Gastroenterological Manifestations of Immunoglobulin G Subclass 4-Related Disease—Epidemiology, Clinical Manifestations, Diagnosis and Treatment
Abstract
1. Introduction
2. Materials and Methods
2.1. Literature Review
2.2. Data Collection
2.3. Eligibility Criteria
2.4. Ethical Issue
3. Results
3.1. Epidemiology of Gastrointestinal Manifestations of IgG4-RD
3.2. Clinical and Diagnostic Aspects of the Gastrointestinal Manifestations of IgG4-RD
3.2.1. Head and Neck
3.2.2. Esophagus, Stomach and Intestines
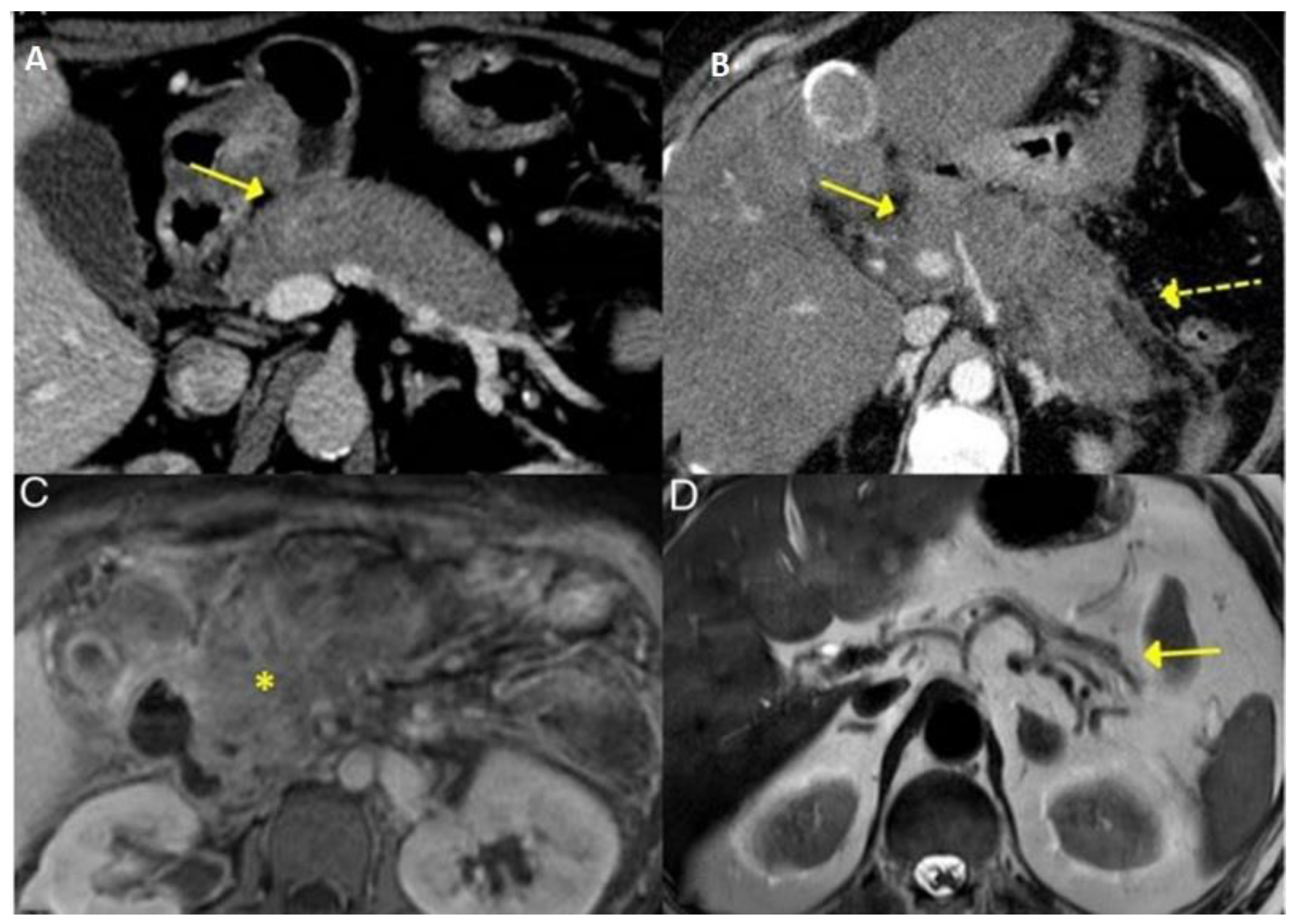
3.2.3. Pancreas
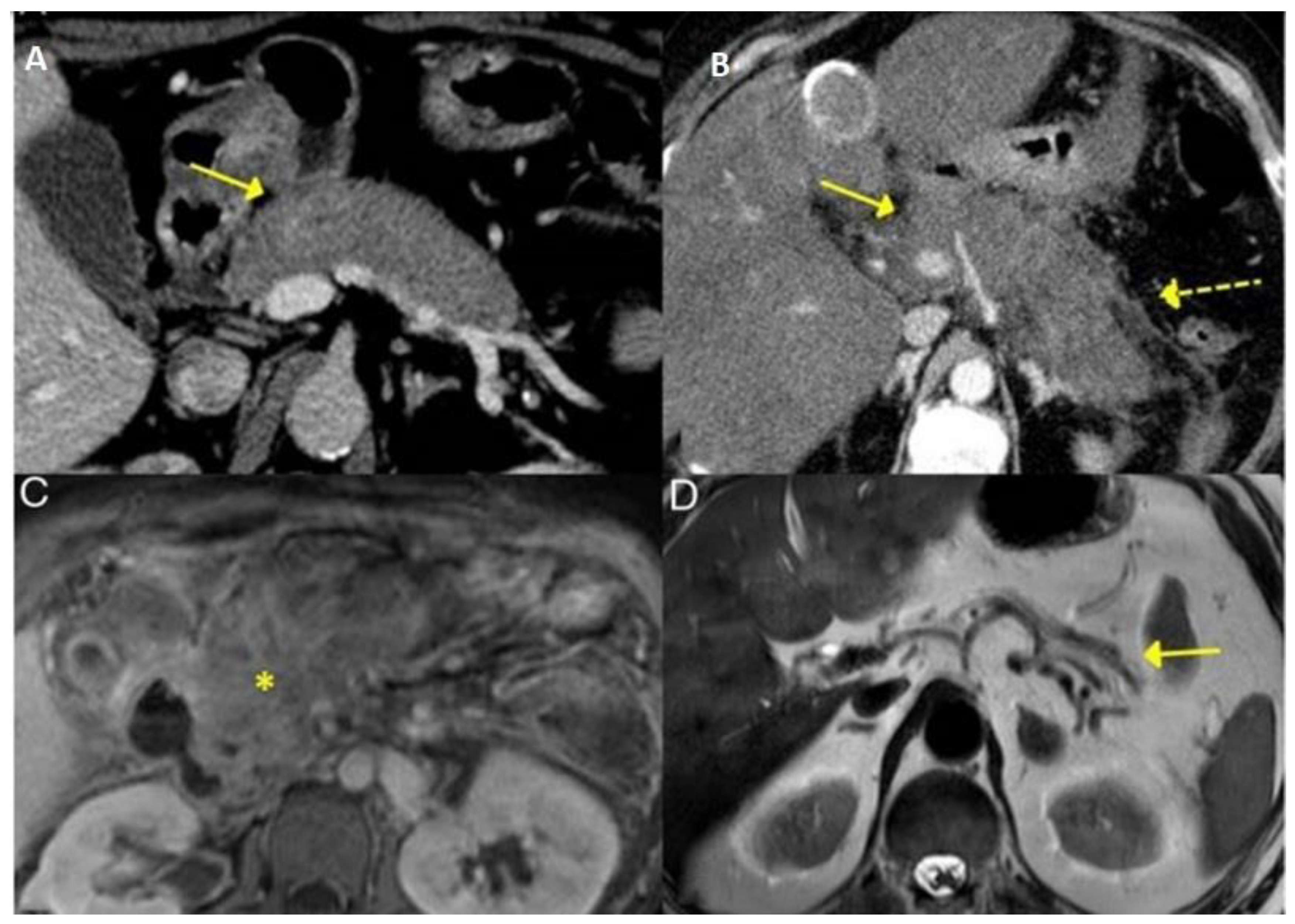
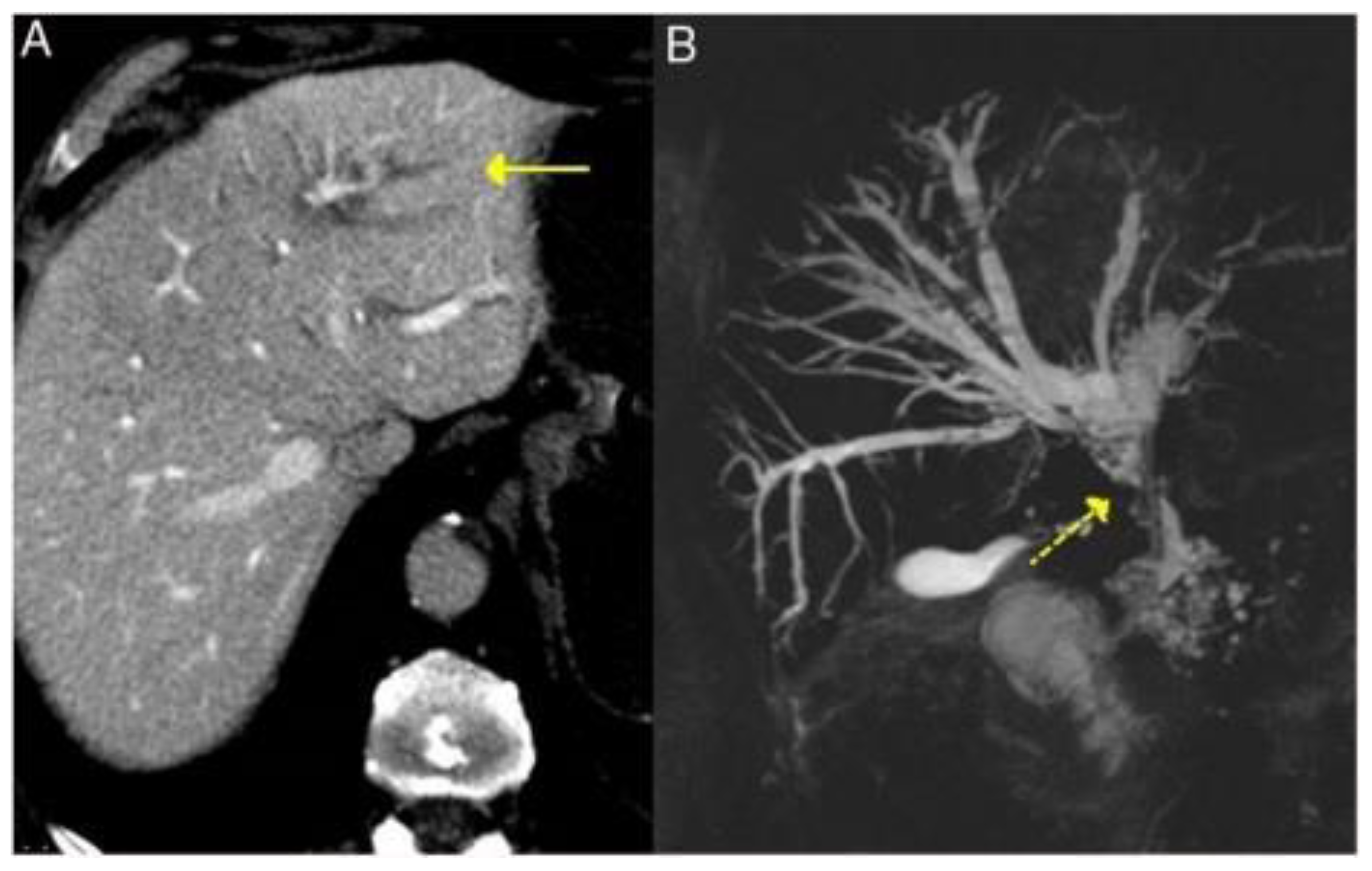
3.2.4. Liver and Bile Ducts
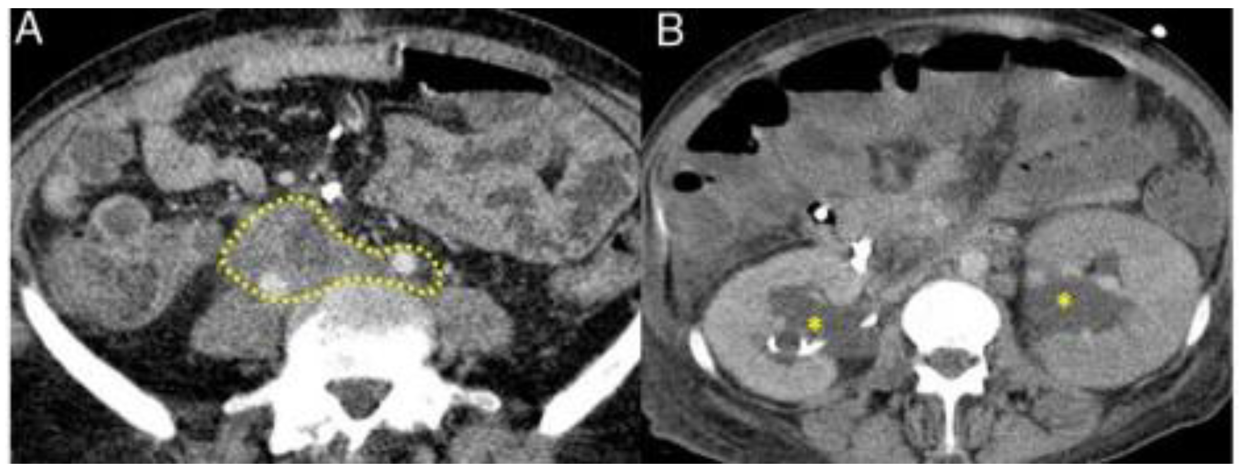
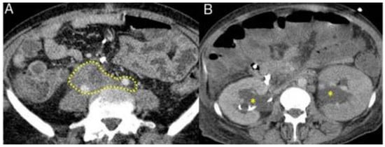
3.2.5. Retroperitoneum
3.3. Therapeutic Approach to the Gastrointestinal Manifestations of IgG4-RD
3.3.1. Head and Neck
3.3.2. Oral Cavity, Esophagus, Stomach and Intestines
3.3.3. Pancreas
3.3.4. Liver and Bile Ducts
3.3.5. Retroperitoneum
4. Discussion
5. Conclusions
Author Contributions
Funding
Conflicts of Interest
References
- Shinjo, S.K.; Moreira, C.; Sousa, J.T.; Neto, J.F.M.; Radominski, S.C. Doença relacionada a IgG4. In Livro da Sociedade Brasileira de Reumatologia, 2nd ed.; Editora Manole Ltda.: Barueri, Brazil, 2021; Capítulo 111; ISBN 9786555760583. [Google Scholar]
- Löhr, J.-M.; Vujasinovic, M.; Rosendahl, J.; Stone, J.H.; Beuers, U. IgG4-Related Diseases of the Digestive Tract. Nat. Rev. Gastroenterol. Hepatol. 2022, 19, 185–197. [Google Scholar] [CrossRef] [PubMed]
- Moon, S.-H.; Kim, M.-H. Autoimmune Pancreatitis and Immunoglobulin G4-Related Sclerosing Cholangitis: Past, Present, and Future. Korean J. Gastroenterol. 2022, 80, 107–114. [Google Scholar] [CrossRef] [PubMed]
- Vasaitis, L. IgG4-Related Disease: A Relatively New Concept for Clinicians. Eur. J. Intern. Med. 2016, 27, 1–9. [Google Scholar] [CrossRef]
- Perugino, C.A.; Stone, J.H. IgG4-Related Disease: An Update on Pathophysiology and Implications for Clinical Care. Nat. Rev. Rheumatol. 2020, 16, 702–714. [Google Scholar] [CrossRef]
- Karadeniz, Z.H.; Vaglio, A. IgG4-Related Disease: A Contemporary Review. Turk. J. Med. Sci. 2020, 50, 1616–1631. [Google Scholar] [CrossRef] [PubMed]
- Wang, L.; Zhang, P.; Zhang, X.; Lin, W.; Tang, H.; Li, J.; Wang, M.; Liu, X.; Fei, Y.; Chen, H.; et al. Sex Disparities in Clinical Characteristics and Prognosis of Immunoglobulin G4–Related Disease: A Prospective Study of 403 Patients. Rheumatology 2019, 58, 820–830. [Google Scholar] [CrossRef]
- Yamada, K.; Yamamoto, M.; Saeki, T.; Mizushima, I.; Matsui, S.; Fujisawa, Y.; Hara, S.; Takahashi, H.; Nomura, H.; Kawa, S.; et al. New Clues to the Nature of Immunoglobulin G4-Related Disease: A Retrospective Japanese Multicenter Study of Baseline Clinical Features of 334 Cases. Arthritis Res. Ther. 2017, 19, 262. [Google Scholar] [CrossRef]
- Inoue, D.; Yoshida, K.; Yoneda, N.; Ozaki, K.; Matsubara, T.; Nagai, K.; Okumura, K.; Toshima, F.; Toyama, J.; Minami, T.; et al. IgG4-Related Disease: Dataset of 235 Consecutive Patients. Medicine 2015, 94, e680. [Google Scholar] [CrossRef]
- Wallace, Z.S.; Deshpande, V.; Mattoo, H.; Mahajan, V.S.; Kulikova, M.; Pillai, S.; Stone, J.H. IgG4-Related Disease: Clinical and Laboratory Features in One Hundred Twenty-Five Patients: Clinical and laboratory features of igg4-related disease. Arthritis Rheumatol. 2015, 67, 2466–2475. [Google Scholar] [CrossRef]
- Li, P.H.; Ko, K.; Ho, C.T.; Lau, L.L.; Tsang, R.K.; Cheung, T.; Leung, W.; Lau, C. Immunoglobulin G4–Related Disease in Hong Kong: Clinical Features, Treatment Practices, and Its Association with Multisystem Disease. Hong Kong Med. J. 2017, 23, 446–453. [Google Scholar] [CrossRef]
- Niwamoto, T.; Handa, T.; Matsui, S.; Yamamoto, H.; Yoshifuji, H.; Abe, H.; Matsumoto, H.; Kodama, Y.; Chiba, T.; Seno, H.; et al. Phenotyping of IgG4-Related Diseases Based on Affected Organ Pattern: A Multicenter Cohort Study Using Cluster Analysis. Mod. Rheumatol. 2021, 31, 235–240. [Google Scholar] [CrossRef] [PubMed]
- Liu, Z.; Nie, Y.; Peng, Y.; Lu, H.; Zhang, P.; Li, J.; Sun, R.; Li, J.; Sun, B.; He, X.; et al. The External Validation of the 2019 ACR/EULAR Classification Criteria for IgG4-Related Disease in a Large Cohort from China. Semin. Arthritis Rheum. 2023, 61, 152202. [Google Scholar] [CrossRef] [PubMed]
- Liu, Y.; Zhu, L.; Wang, Z.; Zeng, Q.; Yang, F.; Gao, J.; Wang, Z.; Wang, K.; Ren, L.; Zhang, Y.; et al. Clinical Features of IgG4-Related Retroperitoneal Fibrosis among 407 Patients with IgG4-Related Disease: A Retrospective Study. Rheumatology 2021, 60, 767–772. [Google Scholar] [CrossRef]
- Zhang, P.P.; Zhao, J.Z.; Wang, M.; Feng, R.E.; Liu, X.W.; Lai, X.M.; Li, X.J.; Zeng, J.G.; Shi, H.J.; Zhu, H.D.; et al. The clinical characteristics of 346 patients with IgG4-related disease. Zhonghua Nei Ke Za Zhi 2017, 56, 644–649. [Google Scholar] [CrossRef] [PubMed]
- Zeng, Q.; Gao, J.; Zhang, X.; Liu, A.; Wang, Z.; Wang, Z.; Chi, X.; Shi, Q.; Wang, Y.; Yang, F.; et al. Disparities between IgG4-Related Kidney Disease and Extrarenal IgG4-Related Disease in a Case–Control Study Based on 450 Patients. Sci. Rep. 2021, 11, 10397. [Google Scholar] [CrossRef]
- Lin, W.; Lu, S.; Chen, H.; Wu, Q.; Fei, Y.; Li, M.; Zhang, X.; Tian, X.; Zheng, W.; Leng, X.; et al. Clinical Characteristics of Immunoglobulin G4–Related Disease: A Prospective Study of 118 Chinese Patients. Rheumatology 2015, 54, 1982–1990. [Google Scholar] [CrossRef]
- Zongfei, J.; Lingying, M.; Lijuan, Z.; Ying, S.; Rongyi, C.; Dongmei, L.; Xiufang, K.; Xiaomin, D.; Lili, M.; Huiyong, C.; et al. Prognostic Factors in IgG4-Related Disease: A Long-Term Monocentric Chinese Cohort Study. Clin. Rheumatol. 2021, 40, 2293–2300. [Google Scholar] [CrossRef]
- Uchida, K.; Masamune, A.; Shimosegawa, T.; Okazaki, K. Prevalence of IgG4-Related Disease in Japan Based on Nationwide Survey in 2009. Int. J. Rheumatol. 2012, 2012, 358371. [Google Scholar] [CrossRef]
- Tanaka, A.; Mori, M.; Kubota, K.; Naitoh, I.; Nakazawa, T.; Takikawa, H.; Unno, M.; Kamisawa, T.; Kawa, S.; Okazaki, K. Epidemiological Features of Immunoglobulin G4-related Sclerosing Cholangitis in Japan. J. Hepatobiliary Pancreat. Sci. 2020, 27, 598–603. [Google Scholar] [CrossRef]
- Wallwork, R.; Perugino, C.A.; Fu, X.; Harkness, T.; Zhang, Y.; Choi, H.K.; Stone, J.H.; Wallace, Z.S. The Association of Smoking with Immunoglobulin G4–Related Disease: A Case–Control Study. Rheumatology 2021, 60, 5310–5317. [Google Scholar] [CrossRef]
- Umehara, H.; Okazaki, K.; Kawa, S.; Takahashi, H.; Goto, H.; Matsui, S.; Ishizaka, N.; Akamizu, T.; Sato, Y.; Kawano, M.; et al. The 2020 revised comprehensive diagnostic (RCD) criteria for IgG4-RD. Mod. Rheumatol. 2021, 31, 529–533. [Google Scholar] [CrossRef]
- Sánchez-Oro, R.; Alonso-Munõz, E.M.; Romero, L.M. Review of IgG4-related disease. Gastroenterol. Hepatol. 2019, 42, 638–647. [Google Scholar] [CrossRef]
- Lang, D.; Zwerina, J.; Pieringer, H. IgG4-Related Disease: Current Challenges and Future Prospects. TCRM 2016, 12, 189–199. [Google Scholar] [CrossRef] [PubMed]
- Löhr, J.; Beuers, U.; Vujasinovic, M.; Alvaro, D.; Frøkjær, J.B.; Buttgereit, F.; Capurso, G.; Culver, E.L.; De-Madaria, E.; Della-Torre, E.; et al. European Guideline on IgG4-related Digestive Disease—UEG and SGF Evidence-based Recommendations. United Eur. Gastroenterol. J. 2020, 6, 637–666. [Google Scholar] [CrossRef] [PubMed]
- Shimosegawa, T.; Chari, S.T.; Frulloni, L.; Kamisawa, T.; Kawa, S.; Mino-Kenudson, M.; Kim, M.-H.; Klöppel, G.; Lerch, M.M.; Löhr, M.; et al. International Consensus Diagnostic Criteria for Autoimmune Pancreatitis: Guidelines of the International Association of Pancreatology. Pancreas 2011, 40, 352–358. [Google Scholar] [CrossRef] [PubMed]
- Floreani, A.; Okazaki, K.; Uchida, K.; Gershwin, M.E. IgG4-Related Disease: Changing Epidemiology and New Thoughts on a Multisystem Disease. J. Transl. Autoimmun. 2021, 4, 100074. [Google Scholar] [CrossRef] [PubMed]





| Authors, Year, Study Design | Quality Analysis | Number of Participants | Purpose/Primary Outcome | Prevalence by Sex | Prevalence by Topographic Diagnosis | Main Findings |
|---|---|---|---|---|---|---|
| Wang et al., 2018, Cohort [7] | Regular | 403 | To evaluate how the difference between genders influences the treatment and prognosis of IgG4-RD | Symptoms and diagnosis begin primarily in females | Lacrimal glands: 40.2% Salivary glands: 45.4% Pancreas: 36.2% Biliary ducts: 21.6% Retroperitoneal cavity: 19.1% | The sex disparities in clinical characteristics of IgG4-RD indicated that male sex was independently associated with worse prognosis in response to glucocorticoid-based therapy. |
| Yamada et al., 2017, Cohort [8] | Good | 334 | Better and more broadly characterize clinical and laboratory aspects of IgG4-RD | Male: 61.4% Female: 38.6% | Lacrimal glands: 57.1% Salivary glands: 72.7% Pancreas: 25.5% Biliary ducts: 5.4% Retroperitoneal cavity: 24.9% | The serum CRP level is generally low and the serum IgG4 level is elevated in most Japanese IgG4-RD patients, in contrast to Western patients. |
| Inoue et al., 2015, Cohort [9] | Regular | 235 | Characterize the demographic profile and characteristics of patients with IgG4-RD | Male: 80% Female: 20% | Lacrimal glands: 23% Salivary glands: 34% Pancreas: 60% Biliary tracts: 0% Kidneys: 23% Retroperitoneal cavity: 20% | The IgG4 value was significantly higher in patients with multiorgan involvement than in those with a single manifestation (median 629 mg/dL vs. 299 mg/dL, p < 0.01). Of 218 patients, for whom both IgG4 and IgG values were available, the IgG4/IgG ratio was raised to >10% in 194 patients (89%). |
| Wallace et al., 2015, Cohort [10] | Good | 125 | Evaluate the correlation between clinical manifestations in patients diagnosed strictly by anatomopathological correlation | Male: 61% Female: 39% | Lacrimal glands: 22% Salivary glands: 28% Pancreas: 19% Biliary ducts: 0% Retroperitoneal cavity: 18% | Nearly 50% of this patient cohort with biopsy-proven, clinically active IgG4-RD had normal serum IgG4 concentrations. Elevations in the serum IgG4 concentration appeared to identify a subset of patients with a more severe disease phenotype. |
| Li et al., 2017, Cohort [11] | Fair | 104 | To review clinical features, treatment practices and factors associated with multisystem involvement of IgG4-RD in Hong Kong | Not specified | Lacrimal glands: 0% Salivary glands: 33% Pancreas: 40% Biliary tracts: 40% Retroperitoneal cavity 0% | Pre-treatment serum IgG4 is associated with multisystem disease, especially with salivary gland involvement, highlighting its potential for disease prognostication and monitoring. |
| Niwamoto et al., 2020, Cohort [12] | Regular | 108 | Classify IgG4-RD by a combination pattern of affected organs and identify their clinical characteristics, including the comorbidities of each subgroup | Male: 73% Female: 27% | Lacrimal glands: 31% Salivary glands: 68% Pancreas: 32% Biliary tracts: 0% Kidneys: 15% Retroperitoneal cavity: 22% | IgG4-RD can be classified into subgroups according to the pattern of affected organs. Group 5 may have frequent complications with allergies and malignancies. |
| Liu et al., 2023, Cohort [13] | Good | 875 | Externally validate the 2019 American College of Rheumatology and European League Against Rheumatism classification criteria for IgG4-RD and compare them to the 2020 RCD | Male: 59% Female: 41% | Lacrimal glands: 46% Salivary glands: 51% Pancreas: 37% Biliary ducts: 18% Retroperitoneal cavity: 14% | The 2019 ACR/EULAR classification criteria for IgG4-RD show outstanding specificity and good sensitivity in real-world clinical practice. The 2020 criteria are helpful for the diagnosis of IgG4-RD in clinical scenarios where IgG4-RD presents as involving an isolated organ, especially the unusual sites. |
| Liu et al., 2020, Cohort [14] | Good | 407 | To compare demographic, clinical and laboratory characteristics of IgG4-RD patients with retroperitoneal lesions | Male: 54% Female: 47% | Lacrimal glands: 55% Salivary glands: 72.2% Pancreas: 36.4% Biliary tracts: 18.1% Retroperitoneal cavity 9.1% | Demographic, clinical and laboratory differences between IgG4-RD RPF+ and RPF- patients indicated potential differences in pathogenesis and important implications for the diagnosis and management of these two phenotypes. |
| Zhang et al., 2017, Cohort [15] | Fair | 346 | Analyze clinical features of IgG4-RD to improve understanding of IgG4-RD in China | Male: 66.5% Female: 33.5% | Lacrimal glands: 46.5% Salivary glands: 52.6% Pancreas: 38.4% Biliary ducts: 25.4% Lung: 28% Retroperitoneal cavity: 19.9% | IgG4-RD is a systemic fibro-inflammatory disease with multiple-organ involvement. The most commonly involved organs include lymph nodes, submandibular glands and pancreas. Glucocorticoids and immunosuppressive agents were effective for IgG4-RD. |
| Zeng et al., 2021, Case–Control [16] | Good | 450 | To compare demographic, clinical and laboratory characteristics between IgG4-related kidney disease and extrarenal IgG4-related disease, as well as to describe radiological and pathological features | Male: 58% Female: 42% | Lacrimal glands: 48.4% Salivary glands: 65.6% Pancreas: 33.3% Biliary ducts: 0% Retroperitoneal cavity: 14.75% | It was found that renal function was impaired in approximately 40% of IgG4-RKD+ patients. The most common imaging finding is multiple, often bilateral, hypodense lesions. Male sex, more than three organs involved and low serum C3 level were risk factors for IgG4-RKD+ in IgG4-RD patients. |
| Lin et al., 2015, Cohort [17] | Regular | 118 | Characterize the clinical features of IgG4-RD | Male: 69% Female: 31% | Lacrimal glands: 0% Salivary glands: 64.4% Pancreas: 38.1% Biliary ducts: 17.8% Lung: 27.1% Retroperitoneal cavity: 26.3% | IgG4-RD is a systemic inflammatory and sclerosing disease. Parotid and lacrimal involvement (formerly called Mikulicz’s disease), lymphadenopathy and pancreatitis are the most common manifestations. |
| Zongfei et al., 2020, Cohort [18] | Regular | 102 | Identify predictive factors for treatment resistance and IgG4-RD relapse | Male: 75% Female: 25% | Lacrimal glands: 17.6% Salivary glands: 10.7% Pancreas: 20.5% Biliary ducts: 11.7% Retroperitoneal cavity: 43.1% | IgG4-RD is a systemic inflammatory and sclerosing disease. Parotid and lacrimal involvement (formerly called Mikulicz’s disease), lymphadenopathy and pancreatitis are the most common manifestations. |
| [Item 1] Clinical and radiological features |
| One or more organs show diffuse or localized swelling or a mass or nodule characteristic of IgG4-RD. In single-organ involvement, lymph node swelling is omitted. |
| [Item 2] Serological diagnosis |
| Serum IgG4 levels greater than 135 mg/dL. |
| [Item 3] Pathological diagnosis |
| Positivity for two of the following three criteria: |
|
|
|
| Diagnosis: |
|
|
|
Disclaimer/Publisher’s Note: The statements, opinions and data contained in all publications are solely those of the individual author(s) and contributor(s) and not of MDPI and/or the editor(s). MDPI and/or the editor(s) disclaim responsibility for any injury to people or property resulting from any ideas, methods, instructions or products referred to in the content. |
© 2023 by the authors. Licensee MDPI, Basel, Switzerland. This article is an open access article distributed under the terms and conditions of the Creative Commons Attribution (CC BY) license (https://creativecommons.org/licenses/by/4.0/).
Share and Cite
Moreira, J.L.d.S.; Barbosa, S.M.B.; Meneses, P.L.G.M.d.; Barros, P.G.D.d.; Lima, S.d.S.B.; Gomes Junior, D.M.; Leite, G.M.d.S.; Duarte, J.O.; Alencar Junior, G.M.C.d.; Almino, M.A.F.B.; et al. Gastroenterological Manifestations of Immunoglobulin G Subclass 4-Related Disease—Epidemiology, Clinical Manifestations, Diagnosis and Treatment. Life 2023, 13, 1725. https://doi.org/10.3390/life13081725
Moreira JLdS, Barbosa SMB, Meneses PLGMd, Barros PGDd, Lima SdSB, Gomes Junior DM, Leite GMdS, Duarte JO, Alencar Junior GMCd, Almino MAFB, et al. Gastroenterological Manifestations of Immunoglobulin G Subclass 4-Related Disease—Epidemiology, Clinical Manifestations, Diagnosis and Treatment. Life. 2023; 13(8):1725. https://doi.org/10.3390/life13081725
Chicago/Turabian StyleMoreira, Jorge Lucas de Sousa, Sarah Maria Bacurau Barbosa, Pedro Lucas Gomes Moreira de Meneses, Pedro Garcia Dias de Barros, Samuel de Sá Barreto Lima, Damiao Maroto Gomes Junior, Gledson Micael da Silva Leite, Jacob Oliveira Duarte, Galba Matos Cardoso de Alencar Junior, Maria Auxiliadora Ferreira Brito Almino, and et al. 2023. "Gastroenterological Manifestations of Immunoglobulin G Subclass 4-Related Disease—Epidemiology, Clinical Manifestations, Diagnosis and Treatment" Life 13, no. 8: 1725. https://doi.org/10.3390/life13081725
APA StyleMoreira, J. L. d. S., Barbosa, S. M. B., Meneses, P. L. G. M. d., Barros, P. G. D. d., Lima, S. d. S. B., Gomes Junior, D. M., Leite, G. M. d. S., Duarte, J. O., Alencar Junior, G. M. C. d., Almino, M. A. F. B., Cruz, J. M., Batista, H. M. T., Cândido, E. L., Oliveira, G. F. d., Cruz, H. L. M., & Gonçalves Júnior, J. (2023). Gastroenterological Manifestations of Immunoglobulin G Subclass 4-Related Disease—Epidemiology, Clinical Manifestations, Diagnosis and Treatment. Life, 13(8), 1725. https://doi.org/10.3390/life13081725

