Effects of Secretoneurin and Gonadotropin-Releasing Hormone Agonist on the Spawning of Captive Greater Amberjack (Seriola dumerili)
Abstract
1. Introduction
2. Materials and Methods
2.1. Broodstock Maintenance
2.2. Histological Processing
2.3. Body Weight, Body Length, and Gonadosomatic Index Determinations
2.4. Design and Synthesis of SdSNa and SdGnRHa
2.5. Hormone Measurements
2.6. Gene Expression Analysis
2.7. Spawning Induction Treatments
2.8. Statistical Analyses
3. Results
3.1. Modification and Synthesis of SdSNa and SdGnRHa
3.2. Serum Hormone Levels after Treatment with SdSNa/DOM and SdGnRHa/DOM
3.3. Gene Expression after Treatment with SdSNa/SdGnRHa/DOM
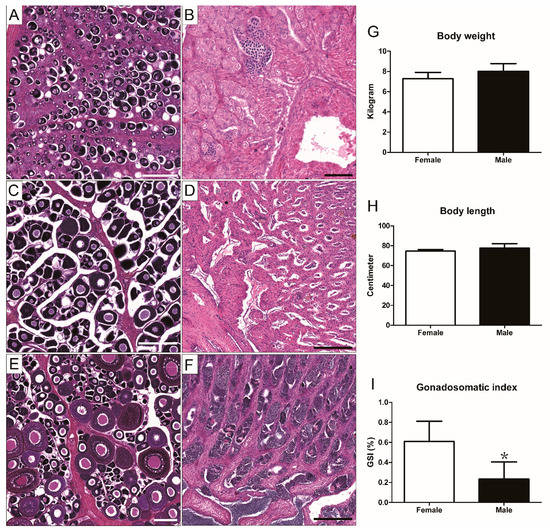
3.4. Gonadal Development and Sexual Maturation of Greater Amberjack
3.5. Spawning-Induction Treatments
4. Discussion
Supplementary Materials
Author Contributions
Funding
Institutional Review Board Statement
Informed Consent Statement
Data Availability Statement
Conflicts of Interest
References
- Zupa, R.; Rodríguez, C.; Mylonas, C.C.; Rosenfeld, H.; Fakriadis, I.; Papadaki, M.; Perez, J.A.; Pousis, C.; Basilone, G.; Corrier, A. Comparative study of reproductive development in wild and captive-reared greater amberjack Seriola dumerili (Risso, 1810). PLoS ONE 2017, 12, e0169645. [Google Scholar]
- Jerez, S.; Samper, M.; Santamaría, F.J.; Villamandos, J.E.; Cejas, J.R.; Felipe, B.C. Natural spawning of greater amberjack (Seriola dumerili) kept in captivity in the Canary Islands. Aquaculture 2006, 252, 199–207. [Google Scholar] [CrossRef]
- Ottolenghi, F.; Silvestri, C.; Giordano, P.; Lovatelli, A.; New, M.B. Capture-based aquaculture. In The Fattening of Eels, Groupers, Tunas and Yellowtails; Food and Agriculture Organization of the United Nations: Rome, Italy, 2004. [Google Scholar]
- Zupa, R.; Fauvel, C.; Mylonas, C.C.; Pousis, C.; Santamaria, N.; Papadaki, M.; Fakriadis, I.; Cicirelli, V.; Mangano, S.; Passantino, L.; et al. Rearing in captivity affects spermatogenesis and sperm quality in greater amberjack, Seriola dumerili (Risso, 1810). J. Anim. Sci. 2017, 95, 4085–4100. [Google Scholar] [CrossRef] [PubMed]
- Schreck, C.B.; Contreras-Sanchez, W.; Fitzpatrick, M.S. Effects of stress on fish reproduction, gamete quality, and progeny. Aquaculture 2001, 197, 3–24. [Google Scholar] [CrossRef]
- Agulleiro, M.J.; Anguis, V.; Cañavate, J.P.; Martínez-Rodríguez, G.; Mylonas, C.C.; Cerdà, J. Induction of spawning of captive-reared Senegal sole (Solea senegalensis) using different administration methods for gonadotropin-releasing hormone agonist. Aquaculture 2006, 257, 511–524. [Google Scholar] [CrossRef]
- Barbaro, A.; Francescon, A.; Bertotto, D.; Bozzato, G.; Di Maria, I.; Patarnello, P.; Furlan, F.; Colombo, L. More effective induction of spawning with long-acting GnRH agonist in the shi drum, Umbrina cirrosa L. (Sciaenidae, Teleostei), a valuable candidate for Mediterranean mariculture. J. Appl. Ichthyol. 2002, 18, 192–199. [Google Scholar] [CrossRef]
- Chen, Y.F. Induced ovulation and embryonic development of ocellated puffer, Takifugu ocellatus. J. Appl. Ichthyol. 2005, 21, 136–140. [Google Scholar] [CrossRef]
- Mylonas, C.C.; Zohar, Y. Endocrine regulation and artificial induction of oocyte maturation and spermiation in basses of the genus Morone. Aquaculture 2001, 202, 205–220. [Google Scholar] [CrossRef]
- Muñoz-Cueto, J.A.; Zmora, N.; Paullada-Salmerón, J.A.; Marvel, M.; Mañanos, E.; Zohar, Y. The gonadotropin-releasing hormones: Lessons from fish. Gen. Comp. Endocr. 2020, 291, 113422. [Google Scholar] [CrossRef]
- Zohar, Y.; Muñoz-Cueto, J.A.; Elizur, A.; Kah, O. Neuroendocrinology of reproduction in teleost fish. Gen. Comp. Endocr. 2010, 165, 438–455. [Google Scholar] [CrossRef]
- Marvel, M.M.; Spicer, O.S.; Wong, T.T.; Zmora, N.; Zohar, Y. Knockout of Gnrh2 in zebrafish (Danio rerio) reveals its roles in regulating feeding behavior and oocyte quality. Gen. Comp. Endocr. 2019, 280, 15–23. [Google Scholar] [CrossRef] [PubMed]
- Gothilf, Y.; Muñoz-Cueto, J.A.; Sagrillo, C.A.; Selmanoff, M.; Chen, T.T.; Kah, O.; Elizur, A.; Zohar, Y. Three forms of gonadotropin-releasing hormone in a perciform fish (Sparus aurata): Complementary deoxyribonucleic acid characterization and brain localization. Biol. Reprod. 1996, 55, 636–645. [Google Scholar] [CrossRef] [PubMed]
- Zohar, Y.; Goren, A.; Fridkin, M.; Elhanati, E.; Koch, Y. Degradation of gonadotropin-releasing hormones in the gilthead seabream, Sparus aurata: II. Cleavage of native salmon GnRH, mammalian LHRH, and their analogs in the pituitary, kidney, and liver. Gen. Comp. Endocr. 1990, 79, 306–319. [Google Scholar] [CrossRef]
- Peter, R.E.; Lin, H.R.; Vanderkraak, G. Induced ovulation and spawning of cultured fresh-water fish in China: Advances in application of GnRH Analogs and dopamine antagonists. Aquaculture 1988, 74, 1–10. [Google Scholar] [CrossRef]
- Zohar, Y.; Goren, A.; Tosky, M.; Pagelson, G.; Leibovitz, D.; Koch, Y. The bioactivity of gonadotropin releasing hormones and its regulation in the gilthead seabream, Sparus aurata: In vivo and in vitro studies. Fish Physiol. Biochem. 1989, 7, 59–67. [Google Scholar] [CrossRef]
- Crim, L.W.; Bettles, S. Use of GnRH analogues in fish culture. In Recent Advances in Marine Biotechnology, Vol, 1: Endocrinology and Reproduction; Fingerman, M., Nagabhushanam, R., Thompson, M.F., Eds.; Oxford & IBH: New Delhi, India, 1997; pp. 369–382. [Google Scholar]
- Peter, R.E.; Yu, K.L. Neuroendocrine regulation of ovulation in fishes: Basic and applied aspects. Rev. Fish Biol. Fisher 1997, 7, 173–197. [Google Scholar] [CrossRef]
- Peter, R.E.; Lin, H.R.; van der Kraak, G.; Little, M. Releasing hormones, dopamine antagonists and induced spawning. In Recent Advances in Aquaculture; Muir, J.F., Roberts, R.J., Eds.; Blackwell Scientific: Oxford, UK, 1993; pp. 25–30. [Google Scholar]
- Fischercolbrie, R.; Laslop, A.; Kirchmair, R. Secretogranin II Molecular properties, regulation of biosynthesis and processing to the neuropeptide secretoneurin. Prog. Neurobiol. 1995, 46, 49–70. [Google Scholar] [CrossRef]
- Blázquez, M.; Bosma, P.T.; Chang, J.P.; Docherty, K.; Trudeau, V.L. gamma-aminobutyric acid up-regulates the expression of a novel secretogranin-II messenger ribonucleic acid in the goldfish pituitary. Endocrinology 1998, 139, 4870–4880. [Google Scholar] [CrossRef]
- Zhao, E.; Basak, A.; Trudeau, V.L. Secretoneurin stimulates goldfish pituitary luteinizing hormone production. Neuropeptides 2006, 40, 275–282. [Google Scholar] [CrossRef]
- Zhao, E.; Basak, A.; Wong, A.O.L.; Ko, W.; Chen, A.; López, G.C.; Grey, C.L.; Canosa, L.F.; Somoza, G.M.; Chang, J.P.; et al. The secretogranin II-derived peptide secretoneurin stimulates luteinizing hormone secretion from gonadotrophs. Endocrinology 2009, 150, 2273–2282. [Google Scholar] [CrossRef]
- Zhao, E.; McNeilly, J.R.; McNeilly, A.S.; Fischer-Colbrie, R.; Basak, A.; Seong, J.Y.; Trudeau, V.L. Secretoneurin stimulates the production and release of luteinizing hormone in mouse LβT2 gonadotropin cells. Am. J. Physiol. Endocrinol. Metab. 2011, 301, 288–297. [Google Scholar] [CrossRef] [PubMed]
- Zhao, E.; Hu, H.X.; Trudeau, V.L. Secretoneurin as a hormone regulator in the pituitary. Regul. Pept. 2010, 165, 117–122. [Google Scholar] [CrossRef] [PubMed]
- Mitchell, K.; Zhang, W.S.; Lu, C.Y.; Tao, B.B.; Chen, L.; Hu, W.; Trudeau, V.L. Targeted mutation of secretogranin-2 disrupts sexual behavior and reproduction in zebrafish. Proc. Natl. Acad. Sci. USA 2020, 117, 12772–12783. [Google Scholar] [CrossRef]
- Li, S.Z.; Liu, W.; Li, Z.; Li, W.H.; Wang, Y.; Zhou, L.; Gui, J.F. greb1 regulates convergent extension movement and pituitary development in zebrafish. Gene 2017, 627, 176–187. [Google Scholar] [CrossRef] [PubMed]
- Dufour, S.; Sebert, M.E.; Weltzien, F.A.; Rousseau, K.; Pasqualini, C. Neuroendocrine control by dopamine of teleost reproduction. J. Fish Biol. 2010, 76, 129–160. [Google Scholar] [CrossRef] [PubMed]
- Peter, R.E.; Crim, L.W.; Goos, H.J.; Crim, J.W. Lesioning studies on the gravid female goldfish: Neuroendocrine regulation of ovulation. Gen. Comp. Endocrinol. 1978, 35, 391–401. [Google Scholar] [CrossRef]
- Shu, H.; Yang, L.D.; Zhang, Y.; Liu, X.C.; Lin, H.R.; Li, S.S. Identification and functional characterization of two Secretogranin II genes in orange-spotted grouper (Epinephelus coioides). Gen. Comp. Endocr. 2018, 261, 115–126. [Google Scholar] [CrossRef]
- Mylonas, C.C.; Papandroulakis, N.; Smboukis, A.; Papadaki, M.; Divanach, P. Induction of spawning of cultured greater amberjack (Seriola dumerili) using GnRHa implants. Aquaculture 2004, 237, 141–154. [Google Scholar] [CrossRef]
- Fernández-Palacios, H.; Schuchardt, D.; Roo, J.; Hernández-Cruz, C.M.; Izquierdo, M. Multiple GnRHa injections to induce successful spawning of wild caught greater amberjack (Seriola dumerili) matured in captivity. Aquac. Res. 2015, 46, 1748–1759. [Google Scholar] [CrossRef]
- Sarih, S.; Djellata, A.; La Barbera, A.; Fernánde-Palacios Vallejo, H.; Roo, J.; Izquierdo, M.; Fernánde-Palacios, H. High-quality spontaneous spawning in greater amberjack (Seriola dumerili, Risso 1810) and its comparison with GnRHa implants or injections. Aquac. Res. 2018, 49, 3442–3450. [Google Scholar] [CrossRef]
- Fakriadis, I.; Sigelaki, I.; Papadaki, M.; Papandroulakis, N.; Raftopoulos, A.; Tsakoniti, K.; Mylonas, C.C. Control of reproduction of greater amberjack Seriola dumerili reared in aquaculture facilities. Aquaculture 2020, 519, 734880. [Google Scholar] [CrossRef]
- Goren, A.; Zohar, Y.; Fridkin, M.; Elhanati, E.; Koch, Y. Degradation of gonadotropin-releasing hormones in the gilthead seabream, Sparus aurata: I. Cleavage of native salmon GnRH and mammalian LHRH in the pituitary. Gen. Comp. Endocrinol. 1990, 79, 291–305. [Google Scholar] [CrossRef]
- Ulloa-Aguirre, A.; Timossi, C. Biochemical and functional aspects of gonadotrophin-releasing hormone and gonadotrophins. Reprod. Biomed. Online 2000, 1, 48–62. [Google Scholar] [CrossRef]
- Weil, C.; Breton, B.; Sambroni, S.; Zmora, N.; Zohar, Y. In vitro bioactivities of various forms of GnRH in relation to their susceptibility to degradation at the pituitary level in the rainbow trout, Oncorhynchus mykiss. Gen. Comp. Endocr. 1992, 87, 33–43. [Google Scholar] [CrossRef]
- Nyuji, M.; Yamamoto, I.; Hamada, K.; Kazeto, Y.; Okuzawa, K. Effect of GnRHa on plasma levels of Fsh and Lh in the female greater amberjack Seriola dumerili. J. Fish Biol. 2019, 95, 1350–1354. [Google Scholar] [CrossRef]
- Fakriadis, I.; Mylonas, C.C. Sperm quality of greater amberjack Seriola dumerili throughout the reproductive season and in response throughout the reproductive season and in response to GnRHa treatment with controlled release implants. Fish Physiol. Biochem. 2021, 47, 281–292. [Google Scholar] [CrossRef] [PubMed]
- Wu, G.C.; Chang, C.F. wnt4 is associated with the development of ovarian tissue in the protandrous black porgy, Acanthopagrus schlegeli. Biol. Reprod. 2009, 81, 1073–1082. [Google Scholar] [CrossRef]
- Song, Y.L.; Chen, W.T.; Zhu, B.; Ge, W. Disruption of epidermal growth factor receptor but not EGF blocks follicle activation in zebrafish ovary. Front. Cell Dev. Biol. 2022, 9, 750888. [Google Scholar] [CrossRef] [PubMed]
- Wu, X.J.; Liu, D.T.; Chen, S.X.; Hong, W.S.; Zhu, Y. Impaired oocyte maturation and ovulation in membrane progestin receptor (mPR) knockouts in zebrafish. Mol. Cell. Endocrinol. 2020, 511, 110856. [Google Scholar] [CrossRef] [PubMed]
- Ludwing, M.; Felberbaum, R.E.; Diedrich, K.; Lunefeld, B. Ovarian stimulation: From basic science to clinical application. Reprod. Biomed. 2022, 5, 73–86. [Google Scholar] [CrossRef]
- Miura, T.; Yamauchi, K.; Takahashi, H.; Nagahama, Y. Human chorionic gonadotropin induces all stagtes of spermatogenesis in vitro in the male Japanese eel (Anguilla japonica). Dev. Biol. 1991, 146, 258–262. [Google Scholar] [CrossRef]





Publisher’s Note: MDPI stays neutral with regard to jurisdictional claims in published maps and institutional affiliations. |
© 2022 by the authors. Licensee MDPI, Basel, Switzerland. This article is an open access article distributed under the terms and conditions of the Creative Commons Attribution (CC BY) license (https://creativecommons.org/licenses/by/4.0/).
Share and Cite
Yanlong, S.; Yinjun, J.; Ji, C.; Binbin, T.; Wen, X.; Yang, H.; Guangli, L.; Zhu, C.; Wei, H. Effects of Secretoneurin and Gonadotropin-Releasing Hormone Agonist on the Spawning of Captive Greater Amberjack (Seriola dumerili). Life 2022, 12, 1457. https://doi.org/10.3390/life12091457
Yanlong S, Yinjun J, Ji C, Binbin T, Wen X, Yang H, Guangli L, Zhu C, Wei H. Effects of Secretoneurin and Gonadotropin-Releasing Hormone Agonist on the Spawning of Captive Greater Amberjack (Seriola dumerili). Life. 2022; 12(9):1457. https://doi.org/10.3390/life12091457
Chicago/Turabian StyleYanlong, Song, Jiang Yinjun, Chen Ji, Tao Binbin, Xu Wen, Huang Yang, Li Guangli, Chunhua Zhu, and Hu Wei. 2022. "Effects of Secretoneurin and Gonadotropin-Releasing Hormone Agonist on the Spawning of Captive Greater Amberjack (Seriola dumerili)" Life 12, no. 9: 1457. https://doi.org/10.3390/life12091457
APA StyleYanlong, S., Yinjun, J., Ji, C., Binbin, T., Wen, X., Yang, H., Guangli, L., Zhu, C., & Wei, H. (2022). Effects of Secretoneurin and Gonadotropin-Releasing Hormone Agonist on the Spawning of Captive Greater Amberjack (Seriola dumerili). Life, 12(9), 1457. https://doi.org/10.3390/life12091457

