Ameliorative Impacts of Wheat Germ Oil against Ethanol-Induced Hepatic and Renal Dysfunction in Rats: Involvement of Anti-Inflammatory, Anti-Apoptotic, and Antioxidant Signaling Pathways
Abstract
1. Introduction
2. Materials and Methods
2.1. Chemicals and Kits
2.2. Animals and Experimental Design
2.3. Ethanol’s Administration and Preparation
2.4. Hepatic and Renal Function Parameters Assay
2.5. Assessment of Serum Oxidant-Antioxidants and Cytokines
2.6. Assessment of MDA, GSH, and SOD Levels in Liver and Kidney Homogenate, with Metabolic Hepatic BChE, TC and TG Parameters
2.7. Quantitative Real Time PCR (qRT-PCR) and Gene Expression in Hepatic and Renal Tissues
2.8. Liver and Kidney Immunohistochemistry and Histology
2.9. Data Analysis
3. Results
3.1. Ameliorative Impacts of WGO on Liver, Kidney Biomarkers and on Hepatic BChE
3.2. Impacts of WGO on Serum Oxidant-Antioxidants Markers
3.3. Impacts of WGO on Serum Inflammatory and Anti-Inflammatory Cytokines
3.4. Impact of WGO on Kidney and Liver Homogenates’ Stress Markers
3.5. Effects of WGO on Quantitative Expression of (Nrf-2 and HO-1) in Liver Tissue
3.6. Effects of WGO on Quantitative Expression of NF-κB and KIM-1 in Renal Tissues
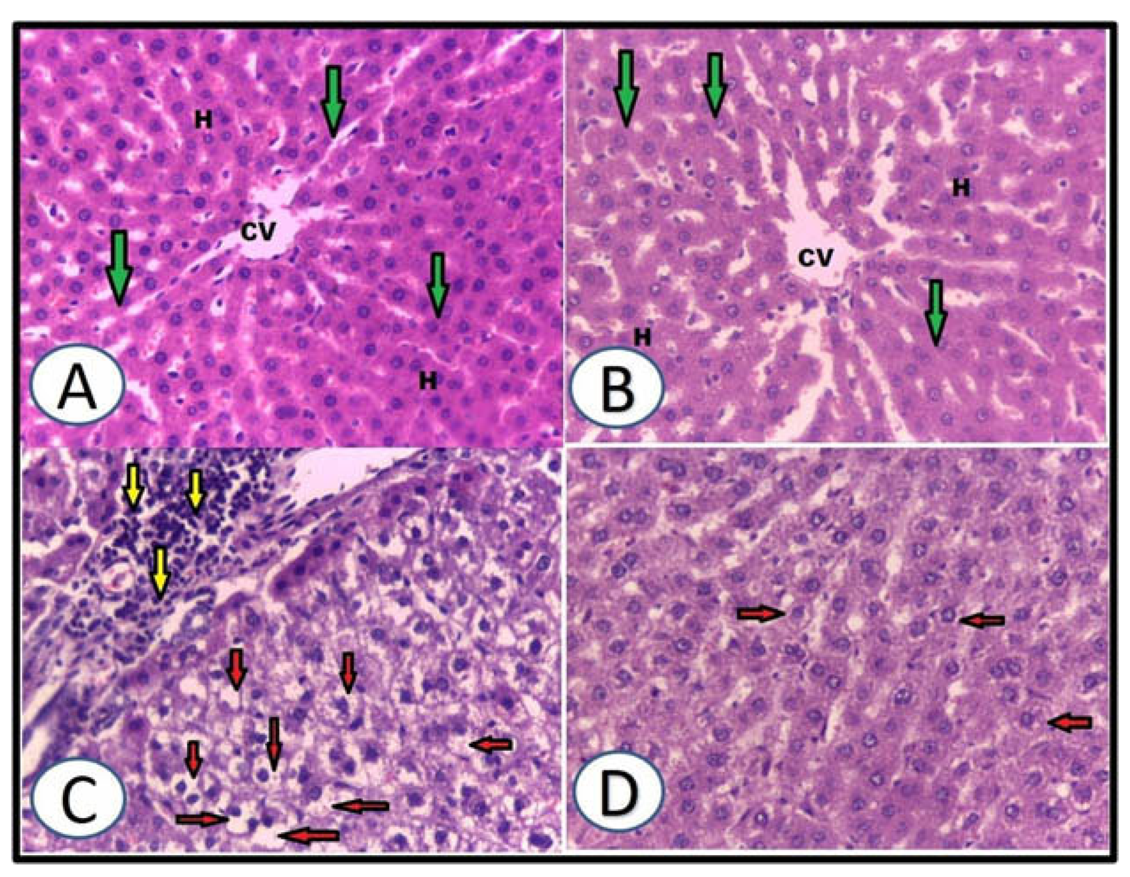
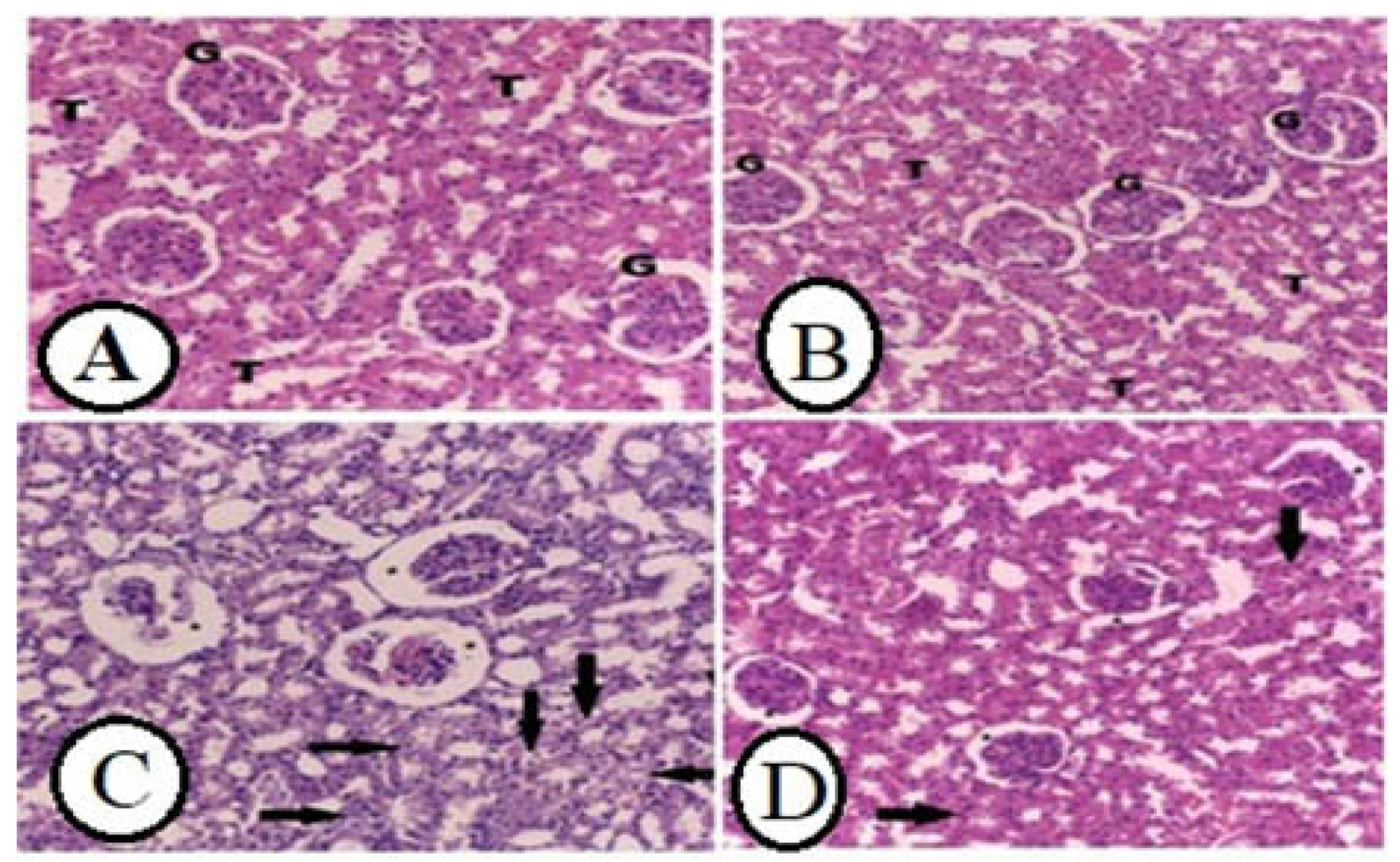
3.7. Histopathological Examination
3.8. Caspase-3 and Bcl2 Immunohistochemistry
4. Discussion
5. Conclusions
Author Contributions
Funding
Institutional Review Board Statement
Informed Consent Statement
Data Availability Statement
Acknowledgments
Conflicts of Interest
References
- Seitz, H.K.; Bataller, R.; Cortez-Pinto, H.; Gao, B.; Gual, A.; Lackner, C.; Mathurin, P.; Mueller, S.; Szabo, G.; Tsukamoto, H. Alcoholic liver disease. Nat. Rev. Dis. Prim. 2018, 4, 16. [Google Scholar] [CrossRef] [PubMed]
- Buchanan, R.; Sinclair, J.M.A. Alcohol use disorder and the liver. Addiction 2021, 116, 1270–1278. [Google Scholar] [CrossRef] [PubMed]
- Chiu, W.C.; Shan, J.C.; Yang, Y.H.; Chen, V.C.; Chen, P.C. Statins and the risks of decompensated liver cirrhosis and hepatocellular carcinoma determined in patients with alcohol use disorder. Drug Alcohol Depend. 2021, 228, 109096. [Google Scholar] [CrossRef] [PubMed]
- Argemi, J.; Ventura-Cots, M.; Rachakonda, V.; Bataller, R. Alcoholic-related liver disease: Pathogenesis, management and future therapeutic developments. Rev. Esp. Enferm. Dig. 2020, 112, 869–878. [Google Scholar] [CrossRef]
- Bhandari, U.; Shamsher, A.A.; Pillai, K.; Khan, M. Antihepatotoxic activity of ginger ethanol extract in rats. Pharm. Biol. 2003, 41, 68–71. [Google Scholar] [CrossRef]
- World Health Organization. Global Status Report on Alcohol and Health–2014; World Health Organization: Geneva, Switzerland, 2014. [Google Scholar]
- Harris, P.S.; Roy, S.R.; Coughlan, C.; Orlicky, D.J.; Liang, Y.; Shearn, C.T.; Roede, J.R.; Fritz, K.S. Chronic ethanol consumption induces mitochondrial protein acetylation and oxidative stress in the kidney. Redox Biol. 2015, 6, 33–40. [Google Scholar] [CrossRef]
- Mani, V.; Siddique, A.I.; Arivalagan, S.; Thomas, N.S.; Namasivayam, N. Zingerone ameliorates hepatic and renal damage in alcohol-induced toxicity in experimental rats. Int. J. Nutr. Pharmacol. Neurol. Dis. 2016, 6, 125. [Google Scholar]
- Pari, L.; Karthikesan, K. Protective role of caffeic acid against alcohol-induced biochemical changes in rats. Fundam. Clin. Pharmacol. 2007, 21, 355–361. [Google Scholar] [CrossRef]
- Latchoumycandane, C.; Nagy, L.E.; McIntyre, T.M. Chronic ethanol ingestion induces oxidative kidney injury through taurine-inhibitable inflammation. Free Radic. Biol. Med. 2014, 69, 403–416. [Google Scholar] [CrossRef]
- Altamirano, J.; Fagundes, C.; Dominguez, M.; García, E.; Michelena, J.; Cárdenas, A.; Guevara, M.; Pereira, G.; Torres–Vigil, K.; Arroyo, V. Acute kidney injury is an early predictor of mortality for patients with alcoholic hepatitis. Clin. Gastroenterol. Hepatol. 2012, 10, 65–71.e3. [Google Scholar] [CrossRef]
- Piano, M.R. Alcohol’s effects on the cardiovascular system. Alcohol Res. Curr. Rev. 2017, 38, 219. [Google Scholar]
- Donohue, T.M., Jr. Autophagy and ethanol-induced liver injury. World J. Gastroenterol. 2009, 15, 1178. [Google Scholar] [CrossRef] [PubMed]
- Salehi, E.; Mashayekh, M.; Taheri, F.; Gholami, M.; Motaghinejad, M.; Safari, S.; Sepehr, A. Curcumin Can be Acts as Effective agent for Prevent or Treatment of Alcohol-induced Toxicity in Hepatocytes: An Illustrated Mechanistic Review. Iran. J. Pharm. Res. 2021, 20, 418. [Google Scholar]
- Ozaras, R.; Tahan, V.; Aydin, S.; Uzun, H.; Kaya, S.; Senturk, H. N-acetylcysteine attenuates alcohol-induced oxidative stess in rats. World J. Gastroenterol. 2003, 9, 791–794. [Google Scholar] [CrossRef] [PubMed]
- Santarpia, L.; Grandone, I.; Contaldo, F.; Pasanisi, F. Butyrylcholinesterase as a prognostic marker: A review of the literature. J. Cachexia Sarcopenia Muscle 2013, 4, 31–39. [Google Scholar] [CrossRef]
- Ogunkeye, O.O.; Roluga, A.I. Serum cholinesterase activity helps to distinguish between liver disease and non-liver disease aberration in liver function tests. Pathophysiology 2006, 13, 91–93. [Google Scholar] [CrossRef]
- Zhang, J.; Lu, X.; Zu, Y.; Li, H.; Wang, S. Prognostic value of beta-2 microglobulin on mortality in chronic kidney disease patients: A systematic review and meta-analysis. Ther. Apher. Dial. 2022, 26, 267–274. [Google Scholar] [CrossRef]
- You, Y.; Yoo, S.; Yoon, H.-G.; Park, J.; Lee, Y.-H.; Kim, S.; Oh, K.-T.; Lee, J.; Cho, H.-Y.; Jun, W. In vitro and in vivo hepatoprotective effects of the aqueous extract from Taraxacum officinale (dandelion) root against alcohol-induced oxidative stress. Food Chem. Toxicol. 2010, 48, 1632–1637. [Google Scholar] [CrossRef]
- Al-Harbi, M.S. Antioxidant, protective effect of black berry and quercetin against hepatotoxicity induced by aluminum chloride in male rats. Int. J. Pharmacol. 2019, 15, 494–502. [Google Scholar] [CrossRef]
- Zhang, A.; Sun, H.; Wang, X. Recent advances in natural products from plants for treatment of liver diseases. Eur. J. Med. Chem. 2013, 63, 570–577. [Google Scholar] [CrossRef]
- Jensen, M.K.; Koh-Banerjee, P.; Hu, F.B.; Franz, M.; Sampson, L.; Grønbæk, M.; Rimm, E.B. Intakes of whole grains, bran, and germ and the risk of coronary heart disease in men. Am. J. Clin. Nutr. 2004, 80, 1492–1499. [Google Scholar] [CrossRef]
- Liu, R.H. Whole grain phytochemicals and health. J. Cereal Sci. 2007, 46, 207–219. [Google Scholar] [CrossRef]
- Zhu, K.X.; Zhou, H.M.; Qian, H.F. Proteins extracted from defatted wheat germ: Nutritional and structural properties. Cereal Chem. 2006, 83, 69–75. [Google Scholar] [CrossRef]
- Niu, L.-Y.; Jiang, S.-T.; Pan, L.-J. Preparation and evaluation of antioxidant activities of peptides obtained from defatted wheat germ by fermentation. J. Food Sci. Technol. 2013, 50, 53–61. [Google Scholar] [CrossRef]
- Mohamed, D.A.; Ismael, A.I.; Ibrahim, A.R. Studying the anti-inflammatory and biochemical effects of wheat germ oil. Dtsch. Lebensm.-Rundsch. 2005, 101, 66–72. [Google Scholar]
- Anwar, M.M.; Mohamed, N.E. Amelioration of liver and kidney functions disorders induced by sodium nitrate in rats using wheat germ oil. J. Radiat. Res. Appl. Sci. 2015, 8, 77–83. [Google Scholar] [CrossRef]
- Soleimani Mehranjani, M.; Abnosi, M.H.; Naderi, A.; Mahmodi, M. Preventing Effects of Wheat Germ Oil on Sex Hormones, Liver Enzymes, Lipids and Proteins in Rat Serum Following Treatment with p-Nonylphenol. J. Biol. Sci. 2007, 7, 1406–1411. [Google Scholar] [CrossRef][Green Version]
- Mohamed, H.; Hamad, S. Nullification of aspirin induced gastrotoxicity and hepatotoxicity by prior administration of wheat germ oil in Mus musculus: Histopathological, ultrastructural and molecular studies. Cell. Mol. Biol. 2017, 63, 120–130. [Google Scholar] [CrossRef] [PubMed]
- Ighodaro, O.; Omole, J. Ethanol-induced hepatotoxicity in male wistar rats: Effects of aqueous leaf extract of Ocimum gratissimum. J. Med. Med. Sci. 2012, 3, 499–505. [Google Scholar]
- Gnanaraj, C.; Shah, M.D.; Song, T.T.; Iqbal, M. Hepatoprotective mechanism of Lygodium microphyllum (Cav.) R. Br. through ultrastructural signaling prevention against carbon tetrachloride (CCl4)-mediated oxidative stress. Biomed. Pharmacother. 2017, 92, 1010–1022. [Google Scholar] [CrossRef]
- Li, X.-X.; Jiang, Z.-H.; Zhou, B.; Chen, C.; Zhang, X.-Y. Hepatoprotective effect of gastrodin against alcohol-induced liver injury in mice. J. Physiol. Biochem. 2019, 75, 29–37. [Google Scholar] [CrossRef] [PubMed]
- Rosalki, S.B.; Rau, D. Serum γ-glutamyl transpeptidase activity in alcoholism. Clin. Chim. Acta 1972, 39, 41–47. [Google Scholar] [CrossRef]
- Malloy, H.T.; Evelyn, K.A. The determination of bilirubin with the photoelectric colorimeter. J. Biol. Chem. 1937, 119, 481–490. [Google Scholar] [CrossRef]
- Lowry, O.H.; Rosebrough, N.J.; Farr, A.L.; Randall, R.J. Protein measurement with the Folin phenol reagent. J. Biol. Chem. 1951, 193, 265–275. [Google Scholar] [CrossRef]
- Doumas, B.T.; Watson, W.A.; Biggs, H.G. Albumin standards and the measurement of serum albumin with bromcresol green. Clin. Chim. Acta 1971, 31, 87–96. [Google Scholar] [CrossRef]
- Fogh-Andersen, N.; Wimberley, P.D.; Thode, J.; Siggaard-Andersen, O. Determination of sodium and potassium with ion-selective electrodes. Clin. Chem. 1984, 30, 433–436. [Google Scholar] [CrossRef]
- Nishikimi, M.; Rao, N.A.; Yagi, K. The occurrence of superoxide anion in the reaction of reduced phenazine methosulfate and molecular oxygen. Biochem. Biophys. Res. Commun. 1972, 46, 849–854. [Google Scholar] [CrossRef]
- Bacanlı, M.; Aydın, S.; Taner, G.; Göktaş, H.; Şahin, T.; Başaran, A.; Başaran, N. Does rosmarinic acid treatment have protective role against sepsis-induced oxidative damage in Wistar Albino rats? Hum. Exp. Toxicol. 2016, 35, 877–886. [Google Scholar] [CrossRef]
- Ohkawa, H.; Ohishi, N.; Yagi, K. Assay for lipid peroxides in animal tissues by thiobarbituric acid reaction. Anal. Biochem. 1979, 95, 351–358. [Google Scholar] [CrossRef]
- Zhao, X.; Zhang, J.; Yi, S.; Li, X.; Guo, Z.; Zhou, X.; Mu, J.; Yi, R. Lactobacillus plantarum CQPC02 prevents obesity in mice through the PPAR-α signaling pathway. Biomolecules 2019, 9, 407. [Google Scholar]
- Knedel, M.; Böttger, R. A kinetic method for determination of the activity of pseudocholinesterase (acylcholine acyl-hydrolase 3.1.1.8.). Klin. Wochenschr. 1967, 45, 325–327. [Google Scholar] [CrossRef] [PubMed]
- Pfaffl, M.W. A new mathematical model for relative quantification in real-time RT–PCR. Nucleic Acids Res. 2001, 29, e45. [Google Scholar] [CrossRef] [PubMed]
- Soliman, M.M.; Aldhahrani, A.; Alkhedaide, A.; Nassan, M.A.; Althobaiti, F.; Mohamed, W.A. The ameliorative impacts of Moringa oleifera leaf extract against oxidative stress and methotrexate-induced hepato-renal dysfunction. Biomed. Pharmacother. 2020, 128, 110259. [Google Scholar] [CrossRef] [PubMed]
- Wang, X.; Dong, K.; Ma, Y.; Jin, Q.; Yin, S.; Wang, S. Hepatoprotective effects of chamazulene against alcohol-induced liver damage by alleviation of oxidative stress in rat models. Open Life Sci. 2020, 15, 251–258. [Google Scholar] [CrossRef]
- Gan, Y.; Tong, J.; Zhou, X.; Long, X.; Pan, Y.; Liu, W.; Zhao, X. Hepatoprotective effect of Lactobacillus plantarum HFY09 on ethanol-induced liver injury in mice. Front. Nutr. 2021, 8, 684588. [Google Scholar] [CrossRef] [PubMed]
- Sabitha, R.; Nishi, K.; Gunasekaran, V.P.; Annamalai, G.; Agilan, B.; Ganeshan, M. p-Coumaric acid ameliorates ethanol–induced kidney injury by inhibiting inflammatory cytokine production and NF–κB signaling in rats. Asian Pac. J. Trop. Biomed. 2019, 9, 188. [Google Scholar]
- Liu, J.; Wang, X.; Peng, Z.; Zhang, T.; Wu, H.; Yu, W.; Kong, D.; Liu, Y.; Bai, H.; Liu, R. The effects of insulin pre-administration in mice exposed to ethanol: Alleviating hepatic oxidative injury through anti-oxidative, anti-apoptotic activities and deteriorating hepatic steatosis through SRBEP-1c activation. Int. J. Biol. Sci. 2015, 11, 569. [Google Scholar] [CrossRef] [PubMed]
- Das, S.K.; Vasudevan, D. Alcohol-induced oxidative stress. Life Sci. 2007, 81, 177–187. [Google Scholar] [CrossRef]
- Sliai, A.M. Protective effects of wheat germ oil on doxorubicin-induced hepatotoxicity in male mice. Intern. J. Res. Stud. Bios 2015, 3, 21–25. [Google Scholar]
- Ahmed, A.Y.; Gad, A.M.; EI-Raouf, O.M.A. Investigations of the Possible Utility of Wheat Germ Oil versus Diclofenac Sodium Induced Liver Toxicity in Rats. Pharm. Chem. J. 2019, 6, 37–45. [Google Scholar]
- El-Shorbagy, H.M. Molecular and anti-oxidant effects of wheat germ oil on CCl4-induced renal injury in mice. J. Appl. Pharm. Sci. 2017, 7, 94–102. [Google Scholar]
- El-Bana, M.A.; Abdelaleem, A.H.; El-Naggar, M.E.; Farrag, A.H.; Mohamed, S.M.; El-Khayat, Z. Formulation of wheat germ oil based on nanoemulsions to mitigate cisplatin’s nephrotoxic effects. Prostaglandins Other Lipid Mediat. 2022, 158, 106603. [Google Scholar] [CrossRef] [PubMed]
- Abarikwu, S.O.; Duru, Q.C.; Njoku, R.-C.C.; Amadi, B.A.; Tamunoibuomie, A.; Keboh, E. Effects of co-exposure to atrazine and ethanol on the oxidative damage of kidney and liver in Wistar rats. Ren. Fail. 2017, 39, 588–596. [Google Scholar] [CrossRef]
- Nepali, S.; Ki, H.-H.; Lee, J.-H.; Cha, J.-Y.; Lee, Y.-M.; Kim, D.-K. Triticum aestivum sprout-derived polysaccharide exerts hepatoprotective effects against ethanol-induced liver damage by enhancing the antioxidant system in mice. Int. J. Mol. Med. 2017, 40, 1243–1252. [Google Scholar] [CrossRef] [PubMed]
- El-Shafey, R.S.; Baloza, S.H.; Mohammed, L.A.; Nasr, H.E.; Soliman, M.M.; Ghamry, H.I.; Elgendy, S.A. The ameliorative impacts of wheat germ oil against ethanol-induced gastric ulcers: Involvement of anti-inflammatory, antiapoptotic, and antioxidant activities. Toxicol. Res. 2022, 11, 325–338. [Google Scholar] [CrossRef]
- Han, Y.; Xu, Q.; Hu, J.-N.; Han, X.-Y.; Li, W.; Zhao, L.-C. Maltol, a food flavoring agent, attenuates acute alcohol-induced oxidative damage in mice. Nutrients 2015, 7, 682–696. [Google Scholar] [CrossRef] [PubMed]
- Li, J.; Hu, R.; Xu, S.; Li, Y.; Qin, Y.; Wu, Q.; Xiao, Z. Xiaochaihutang attenuates liver fibrosis by activation of Nrf2 pathway in rats. Biomed. Pharmacother. 2017, 96, 847–853. [Google Scholar] [CrossRef] [PubMed]
- Ge, M.; Yao, W.; Yuan, D.; Zhou, S.; Chen, X.; Zhang, Y.; Li, H.; Xia, Z.; Hei, Z. Brg1-mediated Nrf2/HO-1 pathway activation alleviates hepatic ischemia–reperfusion injury. Cell Death Dis. 2017, 8, e2841. [Google Scholar] [CrossRef]
- Xu, W.; Hellerbrand, C.; Köhler, U.A.; Bugnon, P.; Kan, Y.-W.; Werner, S.; Beyer, T.A. The Nrf2 transcription factor protects from toxin-induced liver injury and fibrosis. Lab. Investig. 2008, 88, 1068–1078. [Google Scholar] [CrossRef] [PubMed]
- Das, M.; Basu, S.; Banerjee, B.; Sen, A.; Jana, K.; Datta, G. Hepatoprotective effects of green Capsicum annum against ethanol induced oxidative stress, inflammation and apoptosis in rats. J. Ethnopharmacol. 2018, 227, 69–81. [Google Scholar] [CrossRef] [PubMed]
- Wang, R.; Yu, X.-Y.; Guo, Z.-Y.; Wang, Y.-J.; Wu, Y.; Yuan, Y.-F. Inhibitory effects of salvianolic acid B on CCl4-induced hepatic fibrosis through regulating NF-κB/IκBα signaling. J. Ethnopharmacol. 2012, 144, 592–598. [Google Scholar] [CrossRef] [PubMed]
- Quah, Y.; Lee, S.-J.; Lee, E.-B.; Birhanu, B.T.; Ali, M.S.; Abbas, M.A.; Boby, N.; Im, Z.-E.; Park, S.-C. Cornus officinalis ethanolic extract with potential anti-allergic, anti-inflammatory, and antioxidant activities. Nutrients 2020, 12, 3317. [Google Scholar] [CrossRef] [PubMed]
- Herpers, B.; Wink, S.; Fredriksson, L.; Di, Z.; Hendriks, G.; Vrieling, H.; de Bont, H.; van de Water, B. Activation of the Nrf2 response by intrinsic hepatotoxic drugs correlates with suppression of NF-κB activation and sensitizes toward TNFα-induced cytotoxicity. Arch. Toxicol. 2016, 90, 1163–1179. [Google Scholar] [CrossRef] [PubMed]
- Gohda, T.; Kamei, N.; Koshida, T.; Kubota, M.; Tanaka, K.; Yamashita, Y.; Adachi, E.; Ichikawa, S.; Murakoshi, M.; Ueda, S. Circulating kidney injury molecule-1 as a biomarker of renal parameters in diabetic kidney disease. J. Diabetes Investig. 2020, 11, 435–440. [Google Scholar] [CrossRef]
- Ichimura, T.; Hung, C.C.; Yang, S.A.; Stevens, J.L.; Bonventre, J.V. Kidney injury molecule-1: A tissue and urinary biomarker for nephrotoxicant-induced renal injury. Am. J. Physiol.-Ren. Physiol. 2004, 286, F552–F563. [Google Scholar] [CrossRef]
- Araújo, R.F.D., Jr.; Garcia, V.B.; Leitão, R.F.D.C.; Brito, G.A.D.C.; Miguel, E.D.C.; Guedes, P.M.M.; De Araújo, A.A. Carvedilol improves inflammatory response, oxidative stress and fibrosis in the alcohol-induced liver injury in rats by regulating Kuppfer cells and hepatic stellate cells. PLoS ONE 2016, 11, e0148868. [Google Scholar]
- Balah, A. Wheat germ oil attenuates cyclosporin A-induced renal injury in rats via inhibition of ros, inos, and nf-κ B expression. Al-Azhar J. Pharm. Sci. 2014, 50, 55–66. [Google Scholar] [CrossRef][Green Version]
- Cao, Y.-W.; Jiang, Y.; Zhang, D.-Y.; Wang, M.; Chen, W.-S.; Su, H.; Wang, Y.-T.; Wan, J.-B. Protective effects of Penthorum chinense Pursh against chronic ethanol-induced liver injury in mice. J. Ethnopharmacol. 2015, 161, 92–98. [Google Scholar] [CrossRef]
- Purohit, V.; Brenner, D.A. Mechanisms of alcohol-induced hepatic fibrosis: A summary of the Ron Thurman Symposium. Hepatology 2006, 43, 872–878. [Google Scholar] [CrossRef]
- Aziz, R.S.; Siddiqua, A.; Shahzad, M.; Shabbir, A.; Naseem, N. Oxyresveratrol ameliorates ethanol-induced gastric ulcer via downregulation of IL-6, TNF-α, NF-ĸB, and COX-2 levels, and upregulation of TFF-2 levels. Biomed. Pharmacother. 2019, 110, 554–560. [Google Scholar] [CrossRef]
- Wang, Y.; Millonig, G.; Nair, J.; Patsenker, E.; Stickel, F.; Mueller, S.; Bartsch, H.; Seitz, H.K. Ethanol-induced cytochrome P4502E1 causes carcinogenic etheno-DNA lesions in alcoholic liver disease. Hepatology 2009, 50, 453–461. [Google Scholar] [CrossRef] [PubMed]
- Yan, M.; Zhu, P.; Liu, H.-M.; Zhang, H.-T.; Liu, L. Ethanol induced mitochondria injury and permeability transition pore opening: Role of mitochondria in alcoholic liver disease. World J. Gastroenterol. 2007, 13, 2352. [Google Scholar] [CrossRef] [PubMed]
- Kandeil, M.A.; Hassanin, K.M.; Mohammed, E.T.; Safwat, G.M.; Mohamed, D.S. Wheat germ and vitamin E decrease BAX/BCL-2 ratio in rat kidney treated with gentamicin. Beni-Suef Univ. J. Basic Appl. Sci. 2018, 7, 257–262. [Google Scholar] [CrossRef]









| Primers | 5′—Oligo Sequences—3′ | Accession Number | |
|---|---|---|---|
| Liver | qR-Nrf2 | F: TTGTAGATGACCATGAGTC R: TGTCCTGCTGTATGCTGCT | NM_031789.2 |
| qR-HO-1 | F: GTAAATGCAGTGTTGGCCC R: ATGTGCCAGGCATCTCCTTC | NM_012580.2 | |
| Kidney | qR-KIM-1 | F: TGGCACTGTGACATCCTCAGA R: GCAACGGACATGCCAACATA | NM_173149 |
| qR- NFkB | F: TCTCAGCTGCGACCCCG R: TGGGCTGCTCAATGATCTCC | AF079314 | |
| qR-β actin | F: AAGTGTGACGTTGACATCCG R: TCTGCATCCTGTCAGCAATG | NM 031144 |
| Normal Control Group | WGO Group | Ethanolic Group | WGO + Ethanol Group | ||
|---|---|---|---|---|---|
| ALT(IU/L) | 26.86 a ± 5.55 | 27.73 a ± 6.9 | 64.63 b ± 7.86 | 38.37 c ± 2.78 | |
| AST(IU/L) | 73.073 a ± 3.67 | 75.43 a ± 4.25 | 187.33 b ± 10.01 | 105.70 c ± 8.52 | |
| Liver | ALP(IU/L) | 80.09 a ± 3.73 | 77.43 a ± 4.25 | 165.44 b ± 4.22 | 114.83 c ± 7.73 |
| GGT(IU/L) | 1.91 a ± 0.31 | 2.36 a ± 0.33 | 5.23 b ± 0.95 | 3.39 c ± 0.75 | |
| Total bilirubin (mg/dL) | 0.54 a ± 0.07 | 0.57 a ± 0.07 | 1.80 b ± 0.21 | 0.81 c ± 0.10 | |
| Kidney | Serum Urea (mg/dL) | 33.51 a ± 2.60 | 32.18 a ± 3.45 | 58.63 b ± 7.83 | 43.10 c ± 3.72 |
| Serum Creatinine (mg/dL) | 0.35 a ± 0.07 | 0.39 a ± 0.07 | 0.86 b ± 0.13 | 0.66 c ± 0.09 | |
| Serum Uric acid (mg/dL) | 1.08 a ± 0.42 | 1.27 a ± 0.51 | 5.01 b ± 1.38 | 2.71 c ± 0.53 |
| Normal Control Group | WGO Group | Ethanolic Group | WGO + Ethanol Group | ||
|---|---|---|---|---|---|
| Liver | Total protein (g/dL) | 5.88 a ± 0.32 | 5.95 a ± 0.31 | 2.58 b ± 0.21 | 4.5 c ± 0.35 |
| Serum albumin (g/dL) | 3.52 a ± 0.17 | 3.63 a ± 0.21 | 1.26 b ± 0.06 | 2.47 c ± 0.22 | |
| Hepatic BChE (U/g wet tissue) | 36 a ± 1.45 | 36.03 a ± 1.63 | 17.23 b ± 1.12 | 27.07 c ± 1.16 | |
| TC (mmol/g protein) | 3.22 a ± 0.31 | 3.05 a ± 0.11 | 7.38 b ± 1.02 | 5.22 c ± 0.95 | |
| TG (mmol/g protein) | 0.64 a ± 0.07 | 0.65 a ± 0.07 | 3.03 b ± 0.30 | 1.17 c ± 0.29 | |
| Kidney | Serum K+ (mEq/L) | 3.53 a ± 0.21 | 3.63 a ± 1.03 | 6.05 b ± 0.34 | 5.0 c ± 0.35 |
| Serum β2 M (µg/dL) | 1.15 a ± 0.09 | 1.21 a ± 0.05 | 6.5 b ± 0.35 | 4.08 c ± 0.32 |
| Normal Control Group | WGO Group | Ethanolic Group | WGO + Ethanol Group | ||
|---|---|---|---|---|---|
| MDA (nmol/g protein) | 2.24 a ± 0.75 | 2.22 a ± 0.74 | 6.41 b ± 1.53 | 4.06 c ± 0.36 | |
| Liver | CAT (U/g protein) | 406.67 a ± 13.2 | 408.17 a ± 14.58 | 209.33 b ± 13.96 | 307.83 c ± 15.56 |
| GSH (U/g protein) | 27.23 a ± 5.17 | 26.86 a ± 6.94 | 11.35 b ± 1.23 | 19.32 c ± 1.51 | |
| SOD (U/g protein) | 726.50 a ± 21.4 | 723.83 a ± 17.11 | 448.67 b ± 16.56 | 600 c ± 23.20 | |
| MDA (nmol/g protein) | 2.53 a ± 0.73 | 2.49 a ± 0.71 | 6.10 b ± 1.02 | 4.14 c ± 0.60 | |
| Kidney | CAT (U/g protein) | 385.33 a ± 12.9 | 382.33 a ± 12.91 | 194.67 b ± 6.05 | 284.00 c ± 16.62 |
| GSH (U/g protein) | 18.24 a ± 2.71 | 17.79 a ± 2.78 | 6.39 b ± 1.73 | 13.27 c ± 2.58 | |
| SOD (U/g protein) | 700.83 a ± 31.1 | 710.83 a ± 31.12 | 412.33 b ± 11.75 | 587.17 c ± 15.58 |
Publisher’s Note: MDPI stays neutral with regard to jurisdictional claims in published maps and institutional affiliations. |
© 2022 by the authors. Licensee MDPI, Basel, Switzerland. This article is an open access article distributed under the terms and conditions of the Creative Commons Attribution (CC BY) license (https://creativecommons.org/licenses/by/4.0/).
Share and Cite
Elgendy, S.A.; Baloza, S.H.; Mohammed, L.A.; Nasr, H.E.; Osama El-Shaer, N.; Ghamry, H.I.; Althobaiti, S.A.; Shukry, M.; Soliman, M.M.; Elnoury, H.A. Ameliorative Impacts of Wheat Germ Oil against Ethanol-Induced Hepatic and Renal Dysfunction in Rats: Involvement of Anti-Inflammatory, Anti-Apoptotic, and Antioxidant Signaling Pathways. Life 2022, 12, 1671. https://doi.org/10.3390/life12101671
Elgendy SA, Baloza SH, Mohammed LA, Nasr HE, Osama El-Shaer N, Ghamry HI, Althobaiti SA, Shukry M, Soliman MM, Elnoury HA. Ameliorative Impacts of Wheat Germ Oil against Ethanol-Induced Hepatic and Renal Dysfunction in Rats: Involvement of Anti-Inflammatory, Anti-Apoptotic, and Antioxidant Signaling Pathways. Life. 2022; 12(10):1671. https://doi.org/10.3390/life12101671
Chicago/Turabian StyleElgendy, Salwa A., Samar H. Baloza, Lina Abdelhady Mohammed, Hend Elsayed Nasr, Noha Osama El-Shaer, Heba I. Ghamry, Saed A. Althobaiti, Mustafa Shukry, Mohamed Mohamed Soliman, and Heba A. Elnoury. 2022. "Ameliorative Impacts of Wheat Germ Oil against Ethanol-Induced Hepatic and Renal Dysfunction in Rats: Involvement of Anti-Inflammatory, Anti-Apoptotic, and Antioxidant Signaling Pathways" Life 12, no. 10: 1671. https://doi.org/10.3390/life12101671
APA StyleElgendy, S. A., Baloza, S. H., Mohammed, L. A., Nasr, H. E., Osama El-Shaer, N., Ghamry, H. I., Althobaiti, S. A., Shukry, M., Soliman, M. M., & Elnoury, H. A. (2022). Ameliorative Impacts of Wheat Germ Oil against Ethanol-Induced Hepatic and Renal Dysfunction in Rats: Involvement of Anti-Inflammatory, Anti-Apoptotic, and Antioxidant Signaling Pathways. Life, 12(10), 1671. https://doi.org/10.3390/life12101671

