Umbilical Cord Blood Platelet Lysate Eyedrops for the Treatment of Severe Ocular Surface Disorders in Graft vs. Host Disease Patients: Clinical Study
Abstract
1. Introduction
2. Materials and Methods
2.1. Study Design
2.2. Participants, Setting, and Inclusion Criteria
- Inclusion criteria: severe Dry Eye Disease (DED), blepharo-kerato-epitheliopathy, or corneal ulcers that had not responded to prior treatments.
- Exclusion criteria: patients with active bacterial, viral, or fungal infections, as identified by conjunctival swab, and those who had undergone experimental treatments within the past 6 months.
- Patients were stratified into three groups based on their condition:
- Group I: 5 patients with severe Dry Eye Disease and filamentary keratitis;
- Group II: 8 patients with severe blepharo-kerato-epitheliopathy;
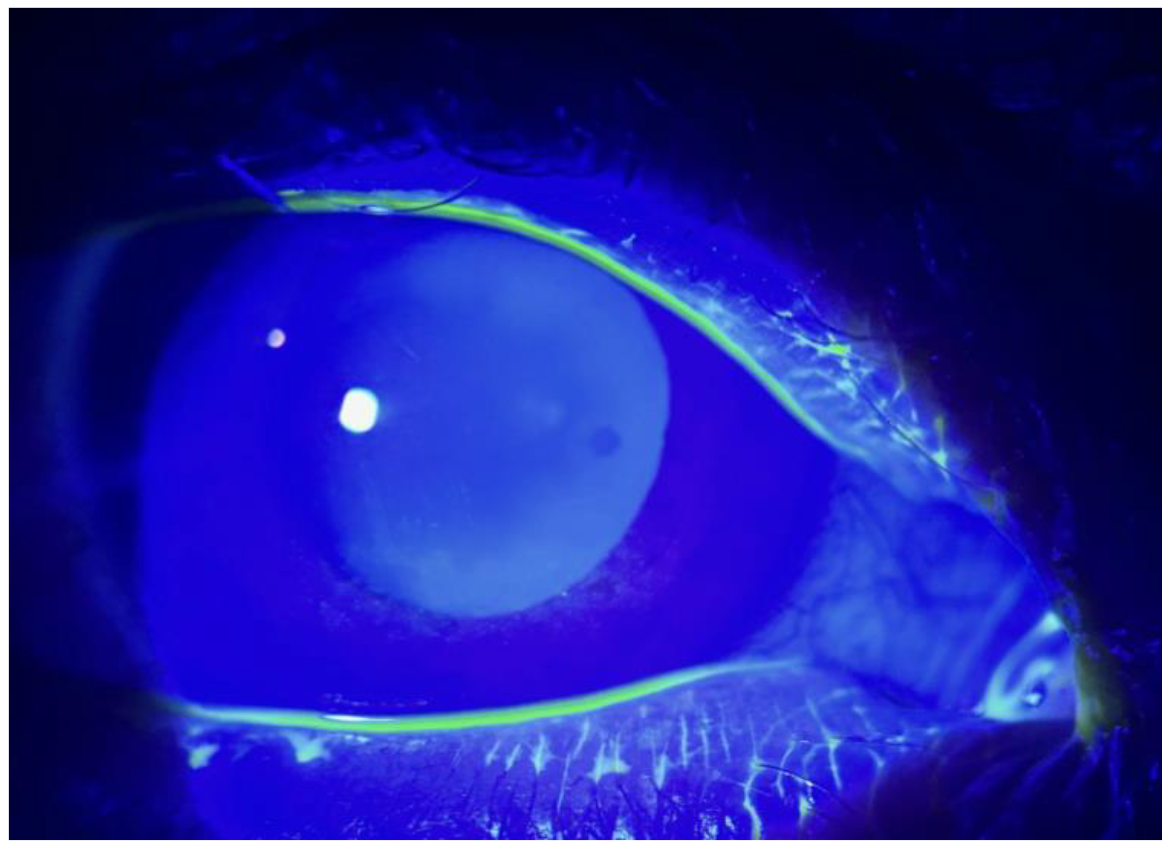
- Group III: 9 patients with corneal ulcers (Table 1).
2.3. Umbilical Cord Blood Collection and Processing
2.4. Outcome Measures
- The Ocular Surface Disease Index (OSDI);
- The Symptom Assessment in Dry Eye (SANDE) questionnaire;
- The Visual Analogue Scale (VAS) score;
- Slit lamp examination;
- Esthesiometry;
- Lissamine Green Staining;
- The Non-Invasive Break-Up Time (NIBUT) and Break-Up Time (BUT);
- Fluorescein staining with digital photography and Oxford classification;
- The Schirmer Test;
- The Best Corrected Visual Acuity (BCVA);
- Meibography.
2.5. Statistical Analysis
3. Results
4. Discussion
5. Conclusions
Author Contributions
Funding
Institutional Review Board Statement
Informed Consent Statement
Data Availability Statement
Conflicts of Interest
References
- Zeiser, R.; Blazar, B.R. Pathophysiology of chronic graft-versus-host disease and therapeutic targets. N. Engl. J. Med. 2017, 377, 2565–2579. [Google Scholar] [CrossRef] [PubMed]
- Ferrara, J.L.; Levine, J.E.; Reddy, P.; Holler, E. Graft-versus-host disease. Lancet 2009, 373, 1550–1561. [Google Scholar] [CrossRef] [PubMed]
- McDonald, G.B.; Sandmaier, B.M.; Mielcarek, M.; Sorror, M.L. Survival, non-relapse mortality, and recurrent malignancy after allogeneic hematopoietic cell transplantation. Biol. Blood Marrow Transplant. 2015, 21, 213–221. [Google Scholar]
- Jagasia, M.H.; Greinix, H.T.; Arora, M.; Williams, K.M. National Institutes of Health Consensus Development Project on Criteria for Clinical Trials in Chronic Graft-versus-Host Disease: I. The 2014 Diagnosis and Staging Working Group Report. Biol. Blood Marrow Transplant. 2015, 21, 389–401. [Google Scholar] [CrossRef]
- Lee, S.J.; Wolff, D.; Kitko, C.; Koreth, J. Measuring therapeutic response in chronic graft-versus-host disease. Biol. Blood Marrow Transplant. 2014, 20, 585–594. [Google Scholar]
- Hildebrandt, G.C.; Chao, N. Endothelial cell function and endothelial-related disorders following hematopoietic cell transplantation. Blood 2020, 136, 2168–2177. [Google Scholar]
- Zeiser, R.; Blazar, B.R. Acute Graft-versus-Host Disease—Biologic Process, Prevention, and Therapy. N. Engl. J. Med. 2017, 377, 2167–2179. [Google Scholar] [CrossRef]
- Jagasia, M.H.; Arora, M.; Flowers, M.E.; Chao, N.J. Risk factors for acute GVHD and impact on survival. Biol. Blood Marrow Transplant. 2012, 18, 773–780. [Google Scholar]
- Lee, S.J.; Vogelsang, G.; Flowers, M.E. Chronic graft-versus-host disease. Biol. Blood Marrow Transplant. 2003, 9, 215–233. [Google Scholar] [CrossRef]
- Rodriguez, P.R.T.; Mehta, D.; Subhan, M.; Yadav, R.P. Evolving Horizons in Pediatric Leukemia: Novel Insights, Challenges, and the Journey Ahead. Cureus 2024, 16, e278370. [Google Scholar] [CrossRef]
- Guo, Q.; Huo, Y.; Liu, Q.; Zhou, S.; Xiao, Y. Ruxolitinib as a CaMKII Inhibitor for the Treatment of Cardiac Arrhythmias: Applications and Prospects. Heart Rhythm. 2024, 21, 369–380. [Google Scholar] [CrossRef] [PubMed]
- HSCA Group. Chinese expert consensus on the diagnosis and treatment of acute graft-versus-host disease after hematopoietic stem cell transplantation. Zhonghua Xue Ye 2024, 45, 341–352. [Google Scholar]
- Kunstek, H.; Kieviet, J.; Lindemans, C.; de Koning, C.; Nierkens, S. Thymic Peptides in Immune Reconstitution and Clinical Outcome after Allogeneic Hematopoietic Cell Transplantation. Preprints 2024, 12, 2128. [Google Scholar]
- Elsheshtawy, A.; Hammad, M.; Hafez, H.; Elshrakawy, N.; Elshakankiry, N.; Eldin, N.A.; Hassanien, O.; Lehmann, L.; Eldin, A. CT-473 Impact of Donor Lymphocyte Infusion on Outcomes of Myeloid Neoplasms Post Allogeneic Stem Cell Transplantation, Single Center Experience. Clin. Lymphoma Myeloma Leuk. 2024, 24, 779–789. [Google Scholar] [CrossRef]
- Sallée, L.; Boutolleau, D. Management of Refractory/Resistant Herpes Simplex Virus Infections in Haematopoietic Stem Cell Transplantation Recipients: A Literature Review. Rev. Med. Virol. 2024, 34, 2574. [Google Scholar] [CrossRef] [PubMed]
- Romiszewski, M.; Nasadiuk, K.; Malinowska, I.; Olearczyk, A.; Snarski, E.; Ołdak, T.; Łaguna, P. A Case of Successful Poor Graft Function Treatment with Wharton Jelly Mesenchymal Stem Cells. Stem Cells Transl. Med. 2024, 13, S20–S25. [Google Scholar] [CrossRef]
- Cao, X.Y.; Zhou, H.F.; Liu, X.J.; Li, X.B. Human leukocyte antigen evolutionary divergence as a novel risk factor for donor selection in acute lymphoblastic leukemia patients undergoing haploidentical transplantation. Front. Immunol. 2024, 11, 1440911. [Google Scholar] [CrossRef] [PubMed]
- Malard, F.; Tees, M.; Cluzeau, T.; Faezeh, F.; Huynh, A.; Guenounou, S.; Borel, C.; Méar, J.-B.; Lhomme, F.; Desmier, D.; et al. CT-198 Pooled Fecal Allogeneic Microbiotherapy for Refractory Gastrointestinal Acute Graft-Versus-Host Disease: Results from the Early Access Program in Europe. Clin. Lymphoma Myeloma Leuk. 2024, 24, 746–755. [Google Scholar] [CrossRef]
- Yu, H.; Zhang, X.; Liu, Y.; Lu, Z.; Sun, X. Research progress on nutritional support for gastrointestinal graft-versus-host disease. Chin. J. Clin. Nutr. 2024, 32, 457–467. [Google Scholar]
- Williams, K.M.; Chien, J.W.; Gladwin, M.T.; Pavletic, S.Z. Bronchiolitis Obliterans After Allogeneic Hematopoietic Stem Cell Transplantation. JAMA 2009, 302, 306–314. [Google Scholar] [CrossRef]
- Arora, M.; Klein, J.P.; Weisdorf, D.J.; Hassebroek, A.; Flowers, M.E.; Cutler, C.S.; Urbano-Ispizua, A.; Antin, J.H.; Bolwell, B.J.; Boyiadzis, M.; et al. Chronic GVHD risk score: A Center for International Blood and Marrow Transplant Research analysis. Blood 2011, 117, 6714–6720. [Google Scholar] [CrossRef] [PubMed]
- Martin, P.J.; Lee, S.J.; Przepiorka, D.; Horowitz, M.M.; Koreth, J.; Vogelsang, G.B.; Walker, I.; Carpenter, P.A.; Griffith, L.M.; Akpek, G.; et al. National Institutes of Health Consensus Development Project on Criteria for Clinical Trials in Chronic Graft-versus-Host Disease: VI. The 2014 Diagnosis and Staging Working Group Report. Biol. Blood Marrow Transplant. 2015, 21, 1343–1359. [Google Scholar] [CrossRef] [PubMed]
- Choi, S.; Reddy, P. Graft-versus-host disease. Panminerva Med. 2010, 52, 111–124. [Google Scholar] [PubMed]
- Carpenter, P.A.; Kitko, C.L.; Elad, S.; Flowers, M.E.D.; Gea-Banacloche, J.C.; Halter, J.P.; Hoodin, F.; Johnston, L.; Lawitschka, A.; McDonald, G.B.; et al. National Institutes of Health consensus development project on criteria for clinical trials in chronic graft-versus-host disease: V. The 2014 Ancillary Therapy and Supportive Care Working Group Report. Biol. Blood Marrow Transplant. 2015, 21, 1167–1179. [Google Scholar] [CrossRef] [PubMed]
- Berchicci, L.; Rabiolo, A.; Marchese, A.; Iuliano, L.; Gigliotti, C.; Miserocchi, E.; Bandello, F.; Modorati, G. Ocular chronic graft-versus-host disease after allogeneic hematopoietic stem cell transplantation in an Italian referral center. Ocul Surf. 2018, 16, 314–321. [Google Scholar] [CrossRef]
- Shulman, H.M.; Cardona, D.M.; Greenson, J.K.; Hingorani, S.; Horn, T.; Huber, E.; Washington, K.; Westin, J.; Witten, T.M.; Flowers, M.E. NIH consensus criteria for the histopathologic diagnosis of chronic GVHD: A retrospective study. Lancet Haematol. 2015, 2, e44–e53. [Google Scholar]
- Flowers, M.E.; Martin, P.J. How we treat chronic graft-versus-host disease. Blood 2015, 125, 606–615. [Google Scholar] [CrossRef]
- Inamoto, Y.; Lee, S.J. Late effects of blood and marrow transplantation. Haematologica 2017, 102, 614–625. [Google Scholar] [CrossRef]
- Cooke, K.R.; Luznik, L.; Sarantopoulos, S.; Hakim, F.T.; Fowler, D.H.; van den Brink, M.R.; Paczesny, S.; Wingard, J.R.; Choi, S.W.; Ferrara, J.L.; et al. The biology of chronic graft-versus-host disease: A task force report from the National Institutes of Health Consensus Development Project on Criteria for Clinical Trials in Chronic Graft-versus-Host Disease. Biol. Blood Marrow Transplant. 2017, 23, 211–234. [Google Scholar] [CrossRef]
- Flowers, M.E.; Inamoto, Y.; Carpenter, P.A.; Lee, S.J.; Kiem, H.P.; Petersdorf, E.W.; Pereira, S.E.; Nash, R.A.; Mielcarek, M.; Fero, M.L.; et al. Comparative analysis of risk factors for acute and chronic graft-versus-host disease according to National Institutes of Health consensus criteria. Blood 2011, 117, 3214–3219. [Google Scholar] [CrossRef]
- Solomon, S.R.; Sizemore, C.A.; Sanacore, M.; Zhang, X.; Brown, S.; Holland, H.K.; Morris, L.E.; Bashey, A. Corticosteroid-free primary treatment of chronic extensive graft-versus-host disease incorporating low-dose interleukin-2 therapy. Blood 2017, 130, 2071–2080. [Google Scholar]
- Martin, P.J.; Rizzo, J.D.; Wingard, J.R.; Ballen, K.; Curtin, P.T.; Cutler, C.; Litzow, M.R.; Nieto, Y.; Savani, B.N.; Schriber, J.; et al. First- and second-line systemic treatment of acute graft-versus-host disease: Recommendations of the American Society of Blood and Marrow Transplantation. Biol. Blood Marrow Transplant. 2012, 18, 1150–1163. [Google Scholar] [CrossRef] [PubMed]
- Jagasia, M.H.; Greinix, H.T.; Arora, M.; Williams, K.M.; Wolff, D.; Cowen, E.W.; Palmer, J.; Weisdorf, D.J.; Treister, N.S.; Cheng, G.-S.; et al. Ruxolitinib for the treatment of chronic graft-versus-host disease. Biol. Blood Marrow Transplant. 2018, 24, 280–287. [Google Scholar]
- Miklos, D.; Cutler, C.S.; Arora, M.; Waller, E.K.; Jagasia, M.H.; Pusic, I.; Pasquini, M.C.; Weisdorf, D.J.; Fazal, S.; Chen, Y.B.; et al. Ibrutinib for chronic graft-versus-host disease after failure of prior therapy. Blood 2017, 130, 2243–2250. [Google Scholar] [CrossRef]
- Arai, S.; Jagasia, M.; Storer, B.; Chai, X.; Pidala, J.; Cutler, C.; Weisdorf, D.; Flowers, M.E.; Martin, P.J.; Arora, M.; et al. Improving outcomes in chronic graft-versus-host disease: Rationale, design, and implementation of the chronic graft-versus-host disease consortium. Biol. Blood Marrow Transplant. 2011, 17, 183–190. [Google Scholar]
- Paczesny, S.; Krijanovski, O.I.; Braun, T.M.; Choi, S.W.; Clouthier, S.G.; Kuick, R.; Misek, D.E.; Strieter, R.M.; Cooke, K.; Hutchinson, R.J.; et al. A biomarker panel for acute graft-versus-host disease. Blood 2009, 113, 273–278. [Google Scholar] [CrossRef]
- Lee, S.J.; Flowers, M.E. Recognizing and managing chronic graft-versus-host disease. Hematol. Am. Soc. Hematol. Educ. Program. 2008, 2008, 134–141. [Google Scholar] [CrossRef]
- Magenau, J.M.; Reddy, P. Advances in the prevention and treatment of graft-versus-host disease. Clin. Pharmacol. Ther. 2019, 104, 574–584. [Google Scholar]
- Sahin, U.; Türeci, Ö. Graft-versus-host disease: Mechanisms and advances in prevention and treatment. Immunol. Rev. 2020, 296, 191–225. [Google Scholar]
- MacDonald, K.P.; Hill, G.R.; Blazar, B.R. Chronic Graft-versus-Host Disease: Biological Insights from Preclinical and Clinical Studies. Blood 2017, 129, 13–21. [Google Scholar] [CrossRef]
- Surico, P.L.; Luo, Z.K. Understanding ocular graft-versus-host disease to facilitate an integrated multidisciplinary approach. Transplant. Cell. Ther. 2024, in press. [Google Scholar] [CrossRef] [PubMed]
- Tappeiner, C.; Heiligenhaus, A.; Halter, J.P. Challenges and concepts in the diagnosis and management of ocular graft-versus-host disease. Front. Med. 2023, 10, 1133381. [Google Scholar] [CrossRef]
- Kaya, C.; Karalezli, A.; Simsek, C. Graft-versus-host disease and dry eye. Eur. Eye Res. 2022, 2, 30–34. [Google Scholar] [CrossRef]
- Nair, S.; Vanathi, M.; Mukhija, R.; Tandon, R. Update on ocular graft-versus-host disease. Indian J. Ophthalmol. 2021, 69, 1252–1258. [Google Scholar] [CrossRef]
- Cheng, X.; Huang, R.; Huang, S.; Fan, W.; Yuan, R. Recent advances in ocular graft-versus-host disease. Front. Immunol. 2023, 14, 1092108. [Google Scholar] [CrossRef] [PubMed]
- Chatterjee, D. A brief account on ocular graft-versus-host disease. Indian J. Ophthalmol. 2023, 71, 483–490. [Google Scholar] [CrossRef]
- Ogawa, Y.; Jung, J.W.; Bakhtiari, P. Characteristics of Meibomian Gland Dysfunction in Patients With Ocular Chronic Graft-Versus-Host Disease. Cornea 2022, 41, 221–227. [Google Scholar]
- Sullivan, D.A.; Villani, E. Aging and Meibomian Gland Dysfunction: New Insights and Treatment Strategies. Eye Contact Lens 2023, 49, 30–36. [Google Scholar]
- Kheirkhah, A.; Pérez-Guayabero, A. Comparative Study of Meibomian Gland Dysfunction in Ocular Graft-Versus-Host Disease and Sjögren’s Syndrome. Am. J. Ophthalmol. 2022, 237, 49–58. [Google Scholar]
- Mohammadpour, M.; Hwang, H.S. Meibomian Gland Area Loss and Risk of Developing Ocular Graft-Versus-Host Disease: A Prospective Study. Graefe’s Arch. Clin. Exp. Ophthalmol. 2022, 260, 11–20. [Google Scholar]
- Bakhtiari, P.; Ogawa, Y. Ocular complications in chronic graft-versus-host disease. Ocul. Surf. 2022, 27, 51–59. [Google Scholar]
- Pérez-Guayabero, A.; Cheng, X. Molecular mechanisms in conjunctival fibrosis associated with ocular graft-versus-host disease. Investig. Ophthalmol. Vis. Sci. 2022, 63, 14. [Google Scholar]
- Hwang, H.S.; Cheng, X. The role of epithelial-to-mesenchymal transition in ocular graft-versus-host disease. J. Immunol. 2023, 210, 789–798. [Google Scholar]
- Ogawa, Y.; Pérez-Guayabero, A. Squamous cell metaplasia and goblet cell loss in ocular graft-versus-host disease. Cornea 2022, 41, 1122–1129. [Google Scholar]
- Bakhtiari, P.; Cheng, X. Comprehensive review of ocular complications in chronic graft-versus-host disease. J. Ophthalmol. 2023, 2023, 987456. [Google Scholar]
- Cheng, X.; Bakhtiari, P. Advances in the use of human umbilical cord blood platelet lysate for ocular surface disorders. Ocul. Surf. 2023, 27, 61–68. [Google Scholar]
- Ogawa, Y.; Pérez-Guayabero, A. The role of umbilical cord blood platelet lysate in enhancing ocular surface healing. Cornea 2022, 41, 653–661. [Google Scholar]
- Hwang, H.S.; Cheng, X. Anti-inflammatory effects of umbilical cord blood platelet lysate in corneal ulcer treatment. J. Ophthalmol. 2023, 2023, 987455. [Google Scholar]
- Pérez-Guayabero, A.; Cheng, X. Long-term benefits of umbilical cord blood platelet lysate in ocular surface disease management. Investig. Ophthalmol. Vis. Sci. 2023, 64, 22. [Google Scholar]
- World Health Organization. Cord Blood Banking Standards. Available online: https://www.who.int (accessed on 1 July 2024).
- World Marrow Donor Association. Standards for Cord Blood Banking. Available online: https://www.wmda.info (accessed on 1 July 2024).
- Jirsova, K.; Seidler Stangova, P.; Palos, M.; Mahelkova, G.; Kalasova, S.; Rybickova, I.; Utheim, T.P.; Vesela, V. Aberrant HLA-DR expression in the conjunctival epithelium after autologous serum treatment in patients with graft-versus-host disease or Sjögren’s syndrome. PLoS ONE 2020, 15, e0231473. [Google Scholar] [CrossRef]
- Pezzotta, S.; Del Fante, C.; Scudeller, L.; Rossi, G.C.; Perotti, C.; Bianchi, P.E.; Antoniazzi, E. Long-term safety and efficacy of autologous platelet lysate drops for treatment of ocular GvHD. Bone Marrow Transplant. 2017, 52, 101–106. [Google Scholar] [CrossRef] [PubMed]
- Azari, A.A.; Karadag, R.; Kanavi, M.R.; Nehls, S.; Barney, N.; Kim, K.; Longo, W.; Hematti, P.; Juckett, M. Safety and efficacy of autologous serum eye drop for treatment of dry eyes in graft-versus-host disease. Cutan Ocul Toxicol. 2017, 36, 152–156. [Google Scholar] [CrossRef] [PubMed]
- Wong, J.; Govindasamy, G.; Prasath, A.; Hwang, W.; Ho, A.; Yeo, S.; Tong, L. Allogeneic Umbilical Cord Plasma Eyedrops for the Treatment of Recalcitrant Dry Eye Disease Patients. J. Clin. Med. 2023, 12, 6750. [Google Scholar] [CrossRef]
- Na, K.S.; Kim, M.S. Allogeneic serum eye drops for the treatment of dry eye patients with chronic graft-versus-host disease. J. Ocul. Pharmacol. Ther. 2012, 28, 479–483. [Google Scholar] [CrossRef]





| Group | Number of Patients | Diagnosis |
|---|---|---|
| I | 5 | Severe Dry Eye Disease and filamentary keratitis |
| II | 8 | Severe blepharo-kerato-epitheliopathy |
| III | 9 | Corneal ulcers |
| Parameter | Description |
|---|---|
| Mean Reduction in Ulcer Surface Area | Significantly greater reduction compared to baseline values at all assessment points |
| Final Assessment (Day 90) | 88.8% of patients in Group III exhibited a reduction in ulcer size greater than 50% |
| Adverse Events | None reported |
Disclaimer/Publisher’s Note: The statements, opinions and data contained in all publications are solely those of the individual author(s) and contributor(s) and not of MDPI and/or the editor(s). MDPI and/or the editor(s) disclaim responsibility for any injury to people or property resulting from any ideas, methods, instructions or products referred to in the content. |
© 2024 by the authors. Licensee MDPI, Basel, Switzerland. This article is an open access article distributed under the terms and conditions of the Creative Commons Attribution (CC BY) license (https://creativecommons.org/licenses/by/4.0/).
Share and Cite
Gagliano, C.; Foti, R.; Zeppieri, M.; Maniaci, A.; Lavalle, S.; Tancredi, G.; Gagliano, G.; Avitabile, A.; Cannizzaro, L.; Foti, R. Umbilical Cord Blood Platelet Lysate Eyedrops for the Treatment of Severe Ocular Surface Disorders in Graft vs. Host Disease Patients: Clinical Study. Life 2024, 14, 1268. https://doi.org/10.3390/life14101268
Gagliano C, Foti R, Zeppieri M, Maniaci A, Lavalle S, Tancredi G, Gagliano G, Avitabile A, Cannizzaro L, Foti R. Umbilical Cord Blood Platelet Lysate Eyedrops for the Treatment of Severe Ocular Surface Disorders in Graft vs. Host Disease Patients: Clinical Study. Life. 2024; 14(10):1268. https://doi.org/10.3390/life14101268
Chicago/Turabian StyleGagliano, Caterina, Roberta Foti, Marco Zeppieri, Antonino Maniaci, Salvatore Lavalle, Giuseppa Tancredi, Giuseppe Gagliano, Alessandro Avitabile, Ludovica Cannizzaro, and Rosario Foti. 2024. "Umbilical Cord Blood Platelet Lysate Eyedrops for the Treatment of Severe Ocular Surface Disorders in Graft vs. Host Disease Patients: Clinical Study" Life 14, no. 10: 1268. https://doi.org/10.3390/life14101268
APA StyleGagliano, C., Foti, R., Zeppieri, M., Maniaci, A., Lavalle, S., Tancredi, G., Gagliano, G., Avitabile, A., Cannizzaro, L., & Foti, R. (2024). Umbilical Cord Blood Platelet Lysate Eyedrops for the Treatment of Severe Ocular Surface Disorders in Graft vs. Host Disease Patients: Clinical Study. Life, 14(10), 1268. https://doi.org/10.3390/life14101268

