LC-MS/MS-Based Serum Protein Profiling for Identification of Candidate Biomarkers in Pakistani Rheumatoid Arthritis Patients
Abstract
1. Introduction
2. Materials and Methods
2.1. Study Subjects and Serum Collection
2.2. Protein Assay
2.3. SDS-PAGE and Silver Staining
2.4. ProteoMinerTM Column Processing
2.5. Protein Digestion
2.6. LC-MS/MS
2.7. Label-Free Quantification
2.8. Pathway Analysis
2.9. Validation of MS Using ELISA
2.10. Statistics
3. Results
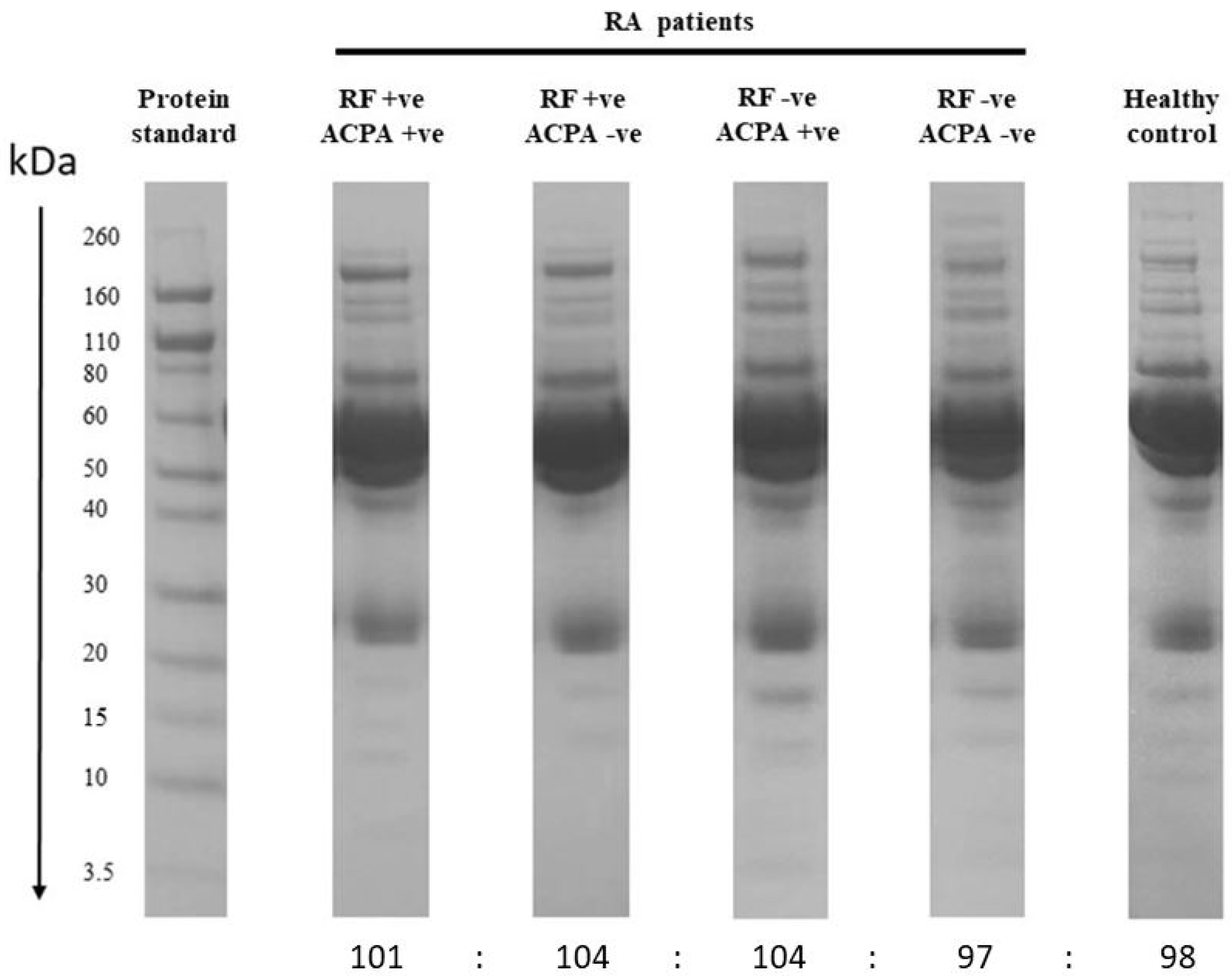
3.1. 1-D SDS-PAGE Qualitative Analysis
3.2. Identification of Proteins in Serum
3.3. Differentially Expressed Proteins
3.4. Pathway Analysis
3.5. Validation of Mass Spectrometry Using ELISA
4. Discussion
5. Conclusions
Supplementary Materials
Author Contributions
Funding
Institutional Review Board Statement
Informed Consent Statement
Data Availability Statement
Conflicts of Interest
References
- McInnes, I.B.; Schett, G. The Pathogenesis of Rheumatoid Arthritis. New Engl. J. Med. 2011, 365, 2205–2219. [Google Scholar] [CrossRef] [PubMed]
- Cross, M.; Smith, E.; Hoy, D.; Carmona, L.; Wolfe, F.; Vos, T.; Williams, B.; Gabriel, S.; Lassere, M.; Johns, N.; et al. The global burden of rheumatoid arthritis: Estimates from the Global Burden of Disease 2010 study. Ann. Rheum. Dis. 2014, 73, 1316–1322. [Google Scholar] [CrossRef] [PubMed]
- Espinoza, F.; Fabre, S.; Pers, Y.-M. Remission-induction therapies for early rheumatoid arthritis: Evidence to date and clinical implications. Ther. Adv. Musculoskelet. Dis. 2016, 8, 107–118. [Google Scholar] [CrossRef] [PubMed]
- Firestein, G.S.; McInnes, I.B. Immunopathogenesis of Rheumatoid Arthritis. Immunity 2017, 46, 183–196. [Google Scholar] [CrossRef]
- Smolen, J.S.; Aletaha, D.; Barton, A.; Burmester, G.R.; Emery, P.; Firestein, G.S.; Kavanaugh, A.; McInnes, I.B.; Solomon, D.H.; Strand, V. Rheumatoid arthritis. Nat. Rev. Dis. Primers 2018, 4, 18001. [Google Scholar] [CrossRef]
- Croia, C.; Bursi, R.; Sutera, D.; Petrelli, F.; Alunno, A.; Puxeddu, I. One year in review 2019: Pathogenesis of rheumatoid arthritis. Clin. Exp. Rheumatol. 2019, 37, 347–357. [Google Scholar]
- Aletaha, D.; Neogi, T.; Silman, A.J.; Funovits, J.; Felson, D.T.; Bingham, C.O., III; Birbaum, N.S.; Bykerk, V.P.; Cohen, M.D.; Combe, B.; et al. 2010 rheumatoid arthritis classification criteria: An American College of Rheumatology/European League Against Rheumatism collaborative initiative. Arthritis Rheum. 2010, 62, 2569–2581. [Google Scholar] [CrossRef]
- Didier, K.; Bolko, L.; Giusti, D.; Toquet, S.; Robbins, A.; Antonicelli, F.; Servettaz, A. Autoantibodies Associated With Connective Tissue Diseases: What Meaning for Clinicians? Front. Immunol. 2018, 9, 541. [Google Scholar] [CrossRef]
- Zhao, J.; Su, Y.; Li, R.; Ye, H.; Zou, Q.; Fang, Y.; Liu, H.; Li, X.; Guo, J.; Bi, L.; et al. Classification criteria of early rheumatoid arthritis and validation of its performance in a multi-centre cohort. Clin. Exp. Rheumatol. 2014, 32, 667–673. [Google Scholar]
- Mimura, Y.; Ihn, H.; Jinnin, M.; Asano, Y.; Yamane, K.; Tamaki, K. Rheumatoid factor isotypes in mixed connective tissue disease. Clin. Rheumatol. 2006, 25, 572–574. [Google Scholar] [CrossRef]
- Moll, J.; Isailovic, N.; De Santis, M.; Selmi, C. Rheumatoid Factors in Hepatitis B and C Infections: Connecting Viruses, Autoimmunity, and Cancer. Isr. Med. Assoc. J. 2019, 21, 480–486. [Google Scholar] [PubMed]
- Conigliaro, P.; Chimenti, M.S.; Triggianese, P.; Sunzini, F.; Novelli, L.; Perricone, R. Autoantibodies in inflammatory arthritis. Autoimmun. Rev. 2016, 15, 673–683. [Google Scholar] [CrossRef] [PubMed]
- Aletaha, D.; Smolen, J.S. Joint damage in rheumatoid arthritis progresses in remission according to the Disease Activity Score in 28 joints and is driven by residual swollen joints. Arthritis Care Res. 2011, 63, 3702–3711. [Google Scholar] [CrossRef] [PubMed]
- Van Zanten, A.; Arends, S.; Roozendaal, C.; Limburg, P.C.; Maas, F.; Trouw, L.A.; Toes, R.E.M.; Huizinga, T.W.J.; Bootsma, H.; Brouwer, E. Presence of anticitrullinated protein antibodies in a large population-based cohort from The Netherlands. Ann. Rheum. Dis. 2017, 76, 1184–1190. [Google Scholar] [CrossRef]
- Van Beers, J.J.; Willemze, A.; Jansen, J.J.; Engbers, G.H.; Salden, M.; Raats, J.; Drijfhout, J.W.; van der Helm-van Mil, A.; Toes, R.E.; Pruijn, G.J. ACPA fine-specificity profiles in early rheumatoid arthritis patients do not correlate with clinical features at baseline or with disease progression. Arthritis Res. Ther. 2013, 15, 1–10. [Google Scholar] [CrossRef]
- Schwenzer, A.; Jiang, X.; Mikuls, T.R.; Payne, J.; Sayles, H.R.; Quirke, A.-M.; Kessler, B.; Fischer, R.; Venables, P.J.; Lundberg, K.; et al. Identification of an immunodominant peptide from citrullinated tenascin-C as a major target for autoantibodies in rheumatoid arthritis. Ann. Rheum. Dis. 2015, 75, 1876–1883. [Google Scholar] [CrossRef]
- Johansson, L.; Pratesi, F.; Brink, M.; Ärlestig, L.; D’Amato, C.; Bartaloni, D.; Migliorini, P.; Rantapää-Dahlqvist, S. Antibodies directed against endogenous and exogenous citrullinated antigens pre-date the onset of rheumatoid arthritis. Arthritis Res. Ther. 2016, 18, 1–11. [Google Scholar] [CrossRef]
- Huang, F.; Liu, X.; Cheng, Y.; Sun, X.; Li, Y.; Zhao, J.; Cao, D.; Wu, Q.; Pan, X.; Deng, H.; et al. Antibody to peptidoglycan recognition protein (PGLYRP)-2 as a novel biomarker in rheumatoid arthritis. Clin. Exp. Rheumatol. 2021, 9, 988–994. [Google Scholar]
- Mun, S.; Lee, J.; Park, A.; Kim, H.-J.; Son, H.; Shin, M.; Lim, M.-K.; Kang, H.-G. Proteomics Approach for the Discovery of Rheumatoid Arthritis Biomarkers Using Mass Spectrometry. Int. J. Mol. Sci. 2019, 20, 4368. [Google Scholar] [CrossRef]
- Mun, S.; Lee, J.; Lim, M.-K.; Lee, Y.-R.; Ihm, C.; Lee, S.H.; Kang, H.-G. Development of a Novel Diagnostic Biomarker Set for Rheumatoid Arthritis Using a Proteomics Approach. BioMed Res. Int. 2018, 2018, 1–11. [Google Scholar] [CrossRef]
- Mun, S.; Lee, J.; Park, M.; Shin, J.; Lim, M.-K.; Kang, H.-G. Serum biomarker panel for the diagnosis of rheumatoid arthritis. Arthritis Res. Ther. 2021, 23, 1–10. [Google Scholar] [CrossRef] [PubMed]
- Vizcaíno, J.A.; Csordas, A.; Del-Toro, N.; Dianes, J.A.; Griss, J.; Lavidas, I.; Mayer, G.; Perez-Riverol, Y.; Reisinger, F.; Ternent, T.; et al. 2016 update of the PRIDE database and its related tools. Nucleic Acids Res. 2016, 44, D447–D456. [Google Scholar] [CrossRef] [PubMed]
- Fonslow, B.R.; Carvalho, P.C.; Academia, K.; Freeby, S.; Xu, T.; Nakorchevsky, A.; Paulus, A.; Yates, I.J.R. Improvements in Proteomic Metrics of Low Abundance Proteins through Proteome Equalization Using ProteoMiner Prior to MudPIT. J. Proteome Res. 2011, 10, 3690–3700. [Google Scholar] [CrossRef] [PubMed]
- Pernemalm, M.; Orre, L.M.; Lengqvist, J.; Wikström, P.; Lewensohn, R.; Lehtiö, J. Evaluation of Three Principally Different Intact Protein Prefractionation Methods for Plasma Biomarker Discovery. J. Proteome Res. 2008, 7, 2712–2722. [Google Scholar] [CrossRef]
- Millioni, R.; Tolin, S.; Puricelli, L.; Sbrignadello, S.; Fadini, G.P.; Tessari, P.; Arrigoni, G. High Abundance Proteins Depletion vs. Low Abundance Proteins Enrichment: Comparison of Methods to Reduce the Plasma Proteome Complexity. PLoS ONE 2011, 6, e19603. [Google Scholar] [CrossRef]
- Shao, J.; Jin, Y.; Shao, C.; Fan, H.; Wang, X.; Yang, G. Serum exosomal pregnancy zone protein as a promising biomarker in inflammatory bowel disease. Cell. Mol. Biol. Lett. 2021, 26, 1–13. [Google Scholar] [CrossRef]
- Schomburg, L. Selenium Deficiency Due to Diet, Pregnancy, Severe Illness, or COVID-19—A Preventable Trigger for Autoimmune Disease. Int. J. Mol. Sci. 2021, 22, 8532. [Google Scholar] [CrossRef]
- O’Dell, J.R.; Lemley-Gillespie, S.; Palmer, W.R.; Weaver, A.L.; Moore, G.F.; Klassen, L.W. Serum selenium concentrations in rheumatoid arthritis. Ann. Rheum Dis. 1991, 50, 376–378. [Google Scholar] [CrossRef]
- Sun, Q.; Hackler, J.; Hilger, J.; Gluschke, H.; Muric, A.; Simmons, S.; Schomburg, L.; Siegert, E. Selenium and Copper as Biomarkers for Pulmonary Arterial Hypertension in Systemic Sclerosis. Nutrients 2020, 12, 1894. [Google Scholar] [CrossRef]
- Yu, N.; Han, F.; Lin, X.; Tang, C.; Ye, J.; Cai, X. The Association Between Serum Selenium Levels with Rheumatoid Arthritis. Biol. Trace Element Res. 2016, 172, 46–52. [Google Scholar] [CrossRef]
- Ladešić, B.; Tomašić, J.; Kveder, S.; Hršak, I. The metabolic fate of 14C-labeled immunoadjuvant peptidoglycan monomer: II. In vitro studies. Biochim. Et Biophys. Acta Gen. Subj. 1981, 678, 12–17. [Google Scholar] [CrossRef]
- Cromartie, W.J.; Craddock, J.G.; Schwab, J.H.; Anderle, S.K.; Yang, C.H. Arthritis in rats after systemic injection of streptococcal cells or cell walls. J. Exp. Med. 1977, 146, 1585–1602. [Google Scholar] [CrossRef] [PubMed]
- Lehman, T.J.; Allen, J.B.; Plotz, P.H.; Wilder, R.L. Polyarthritis in rats following the systemic injection of Lactobacillus casei cell walls in aqueous suspension. Arthritis Rheum. 1983, 26, 1259–1265. [Google Scholar] [CrossRef] [PubMed]
- Saha, S.; Qi, J.; Wang, S.; Wang, M.; Li, X.; Kim, Y.-G.; Núñez, G.; Gupta, D.; Dziarski, R. PGLYRP-2 and Nod2 Are Both Required for Peptidoglycan-Induced Arthritis and Local Inflammation. Cell Host Microbe 2009, 5, 137–150. [Google Scholar] [CrossRef]
- Clowers, J.S.; Allensworth, J.J.; Lee, E.J.; Rosenzweig, H.L. Investigation of the peptidoglycan sensing molecule, PGLYRP-2, in murine inflammatory uveitis. Br. J. Ophthalmol. 2013, 97, 504–510. [Google Scholar] [CrossRef] [PubMed]
- Trouw, L.; Nilsson, S.C.; Goncalves, I.; Landberg, G.; Blom, A.M. C4b-binding protein binds to necrotic cells and DNA, limiting DNA release and inhibiting complement activation. J. Exp. Med. 2005, 201, 1937–1948. [Google Scholar] [CrossRef]
- Skidgel, R.A. Structure and function of mammalian zinc carboxypeptidases. In Zinc Metalloproteases in Health and Disease; CRC Press: Boca Raton, FL, USA, 1996; pp. 261–304. [Google Scholar]
- Huang, X.-S.; Zhao, S.-P.; Hu, M.; Luo, Y.-P. Apolipoprotein M likely extends its anti-atherogenesis via anti-inflammation. Med. Hypotheses 2007, 69, 136–140. [Google Scholar] [CrossRef]
- Park, Y.-J.; Yoo, S.-A.; Lee, J.-H.; Chung, Y.-J.; Cho, C.-S.; Kim, W.-U. The APOM polymorphism as a novel risk factor for dyslipidaemia in rheumatoid arthritis: A possible shared link between disease susceptibility and dyslipidaemia. Clin. Exp. Rheumatol. 2012, 31, 180–188. [Google Scholar]
- Huang, Y.; Liu, Y.; Jiang, L.; Sun, R.; Zhang, H.; Liu, R.; Xu, N. Apolipoprotein m (APOM) levels and APOM rs805297 G/T polymorphism are associated with increased risk of rheumatoid arthritis. Jt. Bone Spine 2014, 81, 32–36. [Google Scholar] [CrossRef]
- Blaschke, S.; Rinke, K.; Maring, M.; Flad, T.; Patschan, S.; Jahn, O.; Mueller, C.A.; Mueller, G.A.; Dihazi, H. Haptoglobin-α1, -α2, vitamin D-binding protein and apolipoprotein C-III as predictors of etanercept drug response in rheumatoid arthritis. Arthritis Res. Ther. 2015, 17, 1–12. [Google Scholar] [CrossRef][Green Version]
- Kremer, J.M.; Genovese, M.C.; Keystone, E.; Taylor, P.C.; Zuckerman, S.H.; Ruotolo, G.; Schlichting, D.E.; Crotzer, V.L.; Nantz, E.; Beattie, S.D.; et al. Effects of Baricitinib on Lipid, Apolipoprotein, and Lipoprotein Particle Profiles in a Phase IIb Study of Patients With Active Rheumatoid Arthritis. Arthritis Rheumatol. 2017, 69, 943–952. [Google Scholar] [CrossRef] [PubMed]
- Lindhardsen, J.; Ahlehoff, O.; Gislason, G.H.; Madsen, O.R.; Olesen, J.B.; Torp-Pedersen, C.; Hansen, P.R. The risk of myocardial infarction in rheumatoid arthritis and diabetes mellitus: A Danish nationwide cohort study. Ann. Rheum. Dis. 2011, 70, 929–934. [Google Scholar] [CrossRef] [PubMed]
- Avina-Zubieta, J.A.; Thomas, J.; Sadatsafavi, M.; Lehman, A.J.; Lacaille, D. Risk of incident cardiovascular events in patients with rheumatoid arthritis: A meta-analysis of observational studies. Ann. Rheum. Dis. 2012, 71, 1524–1529. [Google Scholar] [CrossRef] [PubMed]
- Joseph, S.B.; McKilligin, E.; Pei, L.; Watson, M.A.; Collins, A.R.; Laffitte, B.A.; Chen, M.; Noh, G.; Goodman, J.; Hagger, G.N.; et al. Synthetic LXR ligand inhibits the development of atherosclerosis in mice. Proc. Natl. Acad. Sci. USA 2002, 99, 7604–7609. [Google Scholar] [CrossRef]
- Joseph, S.; Castrillo, A.; Laffitte, B.A.; Mangelsdorf, D.; Tontonoz, P. Reciprocal regulation of inflammation and lipid metabolism by liver X receptors. Nat. Med. 2003, 9, 213–219. [Google Scholar] [CrossRef]
- Di Dalmazi, G.; Hirshberg, J.; Lyle, D.; Freij, J.B.; Caturegli, P. Reactive oxygen species in organ-specific autoimmunity. Auto Immun. Highlights 2016, 7, 1–11. [Google Scholar] [CrossRef]
- Holmdahl, R.; Sareila, O.; Olsson, L.; Bäckdahl, L.; Wing, K. Ncf1 polymorphism reveals oxidative regulation of autoimmune chronic inflammation. Immunol. Rev. 2015, 269, 228–247. [Google Scholar] [CrossRef]







| Double Positive | RF Positive | ACPA Positive | Double Negative | Healthy | |
|---|---|---|---|---|---|
| Discovery cohort | |||||
| Number of subjects (n) | 5 | 5 | 5 | 3 | 5 |
| Sex (Male/Females) | 4/1 | 4/1 | 4/1 | 2/1 | 4/1 |
| Age | 40.77 ± 12.01 | 39.31 ±13.43 | 41.21 ± 12.02 | 39.13 ± 11.07 | 43.4 ± 9.11 |
| DAS 28 | 4.93 ± 1.13 | 4.41 ± 0.91 | 3.98 ± 1.11 | 2.31 ± 1.73 | - |
| Treatment | |||||
| Methotrexate (n) | 1 | 1 | 2 | 2 | - |
| Hydroxychloroquine + methotrexate + sulfasalazine (n) | 3 | 2 | 2 | 1 | - |
| Sulfasalazine + hydroxychloroquine (n) | - | 1 | - | - | - |
| Leflunomide + methotrexate (n) | 1 | 1 | 1 | - | - |
| Comorbidities | |||||
| Hypertension (n) | 2 | 1 | - | - | 1 |
| Type 1 diabetes (n) | 1 | 2 | 1 | - | |
| Validation cohort | |||||
| Number of subjects (n) | 20 | 17 | 13 | 10 | 20 |
| Sex(Male/Females) | 16/4 | 13/4 | 11/2 | 8/2 | 16/4 |
| Age | 46.66 ± 13.44 | 41.03 ± 14.14 | 38.21 ± 11.61 | 40.08 ± 12.12 | 45.4 ± 11.31 |
| DAS 28 | 3.98 ± 1.1 | 4.31 ± 1.32 | 4.11 ± 2.1 | 3.11 ± 2.17 | - |
| Treatment | |||||
| Methotrexate (n) | 5 | 8 | 3 | 4 | - |
| Hydroxychloroquine + methotrexate + sulfasalazine (n) | 7 | 3 | 3 | 2 | - |
| Sulfasalazine + hydroxychloroquine (n) | 4 | 3 | 4 | 3 | - |
| Leflunomide + methotrexate (n) | 4 | 2 | 3 | 1 | - |
| Comorbidities | |||||
| Hypertension (n) | 3 | 4 | 2 | 3 | 3 |
| Type 1 diabetes (n) | 4 | 2 | 2 | 1 | 3 |
| Accession | q Value | Number of Unique Peptides | Maximum Fold Change | Highest Mean Condition | Lowest Mean Condition | Protein Name |
|---|---|---|---|---|---|---|
| P49908 | 0.0007 | 2 | 5.19 | Controls | dPos | Selenoprotein P |
| P00747;Q02325;Q15195 | 0.0009 | 49 | 2.13 | dNeg | dPos | Plasminogen |
| P20742 | 0.009 | 14 | 6.37 | ACPA | Controls | Pregnancy zone protein |
| P34096 | 0.009 | 2 | 5.33 | RF | dPos | Ribonuclease 4 |
| P02741 | 0.01 | 4 | 8.91 | dNeg | dPos | C-reactive protein |
| P20851 | 0.01 | 6 | 2.30 | dPos | Controls | C4b-binding protein beta chain |
| O95445 | 0.02 | 7 | 3.32 | Controls | dPos | Apolipoprotein M |
| P36955 | 0.02 | 9 | 2.21 | dPos | ACPA | Pigment epithelium-derived factor |
| Q14520 | 0.02 | 15 | 2.06 | dNeg | dPos | Hyaluronan-binding protein 2 |
| Q96PD5 | 0.02 | 6 | 2.66 | Controls | dNeg | N-acetylmuramoyl-L-alanine amidase |
| P15169 | 0.02 | 4 | 3.23 | Controls | dPos | Carboxypeptidase N catalytic chain |
| P01023 | 0.02 | 10 | 13.4 | dPos | dNeg | Alpha-2-macroglobulin |
| Q8WWZ8 | 0.02 | 2 | 3.64 | dPos | Controls | Oncoprotein-induced transcript 3 protein |
| P35443 | 0.02 | 3 | 3.08 | dNeg | dPos | Thrombospondin-4 |
| P02671 | 0.02 | 7 | 2.86 | RF | dPos | Fibrinogen alpha chain |
| P07357 | 0.02 | 21 | 2.39 | dNeg | RF | Complement component C8 alpha chain |
| P22792 | 0.02 | 7 | 2.26 | Control | dNeg | Carboxypeptidase N subunit 2 |
| P02654 | 0.03 | 2 | 4.27 | Controls | RF | Apolipoprotein C-I |
| Q9BXR6 | 0.03 | 17 | 2.43 | dNeg | ACPA | Complement factor H-related protein 5 |
| Q9UK55 | 0.031311 | 8 | 5.59 | dNeg | RF | Protein Z-dependent protease inhibitor |
| P61626 | 0.03 | 5 | 3.70 | dNeg | dPos | Lysozyme C |
| P02656 | 0.03 | 5 | 2.48 | Controls | dPos | Apolipoprotein C-III |
| P10643 | 0.03 | 18 | 2.47 | dNeg | dPos | Complement component C7 |
| Q14766 | 0.04 | 4 | 5.30 | dNeg | dPos | Latent-transforming growth factor beta-binding protein 1 |
| Q12805 | 0.04 | 11 | 2.46 | RF | dPos | EGF-containing fibulin-like extracellular matrix protein 1 |
Publisher’s Note: MDPI stays neutral with regard to jurisdictional claims in published maps and institutional affiliations. |
© 2022 by the authors. Licensee MDPI, Basel, Switzerland. This article is an open access article distributed under the terms and conditions of the Creative Commons Attribution (CC BY) license (https://creativecommons.org/licenses/by/4.0/).
Share and Cite
Jahangir, S.; John, P.; Bhatti, A.; Aslam, M.M.; Mehmood Malik, J.; Anderson, J.R.; Peffers, M.J. LC-MS/MS-Based Serum Protein Profiling for Identification of Candidate Biomarkers in Pakistani Rheumatoid Arthritis Patients. Life 2022, 12, 464. https://doi.org/10.3390/life12030464
Jahangir S, John P, Bhatti A, Aslam MM, Mehmood Malik J, Anderson JR, Peffers MJ. LC-MS/MS-Based Serum Protein Profiling for Identification of Candidate Biomarkers in Pakistani Rheumatoid Arthritis Patients. Life. 2022; 12(3):464. https://doi.org/10.3390/life12030464
Chicago/Turabian StyleJahangir, Sidrah, Peter John, Attya Bhatti, Muhammad Muaaz Aslam, Javaid Mehmood Malik, James R. Anderson, and Mandy J. Peffers. 2022. "LC-MS/MS-Based Serum Protein Profiling for Identification of Candidate Biomarkers in Pakistani Rheumatoid Arthritis Patients" Life 12, no. 3: 464. https://doi.org/10.3390/life12030464
APA StyleJahangir, S., John, P., Bhatti, A., Aslam, M. M., Mehmood Malik, J., Anderson, J. R., & Peffers, M. J. (2022). LC-MS/MS-Based Serum Protein Profiling for Identification of Candidate Biomarkers in Pakistani Rheumatoid Arthritis Patients. Life, 12(3), 464. https://doi.org/10.3390/life12030464

