The Efficacy and Tolerability of Radiosurgery in Treating Benign Meningiomas: A Dose Comparison Study from a Single-Center Analysis
Abstract
1. Introduction
2. Materials and Methods
3. Results
3.1. Demographics
3.2. Tumor Control
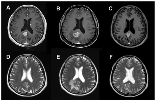
3.3. Radiation-Induced Toxicity
4. Discussion
Limitations of the Present Study
5. Conclusions
Author Contributions
Funding
Institutional Review Board Statement
Informed Consent Statement
Data Availability Statement
Acknowledgments
Conflicts of Interest
References
- Louis, D.N.; Perry, A.; Reifenberger, G.; von Deimling, A.; Figarella-Branger, D.; Cavenee, W.K.; Ohgaki, H.; Wiestler, O.D.; Kleihues, P.; Ellison, D.W. The 2016 World Health Organization Classification of Tumors of the Central Nervous System: A summary. Acta Neuropathol. 2016, 131, 803–820. [Google Scholar] [CrossRef] [PubMed]
- Cushing, H. The meningiomas (dural endotheliomas). Their source and favoured seats of origin. Brain 1922, 45, 282–316. [Google Scholar] [CrossRef] [PubMed]
- Ostrom, Q.T.; Price, M.; Neff, C.; Cioffi, G.; Waite, K.A.; Kruchko, C.; Barnholtz-Sloan, J.S. CBTRUS Statistical Report: Primary Brain and Other Central Nervous System Tumors Diagnosed in the United States in 2016–2020. Neuro-Oncology 2023, 25, iv1–iv99. [Google Scholar] [CrossRef] [PubMed]
- Pinzi, V.; Biagioli, E.; Roberto, A.; Galli, F.; Rizzi, M.; Chiappa, F.; Brenna, G.; Fariselli, L.; Floriani, I. Radiosurgery for intracranial meningiomas: A systematic review and meta-analysis. Crit. Rev. Oncol. Hematol. 2017, 113, 122–134. [Google Scholar] [CrossRef] [PubMed]
- Goldbrunner, R.; Minniti, G.; Preusser, M.; Jenkinson, M.D.; Sallabanda, K.; Houdart, E.; von Deimling, A.; Stavrinou, P.; Lefranc, F.; Lund-Johansen, M.; et al. EANO guidelines for the diagnosis and treatment of meningiomas. Lancet Oncol. 2016, 17, e383–e391. [Google Scholar] [CrossRef] [PubMed]
- Park, C.K.; Jung, N.Y.; Chang, W.S.; Jung, H.H.; Chang, J.W. Gamma Knife Radiosurgery for Postoperative Remnant Meningioma: Analysis of Recurrence Factors According to World Health Organization Grade. World Neurosurg. 2019, 132, e399–e402. [Google Scholar] [CrossRef] [PubMed]
- Kondziolka, D.; Mathieu, D.; Lunsford, L.D.; Martin, J.J.; Madhok, R.; Niranjan, A.; Flickinger, J.C. Radiosurgery as definitive management of intracranial meningiomas. Neurosurgery 2008, 62, 53–58; discussion 58–60. [Google Scholar] [CrossRef] [PubMed]
- Buerki, R.A.; Horbinski, C.M.; Kruser, T.; Horowitz, P.M.; James, C.D.; Lukas, R.V. An overview of meningiomas. Future Oncol. 2018, 14, 2161–2177. [Google Scholar] [CrossRef] [PubMed]
- Marchetti, M.; Sahgal, A.; De Salles, A.A.F.; Levivier, M.; Ma, L.; Paddick, I.; Pollock, B.E.; Regis, J.; Sheehan, J.; Suh, J.H.; et al. Stereotactic Radiosurgery for Intracranial Noncavernous Sinus Benign Meningioma: International Stereotactic Radiosurgery Society Systematic Review, Meta-Analysis and Practice Guideline. Neurosurgery 2020, 87, 879–890. [Google Scholar] [CrossRef]
- Flickinger, J.C.; Kondziolka, D.; Maitz, A.H.; Lunsford, L.D. Gamma knife radiosurgery of imaging-diagnosed intracranial meningioma. Int. J. Radiat. Oncol. Biol. Phys. 2003, 56, 801–806. [Google Scholar] [CrossRef]
- Kondziolka, D.; Lunsford, L.D.; Coffey, R.J.; Flickinger, J.C. Stereotactic radiosurgery of meningiomas. J. Neurosurg. 1991, 74, 552–559. [Google Scholar] [CrossRef] [PubMed]
- Kondziolka, D.; Patel, A.D.; Kano, H.; Flickinger, J.C.; Lunsford, L.D. Long-term Outcomes After Gamma Knife Radiosurgery for Meningiomas. Am. J. Clin. Oncol. 2016, 39, 453–457. [Google Scholar] [CrossRef] [PubMed]
- Kreil, W.; Luggin, J.; Fuchs, I.; Weigl, V.; Eustacchio, S.; Papaefthymiou, G. Long term experience of gamma knife radiosurgery for benign skull base meningiomas. J. Neurol. Neurosurg. Psychiatry 2005, 76, 1425–1430. [Google Scholar] [CrossRef] [PubMed]
- Williams, B.J.; Yen, C.P.; Starke, R.M.; Basina, B.; Nguyen, J.; Rainey, J.; Sherman, J.H.; Schlesinger, D.; Sheehan, J.P. Gamma Knife surgery for parasellar meningiomas: Long-term results including complications, predictive factors, and progression-free survival. J. Neurosurg. 2011, 114, 1571–1577. [Google Scholar] [CrossRef] [PubMed]
- Rogers, L.; Barani, I.; Chamberlain, M.; Kaley, T.J.; McDermott, M.; Raizer, J.; Schiff, D.; Weber, D.C.; Wen, P.Y.; Vogelbaum, M.A. Meningiomas: Knowledge base, treatment outcomes, and uncertainties. A RANO review. J. Neurosurg. 2015, 122, 4–23. [Google Scholar] [CrossRef]
- Huang, R.Y.; Bi, W.L.; Weller, M.; Kaley, T.; Blakeley, J.; Dunn, I.; Galanis, E.; Preusser, M.; McDermott, M.; Rogers, L.; et al. Proposed response assessment and endpoints for meningioma clinical trials: Report from the Response Assessment in Neuro-Oncology Working Group. Neuro-Oncology 2019, 21, 26–36. [Google Scholar] [CrossRef] [PubMed]
- Common Terminology Criteria for Adverse Events (CTCAE) Version 5. Published: November 27. US Department of Health and Human Services, National Institutes of Health, National Cancer Institute. Available online: https://view.officeapps.live.com/op/view.aspx?src=https%3A%2F%2Fctep.cancer.gov%2Fprotocoldevelopment%2Felectronic_applications%2Fdocs%2FCTCAE_v5.0.xlsx&wdOrigin=BROWSELINK (accessed on 11 November 2023).
- Shin, M.; Kurita, H.; Sasaki, T.; Kawamoto, S.; Tago, M.; Kawahara, N.; Morita, A.; Ueki, K.; Kirino, T. Analysis of treatment outcome after stereotactic radiosurgery for cavernous sinus meningiomas. J. Neurosurg. 2001, 95, 435–439. [Google Scholar] [CrossRef] [PubMed]
- Iwai, Y.; Yamanaka, K.; Ikeda, H. Gamma Knife radiosurgery for skull base meningioma: Long-term results of low-dose treatment. J. Neurosurg. 2008, 109, 804–810. [Google Scholar] [CrossRef]
- Ganz, J.C.; Backlund, E.O.; Thorsen, F.A. The results of Gamma Knife surgery of meningiomas, related to size of tumor and dose. Stereotact. Funct. Neurosurg. 1993, 61 (Suppl. S1), 23–29. [Google Scholar] [CrossRef]
- Kondziolka, D.; Flickinger, J.C.; Perez, B. Judicious resection and/or radiosurgery for parasagittal meningiomas: Outcomes from a multicenter review. Gamma Knife Meningioma Study Group. Neurosurgery 1998, 43, 405–413; discussion 413–414. [Google Scholar] [CrossRef]
- Stafford, S.L.; Pollock, B.E.; Foote, R.L.; Link, M.J.; Gorman, D.A.; Schomberg, P.J.; Leavitt, J.A. Meningioma radiosurgery: Tumor control, outcomes, and complications among 190 consecutive patients. Neurosurgery 2001, 49, 1029–1037; discussion 1037–1038. [Google Scholar] [CrossRef] [PubMed]
- Lippitz, B.E.; Bartek, J., Jr.; Mathiesen, T.; Forander, P. Ten-year follow-up after Gamma Knife radiosurgery of meningioma and review of the literature. Acta Neurochir. 2020, 162, 2183–2196. [Google Scholar] [CrossRef] [PubMed]
- Pollock, B.E.; Stafford, S.L.; Link, M.J.; Garces, Y.I.; Foote, R.L. Single-fraction radiosurgery for presumed intracranial meningiomas: Efficacy and complications from a 22-year experience. Int. J. Radiat. Oncol. Biol. Phys. 2012, 83, 1414–1418. [Google Scholar] [CrossRef]
- Combs, S.E.; Baumert, B.G.; Bendszus, M.; Bozzao, A.; Brada, M.; Fariselli, L.; Fiorentino, A.; Ganswindt, U.; Grosu, A.L.; Lagerwaard, F.L.; et al. ESTRO ACROP guideline for target volume delineation of skull base tumors. Radiother. Oncol. 2021, 156, 80–94. [Google Scholar] [CrossRef] [PubMed]
- Nabors, L.B.; Portnow, J.; Ahluwalia, M.; Baehring, J.; Brem, H.; Brem, S.; Butowski, N.; Campian, J.L.; Clark, S.W.; Fabiano, A.J.; et al. Central Nervous System Cancers, Version 3.2020, NCCN Clinical Practice Guidelines in Oncology. J. Natl. Compr. Cancer Netw. 2020, 18, 1537–1570. [Google Scholar] [CrossRef]
- Hasegawa, T.; Kida, Y.; Yoshimoto, M.; Iizuka, H.; Ishii, D.; Yoshida, K. Gamma Knife surgery for convexity, parasagittal, and falcine meningiomas. J. Neurosurg. 2011, 114, 1392–1398. [Google Scholar] [CrossRef]
- Lee, S.R.; Yang, K.A.; Kim, S.K.; Kim, S.H. Radiation-induced intratumoral necrosis and peritumoral edema after gamma knife radiosurgery for intracranial meningiomas. J. Korean Neurosurg. Soc. 2012, 52, 98–102. [Google Scholar] [CrossRef]
- Cai, R.; Barnett, G.H.; Novak, E.; Chao, S.T.; Suh, J.H. Principal risk of peritumoral edema after stereotactic radiosurgery for intracranial meningioma is tumor-brain contact interface area. Neurosurgery 2010, 66, 513–522. [Google Scholar] [CrossRef]
- Chang, J.H.; Chang, J.W.; Choi, J.Y.; Park, Y.G.; Chung, S.S. Complications after gamma knife radiosurgery for benign meningiomas. J. Neurol. Neurosurg. Psychiatry 2003, 74, 226–230. [Google Scholar] [CrossRef]
- Kollova, A.; Liscak, R.; Novotny, J., Jr.; Vladyka, V.; Simonova, G.; Janouskova, L. Gamma Knife surgery for benign meningioma. J. Neurosurg. 2007, 107, 325–336. [Google Scholar] [CrossRef]
- Mansouri, A.; Larjani, S.; Klironomos, G.; Laperriere, N.; Cusimano, M.; Gentili, F.; Schwartz, M.; Zadeh, G. Predictors of response to Gamma Knife radiosurgery for intracranial meningiomas. J. Neurosurg. 2015, 123, 1294–1300. [Google Scholar] [CrossRef] [PubMed]
- Novotny, J., Jr.; Kollova, A.; Liscak, R. Prediction of intracranial edema after radiosurgery of meningiomas. J. Neurosurg. 2006, 105, 120–126. [Google Scholar] [CrossRef] [PubMed]
- Hoe, Y.; Choi, Y.J.; Kim, J.H.; Kwon, D.H.; Kim, C.J.; Cho, Y.H. Peritumoral Brain Edema after Stereotactic Radiosurgery for Asymptomatic Intracranial Meningiomas: Risks and Pattern of Evolution. J. Korean Neurosurg. Soc. 2015, 58, 379–384. [Google Scholar] [CrossRef] [PubMed]
- Huang, S.H.; Chuang, C.C.; Wang, C.C.; Wei, K.C.; Chen, H.C.; Hsu, P.W. Risk factors for peritumoral edema after radiosurgery for intracranial benign meningiomas: A long-term follow-up in a single institution. Neurosurg. Focus 2022, 53, E7. [Google Scholar] [CrossRef] [PubMed]
- Sheehan, J.P.; Lee, C.C.; Xu, Z.; Przybylowski, C.J.; Melmer, P.D.; Schlesinger, D. Edema following Gamma Knife radiosurgery for parasagittal and parafalcine meningiomas. J. Neurosurg. 2015, 123, 1287–1293. [Google Scholar] [CrossRef] [PubMed]
- Ganau, M.; Foroni, R.I.; Gerosa, M.; Ricciardi, G.K.; Longhi, M.; Nicolato, A. Radiosurgical options in neuro-oncology: A review on current tenets and future opportunities. Part II: Adjuvant radiobiological tools. Tumori 2015, 101, 57–63. [Google Scholar] [CrossRef] [PubMed]
- Oh, B.C.; Liu, C.Y.; Wang, M.Y.; Pagnini, P.G.; Yu, C.; Apuzzo, M.L. Stereotactic radiosurgery: Adjacent tissue injury and response after high-dose single fraction radiation. Part II: Strategies for therapeutic enhancement, brain injury mitigation, and brain injury repair. Neurosurgery 2007, 60, 799–814; discussion 799–814. [Google Scholar] [CrossRef] [PubMed]
- Leary, S.P.; Liu, C.Y.; Apuzzo, M.L. Toward the emergence of nanoneurosurgery: Part III—Nanomedicine: Targeted nanotherapy, nanosurgery, and progress toward the realization of nanoneurosurgery. Neurosurgery 2006, 58, 1009–1026; discussion 1009–1026. [Google Scholar] [CrossRef] [PubMed]
- Deibert, C.P.; Ahluwalia, M.S.; Sheehan, J.P.; Link, M.J.; Hasegawa, T.; Yomo, S.; Feng, W.H.; Li, P.; Flickinger, J.C.; Lunsford, L.D.; et al. Bevacizumab for refractory adverse radiation effects after stereotactic radiosurgery. J. Neuro-Oncol. 2013, 115, 217–223. [Google Scholar] [CrossRef]
- He, S.; Pham, M.H.; Pease, M.; Zada, G.; Giannotta, S.L.; Wang, K.; Mack, W.J. A review of epigenetic and gene expression alterations associated with intracranial meningiomas. Neurosurg. Focus 2013, 35, E5. [Google Scholar] [CrossRef]


| Characteristics | Number (n = 147) |
|---|---|
| Sex (M/F) | 35/112 |
| Mean age in years (range) | 61 (37–79) |
| Clinical presentation | |
| Asymptomatic | 81 |
| Headache | 26 |
| Dizziness | 18 |
| Visual symptoms | 4 |
| Nausea | 1 |
| Motor weakness | 3 |
| Hearing decline or loss | 2 |
| Facial pain or numbness | 4 |
| Facial palsy | 2 |
| Tremor | 3 |
| Seizure | 1 |
| Others | 2 |
| Neurologic manifestation | |
| Nonspecific | 134 |
| Hemiparesis | 4 |
| Dysesthesia | 2 |
| Visual decline | 1 |
| 6th nerve palsy | 2 |
| 7th nerve palsy | 2 |
| 8th nerve dysfunction | 2 |
| Pathology | |
| Meningothelial | 14 |
| Angiomatous | 2 |
| Fibroblastic | 1 |
| Microcystic | 1 |
| Transitional | 4 |
| Mixed | 3 |
| No pathological diagnosis | 122 |
| Tumor location (164 lesions) | |
| Skull base | 60 |
| Convexity | 42 |
| Parasagittal | 5 |
| Falcine/tentorium | 56 |
| Intraventricular | 1 |
| Group 1 | Group 2 | p Value | |
|---|---|---|---|
| Number of lesions | 61 | 103 | |
| Lesion location (skull base/non-skull base) | 24/37 | 36/67 | 0.572 |
| Target volume (cm3, mean ± SD) | 1.75 ± 1.62 | 1.90 ± 2.24 | 0.628 |
| Coverage (%, mean ± SD) | 99.48 ± 0.69 | 99.43 ± 0.61 | 0.653 |
| Conformity index (mean ± SD) | 1.76 ± 0.40 | 1.72 ± 0.51 | 0.630 |
| Prescription dose (Gy, mean, range) | 15 (14–16) | 13 (12–13.5) | <0.001 |
| Maximum dose (Gy, mean, range) | 17.3 (16.0–20.4) | 15.8 (14.2–23.6) | <0.001 |
| Minimum dose (Gy, mean, range) | 13.5 (7.5–15.2) | 11.5 (5.8–14.4) | <0.001 |
| Mean dose (Gy, mean, range) | 16.4 (15.3–19.0) | 14.9 (12.8–19.2) | <0.001 |
| Outcomes | Total (164 Lesions) | Group 1 (61 Lesions) | Group 2 (103 Lesions) |
|---|---|---|---|
| Mean follow-up duration (months) | 47 (range: 12–122) | 68 (range: 12–122) | 35 (range: 12–119) |
| Overall tumor control rate | 156/164 (95.1%) | 57/61 (93.4%) | 99/103 (96.1%) |
| Complete response | 0 | 0 | 0 |
| Partial response | 10 (6.1%) | 4 (6.6%) | 6 (5.8%) |
| Minimal response | 12 (7.3%) | 8 (13.1%) | 4 (3.9%) |
| Stable | 134 (81.7%) | 45 (73.7%) | 89 (86.4%) |
| Progression | 8 (4.9%) | 4 (6.6%) | 4 (3.9%) |
| Radiation-induced peritumoral edema | 21 (12.8%) | 12 (19.7%) | 9 (8.7%) |
| CTCAE 1–2 | 16 (9.8%) | 8 (13.1%) | 8 (7.7%) |
| CTCAE 3–4 | 5 (3.0%) | 4 (6.6%) | 1 (1.0%) |
| Factor | Univariate | Multivariate | |||
|---|---|---|---|---|---|
| p Value | HR | 95% CI | p Value | ||
| Local tumor control | Age > 65 years | 0.404 | |||
| Female sex | 0.449 | ||||
| Tumor volume > 10 cm3 | <0.001 | 48.651 | 4.672–506.611 | 0.001 | |
| Marginal dose ≥ 14 Gy | 0.628 | ||||
| Location (skull base/non-skull base) | 0.728 | ||||
| Prior surgery | 0.004 | 7.806 | 1.735–35.110 | 0.007 | |
| Factor | Univariate | Multivariate | |||
|---|---|---|---|---|---|
| p Value | HR | 95% CI | p Value | ||
| Peritumoral edema | Age > 65 years | 0.353 | |||
| Female sex | 0.232 | ||||
| Tumor volume > 10 cm3 | 0.017 | 14.242 | 1.782–113.844 | 0.012 | |
| Marginal dose ≥ 14 Gy | 0.039 | 2.189 | 0.894–5.365 | 0.087 | |
| Location (skull base/non-skull base) | 0.200 | ||||
| Prior surgery | 0.320 | ||||
| Pre-existing peritumoral edema | <0.001 | 12.426 | 4.616–33.453 | <0.001 | |
Disclaimer/Publisher’s Note: The statements, opinions and data contained in all publications are solely those of the individual author(s) and contributor(s) and not of MDPI and/or the editor(s). MDPI and/or the editor(s) disclaim responsibility for any injury to people or property resulting from any ideas, methods, instructions or products referred to in the content. |
© 2024 by the authors. Licensee MDPI, Basel, Switzerland. This article is an open access article distributed under the terms and conditions of the Creative Commons Attribution (CC BY) license (https://creativecommons.org/licenses/by/4.0/).
Share and Cite
Cho, H.-J.; Lee, J.-M.; Park, S.-H.; Park, J.-B.; Jung, N.-Y. The Efficacy and Tolerability of Radiosurgery in Treating Benign Meningiomas: A Dose Comparison Study from a Single-Center Analysis. Life 2024, 14, 664. https://doi.org/10.3390/life14060664
Cho H-J, Lee J-M, Park S-H, Park J-B, Jung N-Y. The Efficacy and Tolerability of Radiosurgery in Treating Benign Meningiomas: A Dose Comparison Study from a Single-Center Analysis. Life. 2024; 14(6):664. https://doi.org/10.3390/life14060664
Chicago/Turabian StyleCho, Hyun-Jeong, Jong-Min Lee, Sung-Ho Park, Jun-Bum Park, and Na-Young Jung. 2024. "The Efficacy and Tolerability of Radiosurgery in Treating Benign Meningiomas: A Dose Comparison Study from a Single-Center Analysis" Life 14, no. 6: 664. https://doi.org/10.3390/life14060664
APA StyleCho, H.-J., Lee, J.-M., Park, S.-H., Park, J.-B., & Jung, N.-Y. (2024). The Efficacy and Tolerability of Radiosurgery in Treating Benign Meningiomas: A Dose Comparison Study from a Single-Center Analysis. Life, 14(6), 664. https://doi.org/10.3390/life14060664

