Dietary Supplementation of Flaxseed (Linum usitatissimum L.) Alters Ovarian Functions of Xylene-Exposed Mice
Abstract
:1. Introduction
2. Materials and Methods
2.1. Animals, Diet, and Supplements
2.2. Blood Collection, Necropsy, and Morphometric Analysis
2.3. Ovary Culture Preparation and Processing
2.4. Immunoassay
2.5. Immunohistochemical Analysis
2.6. Statistical Analyses
3. Results
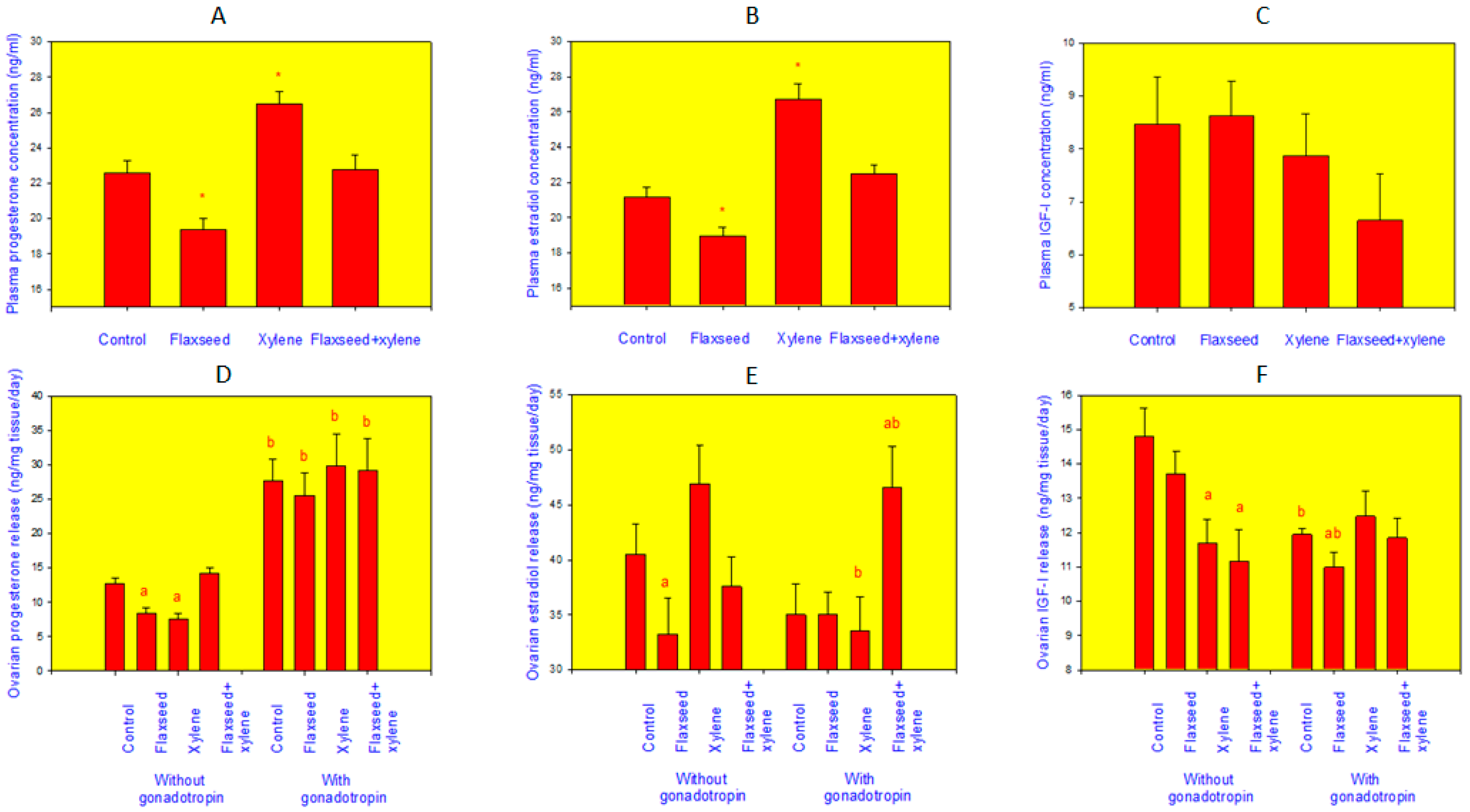
3.1. Ability of Xylene to Affect Ovarian State
3.2. Ability of Gonadotropin to Affect Ovarian Functions and to Prevent Xylene Action
3.3. Ability of Flaxseed to Affect Ovarian State
3.4. Ability of Gonadotropin to Prevent Flaxseed Action
3.5. Ability of Flaxseed to Prevent Xylene Action
4. Discussion
4.1. Ability of Xylene to Affect Ovarian State
4.2. Ability of Flaxseed to Affect Ovarian State
4.3. Ability of Flaxseed to Prevent Xylene Action
4.4. Ability of Gonadotropin to Affect Ovarian Functions and to Prevent Xylene Action
5. Conclusions
Author Contributions
Funding
Institutional Review Board Statement
Informed Consent Statement
Data Availability Statement
Acknowledgments
Conflicts of Interest
References
- Agency for Toxic Substances and Disease Registry. A Toxicological Profile for Xylene, U.S. Department of Health and Human Services. 2007. Available online: https://www.atsdr.cdc.gov/ToxProfiles/tp71.pdf (accessed on 10 September 2007).
- Sirotkin, A.V.; Kolesarova, A. Environmental Contaminants and Medicinal Plants Action on Female Reproduction, 1st ed.; Academic Press: San Diego, CA, USA; Elsevier Science Publishing Co. Inc.: London, UK, 2022; p. 436. [Google Scholar]
- Negi, A.; Gupta, R.; Nangia, R. Biosafe alternative to xylene: A comparative study. J. Oral Maxillofac. Pathol. 2013, 17, 363–366. [Google Scholar] [CrossRef] [Green Version]
- Shen, S.; Yuan, L.; Zeng, S. An effort to test the embryotoxicity of benzene, toluene, xylene, and formaldehyde to murine embryonic stem cells using airborne exposure technique. Inhal. Toxicol. 2009, 21, 973–978. [Google Scholar] [CrossRef]
- Ungváry, G.; Varga, B.; Horváth, E.; Tátrai, E.; Folly, G. Study on the role of maternal sex steroid production and metabolism in the embryotoxicity of para-xylene. Toxicology 1981, 19, 263–268. [Google Scholar] [CrossRef]
- Chen, H.; Song, L.; Wang, X.; Wang, S. Effect of exposure to low concentration of benzene and its analogues on luteal function of female workers. Wei Sheng Yan Jiu 2000, 29, 351–353. [Google Scholar]
- Reutman, S.R.; Lemasters, G.K.; Knecht, E.A.; Shukla, R.; Lockey, J.E.; Burroughs, G.E.; Kesner, J.S. Evidence of reproductive endocrine effects in women with occupational fuel and solvent exposures. Environ. Health Perspect. 2002, 110, 805–811. [Google Scholar] [CrossRef] [PubMed] [Green Version]
- Sirotkin, A.V.; Fabian, D.; Bábeľová-Kubandová, J.; Vlčková, R.; Alwasel, S.; Harrath, A.H. Metabolic state can define the ovarian response to environmental contaminants and medicinal plants. Appl. Physiol. Nutr. Metab. 2017, 42, 1264–1269. [Google Scholar] [CrossRef] [PubMed] [Green Version]
- Tarko, A.; Štochmalova, A.; Hrabovszka, S.; Vachanova, A.; Harrath, A.H.; Alwasel, S.; Grossman, R.; Sirotkin, A.V. Can xylene and quercetin directly affect basic ovarian cell functions? Res. Vet. Sci. 2018, 119, 308–312. [Google Scholar] [CrossRef]
- Sirotkin, A.V.; Kadasi, A.; Baláži, A.; Kotwica, J.; Alrezaki, A.; Harrath, A.H. Mechanisms of the direct effects of oil-related contaminants on ovarian cells. Environ. Sci. Pollut. Res. Int. 2020, 27, 5314–5322. [Google Scholar] [CrossRef]
- Sirotkin, A.V.; Macejková, M.; Tarko, A.; Fabova, Z.; Alwasel, S.; Harrath, A.H. Buckwheat, rooibos, and vitex extracts can mitigate adverse effects of xylene on ovarian cells in vitro. Environ. Sci. Pollut. Res. Int. 2021, 28, 7431–7439. [Google Scholar] [CrossRef] [PubMed]
- Tarko, A.; Štochmaľová, A.; Hrabovszká, S.; Vachanová, A.; Harrath, A.H.; Aldahmash, W.; Grossman, R.; Sirotkin, A.V. Potential protective effect of puncturevine (Tribulus terrestris, L.) against xylene toxicity on bovine ovarian cell functions. Physiol. Res. 2022, 71, 249–258. [Google Scholar] [CrossRef] [PubMed]
- Pourjafari, F.; Haghpanah, T.; Sharififar, F.; Nematollahi-Mahani, S.N.; Afgar, A.; Asadi Karam, G.; Ezzatabadipour, M. Protective effects of hydro-alcoholic extract of foeniculum vulgare and linum usitatissimum on ovarian follicle reserve in the first-generation mouse pups. Heliyon 2019, 5, e02540. [Google Scholar] [CrossRef] [PubMed] [Green Version]
- Vlčková, R.; Andrejčáková, Z.; Sopková, D.; Kozioł, K.; Hertelyová, Z.; Koziorowska, A.; Gancarčíková, S. Effects of supplemental flaxseed on the ovarian and uterine functions of adult cycling mice. Gen. Physiol. Biophys. 2022, 41, 205–219. [Google Scholar] [CrossRef] [PubMed]
- Andrejčáková, Z.; Vlčková, R.; Sopková, D.; Kozioł, K.; Koziorowski, M.; Fabián, D.; Šefčíková, Z.; Holovská, K.; Almášiová, V.; Sirotkin, A.V. Dietary flaxseed’s protective effects on body tissues of mice after oral exposure to xylene. Saudi J. Biol. Sci. 2021, 28, 3789–3798. [Google Scholar] [CrossRef] [PubMed]
- Sirotkin, A.V. Regulators of Ovarian Functions; Nova Publishers, Inc.: New York, NY, USA, 2014; p. 1194. [Google Scholar]
- Chou, C.H.; Chen, M.J. The Effect of Steroid Hormones on Ovarian Follicle Development. Vitam. Horm. 2018, 107, 155–175. [Google Scholar] [CrossRef] [PubMed]
- Lee, E.B.; Chakravarthi, V.P.; Wolfe, M.W.; Rumi, M.A.K. ERβ Regulation of Gonadotropin Responses during Folliculogenesis. Int. J. Mol. Sci. 2021, 22, 10348. [Google Scholar] [CrossRef]
- Orisaka, M.; Miyazaki, Y.; Shirafuji, A.; Tamamura, C.; Tsuyoshi, H.; Tsang, B.K.; Yoshida, Y. The role of pituitary gonadotropins and intraovarian regulators in follicle development: A mini-review. Reprod. Med. Biol. 2021, 20, 169–175. [Google Scholar] [CrossRef]
- González-Magaña, A.; Blanco, F.J. Human PCNA Structure, Function and Interactions. Biomolecules 2020, 10, 570. [Google Scholar] [CrossRef] [Green Version]
- Virant-Klun, I.; Leicht, S.; Hughes, C.; Krijgsveld, J. Identification of Maturation-Specific Proteins by Single-Cell Proteomics of Human Oocytes. Mol. Cell. Proteom. 2016, 15, 2616–2627. [Google Scholar] [CrossRef] [Green Version]
- Davidian, A.; Koshel, E.; Dyomin, A.; Galkina, S.; Saifitdinova, A.; Gaginskaya, E. On some structural and evolutionary aspects of rDNA amplification in oogenesis of Trachemys scripta turtles. Cell Tissue Res. 2021, 383, 853–864. [Google Scholar] [CrossRef]
- Kasture, V.; Sahay, A.; Joshi, S. Cell death mechanisms and their roles in pregnancy related disorders. Adv. Protein Chem. Struct. Biol. 2021, 126, 195–225. [Google Scholar] [CrossRef]
- Jia, Z.; Wang, H.; Feng, Z.; Zhang, S.; Wang, L.; Zhang, J.; Liu, Q.; Zhao, X.; Feng, D.; Feng, X. Fluorene-9-bisphenol exposure induces cytotoxicity in mouse oocytes and causes ovarian damage. Ecotoxicol. Environ. Saf. 2019, 180, 168–178. [Google Scholar] [CrossRef] [PubMed]
- Duan, J.; Chen, H.; Xu, D.; Li, Y.; Li, X.; Cheng, J.; Hua, R.; Zhang, Z.; Yang, L.; Li, Q. 17β-estradiol improves the developmental ability, inhibits reactive oxygen species levels and apoptosis of porcine oocytes by regulating autophagy events. J. Steroid Biochem. Mol. Biol. 2021, 209, 105826. [Google Scholar] [CrossRef] [PubMed]
- Griffin, J.; Emery, B.R.; Huang, I.; Peterson, C.M.; Carrell, D.T. Comparative analysis of follicle morphology and oocyte diameter in four mammalian species (mouse, hamster, pig, and human). J. Exp. Clin. Assist. Reprod. 2006, 3, 2. [Google Scholar] [CrossRef]
- Vlčková, R.; Sopková, D.; Andrejčáková, Z.; Valocký, I.; Kádasi, A.; Harrath, A.H.; Petrilla, V.; Sirotkin, A.V. Dietary supplementation of yucca (Yucca schidigera) affects ovine ovarian functions. Theriogenology 2017, 15, 158–165. [Google Scholar] [CrossRef] [PubMed]
- Vlčková, R.; Andrejčáková, Z.; Sopková, D.; Hertelyová, Z.; Kozioł, K.; Koziorowski, M.; Gancarčíková, S. Supplemental flaxseed modulates ovarian functions of weanling gilts via the action of selected fatty acids. Anim. Reprod. Sci. 2018, 193, 171–181. [Google Scholar] [CrossRef] [PubMed]
- Smolen, A.J. Image Analytic Techniques for Quantification of Immunocytochemical Staining in the Nervous System; Conn, P.M., Ed.; Methods in Neurosciences; Academic Press: New York, NY, USA, 1990; pp. 208–229. [Google Scholar]
- Kolesarova, A.; Roychoudhury, S.; Slivkova, J.; Sirotkin, A.V.; Capcarova, M.; Massanyi, P. In vitro study on the effects of lead and mercury on porcine ovarian granulosa cells. J. Environ. Sci. Health A 2010, 45, 320–331. [Google Scholar] [CrossRef] [PubMed]
- Sirotkin, A.V. Effect of two types of stress (heat shock/high temperature and malnutrition/serum deprivation) on porcine ovarian cell functions and their response to hormones. J. Exp. Biol. 2010, 213, 2125–2130. [Google Scholar] [CrossRef] [Green Version]
- Sirotkin, A.V.; Parkanyi, V.; Pivko, J. High temperature impairs rabbit viability, feed consumption, growth and fecundity: Examination of endocrine mechanisms. Domest. Anim. Endocrinol. 2021, 74, 106478. [Google Scholar] [CrossRef]




| M3 Diet | |||
|---|---|---|---|
| Analytical Components (%) | Additional Nutritive Components in 1 kg Feed | ||
| Crude protein | 22.55 | Cholecalciferol (vit. D3) | 2000 IU |
| Crude fiber | 3.14 | Vitamin A | 20,000 IU |
| Crude fat | 3.31 | Ferrous sulfate monohydrate | 71 mg |
| Crude ash | 5.16 | Potassium iodide | 0.65 mg |
| Ca | 1.00 | Coated granular cobalt bicarbonate | 0.40 mg |
| P | 0.53 | Copper sulfate pentahydrate | 15 mg |
| Na | 0.11 | Manganese oxide | 45 mg |
| Zinc oxide | 71 mg | ||
| Selenium (sodium selenite) | 0.15 mg | ||
| Flaxseed var. Libra | |||
| Crude protein | 227.6 g/kg | Mg | 4.11 g/kg |
| Crude fat | 307.25 g/kg | Na | 4.33 g/kg |
| Crude fiber | 232.58 g/kg | K | 8.12 g/kg |
| NDF | 411.9 g/kg | P | 2.71 g/kg |
| ADF | 278.9 g/kg | Cu | 33.55 mg/kg |
| Ash | 35.5 g/kg | Zn | 48.7 mg/kg |
| Starch | 42.32 g/kg | Mn | 43.83 mg/kg |
| Ca | 2.81 g/kg | ME | 12.87 MJ/kg |
| Fatty Acid | mol% |
|---|---|
| Myristic | 0.05 |
| Palmitic | 4.5 |
| Palmitoleic | 0.1 |
| Stearic | 3.25 |
| Gamma-linolenic acid | 0.02 |
| Arachidonic | 0.05 |
| Linoleic | 16.65 |
| Alfa-linolenic | 57.7 |
| Sum of n-3 | 72.7 |
| Sum of n-6 | 8.7 |
| n-6/n-3 | 0.12 |
| Ovarian Structures | Control | Xylene | Flaxseed | Xylene + Flaxseed | |
|---|---|---|---|---|---|
| Whole ovary | 1439 ± 104.40 | 1222 ± 72.22 a | 1133 ± 86.35 a | 1496 ± 54.43 b | |
| Ovarian follicles | Primordial follicle | 33.97 ± 1.61 | 22.82 ± 3.71 a | 31.32 ± 1.83 | 19.33 ± 0.74 ab |
| Primary follicle | 80.03 ± 2.54 | 67.13 ± 2.44 a | 68.67 ± 2.99 a | 69.32 ± 2.49 ab | |
| Oocyte of primary follicle | 29.40 ± 1.69 | 32.10 ± 1.82 | 30.65 ± 1.98 | 30.91 ± 1.87 | |
| Secondary follicle | 128.60 ± 3.92 | 139.20 ± 4.80 a | 139.20 ± 4.20 a | 142.70 ± 7.40 ab | |
| Oocyte of secondary follicle | 37.79 ± 2.09 | 43.35 ± 1.62 a | 35.46 ± 1.32 | 37.46 ± 1.86 | |
| Tertiary follicle | 223.50 ± 6.34 | 238.60 ± 8.80 | 224.40 ± 5.91 | 228.2 ± 6.32 | |
| Oocyte of tertiary follicle | 53.61 ± 3.04 | 48.64 ± 2.14 a | 46.96 ± 1.72 a | 41.73 ± 2.60 ab | |
| Corpus luteum | 483.1 ± 43.42 | 395.2 ± 43.51 | 376.8 ± 17.63 | 479.3 ± 32.09 | |
| Analyzed Parameter | Ovarian Structure | Control | Xylene | Flaxseed | Xylene + Flaxseed | |
|---|---|---|---|---|---|---|
| PCNA | Secondary follicle | Oocyte | 1.69 ± 0.07 | 1.83 ± 0.07 | 1.92 ± 0.04 a | 1.63 ± 0.09 b |
| Granulosa | 1.64 ± 0.04 | 1.77 ± 0.05 a | 1.92 ± 0.04 a | 1.53 ± 0.07 b | ||
| Theca | 1.50 ± 0.03 | 1.71 ± 0.05 a | 1.79 ± 0.03 a | 1.32 ± 0.04 ab | ||
| Tertiary follicle | Oocyte | 1.82 ± 0.08 | 1.66 ± 0.10 | 1.61 ± 0.05 | 1.65 ± 0.06 | |
| Granulosa | 1.90 ± 0.09 | 1.73 ± 0.06 a | 1.67 ± 0.06 a | 1.59 ± 0.05 ab | ||
| Theca | 1.70 ± 0.05 | 1.64 ± 0.03 | 1.51 ± 0.07 a | 1.62 ± 0.03 | ||
| CL | 1.53 ± 0.04 | 1.99 ± 0.12 a | 1.88 ± 0.04 a | 1.74 ± 0.05 ab | ||
| Stroma | 1.64 ± 0.07 | 1.75 ± 0.04 | 1.74 ± 0.08 | 1.38 ± 0.05 ab | ||
| Caspase 3 | Secondary follicle | Oocyte | 1.98 ± 0.10 | 2.35 ± 0.07 a | 2.12 ± 0.17 | 1.83 ± 0.03 ab |
| Granulosa | 2.17 ± 0.04 | 2.40 ± 0.05 a | 2.15 ± 0.04 | 2.35 ± 0.11 | ||
| Theca | 2.01 ± 0.05 | 2.26 ± 0.07 a | 1.94 ± 0.10 | 2.12 ± 0.06 a | ||
| Tertiary follicle | Oocyte | 1.99 ± 0.05 | 1.99 ± 0.15 | 2.53 ± 0.07 a | 1.91 ± 0.03 | |
| Granulosa | 2.17 ± 0.04 | 2.40 ± 0.05 a | 2.15 ± 0.04 | 2.35 ± 0.11 | ||
| Theca | 2.16 ± 0.02 | 1.95 ± 0.08 a | 2.33 ± 0.07 a | 2.21 ± 0.07 b | ||
| CL | 2.26 ± 0.05 | 2.26 ± 0.05 | 2.32 ± 0.10 | 2.56 ± 0.03 ab | ||
| Stroma | 2.11 ± 0.09 | 2.40 ± 0.09 a | 2.35 ± 0.09 a | 1.82 ± 0.03 b | ||
| Analyzed Parameter | Ovarian Structure | Control | Xylene | Flaxseed | Xylene + Flaxseed | |
|---|---|---|---|---|---|---|
| FSH receptor | Secondary follicle | Oocyte | 2.27 ± 0.04 | 2.87 ± 0.15 a | 2.62 ± 0.07 a | 2.69 ± 0.10 a |
| Granulosa | 2.56 ± 0.11 | 2.72 ± 0.09 | 2.53 ± 0.04 | 2.63 ± 0.04 | ||
| Theca | 2.53 ± 0.13 | 2.59 ± 0.10 | 2.73 ± 0.09 | 2.49 ± 0.02 | ||
| Tertiary follicle | Oocyte | 2.05 ± 0.04 | 2.85 ± 0.14 a | 2.60 ± 0.06 a | 2.67 ± 0.05 a | |
| Granulosa | 2.45 ± 0.06 | 2.22 ± 0.06 a | 2.48 ± 0.06 | 2.68 ± 0.04 ab | ||
| Theca | 2.34 ± 0.06 | 2.17 ± 0.06 a | 2.53 ± 0.07 a | 2.53 ± 0.06 ab | ||
| CL | 2.70 ± 0.08 | 2.74 ± 0.08 | 2.59 ± 0.07 | 2.76 ± 0.03 | ||
| Stroma | 2.34 ± 0.09 | 2.70 ± 0.02 a | 2.56 ± 0.06 a | 2.61 ± 0.05 ab | ||
| Oxytocin receptor | Secondary follicle | Oocyte | 2.28 ± 0.10 | 2.60 ± 0.07 a | 2.05 ± 0.07 a | 1.96 ± 0.05 ab |
| Granulosa | 2.55 ± 0.07 | 2.62 ± 0.07 | 2.06 ± 0.05 a | 1.98 ± 0.03 ab | ||
| Theca | 2.20 ± 0.06 | 2.42 ± 0.08 a | 1.78 ± 0.03 a | 1.85 ± 0.05 ab | ||
| Tertiary follicle | Oocyte | 2.65 ± 0.10 | 2.55 ± 0.16 | 2.02 ± 0.02 a | 1.88 ± 0.04 ab | |
| Granulosa | 3.38 ± 0.12 | 2.67 ± 0.05 a | 1.81 ± 0.05 a | 2.03 ± 0.04 ab | ||
| Theca | 2.76 ± 0.16 | 2.55 ± 0.04 a | 1.79 ± 0.03 a | 1.87 ± 0.03 ab | ||
| CL | 3.43 ± 0.17 | 2.35 ± 0.08 a | 2.01 ± 0.04 a | 2.03 ± 0.03 ab | ||
| Stroma | 2.72 ± 0.13 | 2.49 ± 0.05 a | 1.84 ± 0.02 a | 1.86 ± 0.06 ab | ||
| Analyzed Parameter | Ovarian Structure | Control | Xylene | Flaxseed | Xylene + Flaxseed | |
|---|---|---|---|---|---|---|
| ERα | Secondary follicle | Oocyte | 1.44 ± 0.03 | 1.53 ± 0.08 | 1.52 ± 0.04 | 1.58 ± 0.01 |
| Granulosa | 1.64 ± 0.09 | 1.52 ± 0.02 a | 1.64 ± 0.03 | 1.49 ± 0.03 ab | ||
| Theca | 1.57 ± 0.07 | 1.62 ± 0.06 | 1.73 ± 0.04 | 1.56 ± 0.04 | ||
| Tertiary follicle | Oocyte | 1.27 ± 0.04 | 1.58 ± 0.04 a | 1.49 ± 0.05 a | 1.52 ± 0.06 a | |
| Granulosa | 1.48 ± 0.03 | 1.56 ± 0.03 a | 1.56 ± 0.04 a | 1.60 ± 0.02 a | ||
| Theca | 1.43 ± 0.04 | 1.64 ± 0.05 a | 1.64 ± 0.05 a | 1.65 ± 0.06 a | ||
| CL | 1.61 ± 0.03 | 1.92 ± 0.04 a | 1.68 ± 0.03 a | 1.75 ± 0.02 ab | ||
| Stroma | 1.45 ± 0.04 | 1.62 ± 0.05 a | 1.63 ± 0.05 a | 1.69 ± 0.04 a | ||
| ERβ | Secondary follicle | Oocyte | 1.51 ± 0.04 | 2.59 ± 0.05 a | 2.53 ± 0.17 a | 2.18 ± 0.06 ab |
| Granulosa | 1.53 ± 0.05 | 2.18 ± 0.10 a | 2.02 ± 0.05 a | 2.13 ± 0.07 a | ||
| Theca | 1.50 ± 0.04 | 2.15 ± 0.03 a | 2.11 ± 0.07 a | 2.04 ± 0.06 ab | ||
| Tertiary follicle | Oocyte | 1.44 ± 0.06 | 1.76 ± 0.05 a | 2.32 ± 0.10 a | 1.98 ± 0.06 ab | |
| Granulosa | 1.51 ± 0.05 | 2.15 ± 0.05 a | 2.12 ± 0.07 a | 2.07 ± 0.03 a | ||
| Theca | 1.40 ± 0.02 | 2.30 ± 0.03 a | 2.30 ± 0.09 a | 2.04 ± 0.08 ab | ||
| CL | 1.47 ± 0.02 | 2.71 ± 0.05 a | 2.27 ± 0.04 a | 2.31 ± 0.07 ab | ||
| Stroma | 1.67 ± 0.11 | 2.24 ± 0.07 a | 2.35 ± 0.05 a | 2.00 ± 0.07 ab | ||
| PRB | Secondary follicle | Oocyte | 1.79 ± 0.04 | 2.36 ± 0.10 a | 1.75 ± 0.11 | 1.82 ± 0.07 |
| Granulosa | 1.94 ± 0.06 | 2.68 ± 0.09 a | 1.62 ± 0.03 a | 1.82 ± 0.04 ab | ||
| Theca | 1.78 ± 0.06 | 2.64 ± 0.07 a | 1.63 ± 0.02 a | 1.68 ± 0.03 ab | ||
| Tertiary follicle | Oocyte | 1.97 ± 0.12 | 2.25 ± 0.08 a | 1.94 ± 0.03 | 2.15 ± 0.02 | |
| Granulosa | 2.16 ± 0.06 | 2.97 ± 0.09 a | 1.74 ± 0.03 a | 1.92 ± 0.02 ab | ||
| Theca | 2.08 ± 0.07 | 2.73 ± 0.05 a | 1.65 ± 0.04 a | 1.81 ± 0.03 ab | ||
| CL | 2.19 ± 0.06 | 2.26 ± 0.05 | 1.60 ± 0.04 a | 1.75 ± 0.02 ab | ||
| Stroma | 1.55 ± 0.05 | 2.57 ± 0.07 a | 1.56 ± 0.07 | 1.78 ± 0.04 ab | ||
Publisher’s Note: MDPI stays neutral with regard to jurisdictional claims in published maps and institutional affiliations. |
© 2022 by the authors. Licensee MDPI, Basel, Switzerland. This article is an open access article distributed under the terms and conditions of the Creative Commons Attribution (CC BY) license (https://creativecommons.org/licenses/by/4.0/).
Share and Cite
Vlčková, R.; Sopková, D.; Andrejčáková, Z.; Lecová, M.; Fabian, D.; Šefčíková, Z.; Seidavi, A.; Sirotkin, A.V. Dietary Supplementation of Flaxseed (Linum usitatissimum L.) Alters Ovarian Functions of Xylene-Exposed Mice. Life 2022, 12, 1152. https://doi.org/10.3390/life12081152
Vlčková R, Sopková D, Andrejčáková Z, Lecová M, Fabian D, Šefčíková Z, Seidavi A, Sirotkin AV. Dietary Supplementation of Flaxseed (Linum usitatissimum L.) Alters Ovarian Functions of Xylene-Exposed Mice. Life. 2022; 12(8):1152. https://doi.org/10.3390/life12081152
Chicago/Turabian StyleVlčková, Radoslava, Drahomíra Sopková, Zuzana Andrejčáková, Martina Lecová, Dušan Fabian, Zuzana Šefčíková, Alireza Seidavi, and Alexander V. Sirotkin. 2022. "Dietary Supplementation of Flaxseed (Linum usitatissimum L.) Alters Ovarian Functions of Xylene-Exposed Mice" Life 12, no. 8: 1152. https://doi.org/10.3390/life12081152
APA StyleVlčková, R., Sopková, D., Andrejčáková, Z., Lecová, M., Fabian, D., Šefčíková, Z., Seidavi, A., & Sirotkin, A. V. (2022). Dietary Supplementation of Flaxseed (Linum usitatissimum L.) Alters Ovarian Functions of Xylene-Exposed Mice. Life, 12(8), 1152. https://doi.org/10.3390/life12081152

