Perioperative and Long-Term Outcomes After Combined Liver and Kidney Transplantation: A Single-Center Experience
Abstract
1. Introduction
2. Materials and Methods
3. Results
- Preoperative characteristics.
- Intraoperative characteristics.
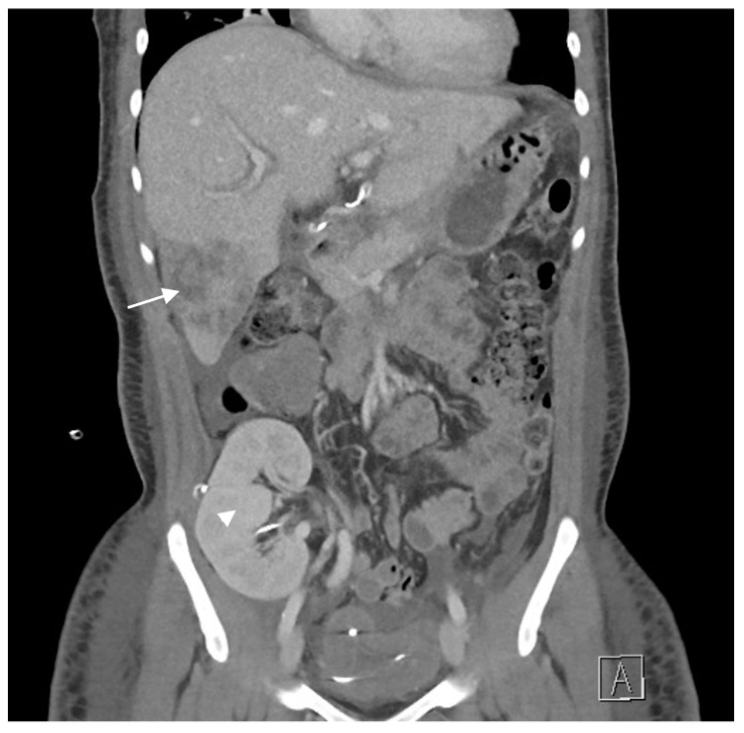
- Short-term outcomes.
- Long-term outcomes.
3.1. Preoperative Characteristics
3.2. Intraoperative Characteristics
3.3. Short-Term Outcomes
3.4. Long-Term Outcomes
4. Discussion
5. Conclusions
Author Contributions
Funding
Institutional Review Board Statement
Informed Consent Statement
Data Availability Statement
Conflicts of Interest
References
- Ginès, P.; Schrier, R.W. Renal failure in cirrhosis. N. Engl. J. Med. 2009, 361, 1279–1290. [Google Scholar] [CrossRef]
- Sharma, S.; Pande, G.; Saraswat, V.A.; Saxena, R. Simultaneous liver kidney transplant. Indian J. Transplant. 2014, 8, S50–S56. [Google Scholar] [CrossRef]
- Chava, S.P.; Singh, B.; Stangou, A.; Battula, N.; Bowles, M.; O’Grady, J.; Rela, M.; Heaton, N.D. Simultaneous combined liver and kidney transplantation: A single center experience. Clin. Transplant. 2010, 24, E62–E68. [Google Scholar] [CrossRef]
- Margreiter, R.; Kramar, R.; Huber, C.; Steiner, E.; Niederwieser, D.; Judmaier, G.; Vogel, W. Combined liver and kidney transplantation. Lancet 1984, 323, 1077–1078. [Google Scholar] [CrossRef]
- Grenda, R.; Kaliciński, P. Combined and sequential liver–kidney transplantation in children. Pediatr. Nephrol. 2018, 33, 2227. [Google Scholar] [CrossRef]
- Singal, A.K.; Ong, S.; Satapathy, S.K.; Kamath, P.S.; Wiesner, R.H. Simultaneous liver kidney transplantation. Transpl. Int. 2019, 32, 343–352. [Google Scholar] [CrossRef]
- Singal, A.K.; Salameh, H.; Kuo, Y.F.; Wiesner, R.H. Evolving frequency and outcomes of simultaneous liver kidney transplants based on liver disease etiology. Transplantation 2014, 98, 216–221. [Google Scholar] [CrossRef]
- Formica, R.N.; Aeder, M.; Boyle, G.; Kucheryavaya, A.; Stewart, D.; Hirose, R.; Mulligan, D. Simultaneous liver-kidney allocation policy: A proposal to optimize appropriate utilization of scarce resources. Am. J. Transplant. 2016, 16, 758–766. [Google Scholar] [CrossRef]
- Huda, F.; Basu, S. Invited commentary on “Current status of combined liver-kidney transplantation”. Int. J. Surg. 2020, 77, 34–35. [Google Scholar] [CrossRef]
- Wilk, A.R.; Booker, S.E.; Stewart, D.E.; Wiseman, A.; Gauntt, K.; Mulligan, D.; Formica, R.N. Developing simultaneous liver-kidney transplant medical eligibility criteria while providing a safety net: A 2-year review of the OPTN’s allocation policy. Am. J. Transplant. 2021, 21, 3593–3607. [Google Scholar] [CrossRef]
- Ruiz, R.; Kunitake, H.; Wilkinson, A.H.; Danovitch, G.M.; Farmer, D.G.; Ghobrial, R.M.; Yersiz, H.; Hiatt, J.R.; Busuttil, R.W. Long-term analysis of combined liver and kidney transplantation at a single center. Arch. Surg. 2006, 141, 735–742. [Google Scholar] [CrossRef]
- Becker, T.; Nyibata, M.; Lueck, R.; Bektas, H.; Demirci, G.; Lehner, F.; Tusch, G.; Strassburg, C.; Schwarz, A.; Klempnauer, J.; et al. Results of combined and sequential liver-kidney transplantation. Liver Transplant. 2003, 9, 1067–1078. [Google Scholar] [CrossRef]
- Kim, M.; Hwang, S.; Ahn, C.S.; Moon, D.B.; Ha, T.Y.; Song, G.W.; Jung, D.H.; Shin, S.; Kim, Y.H.; Ha, H.S.; et al. Simultaneous liver-kidney transplantation: A single-center experience in Korea. Ann. Hepato-Biliary-Pancreat. Surg. 2020, 24, 454. [Google Scholar] [CrossRef]
- Mosconi, G.; Scolari, M.P.; Feliciangeli, G.; D’Arcangelo, G.L.; Buscaroli, A.; D’Addio, F.; Conte, D.; Faenza, A.; Pinna, A.D.; Stefoni, S. Combined liver-kidney transplantation--S. Orsola experience: Nephrological aspects. Transplant. Proc. 2006, 38, 1122–1124. [Google Scholar] [CrossRef]
- Dindo, D.; Demartines, N.; Clavien, P.A. Classification of surgical complications: A new proposal with evaluation in a cohort of 6336 patients and results of a survey. Ann. Surg. 2004, 240, 205–213. [Google Scholar] [CrossRef]
- Gadžijev, A.; Avsec, D.; Šimenc, J.; Uštar, B.; Čebulc, G. Give Life a Chance—Donation and Transplantation Activity in Slovenia in 2022; Institute for Transplantation of Organs and Tissues of the Republic of Slovenia Slovenija-Transplant: Ljubljana, Slovenia, 2023. [Google Scholar]
- Tinti, F.; Mitterhofer, A.P.; Umbro, I.; Nightingale, P.; Inston, N.; Ghallab, M.; Ferguson, J.; Mirza, D.F.; Ball, S.; Lipkin, G.; et al. Combined liver-kidney transplantation versus liver transplant alone based on KDIGO stratification of estimated glomerular filtration rate: Data from the United Kingdom Transplant registry—A retrospective cohort study. Transpl. Int. 2019, 32, 918–932. [Google Scholar] [CrossRef]
- Nacif, L.S.; Andraus, W.; Martino, R.B.; Santos, V.R.; Pinheiro, R.S.; Haddad, L.B.; D’Albuquerque, L.C. Adoption of MELD score increases the number of liver transplant. Arq. Bras. Cir. Dig. 2014, 27, 201–203. [Google Scholar] [CrossRef][Green Version]
- Lum, E.L.; Cárdenas, A.; Martin, P.; Bunnapradist, S. Current status of simultaneous liver-kidney transplantation in the United States. Liver Transplant. 2019, 25, 797–806. [Google Scholar] [CrossRef]
- Chava, S.P.; Singh, B.; Zaman, M.B.; Rela, M.; Heaton, N.D. Current indications for combined liver and kidney transplantation in adults. Transplant Rev. 2009, 23, 111–119. [Google Scholar] [CrossRef]
- Fong, T.L.; Bunnapradist, S.; Jordan, S.C.; Selby, R.R.; Cho, Y.W. Analysis of the United Network for Organ Sharing database comparing renal allografts and patient survival in combined liver-kidney transplantation with the contralateral allografts in kidney alone or kidney-pancreas transplantation. Transplantation 2003, 76, 348–353. [Google Scholar] [CrossRef]
- Coquillard, C.; Berger, J.; Daily, M.; Shah, M.; Mei, X.; Marti, F.; Gedaly, R. Combined liver–kidney transplantation for polycystic liver and kidney disease: Analysis from the United Network for Organ Sharing dataset. Liver Int. 2016, 36, 1018–1025. [Google Scholar] [CrossRef]
- Askar, M.; Schold, J.D.; Eghtesad, B.; Flechner, S.M.; Kaplan, B.; Klingman, L.; Zein, N.N.; Fung, J.; Srinivas, T.R. Combined liver-kidney transplants: Allosensitization and recipient outcomes. Transplantation 2011, 91, 1286–1292. [Google Scholar] [CrossRef]
- Das, A.; Taner, T.; Kim, J.; Emamaullee, J. Crossmatch, donor specific antibody testing, and immunosuppression in simultaneous liver and kidney transplantation: A review. Transplantation 2021, 105, e285. [Google Scholar] [CrossRef]
- Ekser, B.; Mangus, R.S.; Fridell, W.; Kubal, C.A.; Nagai, S.; Kinsella, S.B.; Bayt, D.R.; Bell, T.M.; Powelson, J.A.; Goggins, W.C.; et al. A novel approach in combined liver and kidney transplantation with long-term outcomes. Ann. Surg. 2017, 265, 1000–1008. [Google Scholar] [CrossRef]
- Ekser, B.; Chen, A.M.; Kubal, C.A.; Fridell, J.A.; Mihaylov, P.; Goggins, W.C.; Powelson, J.A. Delayed kidney transplantation after 83 hours of cold ischemia time in combined liver-kidney transplant. Transplantation 2019, 103, e382–e383. [Google Scholar] [CrossRef]

| Case No. | Sex | Age (Years) | Transplant Year | Primary Liver Disease | MELD Score | Primary Kidney Disease | Dialysis |
|---|---|---|---|---|---|---|---|
| 1 | Male | 50 | 2014 | Alcoholic cirrhosis | 7 | Unknown cause (CKD5) | No |
| 2 | Male | 49 | 2020 | Polycystic disease | 14 | Polycystic disease | Yes |
| 3 | Female | 57 | 2022 | Polycystic disease | 11 | Polycystic disease | Yes |
| 4 | Male | 27 | 2023 | Caroli’s disease | 13 | Polycystic disease | Yes |
| 5 | Female | 60 | 2023 | Polycystic disease | 16 | Polycystic disease | Yes |
| Case No. | Liver Transplantation | Kidney Transplantation | |||||
|---|---|---|---|---|---|---|---|
| Donor Age (Years) | Cold Ischemia Time (h/min) | Warm Ischemia Time (min) | Donor Age (Years) | Cold Ischemia Time (h/min) | Warm Ischemia Time (min) | Surgery Besides CLKT | |
| 1 | 49 | 9:15 | 56 | 49 | 12:08 | 30 | – |
| 2 | 21 | 10:33 | 40 | 21 | 16:50 | 50 | – |
| 3 | 44 | 8:36 | 39 | 44 | 11:43 | 60 | Bilateral nephrectomy |
| 4 | 58 | 9:00 | 43 | 58 | 14:00 | 47 | – |
| 5 | 78 | 10:22 | 38 | 78 | 15:05 | 52 | Right nephrectomy |
| Case No. | Organ Rejection (Yes/No) | Surgical Complications (Clavien–Dindo Classification) | Reoperation (Yes/No) | Other Surgical Therapy | ICU Stay (Days) | Discharge from Hospital (Postoperative Day) |
|---|---|---|---|---|---|---|
| 1 | No | No | No | No | 3 | 16 |
| 2 | No | IIIb | Yes | No | 8 | 20 |
| 3 | No | IIIa | No | ERCP | 5 | 31 |
| 4 | No | IIIa | No | Chest drainage; conservative treatment of likely closed artery to the right liver lobe | 14 | 26 |
| 5 | No | IIIa | No | Chest drainage | 8 | 32 |
| Case No. | Organ Rejection (Yes/No) | Last Creatinine Value After Transplant (μmol/L) | Complications Requiring Additional Hospitalization | Duration of Follow-Up (Months) |
|---|---|---|---|---|
| 1 | Yes, kidney (2×) | 191 | Pyelonephritis and hydronephrosis of the transplanted kidney after DJ splint removal, biliary peritonitis after a US-guided biopsy | 123 |
| 2 | No | 108 | No | 54 |
| 3 | No | 90 | Biliary anastomosis stenosis | 23 |
| 4 | No | 99 | No | 13 |
| 5 | No | 128 | Vesico-ureteral anastomosis stenosis, UCN | 13 |
Disclaimer/Publisher’s Note: The statements, opinions and data contained in all publications are solely those of the individual author(s) and contributor(s) and not of MDPI and/or the editor(s). MDPI and/or the editor(s) disclaim responsibility for any injury to people or property resulting from any ideas, methods, instructions or products referred to in the content. |
© 2024 by the authors. Licensee MDPI, Basel, Switzerland. This article is an open access article distributed under the terms and conditions of the Creative Commons Attribution (CC BY) license (https://creativecommons.org/licenses/by/4.0/).
Share and Cite
Cerović, K.; Hadžialjević, B.; Hawlina, S.; Trotovšek, B. Perioperative and Long-Term Outcomes After Combined Liver and Kidney Transplantation: A Single-Center Experience. Life 2024, 14, 1319. https://doi.org/10.3390/life14101319
Cerović K, Hadžialjević B, Hawlina S, Trotovšek B. Perioperative and Long-Term Outcomes After Combined Liver and Kidney Transplantation: A Single-Center Experience. Life. 2024; 14(10):1319. https://doi.org/10.3390/life14101319
Chicago/Turabian StyleCerović, Kosta, Benjamin Hadžialjević, Simon Hawlina, and Blaž Trotovšek. 2024. "Perioperative and Long-Term Outcomes After Combined Liver and Kidney Transplantation: A Single-Center Experience" Life 14, no. 10: 1319. https://doi.org/10.3390/life14101319
APA StyleCerović, K., Hadžialjević, B., Hawlina, S., & Trotovšek, B. (2024). Perioperative and Long-Term Outcomes After Combined Liver and Kidney Transplantation: A Single-Center Experience. Life, 14(10), 1319. https://doi.org/10.3390/life14101319

