Status of and Challenges in Therapy of Mucinous Ovarian Cancer Associated with Pseudomyxoma Peritonei Syndrome: Review of Current Options and Future Treatment Trends
Abstract
1. Introduction
- Mucinous cystadenoma;
- Mucinous ovarian cancer;
- Ovarian metastasis of gastrointestinal cancer;
- Malignant transformation of an ovarian primary mature cystic teratoma;
- Appendiceal mucocele with carcinomatosis, mimicking an ovarian mucinous carcinoma;
- Mucinous borderline tumor developed within an ovarian teratoma.
2. Materials and Methods
2.1. Natural History and Characteristics of PP with Ovarian Origin
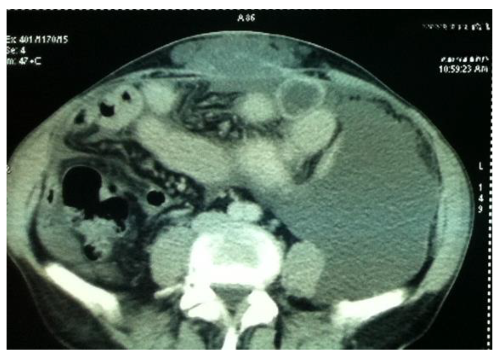
2.2. Clinical and Imaging Evaluation
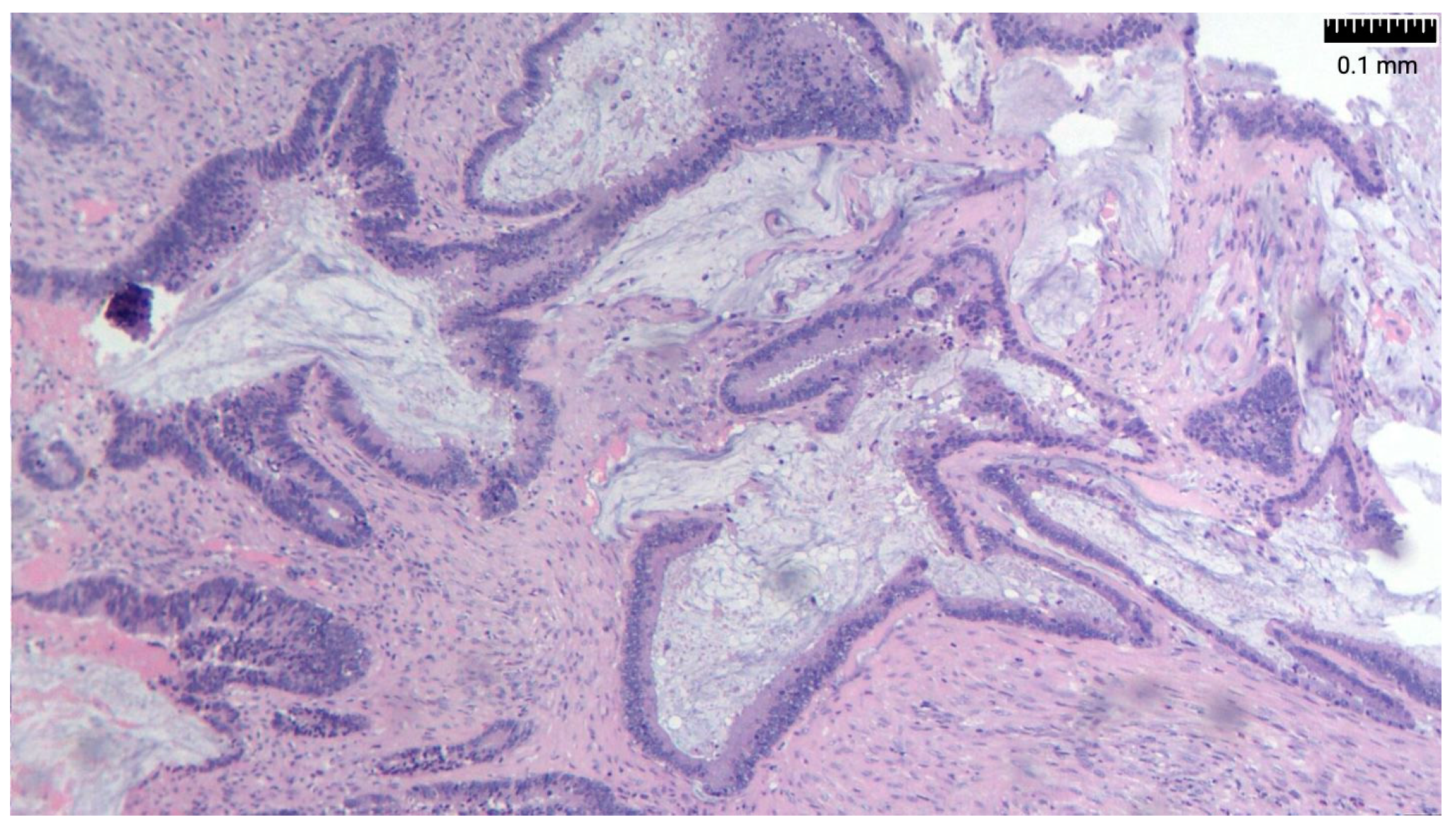
2.3. Pathology
- Acellular mucin—mucin within the peritoneal cavity without neoplastic epithelial cells.
- Low-grade mucinous carcinoma peritonei (synonymous with DPAM)—mucin with low cellularity (less than 10%) and without infiltrative growth.
- High-grade mucinous carcinoma peritonei (synonymous with PMCA)—mucin with high cellularity, moderate/severe cytological atypia, numerous mitoses, and a cribriform growth pattern. Infiltrative invasion of the underlying organs is often present.
- High-grade mucinous carcinoma peritonei with signet ring cell is classified separately because of its worse prognosis.
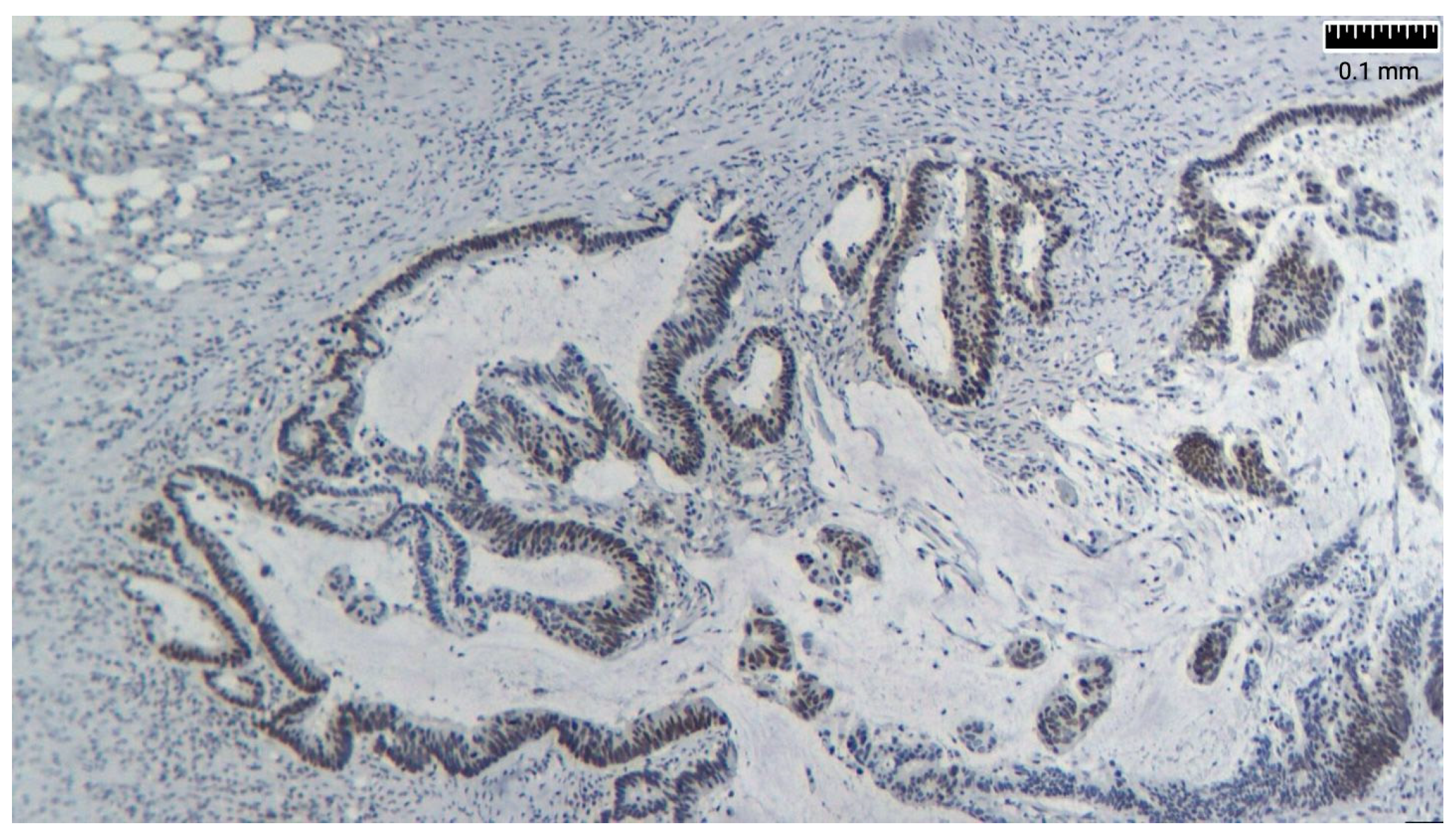
2.4. Differential Diagnosis of Secondary and Primary Ovarian Tumors and Pathological Subtypes
2.5. Tumor Markers
2.6. Therapeutic Management
2.7. Prognostic
3. Discussion
Funding
Conflicts of Interest
References
- Yan, F.; Shi, F.; Li, X.; Yu, C.; Lin, Y.; Li, Y.; Jin, M. Clinicopathological Characteristics of Pseudomyxoma Peritonei Originated from Ovaries. Cancer Manag. Res. 2020, 12, 7569–7578. [Google Scholar] [CrossRef] [PubMed] [PubMed Central]
- Mittal, R.; Chandramohan, A.; Moran, B. Pseudomyxoma peritonei: Natural history and treatment. Int. J. Hyperth. 2017, 33, 511–519. [Google Scholar] [CrossRef] [PubMed]
- Placek, A.; Pezhouh, M.K. Pseudomyxoma Peritonei/Mucinous Carcinoma Peritonei. PathologyOutlines.com.website. Available online: https://www.pathologyoutlines.com/topic/appendixpseudomyxoma.html (accessed on 13 September 2024).
- Yu, B.; Raj, M.S. Pseudomyxoma Peritonei. In StatPearls [Internet]; StatPearls Publishing: Treasure Island, FL, USA, 2024; Updated 2024 March 27. Available online: https://www.ncbi.nlm.nih.gov/books/NBK541116/ (accessed on 13 September 2024).
- Ionescu, S.; Marincas, M.; Madge, O.L.; Dicu-Andreescu, I.G.; Chitoran, E.; Rotaru, V.; Cirimbei, C.; Gherghe, M.; Ene, A.; Rosca, R.; et al. Ovarian Causes of Pseudomyxoma Peritonei (PMP)-A Literature Review. Cancers 2024, 16, 1446. [Google Scholar] [CrossRef] [PubMed] [PubMed Central]
- Blaj, S.; Dora, D.; Lohinai, Z.; Herold, Z.; Szasz, A.M.; Herzberg, J.; Kodacsi, R.; Baransi, S.; Schlitt, H.J.; Hornung, M.; et al. Prognostic Factors in Pseudomyxoma Peritonei with Emphasis on the Predictive Role of Peritoneal Cancer Index and Tumor Markers. Cancers 2023, 15, 1326. [Google Scholar] [CrossRef] [PubMed] [PubMed Central]
- Carr, N.J.; Cecil, T.D.; Mohamed, F.; Sobin, L.H.; Sugarbaker, P.H.; González-Moreno, S.; Taflampas, P.; Chapman, S.; Moran, B.J.; Peritoneal Surface Oncology Group International. A Consensus for Classification and Pathologic Reporting of Pseudomyxoma Peritonei and Associated Appendiceal Neoplasia: The Results of the Peritoneal Surface Oncology Group International (PSOGI) Modified Delphi Process. Am. J. Surg. Pathol. 2016, 40, 14–26. [Google Scholar] [CrossRef] [PubMed]
- Esquivel, J.; Sugarbaker, P.H. Clinical presentation of the Pseudomyxoma peritonei syndrome. Br. J. Surg. 2000, 87, 1414–1418. [Google Scholar] [CrossRef] [PubMed]
- Cotton, F.; Pellet, O.; Gilly, F.N.; Granier, A.; Sournac, L.; Glehen, O. MRI evaluation of bulky tumor masses in the mesentery and bladder involvement in peritoneal carcinomatosis. Eur. J. Surg. Oncol. 2006, 32, 1212–1216. [Google Scholar] [CrossRef]
- Tirumani, S.H.; Fraser-Hill, M.; Auer, R.; Shabana, W.; Walsh, C.; Lee, F.; Ryan, J.G. Mucinous neoplasms of the appendix: A current comprehensive clinicopathologic and imaging review. Cancer Imaging 2013, 13, 14–25. [Google Scholar] [CrossRef] [PubMed] [PubMed Central]
- Low, R.N.; Barone, R.M.; Gurney, J.M.; Muller, W.D. Mucinous appendiceal neoplasms: Preoperative MR staging and classification compared with surgical and histopathologic findings. AJR Am. J. Roentgenol. 2008, 190, 656–665. [Google Scholar] [CrossRef] [PubMed]
- Menassel, B.; Duclos, A.; Passot, G.; Dohan, A.; Payet, C.; Isaac, S.; Valette, P.J.; Glehen, O.; Rousset, P. Preoperative CT and MRI prediction of non-resectability in patients treated for pseudomyxoma peritonei from mucinous appendiceal neoplasms. Eur. J. Surg. Oncol. 2016, 42, 558–566. [Google Scholar] [CrossRef] [PubMed]
- Engbersen, M.P.; Van Driel, W.; Lambregts, D.; Lahaye, M. The role of CT, PET-CT, and MRI in ovarian cancer. Br. J. Radiol. 2021, 94, 20210117. [Google Scholar] [CrossRef] [PubMed] [PubMed Central]
- Sugarbaker, P.H.; Ronnett, B.M.; Archer, A.; Averbach, A.M.; Bland, R.; Chang, D.; Dalton, R.R.; Ettinghausen, S.E.; Jacquet, P.; Jelinek, J.; et al. Pseudomyxoma peritonei syndrome. Adv. Surg. 1996, 30, 233–280. [Google Scholar]
- Hanna, N.; Hanna, A.N.; Hanna, D.N. AJCC Cancer Staging System Version 9: Appendiceal Adenocarcinoma. Ann. Surg. Oncol. 2024, 31, 2177–2180. [Google Scholar] [CrossRef]
- Wang, Y.; Liu, L.; Yu, Y. Mucins and mucinous ovarian carcinoma: Development, differential diagnosis, and treatment. Heliyon 2023, 9, e19221. [Google Scholar] [CrossRef] [PubMed] [PubMed Central]
- Prat, J.; FIGO Committee on Gynecologic Oncology. FIGO’s staging classification for cancer of the ovary, fallopian tube, and peritoneum: Abridged republication. J. Gynecol. Oncol. 2015, 26, 87–89. [Google Scholar] [CrossRef] [PubMed]
- Nasioudis, D.; Mastroyannis, S.A.; Albright, B.B.; Haggerty, A.F.; Ko, E.M.; Latif, N.A. Adjuvant chemotherapy for stage I ovarian clear cell carcinoma: Patterns of use and outcomes. Gynecol. Oncol. 2018, 150, 14–18. [Google Scholar] [CrossRef] [PubMed]
- Peres, L.C.; Cushing-Haugen, K.L.; Köbel, M.; Harris, H.R.; Berchuck, A.; Rossing, M.A.; Schildkraut, J.M.; Doherty, J.A. Invasive Epithelial Ovarian Cancer Survival by Histotype and Disease Stage. J. Natl. Cancer Inst. 2019, 111, 60–68. [Google Scholar] [CrossRef] [PubMed] [PubMed Central]
- Kurnit, K.C.; Sinno, A.K.; Fellman, B.M.; Varghese, A.; Stone, R.; Sood, A.K.; Gershenson, D.M.; Schmeler, K.M.; Malpica, A.; Fader, A.N.; et al. Effects of Gastrointestinal-Type Chemotherapy in Women with Ovarian Mucinous Carcinoma. Obstet. Gynecol. 2019, 134, 1253–1259. [Google Scholar] [CrossRef] [PubMed] [PubMed Central]
- Gore, M.; Hackshaw, A.; Brady, W.E.; Penson, R.T.; Zaino, R.; McCluggage, W.G.; Ganesan, R.; Wilkinson, N.; Perren, T.; Montes, A.; et al. An international, phase III randomized trial in patients with mucinous epithelial ovarian cancer (mEOC/GOG 0241) with long-term follow-up: And experience of conducting a clinical trial in a rare gynecological tumor. Gynecol. Oncol. 2019, 153, 541–548. [Google Scholar] [CrossRef] [PubMed] [PubMed Central]
- Morice, P.; Gouy, S.; Leary, A. Mucinous Ovarian Carcinoma. N. Engl. J. Med. 2019, 380, 1256–1266. [Google Scholar] [CrossRef] [PubMed]
- McCluggage, W.G.; Wilkinson, N. Metastatic neoplasms involving the ovary: A review with an emphasis on morphological and immunohistochemical features. Histopathology 2005, 47, 231–247. [Google Scholar] [CrossRef] [PubMed]
- Bruls, J.; Simons, M.; Overbeek, L.I.; Bulten, J.; Massuger, L.F.; Nagtegaal, I.D. A national population-based study provides insight in the origin of malignancies metastatic to the ovary. Virchows Arch. 2015, 467, 79–86. [Google Scholar] [CrossRef] [PubMed] [PubMed Central]
- de Waal, Y.R.; Thomas, C.M.; Oei, A.L.; Sweep, F.C.; Massuger, L.F. Secondary ovarian malignancies: Frequency, origin, and characteristics. Int. J. Gynecol. Cancer 2009, 19, 1160–1165. [Google Scholar] [CrossRef] [PubMed]
- Strickland, S.; Wasserman, J.K.; Giassi, A.; Djordjevic, B.; Parra-Herran, C. Immunohistochemistry in the Diagnosis of Mucinous Neoplasms Involving the Ovary: The Added Value of SATB2 and Biomarker Discovery Through Protein Expression Database Mining. Int. J. Gynecol. Pathol. 2016, 35, 191–208. [Google Scholar] [CrossRef] [PubMed]
- Kelemen, L.E.; Köbel, M. Mucinous carcinomas of the ovary and colorectum: Different organ, same dilemma. Lancet Oncol. 2011, 12, 1071–1080. [Google Scholar] [CrossRef] [PubMed]
- Chu, P.G.; Chung, L.; Weiss, L.M.; Lau, S.K. Determining the site of origin of mucinous adenocarcinoma: An immunohistochemical study of 175 cases. Am. J. Surg. Pathol. 2011, 35, 1830–1836. [Google Scholar] [CrossRef] [PubMed]
- Shin, J.H.; Bae, J.H.; Lee, A.; Jung, C.K.; Yim, H.W.; Park, J.S.; Lee, K.Y. CK7, CK20, CDX2 and MUC2 Immunohistochemical staining used to distinguish metastatic colorectal carcinoma involving ovary from primary ovarian mucinous adenocarcinoma. Jpn. J. Clin. Oncol. 2010, 40, 208–213. [Google Scholar] [CrossRef] [PubMed]
- van Eden, W.J.; Kok, N.F.M.; Snaebjornsson, P.; Jóźwiak, K.; Woensdregt, K.; Bottenberg, P.D.; Boot, H.; Aalbers, A.G.J. Factors influencing long-term survival after cytoreductive surgery and hyperthermic intraperitoneal chemotherapy for pseudomyxoma peritonei originating from appendiceal neoplasms. BJS Open 2019, 3, 376–386. [Google Scholar] [CrossRef] [PubMed] [PubMed Central]
- NCCN Guidelines Version 3.2024. Principles of Surgery. Available online: https://www.nccn.org/guidelines/guidelines-detail?category=1&id=1453 (accessed on 13 September 2024).
- Whitney, C.W.; Spirtos, N. Gynecologic Oncology Group Surgical Procedures Manual; Gynecologic Oncology Group: Philadelphia, PA, USA, 2010. [Google Scholar]
- Liu, Y.; Ni, M.; Huang, F.; Gu, Q.; Xiao, Y.; Du, X. Neoadjuvant chemotherapy in advanced epithelial ovarian cancer by histology: A SEER based survival analysis. Medicine 2023, 102, e32774. [Google Scholar] [CrossRef]
- Chua, T.C.; Moran, B.J.; Sugarbaker, P.H.; Levine, E.A.; Glehen, O.; Gilly, F.N.; Baratti, D.; Deraco, M.; Elias, D.; Sardi, A.; et al. Early- and long-term outcome data of patients with pseudomyxoma peritonei from appendiceal origin treated by a strategy of cytoreductive surgery and hyperthermic intraperitoneal chemotherapy. J. Clin. Oncol. 2012, 30, 2449–2456. [Google Scholar] [CrossRef] [PubMed]
- Liu, J.; Burris, H.; Wang, J.S.; Barroilhet, L.; Gutierrez, M.; Wang, Y.; Vaze, A.; Commerford, R.; Royer-Joo, S.; Choeurng, V.; et al. An open-label phase I dose-escalation study of the safety and pharmacokinetics of DMUC4064A in patients with platinum-resistant ovarian cancer. Gynecol. Oncol. 2021, 163, 473–480. [Google Scholar] [CrossRef] [PubMed]
- Brewer, M.; Angioli, R.; Scambia, G.; Lorusso, D.; Terranova, C.; Panici, P.B.; Raspagliesi, F.; Scollo, P.; Plotti, F.; Ferrandina, G.; et al. Front-line chemo-immunotherapy with carboplatin-paclitaxel using oregovomab indirect immunization in advanced ovarian cancer: A randomized phase II study. Gynecol. Oncol. 2020, 156, 523–529. [Google Scholar] [CrossRef] [PubMed]
- Ledermann, J.A.; Zurawski, B.; Raspagliesi, F.; De Giorgi, U.; Arranz Arija, J.; Romeo Marin, M.; Lisyanskaya, A.; Póka, R.L.; Markowska, J.; Cebotaru, C.; et al. Maintenance therapy of patients with recurrent epithelial ovarian carcinoma with the anti-tumor-associated-mucin-1 antibody gatipotuzumab: Results from a double-blind, placebo-controlled, randomized, phase II study. ESMO Open. 2022, 7, 100311. [Google Scholar] [CrossRef] [PubMed] [PubMed Central]
- Yan, T.D.; Bijelic, L.; Sugarbaker, P.H. Critical analysis of treatment failure after complete cytoreductive surgery and perioperative intraperitoneal chemotherapy for peritoneal dissemination from appendiceal mucinous neoplasms. Ann. Surg. Oncol. 2007, 14, 2289–2299. [Google Scholar] [CrossRef] [PubMed]
- Nitecki, S.S.; Wolff, B.G.; Schlinkert, R.; Sarr, M.G. The natural history of surgically treated primary adenocarcinoma of the appendix. Ann. Surg. 1994, 219, 51–57. [Google Scholar] [CrossRef] [PubMed] [PubMed Central]




| - Diffuse deep infiltration of the root of small bowel mesentery | |
| - Diffuse carcinomatosis of the small bowel involving such large parts | |
| that resection would lead to short bowel syndrome (remaining bowel < 1.5 m) | |
| |
| |
| |
| |
| |
| |
| - Non-resectable lymph nodes | |
| - Brain metastases | |
| Tumor Origin | Mucin Characteristics | Tumor Markers | IHC Markers | |
|---|---|---|---|---|
| Primary ovarian tumor | High level of intracellular mucin | Elevated CA 125 | PAX8 (typical for primary ovarian but inconsistent) | |
| Secondary (metastatic gastrointestinal) ovarian tumor | High level of extracellular mucin (acellular mucin) | Elevated CA 19-9 CEA | SATB2 (consistent) | MUC2 CK20 |
| Mandatory Objectives of Cytoreductive Surgery in PP |
|---|
| As with a primary debulking procedure, every effort should be made to achieve maximum cytoreduction during an interval debulking procedure. Maximal effort should be made to remove all gross disease in the abdomen, pelvis, and retroperitoneum. |
| All peritoneal surfaces should be visualized, and any peritoneal surface or adhesion suspicious for harboring metastasis should be selectively excised or biopsied. |
| A radical greater omentectomy should be performed. |
| Procedures that may be considered for optimal surgical debulking include bowel resection and/or appendectomy, stripping of the diaphragm or other peritoneal surfaces, splenectomy, partial cystectomy and/or ureteroneocystostomy, partial hepatectomy, partial gastrectomy, cholecystectomy, and/or distal pancreatectomy. |
| In primary invasive mucinous tumors of the ovary, the upper and lower GI tract should be carefully evaluated to rule out an occult GI primary with ovarian metastases, and an appendectomy need only be performed in patients with a suspected or confirmed mucinous ovarian neoplasm if it appears to be abnormal. A normal appendix does not require surgical resection in this setting. If a mucinous histology is confirmed by intraoperative frozen section analysis and there are no suspicious lymph nodes, omitting lymphadenectomy should be considered. (after National Comprehensive Cancer Network Gudelines 2024.) |
| CC0 | complete removal of all visible disease |
| CC1 | residual disease less than 0.25 cm |
| CC2 | residual tumor deposits between 0.25 and 2.5 cm |
| CC3 | residual tumor deposits > 2.5 cm |
| Authors | Year | Therapeutic Agents | Study | Types of Cancers Eligible | Total Patient | Pathological Types | Findings |
|---|---|---|---|---|---|---|---|
| (Liu et al., 2021) [35] | 2021 | DMUC4064A (ADC-MUC16) | Phase I | Treatment in patients with platinum-resistant recurrent ovarian cancer | 65 | N/R | The clinical benefit rate was 42%. 27 patients had CR, or PR or SD lasting ≥ 6 months |
| (Brewer et al., 2020) [36] | 2020 | Oregovomab (MUC16) | Phase II | Front-line chemoimmunotherapy with carboplatin-paclitaxel using oregovomab indirect immunization in advanced ovarian cancer | 97 | Mucinous—2 Serous—86 Endometrioid—6 Clear cell—2 Other—1 | Significant improvement in PFS and OS. Prolonged PFS 29.6 months for the oregovomab group. OS has not yet been reached. |
| (Ledermann et al., 2022) [37] | 2022 | Gatipotuzumab (MUC1) | Phase II | Maintenance therapy of patients with recurrent epithelial primary ovarian, fallopian tube, or primary peritoneal cancer | 216 | N/R | No improvement in PFS or OS observed. |
Disclaimer/Publisher’s Note: The statements, opinions and data contained in all publications are solely those of the individual author(s) and contributor(s) and not of MDPI and/or the editor(s). MDPI and/or the editor(s) disclaim responsibility for any injury to people or property resulting from any ideas, methods, instructions or products referred to in the content. |
© 2024 by the authors. Licensee MDPI, Basel, Switzerland. This article is an open access article distributed under the terms and conditions of the Creative Commons Attribution (CC BY) license (https://creativecommons.org/licenses/by/4.0/).
Share and Cite
Pariza, G.; Mavrodin, C.; Potorac, A.; Munteanu, O.; Cirstoiu, M.M. Status of and Challenges in Therapy of Mucinous Ovarian Cancer Associated with Pseudomyxoma Peritonei Syndrome: Review of Current Options and Future Treatment Trends. Life 2024, 14, 1390. https://doi.org/10.3390/life14111390
Pariza G, Mavrodin C, Potorac A, Munteanu O, Cirstoiu MM. Status of and Challenges in Therapy of Mucinous Ovarian Cancer Associated with Pseudomyxoma Peritonei Syndrome: Review of Current Options and Future Treatment Trends. Life. 2024; 14(11):1390. https://doi.org/10.3390/life14111390
Chicago/Turabian StylePariza, George, Carmen Mavrodin, Alina Potorac, Octavian Munteanu, and Monica Mihaela Cirstoiu. 2024. "Status of and Challenges in Therapy of Mucinous Ovarian Cancer Associated with Pseudomyxoma Peritonei Syndrome: Review of Current Options and Future Treatment Trends" Life 14, no. 11: 1390. https://doi.org/10.3390/life14111390
APA StylePariza, G., Mavrodin, C., Potorac, A., Munteanu, O., & Cirstoiu, M. M. (2024). Status of and Challenges in Therapy of Mucinous Ovarian Cancer Associated with Pseudomyxoma Peritonei Syndrome: Review of Current Options and Future Treatment Trends. Life, 14(11), 1390. https://doi.org/10.3390/life14111390

