The Impact of Atrial Fibrillation on All Heart Chambers Remodeling and Function in Patients with Dilated Cardiomyopathy—A Two- and Three-Dimensional Echocardiography Study
Abstract
1. Introduction
2. Materials and Methods
2.1. Study Population and Design
2.2. Echocardiography
2.2.1. Two-Dimensional Speckle Tracking Echocardiography
Ventricular Deformation Imaging
Atrial Deformation Imaging
2.2.2. Three-Dimensional Echocardiography
Assessment of the LV
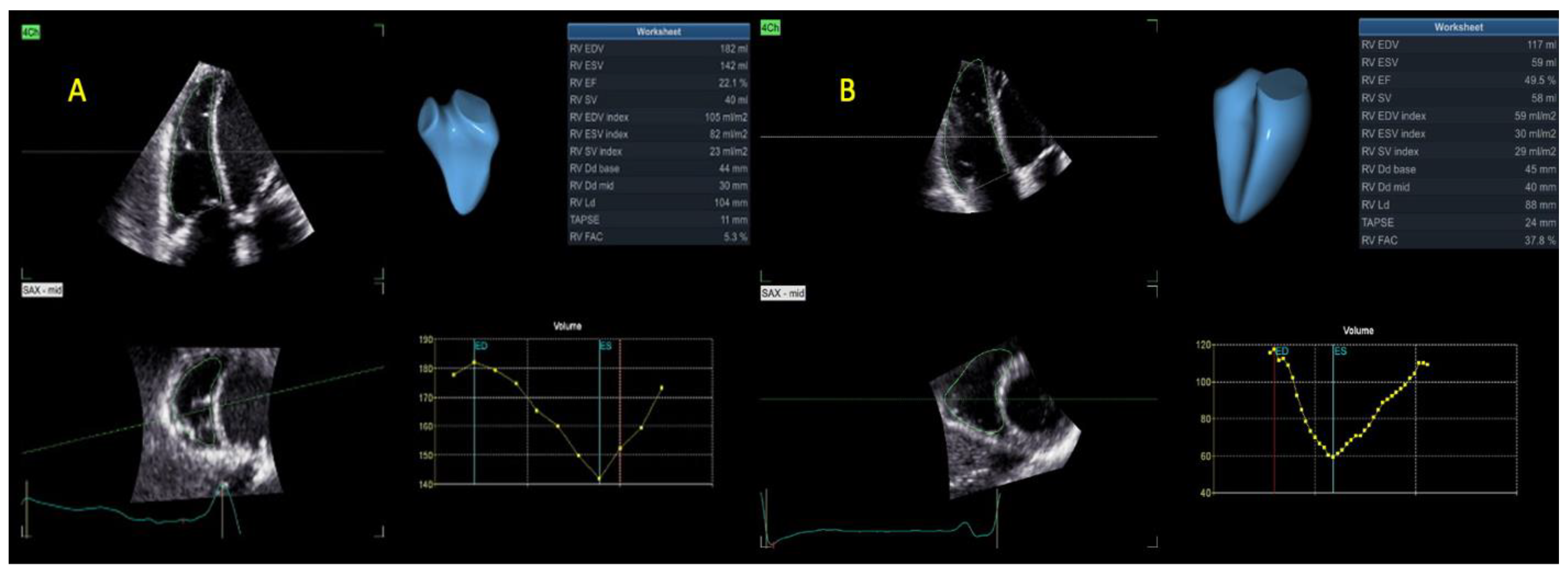
Assessment of the RV
Assessment of the LA and RA
Three-Dimensional Reconstruction of Atrioventricular (Mitral and Tricuspid) Valves
2.3. Statistical Analysis
3. Results
3.1. Patients’ Demographics and Clinical Characteristics
3.2. Conventional 2D, M-Mode and Doppler Measurements
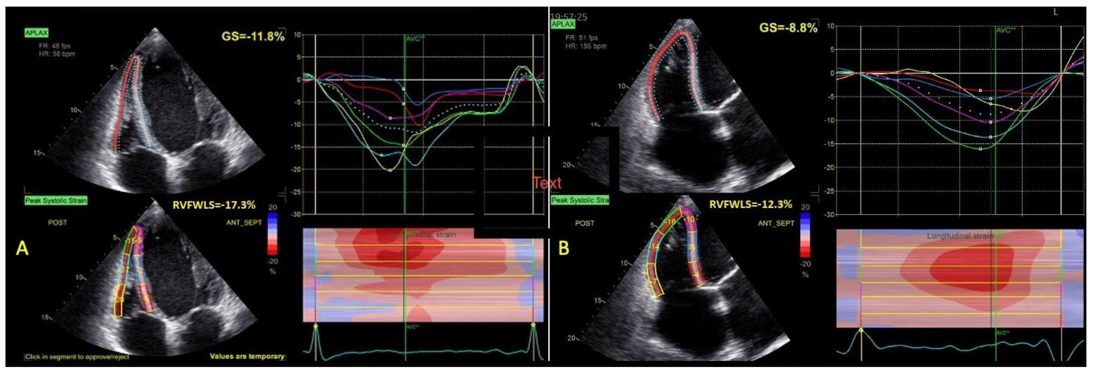
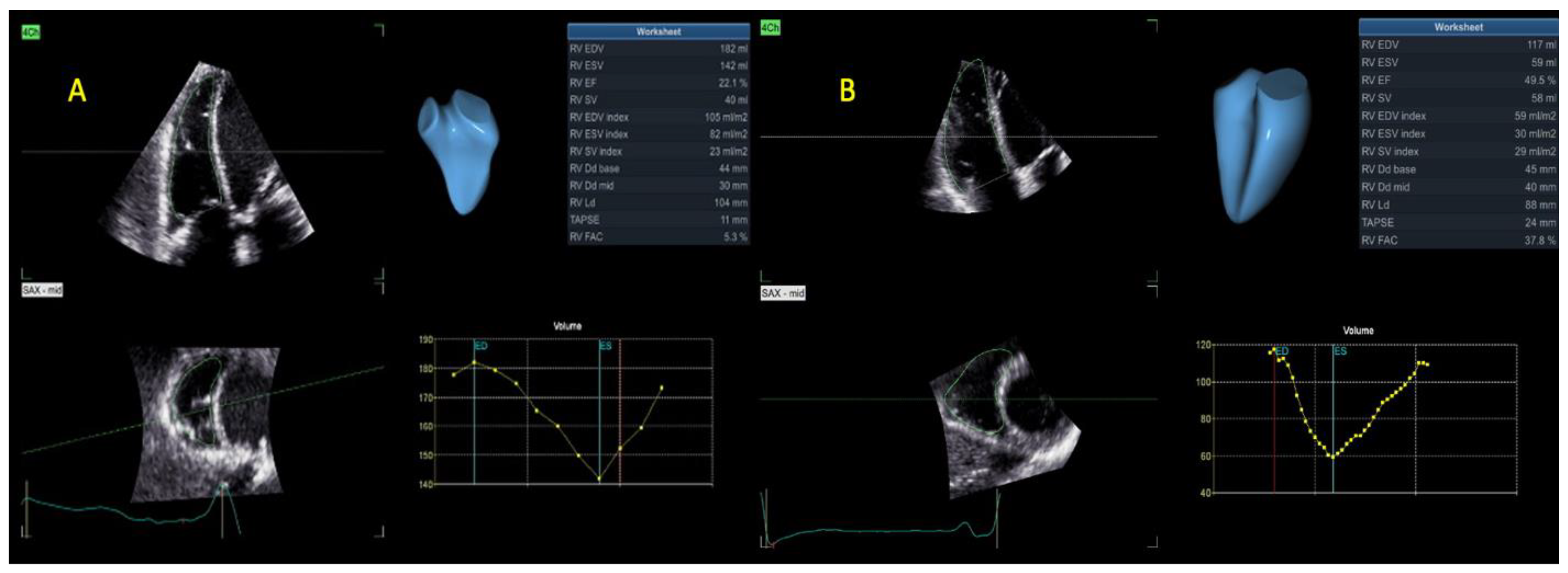
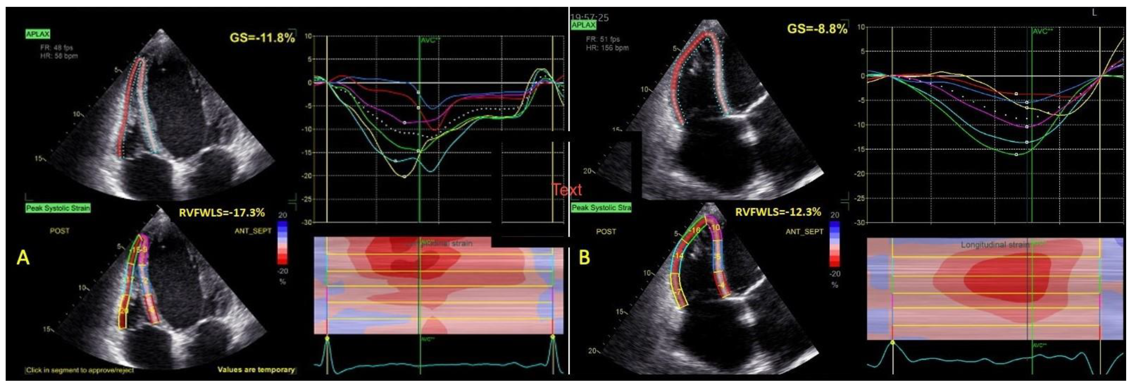
3.3. 2DSTE Strain Analysis and 3DE Analysis (Volumes, EF, Valvular Assessment)
4. Discussion
Study Limitations
5. Conclusions
Author Contributions
Funding
Institutional Review Board Statement
Informed Consent Statement
Data Availability Statement
Conflicts of Interest
References
- Donal, E.; Delgado, V.; Bucciarelli-Ducci, C.; Galli, E.; Haugaa, K.; Charron, P.; Voigt, J.-U.; Cardim, N.; Masci, P.G.; Galderisi, M.; et al. Multimodality imaging in the diagnosis, risk stratification, and management of patients with dilated cardiomyopathies: An expert consensus document from the European Association of Cardiovascular Imaging. Eur. Heart J. Cardiovasc. Imaging 2019, 20, 1075–1093. [Google Scholar] [CrossRef] [PubMed]
- Thiene, G.; Corrado, D.; Basso, C. Revisiting definition and classification of cardiomyopathies in the era of molecular medicine. Eur. Heart J. 2008, 29, 144–146. [Google Scholar] [CrossRef] [PubMed]
- Weintraub, R.G.; Semsarian, C.; Macdonald, P. Dilated cardiomyopathy. Lancet 2017, 390, 400–414. [Google Scholar] [CrossRef] [PubMed]
- Pinto, Y.M.; Elliott, P.M.; Arbustini, E.; Adler, Y.; Anastasakis, A.; Böhm, M.; Duboc, D.; Gimeno, J.; De Groote, P.; Imazio, M.; et al. Proposal for a revised definition of dilated cardiomyopathy, hypokinetic non-dilated cardiomyopathy, and its implications for clinical practice: A position statement of the ESC working group on myocardial and pericardial diseases. Eur. Heart J. 2016, 37, 1850–1858. [Google Scholar] [CrossRef] [PubMed]
- Yeung, C.; Enriquez, A.; Suarez-Fuster, L.; Baranchuk, A. Atrial fibrillation in patients with inherited cardiomyopathies. Europace 2019, 21, 22–32. [Google Scholar] [CrossRef]
- Manuguerra, R.; Callegari, S.; Corradi, D. Inherited structural heart diseases with potential atrial fibrillation occurrence. J. Cardiovasc. Electrophysiol. 2016, 27, 242–252. [Google Scholar] [CrossRef]
- Nuzzi, V.; Cannatà, A.; Manca, P.; Castrichini, M.; Barbati, G.; Aleksova, A.; Fabris, E.; Zecchin, M.; Merlo, M.; Boriani, G.; et al. Atrial fibrillation in dilated cardiomyopathy: Outcome prediction from an observational registry. Int. J. Cardiol. 2021, 323, 140–147. [Google Scholar] [CrossRef]
- Badano, L.P.; Kolias, T.J.; Muraru, D.; Abraham, T.P.; Aurigemma, G.; Edvardsen, T.; D’Hooge, J.; Donal, E.; Fraser, A.G.; Marwick, T.; et al. Standardization of left atrial, right ventricular, and right atrial deformation imaging using two-dimensional speckle tracking echocardiography: A consensus document of the EACVI/ASE/Industry Task Force to standardize deformation imaging. Eur. Heart J. Cardiovasc. Imaging 2018, 19, 591–600. [Google Scholar] [CrossRef]
- Lang, R.M.; Badano, L.P.; Tsang, W.; Adams, D.H.; Agricola, E.; Buck, T.; Faletra, F.F.; Franke, A.; Hung, J.; De Isla, L.P.; et al. EAE/ASE recommendations for image acquisition and display using three-dimensional echocardiography. Eur. Heart J. Cardiovasc. Imaging 2012, 13, 3–46. [Google Scholar] [CrossRef]
- Voigt, J.-U.; Pedrizzetti, G.; Lysyansky, P.; Marwick, T.H.; Houle, H.; Baumann, R.; Pedri, S.; Ito, Y.; Abe, Y.; Metz, S.; et al. Definitions for a common standard for 2D speckle tracking echocardiography: Consensus document of the EACVI/ASE/Industry Task Force to standardize deformation imaging. Eur. Heart J. Cardiovasc. Imaging 2015, 16, 1–11. [Google Scholar] [CrossRef]
- Ilardi, F.; D’andrea, A.; D’ascenzi, F.; Bandera, F.; Benfari, G.; Esposito, R.; Malagoli, A.; Mandoli, G.E.; Santoro, C.; Russo, V.; et al. Myocardial Work by Echocardiography: Principles and Applications in Clinical Practice. J. Clin. Med. 2021, 10, 4521. [Google Scholar] [CrossRef] [PubMed]
- Rudski, L.G.; Lai, W.W.; Afilalo, J.; Hua, L.; Handschumacher, M.D.; Chandrasekaran, K.; Solomon, S.D.; Louie, E.K.; Schiller, N.B. Guidelines for the Echocardiographic Assessment of the Right Heart in Adults: A Report from the American Society of Echocardiography. J. Am. Soc. Echocardiogr. 2010, 23, 685–713. [Google Scholar] [CrossRef] [PubMed]
- Badano, L.P.; Miglioranza, M.H.; Mihăilă, S.; Peluso, D.; Xhaxho, J.; Marra, M.P.; Cucchini, U.; Soriani, N.; Iliceto, S.; Muraru, D. Left Atrial Volumes and Function by Three-Dimensional Echocardiography. Circ. Cardiovasc. Imaging 2016, 9, e004229. [Google Scholar] [CrossRef] [PubMed]
- Lang, R.M.; Badano, L.P.; Mor-Avi, V.; Afilalo, J.; Armstrong, A.; Ernande, L.; Flachskampf, F.A.; Foster, E.; Goldstein, S.A.; Kuznetsova, T.; et al. Recommendations for Cardiac Chamber Quantification by Echocardiography in Adults: An Update from the American Society of Echocardiography and the European Association of Cardiovascular Imaging. J. Am. Soc. Echocardiogr. 2015, 16, 233–271. [Google Scholar]
- Voigt, J.U.; Mălăescu, G.G.; Haugaa, K.; Badano, L. How to do LA strain. Eur. Heart J. Cardiovasc. Imaging 2020, 21, 715–717. [Google Scholar] [CrossRef]
- Florescu, D.R.; Badano, L.P.; Tomaselli, M.; Torlasco, C.; Târtea, G.C.; Bălșeanu, T.A.; Volpato, V.; Volpato, G.; Muraru, D. Automated left atrial volume measurement by two-dimensional speckle-tracking echocardiography: Feasibility, accuracy, and reproducibility. Eur. Heart J. Cardiovasc. Imaging 2022, 23, 85–94. [Google Scholar] [CrossRef]
- Muraru, D.; Hahn, R.T.; Soliman, O.I.; Faletra, F.F.; Basso, C.; Badano, L.P. 3-Dimensional Echocardiography in Imaging the Tricuspid Valve. JACC Cardiovasc. Imaging 2019, 12, 500–515. [Google Scholar] [CrossRef]
- Mihaila Baldea, S.; Muraru, D.; Miglioranza, M.H.; Iliceto, S.; Vinereanu, D.; Badano, L.P. Relation of Mitral Annulus and Left Atrial Dysfunction to the Severity of Functional Mitral Regurgitation in Patients with Dilated Cardiomyopathy. Cardiol. Res. Pract. 2020, 2020, 3261714. [Google Scholar] [CrossRef]
- Deferm, S.; Bertrand, P.B.; Verbrugge, F.H.; Verhaert, D.; Rega, F.; Thomas, J.D.; Vandervoort, P.M. Atrial Functional Mitral Regurgitation: JACC Review Topic of the Week. J. Am. Coll. Cardiol. 2019, 73, 2465–2476. [Google Scholar] [CrossRef]
- Tibayan, F.A.; Wilson, A.; Lai, D.T.M.; Timek, T.A.; Dagum, P.; Rodriguez, F.; Zasio, M.K.; Liang, D.; Daughters, G.T.; Ingels, N.B.; et al. Tenting volume: Three-dimensional assessment of geometric perturbations in functional mitral regurgitation and implications for surgical repair. J. Heart Valve Dis. 2007, 16, 1–7. [Google Scholar]
- de Bonis, M.; Taramasso, M.; Verzini, A.; Ferrara, D.; Lapenna, E.; Calabrese, M.C.; Grimaldi, A.; Alfieri, O. Long-term results of mitral repair for functional mitral regurgitation in idiopathic dilated cardiomyopathy. Eur. J. Cardio Thorac. Surg. 2012, 42, 640–646. [Google Scholar] [CrossRef]
- Khabbaz, K.R.; Mahmood, F.; Shakil, O.; Warraich, H.J.; Gorman, J.H., III; Gorman, R.C.; Matyal, R.; Panzica, P.; Hess, P.E. Dynamic 3-Dimensional Echocardiographic Assessment of Mitral Annular Geometry in Patients with Functional Mitral Regurgitation. Ann. Thorac. Surg. 2013, 95, 105–110. [Google Scholar] [CrossRef]
- Raafs, A.G.; Boscutti, A.; Henkens, M.T.H.M.; van den Broek, W.W.; Verdonschot, J.A.J.; Weerts, J.; Stolfo, D.; Nuzzi, V.; Manca, P.; Hazebroek, M.R.; et al. Global Longitudinal Strain is Incremental to Left Ventricular Ejection Fraction for the Prediction of Outcome in Optimally Treated Dilated Cardiomyopathy Patients. J. Am. Heart Assoc. 2022, 11, e024505. [Google Scholar] [CrossRef] [PubMed]
- Sachdeva, S.; Desai, R.; Andi, K.; Vyas, A.; Deliwala, S.; Sachdeva, R.; Kumar, G. Reduced left atrial strain can predict stroke in atrial fibrillation—A meta-analysis. IJC Heart Vasc. 2021, 36, 100859. [Google Scholar] [CrossRef]
- Lenart-Migdalska, A.; Kaźnica-Wiatr, M.; Drabik, L.; Knap, K.; Smaś-Suska, M.; Podolec, P.; Olszowska, M. Assessment of Left Atrial Function in Patients with Paroxysmal, Persistent, and Permanent Atrial Fibrillation using Two-Dimensional Strain. J. Atr. Fibrillation 2019, 12, 2148. [Google Scholar] [PubMed]
- Rossi, A.; Cicoira, M.; Zanolla, L.; Sandrini, R.; Golia, G.; Zardini, P.; Enriquez-Sarano, M. Determinants and prognostic value of left atrial volume in patients with dilated cardiomyopathy. J. Am. Coll. Cardiol. 2002, 40, 1425. [Google Scholar] [CrossRef]
- Florescu, D.R.; Muraru, D.; Florescu, C.; Volpato, V.; Caravita, S.; Perger, E.; Bălșeanu, T.A.; Parati, G.; Badano, L.P. Right heart chambers geometry and function in patients with the atrial and the ventricular phenotypes of functional tricuspid regurgitation. Eur. Heart J. Cardiovasc. Imaging 2022, 23, 930–940. [Google Scholar] [CrossRef] [PubMed]
- Mangieri, A.; Montalto, C.; Pagnesi, M.; Jabbour, R.J.; Rodés-Cabau, J.; Moat, N.; Colombo, A.; Latib, A. Mechanism and Implications of the Tricuspid Regurgitation. Circ. Cardiovasc. Interv. 2017, 10, e005043. [Google Scholar] [CrossRef]
- Badano, L.P.; Muraru, D.; Enriquez-Sarano, M. Assessment of functional tricuspid regurgitation. Eur. Heart J. 2013, 34, 1875–1885. [Google Scholar] [CrossRef] [PubMed]
- D’Andrea, A.; Scarafile, R.; Riegler, L.; Salerno, G.; Gravino, R.; Cocchia, R.; Castaldo, F.; Allocca, F.; Limongelli, G.; Di Salvo, G.; et al. Right atrial size and deformation in patients with dilated cardiomyopathy undergoing cardiac resynchronization therapy. Eur. J. Heart Fail. 2009, 11, 1169–1177. [Google Scholar] [CrossRef]
- Surkova, E.; Muraru, D.; Genovese, D.; Aruta, P.; Palermo, C.; Badano, L.P. Relative Prognostic Importance of Left and Right Ventricular Ejection Fraction in Patients with Cardiac Diseases. J. Am. Soc. Echocardiogr. 2019, 32, 1407–1415.e3. [Google Scholar] [CrossRef] [PubMed]
- Nagata, Y.; Wu, V.C.-C.; Kado, Y.; Otani, K.; Lin, F.-C.; Otsuji, Y.; Negishi, K.; Takeuchi, M. Prognostic Value of Right Ventricular Ejection Fraction Assessed by Transthoracic 3D Echocardiography. Circ. Cardiovasc. Imaging 2017, 10, e005384. [Google Scholar] [CrossRef] [PubMed]






| Variable | ALL (n = 88) | SR (n = 47) | AF (n = 41) | p Value |
|---|---|---|---|---|
| Age (y), mean | 58 ± 11.8 | 58 ± 12.5 | 58.8 ± 11 | 0.7 |
| Male, n (%) | 73 (82.9%) | 35 (74.4%) | 38 (92.6%) | 0.02 |
| Body surface area (m2) | 1.93 ± 0.2 | 1.89 ± 0.1 | 1.98 ± 0.2 | 0.03 |
| NYHA class at admission (II; III; IV), n | 20; 29; 39 | 18; 18; 11 | 2; 11; 28 | 0.01 |
| Heart rate (beats/min), mean | 78 ± 14 | 76 ± 13 | 81 ± 14 | 0.1 |
| Systolic blood pressure (mmHg), mean | 113 ± 10 | 113 ± 10 | 112 ± 10 | 0.6 |
| Diastolic blood pressure (mmHg), mean | 69 ± 7 | 69 ± 7 | 69 ± 7 | 0.7 |
| Hypertension, n (%) | 29 (32.9%) | 18 (38.3%) | 11 (26.8%) | 0.5 |
| Diabetes mellitus, n (%) | 32 (36%) | 15 (31.9%) | 17 (46.3%) | 0.3 |
| Chronic kidney disease, n (%) | 22 (25%) | 9 (19.1%) | 13 (31.7%) | 0.1 |
| Dyslipidemia, n (%) | 60 (68.2%) | 34 (72.3%) | 26 (63.4%) | 0.3 |
| Tobacco use, n (%) | 24 (27%) | 11 (23.4%) | 13 (31.7%) | 0.3 |
| History of ICD implantation, n (%) | 11 (12.5%) | 5 (10.6%) | 6 (14.6%) | 0.7 |
| Parameter | SR-Group | AF-Group | p Value |
|---|---|---|---|
| LVEDV (mL) | 206 ± 50 | 234 ± 115 | 0.1 |
| LVEDV index (mL/m2) | 110 ± 26 | 117 ± 61 | 0.4 |
| LVESV (mL) | 149 ± 48 | 173 ± 99 | 0.1 |
| LVESV index (mL/m2) | 80 ± 26 | 87 ± 52 | 0.4 |
| LVSV (mL) | 57 ± 13 | 60 ± 22 | 0.3 |
| LVEF (%) | 29 ± 8 | 27 ± 7 | 0.2 |
| RVAd (cm2) | 21 ± 6 | 26 ± 11 | 0.1 |
| RVAs (cm2) | 14 ± 6 | 16 ± 8 | 0.3 |
| RVbasD (mm) | 40 ± 8 | 48 ± 6 | 0.1 |
| RvmidD (mm) | 29 ± 10 | 36 ± 12 | 0.3 |
| Rvlength (mm) | 74 ± 7 | 82 ± 35 | 0.5 |
| TAPSE (mm) | 17 ± 3 | 16 ± 3 | 0.7 |
| RVFAC (%) | 38 ± 11 | 35 ± 8 | 0.1 |
| sPAP (mmHg) | 36 ± 19 | 36 ± 18 | 0.9 |
| TR Rvol (mL) | 35 ± 25 | 44 ± 28 | 0.4 |
| TR EROA (mm2) | 42 ± 32 | 50 ± 35 | 0.6 |
| MR Rvol (mL) | 39 ± 21 | 37 ± 21 | 0.8 |
| MR EROA (mm2) | 28 ± 15 | 30 ± 15 | 0.7 |
| Parameter | SR-Group | AF-Group | p Value |
|---|---|---|---|
| LVGLS (%) | 7.9 ± 3 | 6.2 ± 2 | 0.008 |
| BP LASr (%) | 12.3 ± 7 | 6.9 ± 3 | <0.001 |
| RVFWLS (%) | 17.2 ± 7 | 13.2 ± 5 | 0.004 |
| RASr (%) | 22 ± 12 | 9 ± 6 | <0.001 |
| PSD (ms) | 95 ± 41 | 95 ± 41 | 0.8 |
| MYO GWI (mmHg%) | 616 ± 332 | 474 ± 294 | 0.04 |
| MYO GCW (mmHg%) | 822 ± 352 | 665 ± 365 | 0.04 |
| MYO GWW (mmHg%) | 193 ± 163 | 144 ± 77 | 0.08 |
| MYO GWE (%) | 77 ± 11 | 77 ± 9 | 0.8 |
| Parameter | SR-Group | AF-Group | p Value |
|---|---|---|---|
| 3D LVEDV (mL) | 214 ± 56 | 256 ± 112 | >0.05 |
| 3D LVEDV index (mL/m2) | 111 ± 32 | 135 ± 68 | 0.08 |
| 3D LVESV (mL) | 152 ± 51 | 191 ± 101 | >0.05 |
| 3D LVESV index (mL/m2) | 82 ± 25 | 96 ± 54 | 0.1 |
| 3D LVSV (mL) | 60 ± 14 | 64 ± 21 | 0.3 |
| 3D LVSV index (mL/m2) | 32 ± 7 | 31 ± 12 | 0.6 |
| 3D LVEF (%) | 31 ± 9 | 27 ± 8 | 0.1 |
| 3D RVEDV (mL) | 93 ± 47 | 127 ± 59 | 0.01 |
| 3D RVEDV index (mL/m2) | 49 ± 25 | 67 ± 29 | 0.01 |
| 3D RVESV (mL) | 55 ± 35 | 80 ± 44 | 0.01 |
| 3D RVESV index (mL/m2) | 30 ± 19 | 43 ± 21 | 0.01 |
| 3D RVSV (mL) | 38 ± 16 | 47 ± 19 | 0.039 |
| 3D RVSV index (mL/m2) | 20 ± 8 | 25 ± 10 | 0.058 |
| 3D RVEF (%) | 44 ± 10 | 38 ± 8 | 0.03 |
| 3D LAV max (mL) | 80 ± 22 | 107 ± 35 | <0.001 |
| 3D LAV max index (mL/m2) | 44 ± 13 | 55 ± 14 | 0.002 |
| 3D LAV min (mL) | 58 ± 25 | 89 ± 29 | <0.001 |
| 3D LAV min index (mL/m3) | 32 ± 14 | 44 ± 15 | 0.002 |
| 3D LA EF (%) | 30 ± 15 | 17 ± 6 | <0.001 |
| 3D RAV max (mL) | 57 ± 27 | 87 ± 43 | 0.001 |
| 3D RAV max index (mL/m2) | 31 ± 14 | 44 ± 21 | 0.006 |
| 3D RAV min (mL) | 40 ± 24 | 67 ± 35 | <0.001 |
| 3D RAV min index (mL/m2) | 22 ± 12 | 34 ± 19 | 0.005 |
| 3D RA EF (%) | 31 ± 12 | 23 ± 12 | 0.01 |
| Parameter | SR-Group | AF-Group | p Value |
|---|---|---|---|
| MV 3D Annulus Area (cm2) | 12 ± 3 | 15 ± 3 | 0.008 |
| MV 2D Annulus Area (cm2) | 12 ± 3 | 14 ± 3 | 0.009 |
| MV Annulus Perimeter (cm) | 17 ± 26 | 14 ± 2 | 0.4 |
| MV A-P Diameter (cm) | 3 ± 0.4 | 4 ± 0.5 | 0.003 |
| MV AL-PM Diameter (cm) | 3.9 ± 0.5 | 4.3 ± 0.5 | 0.02 |
| MV Annulus Height (mm) | 5 ± 2 | 6 ± 2 | 0.3 |
| MV Saddle Angle (degrees) | 159 ± 18 | 156 ± 16 | 0.5 |
| MV Annulus Area Fraction (%) | −2 ± 5 | 0.4 ± 3 | 0.03 |
| MV Tenting Height (cm) | 1 ± 0.3 | 1.3 ± 0.2 | 0.002 |
| MV Tenting Volume (mL) | 5 ± 2 | 8 ± 4 | 0.01 |
| TV 3D Annulus Area (cm2) | 10 ± 3 | 12 ± 3 | 0.053 |
| TV 2D Annulus Area (cm2) | 10 ± 3 | 12 ± 2 | 0.053 |
| TV Annulus Area Change (%) | 15 ± 7 | 13 ± 4 | 0.2 |
| TV Annulus Perimeter (cm) | 11 ± 2 | 12 ± 2 | 0.2 |
| TV 4CH Diameter (cm) | 3 ± 0.7 | 4 ± 0.7 | 0.01 |
| TV Major Diameter (cm) | 4 ± 0.7 | 6 ± 0.8 | 0.2 |
| TV Minor Diameter (cm) | 3 ± 0.6 | 3 ± 0.7 | 0.7 |
| TV Tenting Height (cm) | 0.7 ± 0.3 | 0.8 ± 0.2 | 0.3 |
| TV Tenting Volume (mL) | 2 ± 1 | 3 ± 2 | 0.1 |
Disclaimer/Publisher’s Note: The statements, opinions and data contained in all publications are solely those of the individual author(s) and contributor(s) and not of MDPI and/or the editor(s). MDPI and/or the editor(s) disclaim responsibility for any injury to people or property resulting from any ideas, methods, instructions or products referred to in the content. |
© 2023 by the authors. Licensee MDPI, Basel, Switzerland. This article is an open access article distributed under the terms and conditions of the Creative Commons Attribution (CC BY) license (https://creativecommons.org/licenses/by/4.0/).
Share and Cite
Iovănescu, M.L.; Hădăreanu, D.R.; Toader, D.M.; Florescu, C.; Istrătoaie, O.; Donoiu, I.; Militaru, C. The Impact of Atrial Fibrillation on All Heart Chambers Remodeling and Function in Patients with Dilated Cardiomyopathy—A Two- and Three-Dimensional Echocardiography Study. Life 2023, 13, 1421. https://doi.org/10.3390/life13061421
Iovănescu ML, Hădăreanu DR, Toader DM, Florescu C, Istrătoaie O, Donoiu I, Militaru C. The Impact of Atrial Fibrillation on All Heart Chambers Remodeling and Function in Patients with Dilated Cardiomyopathy—A Two- and Three-Dimensional Echocardiography Study. Life. 2023; 13(6):1421. https://doi.org/10.3390/life13061421
Chicago/Turabian StyleIovănescu, Maria L., Diana R. Hădăreanu, Despina M. Toader, Cristina Florescu, Octavian Istrătoaie, Ionuţ Donoiu, and Constantin Militaru. 2023. "The Impact of Atrial Fibrillation on All Heart Chambers Remodeling and Function in Patients with Dilated Cardiomyopathy—A Two- and Three-Dimensional Echocardiography Study" Life 13, no. 6: 1421. https://doi.org/10.3390/life13061421
APA StyleIovănescu, M. L., Hădăreanu, D. R., Toader, D. M., Florescu, C., Istrătoaie, O., Donoiu, I., & Militaru, C. (2023). The Impact of Atrial Fibrillation on All Heart Chambers Remodeling and Function in Patients with Dilated Cardiomyopathy—A Two- and Three-Dimensional Echocardiography Study. Life, 13(6), 1421. https://doi.org/10.3390/life13061421

