Hepatocellular Carcinoma: Optimal Radiological Evaluation before Liver Transplantation
Abstract
1. Introduction
2. Eligibility Criteria for Liver Transplantation
| Eligibility Criteria for LT | Criteria | Design | Reference for Tumor Measurement | HCC Diagnosis | Population Size within Criteria | Survival |
|---|---|---|---|---|---|---|
| Milan Mazzaferro V, 1996 [2] |
|
| Not mentioned | Biopsy or AFP > 300 ng/mL | 48 | 4-year OS: 75% |
| UCSF Yao FY, 2001 [8] |
|
| CT (42%), MRI (20%), US (38%) | Pathology on liver explants | 70 | 5-year OS: 75% |
| Up-to-Seven (Metroticket 1.0) Mazzaferro V, 2009 [9] |
|
| Pathology on liver explants | Pathology on liver explants | 283 | 5-year OS: 75% |
| French-AFP cohort Duvoux C, 2012 [10] | Score ≤ 2 (model including largest diameter, AFP, number of tumors) |
| Pathology on liver explants | Pathology on liver explants | 791 | 5-year OS: 67% |
| Metroticket 2.0 Mazzaferro V, 2018 [11] |
|
| CT, MRI | Biopsy or imaging (EASL/AASLD guidelines) | 1055 | 5-year OS: 81% |
3. CT and MRI Technical Requirements and Protocols
The Added Value of the Hepatobiliary Phase
4. The Performance of CT and MRI for the Diagnosis of HCC before Liver Transplantation
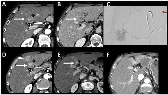
5. Evaluation of Tumoral Response after Local Regional Therapy
5.1. Evaluation following Percutaneous Thermal Ablation and TACE
5.2. Evaluation after TARE
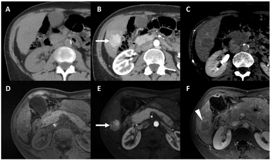
6. Prediction of HCC Aggressiveness and the Impact on LT Outcome
6.1. Features of HCC Aggressiveness
6.2. Prognostic Value of Imaging
6.3. Imaging of Microvascular Invasion
6.4. Imaging Features with Positive Prognostic Value
7. The Role of Positron Emission Tomography before Liver Transplantation
8. Future Directions: The Emerging Role of Artificial Intelligence
9. Tips and Tricks for Daily Practice
- Accurate staging of HCC is of paramount importance in patients with HCC prior to LT.
- CT and MRI should be performed as close as possible to the date of LT to avoid missing any tumor appearance or progression that may potentially affect the clinical outcome of patients.
- The technical standard of CT and MRI should be consistent with LI-RADS guidelines and the use of non-invasive diagnostic criteria for HCC should be adapted to clinical needs; in particular, an increase in diagnostic specificity should be achieved considering the organ shortage.
- Use of the standardized LI-RADS lexicon is recommended.
- Particular attention should be paid to cases with discrepancies between AFP levels and radiological staging and to imaging features that may predict the aggressiveness of HCC (i.e., features associated with MVI, features associated with tumor subtypes, HBP appearance). Although these features are not currently used to select patients for transplantation, it is likely that more detailed evaluation of these features may lead to better optimization of patient selection in the future.
- Knowledge of common radiological appearance and physiological modifications after LRT is necessary to avoid misinterpretation of tumor progression and to correctly assess tumoral response.
- Lipdiodol deposition pattern should be used on CT as a prognostic marker of LRT response.
- For imaging evaluation of HCC after LRT, the RECIST criteria should not be applied as they underestimate pathological response, and the mRECIST or LIRADS algorithm should be applied in this case.
10. Conclusions
Author Contributions
Funding
Institutional Review Board Statement
Informed Consent Statement
Data Availability Statement
Conflicts of Interest
Abbreviations
| AASLD | American Association for the study of Liver Diseases |
| APASL | Asian Pacific Association for the Study of the Liver |
| APHE | Arterial phase hyperenhancement |
| CT | Computed tomography |
| EASL | European Association for the Study of the Liver |
| HBP | Hepatobiliary phase |
| HCC | Hepatocellular carcinoma |
| KLCA-NCC | Korean Liver Cancer Association-National Cancer Center |
| LI-RADS | Liver Imaging Reporting and Data System |
| LT | Liver transplantation |
| LRT | Local regional therapy |
| MRI | Magnetic resonance imaging |
| MVI | Microvascular invasion |
| PET | Positron emission tomography |
| RECIST | Response evaluation criteria in solid tumors |
| TACE | Transarterial chemoembolization |
| TARE | Transarterial radioembolization |
| TIV | Tumor in vein |
| UCSF | University of California San Francisco |
| VETC | Vessel Encapsulated Tumor Clusters |
| WHO | World Health Organization |
References
- Reig, M.; Forner, A.; Rimola, J.; Ferrer-Fàbrega, J.; Burrel, M.; Garcia-Criado, Á.; Kelley, R.K.; Galle, P.R.; Mazzaferro, V.; Salem, R.; et al. BCLC strategy for prognosis prediction and treatment recommendation: The 2022 update. J. Hepatol. 2022, 76, 681–693. [Google Scholar] [CrossRef]
- Mazzaferro, V.M.; Regalia, E.; Doci, R.; Andreola, S.; Pulvirenti, A.; Bozzetti, F.; Montalto, F.; Ammatuna, M.; Morabito, A.; Gennari, L. Liver transplantation for the treatment of small hepatocellular carcinomas in patients with cirrhosis. N. Engl. J. Med. 1996, 334, 693–699. [Google Scholar] [CrossRef]
- Llovet, J.M.; Brú, C.; Bruix, J. Prognosis of hepatocellular carcinoma: The BCLC staging classification. Semin. Liver Dis. 1999, 19, 329–338. [Google Scholar] [CrossRef] [PubMed]
- Mazzaferro, V.; Citterio, D.; Bhoori, S.; Bongini, M.; Miceli, R.; De Carlis, L.; Colledan, M.; Salizzoni, M.; Romagnoli, R.; Antonelli, B.; et al. Liver transplantation in hepatocellular carcinoma after tumour downstaging (XXL): A randomised, controlled, phase 2b/3 trial. Lancet Oncol. 2020, 21, 947–956. [Google Scholar] [CrossRef]
- Geissler, E.K.; Schnitzbauer, A.A.; Zülke, C.; Lamby, P.E.; Proneth, A.; Duvoux, C.; Burra, P.; Jauch, K.-W.; Rentsch, M.; Ganten, T.M.; et al. Sirolimus Use in Liver Transplant Recipients with Hepatocellular Carcinoma: A Randomized, Multicenter, Open-Label Phase 3 Trial. Transplantation 2016, 100, 116–125. [Google Scholar] [CrossRef]
- Freeman, R.B.; Mithoefer, A.; Ruthazer, R.; Nguyen, K.; Schore, A.; Harper, A.; Edwards, E. Optimizing staging for hepatocellular carcinoma before liver transplantation: A retrospective analysis of the UNOS/OPTN database. Liver Transplant. 2006, 12, 1504–1511. [Google Scholar] [CrossRef] [PubMed]
- Wald, C.; Russo, M.W.; Heimbach, J.K.; Hussain, H.K.; Pomfret, E.A.; Bruix, J.; Sandow, T.A.; Arndt, S.E.; Albar, A.A.; DeVun, D.A.; et al. New OPTN/UNOS policy for liver transplant allocation: Standardization of liver imaging, diagnosis, classification, and reporting of hepatocellular carcinoma. Radiology 2013, 266, 376–382. [Google Scholar] [CrossRef] [PubMed]
- Yao, F.Y.; Ferrell, L.; Bass, N.M.; Watson, J.J.; Bacchetti, P.; Venook, A.; Ascher, N.L.; Roberts, J.P. Liver transplantation for hepatocellular carcinoma: Expansion of the tumor size limits does not adversely impact survival. Hepatology 2001, 33, 1394–1403. [Google Scholar] [CrossRef] [PubMed]
- Mazzaferro, V.M.; Llovet, J.M.; Miceli, R.; Bhoori, S.; Schiavo, M.; Mariani, L.; Camerini, T.; Roayaie, S.; Schwartz, M.E.; Grazi, G.L.; et al. Predicting survival after liver transplantation in patients with hepatocellular carcinoma beyond the Milan criteria: A retrospective, exploratory analysis. Lancet Oncol. 2009, 10, 35–43. [Google Scholar] [CrossRef] [PubMed]
- Duvoux, C.; Roudot–Thoraval, F.; Decaens, T.; Pessione, F.; Badran, H.; Piardi, T.; Francoz, C.; Compagnon, P.; Vanlemmens, C.; Dumortier, J.; et al. Liver transplantation for hepatocellular carcinoma: A model including α-fetoprotein improves the performance of Milan criteria. Gastroenterology 2012, 143, 986–994.e3, quiz e14–15. [Google Scholar] [CrossRef]
- Mazzaferro, V.; Sposito, C.; Zhou, J.; Pinna, A.D.; De Carlis, L.; Fan, J.; Cescon, M.; Di Sandro, S.; Yi-Feng, H.; Lauterio, A.; et al. Metroticket 2.0 Model for Analysis of Competing Risks of Death After Liver Transplantation for Hepatocellular Carcinoma. Gastroenterology 2018, 154, 128–139. [Google Scholar] [CrossRef]
- Liver Reporting & Data System|American College of Radiology. Available online: https://www.acr.org/Clinical-Resources/Reporting-and-Data-Systems/LI-RADS (accessed on 6 July 2023).
- Heimbach, J.K.; Kulik, L.M.; Finn, R.S.; Sirlin, C.B.; Abecassis, M.M.; Roberts, L.R.; Zhu, A.X.; Murad, M.H.; Marrero, J.A. AASLD guidelines for the treatment of hepatocellular carcinoma. Hepatology 2018, 67, 358–380. [Google Scholar] [CrossRef] [PubMed]
- Centonze, L.; Di Sandro, S.; Lauterio, A.; De Carlis, R.; Sgrazzutti, C.; Ciulli, C.; Vella, I.; Vicentin, I.; Incarbone, N.; Bagnardi, V.; et al. A retrospective single-centre analysis of the oncological impact of LI-RADS classification applied to Metroticket 2.0 calculator in liver transplantation: Every nodule matters. Transpl. Int. 2021, 34, 1712–1721. [Google Scholar] [CrossRef] [PubMed]
- Bae, J.S.; Lee, D.H.; Lee, S.M.; Suh, K.-S.; Lee, K.-W.; Yi, N.-J.; Lee, K.B.; Kim, H.; Han, J.K. Performance of LI-RADS Version 2018 on CT for Determining Eligibility for Liver Transplant According to Milan Criteria in Patients at High Risk for Hepatocellular Carcinoma. AJR Am. J. Roentgenol. 2022, 219, 86–96. [Google Scholar] [CrossRef] [PubMed]
- Mahmud, N. Selection for Liver Transplantation: Indications and Evaluation. Curr. Hepatol. Rep. 2020, 19, 203–212. [Google Scholar] [CrossRef] [PubMed]
- LI-RADS-2018-Core.pdf. Available online: https://www.acr.org/-/media/ACR/Files/RADS/LI-RADS/LI-RADS-2018-Core.pdf (accessed on 1 July 2023).
- Dioguardi Burgio, M.; Ronot, M.; Paulatto, L.; Terraz, S.; Vilgrain, V.; Brancatelli, G. Avoiding Pitfalls in the Interpretation of Gadoxetic Acid-Enhanced Magnetic Resonance Imaging. Semin. Ultrasound CT MRI 2016, 37, 561–572. [Google Scholar] [CrossRef] [PubMed]
- Braga, F.A.; Torres, U.S.; Iared, W.; D’ippolito, G. Does hypointense HCC in the Hepatobiliary Phase at Gadoxetate-Enhanced MRI Predict Recurrence After Surgery? A Systematic Review and Meta-analysis. Acad. Radiol. 2022, 30, 1298–1305. [Google Scholar] [CrossRef] [PubMed]
- Hong, S.B.; Choi, S.H.; Kim, S.Y.; Shim, J.H.; Lee, S.S.; Byun, J.H.; Park, S.H.; Kim, K.W.; Kim, S.; Lee, N.K. MRI Features for Predicting Microvascular Invasion of Hepatocellular Carcinoma: A Systematic Review and Meta-Analysis. Liver Cancer 2021, 10, 94–106. [Google Scholar] [CrossRef]
- Wu, Y.; Zhu, M.; Liu, Y.; Cao, X.; Zhang, G.; Yin, L. Peritumoral Imaging Manifestations on Gd-EOB-DTPA-Enhanced MRI for Preoperative Prediction of Microvascular Invasion in Hepatocellular Carcinoma: A Systematic Review and Meta-Analysis. Front. Oncol. 2022, 12, 907076. [Google Scholar] [CrossRef]
- Rostambeigi, N.; Taylor, A.J.; Golzarian, J.; Jensen, E.H.; Pruett, T.L.; Dudeja, V.; D’Souza, D. Effect of MRI Versus MDCT on Milan Criteria Scores and Liver Transplantation Eligibility. Am. J. Roentgenol. 2016, 206, 726–733. [Google Scholar] [CrossRef]
- Semaan, S.; Violi, N.V.; Lewis, S.; Chatterji, M.; Song, C.; Besa, C.; Babb, J.S.; Fiel, M.I.; Schwartz, M.; Thung, S.; et al. Hepatocellular carcinoma detection in liver cirrhosis: Diagnostic performance of contrast-enhanced CT vs. MRI with extracellular contrast vs. gadoxetic acid. Eur. Radiol. 2020, 30, 1020–1030. [Google Scholar] [CrossRef] [PubMed]
- European Association for the Study of the Liver. EASL Clinical Practice Guidelines: Management of hepatocellular carcinoma. J. Hepatol. 2018, 69, 182–236. [Google Scholar] [CrossRef] [PubMed]
- Marrero, J.A.; Kulik, L.M.; Sirlin, C.B.; Zhu, A.X.; Finn, R.S.; Abecassis, M.M.; Roberts, L.R.; Heimbach, J.K. Diagnosis, Staging, and Management of Hepatocellular Carcinoma: 2018 Practice Guidance by the American Association for the Study of Liver Diseases. Hepatology 2018, 68, 723–750. [Google Scholar] [CrossRef] [PubMed]
- Cunha, G.M.; Tamayo-Murillo, D.E.; Fowler, K.J. LI-RADS and transplantation: Challenges and controversies. Abdom. Radiol. 2021, 46, 29–42. [Google Scholar] [CrossRef] [PubMed]
- Korean Liver Cancer Association (KLCA) and National Cancer Center (NCC) Korea. 2022 KLCA-NCC Korea practice guidelines for the management of hepatocellular carcinoma. Clin. Mol. Hepatol. 2022, 28, 583–705. [Google Scholar] [CrossRef] [PubMed]
- Omata, M.; Cheng, A.-L.; Kokudo, N.; Kudo, M.; Lee, J.M.; Jia, J.; Tateishi, R.; Han, K.-H.; Chawla, Y.K.; Shiina, S.; et al. Asia–Pacific clinical practice guidelines on the management of hepatocellular carcinoma: A 2017 update. Hepatol. Int. 2017, 11, 317–370. [Google Scholar] [CrossRef] [PubMed]
- Clarke, C.; Albazaz, R.; Smith, C.; Rowe, I.; Treanor, D.; Wyatt, J.; Sheridan, M.; Guthrie, J. Comparison of LI-RADS with other non-invasive liver MRI criteria and radiological opinion for diagnosing hepatocellular carcinoma in cirrhotic livers using gadoxetic acid with histopathological explant correlation. Clin. Radiol. 2021, 76, 333–341. [Google Scholar] [CrossRef]
- Jeon, S.K.; Lee, J.M.; Joo, I.; Yoo, J.; Park, J.-Y. Comparison of guidelines for diagnosis of hepatocellular carcinoma using gadoxetic acid-enhanced MRI in transplantation candidates. Eur. Radiol. 2020, 30, 4762–4771. [Google Scholar] [CrossRef]
- Odedra, D.; Jandaghi, A.B.; Bhayana, R.; Elbanna, K.Y.; Espin-Garcia, O.; Fischer, S.E.; Ghanekar, A.; Sapisochin, G.; Jhaveri, K.S. Comparison of international guidelines for diagnosis of hepatocellular carcinoma and implications for transplant allocation in liver transplantation candidates with gadoxetic acid enhanced liver MRI versus contrast enhanced CT: A prospective study with liver explant histopathological correlation. Cancer Imaging 2022, 22, 55. [Google Scholar] [CrossRef]
- Seo, N.; Kim, M.S.; Park, M.-S.; Choi, J.-Y.; An, C.; Han, K.; Kim, S.U.; Joo, D.J.; Kim, M.-J. Optimal criteria for hepatocellular carcinoma diagnosis using CT in patients undergoing liver transplantation. Eur. Radiol. 2019, 29, 1022–1031. [Google Scholar] [CrossRef]
- Cannella, R.; Cunha, G.M.; Catania, R.; Chupetlovska, K.; Borhani, A.A.; Fowler, K.J.; Furlan, A. Magnetic Resonance Imaging of Nonhepatocellular Malignancies in Chronic Liver Disease. Magn. Reson. Imaging Clin. N. Am. 2021, 29, 404–418. [Google Scholar] [CrossRef] [PubMed]
- van der Pol, C.B.; Lim, C.S.; Sirlin, C.B.; McGrath, T.A.; Salameh, J.-P.; Bashir, M.R.; Tang, A.; Singal, A.G.; Costa, A.F.; Fowler, K.; et al. Accuracy of the Liver Imaging Reporting and Data System in Computed Tomography and Magnetic Resonance Image Analysis of Hepatocellular Carcinoma or Overall Malignancy-A Systematic Review. Gastroenterology 2019, 156, 976–986. [Google Scholar] [CrossRef] [PubMed]
- Lee, S.; Kim, Y.-Y.; Shin, J.; Hwang, S.H.; Roh, Y.H.; Chung, Y.E.; Choi, J.-Y. CT and MRI Liver Imaging Reporting and Data System Version 2018 for Hepatocellular Carcinoma: A Systematic Review with Meta-Analysis. J. Am. Coll. Radiol. JACR 2020, 17, 1199–1206. [Google Scholar] [CrossRef] [PubMed]
- Piñero, F.; Thompson, M.A.; Telli, F.D.; Trentacoste, J.; Padín, C.; Mendizabal, M.; Colaci, C.; Campaña, A.G.; Pages, J.; Montal, S.; et al. LI-RADS 4 or 5 categorization may not be clinically relevant for decision-making processes: A prospective cohort study. Ann. Hepatol. 2020, 19, 662–667. [Google Scholar] [CrossRef] [PubMed]
- Tang, A.; Fowler, K.J.; Chernyak, V.; Chapman, W.C.; Sirlin, C.B. LI-RADS and transplantation for hepatocellular carcinoma. Abdom. Radiol. N. Y. 2018, 43, 193–202. [Google Scholar] [CrossRef] [PubMed]
- Ludwig, D.R.; Fraum, T.J.; Cannella, R.; Ballard, D.H.; Tsai, R.; Naeem, M.; LeBlanc, M.; Salter, A.; Tsung, A.; Shetty, A.S.; et al. Hepatocellular carcinoma (HCC) vs. non-HCC: Accuracy and reliability of Liver Imaging Reporting and Data System v2018. Abdom. Radiol. N. Y. 2019, 44, 2116–2132. [Google Scholar] [CrossRef] [PubMed]
- Shin, J.; Lee, S.; Hwang, J.A.; Lee, J.E.; Chung, Y.E.; Choi, J.-Y.; Park, M.-S. MRI-diagnosis of category LR-M observations in the Liver Imaging Reporting and Data System v2018: A systematic review and meta-analysis. Eur. Radiol. 2022, 32, 3319–3326. [Google Scholar] [CrossRef]
- Oligane, H.C.; Xing, M.; Kim, H.S. Effect of Bridging Local-Regional Therapy on Recurrence of Hepatocellular Carcinoma and Survival after Orthotopic Liver Transplantation. Radiology 2017, 282, 869–879. [Google Scholar] [CrossRef]
- Llovet, J.M.; De Baere, T.; Kulik, L.; Haber, P.K.; Greten, T.F.; Meyer, T.; Lencioni, R. Locoregional therapies in the era of molecular and immune treatments for hepatocellular carcinoma. Nat. Rev. Gastroenterol. Hepatol. 2021, 18, 293–313. [Google Scholar] [CrossRef]
- Eisenhauer, E.A.; Therasse, P.; Bogaerts, J.; Schwartz, L.H.; Sargent, D.; Ford, R.; Dancey, J.; Arbuck, S.; Gwyther, S.; Mooney, M.; et al. New response evaluation criteria in solid tumours: Revised RECIST guideline (version 1.1). Eur. J. Cancer 2009, 45, 228–247. [Google Scholar] [CrossRef]
- Dioguardi Burgio, M.; Ronot, M.; Bruno, O.; Francoz, C.; Paradis, V.; Castera, L.; Durand, F.; Soubrane, O.; Vilgrain, V. Correlation of tumor response on computed tomography with pathological necrosis in hepatocellular carcinoma treated by chemoembolization before liver transplantation. Liver Transplant. 2016, 22, 1491–1500. [Google Scholar] [CrossRef] [PubMed]
- Lencioni, R.; Llovet, J.M. Modified RECIST (mRECIST) assessment for hepatocellular carcinoma. Semin. Liver Dis. 2010, 30, 52–60. [Google Scholar] [CrossRef] [PubMed]
- Bargellini, I.; Bozzi, E.; Campani, D.; Carrai, P.; De Simone, P.; Pollina, L.; Cioni, R.; Filipponi, F.; Bartolozzi, C. Modified RECIST to assess tumor response after transarterial chemoembolization of hepatocellular carcinoma: CT-pathologic correlation in 178 liver explants. Eur. J. Radiol. 2013, 82, e212–e218. [Google Scholar] [CrossRef] [PubMed]
- Bargellini, I.; Vignali, C.; Cioni, R.; Petruzzi, P.; Cicorelli, A.; Campani, D.; De Simone, P.; Filipponi, F.; Bartolozzi, C. Hepatocellular carcinoma: CT for tumor response after transarterial chemoembolization in patients exceeding Milan criteria--selection parameter for liver transplantation. Radiology 2010, 255, 289–300. [Google Scholar] [CrossRef] [PubMed][Green Version]
- Lee, D.D.; Samoylova, M.; Mehta, N.; Musto, K.R.; Roberts, J.P.; Yao, F.Y.; Harnois, D.M. The mRECIST Classification Provides Insight into Tumor Biology for Patients with Hepatocellular Carcinoma Awaiting Liver Transplantation. Liver Transpl. 2019, 25, 228–241. [Google Scholar] [CrossRef] [PubMed]
- Cucchetti, A.; Serenari, M.; Sposito, C.; Di Sandro, S.; Mosconi, C.; Vicentin, I.; Garanzini, E.; Mazzaferro, V.; De Carlis, L.; Golfieri, R.; et al. Including mRECIST in the Metroticket 2.0 criteria improves prediction of hepatocellular carcinoma-related death after liver transplant. J. Hepatol. 2020, 73, 342–348. [Google Scholar] [CrossRef] [PubMed]
- Bae, J.S.; Lee, J.M.; Yoon, J.H.; Kang, H.-J.; Jeon, S.K.; Joo, I.; Lee, K.B.; Kim, H. Evaluation of LI-RADS Version 2018 Treatment Response Algorithm for Hepatocellular Carcinoma in Liver Transplant Candidates: Intraindividual Comparison between CT and Hepatobiliary Agent–enhanced MRI. Radiology 2021, 299, 336–345. [Google Scholar] [CrossRef]
- Kim, T.-H.; Woo, S.; Joo, I.; Bashir, M.R.; Park, M.-S.; Burke, L.M.B.; Mendiratta-Lala, M.; Do, R.K.G. LI-RADS Treatment Response Algorithm for detecting incomplete necrosis in hepatocellular carcinoma after Locoregional treatment: A Systematic review and meta-analysis using individual patient data. Abdom. Radiol. N. Y. 2021, 46, 3717–3728. [Google Scholar] [CrossRef]
- Kim, D.H.; Kim, B.; Choi, J.-I.; Oh, S.N.; Rha, S.E. LI-RADS Treatment Response versus Modified RECIST for Diagnosing Viable Hepatocellular Carcinoma after Locoregional Therapy: A Systematic Review and Meta-Analysis of Comparative Studies. J Korean Soc. Radiol. 2022, 83, 331–343. [Google Scholar] [CrossRef]
- de Baere, T.; Arai, Y.; Lencioni, R.; Geschwind, J.-F.; Rilling, W.; Salem, R.; Matsui, O.; Soulen, M.C. Treatment of Liver Tumors with Lipiodol TACE: Technical Recommendations from Experts Opinion. Cardiovasc. Interv. Radiol. 2016, 39, 334–343. [Google Scholar] [CrossRef]
- Boulin, M.; Schmitt, A.; Delhom, E.; Cercueil, J.-P.; Wendremaire, M.; Imbs, D.-C.; Fohlen, A.; Panaro, F.; Herrero, A.; Denys, A.; et al. Improved stability of lipiodol-drug emulsion for transarterial chemoembolisation of hepatocellular carcinoma results in improved pharmacokinetic profile: Proof of concept using idarubicin. Eur. Radiol. 2016, 26, 601–609. [Google Scholar] [CrossRef] [PubMed]
- Kloeckner, R.; Otto, G.; Biesterfeld, S.; Oberholzer, K.; Dueber, C.; Pitton, M.B. MDCT versus MRI assessment of tumor response after transarterial chemoembolization for the treatment of hepatocellular carcinoma. Cardiovasc. Interv. Radiol. 2010, 33, 532–540. [Google Scholar] [CrossRef]
- Dioguardi Burgio, M.; Sartoris, R.; Libotean, C.; Zappa, M.; Sibert, A.; Vilgrain, V.; Ronot, M. Lipiodol retention pattern after TACE for HCC is a predictor for local progression in lesions with complete response. Cancer Imaging 2019, 19, 75. [Google Scholar] [CrossRef] [PubMed]
- Lopez-Lopez, V.; Miura, K.; Kuemmerli, C.; Capel, A.; Eshmuminov, D.; Ferreras, D.; Baroja-Mazo, A.; Cascales-Campos, P.; Jiménez-Mascuñán, M.I.; Pons, J.A.; et al. Selecting the Appropriate Downstaging and Bridging Therapies for Hepatocellular Carcinoma: What Is the Role of Transarterial Radioembolization? A Pooled Analysis. Cancers 2023, 15, 2122. [Google Scholar] [CrossRef] [PubMed]
- Mendiratta-Lala, M.; Masch, W.R.; Shampain, K.; Zhang, A.; Jo, A.S.; Moorman, S.; Aslam, A.; Maturen, K.E.; Davenport, M.S. MRI Assessment of Hepatocellular Carcinoma after Local-Regional Therapy: A Comprehensive Review. Radiol Imaging Cancer. Radiol. Imaging Cancer 2020, 2, e190024. [Google Scholar] [CrossRef] [PubMed]
- Ibrahim, S.M.; Nikolaidis, P.; Miller, F.H.; Lewandowski, R.J.; Ryu, R.K.; Sato, K.T.; Senthilnathan, S.; Riaz, A.; Kulik, L.; Mulcahy, M.F.; et al. Radiologic findings following Y90 radioembolization for primary liver malignancies. Abdom. Imaging 2009, 34, 566–581. [Google Scholar] [CrossRef] [PubMed]
- Al-Ameri, A.; Yu, X.; Zheng, S. Predictors of post-recurrence survival in hepatocellular carcinoma patients following liver transplantation: Systematic review and meta-analysis. Transplant. Rev. 2022, 36, 100676. [Google Scholar] [CrossRef] [PubMed]
- Chen, Z.-H.; Zhang, X.-P.; Wang, H.; Chai, Z.-T.; Sun, J.-X.; Guo, W.-X.; Shi, J.; Cheng, S.-Q. Effect of microvascular invasion on the postoperative long-term prognosis of solitary small HCC: A systematic review and meta-analysis. HPB 2019, 21, 935–944. [Google Scholar] [CrossRef]
- Dioguardi Burgio, M.; Ronot, M.; Fuks, D.; Dondero, F.; Cauchy, F.; Gaujoux, S.; Dokmak, S.; Paradis, V.; Durand, F.; Belghiti, J.; et al. Follow-up Imaging After Liver Transplantation Should Take into Consideration Primary Hepatocellular Carcinoma Characteristics. Transplantation 2015, 99, 1613–1618. [Google Scholar] [CrossRef]
- Renne, S.L.; Woo, H.Y.; Allegra, S.; Rudini, N.; Yano, H.; Donadon, M.; Viganò, L.; Akiba, J.; Lee, H.S.; Rhee, H.; et al. Vessels Encapsulating Tumor Clusters (VETC) Is a Powerful Predictor of Aggressive Hepatocellular Carcinoma. Hepatology 2020, 71, 183–195. [Google Scholar] [CrossRef]
- Dennis, C.; Prince, D.S.; Moayed-Alaei, L.; Remash, D.; Carr-Boyd, E.; Bowen, D.G.; Strasser, S.I.; Crawford, M.; Pulitano, C.; Kench, J.; et al. Association between vessels that encapsulate tumour clusters vascular pattern and hepatocellular carcinoma recurrence following liver transplantation. Front. Oncol. 2022, 12, 997093. [Google Scholar] [CrossRef]
- Yang, Y.; Sun, J.-H.; Tan, X.-Y.; Lu, C.-D.; Huang, Z.-P.; Zhu, H.-D.; Shi, X.-T.; Chen, J.-X.; Fang, J.-Z. MTM-HCC at Previous Liver Resection as a Predictor of Overall Survival in Salvage Liver Transplantation. Dig. Dis. Sci. 2023, 68, 2768–2777. [Google Scholar] [CrossRef]
- Who Classification of Tumours. Digestive System Tumours. Fifth Edition. Available online: https://www.livres-medicaux.com/who-classification-of-tumours-digestive-system-tumours-fifth-edition.html (accessed on 27 March 2020).
- Rebouissou, S.; Nault, J.-C. Advances in molecular classification and precision oncology in hepatocellular carcinoma. J. Hepatol. 2020, 72, 215–229. [Google Scholar] [CrossRef] [PubMed]
- Sia, D.; Jiao, Y.; Martinez-Quetglas, I.; Kuchuk, O.; Villacorta-Martin, C.; de Moura, M.C.; Putra, J.; Camprecios, G.; Bassaganyas, L.; Akers, N.; et al. Identification of an Immune-specific Class of Hepatocellular Carcinoma, Based on Molecular Features. Gastroenterology 2017, 153, 812–826. [Google Scholar] [CrossRef] [PubMed]
- Ziol, M.; Poté, N.; Amaddeo, G.; Laurent, A.; Nault, J.; Oberti, F.; Costentin, C.; Michalak, S.; Bouattour, M.; Francoz, C.; et al. Macrotrabecular-massive hepatocellular carcinoma: A distinctive histological subtype with clinical relevance. Hepatology 2018, 68, 103–112. [Google Scholar] [CrossRef] [PubMed]
- Jeon, Y.; Benedict, M.; Taddei, T.; Jain, D.; Zhang, X. Macrotrabecular Hepatocellular Carcinoma: An Aggressive Subtype of Hepatocellular Carcinoma. Am. J. Surg. Pathol. 2019, 43, 943–948. [Google Scholar] [CrossRef] [PubMed]
- Ronot, M.; Chernyak, V.; Burgoyne, A.; Chang, J.; Jiang, H.; Bashir, M.; Fowler, K.J. Imaging to Predict Prognosis in Hepatocellular Carcinoma: Current and Future Perspectives. Radiology. Radiology 2023, 307, e221429. [Google Scholar] [CrossRef] [PubMed]
- Taouli, B.; Hoshida, Y.; Kakite, S.; Chen, X.; Tan, P.S.; Sun, X.; Kihira, S.; Kojima, K.; Toffanin, S.; Fiel, M.I.; et al. Imaging-based surrogate markers of transcriptome subclasses and signatures in hepatocellular carcinoma: Preliminary results. Eur. Radiol. 2017, 27, 4472–4481. [Google Scholar] [CrossRef] [PubMed]
- Mulé, S.; Pregliasco, A.G.; Tenenhaus, A.; Kharrat, R.; Amaddeo, G.; Baranes, L.; Laurent, A.; Regnault, H.; Sommacale, D.; Djabbari, M.; et al. Multiphase Liver MRI for Identifying the Macrotrabecular-Massive Subtype of Hepatocellular Carcinoma. Radiology 2020, 295, 562–571. [Google Scholar] [CrossRef] [PubMed]
- Cannella, R.; Burgio, M.D.; Beaufrère, A.; Trapani, L.; Paradis, V.; Hobeika, C.; Cauchy, F.; Bouattour, M.; Vilgrain, V.; Sartoris, R.; et al. Imaging features of histological subtypes of hepatocellular carcinoma: Implication for LI-RADS. JHEP Rep. Innov. Hepatol. 2021, 3, 100380. [Google Scholar] [CrossRef]
- Feng, Z.; Li, H.; Zhao, H.; Jiang, Y.; Liu, Q.; Chen, Q.; Wang, W.; Rong, P. Preoperative CT for Characterization of Aggressive Macrotrabecular-Massive Subtype and Vessels That Encapsulate Tumor Clusters Pattern in Hepatocellular Carcinoma. Radiology 2021, 300, 219–229. [Google Scholar] [CrossRef] [PubMed]
- Bae, J.S.; Lee, J.M.; Jeon, S.K.; Yoo, J.; Park, S.-J.; Yoon, J.H.; Joo, I.; Lee, K.-B.; Kim, H. LI-RADS Tumor in Vein at CT and Hepatobiliary MRI. Radiology 2022, 302, 107–115. [Google Scholar] [CrossRef] [PubMed]
- Pawlik, T.M.; Delman, K.A.; Vauthey, J.-N.; Nagorney, D.M.; Ng, I.O.-L.; Ikai, I.; Yamaoka, Y.; Belghiti, J.; Lauwers, G.Y.; Poon, R.T.; et al. Tumor size predicts vascular invasion and histologic grade: Implications for selection of surgical treatment for hepatocellular carcinoma. Liver Transplant. 2005, 11, 1086–1092. [Google Scholar] [CrossRef] [PubMed]
- Sasaki, A.; Kai, S.; Iwashita, Y.; Hirano, S.; Ohta, M.; Kitano, S. Microsatellite distribution and indication for locoregional therapy in small hepatocellular carcinoma. Cancer 2005, 103, 299–306. [Google Scholar] [CrossRef] [PubMed]
- Hu, H.; Zheng, Q.; Huang, Y.; Huang, X.W.; Lai, Z.C.; Liu, J.; Xie, X.; Feng, S.T.; Wang, W.; De Lu, M. A non-smooth tumor margin on preoperative imaging assesses microvascular invasion of hepatocellular carcinoma: A systematic review and meta-analysis. Sci. Rep. 2017, 7, 15375. [Google Scholar] [CrossRef] [PubMed]
- Zhu, F.; Yang, F.; Li, J.; Chen, W.; Yang, W. Incomplete tumor capsule on preoperative imaging reveals microvascular invasion in hepatocellular carcinoma: A systematic review and meta-analysis. Abdom. Radiol. N. Y. 2019, 44, 3049–3057. [Google Scholar] [CrossRef]
- Lee, S.; Kim, S.H.; Lee, J.E.; Sinn, D.H.; Park, C.K. Preoperative gadoxetic acid–enhanced MRI for predicting microvascular invasion in patients with single hepatocellular carcinoma. J. Hepatol. 2017, 67, 526–534. [Google Scholar] [CrossRef]
- Renzulli, M.; Brocchi, S.; Cucchetti, A.; Mazzotti, F.; Mosconi, C.; Sportoletti, C.; Brandi, G.; Pinna, A.D.; Golfieri, R. Can Current Preoperative Imaging Be Used to Detect Microvascular Invasion of Hepatocellular Carcinoma? Radiology 2016, 279, 432–442. [Google Scholar] [CrossRef]
- Banerjee, S.; Wang, D.S.; Kim, H.J.; Sirlin, C.B.; Chan, M.G.; Korn, R.L.; Rutman, A.M.; Siripongsakun, S.; Lu, D.; Imanbayev, G.; et al. A computed tomography radiogenomic biomarker predicts microvascular invasion and clinical outcomes in hepatocellular carcinoma. Hepatology 2015, 62, 792–800. [Google Scholar] [CrossRef]
- Jiang, H.; Wei, H.; Yang, T.; Qin, Y.; Wu, Y.; Chen, W.; Shi, Y.; Ronot, M.; Bashir, M.R.; Song, B. VICT2 Trait: Prognostic Alternative to Peritumoral Hepatobiliary Phase Hypointensity in HCC. Radiology 2023, 307, e221835. [Google Scholar] [CrossRef]
- Min, J.H.; Lee, M.W.; Park, H.S.; Lee, D.H.; Park, H.J.; Lim, S.; Choi, S.-Y.; Lee, J.; Lee, J.E.; Ha, S.Y.; et al. Interobserver Variability and Diagnostic Performance of Gadoxetic Acid-enhanced MRI for Predicting Microvascular Invasion in Hepatocellular Carcinoma. Radiology 2020, 297, 573–581. [Google Scholar] [CrossRef] [PubMed]
- Xu, X.; Zhang, H.-L.; Liu, Q.-P.; Sun, S.-W.; Zhang, J.; Zhu, F.-P.; Yang, G.; Yan, X.; Zhang, Y.-D.; Liu, X.-S. Radiomic analysis of contrast-enhanced CT predicts microvascular invasion and outcome in hepatocellular carcinoma. J. Hepatol. 2019, 70, 1133–1144. [Google Scholar] [CrossRef] [PubMed]
- Harding-Theobald, E.; Louissaint, J.; Maraj, B.; Cuaresma, E.; Townsend, W.; Mendiratta-Lala, M.; Singal, A.G.; Su, G.L.; Lok, A.S.; Parikh, N.D. Systematic review: Radiomics for the diagnosis and prognosis of hepatocellular carcinoma. Aliment. Pharmacol. Ther. 2021, 54, 890–901. [Google Scholar] [CrossRef] [PubMed]
- Salomao, M.; Yu, W.M.; Brown, R.S., Jr.; Emond, J.C.; Lefkowitch, J.H. Steatohepatitic hepatocellular carcinoma (SH-HCC): A distinctive histological variant of HCC in hepatitis C virus-related cirrhosis with associated NAFLD/NASH. Am. J. Surg. Pathol. 2010, 34, 1630–1636. [Google Scholar] [CrossRef] [PubMed]
- Calderaro, J.; Couchy, G.; Imbeaud, S.; Amaddeo, G.; Letouzé, E.; Blanc, J.-F.; Laurent, C.; Hajji, Y.; Azoulay, D.; Bioulac-Sage, P.; et al. Histological subtypes of hepatocellular carcinoma are related to gene mutations and molecular tumour classification. J. Hepatol. 2017, 67, 727–738. [Google Scholar] [CrossRef] [PubMed]
- Sacks, A.; Peller, P.J.; Surasi, D.S.; Chatburn, L.; Mercier, G.; Subramaniam, R.M. Value of PET/CT in the Management of Primary Hepatobiliary Tumors, Part 2. Am. J. Roentgenol. 2011, 197, W260–W265. [Google Scholar] [CrossRef] [PubMed]
- Boussouar, S.; Itti, E.; Lin, S.-J.; Decaens, T.; Evangelista, E.; Chiaradia, M.; Chalaye, J.; Baranes, L.; Calderaro, J.; Laurent, A.; et al. Functional imaging of hepatocellular carcinoma using diffusion-weighted MRI and 18F-FDG PET/CT in patients on waiting-list for liver transplantation. Cancer Imaging 2016, 16, 4. [Google Scholar] [CrossRef]
- Lee, S.D.; Kim, S.H. Role of positron emission tomography/computed tomography in living donor liver transplantation for hepatocellular carcinoma. Hepatobiliary Surg. Nutr. 2016, 5, 408–414. [Google Scholar] [CrossRef]
- Singal, A.G.; Llovet, J.M.; Yarchoan, M.; Mehta, N.; Heimbach, J.K.; Dawson, L.A.; Jou, J.H.; Kulik, L.M.; Agopian, V.G.; Marrero, J.A.; et al. AASLD practice guidance on prevention, diagnosis, and treatment of hepatocellular carcinoma. Hepatology 2023, Online ahead of print. [Google Scholar] [CrossRef]
- Bhat, M.; Rabindranath, M.; Chara, B.S.; Simonetto, D.A. Artificial intelligence, machine learning, and deep learning in liver transplantation. J. Hepatol. 2023, 78, 1216–1233. [Google Scholar] [CrossRef]
- Pomohaci, M.D.; Grasu, M.C.; Dumitru, R.L.; Toma, M.; Lupescu, I.G. Liver Transplant in Patients with Hepatocarcinoma: Imaging Guidelines and Future Perspectives Using Artificial Intelligence. Diagnostics 2023, 13, 1663. [Google Scholar] [CrossRef]
- Cannella, R.; Santinha, J.; Bèaufrere, A.; Ronot, M.; Sartoris, R.; Cauchy, F.; Bouattour, M.; Matos, C.; Papanikolaou, N.; Vilgrain, V.; et al. Performances and variability of CT radiomics for the prediction of microvascular invasion and survival in patients with HCC: A matter of chance or standardisation? Eur. Radiol. 2023, 33, 7618–7628. [Google Scholar] [CrossRef]
- Lambin, P.; Leijenaar, R.T.H.; Deist, T.M.; Peerlings, J.; de Jong, E.E.C.; van Timmeren, J.; Sanduleanu, S.; Larue, R.T.H.M.; Even, A.J.G.; Jochems, A.; et al. Radiomics: The bridge between medical imaging and personalized medicine. Nat. Rev. Clin. Oncol. 2017, 14, 749–762. [Google Scholar] [CrossRef]
- Mongan, J.; Moy, L.; Kahn, C.E. Checklist for Artificial Intelligence in Medical Imaging (CLAIM): A Guide for Authors and Reviewers. Radiol. Artif. Intell. 2020, 2, e200029. [Google Scholar] [CrossRef]





| EASL | AASLD/LI-RADS | KLCA-NCC | APASL | ||||||
|---|---|---|---|---|---|---|---|---|---|
| Study | Modality | Sen (%) | Spec (%) | Sen (%) | Spec (%) | Sen (%) | Spec (%) | Sen (%) | Spec (%) |
| Clarke et al. [29] | EOB-MRI | 44 | 86 | 45 | 89 | - | - | 64 | 81 |
| Jeon et al. [30] | EOB-MRI | 38.8 | 92.1 | 34.5 | 97.4 | 65.5 | 92.1 | 75.9 | 78.9 |
| Odedra et al. [31] | CT EOB-MRI | 13.6 26.2 | 100 100 | 25.2 29.1 | 100 100 | 25.2 45.9 | 100 91.7 | 31.1 63.1 | 100 100 |
| Seo et al. [32] | CT | 50.0 | 99.4 | 40.4 | 99.4 | 50.0 | 99.4 | - | - |
Disclaimer/Publisher’s Note: The statements, opinions and data contained in all publications are solely those of the individual author(s) and contributor(s) and not of MDPI and/or the editor(s). MDPI and/or the editor(s) disclaim responsibility for any injury to people or property resulting from any ideas, methods, instructions or products referred to in the content. |
© 2023 by the authors. Licensee MDPI, Basel, Switzerland. This article is an open access article distributed under the terms and conditions of the Creative Commons Attribution (CC BY) license (https://creativecommons.org/licenses/by/4.0/).
Share and Cite
Dioguardi Burgio, M.; Garzelli, L.; Cannella, R.; Ronot, M.; Vilgrain, V. Hepatocellular Carcinoma: Optimal Radiological Evaluation before Liver Transplantation. Life 2023, 13, 2267. https://doi.org/10.3390/life13122267
Dioguardi Burgio M, Garzelli L, Cannella R, Ronot M, Vilgrain V. Hepatocellular Carcinoma: Optimal Radiological Evaluation before Liver Transplantation. Life. 2023; 13(12):2267. https://doi.org/10.3390/life13122267
Chicago/Turabian StyleDioguardi Burgio, Marco, Lorenzo Garzelli, Roberto Cannella, Maxime Ronot, and Valérie Vilgrain. 2023. "Hepatocellular Carcinoma: Optimal Radiological Evaluation before Liver Transplantation" Life 13, no. 12: 2267. https://doi.org/10.3390/life13122267
APA StyleDioguardi Burgio, M., Garzelli, L., Cannella, R., Ronot, M., & Vilgrain, V. (2023). Hepatocellular Carcinoma: Optimal Radiological Evaluation before Liver Transplantation. Life, 13(12), 2267. https://doi.org/10.3390/life13122267

