growth factor 1 deficiency exacerbates hypertension-induced cerebral microhemorrhages in mice, mimicking the aging phenotype. Aging Cell 2017, 16, 469–479. [Google Scholar] [CrossRef]
- Toth, P.; Tarantini, S.; Springo, Z.; Tucsek, Z.; Gautam, T.; Giles, C.B.; Wren, J.D.; Koller, A.; Sonntag, W.E.; Csiszar, A.; et al. Aging exacerbates hypertension-induced cerebral microhemorrhages in mice: Role of resveratrol treatment in vasoprotection. Aging Cell 2015, 14, 400–408. [Google Scholar] [CrossRef]
- Wardlaw, J.M.; Smith, C.; Dichgans, M. Mechanisms of sporadic cerebral small vessel disease: Insights from neuroimaging. Lancet Neurol. 2013, 12, 483–497. [Google Scholar] [CrossRef]
- Iadecola, C.; Duering, M.; Hachinski, V.; Joutel, A.; Pendlebury, S.T.; Schneider, J.A.; Dichgans, M. Vascular Cognitive Impairment and Dementia: JACC Scientific Expert Panel. J. Am. Coll. Cardiol. 2019, 73, 3326–3344. [Google Scholar] [CrossRef]
- Tarantini, S.; Balasubramanian, P.; Delfavero, J.; Csipo, T.; Yabluchanskiy, A.; Kiss, T.; Nyul-Toth, A.; Mukli, P.; Toth, P.; Ahire, C.; et al. Treatment with the BCL-2/BCL-xL inhibitor senolytic drug ABT263/Navitoclax improves functional hyperemia in aged mice. Geroscience 2021, 43, 2427–2440. [Google Scholar] [CrossRef]
- Gulej, R.; Nyul-Toth, A.; Csik, B.; Petersen, B.; Faakye, J.; Negri, S.; Chandragiri, S.S.; Mukli, P.; Yabluchanskiy, A.; Conley, S.; et al. Rejuvenation of cerebromicrovascular function in aged mice through heterochronic parabiosis: Insights into neurovascular coupling and the impact of young blood factors. Geroscience 2024, 46, 327–347. [Google Scholar] [CrossRef] [PubMed]
- Gulej, R.; Nyul-Toth, A.; Csik, B.; Patai, R.; Petersen, B.; Negri, S.; Chandragiri, S.S.; Shanmugarama, S.; Mukli, P.; Yabluchanskiy, A.; et al. Young blood-mediated cerebromicrovascular rejuvenation through heterochronic parabiosis: Enhancing blood-brain barrier integrity and capillarization in the aged mouse brain. Geroscience 2024, 46, 4415–4442. [Google Scholar] [CrossRef] [PubMed]
- Kiss, T.; Nyul-Toth, A.; Gulej, R.; Tarantini, S.; Csipo, T.; Mukli, P.; Ungvari, A.; Balasubramanian, P.; Yabluchanskiy, A.; Benyo, Z.; et al. Old blood from heterochronic parabionts accelerates vascular aging in young mice: Transcriptomic signature of pathologic smooth muscle remodeling. Geroscience 2022, 44, 953–981. [Google Scholar] [CrossRef] [PubMed]
- Kiss, T.; Tarantini, S.; Csipo, T.; Balasubramanian, P.; Nyul-Toth, A.; Yabluchanskiy, A.; Wren, J.D.; Garman, L.; Huffman, D.M.; Csiszar, A.; et al. Circulating anti-geronic factors from heterochonic parabionts promote vascular rejuvenation in aged mice: Transcriptional footprint of mitochondrial protection, attenuation of oxidative stress, and rescue of endothelial function by young blood. Geroscience 2020, 42, 727–748. [Google Scholar] [CrossRef]
- Pospiech, E.; Bar, A.; Pisarek-Pacek, A.; Karas, A.; Branicki, W.; Chlopicki, S. Epigenetic clock in the aorta and age-related endothelial dysfunction in mice. Geroscience 2024, 46, 3993–4002. [Google Scholar] [CrossRef]
- Waigi, E.W.; Pernomian, L.; Crockett, A.M.; Costa, T.J.; Townsend, P., Jr.; Webb, R.C.; McQuail, J.A.; McCarthy, C.G.; Hollis, F.; Wenceslau, C.F. Vascular dysfunction occurs prior to the onset of amyloid pathology and Abeta plaque deposits colocalize with endothelial cells in the hippocampus of female APPswe/PSEN1dE9 mice. Geroscience 2024, 46, 5517–5536. [Google Scholar] [CrossRef]
- Murugesan, N.; Demarest, T.G.; Madri, J.A.; Pachter, J.S. Brain regional angiogenic potential at the neurovascular unit during normal aging. Neurobiol. Aging 2012, 33, 1004.e1–1004.e16. [Google Scholar] [CrossRef]
- Benderro, G.F.; Lamanna, J.C. Hypoxia-induced angiogenesis is delayed in aging mouse brain. Brain Res. 2011, 1389, 50–60. [Google Scholar] [CrossRef]
- Ionescu-Tucker, A.; Cotman, C.W. Emerging roles of oxidative stress in brain aging and Alzheimer’s disease. Neurobiol. Aging 2021, 107, 86–95. [Google Scholar] [CrossRef]
- Shao, A.; Lin, D.; Wang, L.; Tu, S.; Lenahan, C.; Zhang, J. Oxidative Stress at the Crossroads of Aging, Stroke and Depression. Aging Dis. 2020, 11, 1537–1566. [Google Scholar] [CrossRef] [PubMed]
- Sivandzade, F.; Prasad, S.; Bhalerao, A.; Cucullo, L. NRF2 and NF-B interplay in cerebrovascular and neurodegenerative disorders: Molecular mechanisms and possible therapeutic approaches. Redox Biol. 2019, 21, 101059. [Google Scholar] [CrossRef] [PubMed]
- Forstermann, U.; Sessa, W.C. Nitric oxide synthases: Regulation and function. Eur. Heart J. 2012, 33, 829–837. [Google Scholar] [CrossRef] [PubMed]
- Donato, A.J.; Morgan, R.G.; Walker, A.E.; Lesniewski, L.A. Cellular and molecular biology of aging endothelial cells. J. Mol. Cell Cardiol. 2015, 89, 122–135. [Google Scholar] [CrossRef]
- Cummins, M.J.; Cresswell, E.T.; Bevege, R.J.; Smith, D.W. Aging disrupts blood-brain and blood-spinal cord barrier homeostasis, but does not increase paracellular permeability. Geroscience 2024, 47, 263–285. [Google Scholar] [CrossRef]
- Ting, K.K.; Coleman, P.; Kim, H.J.; Zhao, Y.; Mulangala, J.; Cheng, N.C.; Li, W.; Gunatilake, D.; Johnstone, D.M.; Loo, L.; et al. Vascular senescence and leak are features of the early breakdown of the blood-brain barrier in Alzheimer’s disease models. Geroscience 2023, 45, 3307–3331. [Google Scholar] [CrossRef]
- Zachariou, V.; Pappas, C.; Bauer, C.E.; Shao, X.; Liu, P.; Lu, H.; Wang, D.J.J.; Gold, B.T. Regional differences in the link between water exchange rate across the blood-brain barrier and cognitive performance in normal aging. Geroscience 2024, 46, 265–282. [Google Scholar] [CrossRef]
- van Dinther, M.; Voorter, P.H.M.; Zhang, E.; van Kuijk, S.M.J.; Jansen, J.F.A.; van Oostenbrugge, R.J.; Backes, W.H.; Staals, J. The neurovascular unit and its correlation with cognitive performance in patients with cerebral small vessel disease: A canonical correlation analysis approach. Geroscience 2024, 46, 5061–5073. [Google Scholar] [CrossRef]
- Nyul-Toth, A.; Patai, R.; Csiszar, A.; Ungvari, A.; Gulej, R.; Mukli, P.; Yabluchanskiy, A.; Benyo, Z.; Sotonyi, P.; Prodan, C.I.; et al. Linking peripheral atherosclerosis to blood-brain barrier disruption: Elucidating its role as a manifestation of cerebral small vessel disease in vascular cognitive impairment. Geroscience 2024, 46, 6511–6536. [Google Scholar] [CrossRef]
- Montagne, A.; Barnes, S.R.; Nation, D.A.; Kisler, K.; Toga, A.W.; Zlokovic, B.V. Imaging subtle leaks in the blood-brain barrier in the aging human brain: Potential pitfalls, challenges, and possible solutions. Geroscience 2022, 44, 1339–1351. [Google Scholar] [CrossRef]
- Kerkhofs, D.; Wong, S.M.; Zhang, E.; Uiterwijk, R.; Hoff, E.I.; Jansen, J.F.A.; Staals, J.; Backes, W.H.; van Oostenbrugge, R.J. Blood-brain barrier leakage at baseline and cognitive decline in cerebral small vessel disease: A 2-year follow-up study. Geroscience 2021, 43, 1643–1652. [Google Scholar] [CrossRef]
- Verheggen, I.C.M.; de Jong, J.J.A.; van Boxtel, M.P.J.; Postma, A.A.; Jansen, J.F.A.; Verhey, F.R.J.; Backes, W.H. Imaging the role of blood-brain barrier disruption in normal cognitive ageing. Geroscience 2020, 42, 1751–1764. [Google Scholar] [CrossRef]
- Verheggen, I.C.M.; de Jong, J.J.A.; van Boxtel, M.P.J.; Gronenschild, E.; Palm, W.M.; Postma, A.A.; Jansen, J.F.A.; Verhey, F.R.J.; Backes, W.H. Increase in blood-brain barrier leakage in healthy, older adults. Geroscience 2020, 42, 1183–1193. [Google Scholar] [CrossRef] [PubMed]
- Sweeney, M.D.; Zhao, Z.; Montagne, A.; Nelson, A.R.; Zlokovic, B.V. Blood-Brain Barrier: From Physiology to Disease and Back. Physiol. Rev. 2019, 99, 21–78. [Google Scholar] [CrossRef] [PubMed]
- Sweeney, M.D.; Kisler, K.; Montagne, A.; Toga, A.W.; Zlokovic, B.V. The role of brain vasculature in neurodegenerative disorders. Nat. Neurosci. 2018, 21, 1318–1331. [Google Scholar] [CrossRef] [PubMed]
- Real, M.G.C.; Falcione, S.R.; Boghozian, R.; Clarke, M.; Todoran, R.; St Pierre, A.; Zhang, Y.; Joy, T.; Jickling, G.C. Endothelial Cell Senescence Effect on the Blood-Brain Barrier in Stroke and Cognitive Impairment. Neurology 2024, 103, e210063. [Google Scholar] [CrossRef]
- Kumar, M.; Yan, P.; Kuchel, G.A.; Xu, M. Cellular Senescence as a Targetable Risk Factor for Cardiovascular Diseases: Therapeutic Implications: JACC Family Series. JACC Basic Transl. Sci. 2024, 9, 522–534. [Google Scholar] [CrossRef]
- Casanova, R.; Walker, K.A.; Justice, J.N.; Anderson, A.; Duggan, M.R.; Cordon, J.; Barnard, R.T.; Lu, L.; Hsu, F.C.; Sedaghat, S.; et al. Associations of plasma proteomics and age-related outcomes with brain age in a diverse cohort. Geroscience 2024, 46, 3861–3873. [Google Scholar] [CrossRef]
- Ruggiero, A.D.; Vemuri, R.; Blawas, M.; Long, M.; DeStephanis, D.; Williams, A.G.; Chen, H.; Justice, J.N.; Macauley, S.L.; Day, S.M.; et al. Long-term dasatinib plus quercetin effects on aging outcomes and inflammation in nonhuman primates: Implications for senolytic clinical trial design. Geroscience 2023, 45, 2785–2803. [Google Scholar] [CrossRef]
- Fielding, R.A.; Atkinson, E.J.; Aversa, Z.; White, T.A.; Heeren, A.A.; Achenbach, S.J.; Mielke, M.M.; Cummings, S.R.; Pahor, M.; Leeuwenburgh, C.; et al. Associations between biomarkers of cellular senescence and physical function in humans: Observations from the lifestyle interventions for elders (LIFE) study. Geroscience 2022, 44, 2757–2770. [Google Scholar] [CrossRef]
- Fang, Y.; Peck, M.R.; Quinn, K.; Chapman, J.E.; Medina, D.; McFadden, S.A.; Bartke, A.; Hascup, E.R.; Hascup, K.N. Senolytic intervention improves cognition, metabolism, and adiposity in female APP(NL)(-F/NL-F) mice. Geroscience 2024, 47, 1123–1138. [Google Scholar] [CrossRef]
- Cummings, S.R.; Lui, L.Y.; Zaira, A.; Mau, T.; Fielding, R.A.; Atkinson, E.J.; Patel, S.; LeBrasseur, N. Biomarkers of cellular senescence and major health outcomes in older adults. Geroscience 2024, 47, 3407–3415. [Google Scholar] [CrossRef]
- Boone, I.; Tuerlings, M.; Coutinho de Almeida, R.; Lehmann, J.; Ramos, Y.; Nelissen, R.; Slagboom, E.; de Keizer, P.; Meulenbelt, I. Identified senescence endotypes in aged cartilage are reflected in the blood metabolome. Geroscience 2024, 46, 2359–2369. [Google Scholar] [CrossRef] [PubMed]
- Teuliere, J.; Bernard, C.; Corel, E.; Lapointe, F.J.; Martens, J.; Lopez, P.; Bapteste, E. Network analyses unveil ageing-associated pathways evolutionarily conserved from fungi to animals. Geroscience 2023, 45, 1059–1080. [Google Scholar] [CrossRef] [PubMed]
- Marcozzi, S.; Bigossi, G.; Giuliani, M.E.; Giacconi, R.; Piacenza, F.; Cardelli, M.; Brunetti, D.; Segala, A.; Valerio, A.; Nisoli, E.; et al. Cellular senescence and frailty: A comprehensive insight into the causal links. Geroscience 2023, 45, 3267–3305. [Google Scholar] [CrossRef] [PubMed]
- Gulej, R.; Nyul-Toth, A.; Ahire, C.; DelFavero, J.; Balasubramanian, P.; Kiss, T.; Tarantini, S.; Benyo, Z.; Pacher, P.; Csik, B.; et al. Elimination of senescent cells by treatment with Navitoclax/ABT263 reverses whole brain irradiation-induced blood-brain barrier disruption in the mouse brain. Geroscience 2023, 45, 2983–3002. [Google Scholar] [CrossRef]
- Lambert, M.; Miquel, G.; Villeneuve, L.; Thorin-Trescases, N.; Thorin, E. The senolytic ABT-263 improves cognitive functions in middle-aged male, but not female, atherosclerotic LDLr(-/-);hApoB(100)(+/+) mice. Geroscience 2025, 47, 4577–4600. [Google Scholar] [CrossRef]
- Kieronska-Rudek, A.; Kij, A.; Bar, A.; Kurpinska, A.; Mohaissen, T.; Grosicki, M.; Stojak, M.; Sternak, M.; Buczek, E.; Proniewski, B.; et al. Phylloquinone improves endothelial function, inhibits cellular senescence, and vascular inflammation. Geroscience 2024, 46, 4909–4935. [Google Scholar] [CrossRef]
- Yang, C.; Pang, Y.; Huang, Y.; Ye, F.; Chen, X.; Gao, Y.; Zhang, C.; Yao, L.; Gao, J. Single-cell transcriptomics identifies premature aging features of TERC-deficient mouse brain and bone marrow. Geroscience 2022, 44, 2139–2155. [Google Scholar] [CrossRef]
- Kiss, T.; Nyul-Toth, A.; DelFavero, J.; Balasubramanian, P.; Tarantini, S.; Faakye, J.; Gulej, R.; Ahire, C.; Ungvari, A.; Yabluchanskiy, A.; et al. Spatial transcriptomic analysis reveals inflammatory foci defined by senescent cells in the white matter, hippocampi and cortical grey matter in the aged mouse brain. Geroscience 2022, 44, 661–681. [Google Scholar] [CrossRef]
- Kiss, T.; Nyul-Toth, A.; Balasubramanian, P.; Tarantini, S.; Ahire, C.; DelFavero, J.; Yabluchanskiy, A.; Csipo, T.; Farkas, E.; Wiley, G.; et al. Single-cell RNA sequencing identifies senescent cerebromicrovascular endothelial cells in the aged mouse brain. Geroscience 2020, 42, 429–444. [Google Scholar] [CrossRef]
- Kellogg, C.M.; Pham, K.; Machalinski, A.H.; Porter, H.L.; Blankenship, H.E.; Tooley, K.B.; Stout, M.B.; Rice, H.C.; Sharpe, A.L.; Beckstead, M.J.; et al. Microglial MHC-I induction with aging and Alzheimer’s is conserved in mouse models and humans. Geroscience 2023, 45, 3019–3043. [Google Scholar] [CrossRef]
- Csipo, T.; Lipecz, A.; Ashpole, N.M.; Balasubramanian, P.; Tarantini, S. Astrocyte senescence contributes to cognitive decline. Geroscience 2020, 42, 51–55. [Google Scholar] [CrossRef] [PubMed]
- Alshaebi, F.; Sciortino, A.; Kayed, R. The Role of Glial Cell Senescence in Alzheimer’s Disease. J. Neurochem. 2025, 169, e70051. [Google Scholar] [CrossRef] [PubMed]
- Fang, Y.; Medina, D.; Stockwell, R.; McFadden, S.; Quinn, K.; Peck, M.R.; Bartke, A.; Hascup, K.N.; Hascup, E.R. Sexual dimorphic metabolic and cognitive responses of C57BL/6 mice to Fisetin or Dasatinib and quercetin cocktail oral treatment. Geroscience 2023, 45, 2835–2850. [Google Scholar] [CrossRef] [PubMed]
- Baier, M.P.; Ranjit, R.; Owen, D.B.; Wilson, J.L.; Stiles, M.A.; Masingale, A.M.; Thomas, Z.; Bredegaard, A.; Sherry, D.M.; Logan, S. Cellular Senescence Is a Central Driver of Cognitive Disparities in Aging. Aging Cell 2025, 24, e70041. [Google Scholar] [CrossRef]
- Munoz-Espin, D.; Serrano, M. Cellular senescence: From physiology to pathology. Nat. Rev. Mol. Cell Biol. 2014, 15, 482–496. [Google Scholar] [CrossRef]
- Kollikowski, A.M.; Pham, M.; Marz, A.G.; Feick, J.; Vogt, M.L.; Xiong, Y.; Strinitz, M.; Vollmuth, C.; Essig, F.; Neugebauer, H.; et al. MMP-9 release into collateral blood vessels before endovascular thrombectomy to assess the risk of major intracerebral haemorrhages and poor outcome for acute ischaemic stroke: A proof-of-concept study. EBioMedicine 2024, 103, 105095. [Google Scholar] [CrossRef]
- Ho, W.M.; Chen, C.M.; Lee, Y.S.; Chang, K.H.; Chen, H.W.; Chen, S.T.; Chen, Y.C. Association of MMP-9 Haplotypes and TIMP-1 Polymorphism with Spontaneous Deep Intracerebral Hemorrhage in the Taiwan Population. PLoS ONE 2015, 10, e0125397. [Google Scholar] [CrossRef]
- Patai, R.; Csik, B.; Nyul-Toth, A.; Gulej, R.; Vali Kordestan, K.; Chandragiri, S.S.; Shanmugarama, S.; Tarantini, S.; Mukli, P.; Ungvari, A.; et al. Persisting blood-brain barrier disruption following cisplatin treatment in a mouse model of chemotherapy-associated cognitive impairment. Geroscience 2025, 47, 3835–3847. [Google Scholar] [CrossRef]
- Csik, B.; Vali Kordestan, K.; Gulej, R.; Patai, R.; Nyul-Toth, A.; Shanmugarama, S.; Mukli, P.; Ungvari, A.; Balsara, K.E.; McNall, R.Y.; et al. Cisplatin and methotrexate induce brain microvascular endothelial and microglial senescence in mouse models of chemotherapy-associated cognitive impairment. Geroscience 2025, 47, 3447–3459. [Google Scholar] [CrossRef] [PubMed]
- Patai, R.; Kiss, T.; Gulej, R.; Nyul-Toth, A.; Csik, B.; Chandragiri, S.S.; Shanmugarama, S.; Tarantini, S.; Ungvari, A.; Pacher, P.; et al. Transcriptomic profiling of senescence effects on blood-brain barrier-related gene expression in brain capillary endothelial cells in a mouse model of paclitaxel-induced chemobrain. Geroscience 2025, 47, 3677–3691. [Google Scholar] [CrossRef] [PubMed]
- Xu, M.; Zhu, Y.; Song, X.; Zhong, X.; Yu, X.; Wang, D.; Cheng, Y.; Tao, W.; Wu, B.; Liu, M. Pathological Changes of Small Vessel Disease in Intracerebral Hemorrhage: A Systematic Review and Meta-analysis. Transl. Stroke Res. 2024, 15, 533–544. [Google Scholar] [CrossRef] [PubMed]
- Hainsworth, A.H.; Markus, H.S.; Schneider, J.A. Cerebral Small Vessel Disease, Hypertension, and Vascular Contributions to Cognitive Impairment and Dementia. Hypertension 2024, 81, 75–86. [Google Scholar] [CrossRef]
- Gorelick, P.B.; Sorond, F.A. Advancing our knowledge about cerebral small vessel diseases. Lancet Neurol. 2023, 22, 972–973. [Google Scholar] [CrossRef]
- Ren, B.; Tan, L.; Song, Y.; Li, D.; Xue, B.; Lai, X.; Gao, Y. Cerebral Small Vessel Disease: Neuroimaging Features, Biochemical Markers, Influencing Factors, Pathological Mechanism and Treatment. Front. Neurol. 2022, 13, 843953. [Google Scholar] [CrossRef]
- Hase, Y.; Polvikoski, T.M.; Firbank, M.J.; Craggs, L.J.L.; Hawthorne, E.; Platten, C.; Stevenson, W.; Deramecourt, V.; Ballard, C.; Kenny, R.A.; et al. Small vessel disease pathological changes in neurodegenerative and vascular dementias concomitant with autonomic dysfunction. Brain Pathol. 2020, 30, 191–202. [Google Scholar] [CrossRef]
- Low, A.; Mak, E.; Rowe, J.B.; Markus, H.S.; O’Brien, J.T. Inflammation and cerebral small vessel disease: A systematic review. Ageing Res. Rev. 2019, 53, 100916. [Google Scholar] [CrossRef]
- Craggs, L.J.; Yamamoto, Y.; Deramecourt, V.; Kalaria, R.N. Microvascular pathology and morphometrics of sporadic and hereditary small vessel diseases of the brain. Brain Pathol. 2014, 24, 495–509. [Google Scholar] [CrossRef]
- Gouw, A.A.; Seewann, A.; van der Flier, W.M.; Barkhof, F.; Rozemuller, A.M.; Scheltens, P.; Geurts, J.J. Heterogeneity of small vessel disease: A systematic review of MRI and histopathology correlations. J. Neurol. Neurosurg. Psychiatry 2011, 82, 126–135. [Google Scholar] [CrossRef]
- Koemans, E.A.; Chhatwal, J.P.; van Veluw, S.J.; van Etten, E.S.; van Osch, M.J.P.; van Walderveen, M.A.A.; Sohrabi, H.R.; Kozberg, M.G.; Shirzadi, Z.; Terwindt, G.M.; et al. Progression of cerebral amyloid angiopathy: A pathophysiological framework. Lancet Neurol. 2023, 22, 632–642. [Google Scholar] [CrossRef]
- Jakel, L.; De Kort, A.M.; Klijn, C.J.M.; Schreuder, F.; Verbeek, M.M. Prevalence of cerebral amyloid angiopathy: A systematic review and meta-analysis. Alzheimer’s Dement. 2022, 18, 10–28. [Google Scholar] [CrossRef]
- Viswanathan, A.; Greenberg, S.M. Cerebral amyloid angiopathy in the elderly. Ann. Neurol. 2011, 70, 871–880. [Google Scholar] [CrossRef]
- Fakan, B.; Reisz, Z.; Zadori, D.; Vecsei, L.; Klivenyi, P.; Szalardy, L. Predictors of localization, outcome, and etiology of spontaneous intracerebral hemorrhages: Focus on cerebral amyloid angiopathy. J. Neural Transm. 2020, 127, 963–972. [Google Scholar] [CrossRef] [PubMed]
- Charidimou, A.; Boulouis, G.; Frosch, M.P.; Baron, J.C.; Pasi, M.; Albucher, J.F.; Banerjee, G.; Barbato, C.; Bonneville, F.; Brandner, S.; et al. The Boston criteria version 2.0 for cerebral amyloid angiopathy: A multicentre, retrospective, MRI-neuropathology diagnostic accuracy study. Lancet Neurol. 2022, 21, 714–725. [Google Scholar] [CrossRef] [PubMed]
- Szalardy, L.; Lee, S.; Kim, A.; Kovacs, G.G. Distinct cerebral amyloid angiopathy patterns in adult Down syndrome. J. Neurol. Sci. 2025, 476, 123601. [Google Scholar] [CrossRef] [PubMed]
- Gunda, B.; Böjti, P.; Kozák, L.R. Hyperacute Spontaneous Intracerebral Hemorrhage During Computed Tomography Scanning. JAMA Neurol. 2021, 78, 365–366. [Google Scholar] [CrossRef]
- Gunda, B.; Böjti, P.; Takács, T.; Zhubi, E.; Bereczki, D.; Varga, A.; Kozák, L.R. Spontaneous intracerebral hemorrhage during computed tomography scanning-assessment of hyperacute hematoma growth. Geroscience 2025. online ahead of print. [Google Scholar] [CrossRef]
- Jeong, D.; Jhaveri, M.D.; Prabhakaran, S. Magnetic resonance imaging characteristics at onset of spontaneous intracerebral hemorrhage. Arch. Neurol. 2011, 68, 826–827. [Google Scholar] [CrossRef]
- Liu, J.; Zhu, Y.S.; Hill, C.; Armstrong, K.; Tarumi, T.; Hodics, T.; Hynan, L.S.; Zhang, R. Cerebral autoregulation of blood velocity and volumetric flow during steady-state changes in arterial pressure. Hypertension 2013, 62, 973–979. [Google Scholar] [CrossRef]
- Harder, D.R.; Narayanan, J.; Gebremedhin, D. Pressure-induced myogenic tone and role of 20-HETE in mediating autoregulation of cerebral blood flow. Am. J. Physiol. Heart Circ. Physiol. 2011, 300, H1557–H1565. [Google Scholar] [CrossRef]
- Traon, A.P.; Costes-Salon, M.C.; Galinier, M.; Fourcade, J.; Larrue, V. Dynamics of cerebral blood flow autoregulation in hypertensive patients. J. Neurol. Sci. 2002, 195, 139–144. [Google Scholar] [CrossRef]
- Willie, C.K.; Tzeng, Y.C.; Fisher, J.A.; Ainslie, P.N. Integrative regulation of human brain blood flow. J. Physiol. 2014, 592, 841–859. [Google Scholar] [CrossRef] [PubMed]
- Young, A.P.; Zhu, J.; Bagher, A.M.; Denovan-Wright, E.M.; Howlett, S.E.; Kelly, M.E.M. Endothelin B receptor dysfunction mediates elevated myogenic tone in cerebral arteries from aged male Fischer 344 rats. Geroscience 2021, 43, 1447–1463. [Google Scholar] [CrossRef] [PubMed]
- Adamek, S.; Vyskocil, F. Potassium-selective microelectrode revealed difference in threshold potassium concentration for cortical spreading depression in female and male rat brain. Brain Res. 2011, 1370, 215–219. [Google Scholar] [CrossRef] [PubMed]
- Silverman, A.; Petersen, N.H. Physiology, Cerebral Autoregulation. In StatPearls; StatPearls Publishing LLC.: Treasure Island, FL, USA, 2025. [Google Scholar]
- Tan, C.O.; Hamner, J.W.; Taylor, J.A. The role of myogenic mechanisms in human cerebrovascular regulation. J. Physiol. 2013, 591, 5095–5105. [Google Scholar] [CrossRef]
- Toth, P.; Csiszar, A.; Tucsek, Z.; Sosnowska, D.; Gautam, T.; Koller, A.; Laniado Schwartzman, M.; Sonntag, W.E.; Ungvari, Z.I. Role of 20-HETE, TRP channels & BKCa in dysregulation of pressure-induced Ca2+ signaling and myogenic constriction of cerebral arteries in aged hypertensive mice. Am. J. Physiol. Heart Circ. Physiol. 2013, 305, H1698–H1708. [Google Scholar] [CrossRef]
- Toth, P.; Tucsek, Z.; Sosnowska, D.; Gautam, T.; Mitschelen, M.; Tarantini, S.; Deak, F.; Koller, A.; Sonntag, W.E.; Csiszar, A.; et al. Age-related autoregulatory dysfunction and cerebromicrovascular injury in mice with angiotensin II-induced hypertension. J. Cereb. Blood Flow. Metab. 2013, 33, 1732–1742. [Google Scholar] [CrossRef]
- Toth, P.; Tucsek, Z.; Tarantini, S.; Sosnowska, D.; Gautam, T.; Mitschelen, M.; Koller, A.; Sonntag, W.E.; Csiszar, A.; Ungvari, Z. IGF-1 deficiency impairs cerebral myogenic autoregulation in hypertensive mice. J. Cereb. Blood Flow. Metab. 2014, 34, 1887–1897. [Google Scholar] [CrossRef]
- Springo, Z.; Toth, P.; Tarantini, S.; Ashpole, N.M.; Tucsek, Z.; Sonntag, W.E.; Csiszar, A.; Koller, A.; Ungvari, Z.I. Aging impairs myogenic adaptation to pulsatile pressure in mouse cerebral arteries. J. Cereb. Blood Flow. Metab. 2015, 35, 527–530. [Google Scholar] [CrossRef]
- Roman, R.J.; Van Dokkum, R.P. Commentary on the special issue on the impact of myogenic tone in health and disease. Curr. Vasc. Pharmacol. 2014, 12, 779. [Google Scholar] [CrossRef]
- Pires, P.W.; Dams Ramos, C.M.; Matin, N.; Dorrance, A.M. The effects of hypertension on the cerebral circulation. Am. J. Physiol. Heart Circ. Physiol. 2013, 304, H1598–H1614. [Google Scholar] [CrossRef]
- Toth, P.; Tarantini, S.; Csiszar, A.; Ungvari, Z. Functional vascular contributions to cognitive impairment and dementia: Mechanisms and consequences of cerebral autoregulatory dysfunction, endothelial impairment, and neurovascular uncoupling in aging. Am. J. Physiol. Heart Circ. Physiol. 2017, 312, H1–H20. [Google Scholar] [CrossRef] [PubMed]
- Sadoshima, S.; Yoshida, F.; Ibayashi, S.; Shiokawa, O.; Fujishima, M. Upper limit of cerebral autoregulation during development of hypertension in spontaneously hypertensive rats--effect of sympathetic denervation. Stroke 1985, 16, 477–481. [Google Scholar] [CrossRef] [PubMed]
- Barry, D.I.; Lassen, N.A. Cerebral blood flow autoregulation in hypertension and effects of antihypertensive drugs. J. Hypertens. Suppl. 1984, 2, S519–S526. [Google Scholar] [PubMed]
- Barry, D.I.; Strandgaard, S.; Graham, D.I.; Braendstrup, O.; Svendsen, U.G.; Vorstrup, S.; Hemmingsen, R.; Bolwig, T.G. Cerebral blood flow in rats with renal and spontaneous hypertension: Resetting of the lower limit of autoregulation. J. Cereb. Blood Flow. Metab. 1982, 2, 347–353. [Google Scholar] [CrossRef] [PubMed]
- Humphrey, J.D. Mechanisms of Vascular Remodeling in Hypertension. Am. J. Hypertens. 2021, 34, 432–441. [Google Scholar] [CrossRef]
- Zeng, X.; Yang, Y. Molecular Mechanisms Underlying Vascular Remodeling in Hypertension. Rev. Cardiovasc. Med. 2024, 25, 72. [Google Scholar] [CrossRef]
- Ungvari, Z.; Muranyi, M.; Gulej, R.; Negri, S.; Nyul-Toth, A.; Csik, B.; Patai, R.; Conley, S.; Milan, M.; Bagwell, J.; et al. Longitudinal detection of gait alterations associated with hypertension-induced cerebral microhemorrhages in mice: Predictive role of stride length and stride time asymmetry and increased gait entropy. Geroscience 2024, 46, 4743–4760. [Google Scholar] [CrossRef]
- Toth, P.; Szarka, N.; Farkas, E.; Ezer, E.; Czeiter, E.; Amrein, K.; Ungvari, Z.; Hartings, J.A.; Buki, A.; Koller, A. Traumatic brain injury-induced autoregulatory dysfunction and spreading depression-related neurovascular uncoupling: Pathomechanisms, perspectives, and therapeutic implications. Am. J. Physiol. Heart Circ. Physiol. 2016, 311, H1118–H1131. [Google Scholar] [CrossRef]
- Gatti, L.; Tinelli, F.; Scelzo, E.; Arioli, F.; Di Fede, G.; Obici, L.; Pantoni, L.; Giaccone, G.; Caroppo, P.; Parati, E.A.; et al. Understanding the Pathophysiology of Cerebral Amyloid Angiopathy. Int. J. Mol. Sci. 2020, 21, 3435. [Google Scholar] [CrossRef]
- Martin-Jimenez, P.; Sanchez-Tornero, M.; Llamas-Velasco, S.; Guerrero-Molina, M.P.; Gonzalez-Sanchez, M.; Herrero-San Martin, A.; Blanco-Palmero, V.; Calleja-Castano, P.; Francisco-Gonzalo, J.; Hilario, A.; et al. Cerebral amyloid angiopathy-related inflammation: Clinical features and treatment response in a case series. Neurologia 2023, 38, 550–559. [Google Scholar] [CrossRef]
- Norling, A.M.; Gerstenecker, A.T.; Buford, T.W.; Khan, B.; Oparil, S.; Lazar, R.M. The role of exercise in the reversal of IGF-1 deficiencies in microvascular rarefaction and hypertension. Geroscience 2020, 42, 141–158. [Google Scholar] [CrossRef] [PubMed]
- Sleight, E.; Stringer, M.S.; Clancy, U.; Arteaga, C.; Jaime Garcia, D.; Hewins, W.; Jochems, A.C.C.; Hamilton, O.K.L.; Manning, C.; Morgan, A.G.; et al. Cerebrovascular Reactivity in Patients With Small Vessel Disease: A Cross-Sectional Study. Stroke 2023, 54, 2776–2784. [Google Scholar] [CrossRef] [PubMed]
- Liu, Z.; Ma, H.; Guo, Z.N.; Wang, L.; Qu, Y.; Fan, L.; Liu, X.; Liu, J.; Zhu, Y.; Yang, Y. Impaired dynamic cerebral autoregulation is associated with the severity of neuroimaging features of cerebral small vessel disease. CNS Neurosci. Ther. 2022, 28, 298–306. [Google Scholar] [CrossRef] [PubMed]
- Toth, L.; Czigler, A.; Hegedus, E.; Komaromy, H.; Amrein, K.; Czeiter, E.; Yabluchanskiy, A.; Koller, A.; Orsi, G.; Perlaki, G.; et al. Age-related decline in circulating IGF-1 associates with impaired neurovascular coupling responses in older adults. Geroscience 2022, 44, 2771–2783. [Google Scholar] [CrossRef]
- Venkat, P.; Chopp, M.; Chen, J. New insights into coupling and uncoupling of cerebral blood flow and metabolism in the brain. Croat. Med. J. 2016, 57, 223–228. [Google Scholar] [CrossRef]
- Dani, M.; Dirksen, A.; Taraborrelli, P.; Panagopolous, D.; Torocastro, M.; Sutton, R.; Lim, P.B. Orthostatic hypotension in older people: Considerations, diagnosis and management. Clin. Med. 2021, 21, e275–e282. [Google Scholar] [CrossRef]
- Dupre, N.; Drieu, A.; Joutel, A. Pathophysiology of cerebral small vessel disease: A journey through recent discoveries. J. Clin. Investig. 2024, 134, e172841. [Google Scholar] [CrossRef]
- Andonian, B.J.; Hippensteel, J.A.; Abuabara, K.; Boyle, E.M.; Colbert, J.F.; Devinney, M.J.; Faye, A.S.; Kochar, B.; Lee, J.; Litke, R.; et al. Inflammation and aging-related disease: A transdisciplinary inflammaging framework. Geroscience 2024, 47, 515–542. [Google Scholar] [CrossRef]
- Meier, H.C.S.; Mitchell, C.; Karadimas, T.; Faul, J.D. Systemic inflammation and biological aging in the Health and Retirement Study. Geroscience 2023, 45, 3257–3265. [Google Scholar] [CrossRef]
- Lu, W.H.; Guyonnet, S.; Martinez, L.O.; Lucas, A.; Parini, A.; Vellas, B.; de Souto Barreto, P. Association between aging-related biomarkers and longitudinal trajectories of intrinsic capacity in older adults. Geroscience 2023, 45, 3409–3418. [Google Scholar] [CrossRef] [PubMed]
- Bencivenga, L.; Strumia, M.; Rolland, Y.; Martinez, L.; Cestac, P.; Guyonnet, S.; Andrieu, S.; Parini, A.; Lucas, A.; Vellas, B.; et al. Biomarkers of mitochondrial dysfunction and inflammaging in older adults and blood pressure variability. Geroscience 2023, 45, 797–809. [Google Scholar] [CrossRef] [PubMed]
- Franceschi, C.; Campisi, J. Chronic inflammation (inflammaging) and its potential contribution to age-associated diseases. J. Gerontol. A Biol. Sci. Med. Sci. 2014, 69 (Suppl. 1), S4–S9. [Google Scholar] [CrossRef] [PubMed]
- Santoro, A.; Bientinesi, E.; Monti, D. Immunosenescence and inflammaging in the aging process: Age-related diseases or longevity? Ageing Res. Rev. 2021, 71, 101422. [Google Scholar] [CrossRef]
- Csiszar, A.; Gautam, T.; Sosnowska, D.; Tarantini, S.; Banki, E.; Tucsek, Z.; Toth, P.; Losonczy, G.; Koller, A.; Reglodi, D.; et al. Caloric restriction confers persistent anti-oxidative, pro-angiogenic, and anti-inflammatory effects and promotes anti-aging miRNA expression profile in cerebromicrovascular endothelial cells of aged rats. Am. J. Physiol. Heart Circ. Physiol. 2014, 307, H292–H306. [Google Scholar] [CrossRef]
- Csiszar, A.; Wang, M.; Lakatta, E.G.; Ungvari, Z.I. Inflammation and endothelial dysfunction during aging: Role of NF-κB. J. Appl. Physiol. 2008, 105, 1333–1341. [Google Scholar] [CrossRef]
- Ungvari, Z.I.; Orosz, Z.; Labinskyy, N.; Rivera, A.; Xiangmin, Z.; Smith, K.E.; Csiszar, A. Increased mitochondrial H2O2 production promotes endothelial NF-kB activation in aged rat arteries. Am. J. Physiol. Heart Circ. Physiol. 2007, 293, H37–H47. [Google Scholar] [CrossRef]
- Csik, B.; Nyul-Toth, A.; Gulej, R.; Patai, R.; Kiss, T.; Delfavero, J.; Nagaraja, R.Y.; Balasubramanian, P.; Shanmugarama, S.; Ungvari, A.; et al. Senescent Endothelial Cells in Cerebral Microcirculation Are Key Drivers of Age-Related Blood-Brain Barrier Disruption, Microvascular Rarefaction, and Neurovascular Coupling Impairment in Mice. Aging Cell 2025, 24, e70048. [Google Scholar] [CrossRef]
- Voigt, S.; Koemans, E.A.; Rasing, I.; van Etten, E.S.; Terwindt, G.M.; Baas, F.; Kaushik, K.; van Es, A.; van Buchem, M.A.; van Osch, M.J.P.; et al. Minocycline for sporadic and hereditary cerebral amyloid angiopathy (BATMAN): Study protocol for a placebo-controlled randomized double-blind trial. Trials 2023, 24, 378. [Google Scholar] [CrossRef]
- Koemans, E.A.; van Etten, E.S. Cerebral amyloid angiopathy: One single entity? Curr. Opin. Neurol. 2025, 38, 29–34. [Google Scholar] [CrossRef]
- Szalardy, L.; Fakan, B.; Maszlag-Torok, R.; Ferencz, E.; Reisz, Z.; Radics, B.L.; Csizmadia, S.; Szpisjak, L.; Annus, A.; Zadori, D.; et al. Identifying diagnostic and prognostic factors in cerebral amyloid angiopathy-related inflammation: A systematic analysis of published and seven new cases. Neuropathol. Appl. Neurobiol. 2024, 50, e12946. [Google Scholar] [CrossRef] [PubMed]
- Charidimou, A. Cerebral Amyloid Angiopathy-Related Inflammation Spectrum Disorders: Introduction of a Novel Concept and Diagnostic Criteria. Ann. Neurol. 2025, 97, 470–474. [Google Scholar] [CrossRef] [PubMed]
- Fandler-Hofler, S.; Obergottsberger, L.; Ambler, G.; Eppinger, S.; Wunsch, G.; Kneihsl, M.; Seiffge, D.; Banerjee, G.; Wilson, D.; Nash, P.; et al. Association of the Presence and Pattern of MRI Markers of Cerebral Small Vessel Disease With Recurrent Intracerebral Hemorrhage. Neurology 2023, 101, e794–e804. [Google Scholar] [CrossRef] [PubMed]
- Babarczy, K.; Radics, B.L.; Horvath, O.; Klivenyi, P.; Szalardy, L. Fatal Outcome of Intravenous Thrombolysis With an Unexpected Finding of Amyloid-beta-Related Angiitis-A Case Report Highlighting a Relevant Scenario With Acute Focal Neurological Deficits and Minimal Radiological Presentation. Neuropathology 2025, 45, e70013. [Google Scholar] [CrossRef]
- Reisz, Z.; Troakes, C.; Sztriha, L.K.; Bodi, I. Fatal thrombolysis-related intracerebral haemorrhage associated with amyloid-beta-related angiitis in a middle-aged patient—Case report and literature review. BMC Neurol. 2022, 22, 500. [Google Scholar] [CrossRef]
- Sellimi, A.; Panteleienko, L.; Mallon, D.; Fandler-Hofler, S.; Oliver, R.; Harvey, V.; Zandi, M.S.; Banerjee, G.; Werring, D.J. Inflammation in Cerebral Amyloid Angiopathy-Related Transient Focal Neurological Episodes. Ann. Neurol. 2025, 97, 475–482. [Google Scholar] [CrossRef]
- Sperling, R.A.; Jack, C.R., Jr.; Black, S.E.; Frosch, M.P.; Greenberg, S.M.; Hyman, B.T.; Scheltens, P.; Carrillo, M.C.; Thies, W.; Bednar, M.M.; et al. Amyloid-related imaging abnormalities in amyloid-modifying therapeutic trials: Recommendations from the Alzheimer’s Association Research Roundtable Workgroup. Alzheimers Dement. 2011, 7, 367–385. [Google Scholar] [CrossRef]
- Solopova, E.; Romero-Fernandez, W.; Harmsen, H.; Ventura-Antunes, L.; Wang, E.; Shostak, A.; Maldonado, J.; Donahue, M.J.; Schultz, D.; Coyne, T.M.; et al. Fatal iatrogenic cerebral β-amyloid-related arteritis in a woman treated with lecanemab for Alzheimer’s disease. Nat. Commun. 2023, 14, 8220. [Google Scholar] [CrossRef]
- Reish, N.J.; Jamshidi, P.; Stamm, B.; Flanagan, M.E.; Sugg, E.; Tang, M.; Donohue, K.L.; McCord, M.; Krumpelman, C.; Mesulam, M.M.; et al. Multiple Cerebral Hemorrhages in a Patient Receiving Lecanemab and Treated with t-PA for Stroke. N. Engl. J. Med. 2023, 388, 478–479. [Google Scholar] [CrossRef]
- Piazza, F.; Lucia, D.D.; Guzzi, F.; Pascarella, R.; DeBernardi, E.; Antolini, L.; Basso, G.; Zedde, M. Spontaneous and iatrogenic ARIA: Mechanistic insights from CAA-related inflammation. Alzheimer’s Dement. 2024, 20, e085575. [Google Scholar] [CrossRef]
- Zimmer, J.A.; Ardayfio, P.; Wang, H.; Khanna, R.; Evans, C.D.; Lu, M.; Sparks, J.; Andersen, S.; Lauzon, S.; Nery, E.S.M.; et al. Amyloid-Related Imaging Abnormalities With Donanemab in Early Symptomatic Alzheimer Disease: Secondary Analysis of the TRAILBLAZER-ALZ and ALZ 2 Randomized Clinical Trials. JAMA Neurol. 2025, 82, 461–469. [Google Scholar] [CrossRef] [PubMed]
- Landsberger, T.; Amit, I.; Alon, U. Geroprotective interventions converge on gene expression programs of reduced inflammation and restored fatty acid metabolism. Geroscience 2024, 46, 1627–1639. [Google Scholar] [CrossRef] [PubMed]
- Yousefzadeh, M.J.; Wilkinson, J.E.; Hughes, B.; Gadela, N.; Ladiges, W.C.; Vo, N.; Niedernhofer, L.J.; Huffman, D.M.; Robbins, P.D. Heterochronic parabiosis regulates the extent of cellular senescence in multiple tissues. Geroscience 2020, 42, 951–961. [Google Scholar] [CrossRef] [PubMed]
- Gulej, R.; Patai, R.; Ungvari, A.; Kallai, A.; Tarantini, S.; Yabluchanskiy, A.; Huffman, D.M.; Conboy, M.J.; Conboy, I.M.; Kivimaki, M.; et al. Impacts of systemic milieu on cerebrovascular and brain aging: Insights from heterochronic parabiosis, blood exchange, and plasma transfer experiments. Geroscience 2025. online ahead of print. [Google Scholar] [CrossRef]
- Ximerakis, M.; Holton, K.M.; Giadone, R.M.; Ozek, C.; Saxena, M.; Santiago, S.; Adiconis, X.; Dionne, D.; Nguyen, L.; Shah, K.M.; et al. Heterochronic parabiosis reprograms the mouse brain transcriptome by shifting aging signatures in multiple cell types. Nat. Aging 2023, 3, 327–345. [Google Scholar] [CrossRef]
- Poudel, S.B.; Ruff, R.R.; He, Z.; Dixit, M.; Yildirim, G.; Jayarathne, H.; Manchanayake, D.H.; Basta-Pljakic, J.; Duran-Ortiz, S.; Schaffler, M.B.; et al. The impact of inactivation of the GH/IGF axis during aging on healthspan. Geroscience 2024, 47, 3027–3042. [Google Scholar] [CrossRef]
- Tarantini, S.; Nyul-Toth, A.; Yabluchanskiy, A.; Csipo, T.; Mukli, P.; Balasubramanian, P.; Ungvari, A.; Toth, P.; Benyo, Z.; Sonntag, W.E.; et al. Endothelial deficiency of insulin-like growth factor-1 receptor (IGF1R) impairs neurovascular coupling responses in mice, mimicking aspects of the brain aging phenotype. Geroscience 2021, 43, 2387–2394. [Google Scholar] [CrossRef]
- Tarantini, S.; Balasubramanian, P.; Yabluchanskiy, A.; Ashpole, N.M.; Logan, S.; Kiss, T.; Ungvari, A.; Nyul-Toth, A.; Schwartzman, M.L.; Benyo, Z.; et al. IGF1R signaling regulates astrocyte-mediated neurovascular coupling in mice: Implications for brain aging. Geroscience 2021, 43, 901–911. [Google Scholar] [CrossRef]
- Ungvari, Z.; Csiszar, A. The emerging role of IGF-1 deficiency in cardiovascular aging: Recent advances. J. Gerontol. A Biol. Sci. Med. Sci. 2012, 67, 599–610. [Google Scholar] [CrossRef]
- Gong, Z.; Kennedy, O.; Sun, H.; Wu, Y.; Williams, G.A.; Klein, L.; Cardoso, L.; Matheny, R.W., Jr.; Hubbard, G.B.; Ikeno, Y.; et al. Reductions in serum IGF-1 during aging impair health span. Aging Cell 2014, 13, 408–418. [Google Scholar] [CrossRef]
- Bailey-Downs, L.C.; Mitschelen, M.; Sosnowska, D.; Toth, P.; Pinto, J.T.; Ballabh, P.; Valcarcel-Ares, M.N.; Farley, J.; Koller, A.; Henthorn, J.C.; et al. Liver-specific knockdown of IGF-1 decreases vascular oxidative stress resistance by impairing the Nrf2-dependent antioxidant response: A novel model of vascular aging. J. Gerontol. A Biol. Sci. Med. Sci. 2012, 67, 313–329. [Google Scholar] [CrossRef]
- Ungvari, Z.; Sosnowska, D.; Podlutsky, A.; Koncz, P.; Sonntag, W.E.; Csiszar, A. Free radical production, antioxidant capacity, and oxidative stress response signatures in fibroblasts from Lewis dwarf rats: Effects of life span-extending peripubertal GH treatment. J. Gerontol. A Biol. Sci. Med. Sci. 2011, 66, 501–510. [Google Scholar] [CrossRef]
- Hao, C.N.; Geng, Y.J.; Li, F.; Yang, T.; Su, D.F.; Duan, J.L.; Li, Y. Insulin-like growth factor-1 receptor activation prevents hydrogen peroxide-induced oxidative stress, mitochondrial dysfunction and apoptosis. Apoptosis 2011, 16, 1118–1127. [Google Scholar] [CrossRef] [PubMed]
- Higashi, Y.; Sukhanov, S.; Anwar, A.; Shai, S.Y.; Delafontaine, P. IGF-1, oxidative stress and atheroprotection. Trends Endocrinol. Metab. 2010, 21, 245–254. [Google Scholar] [CrossRef] [PubMed]
- Sukhanov, S.; Higashi, Y.; Shai, S.Y.; Vaughn, C.; Mohler, J.; Li, Y.; Song, Y.H.; Titterington, J.; Delafontaine, P. IGF-1 reduces inflammatory responses, suppresses oxidative stress, and decreases atherosclerosis progression in ApoE-deficient mice. Arterioscler. Thromb. Vasc. Biol. 2007, 27, 2684–2690. [Google Scholar] [CrossRef] [PubMed]
- Obradovic, M.; Zafirovic, S.; Soskic, S.; Stanimirovic, J.; Trpkovic, A.; Jevremovic, D.; Isenovic, E.R. Effects of IGF-1 on the Cardiovascular System. Curr. Pharm. Des. 2019, 25, 3715–3725. [Google Scholar] [CrossRef]
- Higashi, Y.; Gautam, S.; Delafontaine, P.; Sukhanov, S. IGF-1 and cardiovascular disease. Growth Horm. IGF Res. 2019, 45, 6–16. [Google Scholar] [CrossRef]
- Higashi, Y.; Sukhanov, S.; Anwar, A.; Shai, S.Y.; Delafontaine, P. Aging, atherosclerosis, and IGF-1. J. Gerontol. A Biol. Sci. Med. Sci. 2012, 67, 626–639. [Google Scholar] [CrossRef]
- Macvanin, M.; Gluvic, Z.; Radovanovic, J.; Essack, M.; Gao, X.; Isenovic, E.R. New insights on the cardiovascular effects of IGF-1. Front. Endocrinol. 2023, 14, 1142644. [Google Scholar] [CrossRef]
- Gulej, R.; Csik, B.; Faakye, J.; Tarantini, S.; Shanmugarama, S.; Chandragiri, S.S.; Mukli, P.; Conley, S.; Csiszar, A.; Ungvari, Z.; et al. Endothelial deficiency of insulin-like growth factor-1 receptor leads to blood-brain barrier disruption and accelerated endothelial senescence in mice, mimicking aspects of the brain aging phenotype. Microcirculation 2024, 31, e12840. [Google Scholar] [CrossRef]
- Labandeira-Garcia, J.L.; Costa-Besada, M.A.; Labandeira, C.M.; Villar-Cheda, B.; Rodriguez-Perez, A.I. Insulin-Like Growth Factor-1 and Neuroinflammation. Front. Aging Neurosci. 2017, 9, 365. [Google Scholar] [CrossRef] [PubMed]
- Lin, S.; Zhang, Q.; Shao, X.; Zhang, T.; Xue, C.; Shi, S.; Zhao, D.; Lin, Y. IGF-1 promotes angiogenesis in endothelial cells/adipose-derived stem cells co-culture system with activation of PI3K/Akt signal pathway. Cell Prolif. 2017, 50, e12390. [Google Scholar] [CrossRef] [PubMed]
- Tarantini, S.; Tucsek, Z.; Valcarcel-Ares, M.N.; Toth, P.; Gautam, T.; Giles, C.B.; Ballabh, P.; Wei, J.Y.; Wren, J.D.; Ashpole, N.M.; et al. Circulating IGF-1 deficiency exacerbates hypertension-induced microvascular rarefaction in the mouse hippocampus and retrosplenial cortex: Implications for cerebromicrovascular and brain aging. Age 2016, 38, 273–289. [Google Scholar] [CrossRef]
- Humpert, P.M.; Djuric, Z.; Zeuge, U.; Oikonomou, D.; Seregin, Y.; Laine, K.; Eckstein, V.; Nawroth, P.P.; Bierhaus, A. Insulin stimulates the clonogenic potential of angiogenic endothelial progenitor cells by IGF-1 receptor-dependent signaling. Mol. Med. 2008, 14, 301–308. [Google Scholar] [CrossRef] [PubMed]
- Delafontaine, P.; Song, Y.H.; Li, Y. Expression, regulation, and function of IGF-1, IGF-1R, and IGF-1 binding proteins in blood vessels. Arterioscler. Thromb. Vasc. Biol. 2004, 24, 435–444. [Google Scholar] [CrossRef]
- Shigematsu, S.; Yamauchi, K.; Nakajima, K.; Iijima, S.; Aizawa, T.; Hashizume, K. IGF-1 regulates migration and angiogenesis of human endothelial cells. Endocr. J. 1999, 46, S59–S62. [Google Scholar] [CrossRef]
- Higashi, Y.; Quevedo, H.C.; Tiwari, S.; Sukhanov, S.; Shai, S.Y.; Anwar, A.; Delafontaine, P. Interaction between insulin-like growth factor-1 and atherosclerosis and vascular aging. Front. Horm. Res. 2014, 43, 107–124. [Google Scholar] [CrossRef]
- Bickel, M.A.; Csik, B.; Gulej, R.; Ungvari, A.; Nyul-Toth, A.; Conley, S.M. Cell non-autonomous regulation of cerebrovascular aging processes by the somatotropic axis. Front. Endocrinol. 2023, 14, 1087053. [Google Scholar] [CrossRef]
- Miller, L.R.; Bickel, M.A.; Tarantini, S.; Runion, M.E.; Matacchiera, Z.; Vance, M.L.; Hibbs, C.; Vaden, H.; Nagykaldi, D.; Martin, T.; et al. IGF1R deficiency in vascular smooth muscle cells impairs myogenic autoregulation and cognition in mice. Front. Aging Neurosci. 2024, 16, 1320808. [Google Scholar] [CrossRef]
- Toth, P.; Tarantini, S.; Ashpole, N.M.; Tucsek, Z.; Milne, G.L.; Valcarcel-Ares, N.M.; Menyhart, A.; Farkas, E.; Sonntag, W.E.; Csiszar, A.; et al. IGF-1 deficiency impairs neurovascular coupling in mice: Implications for cerebromicrovascular aging. Aging Cell 2015, 14, 1034–1044. [Google Scholar] [CrossRef] [PubMed]
- Fulop, G.A.; Ramirez-Perez, F.I.; Kiss, T.; Tarantini, S.; Valcarcel Ares, M.N.; Toth, P.; Yabluchanskiy, A.; Conley, S.M.; Ballabh, P.; Martinez-Lemus, L.A.; et al. IGF-1 deficiency Promotes Pathological Remodeling of Cerebral Arteries: A Potential Mechanism Contributing to the Pathogenesis of Intracerebral Hemorrhages in Aging. J. Gerontol. A Biol. Sci. Med. Sci. 2018, 74, 446–454. [Google Scholar] [CrossRef] [PubMed]
- Sonntag, W.E.; Deak, F.; Ashpole, N.; Toth, P.; Csiszar, A.; Freeman, W.; Ungvari, Z. Insulin-like growth factor-1 in CNS and cerebrovascular aging. Front. Aging Neurosci. 2013, 5, 27. [Google Scholar] [CrossRef] [PubMed]
- Batista, A.; Osorio, R.; Varela, A.; Guilherme, P.; Marreiros, A.; Pais, S.; Nzwalo, H. Prediction of short-term prognosis in elderly patients with spontaneous intracerebral hemorrhage. Eur. Geriatr. Med. 2021, 12, 1267–1273. [Google Scholar] [CrossRef]
- Wen, D.; Chen, R.; Zhang, T.; Li, H.; Zheng, J.; Fu, W.; You, C.; Ma, L. “Atypical” Mild Clinical Presentation in Elderly Patients With Ruptured Intracranial Aneurysm: Causes and Clinical Characteristics. Front. Surg. 2022, 9, 927351. [Google Scholar] [CrossRef]
- Huang, B.; Chen, A.; Sun, Y.; He, Q. The Role of Aging in Intracerebral Hemorrhage. Brain Sci. 2024, 14, 613. [Google Scholar] [CrossRef]
- Potter, T.; Lioutas, V.A.; Tano, M.; Pan, A.; Meeks, J.; Woo, D.; Seshadri, S.; Selim, M.; Vahidy, F. Cognitive Impairment After Intracerebral Hemorrhage: A Systematic Review of Current Evidence and Knowledge Gaps. Front. Neurol. 2021, 12, 716632. [Google Scholar] [CrossRef]
- Kuohn, L.R.; Witsch, J.; Steiner, T.; Sheth, K.N.; Kamel, H.; Navi, B.B.; Merkler, A.E.; Murthy, S.B.; Mayer, S.A. Early Deterioration, Hematoma Expansion, and Outcomes in Deep Versus Lobar Intracerebral Hemorrhage: The FAST Trial. Stroke 2022, 53, 2441–2448. [Google Scholar] [CrossRef]
- Jolink, W.M.T.; Wiegertjes, K.; Rinkel, G.J.E.; Algra, A.; de Leeuw, F.E.; Klijn, C.J.M. Location-specific risk factors for intracerebral hemorrhage: Systematic review and meta-analysis. Neurology 2020, 95, e1807–e1818. [Google Scholar] [CrossRef]
- Morotti, A.; Li, Q.; Nawabi, J.; Mazzacane, F.; Schlunk, F.; Shoamanesh, A.; Busto, G.; Cavallini, A.; Palmerini, F.; Paciaroni, M.; et al. Volume Tolerance and Prognostic Impact of Hematoma Expansion in Deep and Lobar Intracerebral Hemorrhage. Stroke 2025, 56, 1224–1231. [Google Scholar] [CrossRef]
- Cordonnier, C.; Klijn, C.; Smith, E.E.; Al-Shahi Salman, R.; Chwalisz, B.K.; van Etten, E.; Muir, R.T.; Piazza, F.; Schreiber, S.; Schreuder, F.H.; et al. Diagnosis and management of cerebral amyloid angiopathy: A scientific statement from the International CAA Association and the World Stroke Organization. Int. J. Stroke 2025, 20, 949–967. [Google Scholar] [CrossRef]
- McCarter, S.J.; Lesnick, T.G.; Lowe, V.; Mielke, M.M.; Constantopoulos, E.; Rabinstein, A.A.; Przybelski, S.A.; Botha, H.; Jones, D.T.; Ramanan, V.K.; et al. Cerebral Amyloid Angiopathy Pathology and Its Association With Amyloid-beta PET Signal. Neurology 2021, 97, e1799–e1808. [Google Scholar] [CrossRef] [PubMed]
- Charidimou, A.; Linn, J.; Vernooij, M.W.; Opherk, C.; Akoudad, S.; Baron, J.C.; Greenberg, S.M.; Jäger, H.R.; Werring, D.J. Cortical superficial siderosis: Detection and clinical significance in cerebral amyloid angiopathy and related conditions. Brain 2015, 138, 2126–2139. [Google Scholar] [CrossRef] [PubMed]
- Charidimou, A.; Peeters, A.; Fox, Z.; Gregoire, S.M.; Vandermeeren, Y.; Laloux, P.; Jäger, H.R.; Baron, J.C.; Werring, D.J. Spectrum of transient focal neurological episodes in cerebral amyloid angiopathy: Multicentre magnetic resonance imaging cohort study and meta-analysis. Stroke 2012, 43, 2324–2330. [Google Scholar] [CrossRef] [PubMed]
- Charidimou, A.; Boulouis, G.; Roongpiboonsopit, D.; Xiong, L.; Pasi, M.; Schwab, K.M.; Rosand, J.; Gurol, M.E.; Greenberg, S.M.; Viswanathan, A. Cortical superficial siderosis and recurrent intracerebral hemorrhage risk in cerebral amyloid angiopathy: Large prospective cohort and preliminary meta-analysis. Int. J. Stroke 2019, 14, 723–733. [Google Scholar] [CrossRef]
- Guo, X.; Zhong, R.; Han, Y.; Zhang, H.; Zhang, X.; Lin, W. Incidence and relevant factors for seizures after spontaneous intracerebral hemorrhage: A systematic review and meta-analysis. Seizure 2022, 101, 30–38. [Google Scholar] [CrossRef]
- Rabin, J.S.; Nichols, E.; La Joie, R.; Casaletto, K.B.; Palta, P.; Dams-O’Connor, K.; Kumar, R.G.; George, K.M.; Satizabal, C.L.; Schneider, J.A.; et al. Cerebral amyloid angiopathy interacts with neuritic amyloid plaques to promote tau and cognitive decline. Brain 2022, 145, 2823–2833. [Google Scholar] [CrossRef]
- Kanai, M.; Noguchi, M.; Kubo, H.; Nozoe, M.; Kitano, T.; Izawa, K.P.; Mase, K.; Shimada, S. Pre-Stroke Frailty and Stroke Severity in Elderly Patients with Acute Stroke. J. Stroke Cerebrovasc. Dis. 2020, 29, 105346. [Google Scholar] [CrossRef]
- Blaauw, J.; den Hertog, H.M.; van Zundert, J.M.; van der Gaag, N.A.; Jellema, K.; Dammers, R.; Kho, K.H.; Groen, R.J.M.; Lingsma, H.F.; van der Naalt, J.; et al. Transient neurological deficit in patients with chronic subdural hematoma: A retrospective cohort analysis. J. Neurol. 2022, 269, 3180–3188. [Google Scholar] [CrossRef]
- Chen, C.; Xie, Y.; Pu, M.; Deng, L.; Li, Z.; Yang, T.; Yin, H.; Zhang, Z.; Lv, X.; Liu, X.; et al. Age-related differences in risk factors, clinical characteristics, and outcomes for intracerebral hemorrhage. Front. Aging Neurosci. 2023, 15, 1264124. [Google Scholar] [CrossRef]
- Inoue, Y.; Miyashita, F.; Minematsu, K.; Toyoda, K. Clinical Characteristics and Outcomes of Intracerebral Hemorrhage in Very Elderly. J. Stroke Cerebrovasc. Dis. 2018, 27, 97–102. [Google Scholar] [CrossRef] [PubMed]
- Kim, M.G.; Gandhi, C.; Azizkhanian, I.; Epstein, B.; Mittal, A.; Lee, N.; Santarelli, J.; Schmidt, M.; Al-Mufti, F.; Bowers, C.A. Frailty and spontaneous intracerebral hemorrhage: Does the modified frailty index predict mortality? Clin. Neurol. Neurosurg. 2020, 194, 105816. [Google Scholar] [CrossRef] [PubMed]
- Morotti, A.; Nawabi, J.; Pilotto, A.; Toffali, M.; Busto, G.; Mazzacane, F.; Cavallini, A.; Laudisi, M.; Gentile, L.; Viola, M.M.; et al. Functional outcome improvement from 3 to 12 months after intracerebral hemorrhage. Eur. Stroke J. 2024, 9, 391–397. [Google Scholar] [CrossRef] [PubMed]
- Ong, S.H.; Tan, A.Y.X.; Tan, B.; Yeo, L.; Tan, L.F.; Teo, K.; Yeo, T.T.; Nga, V.D.W.; Lim, M.J.R. The effect of frailty on mortality and functional outcomes in spontaneous intracerebral haemorrhage. Clin. Neurol. Neurosurg. 2024, 246, 108539. [Google Scholar] [CrossRef]
- Mai, L.M.; Joundi, R.A.; Katsanos, A.H.; Selim, M.; Shoamanesh, A. Pathophysiology of Intracerebral Hemorrhage: Recovery Trajectories. Stroke 2025, 56, 783–793. [Google Scholar] [CrossRef]
- Mayerhofer, E.; Parodi, L.; Prapiadou, S.; Malik, R.; Rosand, J.; Georgakis, M.K.; Anderson, C.D. Genetic Risk Score Improves Risk Stratification for Anticoagulation-Related Intracerebral Hemorrhage. Stroke 2023, 54, 791–799. [Google Scholar] [CrossRef]
- Goeldlin, M.B.; Fandler-Hofler, S.; Pezzini, A.; Manikantan, A.; Rauch, J.; Hald, S.M.; Kristensen, M.L.; Obergottsberger, L.; Sembill, J.A.; Haupenthal, D.; et al. Location and Timing of Recurrent, Nontraumatic Intracerebral Hemorrhage. JAMA Neurol. 2025, 82, 355–363. [Google Scholar] [CrossRef]
- Ohashi, S.N.; DeLong, J.H.; Kozberg, M.G.; Mazur-Hart, D.J.; van Veluw, S.J.; Alkayed, N.J.; Sansing, L.H. Role of Inflammatory Processes in Hemorrhagic Stroke. Stroke 2023, 54, 605–619. [Google Scholar] [CrossRef]
- Morotti, A.; Boulouis, G.; Dowlatshahi, D.; Li, Q.; Shamy, M.; Al-Shahi Salman, R.; Rosand, J.; Cordonnier, C.; Goldstein, J.N.; Charidimou, A. Intracerebral haemorrhage expansion: Definitions, predictors, and prevention. Lancet Neurol. 2023, 22, 159–171. [Google Scholar] [CrossRef]
- Teo, K.C.; Fong, S.M.; Leung, W.C.Y.; Leung, I.Y.H.; Wong, Y.K.; Choi, O.M.Y.; Yam, K.K.; Lo, R.C.N.; Cheung, R.T.F.; Ho, S.L.; et al. Location-Specific Hematoma Volume Cutoff and Clinical Outcomes in Intracerebral Hemorrhage. Stroke 2023, 54, 1548–1557. [Google Scholar] [CrossRef]
- Patel, K.; Shrier, W.E.J.; Sengupta, N.; Hunt, D.C.E.; Hodgson, L.E. Frailty, Assessed by the Rockwood Clinical Frailty Scale and 1-Year Outcomes Following Ischaemic Stroke in a Non-Specialist UK Stroke Centre. J. Stroke Cerebrovasc. Dis. 2022, 31, 106451. [Google Scholar] [CrossRef]
- Parry-Jones, A.R.; Jarhult, S.J.; Kreitzer, N.; Morotti, A.; Toni, D.; Seiffge, D.; Mendelow, A.D.; Patel, H.; Brouwers, H.B.; Klijn, C.J.; et al. Acute care bundles should be used for patients with intracerebral haemorrhage: An expert consensus statement. Eur. Stroke J. 2024, 9, 295–302. [Google Scholar] [CrossRef] [PubMed]
- Li, Q.; Morotti, A.; Warren, A.; Qureshi, A.I.; Dowlatshahi, D.; Falcone, G.; Sheth, K.N.; Shoamanesh, A.; Murthy, S.B.; Viswanathan, A.; et al. Intensive Blood Pressure Reduction is Associated with Reduced Hematoma Growth in Fast Bleeding Intracerebral Hemorrhage. Ann. Neurol. 2025. online ahead of print. [Google Scholar] [CrossRef] [PubMed]
- Morotti, A.; Boulouis, G.; Nawabi, J.; Li, Q.; Charidimou, A.; Pasi, M.; Schlunk, F.; Shoamanesh, A.; Katsanos, A.H.; Mazzacane, F.; et al. Association Between Hematoma Expansion Severity and Outcome and Its Interaction With Baseline Intracerebral Hemorrhage Volume. Neurology 2023, 101, e1606–e1613. [Google Scholar] [CrossRef] [PubMed]
- Parry-Jones, A.R.; Sammut-Powell, C.; Paroutoglou, K.; Birleson, E.; Rowland, J.; Lee, S.; Cecchini, L.; Massyn, M.; Emsley, R.; Bray, B.; et al. An Intracerebral Hemorrhage Care Bundle Is Associated with Lower Case Fatality. Ann. Neurol. 2019, 86, 495–503. [Google Scholar] [CrossRef]
- Li, Q.; Yakhkind, A.; Alexandrov, A.W.; Alexandrov, A.V.; Anderson, C.S.; Dowlatshahi, D.; Frontera, J.A.; Hemphill, J.C.; Ganti, L.; Kellner, C.; et al. Code ICH: A Call to Action. Stroke 2024, 55, 494–505. [Google Scholar] [CrossRef]
- Ma, L.; Hu, X.; Song, L.; Chen, X.; Ouyang, M.; Billot, L.; Li, Q.; Malavera, A.; Li, X.; Munoz-Venturelli, P.; et al. The third Intensive Care Bundle with Blood Pressure Reduction in Acute Cerebral Haemorrhage Trial (INTERACT3): An international, stepped wedge cluster randomised controlled trial. Lancet 2023, 402, 27–40. [Google Scholar] [CrossRef]
- Anderson, C.S.; Heeley, E.; Huang, Y.; Wang, J.; Stapf, C.; Delcourt, C.; Lindley, R.; Robinson, T.; Lavados, P.; Neal, B.; et al. Rapid blood-pressure lowering in patients with acute intracerebral hemorrhage. N. Engl. J. Med. 2013, 368, 2355–2365. [Google Scholar] [CrossRef]
- Steiner, T.; Purrucker, J.C.; Aguiar de Sousa, D.; Apostolaki-Hansson, T.; Beck, J.; Christensen, H.; Cordonnier, C.; Downer, M.B.; Eilertsen, H.; Gartly, R.; et al. European Stroke Organisation (ESO) and European Association of Neurosurgical Societies (EANS) guideline on stroke due to spontaneous intracerebral haemorrhage. Eur. Stroke J. 2025. online ahead of print. [Google Scholar] [CrossRef]
- Parry-Jones, A.R.; Moullaali, T.J.; Ziai, W.C. Treatment of intracerebral hemorrhage: From specific interventions to bundles of care. Int. J. Stroke 2020, 15, 945–953. [Google Scholar] [CrossRef]
- Mutimer, C.A.; Yassi, N.; Wu, T.Y. Blood Pressure Management in Intracerebral Haemorrhage: When, how much, and for how long? Curr. Neurol. Neurosci. Rep. 2024, 24, 181–189. [Google Scholar] [CrossRef]
- Sheth, K.N.; Solomon, N.; Alhanti, B.; Messe, S.R.; Xian, Y.; Bhatt, D.L.; Hemphill, J.C.; Frontera, J.A.; Chang, R.C.; Danelich, I.M.; et al. Time to Anticoagulation Reversal and Outcomes After Intracerebral Hemorrhage. JAMA Neurol. 2024, 81, 363–372. [Google Scholar] [CrossRef]
- Greenberg, S.M.; Ziai, W.C.; Cordonnier, C.; Dowlatshahi, D.; Francis, B.; Goldstein, J.N.; Hemphill, J.C., 3rd; Johnson, R.; Keigher, K.M.; Mack, W.J.; et al. 2022 Guideline for the Management of Patients With Spontaneous Intracerebral Hemorrhage: A Guideline From the American Heart Association/American Stroke Association. Stroke 2022, 53, e282–e361. [Google Scholar] [CrossRef]
- Christensen, H.; Cordonnier, C.; Korv, J.; Lal, A.; Ovesen, C.; Purrucker, J.C.; Toni, D.; Steiner, T. European Stroke Organisation Guideline on Reversal of Oral Anticoagulants in Acute Intracerebral Haemorrhage. Eur. Stroke J. 2019, 4, 294–306. [Google Scholar] [CrossRef]
- Pollack, C.V., Jr.; Reilly, P.A.; van Ryn, J.; Eikelboom, J.W.; Glund, S.; Bernstein, R.A.; Dubiel, R.; Huisman, M.V.; Hylek, E.M.; Kam, C.W.; et al. Idarucizumab for Dabigatran Reversal—Full Cohort Analysis. N. Engl. J. Med. 2017, 377, 431–441. [Google Scholar] [CrossRef] [PubMed]
- Costa, O.S.; Connolly, S.J.; Sharma, M.; Beyer-Westendorf, J.; Christoph, M.J.; Lovelace, B.; Coleman, C.I. Andexanet alfa versus four-factor prothrombin complex concentrate for the reversal of apixaban- or rivaroxaban-associated intracranial hemorrhage: A propensity score-overlap weighted analysis. Crit. Care 2022, 26, 180. [Google Scholar] [CrossRef] [PubMed]
- Huttner, H.B.; Gerner, S.T.; Kuramatsu, J.B.; Connolly, S.J.; Beyer-Westendorf, J.; Demchuk, A.M.; Middeldorp, S.; Zotova, E.; Altevers, J.; Andersohn, F.; et al. Hematoma Expansion and Clinical Outcomes in Patients With Factor-Xa Inhibitor-Related Atraumatic Intracerebral Hemorrhage Treated Within the ANNEXA-4 Trial Versus Real-World Usual Care. Stroke 2022, 53, 532–543. [Google Scholar] [CrossRef] [PubMed]
- Christensen, H.; Casolla, B.; Frontera, J.A.; Grundtvig, J.; Nielsen, J.D.; Petersson, J.; Steiner, T. Principles of reversal of anticoagulation in patients with intracerebral hemorrhage related to oral anticoagulants. Eur. Stroke J. 2025, 10, 4–13. [Google Scholar] [CrossRef]
- Naidech, A.M.; Grotta, J.; Elm, J.; Janis, S.; Dowlatshahi, D.; Toyoda, K.; Steiner, T.; Mayer, S.A.; Khanolkar, P.; Denlinger, J.; et al. Recombinant factor VIIa for hemorrhagic stroke treatment at earliest possible time (FASTEST): Protocol for a phase III, double-blind, randomized, placebo-controlled trial. Int. J. Stroke 2022, 17, 806–809. [Google Scholar] [CrossRef]
- Meretoja, A.; Yassi, N.; Wu, T.Y.; Churilov, L.; Sibolt, G.; Jeng, J.S.; Kleinig, T.; Spratt, N.J.; Thijs, V.; Wijeratne, T.; et al. Tranexamic acid in patients with intracerebral haemorrhage (STOP-AUST): A multicentre, randomised, placebo-controlled, phase 2 trial. Lancet Neurol. 2020, 19, 980–987. [Google Scholar] [CrossRef]
- Sprigg, N.; Flaherty, K.; Appleton, J.P.; Al-Shahi Salman, R.; Bereczki, D.; Beridze, M.; Christensen, H.; Ciccone, A.; Collins, R.; Czlonkowska, A.; et al. Tranexamic acid for hyperacute primary IntraCerebral Haemorrhage (TICH-2): An international randomised, placebo-controlled, phase 3 superiority trial. Lancet 2018, 391, 2107–2115. [Google Scholar] [CrossRef] [PubMed]
- Sondag, L.; Schreuder, F.; Boogaarts, H.D.; Rovers, M.M.; Vandertop, W.P.; Dammers, R.; Klijn, C.J.M.; Dutch Ich Surgery Trial Study Group, p.o.t.C.c. Neurosurgical Intervention for Supratentorial Intracerebral Hemorrhage. Ann. Neurol. 2020, 88, 239–250. [Google Scholar] [CrossRef] [PubMed]
- Kellner, C.P.; Song, R.; Ali, M.; Nistal, D.A.; Samarage, M.; Dangayach, N.S.; Liang, J.; McNeill, I.; Zhang, X.; Bederson, J.B.; et al. Time to Evacuation and Functional Outcome After Minimally Invasive Endoscopic Intracerebral Hemorrhage Evacuation. Stroke 2021, 52, e536–e539. [Google Scholar] [CrossRef] [PubMed]
- Zhou, X.; Chen, J.; Li, Q.; Ren, G.; Yao, G.; Liu, M.; Dong, Q.; Guo, J.; Li, L.; Guo, J.; et al. Minimally invasive surgery for spontaneous supratentorial intracerebral hemorrhage: A meta-analysis of randomized controlled trials. Stroke 2012, 43, 2923–2930. [Google Scholar] [CrossRef]
- Middleton, S.; McElduff, P.; Ward, J.; Grimshaw, J.M.; Dale, S.; D’Este, C.; Drury, P.; Griffiths, R.; Cheung, N.W.; Quinn, C.; et al. Implementation of evidence-based treatment protocols to manage fever, hyperglycaemia, and swallowing dysfunction in acute stroke (QASC): A cluster randomised controlled trial. Lancet 2011, 378, 1699–1706. [Google Scholar] [CrossRef]
- Langhorne, P.; Ramachandra, S.; Stroke Unit Trialists, C. Organised inpatient (stroke unit) care for stroke: Network meta-analysis. Cochrane Database Syst. Rev. 2020, 4, CD000197. [Google Scholar] [CrossRef]
- Hickman, L.D.; Phillips, J.L.; Newton, P.J.; Halcomb, E.J.; Al Abed, N.; Davidson, P.M. Multidisciplinary team interventions to optimise health outcomes for older people in acute care settings: A systematic review. Arch. Gerontol. Geriatr. 2015, 61, 322–329. [Google Scholar] [CrossRef]
- Yen, H.C.; Jeng, J.S.; Chen, W.S.; Pan, G.S.; Chuang Pt Bs, W.Y.; Lee, Y.Y.; Teng, T. Early Mobilization of Mild-Moderate Intracerebral Hemorrhage Patients in a Stroke Center: A Randomized Controlled Trial. Neurorehabil Neural Repair. 2020, 34, 72–81. [Google Scholar] [CrossRef]
- De Kort, A.M.; Kuiperij, H.B.; Marques, T.M.; Jäkel, L.; van den Berg, E.; Kersten, I.; van Berckel-Smit, H.E.P.; Duering, M.; Stoops, E.; Abdo, W.F.; et al. Decreased Cerebrospinal Fluid Amyloid β 38, 40, 42, and 43 Levels in Sporadic and Hereditary Cerebral Amyloid Angiopathy. Ann. Neurol. 2023, 93, 1173–1186. [Google Scholar] [CrossRef]
- Charidimou, A.; Boulouis, G. Core CSF Biomarker Profile in Cerebral Amyloid Angiopathy: Updated Meta-Analysis. Neurology 2024, 103, e209795. [Google Scholar] [CrossRef]
- Theodorou, A.; Tsantzali, I.; Stefanou, M.I.; Sacco, S.; Katsanos, A.H.; Shoamanesh, A.; Karapanayiotides, T.; Koutroulou, I.; Stamati, P.; Werring, D.J.; et al. CSF and plasma biomarkers in cerebral amyloid angiopathy: A single-center study and a systematic review/meta-analysis. Eur. Stroke J. 2025, 10, 278–288. [Google Scholar] [CrossRef]
- Muir, R.T.; Stukas, S.; Cooper, J.G.; Beaudin, A.E.; McCreary, C.R.; Gee, M.; Nelles, K.; Nukala, N.; Valencia, J.; Kirmess, K.M.; et al. Plasma biomarkers distinguish Boston Criteria 2.0 cerebral amyloid angiopathy from healthy controls. Alzheimer’s Dement. 2025, 21, e70010. [Google Scholar] [CrossRef]
- Charidimou, A.; Farid, K.; Tsai, H.H.; Tsai, L.K.; Yen, R.F.; Baron, J.C. Amyloid-PET burden and regional distribution in cerebral amyloid angiopathy: A systematic review and meta-analysis of biomarker performance. J. Neurol. Neurosurg. Psychiatry 2018, 89, 410–417. [Google Scholar] [CrossRef] [PubMed]
- Tsai, H.H.; Liu, C.J.; Lee, B.C.; Chen, Y.F.; Yen, R.F.; Jeng, J.S.; Tsai, L.K. Cerebral tau pathology in cerebral amyloid angiopathy. Brain Commun. 2024, 6, fcae086. [Google Scholar] [CrossRef] [PubMed]
- Chen, J.; Xie, C.; Wu, R.; Zhang, D.; Wen, F.; Nie, H.; Xue, L.; Zha, Z.; Wang, J. Optimization and automation of the radiosynthesis of PET ligand targeting Aβ for imaging cerebral amyloid angiopathy. Appl. Radiat. Isot. 2025, 225, 112037. [Google Scholar] [CrossRef] [PubMed]
- Myserlis, E.P.; Mayerhofer, E.; Abramson, J.R.; Teo, K.C.; Montgomery, B.E.; Sugita, L.; Warren, A.D.; Goldstein, J.N.; Gurol, M.E.; Viswanathan, A.; et al. Lobar intracerebral hemorrhage and risk of subsequent uncontrolled blood pressure. Eur. Stroke J. 2022, 7, 280–288. [Google Scholar] [CrossRef]
- Fernando, S.M.; Qureshi, D.; Talarico, R.; Tanuseputro, P.; Dowlatshahi, D.; Sood, M.M.; Smith, E.E.; Hill, M.D.; McCredie, V.A.; Scales, D.C.; et al. Intracerebral Hemorrhage Incidence, Mortality, and Association With Oral Anticoagulation Use: A Population Study. Stroke 2021, 52, 1673–1681. [Google Scholar] [CrossRef]
- O’Donnell, M.J.; Xavier, D.; Liu, L.; Zhang, H.; Chin, S.L.; Rao-Melacini, P.; Rangarajan, S.; Islam, S.; Pais, P.; McQueen, M.J.; et al. Risk factors for ischaemic and intracerebral haemorrhagic stroke in 22 countries (the INTERSTROKE study): A case-control study. Lancet 2010, 376, 112–123. [Google Scholar] [CrossRef]
- Biffi, A.; Anderson, C.D.; Jagiella, J.M.; Schmidt, H.; Kissela, B.; Hansen, B.M.; Jimenez-Conde, J.; Pires, C.R.; Ayres, A.M.; Schwab, K.; et al. APOE genotype and extent of bleeding and outcome in lobar intracerebral haemorrhage: A genetic association study. Lancet Neurol. 2011, 10, 702–709. [Google Scholar] [CrossRef]
- Collaboration, R. Effects of antiplatelet therapy after stroke due to intracerebral haemorrhage (RESTART): A randomised, open-label trial. Lancet 2019, 393, 2613–2623. [Google Scholar] [CrossRef]
- Cordonnier, C.; Demchuk, A.; Ziai, W.; Anderson, C.S. Intracerebral haemorrhage: Current approaches to acute management. Lancet 2018, 392, 1257–1268. [Google Scholar] [CrossRef]
- Frontera, J.A.; Lewin, J.J., 3rd; Rabinstein, A.A.; Aisiku, I.P.; Alexandrov, A.W.; Cook, A.M.; del Zoppo, G.J.; Kumar, M.A.; Peerschke, E.I.; Stiefel, M.F.; et al. Guideline for Reversal of Antithrombotics in Intracranial Hemorrhage: A Statement for Healthcare Professionals from the Neurocritical Care Society and Society of Critical Care Medicine. Neurocrit. Care 2016, 24, 6–46. [Google Scholar] [CrossRef]
- Mavridis, T.; Archontakis-Barakakis, P.; Chlorogiannis, D.D.; Charidimou, A. Left atrial appendage occlusion in patients with atrial fibrillation and previous Intracranial Hemorrhage or Cerebral Amyloid Angiopathy: A systematic review and meta-analysis. Int. J. Stroke 2025. online ahead of print. [Google Scholar] [CrossRef]
- Diener, H.C.; Hankey, G.J. Primary and Secondary Prevention of Ischemic Stroke and Cerebral Hemorrhage: JACC Focus Seminar. J. Am. Coll. Cardiol. 2020, 75, 1804–1818. [Google Scholar] [CrossRef] [PubMed]
- Charidimou, A.; Imaizumi, T.; Moulin, S.; Biffi, A.; Samarasekera, N.; Yakushiji, Y.; Peeters, A.; Vandermeeren, Y.; Laloux, P.; Baron, J.C.; et al. Brain hemorrhage recurrence, small vessel disease type, and cerebral microbleeds: A meta-analysis. Neurology 2017, 89, 820–829. [Google Scholar] [CrossRef] [PubMed]
- Hwang, B.Y.; Appelboom, G.; Ayer, A.; Kellner, C.P.; Kotchetkov, I.S.; Gigante, P.R.; Haque, R.; Kellner, M.; Connolly, E.S. Advances in neuroprotective strategies: Potential therapies for intracerebral hemorrhage. Cerebrovasc. Dis. 2011, 31, 211–222. [Google Scholar] [CrossRef]
- Tschoe, C.; Bushnell, C.D.; Duncan, P.W.; Alexander-Miller, M.A.; Wolfe, S.Q. Neuroinflammation after Intracerebral Hemorrhage and Potential Therapeutic Targets. J. Stroke 2020, 22, 29–46. [Google Scholar] [CrossRef] [PubMed]
- Ma, Q.; Chen, S.; Hu, Q.; Feng, H.; Zhang, J.H.; Tang, J. NLRP3 inflammasome contributes to inflammation after intracerebral hemorrhage. Ann. Neurol. 2014, 75, 209–219. [Google Scholar] [CrossRef]
- Fang, M.; Xia, F.; Wang, J.; Wang, C.; Teng, B.; You, S.; Li, M.; Chen, X.; Hu, X. The NLRP3 inhibitor, OLT1177 attenuates brain injury in experimental intracerebral hemorrhage. Int. Immunopharmacol. 2024, 131, 111869. [Google Scholar] [CrossRef]
- Ren, H.; Han, R.; Chen, X.; Liu, X.; Wan, J.; Wang, L.; Yang, X.; Wang, J. Potential therapeutic targets for intracerebral hemorrhage-associated inflammation: An update. J. Cereb. Blood Flow. Metab. 2020, 40, 1752–1768. [Google Scholar] [CrossRef]
- Yabluchanskiy, A.; Tarantini, S.; Balasubramanian, P.; Kiss, T.; Csipo, T.; Fulop, G.A.; Lipecz, A.; Ahire, C.; DelFavero, J.; Nyul-Toth, A.; et al. Pharmacological or genetic depletion of senescent astrocytes prevents whole brain irradiation-induced impairment of neurovascular coupling responses protecting cognitive function in mice. Geroscience 2020, 42, 409–428. [Google Scholar] [CrossRef]
- Bax, F.; Warren, A.; Fouks, A.A.; van den Brink, H.; van Veluw, S.J.; Kozberg, M.G.; Greenberg, S.M. Minocycline in Severe Cerebral Amyloid Angiopathy: A Single-Center Cohort Study. J. Am. Heart Assoc. 2024, 13, e033464. [Google Scholar] [CrossRef]
- Mc Lernon, S.; Werring, D.; Terry, L. Clinicians’ Perceptions of the Appropriateness of Neurocritical Care for Patients with Spontaneous Intracerebral Hemorrhage (ICH): A Qualitative Study. Neurocrit. Care 2021, 35, 162–171. [Google Scholar] [CrossRef]
- Holloway, R.G.; Arnold, R.M.; Creutzfeldt, C.J.; Lewis, E.F.; Lutz, B.J.; McCann, R.M.; Rabinstein, A.A.; Saposnik, G.; Sheth, K.N.; Zahuranec, D.B.; et al. Palliative and end-of-life care in stroke: A statement for healthcare professionals from the American Heart Association/American Stroke Association. Stroke 2014, 45, 1887–1916. [Google Scholar] [CrossRef]
- Visvanathan, A.; Mead, G.; Dennis, M.; Whiteley, W.; Doubal, F.; Lawton, J. Maintaining hope after a disabling stroke: A longitudinal qualitative study of patients’ experiences, views, information needs and approaches towards making treatment decisions. PLoS ONE 2019, 14, e0222500. [Google Scholar] [CrossRef]
- Madhok, D.Y.; Vitt, J.R.; MacIsaac, D.; Hsia, R.Y.; Kim, A.S.; Hemphill, J.C. Early Do-Not-Resuscitate Orders and Outcome After Intracerebral Hemorrhage. Neurocrit. Care 2021, 34, 492–499. [Google Scholar] [CrossRef]




| Disclaimer/Publisher’s Note: The statements, opinions and data contained in all publications are solely those of the individual author(s) and contributor(s) and not of MDPI and/or the editor(s). MDPI and/or the editor(s) disclaim responsibility for any injury to people or property resulting from any ideas, methods, instructions or products referred to in the content. | 
© 2025 by the authors. Licensee MDPI, Basel, Switzerland. This article is an open access article distributed under the terms and conditions of the Creative Commons Attribution (CC BY) license (https://creativecommons.org/licenses/by/4.0/).
Share and Cite
Zhubi, E.; Lehoczki, A.; Toth, P.; Lendvai-Emmert, D.; Szalardy, L.; Gunda, B. Intracerebral Hemorrhage in Aging: Pathophysiology, Clinical Challenges, and Future Directions. Life 2025, 15, 1569. https://doi.org/10.3390/life15101569
Zhubi E, Lehoczki A, Toth P, Lendvai-Emmert D, Szalardy L, Gunda B. Intracerebral Hemorrhage in Aging: Pathophysiology, Clinical Challenges, and Future Directions. Life. 2025; 15(10):1569. https://doi.org/10.3390/life15101569
Chicago/Turabian StyleZhubi, Esra, Andrea Lehoczki, Peter Toth, Dominika Lendvai-Emmert, Levente Szalardy, and Bence Gunda. 2025. "Intracerebral Hemorrhage in Aging: Pathophysiology, Clinical Challenges, and Future Directions" Life 15, no. 10: 1569. https://doi.org/10.3390/life15101569
APA StyleZhubi, E., Lehoczki, A., Toth, P., Lendvai-Emmert, D., Szalardy, L., & Gunda, B. (2025). Intracerebral Hemorrhage in Aging: Pathophysiology, Clinical Challenges, and Future Directions. Life, 15(10), 1569. https://doi.org/10.3390/life15101569
 
        


