Biochemical Characterization, Specificity and Inhibition Studies of HTLV-1, HTLV-2, and HTLV-3 Proteases
Abstract
1. Introduction
2. Materials and Methods
2.1. Expression of HTLV-1, HTLV-2, and HTLV-3 Proteases
2.2. Purification of HTLV-1, HTLV-2, and HTLV-3 Proteases
2.3. Synthetic Oligopeptides and Inhibitors
2.4. Protease Activity Assays
2.5. Determination of PH, Temperature, and Ionic Strength Optimum
2.6. Determination of Amino Acid Preferences
2.7. Inhibition Studies
2.8. Studies on Auto-Processing
3. Results
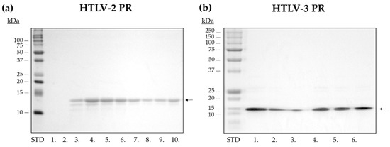
3.1. Expression and Purification of HTLV Proteases
3.2. Determination of Optimal Reaction Conditions
3.3. Comparison of Catalytic Efficiencies
3.4. Determination of Amino Acid Preferences
3.5. Inhibition of HTLV Proteases
3.6. Comparison of Protease Sequences and Substrate Binding Site Compositions
3.7. Studies on Auto-Processing
4. Discussion
Supplementary Materials
Author Contributions
Funding
Institutional Review Board Statement
Informed Consent Statement
Data Availability Statement
Acknowledgments
Conflicts of Interest
References
- Burmeister, T. Oncogenic retroviruses in animals and humans. Rev. Med. Virol. 2001, 11, 369–380. [Google Scholar] [CrossRef]
- European Centre for Disease Prevention and Control. Geographical Distribution of Areas with a High Prevalence of HTLV-1 Infection; ECDC: Stockholm, Sweden, 2015. Available online: www.ecdc.europa.eu/en/publications-data/geographical-distribution-areas-high-prevalence-htlv-1-infection (accessed on 10 May 2020).
- Gessain, A.; Cassar, O. Epidemiological aspects and world distribution of HTLV-1 infection. Front. Microbiol. 2012, 3, 388. [Google Scholar] [CrossRef]
- Nicolás, D.; Ambrosioni, J.; Paredes, R.; Marcos, M.Á.; Manzardo, C.; Moreno, A.; Miró, J.M. Infection with human retroviruses other than HIV-1: HIV-2, HTLV-1, HTLV-2, HTLV-3 and HTLV-4. Expert Rev. Anti. Infect. Ther. 2015, 13, 947–963. [Google Scholar] [CrossRef]
- Murphy, E.L.; Cassar, O.; Gessain, A. Estimating the number of HTLV-2 infected persons in the world. Retrovirology 2015, 12, 2015. [Google Scholar] [CrossRef]
- Mochizuki, M.; Tajima, K.; Watanabe, T.; Yamaguchi, K. Human T lymphotropic virus type 1 uveitis. Br. J. Ophthalmol. 1994, 78, 149–154. [Google Scholar] [CrossRef] [PubMed]
- Ortiz, B.D.M.; Riveros, R.; Medina, R.; Morel, M. Infective dermatitis in an adult patient with HTLV-1. Am. J. Dermatopathol. 2015, 37, 944–948. [Google Scholar] [CrossRef]
- Vallinoto, A.C.R.; Ishak, M.O.G.; Azevedo, V.N.; Vicente, A.C.P.; Otsuki, K.; Hall, W.W.; Ishak, R. Molecular epidemiology of human T-lymphotropic virus type II infection in Amerindian and urban populations of the Amazon region of Brazil. Hum. Biol. 2002, 74, 633–644. [Google Scholar] [CrossRef] [PubMed]
- Biswas, H.H.; Kaidarova, Z.; Garratty, G.; Gibble, J.W.; Newman, B.H.; Smith, J.W.; Ziman, A.; Fridey, J.L.; Sacher, R.A.; Murphy, E.L. Increased All-Cause and Cancer Mortality in HTLV-II Infection. J. Acquir. Immune Defic. Syndr. 2010, 54, 290–296. [Google Scholar] [CrossRef] [PubMed]
- Gessain, A.; Rua, R.; Betsem, E.; Turpin, J.; Mahieux, R. HTLV-3/4 and simian foamy retroviruses in humans: Discovery, epidemiology, cross-species transmission and molecular virology. Virology 2013, 435, 187–199. [Google Scholar] [CrossRef]
- Richardson, J.H.; Edwards, A.J.; Cruickshank, J.K.; Rudge, P.; Dalgleish, A.G. In vivo cellular tropism of human T-cell leukemia virus type 1. J. Virol. 1990, 64, 5682–5687. [Google Scholar] [CrossRef] [PubMed]
- Ijichi, S.; Ramundo, M.B.; Takahashi, H.; Hall, W.W. In vivo cellular tropism of human T cell leukemia virus type II (HTLV-II). J. Exp. Med. 1992, 176, 293–296. [Google Scholar] [CrossRef]
- Lal, R.B.; Owen, S.M.; Rudolph, D.L.; Dawson, C.; Prince, H. In vivo cellular tropism of human T-lymphotropic virus type II is not restricted to CD8+ cells. Virology 1995, 210, 441–447. [Google Scholar] [CrossRef]
- Ren, T.; Cheng, H. Differential transforming activity of the retroviral Tax oncoproteins in human T lymphocytes. Front. Microbiol. 2013, 4, 287. [Google Scholar] [CrossRef]
- Chevalier, S.A.; Durand, S.; Dasgupta, A.; Radonovich, M.; Cimarelli, A.; Brady, J.N.; Mahieux, R.; Pise-Masison, C.A. The transcription profile of Tax-3 is more similar to Tax-1 than Tax-2: Insights into HTLV-3 potential leukemogenic properties. PLoS ONE 2012, 7, e41003. [Google Scholar] [CrossRef]
- Narayan, M.; Younis, I.; D’Agostino, D.M.; Green, P.L. Functional Domain Structure of Human T-Cell Leukemia Virus Type 2 Rex. J. Virol. 2003, 77, 12829–12840. [Google Scholar] [CrossRef] [PubMed][Green Version]
- Ye, J.; Silverman, L.; Lairmore, M.D.; Green, P.L. HTLV-1 Rex is required for viral spread and persistence in vivo but is dispensable for cellular immortalization in vitro. Blood 2003, 102, 3963–3969. [Google Scholar] [CrossRef]
- Barbeau, B.; Peloponese, J.M.; Mesnard, J.M. Functional comparison of antisense proteins of HTLV-1 and HTLV-2 in viral pathogenesis. Front. Microbiol. 2013, 4, 226. [Google Scholar] [CrossRef]
- Ciminale, V.; Rende, F.; Bertazzoni, U.; Romanelli, M.G. HTLV-1 and HTLV-2: Highly similar viruses with distinct oncogenic properties. Front. Microbiol. 2014, 5, 398. [Google Scholar] [CrossRef] [PubMed]
- Larocque, E.; Halin, M.; Landry, S.; Marriott, S.J.; Switzer, W.M.; Barbeau, B. Human T-Cell Lymphotropic Virus Type 3 (HTLV-3)- and HTLV-4-Derived Antisense Transcripts Encode Proteins with Similar Tax-Inhibiting Functions but Distinct Subcellular Localization. J. Virol. 2011, 85, 12673–12685. [Google Scholar] [CrossRef] [PubMed][Green Version]
- Miller, M.; Jaskolski, M.; Rao, J.M.; Leis, J.; Wlodawer, A.; Jask, M. Crystal structure of a retroviral protease proves relationship to aspartic protease family. Nature 1989, 337, 576–579. [Google Scholar] [CrossRef] [PubMed]
- Rao, J.M.; Erickson, J.W.; Wlodawer, A. Structural and evolutionary relationships between retroviral and eucaryotic aspartic proteinases. Biochemistry 1991, 30, 4663–4671. [Google Scholar] [CrossRef] [PubMed]
- Fitzgerald, P.M.; McKeever, B.M.; VanMiddlesworth, J.F.; Springer, J.P.; Heimbach, J.C.; Leu, C.T.; Herber, W.K.; Dixon, R.A.; Darke, P.L. Crystallographic analysis of a complex between human immunodeficiency virus type 1 protease and acetyl-pepstatin at 2.0-A resolution. J. Boil. Chem. 1990, 265, 14209–14219. [Google Scholar] [CrossRef]
- Satoh, T.; Li, M.; Nguyen, J.T.; Kiso, Y.; Gustchina, A.; Wlodawer, A. Crystal structures of inhibitor complexes of human T-Cell leukemia virus (HTLV-1) protease. J. Mol. Biol. 2010, 401, 626–641. [Google Scholar] [CrossRef]
- Tsukasaki, K.; Tobinai, K. Biology and treatment of HTLV-1 associated T-cell lymphomas. Best Pract. Res. Clin. Haematol. 2013, 26, 3–14. [Google Scholar] [CrossRef]
- Marino-Merlo, F.; Balestrieri, E.; Matteucci, C.; Mastino, A.; Grelli, S.; Macchi, B. Antiretroviral therapy in HTLV-1 infection: An updated overview. Pathogens 2020, 9, 342. [Google Scholar] [CrossRef]
- Eron, J.J. HIV-1 Protease Inhibitors. Clin. Infect. Dis 2000, 30, 160–170. [Google Scholar] [CrossRef]
- Kádas, J.; Weber, I.T.; Bagossi, P.; Miklóssy, G.; Boross, P.; Oroszlan, S.; Tözsér, J. Narrow substrate specificity and sensitivity toward ligand-binding site mutations of human T-cell leukemia virus type 1 protease. J. Biol. Chem. 2004, 279, 27148–27157. [Google Scholar] [CrossRef]
- Selvaraj, C.; Singh, P.; Singh, S.K. Molecular modeling studies and comparative analysis on structurally similar HTLV and HIV protease using HIV-PR inhibitors. J. Recept. Signal Transduct. 2014, 34, 361–371. [Google Scholar] [CrossRef] [PubMed]
- Selvaraj, C.; Singh, P.; Singh, S.K. Molecular insights on analogs of HIV PR inhibitors toward HTLV-1 PR through QM/MM interactions and molecular dynamics studies: Comparative structure analysis of wild and mutant HTLV-1 PR. J. Mol. Recognit. 2014, 27, 696–706. [Google Scholar] [CrossRef] [PubMed]
- Awahara, C.; Tatsumi, T.; Furuta, S.; Shinjoh, G.; Konno, H.; Nosaka, K.; Kobayashi, K.; Hattori, Y.; Akaji, K. Effect of prime-site sequence of retro-inverso-modified HTLV-1protease inhibitor. Bioorg. Med. Chem. 2014, 22, 2482–2488. [Google Scholar] [CrossRef]
- Zhang, M.; Nguyen, J.T.; Kumada, H.O.; Kimura, T.; Cheng, M.; Hayashi, Y.; Kiso, Y. Synthesis and activity of tetrapeptidic HTLV-I protease inhibitors possessing different P3-cap moieties. Bioorg. Med. Chem. 2008, 16, 5795–5802. [Google Scholar] [CrossRef]
- Kuhnert, M.; Blum, A.; Steuber, H.; Diederich, W.E. Privileged Structures Meet Human T-Cell Leukemia Virus-1 (HTLV-1): C2-Symmetric 3,4-Disubstituted Pyrrolidines as Nonpeptidic HTLV-1 Protease Inhibitors. J. Med. Chem. 2015, 58, 4845–4850. [Google Scholar] [CrossRef]
- Louis, J.M.; Oroszlan, S.; Tözsér, J. Stabilization from autoproteolysis and kinetic characterization of the human T-cell leukemia virus type 1 proteinase. J. Biol. Chem. 1999, 274, 6660–6666. [Google Scholar] [CrossRef]
- Ding, Y.S.; Rich, D.H.; Ikeda, R.A. Substrates and inhibitors of human T-cell leukemia virus type I protease. Biochemistry 1998, 37, 17514–17518. [Google Scholar] [CrossRef]
- Hrusková-Heidingsfeldová, O.; Bláha, I.; Urban, J.; Strop, P.; Pichová, I. Substrates and inhibitors of human T-cell leukemia virus type 1 (HTLV-1) proteinase. Leukemia 1997, 11 (Suppl. 3), 45–46. [Google Scholar]
- Sperka, T.; Miklóssy, G.; Tie, Y.; Bagossi, P.; Zahuczky, G.; Boross, P.; Matúz, K.; Harrison, R.W.; Weber, I.T.; Tözsér, J. Bovine leukemia virus protease: Comparison with human T-lymphotropic virus and human immunodeficiency virus proteases. J. Gen. Virol. 2007, 88, 2052–2063. [Google Scholar] [CrossRef] [PubMed]
- Tözsér, J.; Zahuczky, G.; Bagossi, P.; Louis, J.M.; Copeland, T.D.; Oroszlan, S.; Harrison, R.W.; Weber, I.T. Comparison of the substrate specificity of the human T-cell leukemia virus and human immunodeficiency virus proteinases. Eur. J. Biochem. 2000, 267, 6287–6295. [Google Scholar] [CrossRef]
- Fehér, A.; Boross, P.; Sperka, T.; Miklóssy, G.; Kádas, J.; Bagossi, P.; Oroszlan, S.; Weber, I.T.; Tözsér, J. Characterization of the murine leukemia virus protease and its comparison with the human immunodeficiency virus type 1 protease. J. Gen. Virol. 2006, 87, 1321–1330. [Google Scholar] [CrossRef] [PubMed]
- Mahdi, M.; Szojka, Z.; Mótyán, J.A.; Tőzsér, J. Inhibition profiling of retroviral protease inhibitors using an HIV-2 modular system. Viruses 2015, 7, 6152–6162. [Google Scholar] [CrossRef]
- Bagossi, P.; Kádas, J.; Miklóssy, G.; Boross, P.; Weber, I.T.; Tözsér, J. Development of a microtiter plate fluorescent assay for inhibition studies on the HTLV-1 and HIV-1 proteinases. J. Virol. Methods 2004, 119, 87–93. [Google Scholar] [CrossRef] [PubMed]
- Golda, M.; Mótyán, J.A.; Mahdi, M.; Tőzsér, J. Functional study of the retrotransposon-derived human PEG10 protease. Int. J. Mol. Sci. 2020, 21, 2424. [Google Scholar] [CrossRef]
- Zahuczky, G.; Boross, P.; Bagossi, P.; Emri, G.; Copeland, T.D.; Oroszlan, S.; Louis, J.M.; Tözsér, J. Cloning of the bovine leukemia virus proteinase in Escherichia coli and comparison of its specificity to that of human T-cell leukemia virus proteinase. Biochim. Biophys. Acta—Protein Struct. Mol. Enzymol. 2000, 1478, 1–8. [Google Scholar] [CrossRef]
- Eizert, H.; Bander, P.; Bagossi, P.; Sperka, T.; Miklóssy, G.; Boross, P.; Weber, I.T.; Tözsér, J. Amino Acid Preferences of Retroviral Proteases for Amino-Terminal Positions in a Type 1 Cleavage Site. J. Virol. 2008, 82, 10111–10117. [Google Scholar] [CrossRef] [PubMed]
- Kádas, J.; Boross, P.; Weber, I.T.; Bagossi, P.; Matúz, K.; Tözsér, J. C-terminal residues of mature human T-lymphotropic virus type 1 protease are critical for dimerization and catalytic activity. Biochem. J. 2008, 416, 357–364. [Google Scholar] [CrossRef] [PubMed][Green Version]
- Dunn, B.M.; Gustchina, A.; Wlodawer, A. Subsite preferences of retroviral proteinases. Methods Enzymol. 1994, 241, 254–278. [Google Scholar]
- Boross, P.; Bagossi, P.; Copeland, T.D.; Oroszlan, S.; Louis, J.M.; Tözsér, J. Effect of substrate residues on the P2’ preference of retroviral proteinases. Eur. J. Biochem. 1999, 264, 921–929. [Google Scholar] [CrossRef]
- Fenyöfalvi, G.; Bagossi, P.; Copeland, T.D.; Oroszlan, S.; Boross, P.; Tözsér, J. Expression and characterization of human foamy virus proteinase. FEBS Lett. 1999, 462, 397–401. [Google Scholar] [CrossRef]
- Menard, A.; Mamoun, R.Z.; Geoffre, S.; Castroviejo, M.; Raymond, S.; Precigoux, G.; Hospital, M.; Guillemain, B. Bovine Leukemia Virus: Purification and Characterization of the Aspartic Protease. Virology 1993, 193, 680–689. [Google Scholar] [CrossRef]
- Gazda, L.D.; Matuz, K.J.; Nagy, T.; Motyán, J.A.; Tozsér, J. Biochemical characterization of Ty1 retrotransposon protease. PLoS ONE 2020, 15, e0227062. [Google Scholar] [CrossRef]
- Golda, M.; Mótyán, J.A.; Nagy, K.; Matúz, K.; Nagy, T.; Tőzsér, J. Biochemical Characterization of Human Retroviral-Like Aspartic Protease 1 (ASPRV1). Biomolecules 2020, 10, 1004. [Google Scholar] [CrossRef]
- Ha, J.J.; Gaul, D.A.; Mariani, V.L.; Ding, Y.S.; Ikeda, R.A.; Shuker, S.B. HTLV-1 protease cleavage of P19/24 substrates is not dependent on NaCl concentration. Bioorg. Chem. 2002, 30, 138–144. [Google Scholar] [CrossRef] [PubMed]
- Bagossi, P.; Sperka, T.; Fehér, A.; Kádas, J.; Zahuczky, G.; Miklóssy, G.; Boross, P.; Tözsér, J. Amino Acid Preferences for a Critical Substrate Binding Subsite of Retroviral Proteases in Type 1 Cleavage Sites. J. Virol. 2005, 79, 4213–4218. [Google Scholar] [CrossRef]
- Dewan, M.Z.; Uchihara, J.N.; Terashima, K.; Honda, M.; Sata, T.; Ito, M.; Fujii, N.; Uozumi, K.; Tsukasaki, K.; Tomonaga, M.; et al. Efficient intervention of growth and infiltration of primary adult T-cell leukemia cells by an HIV protease inhibitor, ritonavir. Blood 2006, 107, 716–724. [Google Scholar] [CrossRef] [PubMed]
- Rabaaoui, S.; Zouhiri, F.; Lançon, A.; Leh, H.; D’Angelo, J.; Wattel, E. Inhibitors of strand transfer that prevent integration and inhibit human T-cell leukemia virus type 1 early replication. Antimicrob. Agents Chemother. 2008, 52, 3532–3541. [Google Scholar] [CrossRef]
- Soltani, A.; Hashemy, S.I.; Zahedi Avval, F.; Soleimani, A.; Rafatpanah, H.; Rezaee, S.A.; Griffith, R.; Mashkani, B. Molecular targeting for treatment of human T-lymphotropic virus type 1 infection. Biomed. Pharmacother. 2019, 109, 770–778. [Google Scholar] [CrossRef] [PubMed]
- Mótyán, J.A.; Miczi, M.; Tőzsér, J. Dimer interface organization is a main determinant of intermonomeric interactions and correlates with evolutionary relationships of retroviral and retroviral-like Ddi1 and Ddi2 proteases. Int. J. Mol. Sci. 2020, 21, 1352. [Google Scholar]
- Korber, B.; Kuiken, C.; Foley, B.; Hahn, B.; McCuthan, F.; Mellors, J.; Sodroski, J. Human Retroviruses and AIDS. Los Alamos Lab. Los Alamos NM 1997, III.50–III.60. [Google Scholar] [CrossRef]
- Szeltner, Z.; Polgár, L. Conformational stability and catalytic activity of HIV-1 protease are both enhanced at high salt concentration. J. Biol. Chem. 1996, 271, 5458–5463. [Google Scholar] [CrossRef] [PubMed]
- Tözsér, J. Comparative studies on retroviral proteases: Substrate specificity. Viruses 2010, 2, 147–165. [Google Scholar] [CrossRef] [PubMed]
- Bagossi, P.; Bander, P.; Bozóki, B.; Tözsér, J. Discovery and significance of new human T-lymphotropic viruses: HTLV-3 and HTLV-4. Expert Rev. Anti Infect. Ther. 2009, 7, 1235–1249. [Google Scholar] [CrossRef]
- Laco, G.S. HIV-1 protease substrate-groove: Role in substrate recognition and inhibitor resistance. Biochimie 2015, 118, 90–103. [Google Scholar] [CrossRef] [PubMed]











| Name | FWD/REV | Primer Sequence |
|---|---|---|
| HTLV-2 PR N-terminal linker | FWD | 5′-AGGATTTCAGAATTCCCCGACCAGGACATCTCAATACTTCCGCTGATTCCGCTGCGTCAAC-3′ |
| REV | 5′-CTAGAGGATCCTTACAGCAGTTGATGCGGTGACGGGTCGTCCGGC-3′ | |
| HTLV-3 PR N-terminal linker | FWD | 5′-AGGATTTCAGAATTCCTTACATCTCCACGTACAATTCTTCCCCTCATACCCTTGTCCCAACAAAG-3′ |
| FWD | 5′-GCGGATCCTTAGAGAACACTTGAGGGTTG-3′ | |
| HTLV-2 PR L37D | FWD | 5′-GGCGCGGACGATACGGTCATT-3′ |
| REV | 5′-AATGACCGTATCGTCCGCGCC-3′ | |
| HTLV-2 PR L37N | FWD | 5′-GGCGCGGACAACACGGTCATT-3′ |
| REV | 5′-AATGACCGTGTTGTCCGCGCC-3′ | |
| HTLV-2 PR L57G | FWD | 5′-ACGCTGATCGGCGGCGCCAGT-3′ |
| REV | 5′-ACTGGCGCCGCCGATCAGCGT-3′ | |
| HTLV-2 PR A59I | FWD | 5′-ATCCTGGGCATTAGTGGTCAG-3′ |
| REV | 5′-CTGACCACTAATGCCCAGGAT-3′ | |
| HTLV-2 PR F67Q | FWD | 5′-AACACGCAACAGAAACTGCTG-3′ |
| REV | 5′-CAGCAGTTTCTGTTGCGTGTT-3′ | |
| HTLV-3 PR I37D | FWD | 5′-GGGGCGGACGATACTGTTCTC-3′ |
| REV | 5′-GAGAACAGTATCGTCCGCCCC-3′ | |
| HTLV-3 PR I37N | FWD | 5′-GGGGCGGACAACACTGTTCTC-3′ |
| REV | 5′-GAGAACAGTGTTGTCCGCCCC-3′ | |
| HTLV-3 PR L57G | FWD | 5′-ACCACTGTCGGCGGCGCAGGC-3′ |
| REV | 5′-GCCTGCGCCGCCGACAGTGGT-3′ | |
| HTLV-3 PR A59I | FWD | 5′-GTCTTAGGCATTGGCGGGCCA-3′ |
| REV | 5′-TGGCCCGCCAATGCCTAAGAC-3′ | |
| HTLV-3 PR F67Q | FWD | 5′-ACCAGCAAGCAGAAGATCCTG-3′ |
| REV | 5′-AGGATCTTCTGCTTGCTGGT-3′ |
| kcat/KM [mM−1 s−1] | ||||
|---|---|---|---|---|
| Substrate | Sequence | HTLV-1 PR | HTLV-2 PR | HTLV-3 PR |
| HTLV-1 MA/CA | APQVL*PVMHP | 85.2 ± 26.1 1 | 5.5 ± 1.0 | 32.5 ± 6.7 |
| HTLV-1 CA/NC | KTKVL*VVQPK | 150.6 ± 15.1 1 | 67.2 ± 33.4 | 30.1 ± 15.4 |
| HTLV-1 TF1/PR | DPASIL*PVIP | 3.8 ± 0.6 1 | 0.4 ± 0.1 | 1.2 ± 0.4 |
| HTLV-1 PR/P1 | KGPPVIL*PIQAP | 288.3 ± 73.6 1 | 20.6 ± 2.8 | 238.4 ± 60.1 |
| HTLV-2 MA/CA | TTQCF*PILHP | 14.4 ± 4.3 | 4.3 ± 0.5 | 37.8 ± 20.2 |
| HTLV-2 TF1/PR | SPRTIL*PLIP | 4.9 ± 1.1 | 132.5 ± 42.5 | 5.0 ± 1.1 |
| HTLV-2 PR/P1 | PHQLL*PIATP | 10.7 ± 4.8 | 92.2 ± 41.4 | 7.5 ± 2.7 |
| HTLV-3 MA/CA | ASQCL*PILHP | 40.9 ± 10.4 | 2.6 ± 0.4 | 19.7 ± 4.4 |
| HTLV-3 CA/NC | KNKIL*MIQPK | not cleaved | 1.4 ± 0.2 | 0.8 ± 0.3 |
| HTLV-3 TF1/PR | PRTIL*PVIPL | 109.8 ± 29.3 | 11.8 ± 2.0 | 11.8 ± 2.0 |
| HTLV-3 PR/P1 | PSKVL*PVLAP | 7.0 ± 2.6 | 2.1 ± 0.3 | 22.6 ± 5.8 |
| Substrate | Sequence | kcat/KM (mM−1 s−1) | |||
|---|---|---|---|---|---|
| HIV-1 PR 1 | HTLV-1 PR 1 | HTLV-2 PR | HTLV-3 PR | ||
| HIV-1 MA/CA | VSQNY*PIVQ | 45.3 | not cleaved | not cleaved | not cleaved |
| HIV-1 CA/P2 | KARVL*AEAMS | 90 | not cleaved | not cleaved | not cleaved |
| HIV-1 P2/NC | TATIM*MQRGN | 74 | not cleaved | not cleaved | not cleaved |
| HIV-1 NC/P1 | ERQAN*FLGKI | 1 | not cleaved | not cleaved | not cleaved |
| HIV-1 TF/PR | VSFNF*PQITL | 6.9 | not cleaved | not cleaved | not cleaved |
| HIV-1 PR/RT | CTLNF*PISP | 24.1 | not cleaved | not cleaved | not cleaved |
| EIAV MA/CA | PSEEY*PIMID | 15.2 | 0.7 | not cleaved | not cleaved |
| EIAV PR/RT | AKLVL*AQLSK | 13.4 | not cleaved | not cleaved | not cleaved |
| EIAV RT/RH | KEEIM*LAYQG | 18.3 | <0.01 | not cleaved | not cleaved |
| RSV P2B/P10 | PPYVG*SGLYP | not cleaved | not cleaved | not cleaved | not cleaved |
| RSV P10/CA | PVVAM*PVVIK | not cleaved | 0.1 | not cleaved | not cleaved |
| RSV CA/P3 | IAAAM*SSAIQ | not cleaved | not cleaved | not cleaved | not cleaved |
| RSV P3/NC | IQPLIM*AVVNR | 318 | >100 | not cleaved | not cleaved |
| RSV NC/PR | PPAVS*LAMTM | 0.13 | not cleaved | not cleaved | not cleaved |
| RSV PR’/RT | RATVL*TVALH | 1.9 | 0.3 | not cleaved | not cleaved |
| RSV RT/IN | TFQAY*PLREA | 0.18 | not cleaved | not cleaved | not cleaved |
| MMTV MA/PP21 | SDLVL*LSAEARR | 6.9 | not cleaved | not cleaved | not cleaved |
| MMTV PP21/P3 | DSKAF*LADTW | 7.5 | not cleaved | not cleaved | not cleaved |
| MMTV P3/P8 | DELIL*PVKRK | 1.5 | 2.6 | not cleaved | not cleaved |
| MMTV P8/N | PPVGFAG*AMA | <0.01 | not cleaved | not cleaved | not cleaved |
| MMTV N/CA | LTFTF*PVVFMRR | 0.9 | 0.01 | not cleaved | not cleaved |
| MPMV P12/CA | PKDIF*PVTET | 0.2 | 0.2 | not cleaved | not cleaved |
| BLV MA/CA | PPAIL*PIISE | 0.3 | 164.5 | not cleaved | not cleaved |
| BLV CA/NC | KQPAIL*VHTPG | not cleaved | not cleaved | not cleaved | not cleaved |
| BLV PR/P13 | PPMVG*VLDAP | 0.04 | 0.7 | not cleaved | not cleaved |
| MuLV MA/P12 | PRSSLY*PALTP | 0.2 | not cleaved | not cleaved | not cleaved |
| MuLV P12/CA | TSQAF*PLRAG | 8.7 | not cleaved | not cleaved | not cleaved |
| MuLV NC/PR | TQTSLL*TLDDQ | not cleaved | not cleaved | not cleaved | not cleaved |
| MuLV RT/IN | TSTLL*IENSS | not cleaved | not cleaved | not cleaved | not cleaved |
| S4 | S3 | S2 | S1 | ||||||||||||
|---|---|---|---|---|---|---|---|---|---|---|---|---|---|---|---|
| HIV-1 * | HTLV-1 * | HTLV-2 | HTLV-3 | HIV-1 * | HTLV-1 * | HTLV-2 | HTLV-3 | HIV-1 * | HTLV-1 * | HTLV-2 | HTLV-3 | HIV-1 * | HTLV-1 * | HTLV-2 | HTLV-3 |
| D30 | M37 | L37 | I37 | R8 | R10 | Q10 | Q10 | A28 | A35 | A35 | A35 | R8 | R10 | Q10 | Q10 |
| M46 | S55 | L55 | T55 | D29 | D36 | D36 | D36 | D30 | M37 | L37 | I37 | L23 | L30 | L30 | L30 |
| I47 | V56 | I56 | V56 | G48 | L57 | L57 | L57 | V32 | V39 | V39 | V39 | D25 | D32 | D32 | D32 |
| G48 | L57 | L57 | L57 | I47 | V56 | I56 | V56 | G27 | G34 | G34 | G34 | ||||
| V56 | F67 | F67 | F67 | G48 | L57 | L57 | L57 | G49 | G58 | G58 | G58 | ||||
| Q58 | L69 | L69 | I69 | G49 | G58 | G58 | G58 | I50 | A59 | A59 | A59 | ||||
| L76 | L91 | L91 | L91 | I50 | A59 | A59 | A59 | T80 | - | - | - | ||||
| L76 | L91 | L91 | L91 | P81 | - | - | - | ||||||||
| I84 | I100 | I100 | I100 | V82 | W98 | W98 | W98 | ||||||||
| I84 | I100 | I100 | I100 | ||||||||||||
| Position/New Residue | HTLV PR | Enzyme Form | Self-Processing |
|---|---|---|---|
| - | HTLV-1 * | wild-type | yes |
| HTLV-2 | wild-type | yes | |
| HTLV-3 | wild-type | yes | |
| 37 (D) | HTLV-1 * | M37D | no |
| HTLV-2 | L37D | no | |
| HTLV-3 | I37D | no | |
| 37 (N) | HTLV-1 * | M37N | no |
| HTLV-2 | L37N | no | |
| HTLV-3 | I37N | yes | |
| 57 (G) | HTLV-1 * | L57G | not determined |
| HTLV-2 | L57G | yes | |
| HTLV-3 | L57G | no | |
| 59 (I) | HTLV-1 * | A59I | not determined |
| HTLV-2 | A59I | yes | |
| HTLV-3 | A59I | yes | |
| 67 (Q) | HTLV-1 * | F67Q | no |
| HTLV-2 | F67Q | no | |
| HTLV-3 | F67Q | no |
Publisher’s Note: MDPI stays neutral with regard to jurisdictional claims in published maps and institutional affiliations. |
© 2021 by the authors. Licensee MDPI, Basel, Switzerland. This article is an open access article distributed under the terms and conditions of the Creative Commons Attribution (CC BY) license (http://creativecommons.org/licenses/by/4.0/).
Share and Cite
Kassay, N.; Mótyán, J.A.; Matúz, K.; Golda, M.; Tőzsér, J. Biochemical Characterization, Specificity and Inhibition Studies of HTLV-1, HTLV-2, and HTLV-3 Proteases. Life 2021, 11, 127. https://doi.org/10.3390/life11020127
Kassay N, Mótyán JA, Matúz K, Golda M, Tőzsér J. Biochemical Characterization, Specificity and Inhibition Studies of HTLV-1, HTLV-2, and HTLV-3 Proteases. Life. 2021; 11(2):127. https://doi.org/10.3390/life11020127
Chicago/Turabian StyleKassay, Norbert, János András Mótyán, Krisztina Matúz, Mária Golda, and József Tőzsér. 2021. "Biochemical Characterization, Specificity and Inhibition Studies of HTLV-1, HTLV-2, and HTLV-3 Proteases" Life 11, no. 2: 127. https://doi.org/10.3390/life11020127
APA StyleKassay, N., Mótyán, J. A., Matúz, K., Golda, M., & Tőzsér, J. (2021). Biochemical Characterization, Specificity and Inhibition Studies of HTLV-1, HTLV-2, and HTLV-3 Proteases. Life, 11(2), 127. https://doi.org/10.3390/life11020127

