Long-Term but Not Short-Term Maternal Fasting Reduces Nephron Number and Alters the Glomerular Filtration Barrier in Rat Offspring
Abstract
1. Introduction
2. Materials and Methods
2.1. Animal Model
2.2. General Measurements
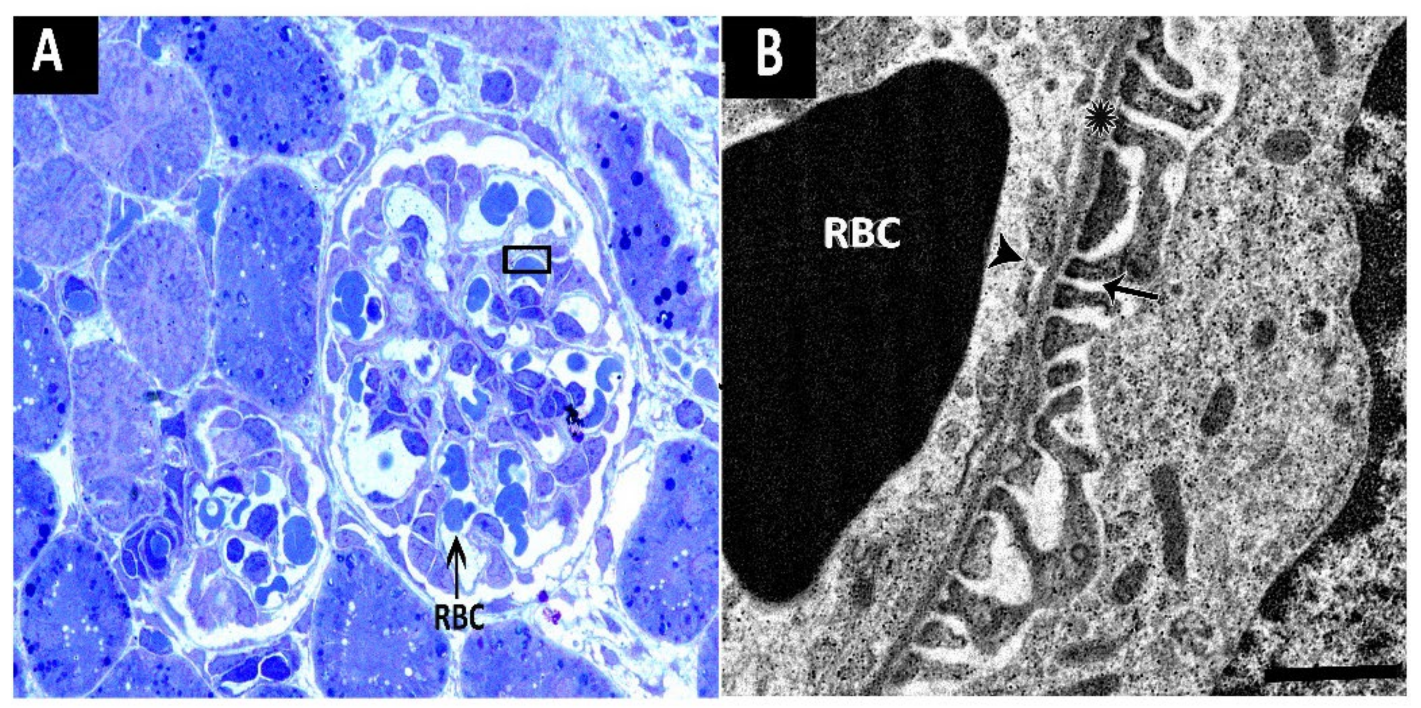
2.3. Light Microscopy
2.4. Glomerular Number
2.5. Electron Microscopy
2.6. Urine Albumin Analysis
2.7. Apoptosis
2.8. Statistical Analyses
3. Results
3.1. Maternal Water and Food Intake
3.2. Histological Study
3.3. Ultrastructure of Glomerular Filtration Barrier
3.4. Evaluation of Urinary Albumin
3.5. DNA Cleavage in Kidney Cells
4. Discussion
5. Conclusions
Author Contributions
Funding
Institutional Review Board Statement
Informed Consent Statement
Acknowledgments
Conflicts of Interest
References
- Barker, D.J. The fetal origins of adult hypertension. J. Hypertens. Suppl. 1992, 10, S39–S44. [Google Scholar] [CrossRef] [PubMed]
- Barker, D.J.; Osmond, C.; Golding, J.; Kuh, D.; Wadsworth, M.E. Growth in utero, blood pressure in childhood and adult life, and mortality from cardiovascular disease. BMJ 1989, 298, 564–567. [Google Scholar] [CrossRef] [PubMed]
- Langley-Evans, S.C. Developmental programming of health and disease. Proc. Nutr. Soc. 2006, 65, 97–105. [Google Scholar] [CrossRef] [PubMed]
- Roseboom, T.J.; Van Der Meulen, J.H.; Ravelli, A.C.; Osmond, C.; Barker, D.J.; Bleker, O.P. Effects of prenatal exposure to the Dutch famine on adult disease in later life: An overview. Twin Res. 2001, 4, 293–298. [Google Scholar] [CrossRef] [PubMed]
- Van Abeelen, A.F.; de Rooij, S.R.; Osmond, C.; Painter, R.C.; Veenendaal, M.V.; Bossuyt, P.M.; Elias, S.G.; Grobbee, D.E.; van der Schouw, Y.T.; Barker, D.J.; et al. The sex-specific effects of famine on the association between placental size and later hypertension. Placenta 2011, 32, 694–698. [Google Scholar] [CrossRef]
- Barker, D.J. Developmental origins of adult health and disease. J. Epidemiol. Community Health 2004, 58, 114–115. [Google Scholar] [CrossRef]
- Vaccari, B.; Mesquita, F.F.; Gontijo, J.A.; A Boer, P. Fetal kidney programming by severe food restriction: Effects on structure, hormonal receptor expression and urinary sodium excretion in rats. J. Renin-Angiotensin-Aldosterone Syst. 2015, 16, 33–46. [Google Scholar] [CrossRef]
- Harrath, A.H.; Alrezaki, A.; Alwasel, S.H.; Semlali, A. Intergenerational response of steroidogenesis-related genes to maternal malnutrition. J. Dev. Orig. Health Dis. 2019, 10, 587–594. [Google Scholar] [CrossRef]
- Harrath, A.H.; Alrezaki, A.; Mansour, L.; Alwasel, S.H.; Palomba, S. Food restriction during pregnancy and female offspring fertility: Adverse effects of reprogrammed reproductive lifespan. J. Ovarian Res. 2017, 10, 77. [Google Scholar] [CrossRef]
- Alwasel, S.H.; Ashton, N. Prenatal programming of renal sodium handling in the rat. Clin. Sci. 2009, 117, 75–84. [Google Scholar] [CrossRef] [PubMed]
- Meyer, A.M. 147 Nutritional advances in fetal and neonatal development: Mineral nutrition. J. Anim. Sci. 2020, 98, 121. [Google Scholar] [CrossRef]
- Armitage, J.A.; Lakasing, L.; Taylor, P.D.; Balachandran, A.A.; Jensen, R.I.; Dekou, V.; Ashton, N.; Nyengaard, J.R.; Poston, L. Developmental programming of aortic and renal structure in offspring of rats fed fat-rich diets in pregnancy. J. Physiol. 2005, 565, 171–184. [Google Scholar] [CrossRef]
- Bertram, C.E.; Hanson, M.A. Animal models and programming of the metabolic syndrome. Br. Med. Bull. 2001, 60, 103–121. [Google Scholar] [CrossRef] [PubMed]
- Alwasel, S.H. Glomerular filtration barrier in rat offspring exposed to maternal undernutrition. J. King Saud Univ.-Sci. 2017, 29, 8. [Google Scholar] [CrossRef]
- Alwasel, S.H.; Abotalib, Z.; Aljarallah, J.S.; Osmond, C.; Alkharaz, S.M.; Alhazza, I.M.; Badr, G.; Barker, D.J.P. Changes in placental size during Ramadan. Placenta 2010, 31, 607–610. [Google Scholar] [CrossRef]
- Dikensoy, E.; Balat, O.; Cebesoy, B.; Ozkur, A.; Cicek, H.; Can, G. Effect of fasting during Ramadan on fetal development and maternal health. J. Obs. Gynaecol. Res. 2008, 34, 494–498. [Google Scholar] [CrossRef]
- Savitri, A.I.; Amelia, D.; Painter, R.C.; Baharuddin, M.; Roseboom, T.J.; Grobbee, D.E.; Uiterwaal, C. Ramadan during pregnancy and birth weight of newborns. J. Nutr. Sci. 2018, 7, e5. [Google Scholar] [CrossRef] [PubMed]
- Safari, K.; Piro, T.J.; Ahmad, H.M. Perspectives and pregnancy outcomes of maternal Ramadan fasting in the second trimester of pregnancy. BMC Pregnancy Childbirth 2019, 19, 128. [Google Scholar] [CrossRef]
- AlKhalefah, A.; Ashton, N.; Glazier, J. Fetal Growth Restriction and Gender-Specific Effects on Placental Function in a Rat Model of Ramadan Fasting during Pregnancy. Placenta 2014, 35, A98–A99. [Google Scholar] [CrossRef]
- Mohany, M.; Ashton, N.; Harrath, A.H.; Nyengaard, J.R.; Alomar, S.Y.; Alwasel, S. A new model for fetal programming: Maternal Ramadan-type fasting programs nephrogenesis. J. Dev. Orig. Health Dis. 2018, 9, 287–298. [Google Scholar] [CrossRef] [PubMed]
- Leonhardt, M.; Lesage, J.; Dufourny, L.; Dickes-Coopman, A.; Montel, V.; Dupouy, J.P. Perinatal maternal food restriction induces alterations in hypothalamo-pituitary-adrenal axis activity and in plasma corticosterone-binding globulin capacity of weaning rat pups. Neuroendocrinology 2002, 75, 45–54. [Google Scholar] [CrossRef] [PubMed]
- Akitake, Y.; Katsuragi, S.; Hosokawa, M.; Mishima, K.; Ikeda, T.; Miyazato, M.; Hosoda, H. Moderate maternal food restriction in mice impairs physical growth, behavior, and neurodevelopment of offspring. Nutr. Res. 2015, 35, 76–87. [Google Scholar] [CrossRef] [PubMed]
- Fall, C.H.; Vijayakumar, M.; Barker, D.J.; Osmond, C.; Duggleby, S. Weight in infancy and prevalence of coronary heart disease in adult life. BMJ 1995, 310, 17–19. [Google Scholar] [CrossRef]
- Hales, C.N.; Barker, D.J.; Clark, P.M.; Cox, L.J.; Fall, C.; Osmond, C.; Winter, P.D. Fetal and infant growth and impaired glucose tolerance at age 64. BMJ 1991, 303, 1019–1022. [Google Scholar] [CrossRef]
- Barker, D.J.; Meade, T.W.; Fall, C.H.; Lee, A.; Osmond, C.; Phipps, K.; Stirling, Y. Relation of fetal and infant growth to plasma fibrinogen and factor VII concentrations in adult life. BMJ 1992, 304, 148–152. [Google Scholar] [CrossRef]
- Law, C.M.; Barker, D.J.; Osmond, C.; Fall, C.H.; Simmonds, S.J. Early growth and abdominal fatness in adult life. J. Epidemiol. Community Health 1992, 46, 184–186. [Google Scholar] [CrossRef]
- Chou, H.C.; Wang, L.F.; Lu, K.S.; Chen, C.M. Effects of maternal undernutrition on renal angiotensin II and chymase in hypertensive offspring. Acta Histochem. 2008, 110, 497–504. [Google Scholar] [CrossRef]
- Bagby, S.P. Developmental origins of renal disease: Should nephron protection begin at birth? Clin. J. Am. Soc. Nephrol. 2009, 4, 10–13. [Google Scholar] [CrossRef]
- Singh, R.R.; Moritz, K.M.; Bertram, J.F.; Cullen-McEwen, L.A. Effects of dexamethasone exposure on rat metanephric development: In vitro and in vivo studies. Am. J. Physiol. Ren. Physiol. 2007, 293, F548–F554. [Google Scholar] [CrossRef] [PubMed]
- Pham, T.D.; MacLennan, N.K.; Chiu, C.T.; Laksana, G.S.; Hsu, J.L.; Lane, R.H. Uteroplacental insufficiency increases apoptosis and alters p53 gene methylation in the full-term IUGR rat kidney. Am. J. Physiol. Regul. Integr. Comp. Physiol. 2003, 285, R962–R970. [Google Scholar] [CrossRef]
- Hokke, S.N.; Armitage, J.A.; Puelles, V.G.; Short, K.M.; Jones, L.; Smyth, I.M.; Bertram, J.F.; Cullen-McEwen, L.A. Altered ureteric branching morphogenesis and nephron endowment in offspring of diabetic and insulin-treated pregnancy. PLoS ONE 2013, 8, e58243. [Google Scholar] [CrossRef] [PubMed]
- Awazu, M.; Hida, M. Maternal nutrient restriction inhibits ureteric bud branching but does not affect the duration of nephrogenesis in rats. Pediatr. Res. 2015, 77, 633–639. [Google Scholar] [CrossRef] [PubMed]
- Nwagwu, M.O.; Cook, A.; Langley-Evans, S.C. Evidence of progressive deterioration of renal function in rats exposed to a maternal low-protein diet in utero. Br. J. Nutr. 2000, 83, 79–85. [Google Scholar] [CrossRef] [PubMed]
- Kumar, D.; Robertson, S.; Burns, K.D. Evidence of apoptosis in human diabetic kidney. Mol. Cell. Biochem. 2004, 259, 67–70. [Google Scholar] [CrossRef] [PubMed]
- Baker, A.J.; Mooney, A.; Hughes, J.; Lombardi, D.; Johnson, R.J.; Savill, J. Mesangial cell apoptosis: The major mechanism for resolution of glomerular hypercellularity in experimental mesangial proliferative nephritis. J. Clin. Investig. 1994, 94, 2105–2116. [Google Scholar] [CrossRef] [PubMed]
- Shimizu, A.; Kitamura, H.; Masuda, Y.; Ishizaki, M.; Sugisaki, Y.; Yamanaka, N. Apoptosis in the repair process of experimental proliferative glomerulonephritis. Kidney Int. 1995, 47, 114–121. [Google Scholar] [CrossRef]










| Ingredient | % Weight |
|---|---|
| Protein | 20 |
| Oil | 10 |
| Starch | 42 |
| Fibers | 6 |
| Sucrose | 20 |
| Minerals | 1.5 |
| Vitamins | 0.5 |
| Measurements | C | FT1 | F2 | FT3 | FWP |
|---|---|---|---|---|---|
| Female weight at mating (g) | 234.2 ± 18.7 | 238.5 ± 24.2 | 240.7 ± 21.1 | 236.5 ± 11.4 | 229.3 ± 8.8 |
| Accumulated food intake (g) | 356.5 ± 25.7 | 345.1 ± 16.20 | 352.1 ± 24.2 | 337.6 ± 38.6 | 284.4 ± 26.5 * |
| Accumulated water intake (mL) | 781.2 ± 127.4 | 753.6 ± 138.9 | 714.2 ± 136.7 | 789.1 ± 133.4 | 523.5 ± 114.1 * |
| Gestational weight gain (g) | 84.25 ± 3.30 | 86.00 ± 17.66 | 80.50 ± 17.66 | 66.33 ± 12.05 * | 55.50 ± 14.41 * |
| Gestational length (day) â | 21.66 ± 0.51 | 22.00 ± 0.00 | 22.00 ± 0.00 | 21.50 ± 0.54 * | 22.00 ± 0.00 |
| Body weight at delivery/initial weight (%) | 8.82 ± 2.90 | −2.18 ± 4.85 * | −3.60 ± 4.37 * | −1.68 ± 3.15 * | −9.38 ± 3.11 *¥ |
| Litter size (pup) | 9.60 ± 2.51 | 10.83 ± 2.32 | 11.33 ± 2.42 | 10.33 ± 1.37 | 9.70 ± 2.45 |
| Pup weight (g) | 6.52 ± 0.68 | 5.65 ± 0.59* | 5.67 ± 0.64 * | 5.53 ± 0.53 * | 5.23 ± 0.48 *¥ |
Publisher’s Note: MDPI stays neutral with regard to jurisdictional claims in published maps and institutional affiliations. |
© 2021 by the authors. Licensee MDPI, Basel, Switzerland. This article is an open access article distributed under the terms and conditions of the Creative Commons Attribution (CC BY) license (https://creativecommons.org/licenses/by/4.0/).
Share and Cite
Alshamrani, A.; Aldahmash, W.; Falodah, F.; Arafah, M.; Harrath, A.H.; Alwasel, S. Long-Term but Not Short-Term Maternal Fasting Reduces Nephron Number and Alters the Glomerular Filtration Barrier in Rat Offspring. Life 2021, 11, 318. https://doi.org/10.3390/life11040318
Alshamrani A, Aldahmash W, Falodah F, Arafah M, Harrath AH, Alwasel S. Long-Term but Not Short-Term Maternal Fasting Reduces Nephron Number and Alters the Glomerular Filtration Barrier in Rat Offspring. Life. 2021; 11(4):318. https://doi.org/10.3390/life11040318
Chicago/Turabian StyleAlshamrani, Abdullah, Waleed Aldahmash, Fawaz Falodah, Maria Arafah, Abdel Halim Harrath, and Saleh Alwasel. 2021. "Long-Term but Not Short-Term Maternal Fasting Reduces Nephron Number and Alters the Glomerular Filtration Barrier in Rat Offspring" Life 11, no. 4: 318. https://doi.org/10.3390/life11040318
APA StyleAlshamrani, A., Aldahmash, W., Falodah, F., Arafah, M., Harrath, A. H., & Alwasel, S. (2021). Long-Term but Not Short-Term Maternal Fasting Reduces Nephron Number and Alters the Glomerular Filtration Barrier in Rat Offspring. Life, 11(4), 318. https://doi.org/10.3390/life11040318

